复合骨预制髂骨瓣的实验研究
作者:马秦 毛天球 刘宝林 赵晋龙
单位:马秦(上海第二医科大学附属第九人民医院颌面外科,上海,200011);毛天球(第四军医大学口腔医院口腔颌面外科,西安,710032);刘宝林(第四军医大学口腔医院口腔颌面外科,西安,710032);赵晋龙(第四军医大学口腔医院口腔颌面外科,西安,710032)
关键词:重组人骨形态发生蛋白-2;钛种植体;预制;复合骨
中国修复重建外科杂志000212摘 要:目的 探讨将一定形状的重组人骨形态发生蛋白-2(rhBMP-2)、胶原、珊瑚复合骨植入狗髂骨区,预制一定形状和结构的骨组织瓣的可行性。方法 将复合骨植于狗髂骨区,同期植入钛种植体,3个月、4个半月取材。通过体视学、X线片及组织学等观测指标,分析应用rhBMP-2、胶原、珊瑚复合骨预制组织瓣的可行性。结果 复合骨植于狗髂骨区,3个月时,复合骨已转变成骨组织,髂骨形状改变,并带有种植体,种植体与新骨间是骨界面;4个半月时新生骨改建为成熟骨。结论 rhBMP-2、胶原、珊瑚复合骨适用于体内预制具有一定形状和结构的骨组织瓣。
, http://www.100md.com
EXPERIMENTAL STUDY ON PREFABRICATING
ILIAC GRAFTS USING COMPOSITE BONE
MA Qin MAO Tian-qiu LIU Bao-lin et al.
(College of Stomatology, the Fourth Military Medical University. Xi'an Shanxi, P. R. China 710032.)
E-mail:maqinsoh@pub.xaonline.com, maqin0@163.net
Abstract:Objective To investigate the feasibility of prefabricating a specified shape autograft capable of transfer using coral and typeⅠcollagen as a carrier for recombinant human bone morphogenetic protein-2 (rhBMP-2). Methods In this study, the composite of rhBMP-2,coral and typeⅠcollagen was made certain shape to prefabricate vascularized osteomuscular autograft capable of microvascular free tissue transfer and autogenous bone graft with certain shape and titanium implant in it. The composite was implanted in the iliac area in dog with the titanium implant at the same time. After 3 months and 4 and a half months of implantation, the composites were studied with gross measurement, X-ray, and histological examinations. Results After 3 months, composited bone was turned to bone tissue, and the shape of iliac bone was changed with implant in it, bone interface was seen between new bone and implant. And new bone was matured after 4 and a half months. Conclusion Coral and typeⅠcollagen are effective carrier for rhBMP-2 to prefabricate vascular osteomuscular autograft with certain shape. The use of rhBMP-2 for tissue engineered microvascular free bone flaps has an unlimited potential and adds a new dimension to maxillofacial reconstruction.
, 百拇医药
Key words:Recombinant human bone morphogenetic protein-2 Titanium implant Prefabrication Composite bone▲
颅颌面部的大型复杂缺损,采用现有自体复合组织瓣修复,常在外形、结构及功能等方面不能取得满意结果。我们应用重组人骨形态发生蛋白-2(recombinant human bone morphogenetic protein-2,rhBMP-2)、胶原、珊瑚复合骨,植入狗髂骨区,同期植入钛种植体,待其在体内完全转化为骨组织后,使狗髂骨的形状和结构有一定改变,以期在移植髂骨修复缺损时,预制的髂骨瓣能符合缺损区外形、结构和功能的需求。
1 材料与方法
1.1 复合骨的制备和消毒
将珊瑚制成5 mm×10 mm×35 mm大小,贴骨床面制备成圆弧面,与髂骨嵴能完全贴附,制备2个直径2 mm的圆孔(图1),放入5%次氯酸钠溶液浸泡72小时,流水冲洗24小时,蒸馏水、无水乙醇超声清洗,置80℃干燥箱内24小时,孔径为150~200 μm,高压消毒后,每块珊瑚与rhBMP-2 2 mg、Ⅰ型胶原0.5 ml混悬液复合,负压抽干。术前用环氧乙烷消毒。
, http://www.100md.com
1.2 种植体的制备和消毒
采用钝钛,制成直径2 mm,长10 mm螺纹状种植体,30%硝酸钝化,三氯乙烯、无水乙醇超声清洗,高压消毒后备用。
1.3 实验动物及分组
成年健康陕西地区雄性杂种狗8只,体重12~15 kg,按术后取材时间分成两组。每组植入材料为:①rhBMP-2、胶原、珊瑚复合骨;②新鲜自体骨;③单纯珊瑚组。
1.4 手术方法
狗麻醉采用3%戊巴比妥钠肌注,1 ml/kg。髂骨区脱毛,消毒,沿髂嵴内侧切开皮肤、皮下,髂嵴顶切开骨膜,剥离软组织,在髂嵴表面按上述分组植入材料或自体骨(图1),其中复合骨植于左侧,自体骨与单纯珊瑚植于右侧,自体骨取自同侧髂前上嵴的前面,大小与材料一致,按种植体植入操作要点[1],在生理盐水冷却下钻孔并逐级扩大,每区植入2颗种植体,以种植体固定植入物,植入物表面与种植体帽平齐,以备测量材料或骨的吸收。生理盐水、庆大霉素冲洗术区,分层缝合伤口。其中每组中1只狗在取自体骨处分别植入种植体1颗,未完全植入,种植体帽与受床间留5 mm距离,作为空白对照。所有实验狗术后3天,青霉素钠80万U,肌注,2次/日。每笼1只饲养。
, 百拇医药
图1 狗髂骨区解剖手术示意图 ①钛种植钉;②复合植骨材料;③髂前上棘;④复合材料俯视图;⑤复合材料侧视图;⑥股骨
Fig. 1 Diagram of anatomic operation in dog's iliac area
①Titanium implant; ②Composite bone graft; ③Anterior superior iliac spine; ④Vertical view of composite bone graft; ⑤Side view of composite bone graft; ⑥Femur
1.5 取材
观察动物术后的饮食,局部伤口情况。3个月、4个半月分别处死4只狗,取材,X线片结果分析;标本肉眼观察,植入物的吸收,测量种植体帽与植入物表面的距离;组织学观察,标本脱钙,脱水,石蜡包埋,切片,HE染色,光镜观察。
, 百拇医药
2 结果
所有动物存活,饮食正常,局部伤口无感染,均按期取材。
2.1 大体观察
3个月 复合骨表面为纤维组织包裹,粘连明显,剥离纤维组织,见复合骨已被新骨组织替代,髂骨明显增高,种植体帽表面覆盖骨组织;单纯珊瑚植入物表面为纤维组织包裹,易剥离,珊瑚大部分吸收,被骨组织替代,新骨表面与种植体帽有距离平均1.8 mm,髂骨增高较少;自体骨移植物与表面纤维组织粘连不明显平均0.8 mm,骨组织有一定吸收,表面与种植体帽间有距离;空白对照组种植体帽与骨面间距离仍为5 mm。
4个半月 复合骨中珊瑚和单纯珊瑚组的珊瑚都已完全吸收,为新生骨组织替代,高度没有降低;自体骨表面骨组织吸收少于复合骨和单纯珊瑚,与种植体帽之间距离,平均仍为0.8 mm;珊瑚组表面高度略增多,与种植体帽之间的距离为1.6 mm;空白组为5 mm。
, http://www.100md.com
2.2 组织学观察
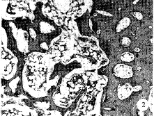
3个月 复合骨组,植入物表面及内部多见未成熟骨,有时可见骨髓腔,骨小梁细,与种植体间是骨组织界面, 骨组织钙化程度低于骨床,可见未吸收珊瑚;单纯珊瑚组,近骨床处骨组织较近表面处的多,珊瑚已吸收,与种植体界面近表面侧是软组织,近骨床侧是骨组织界面;自体骨组,为正常骨组织表现,可见骨髓腔及板层骨,骨小梁粗大,骨基质钙化程度较高,与种植体间是骨组织界面(图2~4)。
4个半月 复合骨组与3个月时表现类似,珊瑚都已吸收,骨组织钙化程度较高,多见骨髓腔,骨小梁增粗,与种植体间为骨界面;单纯珊瑚组,珊瑚都已吸收,形成的骨组织钙化程度较高,与种植体界面是骨界面;自体骨组与3个月类似,所有移植物与骨床间均未见软组织;空白对照组仅见软组织形成。
2.3 X线表现
3个月 复合骨表现为阻射影,内有纹理,表面可见大片的、密度略低的阻射影,复合骨与种植体间有透光影,珊瑚与胶原复合物,阻射影,内有纹理,与种植体间可见透光影;单纯珊瑚表现为阻射影,少见纹理,表面密度低于近骨床侧,与种植体间有透光影;自体骨与骨床已融合,密度一致,与种植体间无透光影。
, http://www.100md.com
4个半月 各植入物均表现为阻射影,纹理少见,与骨床间界限不明显,与种植体间无透光影,自体骨密度略高于其他组。
图2 复合骨植入3个月,复合骨已转化为骨组织(HE ×4)
Fig. 2 Composite bone was turned to bone tissue after 3 months of implantation(HE ×4)
图3 自体骨植入3个月, 移植骨和骨床与种植体间均是骨界面(HE ×4)
Fig. 3 The bone interface was seen among bone graft, bone bed and implant (HE ×4)
, http://www.100md.com
图4 珊瑚植入3个月,珊瑚已转化为骨组织,成骨量少,与骨床和种植体间均是骨界面(HE ×10)
Fig. 4 Coral was turned to bone tissue with less osteogenesis, and the bone interface was seen among coral, bone bed and implant (HE ×10)
3 讨论
颌面部因外伤、肿瘤等原因造成较大的硬、软组织复合缺损,目前主要采用自体组织移植的方法修复。由于颌面部腔窦多,易感染,形状复杂等解剖特点,供区存在组织量有限和移植组织形状不合要求等问题,常常难以达到满意的外形和功能修复效果。
3.1 体内预制骨瓣
近年来,许多学者尝试运用组织工程学技术,在体内或体外预制符合缺损区外形、结构和功能要求的、可移植的复合瓣,用以修复复合缺损。有学者已在临床应用预制的方法修复复杂的面中部缺损,Vinzenz等[2]利用肩胛骨瓣修复重建4例上颌骨和面中部缺损。他们应用三维CT检查方法,全面考虑相关的解剖和功能因素,精确设计,第一次手术按需要修整肩胛骨,预制一定形状的肩胛骨瓣,植入种植体,采用膜材料包裹肩胛骨瓣。3个月后移植时骨瓣具有需要的形状,表面有粘膜覆盖,种植体周围有稳定的硬软组织。术后很快可作义齿修复,达到功能和外形的恢复。我们在实验中,将珊瑚加工成一定形状后,与胶原和rhBMP-2复合,植于髂骨区,同时植入钛种植体, 结果是改变了狗髂骨的形状,复合骨完全被新骨组织取代,新骨与钛种植体之间是骨性界面,将狗髂骨预制成具有一定形状和结构的骨瓣,可移植修复上、下颌骨缺损,并能较快的恢复咀嚼功能。Vinzenz等[2]所采用方法,通过移植自体骨改变肩胛骨的形状。应用rhBMP-2、胶原、珊瑚复合骨作为自体骨的代用品,可取得制成具有一定形状和结构的骨瓣的同样结果,避免切取自体骨的手术。另外,髂骨区肌组织丰富,血运好, 利于复合骨发挥骨诱导和骨引导作用,成骨速度快,成骨量较大,弥补单纯珊瑚吸收过快的不足。
, http://www.100md.com
3.2 应用骨形态发生蛋白预制骨瓣
随着生长因子方面研究的进展,利用骨特异生长因子在体内骨骼区以外的部位诱导骨组织形成[3],使其带有血管蒂和一定形状,用来修复骨缺损。Khouri等[4]将大鼠股内收肌解剖、游离,保留血管蒂,放入两瓣型硅橡胶模型中,肌组织中注射,用脱钙骨基质包裹肌组织,关闭模型。10天后模型中的肌组织转变为带血管蒂的形状类似股骨头的骨块。对照组不注射骨形态发生蛋白(bone morph ogenetic protein,BMP)和放置脱钙骨基质,结果无骨形成。利用这种方法,获得了特定形状的血管化自体骨。Fayad等[5]在大鼠股内收肌瓣中植入BMP-3和脱钙骨基质,用该包裹类似气管形状的硅酮,2周取材,肌组织瓣由在其中形成的环形骨支撑,内表面为纤维组织构成的光滑衬里。这一结构,形成带血管蒂的、预先制备的、类似气管结构的复合组织瓣,可用以转移修复气管的缺损。Kuriloff等[6]用同样的方法,植入胶原纤维丝和BMP-3,3周取材,同样获得类似气管结构的血管化复合瓣。珊瑚是一种生物相容性很好的骨代用品,可加工成任何所需的形状,利用这一特性,将珊瑚加工成一定形状后,与胶原、rhBMP-2复合,制成具有诱导骨形成能力的复合骨,植于体内,预制成一定形状的骨块,这一方法,避免手术切取自体骨, 且能满足所需形状的要求。
, http://www.100md.com
我们初步探讨了应用珊瑚、rhBMP-2和胶原复合骨预制具有一定形状和结构的骨组织瓣的可行性,但许多方面仍需深入研究,如预制组织瓣后,移植修复骨缺损,并逐步与临床应用结合,是今后研究的方向。预制组织瓣,是修复重建外科的研究新课题,无论通过体内或体外的方法预制复合组织瓣,以达到在外形、功能和结构三方面均满意的修复结果,是今后修复的趋势。
参考文献:
[1]刘宝林,希扬,余绍明,等.下颌骨的功能整复-骨移植、牙种植体的临床应用.实用口腔医学杂志.1993;9(4):266
[2]Vinzenz KG,Holle J,Wuringer E,et al.Prefabrication of combined scapula flaps for microsurgical reconstruction in oro-maxillofacial defects:A new method.J Craniomaxillofac Surg,1996;24(4):214
, 百拇医药
[3]张森林,孟昭业,毛天球.珊瑚复合人工骨骨诱导活性的实验研究.中国修复重建外科杂志,1999;13(3):141
[4]Khouri RK,Koudsi B,Reddi H.Tissue transformation into bone in vivo.J Amenican Med Association,1991;266(14):1 953
[5]Fayad JN,Kuriloff DB.Prefabricated microvascular autograft in tracheal reconstruction.Otolaryngol Head Neck Surg,1994;111(4):396
[6]Kuriloff DB,Fayad DB.Tracheal autograft prefabrication using microfibrillar collagen and bone morphogenetic protein. Archives of Otolaryngology Head & Neck Surgery,1996;122(12):1 385
收稿日期:1998-10-12
修改日期:1999-02-03, 百拇医药
单位:马秦(上海第二医科大学附属第九人民医院颌面外科,上海,200011);毛天球(第四军医大学口腔医院口腔颌面外科,西安,710032);刘宝林(第四军医大学口腔医院口腔颌面外科,西安,710032);赵晋龙(第四军医大学口腔医院口腔颌面外科,西安,710032)
关键词:重组人骨形态发生蛋白-2;钛种植体;预制;复合骨
中国修复重建外科杂志000212摘 要:目的 探讨将一定形状的重组人骨形态发生蛋白-2(rhBMP-2)、胶原、珊瑚复合骨植入狗髂骨区,预制一定形状和结构的骨组织瓣的可行性。方法 将复合骨植于狗髂骨区,同期植入钛种植体,3个月、4个半月取材。通过体视学、X线片及组织学等观测指标,分析应用rhBMP-2、胶原、珊瑚复合骨预制组织瓣的可行性。结果 复合骨植于狗髂骨区,3个月时,复合骨已转变成骨组织,髂骨形状改变,并带有种植体,种植体与新骨间是骨界面;4个半月时新生骨改建为成熟骨。结论 rhBMP-2、胶原、珊瑚复合骨适用于体内预制具有一定形状和结构的骨组织瓣。
, http://www.100md.com
EXPERIMENTAL STUDY ON PREFABRICATING
ILIAC GRAFTS USING COMPOSITE BONE
MA Qin MAO Tian-qiu LIU Bao-lin et al.
(College of Stomatology, the Fourth Military Medical University. Xi'an Shanxi, P. R. China 710032.)
E-mail:maqinsoh@pub.xaonline.com, maqin0@163.net
Abstract:Objective To investigate the feasibility of prefabricating a specified shape autograft capable of transfer using coral and typeⅠcollagen as a carrier for recombinant human bone morphogenetic protein-2 (rhBMP-2). Methods In this study, the composite of rhBMP-2,coral and typeⅠcollagen was made certain shape to prefabricate vascularized osteomuscular autograft capable of microvascular free tissue transfer and autogenous bone graft with certain shape and titanium implant in it. The composite was implanted in the iliac area in dog with the titanium implant at the same time. After 3 months and 4 and a half months of implantation, the composites were studied with gross measurement, X-ray, and histological examinations. Results After 3 months, composited bone was turned to bone tissue, and the shape of iliac bone was changed with implant in it, bone interface was seen between new bone and implant. And new bone was matured after 4 and a half months. Conclusion Coral and typeⅠcollagen are effective carrier for rhBMP-2 to prefabricate vascular osteomuscular autograft with certain shape. The use of rhBMP-2 for tissue engineered microvascular free bone flaps has an unlimited potential and adds a new dimension to maxillofacial reconstruction.
, 百拇医药
Key words:Recombinant human bone morphogenetic protein-2 Titanium implant Prefabrication Composite bone▲
颅颌面部的大型复杂缺损,采用现有自体复合组织瓣修复,常在外形、结构及功能等方面不能取得满意结果。我们应用重组人骨形态发生蛋白-2(recombinant human bone morphogenetic protein-2,rhBMP-2)、胶原、珊瑚复合骨,植入狗髂骨区,同期植入钛种植体,待其在体内完全转化为骨组织后,使狗髂骨的形状和结构有一定改变,以期在移植髂骨修复缺损时,预制的髂骨瓣能符合缺损区外形、结构和功能的需求。
1 材料与方法
1.1 复合骨的制备和消毒
将珊瑚制成5 mm×10 mm×35 mm大小,贴骨床面制备成圆弧面,与髂骨嵴能完全贴附,制备2个直径2 mm的圆孔(图1),放入5%次氯酸钠溶液浸泡72小时,流水冲洗24小时,蒸馏水、无水乙醇超声清洗,置80℃干燥箱内24小时,孔径为150~200 μm,高压消毒后,每块珊瑚与rhBMP-2 2 mg、Ⅰ型胶原0.5 ml混悬液复合,负压抽干。术前用环氧乙烷消毒。
, http://www.100md.com
1.2 种植体的制备和消毒
采用钝钛,制成直径2 mm,长10 mm螺纹状种植体,30%硝酸钝化,三氯乙烯、无水乙醇超声清洗,高压消毒后备用。
1.3 实验动物及分组
成年健康陕西地区雄性杂种狗8只,体重12~15 kg,按术后取材时间分成两组。每组植入材料为:①rhBMP-2、胶原、珊瑚复合骨;②新鲜自体骨;③单纯珊瑚组。
1.4 手术方法
狗麻醉采用3%戊巴比妥钠肌注,1 ml/kg。髂骨区脱毛,消毒,沿髂嵴内侧切开皮肤、皮下,髂嵴顶切开骨膜,剥离软组织,在髂嵴表面按上述分组植入材料或自体骨(图1),其中复合骨植于左侧,自体骨与单纯珊瑚植于右侧,自体骨取自同侧髂前上嵴的前面,大小与材料一致,按种植体植入操作要点[1],在生理盐水冷却下钻孔并逐级扩大,每区植入2颗种植体,以种植体固定植入物,植入物表面与种植体帽平齐,以备测量材料或骨的吸收。生理盐水、庆大霉素冲洗术区,分层缝合伤口。其中每组中1只狗在取自体骨处分别植入种植体1颗,未完全植入,种植体帽与受床间留5 mm距离,作为空白对照。所有实验狗术后3天,青霉素钠80万U,肌注,2次/日。每笼1只饲养。
, 百拇医药
图1 狗髂骨区解剖手术示意图 ①钛种植钉;②复合植骨材料;③髂前上棘;④复合材料俯视图;⑤复合材料侧视图;⑥股骨
Fig. 1 Diagram of anatomic operation in dog's iliac area
①Titanium implant; ②Composite bone graft; ③Anterior superior iliac spine; ④Vertical view of composite bone graft; ⑤Side view of composite bone graft; ⑥Femur
1.5 取材
观察动物术后的饮食,局部伤口情况。3个月、4个半月分别处死4只狗,取材,X线片结果分析;标本肉眼观察,植入物的吸收,测量种植体帽与植入物表面的距离;组织学观察,标本脱钙,脱水,石蜡包埋,切片,HE染色,光镜观察。
, 百拇医药
2 结果
所有动物存活,饮食正常,局部伤口无感染,均按期取材。
2.1 大体观察
3个月 复合骨表面为纤维组织包裹,粘连明显,剥离纤维组织,见复合骨已被新骨组织替代,髂骨明显增高,种植体帽表面覆盖骨组织;单纯珊瑚植入物表面为纤维组织包裹,易剥离,珊瑚大部分吸收,被骨组织替代,新骨表面与种植体帽有距离平均1.8 mm,髂骨增高较少;自体骨移植物与表面纤维组织粘连不明显平均0.8 mm,骨组织有一定吸收,表面与种植体帽间有距离;空白对照组种植体帽与骨面间距离仍为5 mm。
4个半月 复合骨中珊瑚和单纯珊瑚组的珊瑚都已完全吸收,为新生骨组织替代,高度没有降低;自体骨表面骨组织吸收少于复合骨和单纯珊瑚,与种植体帽之间距离,平均仍为0.8 mm;珊瑚组表面高度略增多,与种植体帽之间的距离为1.6 mm;空白组为5 mm。
, http://www.100md.com
2.2 组织学观察
3个月 复合骨组,植入物表面及内部多见未成熟骨,有时可见骨髓腔,骨小梁细,与种植体间是骨组织界面, 骨组织钙化程度低于骨床,可见未吸收珊瑚;单纯珊瑚组,近骨床处骨组织较近表面处的多,珊瑚已吸收,与种植体界面近表面侧是软组织,近骨床侧是骨组织界面;自体骨组,为正常骨组织表现,可见骨髓腔及板层骨,骨小梁粗大,骨基质钙化程度较高,与种植体间是骨组织界面(图2~4)。
4个半月 复合骨组与3个月时表现类似,珊瑚都已吸收,骨组织钙化程度较高,多见骨髓腔,骨小梁增粗,与种植体间为骨界面;单纯珊瑚组,珊瑚都已吸收,形成的骨组织钙化程度较高,与种植体界面是骨界面;自体骨组与3个月类似,所有移植物与骨床间均未见软组织;空白对照组仅见软组织形成。
2.3 X线表现
3个月 复合骨表现为阻射影,内有纹理,表面可见大片的、密度略低的阻射影,复合骨与种植体间有透光影,珊瑚与胶原复合物,阻射影,内有纹理,与种植体间可见透光影;单纯珊瑚表现为阻射影,少见纹理,表面密度低于近骨床侧,与种植体间有透光影;自体骨与骨床已融合,密度一致,与种植体间无透光影。
, http://www.100md.com
4个半月 各植入物均表现为阻射影,纹理少见,与骨床间界限不明显,与种植体间无透光影,自体骨密度略高于其他组。
图2 复合骨植入3个月,复合骨已转化为骨组织(HE ×4)
Fig. 2 Composite bone was turned to bone tissue after 3 months of implantation(HE ×4)
图3 自体骨植入3个月, 移植骨和骨床与种植体间均是骨界面(HE ×4)
Fig. 3 The bone interface was seen among bone graft, bone bed and implant (HE ×4)
, http://www.100md.com
图4 珊瑚植入3个月,珊瑚已转化为骨组织,成骨量少,与骨床和种植体间均是骨界面(HE ×10)
Fig. 4 Coral was turned to bone tissue with less osteogenesis, and the bone interface was seen among coral, bone bed and implant (HE ×10)
3 讨论
颌面部因外伤、肿瘤等原因造成较大的硬、软组织复合缺损,目前主要采用自体组织移植的方法修复。由于颌面部腔窦多,易感染,形状复杂等解剖特点,供区存在组织量有限和移植组织形状不合要求等问题,常常难以达到满意的外形和功能修复效果。
3.1 体内预制骨瓣
近年来,许多学者尝试运用组织工程学技术,在体内或体外预制符合缺损区外形、结构和功能要求的、可移植的复合瓣,用以修复复合缺损。有学者已在临床应用预制的方法修复复杂的面中部缺损,Vinzenz等[2]利用肩胛骨瓣修复重建4例上颌骨和面中部缺损。他们应用三维CT检查方法,全面考虑相关的解剖和功能因素,精确设计,第一次手术按需要修整肩胛骨,预制一定形状的肩胛骨瓣,植入种植体,采用膜材料包裹肩胛骨瓣。3个月后移植时骨瓣具有需要的形状,表面有粘膜覆盖,种植体周围有稳定的硬软组织。术后很快可作义齿修复,达到功能和外形的恢复。我们在实验中,将珊瑚加工成一定形状后,与胶原和rhBMP-2复合,植于髂骨区,同时植入钛种植体, 结果是改变了狗髂骨的形状,复合骨完全被新骨组织取代,新骨与钛种植体之间是骨性界面,将狗髂骨预制成具有一定形状和结构的骨瓣,可移植修复上、下颌骨缺损,并能较快的恢复咀嚼功能。Vinzenz等[2]所采用方法,通过移植自体骨改变肩胛骨的形状。应用rhBMP-2、胶原、珊瑚复合骨作为自体骨的代用品,可取得制成具有一定形状和结构的骨瓣的同样结果,避免切取自体骨的手术。另外,髂骨区肌组织丰富,血运好, 利于复合骨发挥骨诱导和骨引导作用,成骨速度快,成骨量较大,弥补单纯珊瑚吸收过快的不足。
, http://www.100md.com
3.2 应用骨形态发生蛋白预制骨瓣
随着生长因子方面研究的进展,利用骨特异生长因子在体内骨骼区以外的部位诱导骨组织形成[3],使其带有血管蒂和一定形状,用来修复骨缺损。Khouri等[4]将大鼠股内收肌解剖、游离,保留血管蒂,放入两瓣型硅橡胶模型中,肌组织中注射,用脱钙骨基质包裹肌组织,关闭模型。10天后模型中的肌组织转变为带血管蒂的形状类似股骨头的骨块。对照组不注射骨形态发生蛋白(bone morph ogenetic protein,BMP)和放置脱钙骨基质,结果无骨形成。利用这种方法,获得了特定形状的血管化自体骨。Fayad等[5]在大鼠股内收肌瓣中植入BMP-3和脱钙骨基质,用该包裹类似气管形状的硅酮,2周取材,肌组织瓣由在其中形成的环形骨支撑,内表面为纤维组织构成的光滑衬里。这一结构,形成带血管蒂的、预先制备的、类似气管结构的复合组织瓣,可用以转移修复气管的缺损。Kuriloff等[6]用同样的方法,植入胶原纤维丝和BMP-3,3周取材,同样获得类似气管结构的血管化复合瓣。珊瑚是一种生物相容性很好的骨代用品,可加工成任何所需的形状,利用这一特性,将珊瑚加工成一定形状后,与胶原、rhBMP-2复合,制成具有诱导骨形成能力的复合骨,植于体内,预制成一定形状的骨块,这一方法,避免手术切取自体骨, 且能满足所需形状的要求。
, http://www.100md.com
我们初步探讨了应用珊瑚、rhBMP-2和胶原复合骨预制具有一定形状和结构的骨组织瓣的可行性,但许多方面仍需深入研究,如预制组织瓣后,移植修复骨缺损,并逐步与临床应用结合,是今后研究的方向。预制组织瓣,是修复重建外科的研究新课题,无论通过体内或体外的方法预制复合组织瓣,以达到在外形、功能和结构三方面均满意的修复结果,是今后修复的趋势。
参考文献:
[1]刘宝林,希扬,余绍明,等.下颌骨的功能整复-骨移植、牙种植体的临床应用.实用口腔医学杂志.1993;9(4):266
[2]Vinzenz KG,Holle J,Wuringer E,et al.Prefabrication of combined scapula flaps for microsurgical reconstruction in oro-maxillofacial defects:A new method.J Craniomaxillofac Surg,1996;24(4):214
, 百拇医药
[3]张森林,孟昭业,毛天球.珊瑚复合人工骨骨诱导活性的实验研究.中国修复重建外科杂志,1999;13(3):141
[4]Khouri RK,Koudsi B,Reddi H.Tissue transformation into bone in vivo.J Amenican Med Association,1991;266(14):1 953
[5]Fayad JN,Kuriloff DB.Prefabricated microvascular autograft in tracheal reconstruction.Otolaryngol Head Neck Surg,1994;111(4):396
[6]Kuriloff DB,Fayad DB.Tracheal autograft prefabrication using microfibrillar collagen and bone morphogenetic protein. Archives of Otolaryngology Head & Neck Surgery,1996;122(12):1 385
收稿日期:1998-10-12
修改日期:1999-02-03, 百拇医药