小脑幕切迹疝CT表现
作者:雷剑 蒋海清 田云生
单位:江西省赣州地区人民医院CT室,江西 赣州 341000
关键词:脑疝;小脑疾病;体层摄影术;X线计算机
中国临床医学影像杂志000203
[摘要]目的:提高对小脑幕切迹疝CT表现及解剖学基础的认识。材料和方法:对临床证实为小脑幕切迹疝93例及对照组100例进行CT扫描,观察鞍上池、环池、四叠体及中脑的变化;测量中线结构移位数据。结果:小脑幕切迹疝CT表现为鞍上池缩小变形或闭塞(78/93),环池一侧闭塞或完全闭塞(71/93),四叠体闭塞(36/93),中脑变形和偏移(69/93)。73例表现2个以上脑池闭塞,中脑变形偏移均合并多脑池闭塞或环池闭塞。中线结构移位超过15mm(58/93),认为是小脑幕切迹疝的间接CT表现。结论:小脑幕切迹疝CT表现有一定特征性,CT扫描有助于明确脑疝的病因及幕上病变部位。
, 百拇医药
[中图分类号]R814.42;R742.8+2 [文献标识码]A [文章编号]1008-1062(2000)02-0084-03
CT findings of tentorium hernia
LEI Jian,JIANG Hai-qing,TIAN Yun-sheng
Department of CT,Region Peoples-Hospital,Ganzhou Jiangxi 341000,China
Abstract:Objective:To improve the knowledge of CT findings of tentorium hernia and anatomy base Materials and Methods:CT scans were done in 93 cases after clinically proved and 100 control group.Observations were made about the charges of suprasellal cistern,ambient cistern,copora quadrigemina cistern,midbrain;measurements were taken about the date of displacement of the midline structure.Results:The CT manifestations of tentorium hernia were the shrinking,displacement or obliterating of suprasellal cistern(78/ 93);the obliterating side or whole of ambient cistern(71/93);the obliterating of corpora quadrigemina(36/ 93);the shrinking and displacement of midbrain (69/93).73 cases were the obliterating 2 or more brain cistern,the deforming and displacement of midbrain or/and the obliterating of multibrain cistern or ambient cistern.The displacement of the midline beyond 15mm(58/93)is considered as indirect manifestation of tentorium hernia.Conclusions:The CT findings of tentorium hernia has a certain characteristic.And CT scans are helpful to make sure the cause of brain hernia and the position of pathological changes on tentorium.
, 百拇医药
Key words:encephalocele;cerebellar diseases;tomography,X- ray computed
小脑幕切迹疝(下疝)是临床最常见的脑疝,但有关CT表现报道较少,尚未见详尽描述及分析,本文收集我院6年临床证实为小脑幕切迹疝(下疝)经CT扫描的93例病例,着重进行CT表现及其解剖学基础方面讨论。
1材料与方法
1.1脑疝组
93例均已被临床证实为小脑幕切迹疝(下疝),均有瞳孔、意识、偏瘫及生命体征等临床特征表现。本组年龄19~68岁,平均年龄41.3岁,男性58例,女性35例,病因为颅脑外伤57例,脑溢血27例,大面积脑梗塞9例,93例均为幕上病变。
1.2对照组
, http://www.100md.com
100例均从临床无脑疝表现的颅脑外伤、脑溢血、大面积脑梗塞病例中随机抽取,本组年龄22~75岁,平均年龄46.5岁,男性65例,女性35例,颅脑外伤60例,脑溢血30例,脑梗塞10例。
1.3CT扫描方法
CT为岛津4500TE,扫描时间2.8s,层厚10mm,OM线为扫描基线,层面为10层,均为平扫。
1.4小脑幕切迹疝CT观察项目
脑池改变情况,主要观察鞍上池、环池、四叠体池的闭塞、变形。
中脑情况:变形、移位。
中线结构移位测量:中线结构以大脑镰、纵裂池、三脑室、透明隔移位为测量标志,额骨、顶枕骨正中部骨嵴连线为测量基线。
, 百拇医药
2结果
脑疝组鞍上池变形缩小或闭塞78例(83.8%);环池一侧闭塞或完全闭塞71例(76.3%),四叠体池闭塞36例(38.7%),中脑变形偏移69例(74.2%)。对照组鞍上池缩小变窄12例(12%),环池一侧变窄3例(3%),四叠体池变窄2例(2%);对照组无一例出现中脑变形偏移。两组之间脑池改变有显著差异(P<0.005),脑疝组所表现中脑变形偏移具有特征性。脑疝组中线结构移位超过10mm有87例(93.5%),其中58例移位超过15mm(63%);对照组中线结构移位超过10mm有45例(45%),但移位超过15mm仅3例(3%),两组之间中线结构移位超过10mm,存在明显差异(P<0.01),中线结构移位超过15mm脑疝组具有显著意义(P<0.005)。
脑疝组三种疾病之间,出现中线结构移位、脑池改变、中脑异常均无明显差异(P>0.05)。
3讨论
, 百拇医药
3.1小脑幕切迹疝CT表现的解剖学基础
小脑幕前内侧缘游呈现“U”形,向前附于后床突,与鞍背之间围成一孔,称为幕切迹(幕孔),中脑在此孔通过,小脑幕切迹与中脑之间的空隙称为幕切迹间隙,内有脑池环绕,前方有鞍上池,后方为四叠体池,两侧为环池[1]。小脑幕切迹上缘有颞叶海马回钩和海马回(并向内稍突出超过此缘2~4mm,颞叶海马回钩,海马回的内侧部从外向内稍突入鞍上池(脚间池),海马回从上方稍向环池内突入,海马回后部及部分枕叶与四叠体池邻近[2],当幕上压力增高时海马回钩或海马回极易挤入幕孔内形成脑疝[3],疝入的海马回钩或海马回位于幕孔脑池内,并压迫中脑使之变形移位,同时压迫脑池内神经血管引起系列临床症状,幕下疝临床上也称之为海马钩回疝[4],CT上随之表现脑池的缩小变形、闭塞及中脑改变。
3.2小脑幕切迹疝CT表现
, 百拇医药
3.2.1鞍上池改变
鞍上池较为宽大,部分小脑幕切迹疝表现为变形缩小未完全闭塞,海马钩回疝入较完全时表现为完全闭塞。单独出现鞍上池缩小或闭塞16例(17.2%),主要病变发生在额叶或基底节区病变。
3.2.2环池改变
环池主要表现为一侧闭塞或完全闭塞,常伴有中脑一侧偏移,横径变窄。单独出现环池改变仅4例(4.3%),主要病变发生一侧颞叶,而其它部位无病灶。
3.2.3鞍上池与环池同时闭塞
此表现最常见,为37例(39.8%),鞍上池与环池均闭塞较完全,主要病变位于额叶和颞叶,同时有较大病灶存在;额叶或颞叶伴有基底节病灶,也常伴有中脑异常。
3.2.4环池与四叠体池同时闭塞
, http://www.100md.com
此表现有11例(11.8%),主要病变发生在颞顶叶、颞枕叶、也伴有中脑改变。
3.2.5鞍上池与四叠体池同时闭塞
6例(6.4%),主要病变发生于额顶叶或额叶及顶枕叶,而颞叶无病灶,本文资料尚未见单纯表现为四叠体池闭塞的病例,可能与本组尚未收集单独枕叶病变的病例有关。
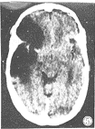
图1左额部硬膜外血肿,鞍上池闭塞,中脑之大脑脚受压变形,中线结构向右移位12mm。
图2与图1同一病例,术后脑池形态结构正常,中脑形态正常。

, 百拇医药
图3,4左额颞部亚急性硬膜下血肿,鞍上池与环池同时闭塞,中脑变形并右偏;中线结构向右移位16mm。
图5右额颞叶大面积脑梗塞,鞍上池闭塞,中脑之大脑脚影消失,四叠体池清晰。
图6右基底节区巨大血肿,鞍上池、环池及四叠体池同时闭塞,中脑严重变形及偏移。
图7与图6同一病例,术后鞍上池、环池及四叠体池均清晰,中脑形态正常。
表1 脑疝组和对照组的CT表现 CT表现
, http://www.100md.com 脑疝组(93例)
对照组(100例)
脑外伤(57)
脑溢血(27)
脑梗塞(9)
脑外伤(60)
脑溢血(30)
脑梗塞(10)
鞍上池缩小变形或闭塞
51
20
7
, 百拇医药 7△
4△
1△
环池闭塞成-侧闭塞
48
19
4
2△
1△
0
四叠体池闭塞或变窄
18
, http://www.100md.com
15
3
1△
1△
中脑变形或偏移
39
24
6
0
0
0
中线结构称位>100mm
52
, http://www.100md.com
26
9
25
19
1
中线结构移位>15mm
33
19
6
2
1
0
3.2.6鞍上池、环池、四叠体池均闭塞
, 百拇医药
19例(20.4%),各脑池均闭塞,中脑呈密度减低或严重变形,低密度改变可能与脑池基底动脉受压使中脑缺血有关。主要病变发生于一侧半球巨大血肿,出血量100ml以上,或两侧大脑半球广泛挫伤,同时注意到6例无中线移位的病例均属此类。
3.2.7中脑改变
69例(74.2%),主要表现为变形、偏移、部分病例表现密度减低,变形偏移往往与多个脑池闭塞同时出现,中脑密度减低往往是病情严重的表现,预后差,理论上小脑幕切迹疝中脑均受压迫,而本组93例中69例出现了中脑影像学改变,尚有24例无中脑改变,笔者分析有以下因素:①脑疝早期压迫动眼神经等,出现瞳孔系列脑疝临床症状,尚未压迫中脑;②脑疝组均为急诊病例未做薄层扫描,轻度异常改变不易发现;③中脑密度异常为血管受压迫所致,因病程时间短,尚未出现密度改变。
3.2.8术后观察脑池及中脑情况
, 百拇医药
11例术后脑疝症状消失或明显改善的病人进行了CT复查,CT显示鞍上池、环池、四叠体池均清晰,中脑无变形偏移,从而证实小脑幕切迹疝与脑池及中脑改变之间的密切相关性。
3.2.9中线结构移位
中线结构移位是衡量颅内压增高的一个重要客观指标,也是小脑幕切迹疝的一个重要间接征象,移位超过15mm时有显著意义。移位的程度与颅内压增高成正比,对于脑疝的发生、脑疝程度的判断以及预后的评估方面有其重要作用。同时也注意到当两侧大脑半球病变较广泛时,中线结构移位并非伴随脑池改变同时出现。
雷剑:江西省赣州地区人民医院C室主治医师
〔参考文献〕
〔1〕张为龙,钟世镇.临床解剖学丛书(头颈部分册).第1版.北京:人民卫生出版社,1988,77~78.
〔2〕王笑中,焦守恕.神经系统疾病症候学.第1版.北京:人民卫生出版社,1979,215~228.
〔3〕郑思竞,何维为,张培林.人体解剖学.第2版.北京:人民卫生出版社,1988,416.
〔4〕王根本,金保纯,戴和璧.临床解剖学.第1版.北京:人民卫生出版社,1988,374.
(1999-06-24收稿), http://www.100md.com
单位:江西省赣州地区人民医院CT室,江西 赣州 341000
关键词:脑疝;小脑疾病;体层摄影术;X线计算机
中国临床医学影像杂志000203
[摘要]目的:提高对小脑幕切迹疝CT表现及解剖学基础的认识。材料和方法:对临床证实为小脑幕切迹疝93例及对照组100例进行CT扫描,观察鞍上池、环池、四叠体及中脑的变化;测量中线结构移位数据。结果:小脑幕切迹疝CT表现为鞍上池缩小变形或闭塞(78/93),环池一侧闭塞或完全闭塞(71/93),四叠体闭塞(36/93),中脑变形和偏移(69/93)。73例表现2个以上脑池闭塞,中脑变形偏移均合并多脑池闭塞或环池闭塞。中线结构移位超过15mm(58/93),认为是小脑幕切迹疝的间接CT表现。结论:小脑幕切迹疝CT表现有一定特征性,CT扫描有助于明确脑疝的病因及幕上病变部位。
, 百拇医药
[中图分类号]R814.42;R742.8+2 [文献标识码]A [文章编号]1008-1062(2000)02-0084-03
CT findings of tentorium hernia
LEI Jian,JIANG Hai-qing,TIAN Yun-sheng
Department of CT,Region Peoples-Hospital,Ganzhou Jiangxi 341000,China
Abstract:Objective:To improve the knowledge of CT findings of tentorium hernia and anatomy base Materials and Methods:CT scans were done in 93 cases after clinically proved and 100 control group.Observations were made about the charges of suprasellal cistern,ambient cistern,copora quadrigemina cistern,midbrain;measurements were taken about the date of displacement of the midline structure.Results:The CT manifestations of tentorium hernia were the shrinking,displacement or obliterating of suprasellal cistern(78/ 93);the obliterating side or whole of ambient cistern(71/93);the obliterating of corpora quadrigemina(36/ 93);the shrinking and displacement of midbrain (69/93).73 cases were the obliterating 2 or more brain cistern,the deforming and displacement of midbrain or/and the obliterating of multibrain cistern or ambient cistern.The displacement of the midline beyond 15mm(58/93)is considered as indirect manifestation of tentorium hernia.Conclusions:The CT findings of tentorium hernia has a certain characteristic.And CT scans are helpful to make sure the cause of brain hernia and the position of pathological changes on tentorium.
, 百拇医药
Key words:encephalocele;cerebellar diseases;tomography,X- ray computed
小脑幕切迹疝(下疝)是临床最常见的脑疝,但有关CT表现报道较少,尚未见详尽描述及分析,本文收集我院6年临床证实为小脑幕切迹疝(下疝)经CT扫描的93例病例,着重进行CT表现及其解剖学基础方面讨论。
1材料与方法
1.1脑疝组
93例均已被临床证实为小脑幕切迹疝(下疝),均有瞳孔、意识、偏瘫及生命体征等临床特征表现。本组年龄19~68岁,平均年龄41.3岁,男性58例,女性35例,病因为颅脑外伤57例,脑溢血27例,大面积脑梗塞9例,93例均为幕上病变。
1.2对照组
, http://www.100md.com
100例均从临床无脑疝表现的颅脑外伤、脑溢血、大面积脑梗塞病例中随机抽取,本组年龄22~75岁,平均年龄46.5岁,男性65例,女性35例,颅脑外伤60例,脑溢血30例,脑梗塞10例。
1.3CT扫描方法
CT为岛津4500TE,扫描时间2.8s,层厚10mm,OM线为扫描基线,层面为10层,均为平扫。
1.4小脑幕切迹疝CT观察项目
脑池改变情况,主要观察鞍上池、环池、四叠体池的闭塞、变形。
中脑情况:变形、移位。
中线结构移位测量:中线结构以大脑镰、纵裂池、三脑室、透明隔移位为测量标志,额骨、顶枕骨正中部骨嵴连线为测量基线。
, 百拇医药
2结果
脑疝组鞍上池变形缩小或闭塞78例(83.8%);环池一侧闭塞或完全闭塞71例(76.3%),四叠体池闭塞36例(38.7%),中脑变形偏移69例(74.2%)。对照组鞍上池缩小变窄12例(12%),环池一侧变窄3例(3%),四叠体池变窄2例(2%);对照组无一例出现中脑变形偏移。两组之间脑池改变有显著差异(P<0.005),脑疝组所表现中脑变形偏移具有特征性。脑疝组中线结构移位超过10mm有87例(93.5%),其中58例移位超过15mm(63%);对照组中线结构移位超过10mm有45例(45%),但移位超过15mm仅3例(3%),两组之间中线结构移位超过10mm,存在明显差异(P<0.01),中线结构移位超过15mm脑疝组具有显著意义(P<0.005)。
脑疝组三种疾病之间,出现中线结构移位、脑池改变、中脑异常均无明显差异(P>0.05)。
3讨论
, 百拇医药
3.1小脑幕切迹疝CT表现的解剖学基础
小脑幕前内侧缘游呈现“U”形,向前附于后床突,与鞍背之间围成一孔,称为幕切迹(幕孔),中脑在此孔通过,小脑幕切迹与中脑之间的空隙称为幕切迹间隙,内有脑池环绕,前方有鞍上池,后方为四叠体池,两侧为环池[1]。小脑幕切迹上缘有颞叶海马回钩和海马回(并向内稍突出超过此缘2~4mm,颞叶海马回钩,海马回的内侧部从外向内稍突入鞍上池(脚间池),海马回从上方稍向环池内突入,海马回后部及部分枕叶与四叠体池邻近[2],当幕上压力增高时海马回钩或海马回极易挤入幕孔内形成脑疝[3],疝入的海马回钩或海马回位于幕孔脑池内,并压迫中脑使之变形移位,同时压迫脑池内神经血管引起系列临床症状,幕下疝临床上也称之为海马钩回疝[4],CT上随之表现脑池的缩小变形、闭塞及中脑改变。
3.2小脑幕切迹疝CT表现
, 百拇医药
3.2.1鞍上池改变
鞍上池较为宽大,部分小脑幕切迹疝表现为变形缩小未完全闭塞,海马钩回疝入较完全时表现为完全闭塞。单独出现鞍上池缩小或闭塞16例(17.2%),主要病变发生在额叶或基底节区病变。
3.2.2环池改变
环池主要表现为一侧闭塞或完全闭塞,常伴有中脑一侧偏移,横径变窄。单独出现环池改变仅4例(4.3%),主要病变发生一侧颞叶,而其它部位无病灶。
3.2.3鞍上池与环池同时闭塞
此表现最常见,为37例(39.8%),鞍上池与环池均闭塞较完全,主要病变位于额叶和颞叶,同时有较大病灶存在;额叶或颞叶伴有基底节病灶,也常伴有中脑异常。
3.2.4环池与四叠体池同时闭塞
, http://www.100md.com
此表现有11例(11.8%),主要病变发生在颞顶叶、颞枕叶、也伴有中脑改变。
3.2.5鞍上池与四叠体池同时闭塞
6例(6.4%),主要病变发生于额顶叶或额叶及顶枕叶,而颞叶无病灶,本文资料尚未见单纯表现为四叠体池闭塞的病例,可能与本组尚未收集单独枕叶病变的病例有关。
图1左额部硬膜外血肿,鞍上池闭塞,中脑之大脑脚受压变形,中线结构向右移位12mm。
图2与图1同一病例,术后脑池形态结构正常,中脑形态正常。
, 百拇医药
图3,4左额颞部亚急性硬膜下血肿,鞍上池与环池同时闭塞,中脑变形并右偏;中线结构向右移位16mm。
图5右额颞叶大面积脑梗塞,鞍上池闭塞,中脑之大脑脚影消失,四叠体池清晰。
图6右基底节区巨大血肿,鞍上池、环池及四叠体池同时闭塞,中脑严重变形及偏移。
图7与图6同一病例,术后鞍上池、环池及四叠体池均清晰,中脑形态正常。
表1 脑疝组和对照组的CT表现 CT表现
, http://www.100md.com 脑疝组(93例)
对照组(100例)
脑外伤(57)
脑溢血(27)
脑梗塞(9)
脑外伤(60)
脑溢血(30)
脑梗塞(10)
鞍上池缩小变形或闭塞
51
20
7
, 百拇医药 7△
4△
1△
环池闭塞成-侧闭塞
48
19
4
2△
1△
0
四叠体池闭塞或变窄
18
, http://www.100md.com
15
3
1△
1△
中脑变形或偏移
39
24
6
0
0
0
中线结构称位>100mm
52
, http://www.100md.com
26
9
25
19
1
中线结构移位>15mm
33
19
6
2
1
0
3.2.6鞍上池、环池、四叠体池均闭塞
, 百拇医药
19例(20.4%),各脑池均闭塞,中脑呈密度减低或严重变形,低密度改变可能与脑池基底动脉受压使中脑缺血有关。主要病变发生于一侧半球巨大血肿,出血量100ml以上,或两侧大脑半球广泛挫伤,同时注意到6例无中线移位的病例均属此类。
3.2.7中脑改变
69例(74.2%),主要表现为变形、偏移、部分病例表现密度减低,变形偏移往往与多个脑池闭塞同时出现,中脑密度减低往往是病情严重的表现,预后差,理论上小脑幕切迹疝中脑均受压迫,而本组93例中69例出现了中脑影像学改变,尚有24例无中脑改变,笔者分析有以下因素:①脑疝早期压迫动眼神经等,出现瞳孔系列脑疝临床症状,尚未压迫中脑;②脑疝组均为急诊病例未做薄层扫描,轻度异常改变不易发现;③中脑密度异常为血管受压迫所致,因病程时间短,尚未出现密度改变。
3.2.8术后观察脑池及中脑情况
, 百拇医药
11例术后脑疝症状消失或明显改善的病人进行了CT复查,CT显示鞍上池、环池、四叠体池均清晰,中脑无变形偏移,从而证实小脑幕切迹疝与脑池及中脑改变之间的密切相关性。
3.2.9中线结构移位
中线结构移位是衡量颅内压增高的一个重要客观指标,也是小脑幕切迹疝的一个重要间接征象,移位超过15mm时有显著意义。移位的程度与颅内压增高成正比,对于脑疝的发生、脑疝程度的判断以及预后的评估方面有其重要作用。同时也注意到当两侧大脑半球病变较广泛时,中线结构移位并非伴随脑池改变同时出现。
雷剑:江西省赣州地区人民医院C室主治医师
〔参考文献〕
〔1〕张为龙,钟世镇.临床解剖学丛书(头颈部分册).第1版.北京:人民卫生出版社,1988,77~78.
〔2〕王笑中,焦守恕.神经系统疾病症候学.第1版.北京:人民卫生出版社,1979,215~228.
〔3〕郑思竞,何维为,张培林.人体解剖学.第2版.北京:人民卫生出版社,1988,416.
〔4〕王根本,金保纯,戴和璧.临床解剖学.第1版.北京:人民卫生出版社,1988,374.
(1999-06-24收稿), http://www.100md.com