卡氏肺孢子虫肺炎肺表面活性蛋白A和D的变化
作者:瞿介明 容朝晖 何礼贤
单位:200032 上海医科大学呼吸病研究所,上海医科大学中山医院肺科
关键词:卡氏肺孢子虫肺炎;支气管肺泡灌洗液;表面活性蛋白A、D
中华传染病杂志000205 【摘要】 目的 研究卡氏肺孢子虫肺炎(PCP)引起的肺泡表面活性蛋白A和D(SP-A、SP-D)的变化,以探讨其在PCP发病机制中的作用和治疗中的意义。方法 采用清洁级SD大鼠每周2次皮下注射醋酸可的松方法建立PCP模型为实验组,并设正常对照组,阴性对照组,细菌性肺炎组。8~12周分批处死动物,收集支气管肺泡灌洗液(BALF),细胞计数分类;采用免疫斑点法测定BALF中SP-A、SP-D含量。结果 根据实验设计和所诱导模型分组,A组:正常对照组,n=6,健康SD大鼠;B组:阴性对照组,n=6,使用醋酸可的松(CA)8周以上未发生肺部感染的大鼠;C组:细菌性肺炎组,n=11,CA诱导8周以上发生细菌性肺炎而无其他肺部感染;D组:PCP组,n=14,CA诱导8周以上出现PCP而无其他肺部感染。BALF中SP-A含量在PCP为(45.1±22.1)μg/ml,明显高于阴性对照组的(16.2±9.9)μg/ml和细菌性肺炎组的(16.2±5.6)μg/ml(P<0.05),同样SP-D相对含量(24 249±4 780灰度值)明显高于细菌性肺炎组(11 989±2 750灰度值)和阴性对照组(13 384±2 887灰度值)(P<0.001)。结论 PCP引起肺表面活性蛋白A和D的显著升高,且该变化较细菌性肺炎明显,应在PCP的防治中引起重视。
, 百拇医药
Alteration of surfactant protein A and D in bronchoalveolar lavage fluid in rats with pneumocystis carinii pneumonia
QU Jieming, RONG Zhaohui, HE Lixian
(Department of Pulmonary Medicine, Zhongshan Hospital, Institute of Respiratory Diseases, Shanghai Medical University, Shanghai 200032, China)
【Abstract】 Objective To study the alteration of surfactant protein A and D (SP-A, SP-D) resulting from pneumocystis carinii pneumonia (PCP) and investigate its implication in the pathogenesis of PCP. Methods SD rat models of PCP were induced by subcutaneous injection of 25 mg cortisone acetate, normal control and negative control as well as bacterial pneumonia group were set up for comparison. During 8~12 weeks, bronchoalveolar lavage fluid (BALF) of rats was collected. Total nucleate cells of BALF were counted and differentiated as well as the concentrations of surfactant protein A (SP-A) and surfactant protein D (SP-D) were measured by immunoblotting assay. Results The rats were divided into three immunosuppressive groups, plus a normal control group. Group A: normal control (n=6) consisted of healthy SD rats; group B: negative control (n=6) employed rats with cortisone acetate injection over 8 weeks without lung infection; group C: bacterial pneumonia (n=11), rats were injected with cortisone acetate over 8 weeks and resulted in bacterial pneumonia without other pathogens isolated; group D (n=14): rats were injected with cortisone acetate during 8~12 weeks and resulted in PCP without other pathogens isolated. During PCP infection, the total cell counts and the percentage of polymorphonuclears (PMNs) in BALF were significantly increased (P<0.01), but were lower than those in the bacterial pneumonia group. The concentration of SP-A of BALF in PCP (45.1 μg/ml±22.1 μg/ml) was significantly increased in comparison with that in negative control group (16.2 μg/ml±9.9 μg/ml, P<0.05) and that in bacterial pneumonia group (6.2 μg/ml±5.6 μg/ml, P<0.001). We also found that the relative content of SP-D was significantly higher in PCP (24 249±4 780 grey values) than that in both negative control (13 384±2 887 grey values, P<0.001) and bacterial pneumonia group (11 989±2 750 grey values, P<0.001). SP-A and SP-D were also higher in moderate to severe group of PCP than those seen in mild group (P<0.01, P<0.001). Conclusion There was obvious increase of SP-A and SP-D in PCP rats, and particularly, the change of which was greater than that in bacterial pneumonia. Therefore, the alteration of SP-A and SP-D may be of implication in the prevention and management of PCP.
, 百拇医药
【Key words】Pneumocystis carinii pneumonia; Bronchoalveolar lavage fluids; Surfactant protein A, D
卡氏肺孢子虫肺炎(PCP)是艾滋病(AIDS)等免疫损害宿主最常见的呼吸系统感染性疾病[1],卡氏肺孢子虫(PC)进入肺泡腔与肺泡上皮相互作用,导致肺泡表面衬层发生改变,肺泡腔内充满大量渗出物。表面活性蛋白A和D(Surfactant Protein A、D;SP-A、SP-D)是肺泡腔内大量渗出物中主要的成分之一。SP-A、SP-D是结构相似的糖蛋白,由肺泡clara细胞及Ⅱ型上皮细胞合成分泌,在调节表面活性磷脂代谢及肺防御功能方面起重要作用。近年来有部分研究发现AIDS合并PCP时肺内SP-A、SP-D水平增高。我们应用醋酸可的松(Cortisone Acetate, CA)诱导SD大鼠建立PCP动物模型,研究SP-A、SP-D的变化,并与CA诱导的免疫抑制大鼠的细菌性肺炎、阴性对照组及正常对照比较,以探讨SP-A、SP-D在PCP发病机制中的作用及治疗中的意义。
, 百拇医药
材料和方法
一、PCP动物模型的建立
清洁级雄性SD大鼠(由上海医科大学实验动物部提供)50只,体重180~220 g。每2~3只置于1只鼠笼。饲养于空气层流室,室温20~24℃,环境清洁,鼠笼及垫料定期更换、消毒。喂正常饲料,饮含0.5 g/L盐酸四环素的冷开水,自由摄食和饮水。每周2次皮下注射醋酸可的松25 mg造成免疫抑制状态。喂养过程中死亡鼠去除,共8~12周。
二、支气管肺泡灌洗(BAL)方法
腹腔内注射1%戊巴比妥钠40 mg/kg麻醉动物后,固定,置于超净工作台内。用新洁尔灭消毒颈胸部,铺无菌洞巾。抽尽心脏血使动物死亡。无菌条件下进行气管插管,用20 cm H2O压力将8 ml无菌生理盐水灌入单侧肺内,然后回收获取支气管肺泡灌洗液(BALF)。
, 百拇医药
三、标本制备
取BALF及少许肺组织作细菌培养。取病变较明显的肺组织制成肺印片,自然干燥后用甲醇固定,行姬姆萨(Giemsa)染色查找PC虫体。未行肺泡灌洗的另一侧肺组织浸入10%福尔马林缓冲液中固定,石蜡包埋、切片,作HE染色观察病理改变及哥氏银(Grocott-Gomori)染色查找PC虫体。
四、BALF的处理
(一) 细胞计数 第一管BALF 2 000 r/min离心15 min,沉渣中加0.7 ml生理盐水稀释混匀,取1滴,加白细胞稀释液9滴,混匀,在普通显微镜下计数白细胞。用公式:白细胞数/L=四大格总数/4×10×106/L,计算出白细胞浓度。
(二) 离心涂片 分别取BALF沉渣稀释液2滴,用离心涂片机(LTP-A型,中国军事科学院实验仪器厂生产)涂片,自然干燥后用甲醇固定,分别予以瑞氏染色作白细胞分类及Giemsa染色找PC虫体。
, 百拇医药
(三) BALF储存 取离心后的BALF上清液,分装于4只小冻存管,-20℃冻存待测。
五、染色方法
Giemsa染色及哥氏银染色按实验室常规技术程序操作。
六、诊断标准
(一) PCP 具备下列条件之一者:(1) BALF沉渣离心涂片或肺组织印片Giemsa染色,光镜下见PC虫体(滋养体及囊内小体);(2) 肺组织石蜡切片哥氏银染色见PC包囊。根据国际常用的随机计数高倍视野每100个肺泡中受PC累及的肺泡数区分PCP的严重程度[2],即以≥25个肺泡受累及/100肺泡者为中重度PCP,<25个肺泡受累及/100肺泡者为轻度PCP。
(二) 细菌性肺炎 同时具备下列2条:(1) BALF或肺组织细菌培养阳性;(2) 肺组织石蜡切片HE染色见炎症改变。
, http://www.100md.com
(三) 无肺部感染 同时排除以上2种情况,且BALF沉渣涂片光镜下检查未发现真菌及其它病原体,肺组织石蜡切片HE染色示肺组织正常。
七、实验动物分组
实验中死亡鼠除外,根据实验结果去除不满足下述各组条件的动物,将剩余动物分成3组;另用6只清洁级雄性SD大鼠(体重200 g±)作为正常对照组。A组:正常对照组,6只。B组:阴性对照组,6只,CA诱导8周以上无肺部感染。C组:细菌性肺炎组,11只,CA诱导8周以上出现细菌性肺炎,而无其他肺部感染。D组:PCP组,14只,CA诱导8周以上出现PCP,而无其他肺部感染。
八、表面活性蛋白A、D的测定方法
SP-A含量测定采用免疫斑点法[3]。将标本及标准品通过斑点吸引装置点在硝酸纤维素膜(NC)上,按0.1 ml/cm2 NC加入杂交液(0.2 mol PBS,5%脱脂奶粉),室温摇动1 h,加入SP-A抗体(SP-A抗体及SP-A标准品由上海医科大学儿科研究所制备),于4℃过夜。然后用含Tween-20的0.2 mol PBS(pH 7.2)摇洗10 min 3次,0.05 mol Tris-HCl (pH 7.5)摇洗10 min。用含5%脱脂奶粉的Tris-HCl封闭,加二抗(羊抗兔IgG),室温摇动1 h,再用Tris-HCl摇洗10 min 4次,加显色液(NBT,BCIP),显色满意后用EDTA终止反应。用MAIS300图像分析系统进行图像处理。根据标准曲线计算SP-A值。
, 百拇医药
SP-D含量测定方法同SP-A,兔抗鼠SP-D抗体为美国Cincinnati大学医学院肺内科Frank McCormack博士所赠,无SP-D标准品,仅计算其相对值。
九、统计分析
组间均数比较采用t检验。
结果
一、PCP病理形态学所见
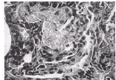
病理切片HE染色见肺泡间隔增宽,纤维母细胞增生,间质及肺泡内炎性细胞浸润,广泛纤维化,肺泡腔内大量嗜伊红色泡沫状渗出物(图1);银染见肺泡内聚集的PC虫体(图2)。
二、BALF中炎性细胞分析
阴性对照组免疫抑制大鼠BALF中白细胞总数较正常对照组明显减少(P<0.001),细胞分类无变化。PCP时BALF中白细胞总数增加(P<0.01),中性粒细胞及淋巴细胞比例增加(P<0.01),细菌性肺炎组细胞总数及中性粒细胞数均较PCP组增加明显(表1)。
, 百拇医药
表1 BALF中白细胞总数及分类 组别
细胞总数
(×106/L)
细胞分类(%)
巨噬
多形核
淋巴
A组
16.0±2.6
92±1.4
1.3±1.2
7.0±0.9
, http://www.100md.com
B组
2.9±1.3*
90.5±4.5
1.7±1.6
7.8±3.5
C组
13.9±6.6#
60.0±6.5
33.1±7.2#
6.2±2.3
D组
6.9±2.6#**
, 百拇医药
70.3±7.7
18.6±6.0#**
11.1±3.4#
B组与A组比较:*P<0.001;C组与B组,D组与B组比较:#P<0.01;D组与C组比较:**P<0.01
三、BALF中表面活性蛋白A、D的浓度比较
测定各组BALF中SP-A、SP-D浓度,PCP组明显增加,而细菌性肺炎组SP-A含量降低,SP-D无明显变化(表2)。中重度组(n=8)SP-A(59.2±18.3)μg/ml、SP-D(27 502±3 391)灰度值较轻度组(n=6)SP-A(26.2±7.6)μg/ml、SP-D(19 911±1 777)灰度值明显增加。
, http://www.100md.com
表2 BALF中SP-A含量及SP-D相对含量 组别
SP-A(μg/ml)
SP-D(灰度值)
A组
11.3±7.4
11 400±2 592
B组
16.2±9.9
13 384±2 887
C组
6.2±5.6*
, 百拇医药
11 989±2 750
D组
45.1±22.1*
24 249±4 780#
D组与B组,C组与B组比较:*P<0.05;D组与B组比较:#P<0.001讨论
本实验研究发现PCP时BALF中SP-A、SP-D明显高于同样使用激素造成免疫抑制状态的无肺炎鼠及正常大鼠,此结果与艾滋病合并PCP时表面活性蛋白A、D的变化相一致。本实验还同时比较给予8~12周CA诱导的免疫抑制情况下细菌性肺炎大鼠BALF中SP-A、SP-D的含量,结果显示尽管细菌性肺炎肺泡内炎性细胞反应较PCP更剧烈,SP-A水平反而下降、SP-D水平不增高,表明炎症反应本身不一定引起表面活性蛋白增加。有报道推测PCP时SP-A、SP-D水平升高可能与PC虫体的特异性刺激有关[4],我们也发现PCP中重度组SP-A、SP-D增加更明显,从一个侧面说明了SP-A、SP-D与PC虫体的负荷及其直接刺激相关。
, http://www.100md.com
肺泡腔大量嗜伊红色泡沫状渗出物是PCP较具特征性肺泡微环境的改变,据研究渗出物主要成分为糖蛋白。SP-A、SP-D是结构相似的糖蛋白,水溶性,含N-末端胶原样区域和C-末端植物血凝素区域,属植物血凝素家族成员,在肺内具有重要的生理意义。SP-A、SP-D通过巨噬细胞(AMs)表面collectin受体可与AMs结合,作为调理素,影响AMs及其它炎性细胞的功能。体外实验发现,SP-A能提高由补体C1受体及Fc受体介导的吞噬功能[5];还能刺激炎性细胞释放多种细胞因子,如IL-1、IL-6及TNF-α,刺激脾细胞释放免疫球蛋白[6];SP-D能提高AMs释放氧离子根[7]。但在PCP时,虽然发现SP-A、SP-D促进AMs与PC虫体的粘附,但未发现其增强AMs吞噬清除PC的能力。表面活性蛋白与磷脂代谢的关系也非常密切,SP-A通过非胶原样区域与Ⅱ型上皮细胞结合,抑制脂肪分泌,增加对磷脂小体的摄取,PCP时SP-A增加导致肺表面活性磷脂减少,加重低氧血症。SP-A、SP-D能与PC表面的糖蛋白120(gp120)结合,可能使之逃逸宿主防御,还与PC的聚集有关,本实验也观察到肺泡腔内聚集大量的PC虫体,这使机体清除PC更为困难。因此,SP-A、SP-D的增加更有利于PC的感染、增殖,且对于机体正常的肺生理功能是极其不利的。PCP引起的SP-A、SP-D显著增高,明显有别于细菌性肺炎,提示进一步研究PCP时SP-A、SP-D变化的机制及其对机体的影响,寻求调整表面活性蛋白代谢,改善肺生理功能方法来治疗和预防PCP具有潜在的重要价值。
, 百拇医药
图1 肺泡腔内大量嗜伊红色泡沫状渗出物×400
图2 银染见肺泡内聚集的囊壁呈黑色,囊内小体不差色的PC虫体×400
本课题受上海市卫生系统“百人计划”(98BR030)和上海市教委青年基金资助(98QN27)
参考文献
1,Murry JF, Mills J. Pulmonary infectious complications of human immunodeficiency virus infection. Part Ⅱ. Am Rev Respir Dis, 1990, 141:1582-1585.
2,Santamauro JT, Stover DE. Pneumocystis carinii pneumonia. Med Clin Nor Am, 1997, 81:299-318.
, http://www.100md.com
3,章红志,杨毅,刑泉生,等.用免疫印迹法测定肺表面活性蛋白A及其临床应用.上海医学检验杂志,1997,12:211-213.
4,Benfield TL, Prentl P, Junge J, et al. Alveolar damage in AIDS-related Pneumocystis carinii pneumonia. Chest, 1997, 111:1193-1199.
5,Tenner AJ, Robinson SL, Borchelt J, et al. Human Pulmonary surfactant protein A (SP-A), a protein structurally homologous to C1q, can enhance FcR-and R C1-mediated phagocytosis. J Biolog Chem, 1989, 264:13 923-13 928.
, 百拇医药
6,Sergey G, Kremle V, Phelps D. Surfactant protein A stimulation of inflammatory cytokine and immunoglobulin production. Am J Physol, 1994, 267:L712-L719.
7,Van Iwaarden F, Shimuzu H, Van Golde PHM, et al. Rat surfactant protein D enhances the production of oxygen radicals by rat alveolar macrophages. Biochem J, 1992, 286:5-8.
收稿日期:1999-09-25, http://www.100md.com
单位:200032 上海医科大学呼吸病研究所,上海医科大学中山医院肺科
关键词:卡氏肺孢子虫肺炎;支气管肺泡灌洗液;表面活性蛋白A、D
中华传染病杂志000205 【摘要】 目的 研究卡氏肺孢子虫肺炎(PCP)引起的肺泡表面活性蛋白A和D(SP-A、SP-D)的变化,以探讨其在PCP发病机制中的作用和治疗中的意义。方法 采用清洁级SD大鼠每周2次皮下注射醋酸可的松方法建立PCP模型为实验组,并设正常对照组,阴性对照组,细菌性肺炎组。8~12周分批处死动物,收集支气管肺泡灌洗液(BALF),细胞计数分类;采用免疫斑点法测定BALF中SP-A、SP-D含量。结果 根据实验设计和所诱导模型分组,A组:正常对照组,n=6,健康SD大鼠;B组:阴性对照组,n=6,使用醋酸可的松(CA)8周以上未发生肺部感染的大鼠;C组:细菌性肺炎组,n=11,CA诱导8周以上发生细菌性肺炎而无其他肺部感染;D组:PCP组,n=14,CA诱导8周以上出现PCP而无其他肺部感染。BALF中SP-A含量在PCP为(45.1±22.1)μg/ml,明显高于阴性对照组的(16.2±9.9)μg/ml和细菌性肺炎组的(16.2±5.6)μg/ml(P<0.05),同样SP-D相对含量(24 249±4 780灰度值)明显高于细菌性肺炎组(11 989±2 750灰度值)和阴性对照组(13 384±2 887灰度值)(P<0.001)。结论 PCP引起肺表面活性蛋白A和D的显著升高,且该变化较细菌性肺炎明显,应在PCP的防治中引起重视。
, 百拇医药
Alteration of surfactant protein A and D in bronchoalveolar lavage fluid in rats with pneumocystis carinii pneumonia
QU Jieming, RONG Zhaohui, HE Lixian
(Department of Pulmonary Medicine, Zhongshan Hospital, Institute of Respiratory Diseases, Shanghai Medical University, Shanghai 200032, China)
【Abstract】 Objective To study the alteration of surfactant protein A and D (SP-A, SP-D) resulting from pneumocystis carinii pneumonia (PCP) and investigate its implication in the pathogenesis of PCP. Methods SD rat models of PCP were induced by subcutaneous injection of 25 mg cortisone acetate, normal control and negative control as well as bacterial pneumonia group were set up for comparison. During 8~12 weeks, bronchoalveolar lavage fluid (BALF) of rats was collected. Total nucleate cells of BALF were counted and differentiated as well as the concentrations of surfactant protein A (SP-A) and surfactant protein D (SP-D) were measured by immunoblotting assay. Results The rats were divided into three immunosuppressive groups, plus a normal control group. Group A: normal control (n=6) consisted of healthy SD rats; group B: negative control (n=6) employed rats with cortisone acetate injection over 8 weeks without lung infection; group C: bacterial pneumonia (n=11), rats were injected with cortisone acetate over 8 weeks and resulted in bacterial pneumonia without other pathogens isolated; group D (n=14): rats were injected with cortisone acetate during 8~12 weeks and resulted in PCP without other pathogens isolated. During PCP infection, the total cell counts and the percentage of polymorphonuclears (PMNs) in BALF were significantly increased (P<0.01), but were lower than those in the bacterial pneumonia group. The concentration of SP-A of BALF in PCP (45.1 μg/ml±22.1 μg/ml) was significantly increased in comparison with that in negative control group (16.2 μg/ml±9.9 μg/ml, P<0.05) and that in bacterial pneumonia group (6.2 μg/ml±5.6 μg/ml, P<0.001). We also found that the relative content of SP-D was significantly higher in PCP (24 249±4 780 grey values) than that in both negative control (13 384±2 887 grey values, P<0.001) and bacterial pneumonia group (11 989±2 750 grey values, P<0.001). SP-A and SP-D were also higher in moderate to severe group of PCP than those seen in mild group (P<0.01, P<0.001). Conclusion There was obvious increase of SP-A and SP-D in PCP rats, and particularly, the change of which was greater than that in bacterial pneumonia. Therefore, the alteration of SP-A and SP-D may be of implication in the prevention and management of PCP.
, 百拇医药
【Key words】Pneumocystis carinii pneumonia; Bronchoalveolar lavage fluids; Surfactant protein A, D
卡氏肺孢子虫肺炎(PCP)是艾滋病(AIDS)等免疫损害宿主最常见的呼吸系统感染性疾病[1],卡氏肺孢子虫(PC)进入肺泡腔与肺泡上皮相互作用,导致肺泡表面衬层发生改变,肺泡腔内充满大量渗出物。表面活性蛋白A和D(Surfactant Protein A、D;SP-A、SP-D)是肺泡腔内大量渗出物中主要的成分之一。SP-A、SP-D是结构相似的糖蛋白,由肺泡clara细胞及Ⅱ型上皮细胞合成分泌,在调节表面活性磷脂代谢及肺防御功能方面起重要作用。近年来有部分研究发现AIDS合并PCP时肺内SP-A、SP-D水平增高。我们应用醋酸可的松(Cortisone Acetate, CA)诱导SD大鼠建立PCP动物模型,研究SP-A、SP-D的变化,并与CA诱导的免疫抑制大鼠的细菌性肺炎、阴性对照组及正常对照比较,以探讨SP-A、SP-D在PCP发病机制中的作用及治疗中的意义。
, 百拇医药
材料和方法
一、PCP动物模型的建立
清洁级雄性SD大鼠(由上海医科大学实验动物部提供)50只,体重180~220 g。每2~3只置于1只鼠笼。饲养于空气层流室,室温20~24℃,环境清洁,鼠笼及垫料定期更换、消毒。喂正常饲料,饮含0.5 g/L盐酸四环素的冷开水,自由摄食和饮水。每周2次皮下注射醋酸可的松25 mg造成免疫抑制状态。喂养过程中死亡鼠去除,共8~12周。
二、支气管肺泡灌洗(BAL)方法
腹腔内注射1%戊巴比妥钠40 mg/kg麻醉动物后,固定,置于超净工作台内。用新洁尔灭消毒颈胸部,铺无菌洞巾。抽尽心脏血使动物死亡。无菌条件下进行气管插管,用20 cm H2O压力将8 ml无菌生理盐水灌入单侧肺内,然后回收获取支气管肺泡灌洗液(BALF)。
, 百拇医药
三、标本制备
取BALF及少许肺组织作细菌培养。取病变较明显的肺组织制成肺印片,自然干燥后用甲醇固定,行姬姆萨(Giemsa)染色查找PC虫体。未行肺泡灌洗的另一侧肺组织浸入10%福尔马林缓冲液中固定,石蜡包埋、切片,作HE染色观察病理改变及哥氏银(Grocott-Gomori)染色查找PC虫体。
四、BALF的处理
(一) 细胞计数 第一管BALF 2 000 r/min离心15 min,沉渣中加0.7 ml生理盐水稀释混匀,取1滴,加白细胞稀释液9滴,混匀,在普通显微镜下计数白细胞。用公式:白细胞数/L=四大格总数/4×10×106/L,计算出白细胞浓度。
(二) 离心涂片 分别取BALF沉渣稀释液2滴,用离心涂片机(LTP-A型,中国军事科学院实验仪器厂生产)涂片,自然干燥后用甲醇固定,分别予以瑞氏染色作白细胞分类及Giemsa染色找PC虫体。
, 百拇医药
(三) BALF储存 取离心后的BALF上清液,分装于4只小冻存管,-20℃冻存待测。
五、染色方法
Giemsa染色及哥氏银染色按实验室常规技术程序操作。
六、诊断标准
(一) PCP 具备下列条件之一者:(1) BALF沉渣离心涂片或肺组织印片Giemsa染色,光镜下见PC虫体(滋养体及囊内小体);(2) 肺组织石蜡切片哥氏银染色见PC包囊。根据国际常用的随机计数高倍视野每100个肺泡中受PC累及的肺泡数区分PCP的严重程度[2],即以≥25个肺泡受累及/100肺泡者为中重度PCP,<25个肺泡受累及/100肺泡者为轻度PCP。
(二) 细菌性肺炎 同时具备下列2条:(1) BALF或肺组织细菌培养阳性;(2) 肺组织石蜡切片HE染色见炎症改变。
, http://www.100md.com
(三) 无肺部感染 同时排除以上2种情况,且BALF沉渣涂片光镜下检查未发现真菌及其它病原体,肺组织石蜡切片HE染色示肺组织正常。
七、实验动物分组
实验中死亡鼠除外,根据实验结果去除不满足下述各组条件的动物,将剩余动物分成3组;另用6只清洁级雄性SD大鼠(体重200 g±)作为正常对照组。A组:正常对照组,6只。B组:阴性对照组,6只,CA诱导8周以上无肺部感染。C组:细菌性肺炎组,11只,CA诱导8周以上出现细菌性肺炎,而无其他肺部感染。D组:PCP组,14只,CA诱导8周以上出现PCP,而无其他肺部感染。
八、表面活性蛋白A、D的测定方法
SP-A含量测定采用免疫斑点法[3]。将标本及标准品通过斑点吸引装置点在硝酸纤维素膜(NC)上,按0.1 ml/cm2 NC加入杂交液(0.2 mol PBS,5%脱脂奶粉),室温摇动1 h,加入SP-A抗体(SP-A抗体及SP-A标准品由上海医科大学儿科研究所制备),于4℃过夜。然后用含Tween-20的0.2 mol PBS(pH 7.2)摇洗10 min 3次,0.05 mol Tris-HCl (pH 7.5)摇洗10 min。用含5%脱脂奶粉的Tris-HCl封闭,加二抗(羊抗兔IgG),室温摇动1 h,再用Tris-HCl摇洗10 min 4次,加显色液(NBT,BCIP),显色满意后用EDTA终止反应。用MAIS300图像分析系统进行图像处理。根据标准曲线计算SP-A值。
, 百拇医药
SP-D含量测定方法同SP-A,兔抗鼠SP-D抗体为美国Cincinnati大学医学院肺内科Frank McCormack博士所赠,无SP-D标准品,仅计算其相对值。
九、统计分析
组间均数比较采用t检验。
结果
一、PCP病理形态学所见
病理切片HE染色见肺泡间隔增宽,纤维母细胞增生,间质及肺泡内炎性细胞浸润,广泛纤维化,肺泡腔内大量嗜伊红色泡沫状渗出物(图1);银染见肺泡内聚集的PC虫体(图2)。
二、BALF中炎性细胞分析
阴性对照组免疫抑制大鼠BALF中白细胞总数较正常对照组明显减少(P<0.001),细胞分类无变化。PCP时BALF中白细胞总数增加(P<0.01),中性粒细胞及淋巴细胞比例增加(P<0.01),细菌性肺炎组细胞总数及中性粒细胞数均较PCP组增加明显(表1)。
, 百拇医药
表1 BALF中白细胞总数及分类 组别
细胞总数
(×106/L)
细胞分类(%)
巨噬
多形核
淋巴
A组
16.0±2.6
92±1.4
1.3±1.2
7.0±0.9
, http://www.100md.com
B组
2.9±1.3*
90.5±4.5
1.7±1.6
7.8±3.5
C组
13.9±6.6#
60.0±6.5
33.1±7.2#
6.2±2.3
D组
6.9±2.6#**
, 百拇医药
70.3±7.7
18.6±6.0#**
11.1±3.4#
B组与A组比较:*P<0.001;C组与B组,D组与B组比较:#P<0.01;D组与C组比较:**P<0.01
三、BALF中表面活性蛋白A、D的浓度比较
测定各组BALF中SP-A、SP-D浓度,PCP组明显增加,而细菌性肺炎组SP-A含量降低,SP-D无明显变化(表2)。中重度组(n=8)SP-A(59.2±18.3)μg/ml、SP-D(27 502±3 391)灰度值较轻度组(n=6)SP-A(26.2±7.6)μg/ml、SP-D(19 911±1 777)灰度值明显增加。
, http://www.100md.com
表2 BALF中SP-A含量及SP-D相对含量 组别
SP-A(μg/ml)
SP-D(灰度值)
A组
11.3±7.4
11 400±2 592
B组
16.2±9.9
13 384±2 887
C组
6.2±5.6*
, 百拇医药
11 989±2 750
D组
45.1±22.1*
24 249±4 780#
D组与B组,C组与B组比较:*P<0.05;D组与B组比较:#P<0.001讨论
本实验研究发现PCP时BALF中SP-A、SP-D明显高于同样使用激素造成免疫抑制状态的无肺炎鼠及正常大鼠,此结果与艾滋病合并PCP时表面活性蛋白A、D的变化相一致。本实验还同时比较给予8~12周CA诱导的免疫抑制情况下细菌性肺炎大鼠BALF中SP-A、SP-D的含量,结果显示尽管细菌性肺炎肺泡内炎性细胞反应较PCP更剧烈,SP-A水平反而下降、SP-D水平不增高,表明炎症反应本身不一定引起表面活性蛋白增加。有报道推测PCP时SP-A、SP-D水平升高可能与PC虫体的特异性刺激有关[4],我们也发现PCP中重度组SP-A、SP-D增加更明显,从一个侧面说明了SP-A、SP-D与PC虫体的负荷及其直接刺激相关。
, http://www.100md.com
肺泡腔大量嗜伊红色泡沫状渗出物是PCP较具特征性肺泡微环境的改变,据研究渗出物主要成分为糖蛋白。SP-A、SP-D是结构相似的糖蛋白,水溶性,含N-末端胶原样区域和C-末端植物血凝素区域,属植物血凝素家族成员,在肺内具有重要的生理意义。SP-A、SP-D通过巨噬细胞(AMs)表面collectin受体可与AMs结合,作为调理素,影响AMs及其它炎性细胞的功能。体外实验发现,SP-A能提高由补体C1受体及Fc受体介导的吞噬功能[5];还能刺激炎性细胞释放多种细胞因子,如IL-1、IL-6及TNF-α,刺激脾细胞释放免疫球蛋白[6];SP-D能提高AMs释放氧离子根[7]。但在PCP时,虽然发现SP-A、SP-D促进AMs与PC虫体的粘附,但未发现其增强AMs吞噬清除PC的能力。表面活性蛋白与磷脂代谢的关系也非常密切,SP-A通过非胶原样区域与Ⅱ型上皮细胞结合,抑制脂肪分泌,增加对磷脂小体的摄取,PCP时SP-A增加导致肺表面活性磷脂减少,加重低氧血症。SP-A、SP-D能与PC表面的糖蛋白120(gp120)结合,可能使之逃逸宿主防御,还与PC的聚集有关,本实验也观察到肺泡腔内聚集大量的PC虫体,这使机体清除PC更为困难。因此,SP-A、SP-D的增加更有利于PC的感染、增殖,且对于机体正常的肺生理功能是极其不利的。PCP引起的SP-A、SP-D显著增高,明显有别于细菌性肺炎,提示进一步研究PCP时SP-A、SP-D变化的机制及其对机体的影响,寻求调整表面活性蛋白代谢,改善肺生理功能方法来治疗和预防PCP具有潜在的重要价值。
, 百拇医药
图1 肺泡腔内大量嗜伊红色泡沫状渗出物×400
图2 银染见肺泡内聚集的囊壁呈黑色,囊内小体不差色的PC虫体×400
本课题受上海市卫生系统“百人计划”(98BR030)和上海市教委青年基金资助(98QN27)
参考文献
1,Murry JF, Mills J. Pulmonary infectious complications of human immunodeficiency virus infection. Part Ⅱ. Am Rev Respir Dis, 1990, 141:1582-1585.
2,Santamauro JT, Stover DE. Pneumocystis carinii pneumonia. Med Clin Nor Am, 1997, 81:299-318.
, http://www.100md.com
3,章红志,杨毅,刑泉生,等.用免疫印迹法测定肺表面活性蛋白A及其临床应用.上海医学检验杂志,1997,12:211-213.
4,Benfield TL, Prentl P, Junge J, et al. Alveolar damage in AIDS-related Pneumocystis carinii pneumonia. Chest, 1997, 111:1193-1199.
5,Tenner AJ, Robinson SL, Borchelt J, et al. Human Pulmonary surfactant protein A (SP-A), a protein structurally homologous to C1q, can enhance FcR-and R C1-mediated phagocytosis. J Biolog Chem, 1989, 264:13 923-13 928.
, 百拇医药
6,Sergey G, Kremle V, Phelps D. Surfactant protein A stimulation of inflammatory cytokine and immunoglobulin production. Am J Physol, 1994, 267:L712-L719.
7,Van Iwaarden F, Shimuzu H, Van Golde PHM, et al. Rat surfactant protein D enhances the production of oxygen radicals by rat alveolar macrophages. Biochem J, 1992, 286:5-8.
收稿日期:1999-09-25, http://www.100md.com