转化生长因子β与椎间盘细胞Ⅰ型胶原基因调控的关系△
作者:陈岩 胡有谷 齐宗华 西永明
单位:青岛大学医学院附属医院骨科,青岛市 266003
关键词:转化生长因子β;胶原;基因表达;椎间盘;细胞;培养的
中国矫形外科杂志000216
摘 要:目的:探讨TGF-β在椎间盘Ⅰ型胶原代谢中的作用及作用机制。方法:应用斑点杂交和原位杂交技术检测了TGF-β1对椎间盘原代培养及传代培养的纤维环细胞、髓核细胞中Ⅰ型胶原mRNA的调节作用,采用了VIDAS软件计算杂交膜斑点及杂交涂片中细胞的平均光密度值,进行胶原mRNA相对定量,统计结果采用t检验。结果:对于原代培养的椎间盘纤维环细胞Ⅰ型胶原mRNA,TGF-β1浓度为1ng/ml及10ng/ml时,其调节作用分别是0ng/ml组的1.18倍及1.37倍;对于传代培养的纤维环细胞,其调节作用分别是0 ng/ml组的1.6倍及1.84倍;对于传代培养的髓核细胞,其调节作用分别是0ng/ml组的1.48倍及2.03倍。结论:TGF-β可以按照剂量依赖方式正向调节椎间盘Ⅰ胶原基因表达,反映了TGF-β与椎间盘退变过程中不断发展的纤维化过程密切相关。
, http://www.100md.com
分类号:R336 文献标识码:A
文章编号:1005-8478(2000)02-0151-03
The Regulation Effect of Transforming Growth Factor β(TGF-β) on Gene Expression of Collagen Type Ⅰ in the Human Intervertebral Discs
CHEN Yan,HU You-gu,QI Zong-hua, et al.
(Department of Orthopaedics. Affiliated Hospital of Medical College.Qingdao University.266003.)
Abstract:Objective:To understand the characteristic and significance of the action of Transforming Growth Factor β(TGF-β) on gene expression of collagen type Ⅰ in the human intervertebral discs.Method:Dotblot hybridization and in situ hybridization were used to investigate these regulation effects in confluent primary and passaged monolayer cell cultures of annulus fibrosus (AF) as well as nucleus pulposus (NP).Results:Exposure to TGF-β 1 in serum-free medium caused a dose-dependent stimulation of collagen type ImRNA both in primary cultures of AF and in passaged cultures of AF and NP.①1ng/ml and 10ng/ml TGF-β 1 can increase the collagen type ImRNA levels by 1.18 and 1.37-fold respectively in primary cultures of AF;②1ng/ml and 10ng/ml TGF-β 1 can inerease the collagen type ImRNA levels by 1.60 and 1.84-fold respectively in passaged cultures of AF;③lng/ml and 10ng/ml TGF-β 1 can inerease the collagen type ImRNA levels by 1.48 and 2.03-fold respectively in passaged cultures of NP.Conclusion:TGF-β may exerts its great potential in the accumulation of collagen type I.in the degenerative discs.
, 百拇医药
Key words:Transforming Growth Factor β Collagen Gene expression Intervertebralis Cell Culture.▲
研究发现,绝大多数以Ⅰ型及部分Ⅲ型胶原过度沉积为病理基础的组织器官纤维化性疾病,都和TGF-β过度表达有密切关系。本研究通过检测其对椎间盘Ⅰ型胶原mRNA的调节作用,旨在探讨TGF-β在椎间盘胶原代谢中的作用及机制。
1 材料与方法
1.1 主要实验材料 重组人TGF-β1(Promega公司)TRIzol Reagent(Gibco公司);地高辛标记检测试剂盒(B.M公司);人Ⅰ型胶原cDNA探针(中国预防医学科学院劳动卫生研究所提供)
1.2 实验步骤
, http://www.100md.com 1.2.1 地高辛标记胶原基因cDNA探针 按照B.M公司地高辛标记手册进行。
1.2.2 人体椎间盘细胞培养模型的建立 取材自保胎失败、胎龄3个月的胎儿3例,在严格无菌操作下4h内取椎间盘。
1.2.2.1 椎间盘细胞原代培养 将取下的椎间盘冲净,分别将髓核和纤维环剪碎。胰蛋白酶、胶原酶消化及冲洗离心后加入适量含有浓度为10%血清的培养液。计数后将细胞接种于70cm2培养瓶,置于37℃、含5%CO2的温箱中培养。培养细胞达到90%融合时,吸除含血清培养基,加入不含血清且浓度分别为0,1,10ng/ml的TGF-β1,共同孵育24h。收集细胞进行原位杂交。
1.2.2.2 椎间盘细胞传代培养 原代培养细胞达到90%融合时,加入少量胰蛋白酶和EDTA混合液,镜下见胞质回缩,细胞间隙增大时,吸除消化液,加入少许培养液,用吸管吹打瓶壁细胞,使之脱落形成细胞悬液。计数后将悬液按12分装入培养瓶中培养。细胞传至第三代且培养细胞达到90%融合时,吸除含血清培养基,改用不含血清且浓度为0,1,10ng/ml的TGF-β1共同孵育24h。分别收集细胞,提取总RNA进行斑点杂交。另取部分细胞涂片进行原位杂交。
, 百拇医药
1.2.3 斑点印迹杂交 (1)椎间盘细胞总RNA的提取:按照Gibco公司TRIzol提取法进行。(2)斑点印迹:按照文献方法进行[1]。(3)斑点杂交:按照B.M公司地高辛标记操作手册进行。
1.2.4 原位杂交 将收集的细胞制成105~106个/ml细胞悬液。经离心、冲洗、计数后重新悬浮细胞至浓度为106个/ml。取50μl细胞悬液涂于玻片上,室温干燥及多聚甲醛固定后按照文献方法进行原位杂交[2]。
1.2.5 杂交结果分析 为保证实验结果的准确性,各实验组均采用不加探针以及加入未经过地高辛标记的探针作为阴性对照。采用德国VIDAS图像分析系统对斑点杂交膜及原位杂交涂片(每张涂片任选3个视野)进行扫描,得到斑点及视野内细胞的平均光密度值,进行胶原mRNA相对定量,统计结果采用t检验。
, 百拇医药
2 结 果
斑点杂交显示,TGF-β1浓度越大,斑点显色程度越深,其中1ng/ml及10ng/ml组的光密度值分别是0ng/ml组的1.6倍及1.84倍。原位杂交显示,TGF-β1浓度越大,视野中阳性染色细胞数目越多,染色强度越深,光密度值也越大。原代培养的纤维环细胞,1ng/ml及10ng/ml组的光密度值分别是0ng/ml组的1.18倍及1.37倍。传代培养的髓核细胞,1ng/ml及10ng/ml组的光密度值分别是0ng/ml组的1.48倍及2.03倍。(见表1,图1~4)
表1 TGF-β1对椎间盘Ⅰ型胶原mRNA调节作用杂交结果
(平均光密度值
±s) TGF-β1
纤维环细胞
, http://www.100md.com
髓核细胞
(ng/ml)
原代培养
传代培养
(斑点杂交)
传代培养
0
0.515±0.132
0.105±0.005
0.327±0.047
1
0.609±0.095**
, 百拇医药
0.168±0.003**
0.485±0.128**
10
0.705±0.065**
0.194±1.201**
0.665±0.119**
注:与TGF-β1浓度为0ng/ml组相比,*p<0.05,**p<0.01
图1 斑点杂交检测TGF-β1对传代培养的椎间盘纤维环细胞I型胶原基因表达的调节作用
, http://www.100md.com
(说明:A1、2、3-10ng/ml;A4、5、6-lng/ml;A7、8、9-0ng/ml;B1~9-标准DNA梯度)。
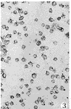
图2 TGF-β1浓度为1on/ml时原代培养纤维环细胞I型胶原mRNA原位杂交结果。×400
图3TGF-β1浓度0ng/ml时传代培养髓核细胞I型胶原mRNA原位杂交结果。×200
图4TGF-β1浓度1ng/ml时传代培养髓核细胞I型胶原mRNA原位杂交结果。×200
3 讨 论
, 百拇医药
TGF-β1是一种分子量为25KD的二聚体多肽,几乎参与了哺乳动物所有细胞的病理生理过程,尤其在细胞外基质的产生及调控方面意义重大。已经发现绝大多数以Ⅰ型及部分Ⅲ型胶原过度沉积为病理基础的组织器官纤维化性疾病,都和TGF-β过度表达有密切关系,TGF-β已被公认为是与胶原代谢关系最为密切的细胞因子[3]。其中TGF-β1在体细胞系中所占比例最高(>90%),活性最强,成为研究的热点。目前国内外尚未有TGF-β调控椎间盘胶原基因表达的报道。
正常椎间盘内,Ⅰ型胶原由成纤维样细胞表达,主要分布于纤维环外层,纤维环内层及髓核则以脊索细胞和类软骨细胞为主,表达Ⅱ型胶原以承受机体的压力。随着椎间盘的退变,Ⅱ型胶原逐渐减少,Ⅰ型胶原增多且同时也在髓核中出现。部分椎间盘突出的病人,则整个椎间盘被Ⅰ型胶原及部分Ⅲ型胶原所取代,呈明显的纤维化[4]。有学者还发现胎儿时期纤维环外层成纤维样细胞活跃表达Ⅰ型胶原mRNA,纤维环内层及髓核内的脊索细胞和类软骨细胞只有Ⅱ型胶原基因的活跃表达。成人退变椎间盘中,Ⅱ型胶原基因表达减弱,同时髓核中出现Ⅰ型胶原mRNA[5],这表明在椎间盘退变过程中,Ⅰ型胶原成为胶原代谢的主要成分。
, 百拇医药
我们发现,椎间盘细胞原代培养时,细胞在形态及功能上均与体内正常椎间盘细胞基本一致,而随着细胞的传代,类软骨细胞在形态方面发生去分化改变,同时其作为软骨细胞表型标记物的Ⅱ型胶原基因表达水平明显降低,这也与体内椎间盘退变过程相似,因此椎间盘细胞原代及传代培养系统可作为研究体内正常椎间盘及退变椎间盘的一种很好的模型。
在此基础上,我们观察了不同浓度的TGF-β1对纤维环及髓核细胞Ⅰ型胶原mRNA的调节作用。发现TGF-β1可发挥剂量依赖性的正向调节作用,这种调节作用在传代细胞更为明显,提示TGF-β与退变椎间盘中Ⅰ型胶原的不断增多有密切关系。
TGF-β对胶原的调控机制较为复杂,既有转录水平,转录后加工、翻译水平也有维持蛋白稳定性方面的调控作用。其中通过刺激成纤维细胞,成骨细胞等Ⅰ型胶原mRNA水平的提高,在转录水平调节胶原的合成成为最主要的作用方式[6],我们的结果也证明了这一点。TGF-β还能通过调节其他因子对胶原的作用而间接影响胶原的代谢。例如,TGF-β能拮抗地塞米松对胶原mRNA的抑制作用[7]。另外,TGF-β的作用本身也是细胞因子网络调控的组成部分。Moreland[8]发现PGE1可以抑制TGF-β对人海绵体平滑肌细胞Ⅰ型胶原合成的诱导能力;Falanga[9]提出低氧张力能刺激Ⅰ型胶原mRNA水平提高,而TGF-β可介导这一效应。TGF-β还存自分泌调控方式,它可以促进自身mRNA的表达,使其自身分泌增加,进而增强其对胶原合成的调节作用。近来有学者发现,退变椎间盘中TGF-β抗体活性明显高于正常椎间盘[10]。这一方面说明TGF-β与椎间盘退变存在密切的关系,同时也提示TGF-β在椎间盘退变中存在自分泌调控机制。
, 百拇医药
本次研究结果有助于进一步理解正常及退变椎间盘胶原含量、分布发生变化的分子调控机制。在正常椎间盘内,TGF-β可发挥其生理性调节作用,使得Ⅰ型胶原集中分布于纤维环外层,随着椎间盘的退变,纤维环内层及髓核内脊索细胞逐渐消失,类软骨细胞也开始坏死并逐渐去分化成为纤维样细胞外观,功能上也由表达Ⅱ型胶原改为表达Ⅰ型胶原,髓核内也出现了Ⅰ型胶原的表达,这样在椎间盘细胞本身Ⅰ型胶原合成增加的基础上,随着TGF-β浓度升高及其自分泌调控机制,TGF-β在退变椎间盘中的含量也不断增多,其对胶原合成的正向调节作用不断增强,导致Ⅰ型胶原合成量进一步增加,并逐渐取代Ⅱ型胶原,使得髓核承受压力及形变能力降低,最终整个椎间盘发生纤维化。纤维化后的椎间盘尽管Ⅰ型胶原含量增多,但这些胶原在电镜下处于形成的早期阶段,同时分解胶原的酶和胶原的可溶性增加,胶原降解加速,严重影响纤维环胶原的强度,致使应力分布不均,因而不能耐受机体的应力,使得胶原含量低的后外侧易发生纤维环破裂或髓核突出。
总之,本研究表明,TGF-β可以按照剂量依赖方式正向调节椎间盘Ⅰ型胶原基因表达,反映了TGF-β与椎间盘退变过程中不断发展的纤维化过程密切相关。
, http://www.100md.com
(本文附图见封二)■
基本项目:项课题为山东省卫生厅资助项目(编号:鲁卫科教字1996-12号)
作者简介:陈岩(1969-),男,青岛市人,主治医师,硕士学位。
电话:(0532)2911331(办) 2718090(宅)
E-mail:chenyang @ public.qd.sd.cn
参考文献:
[1]金冬雁,黎孟枫,等.分子克隆实验指南.第2版[M].北京:科学出版社,1992.372~373.
[2]苏慧慈.原位杂交.第1版[M].北京:科学出版社,1994.127~130.
, 百拇医药
[3]Brenner DA.Fibrogenesis and type Ⅰ collagen gene regulation[J]. J Lab Clin Med,1994,124:755~751.
[4]胡有谷.腰椎间盘突出症.第2版[M]. 北京:人民卫生出版社,1995.81~82.
[5]吕振华,胡有谷,冯传汉.椎间盘纤维性主胶原基因表达的观察[J].中华外科杂志,1998,36(2):68~71.
[6]陈岩. 细胞因子与胶原基因调控[J].国外医学生理病理科学与临床分册,1998,18(3):220~223.
[7]Slavin J,Unemori E,Hunt TK.TGF-β and dexamethasone have direct oppossing effects on collagen metablism in low passage human dermal fibroblasts in vitro[J].Growth Factors,1994,11(3):205~213.
, 百拇医药
[8]Moreland RB,Traish A,McMillin MA.PGE1 suppress the induction of collagen synthesis by TGF-β1 in human corpusa vernosum smooth muscle[J].J Urol,1995,153(3ptl):826~834.
[9]Falanga V,Martin TA,Takagi H.Low oxygen tension increases mRNA levels of α1(Ⅰ) procollagen in human dermal fibroblasts J[J].J Cell Physiol,1993,157(1):408~412.
[10]Tolonen J.TGF-β expression in disc herniation tissue[J].Conference papers for ISSLS,1995,17.
收稿日期:1999-05-25
修回日期:1999-08-06, 百拇医药
单位:青岛大学医学院附属医院骨科,青岛市 266003
关键词:转化生长因子β;胶原;基因表达;椎间盘;细胞;培养的
中国矫形外科杂志000216
摘 要:目的:探讨TGF-β在椎间盘Ⅰ型胶原代谢中的作用及作用机制。方法:应用斑点杂交和原位杂交技术检测了TGF-β1对椎间盘原代培养及传代培养的纤维环细胞、髓核细胞中Ⅰ型胶原mRNA的调节作用,采用了VIDAS软件计算杂交膜斑点及杂交涂片中细胞的平均光密度值,进行胶原mRNA相对定量,统计结果采用t检验。结果:对于原代培养的椎间盘纤维环细胞Ⅰ型胶原mRNA,TGF-β1浓度为1ng/ml及10ng/ml时,其调节作用分别是0ng/ml组的1.18倍及1.37倍;对于传代培养的纤维环细胞,其调节作用分别是0 ng/ml组的1.6倍及1.84倍;对于传代培养的髓核细胞,其调节作用分别是0ng/ml组的1.48倍及2.03倍。结论:TGF-β可以按照剂量依赖方式正向调节椎间盘Ⅰ胶原基因表达,反映了TGF-β与椎间盘退变过程中不断发展的纤维化过程密切相关。
, http://www.100md.com
分类号:R336 文献标识码:A
文章编号:1005-8478(2000)02-0151-03
The Regulation Effect of Transforming Growth Factor β(TGF-β) on Gene Expression of Collagen Type Ⅰ in the Human Intervertebral Discs
CHEN Yan,HU You-gu,QI Zong-hua, et al.
(Department of Orthopaedics. Affiliated Hospital of Medical College.Qingdao University.266003.)
Abstract:Objective:To understand the characteristic and significance of the action of Transforming Growth Factor β(TGF-β) on gene expression of collagen type Ⅰ in the human intervertebral discs.Method:Dotblot hybridization and in situ hybridization were used to investigate these regulation effects in confluent primary and passaged monolayer cell cultures of annulus fibrosus (AF) as well as nucleus pulposus (NP).Results:Exposure to TGF-β 1 in serum-free medium caused a dose-dependent stimulation of collagen type ImRNA both in primary cultures of AF and in passaged cultures of AF and NP.①1ng/ml and 10ng/ml TGF-β 1 can increase the collagen type ImRNA levels by 1.18 and 1.37-fold respectively in primary cultures of AF;②1ng/ml and 10ng/ml TGF-β 1 can inerease the collagen type ImRNA levels by 1.60 and 1.84-fold respectively in passaged cultures of AF;③lng/ml and 10ng/ml TGF-β 1 can inerease the collagen type ImRNA levels by 1.48 and 2.03-fold respectively in passaged cultures of NP.Conclusion:TGF-β may exerts its great potential in the accumulation of collagen type I.in the degenerative discs.
, 百拇医药
Key words:Transforming Growth Factor β Collagen Gene expression Intervertebralis Cell Culture.▲
研究发现,绝大多数以Ⅰ型及部分Ⅲ型胶原过度沉积为病理基础的组织器官纤维化性疾病,都和TGF-β过度表达有密切关系。本研究通过检测其对椎间盘Ⅰ型胶原mRNA的调节作用,旨在探讨TGF-β在椎间盘胶原代谢中的作用及机制。
1 材料与方法
1.1 主要实验材料 重组人TGF-β1(Promega公司)TRIzol Reagent(Gibco公司);地高辛标记检测试剂盒(B.M公司);人Ⅰ型胶原cDNA探针(中国预防医学科学院劳动卫生研究所提供)
1.2 实验步骤
, http://www.100md.com 1.2.1 地高辛标记胶原基因cDNA探针 按照B.M公司地高辛标记手册进行。
1.2.2 人体椎间盘细胞培养模型的建立 取材自保胎失败、胎龄3个月的胎儿3例,在严格无菌操作下4h内取椎间盘。
1.2.2.1 椎间盘细胞原代培养 将取下的椎间盘冲净,分别将髓核和纤维环剪碎。胰蛋白酶、胶原酶消化及冲洗离心后加入适量含有浓度为10%血清的培养液。计数后将细胞接种于70cm2培养瓶,置于37℃、含5%CO2的温箱中培养。培养细胞达到90%融合时,吸除含血清培养基,加入不含血清且浓度分别为0,1,10ng/ml的TGF-β1,共同孵育24h。收集细胞进行原位杂交。
1.2.2.2 椎间盘细胞传代培养 原代培养细胞达到90%融合时,加入少量胰蛋白酶和EDTA混合液,镜下见胞质回缩,细胞间隙增大时,吸除消化液,加入少许培养液,用吸管吹打瓶壁细胞,使之脱落形成细胞悬液。计数后将悬液按12分装入培养瓶中培养。细胞传至第三代且培养细胞达到90%融合时,吸除含血清培养基,改用不含血清且浓度为0,1,10ng/ml的TGF-β1共同孵育24h。分别收集细胞,提取总RNA进行斑点杂交。另取部分细胞涂片进行原位杂交。
, 百拇医药
1.2.3 斑点印迹杂交 (1)椎间盘细胞总RNA的提取:按照Gibco公司TRIzol提取法进行。(2)斑点印迹:按照文献方法进行[1]。(3)斑点杂交:按照B.M公司地高辛标记操作手册进行。
1.2.4 原位杂交 将收集的细胞制成105~106个/ml细胞悬液。经离心、冲洗、计数后重新悬浮细胞至浓度为106个/ml。取50μl细胞悬液涂于玻片上,室温干燥及多聚甲醛固定后按照文献方法进行原位杂交[2]。
1.2.5 杂交结果分析 为保证实验结果的准确性,各实验组均采用不加探针以及加入未经过地高辛标记的探针作为阴性对照。采用德国VIDAS图像分析系统对斑点杂交膜及原位杂交涂片(每张涂片任选3个视野)进行扫描,得到斑点及视野内细胞的平均光密度值,进行胶原mRNA相对定量,统计结果采用t检验。
, 百拇医药
2 结 果
斑点杂交显示,TGF-β1浓度越大,斑点显色程度越深,其中1ng/ml及10ng/ml组的光密度值分别是0ng/ml组的1.6倍及1.84倍。原位杂交显示,TGF-β1浓度越大,视野中阳性染色细胞数目越多,染色强度越深,光密度值也越大。原代培养的纤维环细胞,1ng/ml及10ng/ml组的光密度值分别是0ng/ml组的1.18倍及1.37倍。传代培养的髓核细胞,1ng/ml及10ng/ml组的光密度值分别是0ng/ml组的1.48倍及2.03倍。(见表1,图1~4)
表1 TGF-β1对椎间盘Ⅰ型胶原mRNA调节作用杂交结果
(平均光密度值
纤维环细胞
, http://www.100md.com
髓核细胞
(ng/ml)
原代培养
传代培养
(斑点杂交)
传代培养
0
0.515±0.132
0.105±0.005
0.327±0.047
1
0.609±0.095**
, 百拇医药
0.168±0.003**
0.485±0.128**
10
0.705±0.065**
0.194±1.201**
0.665±0.119**
注:与TGF-β1浓度为0ng/ml组相比,*p<0.05,**p<0.01
图1 斑点杂交检测TGF-β1对传代培养的椎间盘纤维环细胞I型胶原基因表达的调节作用
, http://www.100md.com
(说明:A1、2、3-10ng/ml;A4、5、6-lng/ml;A7、8、9-0ng/ml;B1~9-标准DNA梯度)。
图2 TGF-β1浓度为1on/ml时原代培养纤维环细胞I型胶原mRNA原位杂交结果。×400
图3TGF-β1浓度0ng/ml时传代培养髓核细胞I型胶原mRNA原位杂交结果。×200
图4TGF-β1浓度1ng/ml时传代培养髓核细胞I型胶原mRNA原位杂交结果。×200
3 讨 论
, 百拇医药
TGF-β1是一种分子量为25KD的二聚体多肽,几乎参与了哺乳动物所有细胞的病理生理过程,尤其在细胞外基质的产生及调控方面意义重大。已经发现绝大多数以Ⅰ型及部分Ⅲ型胶原过度沉积为病理基础的组织器官纤维化性疾病,都和TGF-β过度表达有密切关系,TGF-β已被公认为是与胶原代谢关系最为密切的细胞因子[3]。其中TGF-β1在体细胞系中所占比例最高(>90%),活性最强,成为研究的热点。目前国内外尚未有TGF-β调控椎间盘胶原基因表达的报道。
正常椎间盘内,Ⅰ型胶原由成纤维样细胞表达,主要分布于纤维环外层,纤维环内层及髓核则以脊索细胞和类软骨细胞为主,表达Ⅱ型胶原以承受机体的压力。随着椎间盘的退变,Ⅱ型胶原逐渐减少,Ⅰ型胶原增多且同时也在髓核中出现。部分椎间盘突出的病人,则整个椎间盘被Ⅰ型胶原及部分Ⅲ型胶原所取代,呈明显的纤维化[4]。有学者还发现胎儿时期纤维环外层成纤维样细胞活跃表达Ⅰ型胶原mRNA,纤维环内层及髓核内的脊索细胞和类软骨细胞只有Ⅱ型胶原基因的活跃表达。成人退变椎间盘中,Ⅱ型胶原基因表达减弱,同时髓核中出现Ⅰ型胶原mRNA[5],这表明在椎间盘退变过程中,Ⅰ型胶原成为胶原代谢的主要成分。
, 百拇医药
我们发现,椎间盘细胞原代培养时,细胞在形态及功能上均与体内正常椎间盘细胞基本一致,而随着细胞的传代,类软骨细胞在形态方面发生去分化改变,同时其作为软骨细胞表型标记物的Ⅱ型胶原基因表达水平明显降低,这也与体内椎间盘退变过程相似,因此椎间盘细胞原代及传代培养系统可作为研究体内正常椎间盘及退变椎间盘的一种很好的模型。
在此基础上,我们观察了不同浓度的TGF-β1对纤维环及髓核细胞Ⅰ型胶原mRNA的调节作用。发现TGF-β1可发挥剂量依赖性的正向调节作用,这种调节作用在传代细胞更为明显,提示TGF-β与退变椎间盘中Ⅰ型胶原的不断增多有密切关系。
TGF-β对胶原的调控机制较为复杂,既有转录水平,转录后加工、翻译水平也有维持蛋白稳定性方面的调控作用。其中通过刺激成纤维细胞,成骨细胞等Ⅰ型胶原mRNA水平的提高,在转录水平调节胶原的合成成为最主要的作用方式[6],我们的结果也证明了这一点。TGF-β还能通过调节其他因子对胶原的作用而间接影响胶原的代谢。例如,TGF-β能拮抗地塞米松对胶原mRNA的抑制作用[7]。另外,TGF-β的作用本身也是细胞因子网络调控的组成部分。Moreland[8]发现PGE1可以抑制TGF-β对人海绵体平滑肌细胞Ⅰ型胶原合成的诱导能力;Falanga[9]提出低氧张力能刺激Ⅰ型胶原mRNA水平提高,而TGF-β可介导这一效应。TGF-β还存自分泌调控方式,它可以促进自身mRNA的表达,使其自身分泌增加,进而增强其对胶原合成的调节作用。近来有学者发现,退变椎间盘中TGF-β抗体活性明显高于正常椎间盘[10]。这一方面说明TGF-β与椎间盘退变存在密切的关系,同时也提示TGF-β在椎间盘退变中存在自分泌调控机制。
, 百拇医药
本次研究结果有助于进一步理解正常及退变椎间盘胶原含量、分布发生变化的分子调控机制。在正常椎间盘内,TGF-β可发挥其生理性调节作用,使得Ⅰ型胶原集中分布于纤维环外层,随着椎间盘的退变,纤维环内层及髓核内脊索细胞逐渐消失,类软骨细胞也开始坏死并逐渐去分化成为纤维样细胞外观,功能上也由表达Ⅱ型胶原改为表达Ⅰ型胶原,髓核内也出现了Ⅰ型胶原的表达,这样在椎间盘细胞本身Ⅰ型胶原合成增加的基础上,随着TGF-β浓度升高及其自分泌调控机制,TGF-β在退变椎间盘中的含量也不断增多,其对胶原合成的正向调节作用不断增强,导致Ⅰ型胶原合成量进一步增加,并逐渐取代Ⅱ型胶原,使得髓核承受压力及形变能力降低,最终整个椎间盘发生纤维化。纤维化后的椎间盘尽管Ⅰ型胶原含量增多,但这些胶原在电镜下处于形成的早期阶段,同时分解胶原的酶和胶原的可溶性增加,胶原降解加速,严重影响纤维环胶原的强度,致使应力分布不均,因而不能耐受机体的应力,使得胶原含量低的后外侧易发生纤维环破裂或髓核突出。
总之,本研究表明,TGF-β可以按照剂量依赖方式正向调节椎间盘Ⅰ型胶原基因表达,反映了TGF-β与椎间盘退变过程中不断发展的纤维化过程密切相关。
, http://www.100md.com
(本文附图见封二)■
基本项目:项课题为山东省卫生厅资助项目(编号:鲁卫科教字1996-12号)
作者简介:陈岩(1969-),男,青岛市人,主治医师,硕士学位。
电话:(0532)2911331(办) 2718090(宅)
E-mail:chenyang @ public.qd.sd.cn
参考文献:
[1]金冬雁,黎孟枫,等.分子克隆实验指南.第2版[M].北京:科学出版社,1992.372~373.
[2]苏慧慈.原位杂交.第1版[M].北京:科学出版社,1994.127~130.
, 百拇医药
[3]Brenner DA.Fibrogenesis and type Ⅰ collagen gene regulation[J]. J Lab Clin Med,1994,124:755~751.
[4]胡有谷.腰椎间盘突出症.第2版[M]. 北京:人民卫生出版社,1995.81~82.
[5]吕振华,胡有谷,冯传汉.椎间盘纤维性主胶原基因表达的观察[J].中华外科杂志,1998,36(2):68~71.
[6]陈岩. 细胞因子与胶原基因调控[J].国外医学生理病理科学与临床分册,1998,18(3):220~223.
[7]Slavin J,Unemori E,Hunt TK.TGF-β and dexamethasone have direct oppossing effects on collagen metablism in low passage human dermal fibroblasts in vitro[J].Growth Factors,1994,11(3):205~213.
, 百拇医药
[8]Moreland RB,Traish A,McMillin MA.PGE1 suppress the induction of collagen synthesis by TGF-β1 in human corpusa vernosum smooth muscle[J].J Urol,1995,153(3ptl):826~834.
[9]Falanga V,Martin TA,Takagi H.Low oxygen tension increases mRNA levels of α1(Ⅰ) procollagen in human dermal fibroblasts J[J].J Cell Physiol,1993,157(1):408~412.
[10]Tolonen J.TGF-β expression in disc herniation tissue[J].Conference papers for ISSLS,1995,17.
收稿日期:1999-05-25
修回日期:1999-08-06, 百拇医药