半环式外固定架骨延长治疗儿童下肢短缩畸形
作者:陈廖斌 顾洁夫
单位:湖北医科大学附属第二医院骨科,武汉 430071
关键词:下肢短缩;骨延长;外固定架
中国矫形外科杂志000212
摘 要:目的:介绍应用半环式外固定架渐进性骨牵伸/加压技术治疗儿童下肢短缩的经验。方法:单纯下肢短缩采用股骨远端或胫骨近端横行截骨,半环式外固定架牵伸延长;胫骨骨缺损、骨不连性肢体短缩除截骨延长外,还将假关节两骨端修整成相互嵌合的“V”形并加压。结果:16例患儿骨延长4~8cm,平均4.7cm,均达预期长度。结论:半环式外固定架骨延长治疗儿童下肢短缩畸形疗效满意,合并骨缺损、骨不连的肢体短缩是应用半环式外固定架骨延长的理想适应证。
分类号:R682.6 文献标识码:A
, 百拇医药
文章编号:1005-8478(2000)02-0140-02
Treating Lower Limb Discrepancy of Children with Semicircular External Fixator and Gradual Bone Distraction Technique
CHEN Liao-bin, GU Jie-fu.
(Department of Orthopaedics, The Second Affiliated Hospital, Hubei Medical University, Wuhan 430071.)
Abstract:Objective:To present the experience of treating lower limb discrepancy of children with semicircular external fixator and gradual bone distraction/compression technique. Method:For the cases of pure limb discrepancy, transverse osteotomies were performed in the distal femur or proximal tibia and semicircular external fixators were used for gradual bone distraction. For the cases with bone defect or nonunion, besides the bone osteotomy and the following distraction, the both bone ends of the pseudarthrosis were trimmed to the “V”shapes that corresponded to each other and were compressed. Result:The lengthening was from 4 to 8cm and 4.7cm in average in all 16 patients. All the limbs were lengthened to the expected length. Conclusion:Semicircular external fixator and its related bone distraction technique can be used to treat lower limb discrepancy of children with satisfactory result. Lower limb discrepancy with bone defect or nonunion is the optimal indication for the treatment of bone lengthening by using semicircular external fixator.
, 百拇医药
Key words:Lower limb discrepancy Bone lengthening Extemal fixator▲
累及骨骺的创伤、炎症以及小儿麻痹症等均可引起儿童下肢短缩而导致双侧肢体不等长。肢体不等长不仅是美观问题,更严重的是其所造成的步态异常、骨盆倾斜、代偿性脊柱侧弯等功能障碍。而骨缺损、骨不连性肢体短缩所造成的功能障碍程度和对儿童肢体正常发育的影响则更为严重。1993~1998年我科共收治上述原因造成的儿童下肢短缩患儿16例,采用国产半环式外固定架予以截骨后延长/加压治疗,获得满意疗效。
1 临床资料
1.1 一般资料 本组患儿16例,男9例,女7例。年龄4~15岁。平均8.3岁。其中单纯下肢短缩11例:脊髓灰质炎后遗症肢体短缩6例,创伤性下肢短缩2例,先天性短肢畸形3例;胫骨上端骨髓炎炎症治愈后骨缺损2例;骨不连1例;胫骨创伤性骨缺损2例。
, http://www.100md.com
1.2 手术方法 麻醉后常规消毒、铺无菌巾,小切口(3cm)暴露股骨远端或胫骨近端。纵行切开骨膜,线锯横行切断骨质。分别于截骨线近、远端交叉钻入直径2.5mm克氏针各2枚。将截骨线近、远侧克氏针分别固定于2个半环上并连接固定好3根螺杆。关闭伤口。胫骨截骨延长患儿在小腿外侧另作小切口,纵行切开骨膜、斜行切断腓骨。对胫骨骨缺损、骨不连性肢体短缩患儿将其假关节旷置或行病灶清除后将两骨端修整成尖朝向膝关节、骨骺端向内凹、骨干端向外凸的倒置“V”形,使其能相互嵌合。分别于截骨线近侧、截骨线与假关节之间、假关节远侧交叉钻入直径2.5mm克氏针各2枚并固定于近、中、远侧3个半环上,连接固定好螺杆,假关节处即行加压。术后第5~7d开始牵伸延长,每天1mm,分2次完成。假关节处术后亦持续加压。
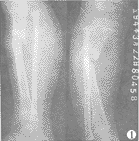
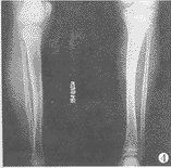
1.3 结果 单纯下肢短缩患儿中股骨远端延长2个肢体,胫骨近端延长9个肢体。胫骨骨缺损、骨不连假关节加压并骨延长5个肢体。骨延长长度4~8cm,平均4.7cm,所有患肢均延长到预期长度。骨缺损、骨不连骨性愈合(典型病例治疗前、后X线片见图1~3)。治疗过程中针孔软组织感染6例,经局部引流后均治愈,无一例致骨感染拔针。膝关节挛缩5例(20°~30°),去除外固定架后经功能锻炼逐渐恢复正常或改善(见图4~7)。
, http://www.100md.com
图1 急性血源性骨髓炎所致胫骨骨缺损、骨不连性肢体短缩。
图2 假关节处修整成相互嵌合的“V”形并加压,胫骨近端牵伸延长。
图3 骨延长4.2cm,骨缺损、骨不连处骨性愈合,双下肢等长(图右侧为患肢)
图4 骨牵伸/加压术后5年,左小腿正、侧位X线片。
图5 患侧膝关节屈曲正常。
, http://www.100md.com
图6 双下肢等长。
图7 患肢膝关节伸180°
2 讨 论
儿童下肢不等长(>2cm)可以用短缩健侧肢体或延长患侧肢体的方法治疗。但由于前者存在易导致肢体与人体失去正常比例、不能矫正患侧畸形等较大缺陷,故延长患肢的方法是更为理想的选择。目前用于渐进性骨牵伸延长的外固定架有单边式、半环形或环形外固定架。相对于半环形或环形外固定架而言,单边式外固定架骨延长技术操作虽较简单,但其矫正成角和旋转畸形的能力有限,且难以做到骨延长的同时对骨缺损、骨不连部位进行加压[1]。我们体会,半环形外固定架更适合肢体延长,特别是合并有骨缺损、骨不连的肢体短缩是应用半环形外固定架骨延长技术的理想适应证,可同时解决骨缺损或骨不连及肢体短缩两个问题并矫正患侧的继发畸形。对骨缺损或骨不连所造成的假关节作者曾采取旷置或病灶清除后直接加压的方式处理,但治疗过程中发现,假关节的两骨端由于长期骨不愈合,其形态不规则或骨端硬化、光滑,易出现加压过程中骨端对位不良或不稳,持续加压甚至发生两骨端重叠移位。为解决这个问题,我们将假关节的近骨骺端修整成向骺方向凹的“V”形,骨干端修整为相应向骺方向凸的“V”形,这样加压过程中两骨端可紧密嵌合,避免了上述不利情况的发生,同时也由于增加了骨的接触面而有利于骨愈合。
, 百拇医药
儿童、青少年正处于生长发育的活跃期,骨骼是维持肢体正常发育所必需的支架。骨缺损、骨不连如不能及时治愈,肢体发育将会处于生长发育快和失去正常骨骼支撑这一对矛盾之中,极易导致各种继发畸形的发生。治疗的目的应在于促进骨缺损、骨不连的愈合,延长短缩的肢体并矫正继发畸形。半环式外固定架渐进性骨延长、加压技术较好地满足了上述治疗目的。
针道感染是外固定架骨延长的最常见并发症[1],但根据我们对“感染针孔”的动态观察和细菌培养结果证实,多数“针孔感染”实际上是固定针对皮肤组织的物理刺激所引起的无菌性炎性反应。关键在于要防止这种炎性反应发展成为软组织感染。真正针道软组织感染可经扩大针孔或切排引流予以处理,而一旦出现骨感染则需拔针。钢针贯穿肌肉和肌腱引起其固定和限制关节活动是造成关节挛缩的原因[2]。与单边式外固定架相比,半环式外固定架的贯穿式穿针固定(transfixation)更多地限制了肌肉和关节的活动,可能会导致关节挛缩发生率增高。本组关节挛缩发生率为31.3%,与国内文献报道近似[3]。但挛缩关节在骨愈合去除外固定架后,经功能锻炼可恢复正常或关节功能逐步改善。
, 百拇医药
(本文附图见封二)■
作者简介:陈廖斌(1963-),男,湖北武汉市人,副主任医师,硕士学位。研究方向:人工关节。
电话:(027)87317787(办) 87331323(宅)
E-mail:clbwhcbd @ public.wh.hb.cn.
参考文献:
[1]Canale ST,Beaty JM.Operative Pediatric Orthopaedics Mi-
ssouri[J]. Mosby-Year Book, Inc, 1991,213.
[2]Paley D.Problems obstacles and complications of limb leng-
thening by the Ilizarov technique[J]. Clin Orthop, 1990,250:81.
[3]范毓华,黄禄基,唐凯.Ilizarov 技术治疗下肢畸形并发症的探讨[J].中华小儿外科杂志,1998,19:110.
收稿日期:1999-07-06
修回日期:1999-08-23, http://www.100md.com
单位:湖北医科大学附属第二医院骨科,武汉 430071
关键词:下肢短缩;骨延长;外固定架
中国矫形外科杂志000212
摘 要:目的:介绍应用半环式外固定架渐进性骨牵伸/加压技术治疗儿童下肢短缩的经验。方法:单纯下肢短缩采用股骨远端或胫骨近端横行截骨,半环式外固定架牵伸延长;胫骨骨缺损、骨不连性肢体短缩除截骨延长外,还将假关节两骨端修整成相互嵌合的“V”形并加压。结果:16例患儿骨延长4~8cm,平均4.7cm,均达预期长度。结论:半环式外固定架骨延长治疗儿童下肢短缩畸形疗效满意,合并骨缺损、骨不连的肢体短缩是应用半环式外固定架骨延长的理想适应证。
分类号:R682.6 文献标识码:A
, 百拇医药
文章编号:1005-8478(2000)02-0140-02
Treating Lower Limb Discrepancy of Children with Semicircular External Fixator and Gradual Bone Distraction Technique
CHEN Liao-bin, GU Jie-fu.
(Department of Orthopaedics, The Second Affiliated Hospital, Hubei Medical University, Wuhan 430071.)
Abstract:Objective:To present the experience of treating lower limb discrepancy of children with semicircular external fixator and gradual bone distraction/compression technique. Method:For the cases of pure limb discrepancy, transverse osteotomies were performed in the distal femur or proximal tibia and semicircular external fixators were used for gradual bone distraction. For the cases with bone defect or nonunion, besides the bone osteotomy and the following distraction, the both bone ends of the pseudarthrosis were trimmed to the “V”shapes that corresponded to each other and were compressed. Result:The lengthening was from 4 to 8cm and 4.7cm in average in all 16 patients. All the limbs were lengthened to the expected length. Conclusion:Semicircular external fixator and its related bone distraction technique can be used to treat lower limb discrepancy of children with satisfactory result. Lower limb discrepancy with bone defect or nonunion is the optimal indication for the treatment of bone lengthening by using semicircular external fixator.
, 百拇医药
Key words:Lower limb discrepancy Bone lengthening Extemal fixator▲
累及骨骺的创伤、炎症以及小儿麻痹症等均可引起儿童下肢短缩而导致双侧肢体不等长。肢体不等长不仅是美观问题,更严重的是其所造成的步态异常、骨盆倾斜、代偿性脊柱侧弯等功能障碍。而骨缺损、骨不连性肢体短缩所造成的功能障碍程度和对儿童肢体正常发育的影响则更为严重。1993~1998年我科共收治上述原因造成的儿童下肢短缩患儿16例,采用国产半环式外固定架予以截骨后延长/加压治疗,获得满意疗效。
1 临床资料
1.1 一般资料 本组患儿16例,男9例,女7例。年龄4~15岁。平均8.3岁。其中单纯下肢短缩11例:脊髓灰质炎后遗症肢体短缩6例,创伤性下肢短缩2例,先天性短肢畸形3例;胫骨上端骨髓炎炎症治愈后骨缺损2例;骨不连1例;胫骨创伤性骨缺损2例。
, http://www.100md.com
1.2 手术方法 麻醉后常规消毒、铺无菌巾,小切口(3cm)暴露股骨远端或胫骨近端。纵行切开骨膜,线锯横行切断骨质。分别于截骨线近、远端交叉钻入直径2.5mm克氏针各2枚。将截骨线近、远侧克氏针分别固定于2个半环上并连接固定好3根螺杆。关闭伤口。胫骨截骨延长患儿在小腿外侧另作小切口,纵行切开骨膜、斜行切断腓骨。对胫骨骨缺损、骨不连性肢体短缩患儿将其假关节旷置或行病灶清除后将两骨端修整成尖朝向膝关节、骨骺端向内凹、骨干端向外凸的倒置“V”形,使其能相互嵌合。分别于截骨线近侧、截骨线与假关节之间、假关节远侧交叉钻入直径2.5mm克氏针各2枚并固定于近、中、远侧3个半环上,连接固定好螺杆,假关节处即行加压。术后第5~7d开始牵伸延长,每天1mm,分2次完成。假关节处术后亦持续加压。
1.3 结果 单纯下肢短缩患儿中股骨远端延长2个肢体,胫骨近端延长9个肢体。胫骨骨缺损、骨不连假关节加压并骨延长5个肢体。骨延长长度4~8cm,平均4.7cm,所有患肢均延长到预期长度。骨缺损、骨不连骨性愈合(典型病例治疗前、后X线片见图1~3)。治疗过程中针孔软组织感染6例,经局部引流后均治愈,无一例致骨感染拔针。膝关节挛缩5例(20°~30°),去除外固定架后经功能锻炼逐渐恢复正常或改善(见图4~7)。
, http://www.100md.com
图1 急性血源性骨髓炎所致胫骨骨缺损、骨不连性肢体短缩。
图2 假关节处修整成相互嵌合的“V”形并加压,胫骨近端牵伸延长。
图3 骨延长4.2cm,骨缺损、骨不连处骨性愈合,双下肢等长(图右侧为患肢)
图4 骨牵伸/加压术后5年,左小腿正、侧位X线片。
图5 患侧膝关节屈曲正常。
, http://www.100md.com
图6 双下肢等长。
图7 患肢膝关节伸180°
2 讨 论
儿童下肢不等长(>2cm)可以用短缩健侧肢体或延长患侧肢体的方法治疗。但由于前者存在易导致肢体与人体失去正常比例、不能矫正患侧畸形等较大缺陷,故延长患肢的方法是更为理想的选择。目前用于渐进性骨牵伸延长的外固定架有单边式、半环形或环形外固定架。相对于半环形或环形外固定架而言,单边式外固定架骨延长技术操作虽较简单,但其矫正成角和旋转畸形的能力有限,且难以做到骨延长的同时对骨缺损、骨不连部位进行加压[1]。我们体会,半环形外固定架更适合肢体延长,特别是合并有骨缺损、骨不连的肢体短缩是应用半环形外固定架骨延长技术的理想适应证,可同时解决骨缺损或骨不连及肢体短缩两个问题并矫正患侧的继发畸形。对骨缺损或骨不连所造成的假关节作者曾采取旷置或病灶清除后直接加压的方式处理,但治疗过程中发现,假关节的两骨端由于长期骨不愈合,其形态不规则或骨端硬化、光滑,易出现加压过程中骨端对位不良或不稳,持续加压甚至发生两骨端重叠移位。为解决这个问题,我们将假关节的近骨骺端修整成向骺方向凹的“V”形,骨干端修整为相应向骺方向凸的“V”形,这样加压过程中两骨端可紧密嵌合,避免了上述不利情况的发生,同时也由于增加了骨的接触面而有利于骨愈合。
, 百拇医药
儿童、青少年正处于生长发育的活跃期,骨骼是维持肢体正常发育所必需的支架。骨缺损、骨不连如不能及时治愈,肢体发育将会处于生长发育快和失去正常骨骼支撑这一对矛盾之中,极易导致各种继发畸形的发生。治疗的目的应在于促进骨缺损、骨不连的愈合,延长短缩的肢体并矫正继发畸形。半环式外固定架渐进性骨延长、加压技术较好地满足了上述治疗目的。
针道感染是外固定架骨延长的最常见并发症[1],但根据我们对“感染针孔”的动态观察和细菌培养结果证实,多数“针孔感染”实际上是固定针对皮肤组织的物理刺激所引起的无菌性炎性反应。关键在于要防止这种炎性反应发展成为软组织感染。真正针道软组织感染可经扩大针孔或切排引流予以处理,而一旦出现骨感染则需拔针。钢针贯穿肌肉和肌腱引起其固定和限制关节活动是造成关节挛缩的原因[2]。与单边式外固定架相比,半环式外固定架的贯穿式穿针固定(transfixation)更多地限制了肌肉和关节的活动,可能会导致关节挛缩发生率增高。本组关节挛缩发生率为31.3%,与国内文献报道近似[3]。但挛缩关节在骨愈合去除外固定架后,经功能锻炼可恢复正常或关节功能逐步改善。
, 百拇医药
(本文附图见封二)■
作者简介:陈廖斌(1963-),男,湖北武汉市人,副主任医师,硕士学位。研究方向:人工关节。
电话:(027)87317787(办) 87331323(宅)
E-mail:clbwhcbd @ public.wh.hb.cn.
参考文献:
[1]Canale ST,Beaty JM.Operative Pediatric Orthopaedics Mi-
ssouri[J]. Mosby-Year Book, Inc, 1991,213.
[2]Paley D.Problems obstacles and complications of limb leng-
thening by the Ilizarov technique[J]. Clin Orthop, 1990,250:81.
[3]范毓华,黄禄基,唐凯.Ilizarov 技术治疗下肢畸形并发症的探讨[J].中华小儿外科杂志,1998,19:110.
收稿日期:1999-07-06
修回日期:1999-08-23, http://www.100md.com