维持性血液透析患者骨组织学改变及计量分析
作者:陈惠萍 季大玺 谢红浪 曾彩虹 刘红 徐斌 黎磊石 朱建民△ W.E.Huffer△ P.Ruegg△
单位:陈惠萍(南京军区南京总医院 解放军肾脏病研究所 南京,210002);季大玺(南京军区南京总医院 解放军肾脏病研究所 南京,210002);谢红浪(南京军区南京总医院 解放军肾脏病研究所 南京,210002);曾彩虹(南京军区南京总医院 解放军肾脏病研究所 南京,210002);刘红(南京军区南京总医院 解放军肾脏病研究所 南京,210002)
关键词:骨活检;骨组织学改变;骨计量学分析
肾脏病与透折肾移植杂志000201 摘 要 目的:了解维持性血液透析患者骨组织学改变特点及各型骨病的发生率。 方法:观察49例维持性血液透析患者骨活检组织学标本,并进行骨形态学计量分析,测定骨铝含量,检测部分血生化指标。 结果:本组患者均存在不同程度的骨组织学异常改变。高转化型骨病(High turnover bone disease,又称Predominant hyperparathyroid bone disease,PHBD)24例(49.0%),以骨转化明显增加为特点,标本中见大量破骨细胞,典型吸收腔及棕色瘤等。低转化型骨病(Low turnover bone disease,LTBD)19例(38.8%),骨“重建”部位减少,成骨细胞及破骨细胞活性明显下降。LTBD又分为骨软化(Osteomalacia,LTOM)4例,占本组骨病的8.2%,其组织学特点为大量类骨质生成,矿化骨明显减少;骨再生不良(adynamic renal bone disease,ABD)15例,占本组骨病的30.6%,以骨量下降、少量类骨质为特征。混合性尿毒症性骨病(Mixed uremic osteodystrophy,MUO)6例(12.2%),患者具有PHBD和MUO共同的组织学特点。骨组织形态学计量分析证实,与LTBD相比,PHBD患者校正矿化率升高(P>0.05),矿化时间缩短(P<0.01)、骨形成率增加,破骨细胞数增多,较多吸收腔(P<0.001);LTBD则相反,骨形成较低,矿化时间延长,破骨细胞消失,无吸收腔。本组骨铝染色阳性≥30%者占63.3%,以LTBD患者骨铝阳性居首,占84.2%,而PHBD者骨铝阳性亦为54.2%,其确切机制不清,MUO骨铝阳性者33.3%,血生化检查证实,与LTBD比较,PHBD及MUO组AKP,iPTH水平均升高(P<0.01),但PHBD及MUO组相比,血AKP及iPTH水平无统计学差异。 结论:本组患者均存在不同程度骨病的组织学改变,骨病分型以PHBD为主(49.0%)。骨铝总阳性率63.3%,其中LTBD组骨铝阳性为84.2%,血生化检查不能明确骨病类型,骨活检为诊断骨病类型的可靠方法。
, 百拇医药
MORPHOMETRIC ANALYSIS OF THE HISTOLOGICAL CHANGES IN PATIENTS ON CHRONIC MAINTENANCE HEMODIALYSIS
CHEN Huiping,JI Daxi,XIE Honglang,ZENG Caihong,LIU Hong,XU Bing,LI Leishi,(Research Institute of Nephrology,Jinling Hospital,Nanjing University Clinical School of Medicine,Nanjing 210002)
ZHU Jianmin,W.E. Huffer,P.Ruegg
(Department of Pathology,University of Colorado Health Sciences Center,4200 East Ninth Avenue,Denver,Colorado,USA)
, 百拇医药
OBJECTIVE To investigate the histological characters and classification of bone diseases in maintenance hemodialysis patients. METHODOLOGY Quantitative evaluation of bone biopsy tissue,measurement of bone aluminum content and serum biochemical parameters were performed in 49 patients on chronic maintenance hemodialysis. RESULTS Variant bone histological lesions were observed in all the patients and were classified into 3 groups:predominant hyperparathyroid bone disease(PHBD)in 24 cases(49.0%),low turnover bone disease(LTBD)in 19 cases(38.8%)(including 4 cases of osteomalacia,15 cases of adynamic renal bone disease),and mixed uremic osteodystrophy(MUO)in 6 cases(12.2%).The PHBD is characterized by a marked increase in bone turnover,with a large amount of enlarged osteoclasts and deep irregular eroded cavities.Representing the other end of the spectrum from PHBD,LTBD is marked by a profound decrease in active remodeling sites.This features underlined a marked decrease in osteoblastic activity and in the number of osteoclasts or osteoblasts.LTBD can be further sub-grouped into osteomalacia(LTOM)and adynamic renal bone disease(ABD).We identified four cases of LTOM that was characterized by accumulated un-mineralized matrix or pronounced inhibition of collagen deposition.We identified 19 cases of ABD whose bone volume was frequently reduced.However there was few osteoid seams in patients with ABD.The histological features of MUO shared those of PHBD and LTBD,and various in different patients depending on the dominant underline pathogenesis.The morphometric analysis showed that adjusted apposition rate was higher in PHBD group than in LTBD and MUO groups.However the bone formation rate,the number of osteoclasts and eroded cavities surface were increased in PHBD group while decreased in PTLD group(P<0.001).The mineralization lag time was decreased in PHBD group and increased in PTLD group(P<0.01).Overall,63.3% of the patients exhibited positive aluminium stain at more than 30% of the trabecular surface.The positive aluminum deposition in bone was observed in 84.2% of patients with LTBD,in 54.2% of patients with PHBD and 33.3% of patients with MUO.Serum AKP and intact parathyroid hormone (iPTH) levels were increased in PHBD and MUO groups as compared to those in MUO group,while no significant difference of neither of the parameters was found between PHBD group and MUO group. CONCLUSION Patients on chronic maintenance hemodialysis are inevitably complicated with histology evidenced bone diseases(of those PHBD is the commonest type),and are frequently complicated with aluminum deposition(in 63.3% of the total patients).Bone biopsy is more informative in the classification of renal osteodystrophy than serum AKP and iPTH.
, 百拇医药
Key words hemodialysis osteodystrophy bone biopsy
终末期肾功能衰竭可以产生一系列的代谢变化,其中矿物质代谢紊乱所致的骨结构、骨转化的异常直接影响患者的生活质量[1]。因此,早期诊断、预防骨病是长期替代治疗患者需要正视的问题。本文报告49例国人慢性肾功能衰竭(chronic renal failure,CRF)维持性血液透析患者骨活检组织学改变及形态学计量分析,旨在提高对肾性骨病的诊断、分型认识。
1 对象和方法
1.1 病例选择 49例维持性血液透析患者均来自南京军区南京总医院解放军肾脏病研究所血液净化中心,其中男性38例,女性11例,平均年龄53.8±11.4(33~78)岁,平均透析时间92.3±43.4(30~206)个月,血液透析时间≥5年者12例,5~10年者25例,12例患者血透时间>10年,透析时间最长者达206个月余。原发病因为:慢性肾小球肾炎29例,慢性间质性肾炎4例,糖尿病肾病3例,紫癜性肾炎、慢性肾盂肾炎、遗传性肾炎、肾结核及庆大霉素中毒引起的肾损害各1例,8例患者原发病因不明。
, 百拇医药
1.2 骨活检方法 患者在第1~3天,每次口服四环素150mg,3次/d,第16~19天每次口服土霉素0.25g,4次/d,第22日在局部麻醉下,采用Jamshidi针行髂后嵴穿刺活检。将Jamshidi针垂直刺入骨组织约2cm,轻轻摇动拆断基部,拔针后用针芯将所取骨组织(直径约2mm,长约1.5~2cm)推入盛有冷纯乙醇的小瓶中固定,0℃放置2h(不能冰冻)以上[2,3]。
1.3 骨组织处理和染色 (1)固定及包埋:取出纯乙醇固定的骨组织,置丙酮30min以上,再将其放入甲基丙烯酸酯(Glycol melhaerylate)中浸透,置冷室震荡,24h更换甲基丙烯酸酯液,3天后取出骨组织,包埋,置4℃冰箱4h以上,以Jung切片机连续切片,切片厚5μm。(2)染色:全部标本采用不脱钙染色,包括:A、改良的Von Kossa染色:测定类骨质和矿化骨;B、酸性磷酸酶(Tartrate resistant acid phosphatase)染色:计算破骨细胞数;C、酸性铬兰(acidic solochrome azurine)染色:骨组织中铝含量;D、碱性磷酸酶(alkaline phosphatase)染色:计算成骨细胞;E、未染色切片:测定四环素标记线距离,计算骨矿化率和矿化时间;F、其它:包括铁离子染色及Sirius Red染色[3~5]。
, 百拇医药
1.4 骨组织形态计量分析 采用黑白图象分析系统,对49例国人维持性血液透析患者骨组织标本进行测量,计算出类骨质面积(Osteoid Area,%);类骨质宽度(Osteoid width,μm);骨小梁面积(Trabecular Area,%);骨校正矿化率(Adjusted apposition rate,Aj.Ar,μm/d)、矿化时间(Mineralization lag time,天)、破骨细胞(Osteoclast)及成骨细胞(Osteoblast)数(个/mm2);吸收腔面积(Eroded area,%);观察骨铝沉积状况[6],当骨小梁表面铝沉积≥30%时,则提示骨铝阳性[7]。
1.5 血生化检查 全部患者均在骨活检前一周透析前取血,查钙、磷、碱性磷酸酶等;并用放射免疫法测定全段甲状旁腺素(intact parathyroid hormone,iPTH)水平(正常值9~55 μg/L)。
, 百拇医药
1.6 统计学分析 对各组数据采用t检验和χ2检验。
2 结 果
2.1 骨组织学分型及与铝沉积,年龄、性别的关系 根据骨动力学状态分析,本组患者均存在不同程度,不同组织学特点的骨组织学改变。按组织学改变特点可分为高转化型骨病(High turnover bone disease,又称Predominant hyperparathyroid bone disease,PHBD)(图1A,1B),低转化型骨病(Low turnover bone disease,LTBD)(图2A,2B),LTBD又可分为骨软化(osteomalacia,LTOM)、骨再生不良(adynamic renal bone disease,ABD)和混合性尿毒症性骨病(Mixed uremic osteodystrophy,MUO)(图3A,3B)三种类型[1]。本组各型骨病患者年龄、性别、透析时间及与骨铝沉积的关系等见表1。
, 百拇医药
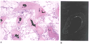
Fig.1. Predominant hyperparathyroid bone disease.
A.Irregular trabecular surface with increase in osteoid,osteoblasts and osteoclasts.Marrow fibrosis.(Von Kossa stain.Original magnification;×100).B.Increased fractions of trabecular surface exhibiting
tetracycline uptake.Presence
of diffuse intense and irregular double labels(Unstained 5μm thick section viewed under fluorescent light microscopy,original magnification,×100).
, http://www.100md.com
Fig.2. Low-turnover osteomalacia.
A.Dramatic increase in extent of osteoid covering the trabecular surface and
thick osteoid seams.Absence of osteoblasts and osteoclasts.(Von Kossa stain.Original magnification,×100).B.Thin and weak single labels
at the bone-osteoid interface.Absence of double labels.(Unstained 5μm thick section viewed under fluorescent light microscopy,original
, 百拇医药
magnification,×100).
Fig.3. Mixed uremic osteodystrophy
A:Increase in osteoid surface and eroded cavity,osteoclasts.(Von Kossa stain.Original magnification,×100).B:Coexistence of double and thin single tetracycline labels(Unstained 5μm thick section viewed under fluorescent light microscopy,original magnification,×100).
2.2 各型骨病患者骨组织形态学计量分析 各组患者骨组织形态学计量分析参数见表2。PHBD患者骨标本中可见大量破骨细胞吸收腔(图4)及棕色瘤(图5),各组中均可见骨铝阳性者(图6)。
, http://www.100md.com
2.3 各型骨病患者血液生化检查结果 表3为各型骨病患者血生化改变特点及其与骨病分型间的关系。
2.4 不同地区骨病及骨铝阳性发生率 按骨铝染色阳性≥30%骨小梁表面积时作为铝中毒[7]。本组骨铝阳性率为63.3%。将本组骨病分型及铝染色阳性结果与文献进行对比见表4。
Fig.4. Predominant hyperparathyroid bone disease:multinucleated and large osteoclasts,marrow fibrosis in eroded cavity.(Tartrate resistant acid phosphatase,Original magnification,×100)
, 百拇医药
Fig.5. Predominant hyperparathyroid bone disease.Numerous osteoclasts and “brown tumor”(Tartrate resistant acid phosphatase.Original magnification,×100).
Fig.6. Aluminum deposits in bone.Linear intense blue aluminum staining at
the bone marrow interface and bone-osteoid interface.(acidic solochrome azurine,Original magnification,×100).
Table 1. Clinical data of three groups of patients with the renal osteodystrophy Type
, http://www.100md.com
n(%)
Age(y)
M/F
Duration of HD(m)
Aluminum deposition(%)
PHBD
24(49.0)
52.8±11.4
19/5
108.0±47.6ab*
13(54.2)ab**
, 百拇医药
LTBD
19(38.8)
56.8±12.1
15/4
76.9±37.9
16(84.2)c**
MUO
6(12.2)
48.3±7.3
4/2
78.7±16.2
2(33.3)
, 百拇医药
Total
49(100)
53.8±11.4
38/11
92.3±43.4
31(63.3)
*P<0.05,**P<0.01;
a:PHBD vs LTBD group; b:PHBD vs MUO group; c:LTBD vs MUO groupTable 2. Quantitative analysis of histologic changes in the three groups of renal
, 百拇医药
osteodystrophy(
±s)
PHBD(n=24)
LTBD(n=19)
MUO(n=6)
Normal
Osteoid Area(%)
55.83±34.43
47.59±41.45c
93.57±41.72
4~18
, 百拇医药
Osteoid Width(μm)
13.69±4.645b**
13.61±7.37c
26.70±0.90
6~12
Trabecular Area(%)
20.84±6.43
18.16±6.27
21.23±7.17
15~28
Aj.Ar(μm/d)
, 百拇医药
0.575±0.43
0.37±0.63
0.22±0.32
0.2~0.5
Bone Formation rate(μm2/d)
42.13±43.05a***
13.93±37.66
5.20±6.17
4~38
Mineralization Lag time(day)
, http://www.100md.com
30.5±19.73a**
256.33±291.70c*
59.78±41.94
15~50
Osteoclast number(#/mm2)
7.07±3.36a***
0.86±0.51c***
9.3±7.07
0~2
Osteoblast number(#/mm2)
, 百拇医药
10.29±5.16a***
2.89±2.14c**
12.2±5.72
5~8
Eroded surface(%)
12.69±5.14a***
4.23±2.08c***
14.03±3.62
2~10
Aluminum perimeter(%)
, 百拇医药
55.17±3.29
79.85±28.53c*
69.23±32.13
0
*P<0.05, **P<0.01, ***P<0.001
a:PHBD vs LTBD group; b:PHBD vs MUO group; C:LTBD vs MUO groupTable 3. Biochemical characters of three renal osteodytrophy groups(
±s) Type
, 百拇医药
Calcium(mmol/L)
Phosphate(mmol/L)
AKP(U/L)
iPTH(μg/L)
PHBD
2.36±0.32
1.65±0.55
216.6±219.0a*
777.9±860.7a*
LTBD
2.56±0.39
, http://www.100md.com
1.66±0.55
135.7±115.5
149.8±200.8
MUO
2.32±0.26
1.33±0.60
210.8±162.8c*
732.8±400.1c*
Total
2.43±0.35
1.62±0.55
, 百拇医药
210.5±185.5
523.6±681.1
*P<0.01; a:PHBD vs LTBD group; b:PHBD vs MUO group; c:LTBD vs MUO groupTable 4. Renal osteodystrophies in different studies(%)
Nanjing
(1999)
Shanghai
(1993)
Colorado
(1993)
, http://www.100md.com
Kentucky
(1996)
PHBD
49.0
51.0
30.1
24.5
LTBD
38.8
7.8
23.8
22.6
LTOM
, 百拇医药
8.2
7.8
8.9
6.2
ABD
30.6
-
14.9
16.4
MUO
12.2
41.2
46.1
, 百拇医药
52.9
Aluminum positive
63.3
11.8
42.9
58.5
3 讨 论
3.1 肾性骨病的发生率及与骨铝阳性的关系 随着CRF保肾疗法的日益推广及血液透析、腹膜透析等替代治疗技术的不断改进和提高,CRF患者的生存率明显提高,骨病已成为影响生活质量的主要问题之一[1,7]。本组49例CRF行维持性血液透析患者中,PHBD 24例(49%),LTBD 19例(38.8%)[其中包括LTOM 4例(8.2%)和ABD 15例(30.6%)],MUO 6例(12.2%)。这种骨病类型的分布与文献报告略有不同,与俞育飞等报告的也有些差别(表4)[7~9]。
, http://www.100md.com
本组以PHBD为主(49.0%),其它三组患者MUO的发生率居多。在LTBD中,本组ABD的发生率为30.6%,远远高于其它两组(表4)。存在这些差别的原因是什么?是与选择的患者透析时间不同,透析前后的治疗措施不一样,还是与透析液、透析装置有差别,尚须继续探讨。
铝中毒与骨病的关系较为复杂[7,10]。传统的观念认为,铝抑制PTH分泌,血清PTH水平,骨铝含量,与血清铝水平和甲状旁腺水平呈反比关系。骨铝阳性常与LTBD(包括LTOM和ABD)相关。事实上,三种骨病的组织学类型都可见骨铝阳性者,只是发生率高低不一[11]。许多学者提出,当PTH水平过高时,反而促使骨组织吸收铝[11~14]。文献一般认为,LTBD中90%患者骨铝阳性,MUO患者骨铝阳性者近50%,PHBD一般仅10%~15%的患者骨铝阳性。然而本组铝中毒的发生率较上海报告的明显增高,与Kentucky报告的相近,其中PHBD患者骨铝阳性≥30%者则高达54.2%,与Doty报告的PHBD患者骨铝阳性率较高的观点相一致[15]。本组骨铝阳性率高的原因是什么?PHBD患者骨铝阳性的机制是什么?是否血清高PTH增加了骨铝摄入还是与其它因素如透析时间过长(最长达206月)及透析以外因素、骨铝染色技术等相关,将有待进一步研究。
, 百拇医药
3.2 肾性骨病的组织学特点及计量分析的意义 PHBD以骨转化明显增高为特征。一般认为本型骨病多与甲状旁腺激素过度分泌相关,PTH直接或间接刺激破骨细胞和成骨细胞,骨小梁表面不规则,产生一系列骨“重建”异常增生的病理改变。破骨细胞数增多、多核、大核仁并吸收旧骨形成不规则的吸收腔,分割或穿过骨小梁,典型病例见棕色瘤(图5);成骨细胞由立方形变为多边形、纺锤形,“栅栏样”单层排列的成骨细胞被非典型的多层,多方向排列的细胞所替代。类骨质表面积和体积增加,由于胶原过度产生类骨质增厚,呈不规则状(图1A)。晚期纤维化的骨完全替代了骨髓(反映每个破骨细胞规则的活性降低而不规则的活动性增加)。由于破骨细胞数增加并在矿化骨周分布,类骨质束和矿化骨中见许多不规则的破骨细胞腔隙,引起成骨细胞在类骨质缘停滞,矿化率和范围及矿化部位明显增加。此时弥漫增厚的类骨质和不规则的四环素摄取线极易误诊为骨软化。本组PHBD患者标本中可见大量、大体积的破骨细胞、典型吸收腔、棕色瘤等(封面图,图4,图5)。骨转化明显增加使皮质骨网眼状,在四肢骨中,皮质骨减少最明显。一般PHBD表现为高骨量,但营养不良,运动减少或其它原因也可引起骨量明显减少。邻近高骨量区域,常可见增生的或纤维化的骨髓,使骨呈囊样改变。
, 百拇医药
LTBD的组织学改变特点与PHBD完全相反,它以活动性的骨“重建”部位明显减少为特征,成骨细胞活动性明显下降,仅见少数或无破骨和成骨细胞。通常仅见单层弱的四环素标记线,其它特征包括层状的骨结构,无活动性骨形成单位,矿化表面明显减少。LTOM患者未矿化骨组成了骨小梁的相当大的一部分,层状类骨质的量明显增加,使类骨质增宽覆盖大多数骨小梁表面(图2A);偶尔骨小梁内存在波纹状的骨则表明以往存在高转化,罕见破骨细胞,或偶见小梁骨内或偶在无类骨质覆盖的小梁骨表面。ABD时骨量常减少,矿化骨与骨形成平行减少,以仅见少量类骨质为特征。
MUO则具有PHBD及LTBD的共同特征。骨量/组织量极不恒定,取决于以哪种发病机制为主。其它表现包括骨重建部位增加,成骨细胞增加,骨小梁周纤维化及骨小梁、类骨质面积增加等(图3A)。
1982年Malluche等引进了测量骨的表面积、厚度、体积和其它骨成分半定量的图象分析方法[16],无疑给我们诊断的正确性和可靠性带来了益处,然而对骨标本取材的要求也有所提高。所取标本应测量哪些组织结构,应估计何种成分,正常人与各种骨病患者所测得的哪些参数可能有差异,治疗后病变是否改善等等,都是新的课题。最终自动化的用于测量骨组织改变的放大系统将取代半定量的图象测定。分析本组形态学计量资料发现,PHBD组骨形成率与LTBD组比较有极其显著性差异,破骨细胞数,成骨细胞数明显增加,吸收腔面积%远较LTBD高,LTBD组中骨矿化时间延长,破骨细胞数及吸收腔面积%均在正常范围内(表2)。类骨质面积和宽度对PHBD和LTBD的诊断也有一定价值。分析每位患者形态学计量结果时发现,PHBD患者类骨质宽度常>12μm,但<15μm,LTOM患者则类骨质宽度>15μm。然而ABD时成骨细胞数目和活性降低,类骨质宽度可以正常(因为骨再生不良)。由于本组LTBD患者以ABD为多,因此进行定量分析时,类骨质宽度在PHBD组和LTBD组间无统计学差异(表2)。更重要的是形态学计量分析者掌握的测量标准及尺度往往不一致,也会给诊断带来误差。自动化的用于测量骨组织学静态和动态参数的软件可能会减少这种误差。
, 百拇医药
我们认为肾性骨病的诊断仅依靠组织学改变而无形态学计量分析时,PHBD患者以破骨细胞数、是否存在吸收腔对诊断有益,若证实棕色瘤则诊断无疑,类骨质和矿化骨均增加,但类骨质宽度<矿化骨;LTBD时则无破骨细胞和吸收腔,更无棕色瘤;LTOM时类骨质明显增加而无矿化骨;ABD时,类骨质宽度减少(<矿化骨)。总之,破骨细胞数、吸收腔、棕色瘤、类骨质宽度和矿化骨均有利于肾性骨病的诊断和鉴别。
3.3 骨活检的临床应用 肾脏排泄功能受损的早期,当GFR下降到正常的50%时,就可以出现骨病,当GFR下降到40 ml/min以下时,可出现疏松的类骨质,GFR下降到30 ml/min时可见骨髓纤维化[17]……在慢性肾衰维持性血透时,几乎全部患者均可见骨组织学异常改变,然而仅依靠临床表现如骨痛、骨折…等难以对骨病类型进行鉴别,即使血生化指标如AKP、iPTH水平也只能提示患某种类型的骨病。本组PHBD和MUO患者,血清AKP和iPTH水平均显著高于LTBD患者,但这两组之间无显著性差异。因此,仅依靠AKP、iPTH等生化指标难以区分PHBD还是MUO(表3)。研究也发现,iPTH在65~450 μg/L时不能预测骨病类型[18],此外骨铝是否阳性,与选择治疗直接相关。骨活检能敏感地提供骨病的变化,精确提供骨病类型,并分析是否存在铝中毒,对治疗能做到量体裁衣,对症下药,因此我们认为CRF患者必须确定骨病的转化类型,以选择正确的治疗。
, http://www.100md.com
徐斌(南京军区南京总医院 解放军肾脏病研究所 南京,210002)
黎磊石(南京军区南京总医院 解放军肾脏病研究所 南京,210002)
朱建民(美国Colorado大学病理系,骨代谢研究室)
W.E.Huffer(美国Colorado大学病理系,骨代谢研究室)
P.Ruegg(美国Colorado大学病理系,骨代谢研究室)
参考文献
1,Malluche HH,Langub CL,Monier-Faugerl MC.The role of bone biopsy in clinical practical and research.Kidney Int,1999(Suppl 73),56:20
, 百拇医药
2,Zhu Jianmin,Alfrey A,Huffer WE.The changing pattern of renal osteodystrophy.肾脏病与透析肾移植杂志,1996,2:1
3,Malluche HH,Monier-Faugere MC.The role of bone biopsy in the management of patients with renal osteodystrophy.J Am Soc Nephrol,1994,4:1631
4,Kaye M,Hodsman AB,Malynowsky L.Staining of bone for aluminum:Use of acidic solochrome a urine.Kidney Int,1990,37:1147
5,Huffer WE,Zhu JM,Ruegg P.Modified Acidic solochrome azurine stain for video image analysis of aluminum lines in bone biopsies.J Histotechnol,1996,19:115
, 百拇医药
6,Huffer WE,Ruegg R,Zhu JM et al.Semiautomated methods for cancellous bone histomorphometry using a general purpose video image analysis system.J Microscop,1994,173:53
7,Monier-Faugere MC,Malluche HH.Trends in renal osteodystrophy:A survey from 1983 to 1995 in total of 2248 patients.Nephrol Dial Transplant,1996,11(Suppl 3):111
8,俞育飞,胡彦新,朱 萍等.51例肾性骨病的病理研究.中华内科杂志,1993,32:448
9,朱建民,Alfrey AC,Huffer WE.肾性骨病的组织学分型及骨活检的临床意义.中华内科杂志,1993,32:444
, http://www.100md.com
10,Malluche HH,Faugere MC.Renal bone disease 1990:An unmet challenge for the nephrologist.Kidney Int,1990,38:193
11,Mayor GH,Keiser JA,Makdani D et al.Aluminum absorption and distribution:Effect of parathyroid hormone.Science,1977,197:1187
12,Alfrey AC,Sedman A,Chan YL.The compartmentalization and metabolism of aluminum in uremic rat.J Lab Clin Med,1985,105:227
13,Ellis HA.Aluminum and osteomalacia after parathyroidectomy.Ann Intern Med,1982,96:533
, 百拇医药
14,Mayor GH,Sprague SM,Hourani MR et al.Parathyroid hormone-medicated aluminum deposition and egress in the rat.Kidney Int,1980,17:40
15,Doty SB.Morphological evidence of gap junctions between bone cells.Calcif Tissue Int,1981,33:509
16,Malluche HH,Sherman D,Meyer W et al.A new semiautomatic method for quantitative static and dynamic bone histology.Calcif Tissue Int,1982,34:439
17,Sherrard DJ,Hercz G,Pei Y et al.The spectrum of bone disease in end stage renal failure:An evolving disorder.Kidney Int,1993,43:436
18,Oi O,Faugere MC,Geng Z et al.Predictive value of serum parathyroid hormone levels for bone turnover in patients on chronic maitenance dialysis.Am J Kidney Dis,1995,26:622
(1999-10-30收稿,2000-01-07修回), 百拇医药
单位:陈惠萍(南京军区南京总医院 解放军肾脏病研究所 南京,210002);季大玺(南京军区南京总医院 解放军肾脏病研究所 南京,210002);谢红浪(南京军区南京总医院 解放军肾脏病研究所 南京,210002);曾彩虹(南京军区南京总医院 解放军肾脏病研究所 南京,210002);刘红(南京军区南京总医院 解放军肾脏病研究所 南京,210002)
关键词:骨活检;骨组织学改变;骨计量学分析
肾脏病与透折肾移植杂志000201 摘 要 目的:了解维持性血液透析患者骨组织学改变特点及各型骨病的发生率。 方法:观察49例维持性血液透析患者骨活检组织学标本,并进行骨形态学计量分析,测定骨铝含量,检测部分血生化指标。 结果:本组患者均存在不同程度的骨组织学异常改变。高转化型骨病(High turnover bone disease,又称Predominant hyperparathyroid bone disease,PHBD)24例(49.0%),以骨转化明显增加为特点,标本中见大量破骨细胞,典型吸收腔及棕色瘤等。低转化型骨病(Low turnover bone disease,LTBD)19例(38.8%),骨“重建”部位减少,成骨细胞及破骨细胞活性明显下降。LTBD又分为骨软化(Osteomalacia,LTOM)4例,占本组骨病的8.2%,其组织学特点为大量类骨质生成,矿化骨明显减少;骨再生不良(adynamic renal bone disease,ABD)15例,占本组骨病的30.6%,以骨量下降、少量类骨质为特征。混合性尿毒症性骨病(Mixed uremic osteodystrophy,MUO)6例(12.2%),患者具有PHBD和MUO共同的组织学特点。骨组织形态学计量分析证实,与LTBD相比,PHBD患者校正矿化率升高(P>0.05),矿化时间缩短(P<0.01)、骨形成率增加,破骨细胞数增多,较多吸收腔(P<0.001);LTBD则相反,骨形成较低,矿化时间延长,破骨细胞消失,无吸收腔。本组骨铝染色阳性≥30%者占63.3%,以LTBD患者骨铝阳性居首,占84.2%,而PHBD者骨铝阳性亦为54.2%,其确切机制不清,MUO骨铝阳性者33.3%,血生化检查证实,与LTBD比较,PHBD及MUO组AKP,iPTH水平均升高(P<0.01),但PHBD及MUO组相比,血AKP及iPTH水平无统计学差异。 结论:本组患者均存在不同程度骨病的组织学改变,骨病分型以PHBD为主(49.0%)。骨铝总阳性率63.3%,其中LTBD组骨铝阳性为84.2%,血生化检查不能明确骨病类型,骨活检为诊断骨病类型的可靠方法。
, 百拇医药
MORPHOMETRIC ANALYSIS OF THE HISTOLOGICAL CHANGES IN PATIENTS ON CHRONIC MAINTENANCE HEMODIALYSIS
CHEN Huiping,JI Daxi,XIE Honglang,ZENG Caihong,LIU Hong,XU Bing,LI Leishi,(Research Institute of Nephrology,Jinling Hospital,Nanjing University Clinical School of Medicine,Nanjing 210002)
ZHU Jianmin,W.E. Huffer,P.Ruegg
(Department of Pathology,University of Colorado Health Sciences Center,4200 East Ninth Avenue,Denver,Colorado,USA)
, 百拇医药
OBJECTIVE To investigate the histological characters and classification of bone diseases in maintenance hemodialysis patients. METHODOLOGY Quantitative evaluation of bone biopsy tissue,measurement of bone aluminum content and serum biochemical parameters were performed in 49 patients on chronic maintenance hemodialysis. RESULTS Variant bone histological lesions were observed in all the patients and were classified into 3 groups:predominant hyperparathyroid bone disease(PHBD)in 24 cases(49.0%),low turnover bone disease(LTBD)in 19 cases(38.8%)(including 4 cases of osteomalacia,15 cases of adynamic renal bone disease),and mixed uremic osteodystrophy(MUO)in 6 cases(12.2%).The PHBD is characterized by a marked increase in bone turnover,with a large amount of enlarged osteoclasts and deep irregular eroded cavities.Representing the other end of the spectrum from PHBD,LTBD is marked by a profound decrease in active remodeling sites.This features underlined a marked decrease in osteoblastic activity and in the number of osteoclasts or osteoblasts.LTBD can be further sub-grouped into osteomalacia(LTOM)and adynamic renal bone disease(ABD).We identified four cases of LTOM that was characterized by accumulated un-mineralized matrix or pronounced inhibition of collagen deposition.We identified 19 cases of ABD whose bone volume was frequently reduced.However there was few osteoid seams in patients with ABD.The histological features of MUO shared those of PHBD and LTBD,and various in different patients depending on the dominant underline pathogenesis.The morphometric analysis showed that adjusted apposition rate was higher in PHBD group than in LTBD and MUO groups.However the bone formation rate,the number of osteoclasts and eroded cavities surface were increased in PHBD group while decreased in PTLD group(P<0.001).The mineralization lag time was decreased in PHBD group and increased in PTLD group(P<0.01).Overall,63.3% of the patients exhibited positive aluminium stain at more than 30% of the trabecular surface.The positive aluminum deposition in bone was observed in 84.2% of patients with LTBD,in 54.2% of patients with PHBD and 33.3% of patients with MUO.Serum AKP and intact parathyroid hormone (iPTH) levels were increased in PHBD and MUO groups as compared to those in MUO group,while no significant difference of neither of the parameters was found between PHBD group and MUO group. CONCLUSION Patients on chronic maintenance hemodialysis are inevitably complicated with histology evidenced bone diseases(of those PHBD is the commonest type),and are frequently complicated with aluminum deposition(in 63.3% of the total patients).Bone biopsy is more informative in the classification of renal osteodystrophy than serum AKP and iPTH.
, 百拇医药
Key words hemodialysis osteodystrophy bone biopsy
终末期肾功能衰竭可以产生一系列的代谢变化,其中矿物质代谢紊乱所致的骨结构、骨转化的异常直接影响患者的生活质量[1]。因此,早期诊断、预防骨病是长期替代治疗患者需要正视的问题。本文报告49例国人慢性肾功能衰竭(chronic renal failure,CRF)维持性血液透析患者骨活检组织学改变及形态学计量分析,旨在提高对肾性骨病的诊断、分型认识。
1 对象和方法
1.1 病例选择 49例维持性血液透析患者均来自南京军区南京总医院解放军肾脏病研究所血液净化中心,其中男性38例,女性11例,平均年龄53.8±11.4(33~78)岁,平均透析时间92.3±43.4(30~206)个月,血液透析时间≥5年者12例,5~10年者25例,12例患者血透时间>10年,透析时间最长者达206个月余。原发病因为:慢性肾小球肾炎29例,慢性间质性肾炎4例,糖尿病肾病3例,紫癜性肾炎、慢性肾盂肾炎、遗传性肾炎、肾结核及庆大霉素中毒引起的肾损害各1例,8例患者原发病因不明。
, 百拇医药
1.2 骨活检方法 患者在第1~3天,每次口服四环素150mg,3次/d,第16~19天每次口服土霉素0.25g,4次/d,第22日在局部麻醉下,采用Jamshidi针行髂后嵴穿刺活检。将Jamshidi针垂直刺入骨组织约2cm,轻轻摇动拆断基部,拔针后用针芯将所取骨组织(直径约2mm,长约1.5~2cm)推入盛有冷纯乙醇的小瓶中固定,0℃放置2h(不能冰冻)以上[2,3]。
1.3 骨组织处理和染色 (1)固定及包埋:取出纯乙醇固定的骨组织,置丙酮30min以上,再将其放入甲基丙烯酸酯(Glycol melhaerylate)中浸透,置冷室震荡,24h更换甲基丙烯酸酯液,3天后取出骨组织,包埋,置4℃冰箱4h以上,以Jung切片机连续切片,切片厚5μm。(2)染色:全部标本采用不脱钙染色,包括:A、改良的Von Kossa染色:测定类骨质和矿化骨;B、酸性磷酸酶(Tartrate resistant acid phosphatase)染色:计算破骨细胞数;C、酸性铬兰(acidic solochrome azurine)染色:骨组织中铝含量;D、碱性磷酸酶(alkaline phosphatase)染色:计算成骨细胞;E、未染色切片:测定四环素标记线距离,计算骨矿化率和矿化时间;F、其它:包括铁离子染色及Sirius Red染色[3~5]。
, 百拇医药
1.4 骨组织形态计量分析 采用黑白图象分析系统,对49例国人维持性血液透析患者骨组织标本进行测量,计算出类骨质面积(Osteoid Area,%);类骨质宽度(Osteoid width,μm);骨小梁面积(Trabecular Area,%);骨校正矿化率(Adjusted apposition rate,Aj.Ar,μm/d)、矿化时间(Mineralization lag time,天)、破骨细胞(Osteoclast)及成骨细胞(Osteoblast)数(个/mm2);吸收腔面积(Eroded area,%);观察骨铝沉积状况[6],当骨小梁表面铝沉积≥30%时,则提示骨铝阳性[7]。
1.5 血生化检查 全部患者均在骨活检前一周透析前取血,查钙、磷、碱性磷酸酶等;并用放射免疫法测定全段甲状旁腺素(intact parathyroid hormone,iPTH)水平(正常值9~55 μg/L)。
, 百拇医药
1.6 统计学分析 对各组数据采用t检验和χ2检验。
2 结 果
2.1 骨组织学分型及与铝沉积,年龄、性别的关系 根据骨动力学状态分析,本组患者均存在不同程度,不同组织学特点的骨组织学改变。按组织学改变特点可分为高转化型骨病(High turnover bone disease,又称Predominant hyperparathyroid bone disease,PHBD)(图1A,1B),低转化型骨病(Low turnover bone disease,LTBD)(图2A,2B),LTBD又可分为骨软化(osteomalacia,LTOM)、骨再生不良(adynamic renal bone disease,ABD)和混合性尿毒症性骨病(Mixed uremic osteodystrophy,MUO)(图3A,3B)三种类型[1]。本组各型骨病患者年龄、性别、透析时间及与骨铝沉积的关系等见表1。
, 百拇医药
Fig.1. Predominant hyperparathyroid bone disease.
A.Irregular trabecular surface with increase in osteoid,osteoblasts and osteoclasts.Marrow fibrosis.(Von Kossa stain.Original magnification;×100).B.Increased fractions of trabecular surface exhibiting
tetracycline uptake.Presence
of diffuse intense and irregular double labels(Unstained 5μm thick section viewed under fluorescent light microscopy,original magnification,×100).
, http://www.100md.com
Fig.2. Low-turnover osteomalacia.
A.Dramatic increase in extent of osteoid covering the trabecular surface and
thick osteoid seams.Absence of osteoblasts and osteoclasts.(Von Kossa stain.Original magnification,×100).B.Thin and weak single labels
at the bone-osteoid interface.Absence of double labels.(Unstained 5μm thick section viewed under fluorescent light microscopy,original
, 百拇医药
magnification,×100).
Fig.3. Mixed uremic osteodystrophy
A:Increase in osteoid surface and eroded cavity,osteoclasts.(Von Kossa stain.Original magnification,×100).B:Coexistence of double and thin single tetracycline labels(Unstained 5μm thick section viewed under fluorescent light microscopy,original magnification,×100).
2.2 各型骨病患者骨组织形态学计量分析 各组患者骨组织形态学计量分析参数见表2。PHBD患者骨标本中可见大量破骨细胞吸收腔(图4)及棕色瘤(图5),各组中均可见骨铝阳性者(图6)。
, http://www.100md.com
2.3 各型骨病患者血液生化检查结果 表3为各型骨病患者血生化改变特点及其与骨病分型间的关系。
2.4 不同地区骨病及骨铝阳性发生率 按骨铝染色阳性≥30%骨小梁表面积时作为铝中毒[7]。本组骨铝阳性率为63.3%。将本组骨病分型及铝染色阳性结果与文献进行对比见表4。
Fig.4. Predominant hyperparathyroid bone disease:multinucleated and large osteoclasts,marrow fibrosis in eroded cavity.(Tartrate resistant acid phosphatase,Original magnification,×100)
, 百拇医药
Fig.5. Predominant hyperparathyroid bone disease.Numerous osteoclasts and “brown tumor”(Tartrate resistant acid phosphatase.Original magnification,×100).
Fig.6. Aluminum deposits in bone.Linear intense blue aluminum staining at
the bone marrow interface and bone-osteoid interface.(acidic solochrome azurine,Original magnification,×100).
Table 1. Clinical data of three groups of patients with the renal osteodystrophy Type
, http://www.100md.com
n(%)
Age(y)
M/F
Duration of HD(m)
Aluminum deposition(%)
PHBD
24(49.0)
52.8±11.4
19/5
108.0±47.6ab*
13(54.2)ab**
, 百拇医药
LTBD
19(38.8)
56.8±12.1
15/4
76.9±37.9
16(84.2)c**
MUO
6(12.2)
48.3±7.3
4/2
78.7±16.2
2(33.3)
, 百拇医药
Total
49(100)
53.8±11.4
38/11
92.3±43.4
31(63.3)
*P<0.05,**P<0.01;
a:PHBD vs LTBD group; b:PHBD vs MUO group; c:LTBD vs MUO groupTable 2. Quantitative analysis of histologic changes in the three groups of renal
, 百拇医药
osteodystrophy(
PHBD(n=24)
LTBD(n=19)
MUO(n=6)
Normal
Osteoid Area(%)
55.83±34.43
47.59±41.45c
93.57±41.72
4~18
, 百拇医药
Osteoid Width(μm)
13.69±4.645b**
13.61±7.37c
26.70±0.90
6~12
Trabecular Area(%)
20.84±6.43
18.16±6.27
21.23±7.17
15~28
Aj.Ar(μm/d)
, 百拇医药
0.575±0.43
0.37±0.63
0.22±0.32
0.2~0.5
Bone Formation rate(μm2/d)
42.13±43.05a***
13.93±37.66
5.20±6.17
4~38
Mineralization Lag time(day)
, http://www.100md.com
30.5±19.73a**
256.33±291.70c*
59.78±41.94
15~50
Osteoclast number(#/mm2)
7.07±3.36a***
0.86±0.51c***
9.3±7.07
0~2
Osteoblast number(#/mm2)
, 百拇医药
10.29±5.16a***
2.89±2.14c**
12.2±5.72
5~8
Eroded surface(%)
12.69±5.14a***
4.23±2.08c***
14.03±3.62
2~10
Aluminum perimeter(%)
, 百拇医药
55.17±3.29
79.85±28.53c*
69.23±32.13
0
*P<0.05, **P<0.01, ***P<0.001
a:PHBD vs LTBD group; b:PHBD vs MUO group; C:LTBD vs MUO groupTable 3. Biochemical characters of three renal osteodytrophy groups(
, 百拇医药
Calcium(mmol/L)
Phosphate(mmol/L)
AKP(U/L)
iPTH(μg/L)
PHBD
2.36±0.32
1.65±0.55
216.6±219.0a*
777.9±860.7a*
LTBD
2.56±0.39
, http://www.100md.com
1.66±0.55
135.7±115.5
149.8±200.8
MUO
2.32±0.26
1.33±0.60
210.8±162.8c*
732.8±400.1c*
Total
2.43±0.35
1.62±0.55
, 百拇医药
210.5±185.5
523.6±681.1
*P<0.01; a:PHBD vs LTBD group; b:PHBD vs MUO group; c:LTBD vs MUO groupTable 4. Renal osteodystrophies in different studies(%)
Nanjing
(1999)
Shanghai
(1993)
Colorado
(1993)
, http://www.100md.com
Kentucky
(1996)
PHBD
49.0
51.0
30.1
24.5
LTBD
38.8
7.8
23.8
22.6
LTOM
, 百拇医药
8.2
7.8
8.9
6.2
ABD
30.6
-
14.9
16.4
MUO
12.2
41.2
46.1
, 百拇医药
52.9
Aluminum positive
63.3
11.8
42.9
58.5
3 讨 论
3.1 肾性骨病的发生率及与骨铝阳性的关系 随着CRF保肾疗法的日益推广及血液透析、腹膜透析等替代治疗技术的不断改进和提高,CRF患者的生存率明显提高,骨病已成为影响生活质量的主要问题之一[1,7]。本组49例CRF行维持性血液透析患者中,PHBD 24例(49%),LTBD 19例(38.8%)[其中包括LTOM 4例(8.2%)和ABD 15例(30.6%)],MUO 6例(12.2%)。这种骨病类型的分布与文献报告略有不同,与俞育飞等报告的也有些差别(表4)[7~9]。
, http://www.100md.com
本组以PHBD为主(49.0%),其它三组患者MUO的发生率居多。在LTBD中,本组ABD的发生率为30.6%,远远高于其它两组(表4)。存在这些差别的原因是什么?是与选择的患者透析时间不同,透析前后的治疗措施不一样,还是与透析液、透析装置有差别,尚须继续探讨。
铝中毒与骨病的关系较为复杂[7,10]。传统的观念认为,铝抑制PTH分泌,血清PTH水平,骨铝含量,与血清铝水平和甲状旁腺水平呈反比关系。骨铝阳性常与LTBD(包括LTOM和ABD)相关。事实上,三种骨病的组织学类型都可见骨铝阳性者,只是发生率高低不一[11]。许多学者提出,当PTH水平过高时,反而促使骨组织吸收铝[11~14]。文献一般认为,LTBD中90%患者骨铝阳性,MUO患者骨铝阳性者近50%,PHBD一般仅10%~15%的患者骨铝阳性。然而本组铝中毒的发生率较上海报告的明显增高,与Kentucky报告的相近,其中PHBD患者骨铝阳性≥30%者则高达54.2%,与Doty报告的PHBD患者骨铝阳性率较高的观点相一致[15]。本组骨铝阳性率高的原因是什么?PHBD患者骨铝阳性的机制是什么?是否血清高PTH增加了骨铝摄入还是与其它因素如透析时间过长(最长达206月)及透析以外因素、骨铝染色技术等相关,将有待进一步研究。
, 百拇医药
3.2 肾性骨病的组织学特点及计量分析的意义 PHBD以骨转化明显增高为特征。一般认为本型骨病多与甲状旁腺激素过度分泌相关,PTH直接或间接刺激破骨细胞和成骨细胞,骨小梁表面不规则,产生一系列骨“重建”异常增生的病理改变。破骨细胞数增多、多核、大核仁并吸收旧骨形成不规则的吸收腔,分割或穿过骨小梁,典型病例见棕色瘤(图5);成骨细胞由立方形变为多边形、纺锤形,“栅栏样”单层排列的成骨细胞被非典型的多层,多方向排列的细胞所替代。类骨质表面积和体积增加,由于胶原过度产生类骨质增厚,呈不规则状(图1A)。晚期纤维化的骨完全替代了骨髓(反映每个破骨细胞规则的活性降低而不规则的活动性增加)。由于破骨细胞数增加并在矿化骨周分布,类骨质束和矿化骨中见许多不规则的破骨细胞腔隙,引起成骨细胞在类骨质缘停滞,矿化率和范围及矿化部位明显增加。此时弥漫增厚的类骨质和不规则的四环素摄取线极易误诊为骨软化。本组PHBD患者标本中可见大量、大体积的破骨细胞、典型吸收腔、棕色瘤等(封面图,图4,图5)。骨转化明显增加使皮质骨网眼状,在四肢骨中,皮质骨减少最明显。一般PHBD表现为高骨量,但营养不良,运动减少或其它原因也可引起骨量明显减少。邻近高骨量区域,常可见增生的或纤维化的骨髓,使骨呈囊样改变。
, 百拇医药
LTBD的组织学改变特点与PHBD完全相反,它以活动性的骨“重建”部位明显减少为特征,成骨细胞活动性明显下降,仅见少数或无破骨和成骨细胞。通常仅见单层弱的四环素标记线,其它特征包括层状的骨结构,无活动性骨形成单位,矿化表面明显减少。LTOM患者未矿化骨组成了骨小梁的相当大的一部分,层状类骨质的量明显增加,使类骨质增宽覆盖大多数骨小梁表面(图2A);偶尔骨小梁内存在波纹状的骨则表明以往存在高转化,罕见破骨细胞,或偶见小梁骨内或偶在无类骨质覆盖的小梁骨表面。ABD时骨量常减少,矿化骨与骨形成平行减少,以仅见少量类骨质为特征。
MUO则具有PHBD及LTBD的共同特征。骨量/组织量极不恒定,取决于以哪种发病机制为主。其它表现包括骨重建部位增加,成骨细胞增加,骨小梁周纤维化及骨小梁、类骨质面积增加等(图3A)。
1982年Malluche等引进了测量骨的表面积、厚度、体积和其它骨成分半定量的图象分析方法[16],无疑给我们诊断的正确性和可靠性带来了益处,然而对骨标本取材的要求也有所提高。所取标本应测量哪些组织结构,应估计何种成分,正常人与各种骨病患者所测得的哪些参数可能有差异,治疗后病变是否改善等等,都是新的课题。最终自动化的用于测量骨组织改变的放大系统将取代半定量的图象测定。分析本组形态学计量资料发现,PHBD组骨形成率与LTBD组比较有极其显著性差异,破骨细胞数,成骨细胞数明显增加,吸收腔面积%远较LTBD高,LTBD组中骨矿化时间延长,破骨细胞数及吸收腔面积%均在正常范围内(表2)。类骨质面积和宽度对PHBD和LTBD的诊断也有一定价值。分析每位患者形态学计量结果时发现,PHBD患者类骨质宽度常>12μm,但<15μm,LTOM患者则类骨质宽度>15μm。然而ABD时成骨细胞数目和活性降低,类骨质宽度可以正常(因为骨再生不良)。由于本组LTBD患者以ABD为多,因此进行定量分析时,类骨质宽度在PHBD组和LTBD组间无统计学差异(表2)。更重要的是形态学计量分析者掌握的测量标准及尺度往往不一致,也会给诊断带来误差。自动化的用于测量骨组织学静态和动态参数的软件可能会减少这种误差。
, 百拇医药
我们认为肾性骨病的诊断仅依靠组织学改变而无形态学计量分析时,PHBD患者以破骨细胞数、是否存在吸收腔对诊断有益,若证实棕色瘤则诊断无疑,类骨质和矿化骨均增加,但类骨质宽度<矿化骨;LTBD时则无破骨细胞和吸收腔,更无棕色瘤;LTOM时类骨质明显增加而无矿化骨;ABD时,类骨质宽度减少(<矿化骨)。总之,破骨细胞数、吸收腔、棕色瘤、类骨质宽度和矿化骨均有利于肾性骨病的诊断和鉴别。
3.3 骨活检的临床应用 肾脏排泄功能受损的早期,当GFR下降到正常的50%时,就可以出现骨病,当GFR下降到40 ml/min以下时,可出现疏松的类骨质,GFR下降到30 ml/min时可见骨髓纤维化[17]……在慢性肾衰维持性血透时,几乎全部患者均可见骨组织学异常改变,然而仅依靠临床表现如骨痛、骨折…等难以对骨病类型进行鉴别,即使血生化指标如AKP、iPTH水平也只能提示患某种类型的骨病。本组PHBD和MUO患者,血清AKP和iPTH水平均显著高于LTBD患者,但这两组之间无显著性差异。因此,仅依靠AKP、iPTH等生化指标难以区分PHBD还是MUO(表3)。研究也发现,iPTH在65~450 μg/L时不能预测骨病类型[18],此外骨铝是否阳性,与选择治疗直接相关。骨活检能敏感地提供骨病的变化,精确提供骨病类型,并分析是否存在铝中毒,对治疗能做到量体裁衣,对症下药,因此我们认为CRF患者必须确定骨病的转化类型,以选择正确的治疗。
, http://www.100md.com
徐斌(南京军区南京总医院 解放军肾脏病研究所 南京,210002)
黎磊石(南京军区南京总医院 解放军肾脏病研究所 南京,210002)
朱建民(美国Colorado大学病理系,骨代谢研究室)
W.E.Huffer(美国Colorado大学病理系,骨代谢研究室)
P.Ruegg(美国Colorado大学病理系,骨代谢研究室)
参考文献
1,Malluche HH,Langub CL,Monier-Faugerl MC.The role of bone biopsy in clinical practical and research.Kidney Int,1999(Suppl 73),56:20
, 百拇医药
2,Zhu Jianmin,Alfrey A,Huffer WE.The changing pattern of renal osteodystrophy.肾脏病与透析肾移植杂志,1996,2:1
3,Malluche HH,Monier-Faugere MC.The role of bone biopsy in the management of patients with renal osteodystrophy.J Am Soc Nephrol,1994,4:1631
4,Kaye M,Hodsman AB,Malynowsky L.Staining of bone for aluminum:Use of acidic solochrome a urine.Kidney Int,1990,37:1147
5,Huffer WE,Zhu JM,Ruegg P.Modified Acidic solochrome azurine stain for video image analysis of aluminum lines in bone biopsies.J Histotechnol,1996,19:115
, 百拇医药
6,Huffer WE,Ruegg R,Zhu JM et al.Semiautomated methods for cancellous bone histomorphometry using a general purpose video image analysis system.J Microscop,1994,173:53
7,Monier-Faugere MC,Malluche HH.Trends in renal osteodystrophy:A survey from 1983 to 1995 in total of 2248 patients.Nephrol Dial Transplant,1996,11(Suppl 3):111
8,俞育飞,胡彦新,朱 萍等.51例肾性骨病的病理研究.中华内科杂志,1993,32:448
9,朱建民,Alfrey AC,Huffer WE.肾性骨病的组织学分型及骨活检的临床意义.中华内科杂志,1993,32:444
, http://www.100md.com
10,Malluche HH,Faugere MC.Renal bone disease 1990:An unmet challenge for the nephrologist.Kidney Int,1990,38:193
11,Mayor GH,Keiser JA,Makdani D et al.Aluminum absorption and distribution:Effect of parathyroid hormone.Science,1977,197:1187
12,Alfrey AC,Sedman A,Chan YL.The compartmentalization and metabolism of aluminum in uremic rat.J Lab Clin Med,1985,105:227
13,Ellis HA.Aluminum and osteomalacia after parathyroidectomy.Ann Intern Med,1982,96:533
, 百拇医药
14,Mayor GH,Sprague SM,Hourani MR et al.Parathyroid hormone-medicated aluminum deposition and egress in the rat.Kidney Int,1980,17:40
15,Doty SB.Morphological evidence of gap junctions between bone cells.Calcif Tissue Int,1981,33:509
16,Malluche HH,Sherman D,Meyer W et al.A new semiautomatic method for quantitative static and dynamic bone histology.Calcif Tissue Int,1982,34:439
17,Sherrard DJ,Hercz G,Pei Y et al.The spectrum of bone disease in end stage renal failure:An evolving disorder.Kidney Int,1993,43:436
18,Oi O,Faugere MC,Geng Z et al.Predictive value of serum parathyroid hormone levels for bone turnover in patients on chronic maitenance dialysis.Am J Kidney Dis,1995,26:622
(1999-10-30收稿,2000-01-07修回), 百拇医药