乙肝病毒和黄曲霉毒素B1诱发树肝癌的病理变化
作者:李瑗 苏建家 覃柳亮 杨春 班克臣 罗丹 黄国华 严瑞琪 王辉云
单位:李瑗 苏建家 覃柳亮 杨春 班克臣 罗丹 黄国华(广西肿瘤研究所病理研究室,南宁 530021);严瑞琪 王辉云(中山医科大学肿瘤研究所病理室,广州 510060)
关键词:肝肿瘤,实验性;肝炎病毒,乙型;黄曲霉毒素B1;树
临床与实验病理学杂志000315 摘要 目的:对人乙型肝炎病毒(HBV)和(或)黄曲霉毒素B1(AFB1)引起的树
肝脏病变进行动态比较观察。方法:成年树
按不同处理分为A(HBV+AFB1)、B(HBV)、C(AFB1)、D(空白对照)4组。全部动物定期肝活检,并于160周结束实验时处死所有存活者。各次活检及尸检肝组织均作常规病理组织学检查,部分同时作HBsAg及HBxAg免疫组织化学、HBV-DNA原位杂交,以及PAS、网状纤维染色等检查。结果:肝组织的炎症及肝细胞增生性改变以A组最明显,B组病变发生虽早但发展较慢,C组病变发生较迟,但发展较快。肝细胞癌(HCC)仅见于A、C组,其发生率及平均发生时间在A、C组分别为67%(14/21)和30%(3/10),以及120周和153周(P<0.01)。B组虽无HCC发生但可见较大增生或结节形成。D组无明显增生灶或结节。HBV感染标志在整个实验过程中可在A、B组大多数动物的肝组织中检出,其阳性检出率波动于50%~90%。结论:树
模型适用于对人类肝炎、肝癌等病变的研究。HBV和AFB1具有协同致肝癌作用。
, 百拇医药
关键词 树
中图分类号 R735.7 文献标识码 A
文章编号 1001-7399(2000)03-0224-04
Serial pathologic changes in liver of tree shrew during
hepatocarcinogenesis induced by hepatitis B virus and aflatoxin B1
Li Yuan
(Dept of Pathol, Guangxi Cancer Institute, Nanning 530021)
, 百拇医药
Su Jianjia
(Dept of Pathol, Guangxi Cancer Institute, Nanning 530021)
Qin Liuliang
(Dept of Pathol, Guangxi Cancer Institute, Nanning 530021)
Yang Chun
(Dept of Pathol, Guangxi Cancer Institute, Nanning 530021)
Ban Kechen
(Dept of Pathol, Guangxi Cancer Institute, Nanning 530021)
, 百拇医药
Luo Dan
(Dept of Pathol, Guangxi Cancer Institute, Nanning 530021)
Huang Guohua
(Dept of Pathol, Guangxi Cancer Institute, Nanning 530021)
Ou Chao
(Dept of Pathol, Guangxi Cancer Institute, Nanning 530021)
Yan Ruiqi
(Dept of Pathol, Cancer Institute, Sun Yet-sen University of Medical Sciences, Guangzhou 510060)
, http://www.100md.com
Wang Huiyun
(Dept of Pathol, Cancer Institute, Sun Yet-sen University of Medical Sciences, Guangzhou 510060)
ABSTRACT Purpose To serially observe and compare the pathologic changes in tree shrews liver during hepatocarcinogenesis induced by hepatitis B virus (HBV) and aflatoxin B1 (AFB1). Methods Adult tree shrews were divided into four groups. Group A:HBV infection and AFB1 feeding; Group B:HBV infection only; Group C:AFB1 feeding only; Group D:neither HBV nor AFB1 treatment. All the animals in each group were regularly biopsied on liver. The experiment ended at 160th week when all the survivals were autopsied. All the liver samples from biopsies and autopsy were examined histopathologically by HE staining. Some samples were simultaneously stained for HBsAg/HBxAg by immunohistochemistry, HBV DNA by in situ hybridization, PAS and reticular fiber staining were also performed. Results Inflammatory changes and liver cell
, 百拇医药
proliferation were the most obvious in group A; these kinds of changes appeared relatively earlier but progressed slower in group B than in group C. HCC occurred only in group A and group C. The tumor incidence and the average time for HCC appearing in these two groups were 67% and 30%,120 weeks and 150 weeks(P<0.01) respectively. Even though no true HCC occurred in group B, there were some large proliferation nodules. No proliferation foci/nodules occurred in group D. The markers of HBV infection appeared frequently in group A and group B during the whole experiment, with the positive rate of 50%~90%. Conclusion The tree shrews model is applicable for the research on human hepatitis B and HCC.
, http://www.100md.com
KEY WORDS liver neoplasms,experimental;hepatitis B virus; aflatoxin B1;tree shrew
近年来的研究发现,乙型肝炎病毒(HBV)感染不仅是引起乙型肝炎的直接原因,与污染食品中污染的黄曲霉毒素B1(AFB1)一样,也是原发性肝细胞癌(HCC)的最重要病因。为了研究HBV的致病机制,我们研究室在80年代建成了人HBV感染树
的实验动物模型以后,应用此模型研究发现了HBV与AFB1在树
肝癌的形成过程中有协同作用〔1〕。最近,我们又对HBV和(或)AFB1诱发树
肝癌形成过程中各时期的肝脏改变进行了动态对比观察。
, http://www.100md.com
1 材料与方法
1.1 动物及处理 野外捕获的成年树
(中缅树
滇西亚种),体重100~160 g。分笼单独饲养,每日饲以含各种营养成分的混合饲料2次,水果、牛奶各1次,饮水不限。适应2周后,全部动物经抽血及肝组织活检,筛选出健康者分为4组。A(HBV+AFB1)组:先接种人HBV感染血清,经查实感染上HBV后饲予AFB1;B(HBV)组:按与A组同样的方法接种并查实感染上HBV,但不饲予AFB1;C(AFB1)组:不接种HBV,仅按A组同样的方法、剂量饲予AFB1;D(空白对照)组:动物仅以正常条件饲养。各组所有动物每15周肝活检1次。实验经160周结束,处死所有存活的动物。各次活检肝组织、实验结束前自然死亡的以及处死的动物肝组织均经常规病理组织学检查,部分肝组织同时进行HBsAg和HBxAg免疫组织化学、HBV DNA原位杂交、PAS及网状纤维组织化学检查。
, http://www.100md.com
HBV及AFB1处理方法:取自人的HBV感染血清(HBsAg及HBeAg滴度均在1∶1 024以上)先经股静脉注射给树
,每只0.5 ml,3天后再以同样剂量经腹腔注射1次。AFB1加入饮用牛奶中,每天150 μg/kg,连续喂105周。各动物摄入AFB1的总量约为11.5 mg。
1.2 试剂及检测方法 AFB1为美国Sigma化学公司产品;血清ELISA检测试剂为珠海亚利生物公司产品;免疫组化S-P法试剂盒为福州迈新生物技术开发中心产品;HBxAg多抗为美国Thomas Jefferson大学医学院Feitelson教授赠品;HBsAg单抗、地高辛标记的HBV DNA原位杂交探针和试剂盒为北京中山生物制品中心产品。各试剂的使用均按其说明书进行。PAS及网状纤维染色按常规方法进行。
, 百拇医药
2 结果
2.1 一般情况 各组动物在实验过程中的存活情况见表1。动物在实验过程中死亡的主要原因为在肝活检等实验操作过程中发生的出血过多、麻醉意外、窒息等,后期还因动物体质的衰竭。
2.2 肝组织的HBV感染情况 表2列出实验早(第15周)、中(第45周)、晚(第105周)3个时期A、B组动物的活检肝组织以及HCC组织中HBV感染阳性率。阳性病例的判断标准为用免疫组化法检测HBsAg、HBxAg和原位杂交法检测HBV DNA,3项指标之一阳性即为“阳性”。
表1 实验期间各组动物存活情况(只) 分组
开始
第15周
第45
, http://www.100md.com
周
第105
周
第120
周
第135
周
第150
周
第160
周
A组
22
22
, http://www.100md.com
22
20
13
8
7
4
B组
10
10
10
6
5
3
1
, 百拇医药
1
C组
12
12
11
10
7
6
6
3
D组
12
12
12
, 百拇医药
9
9
8
6
5
除B组1例动物肝组织一直未出现HBV感染标志外,A、B组的其余动物在整个实验过程中均有多次HBsAg、HBxAg、HBV DNA 3项指标之一以上阳性。整个实验期间的活检肝组织检测结果,在各观察点上,A、B组大多数动物的活检肝组织表现为HBV感染阳性。两组相比,A组动物肝组织的阳性检出水平较稳定,尤其是那些后来发生HCC的动物肝组织检出率较高;B组的检出率则在实验过程呈下降趋势。HBsAg及HBxAg阳性标记物均主要位于细胞浆,呈散在或簇状分布(图1);HBxAg阳性细胞可见于HCC组织内(图2);HBV DNA则以细胞膜标记为主,但量较少。表2 A、B组活检肝组织的HBV感染率 分组
, http://www.100md.com
第15周
第45周
第105周
HCC
A组
15/22(68.2%)
17/22(77.3%)
14/20(70.0%)
10/14(71.4%)
B组
9/10(90.0%)
8/10(80.0%)
, http://www.100md.com
3/6(50.0%)
2.3 肝组织的炎性改变 肝组织内的炎性改变可见于3个实验组,一般较轻,其中以A组较明显;B组次之但发生较早;C组炎性改变较轻,以炎细胞浸润汇管区为主,后期常伴有汇管区的纤维细胞增生及小胆管增生。各组的炎性改变常伴有点、灶状肝细胞坏死,偶见碎屑状坏死。肝细胞的毛玻璃样变、嗜酸性变及嗜酸性小体形成偶见于A、B组。各组至实验结束时均未见广泛的纤维化改变(图3)。
2.4 肝细胞的增生性改变 肝细胞增生可见于各实验组,其中以A组发生较早(最早见于实验45周)、且较明显;B组的此类改变较轻,发展较慢;C组则发生较晚(多见于实验120周),但发展较快。早期主要表现为肝细胞排列成双行、多行甚至成片,以后可见少量散在分布的嗜酸性、嗜碱性、空泡变性或透明变性肝细胞增生灶、增生结节乃至HCC形成。晚期动物肝内上述各种改变可同时存在。肝细胞增生灶周围一般无明显压迫现象,网状纤维染色显示增生灶或结节周围纤维化改变不明显。HE切片上的早期透明细胞灶多为PAS染色阳性;部分中、晚期肝组织的较大增生灶/增生结节或HCC,则呈全部或部分PAS染色阴性。少量的轻度肝细胞异型增生多见于癌旁肝组织内。
, 百拇医药
2.5 HCC发生情况 第1例HCC发现于实验第99周。HCC的发生仅见于A(HBV+AFB1)组及C(AFB1)组,其发生情况见表3。HCC肿块直径大至4 cm,小如米粒。其组织形态类似人的HCC,肿瘤细胞以中、低度分化为主,呈梁柱型、腺型或梁柱型腺样型二者混合存在(图4)。各例HCC的肿块数一般为1~3个,即便是眼观仅见1个肿块者,镜下在其它处肝组织仍能见到尚未形成肿块的微小HCC。各例HCC均未见肝外转移。B(HBV)组及D(空白对照)组至实验结束时未见有HCC发生,但B组1例于实验第129周死亡的动物,肝内已有数个直径为0.3~0.5 cm的增生性结节(图5)。
表3 A、C组的HCC出现情况 分组
至100周
101~
120周
, 百拇医药
121~
140周
141~
160周
总例数
发生率
(%)*
平均周数
(
±s)**
A组
1
, http://www.100md.com
9
1
3
14
14/21(66.7)
120.3+16.6
C组
3
3
3/10(30.0)
153.3+5.8
*HCC发生率=HCC总例数/第1例HCC出现时(99周)该组存活的动物数。两组出现HCC的平均周数相比,**P<0.013 讨论
, 百拇医药
本实验表明HBV可以引起树
肝组织发生类似人肝炎的改变,但炎症程度较轻。按我国1995年制定的慢性肝炎分级标准〔2〕,多数感染HBV后的树
肝脏表现为慢性肝炎1级,少数动物为0级或2级。树
肝脏的这种轻度炎症、无明显纤维化背景以及逐渐发生的各种癌前肝细胞增生病变如透明细胞、嗜酸或嗜碱性细胞、混合细胞灶/结节乃至最终出现的HCC,其组织形态与鸭乙肝病毒(DHBV)引起的鸭肝改变、土拨鼠肝炎病毒(WHV)引起的土拨鼠肝改变、HBV引起的转基因小鼠肝改变、AFB1引起的大鼠肝改变以及人的有关肝病变有许多相似之处〔3,4〕。本研究观察到的早期增生结节多为PAS染色阳性而晚期渐趋阴性,也与Bannasch在各时期癌前肝细胞增生结节中所见的糖原代谢异常一致〔5〕。这种现象提示无论何种病因诱发的何种动物的HCC,其致癌机制相同。
, 百拇医药
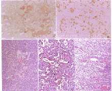
图1 B组动物,第90周活检肝组织内见细胞浆HBsAg阳性的肝细胞。S-P×400
图2 A组动物,第119周死于HCC,癌内见HBxAg阳性细胞。S-P×200
图3 B组动物,第75周活检肝组织内见汇管区炎症及结缔组织增生。HE×100
图4 A组动物,第119周死于HCC。癌组织内见部分腺样结构,呈混合型。HE×200
图5 B组动物,第129周自然死亡,镜下见结节内有小腺样结构形成。HE×200 本实验A、B组的动物一旦感染上HBV后,整个实验期间HBV感染标志(肝细胞内的HBsAg,HBxAg或HBV DNA)大都能够保持较长时间,这与Walter等的实验结果有所不同:他们报道用HBV感染幼年树
可引起类似人的急性自限性肝炎,但用HBV感染成年树
则只见血清中抗-HBs抗体升高而未测出抗原〔6〕。这种实验结果的差异可能与检测标本(血清或肝组织)不同有关:一些研究结果表明肝组织的检测比血清检测更灵敏、更能反应病毒感染的真实情况〔7〕。我们对部分肝组织进行的HBV DNA原位杂交结果显示,HBV DNA阳性物质的分布以肝细胞膜为主,这与以往报道的HBV DNA在人肝细胞内的定位以膜下型最多见(占41%)〔8〕相似。Han等通过实验证实这种非核型的HBV DNA主要是单链的HBV复制中间体〔7〕,推测其致病力可能较弱因而使感染动物的肝炎病变较轻。此外,本研究中单独用HBV感染的B组动物虽然肝脏内的肝细胞点、灶状坏死及炎细胞浸润等改变出现较早且较明显,但至实验结束时尚无1例HCC发生,仅见1例提前死亡的动物肝脏出现数个较大肝细胞增生结节。这可能提示HBV作为独立的致肝癌因素时,其作用弱于WHV等其它嗜肝病毒以及AFB1等化学致肝癌物。
, 百拇医药
本实验结果与我们曾报道的结果〔1〕一致,再次证实了HBV与AFB1的共同作用可提高HCC的发生率。至于HBV如何与AFB1在HCC的形成中起作用,目前仍不很清楚。传统的观点认为肝细胞在HBV引起的炎症、坏死及再生过程中,易受AFB1毒性作用的影响。近年来有关研究表明HBV可能通过它引起的肝脏病变来改变肝细胞对AFB1的代谢〔9〕,或AFB1可能通过增加HBV引起的肝细胞基因的不稳定性来共同参与HCC的形成〔10~12〕。本研究观察到HBV在成年树
肝脏引起的炎症破坏虽不甚明显,但与AFB1有明显协同致癌作用,也提示HBV可能是通过肝炎损伤以外的途径而与AFB1协同致癌。HBV与AFB1在HCC发生中的相互作用机制有待进一步研究。
, 百拇医药
基金项目:广西留学回国人员科学基金资助项目(No 96-32006)和国家自然科学基金资助项目(No 39260033)
作者简介:李瑗,女,48岁,硕士,副主任医师。研究方向为肝癌实验病理
苏建家,男,56岁,主任医师,广西抗癌协会理事,从事肝癌病因及发病学的实验病理研究
参考文献
1,严瑞琪,苏建家,黄定瑞等.人乙型肝炎病毒和黄曲霉素B1诱发树
原发性肝癌的研究.中华病理学杂志,1989;18(1):19~21
2,北京第五次全国传染病寄生虫病学术会议.病毒性肝炎防治方案(试行).中华内科杂志,1995;34(11):788~791
, 百拇医药
3,Paronetto F, Tennant BC. Woodchuck hepatitis virus infection:A model of human hepatic diseases and hepatocellular carcinoma. Prog in Liver Dis,1990;9:463~484
4,Toshkov I, Chisari FV, Bannasch P. Hepatic preneoplasia in hepatitis B virus transgenic mice. Hepatology,1994;20(5):1162~1172
5,Bannasch P, Jahn U, Hecker HJ et al. Focal hepatic glycogenosis:a putative preneoplastic lesion associated with neoplasia and cirrhosis in explanted human livers. Int J Oncol,1997;10:261~268
, 百拇医药
6,Walter E, Keist R, Niederost B et al. Hepatitis B virus infection of tupaia hepatocytes in vitro and in vivo. Hepatology,1996;24(1):1~5
7,Han KH, Hollinger FB, Noonan CA et al. Southern-blot analysis and simultaneous in situ detection of hepatitis B virus-associated DNA and antigens in patients with end-stage liver disease. Hepatology,1993;18(5):1032~1037
8,赵 勇,梁英锐.慢性活动肝炎HBV DNA原位分子杂交研究.中华病理学杂志,1990;19(1):42~44
, 百拇医药
9,Kirby GM, Chemin I, Montesano R et al. Induction of specific cytochrome P450s involved in aflatoxin B1 metabolism in hepatitis B virus transgenic mice. Mol Carcinog,1994;11(2):74~80
10,Kaplanski C, Chisari FV, Wild CP. Minisatellite rearrangements are increased in liver tumours induced by trasplacental aflatoxin B1 treatment of hepatitis B virus transgenic mice, but not in spontaneously arising tumous. Carcinogenesis,1997;18(4):633~639
11,苏建家,严瑞琪,黄定瑞等.肝细胞异型增生的产生及其与肝细胞癌发生关系的实验研究.临床与实验病理学杂志,1993;9(2):137~139
12,苏建家,严瑞琪,覃国忠等.树
实验肝癌发生过程中IGF-Ⅱ、HBxAg、p21和p53蛋白的表达.临床与实验病理学杂志,1998;14(5):484~487
收稿日期:1999-10-15, 百拇医药
单位:李瑗 苏建家 覃柳亮 杨春 班克臣 罗丹 黄国华(广西肿瘤研究所病理研究室,南宁 530021);严瑞琪 王辉云(中山医科大学肿瘤研究所病理室,广州 510060)
关键词:肝肿瘤,实验性;肝炎病毒,乙型;黄曲霉毒素B1;树
临床与实验病理学杂志000315 摘要 目的:对人乙型肝炎病毒(HBV)和(或)黄曲霉毒素B1(AFB1)引起的树
, 百拇医药
关键词 树
中图分类号 R735.7 文献标识码 A
文章编号 1001-7399(2000)03-0224-04
Serial pathologic changes in liver of tree shrew during
hepatocarcinogenesis induced by hepatitis B virus and aflatoxin B1
Li Yuan
(Dept of Pathol, Guangxi Cancer Institute, Nanning 530021)
, 百拇医药
Su Jianjia
(Dept of Pathol, Guangxi Cancer Institute, Nanning 530021)
Qin Liuliang
(Dept of Pathol, Guangxi Cancer Institute, Nanning 530021)
Yang Chun
(Dept of Pathol, Guangxi Cancer Institute, Nanning 530021)
Ban Kechen
(Dept of Pathol, Guangxi Cancer Institute, Nanning 530021)
, 百拇医药
Luo Dan
(Dept of Pathol, Guangxi Cancer Institute, Nanning 530021)
Huang Guohua
(Dept of Pathol, Guangxi Cancer Institute, Nanning 530021)
Ou Chao
(Dept of Pathol, Guangxi Cancer Institute, Nanning 530021)
Yan Ruiqi
(Dept of Pathol, Cancer Institute, Sun Yet-sen University of Medical Sciences, Guangzhou 510060)
, http://www.100md.com
Wang Huiyun
(Dept of Pathol, Cancer Institute, Sun Yet-sen University of Medical Sciences, Guangzhou 510060)
ABSTRACT Purpose To serially observe and compare the pathologic changes in tree shrews liver during hepatocarcinogenesis induced by hepatitis B virus (HBV) and aflatoxin B1 (AFB1). Methods Adult tree shrews were divided into four groups. Group A:HBV infection and AFB1 feeding; Group B:HBV infection only; Group C:AFB1 feeding only; Group D:neither HBV nor AFB1 treatment. All the animals in each group were regularly biopsied on liver. The experiment ended at 160th week when all the survivals were autopsied. All the liver samples from biopsies and autopsy were examined histopathologically by HE staining. Some samples were simultaneously stained for HBsAg/HBxAg by immunohistochemistry, HBV DNA by in situ hybridization, PAS and reticular fiber staining were also performed. Results Inflammatory changes and liver cell
, 百拇医药
proliferation were the most obvious in group A; these kinds of changes appeared relatively earlier but progressed slower in group B than in group C. HCC occurred only in group A and group C. The tumor incidence and the average time for HCC appearing in these two groups were 67% and 30%,120 weeks and 150 weeks(P<0.01) respectively. Even though no true HCC occurred in group B, there were some large proliferation nodules. No proliferation foci/nodules occurred in group D. The markers of HBV infection appeared frequently in group A and group B during the whole experiment, with the positive rate of 50%~90%. Conclusion The tree shrews model is applicable for the research on human hepatitis B and HCC.
, http://www.100md.com
KEY WORDS liver neoplasms,experimental;hepatitis B virus; aflatoxin B1;tree shrew
近年来的研究发现,乙型肝炎病毒(HBV)感染不仅是引起乙型肝炎的直接原因,与污染食品中污染的黄曲霉毒素B1(AFB1)一样,也是原发性肝细胞癌(HCC)的最重要病因。为了研究HBV的致病机制,我们研究室在80年代建成了人HBV感染树
, http://www.100md.com
1 材料与方法
1.1 动物及处理 野外捕获的成年树
, http://www.100md.com
HBV及AFB1处理方法:取自人的HBV感染血清(HBsAg及HBeAg滴度均在1∶1 024以上)先经股静脉注射给树
1.2 试剂及检测方法 AFB1为美国Sigma化学公司产品;血清ELISA检测试剂为珠海亚利生物公司产品;免疫组化S-P法试剂盒为福州迈新生物技术开发中心产品;HBxAg多抗为美国Thomas Jefferson大学医学院Feitelson教授赠品;HBsAg单抗、地高辛标记的HBV DNA原位杂交探针和试剂盒为北京中山生物制品中心产品。各试剂的使用均按其说明书进行。PAS及网状纤维染色按常规方法进行。
, 百拇医药
2 结果
2.1 一般情况 各组动物在实验过程中的存活情况见表1。动物在实验过程中死亡的主要原因为在肝活检等实验操作过程中发生的出血过多、麻醉意外、窒息等,后期还因动物体质的衰竭。
2.2 肝组织的HBV感染情况 表2列出实验早(第15周)、中(第45周)、晚(第105周)3个时期A、B组动物的活检肝组织以及HCC组织中HBV感染阳性率。阳性病例的判断标准为用免疫组化法检测HBsAg、HBxAg和原位杂交法检测HBV DNA,3项指标之一阳性即为“阳性”。
表1 实验期间各组动物存活情况(只) 分组
开始
第15周
第45
, http://www.100md.com
周
第105
周
第120
周
第135
周
第150
周
第160
周
A组
22
22
, http://www.100md.com
22
20
13
8
7
4
B组
10
10
10
6
5
3
1
, 百拇医药
1
C组
12
12
11
10
7
6
6
3
D组
12
12
12
, 百拇医药
9
9
8
6
5
除B组1例动物肝组织一直未出现HBV感染标志外,A、B组的其余动物在整个实验过程中均有多次HBsAg、HBxAg、HBV DNA 3项指标之一以上阳性。整个实验期间的活检肝组织检测结果,在各观察点上,A、B组大多数动物的活检肝组织表现为HBV感染阳性。两组相比,A组动物肝组织的阳性检出水平较稳定,尤其是那些后来发生HCC的动物肝组织检出率较高;B组的检出率则在实验过程呈下降趋势。HBsAg及HBxAg阳性标记物均主要位于细胞浆,呈散在或簇状分布(图1);HBxAg阳性细胞可见于HCC组织内(图2);HBV DNA则以细胞膜标记为主,但量较少。表2 A、B组活检肝组织的HBV感染率 分组
, http://www.100md.com
第15周
第45周
第105周
HCC
A组
15/22(68.2%)
17/22(77.3%)
14/20(70.0%)
10/14(71.4%)
B组
9/10(90.0%)
8/10(80.0%)
, http://www.100md.com
3/6(50.0%)
2.3 肝组织的炎性改变 肝组织内的炎性改变可见于3个实验组,一般较轻,其中以A组较明显;B组次之但发生较早;C组炎性改变较轻,以炎细胞浸润汇管区为主,后期常伴有汇管区的纤维细胞增生及小胆管增生。各组的炎性改变常伴有点、灶状肝细胞坏死,偶见碎屑状坏死。肝细胞的毛玻璃样变、嗜酸性变及嗜酸性小体形成偶见于A、B组。各组至实验结束时均未见广泛的纤维化改变(图3)。
2.4 肝细胞的增生性改变 肝细胞增生可见于各实验组,其中以A组发生较早(最早见于实验45周)、且较明显;B组的此类改变较轻,发展较慢;C组则发生较晚(多见于实验120周),但发展较快。早期主要表现为肝细胞排列成双行、多行甚至成片,以后可见少量散在分布的嗜酸性、嗜碱性、空泡变性或透明变性肝细胞增生灶、增生结节乃至HCC形成。晚期动物肝内上述各种改变可同时存在。肝细胞增生灶周围一般无明显压迫现象,网状纤维染色显示增生灶或结节周围纤维化改变不明显。HE切片上的早期透明细胞灶多为PAS染色阳性;部分中、晚期肝组织的较大增生灶/增生结节或HCC,则呈全部或部分PAS染色阴性。少量的轻度肝细胞异型增生多见于癌旁肝组织内。
, 百拇医药
2.5 HCC发生情况 第1例HCC发现于实验第99周。HCC的发生仅见于A(HBV+AFB1)组及C(AFB1)组,其发生情况见表3。HCC肿块直径大至4 cm,小如米粒。其组织形态类似人的HCC,肿瘤细胞以中、低度分化为主,呈梁柱型、腺型或梁柱型腺样型二者混合存在(图4)。各例HCC的肿块数一般为1~3个,即便是眼观仅见1个肿块者,镜下在其它处肝组织仍能见到尚未形成肿块的微小HCC。各例HCC均未见肝外转移。B(HBV)组及D(空白对照)组至实验结束时未见有HCC发生,但B组1例于实验第129周死亡的动物,肝内已有数个直径为0.3~0.5 cm的增生性结节(图5)。
表3 A、C组的HCC出现情况 分组
至100周
101~
120周
, 百拇医药
121~
140周
141~
160周
总例数
发生率
(%)*
平均周数
(
A组
1
, http://www.100md.com
9
1
3
14
14/21(66.7)
120.3+16.6
C组
3
3
3/10(30.0)
153.3+5.8
*HCC发生率=HCC总例数/第1例HCC出现时(99周)该组存活的动物数。两组出现HCC的平均周数相比,**P<0.013 讨论
, 百拇医药
本实验表明HBV可以引起树
, 百拇医药
图1 B组动物,第90周活检肝组织内见细胞浆HBsAg阳性的肝细胞。S-P×400
图2 A组动物,第119周死于HCC,癌内见HBxAg阳性细胞。S-P×200
图3 B组动物,第75周活检肝组织内见汇管区炎症及结缔组织增生。HE×100
图4 A组动物,第119周死于HCC。癌组织内见部分腺样结构,呈混合型。HE×200
图5 B组动物,第129周自然死亡,镜下见结节内有小腺样结构形成。HE×200 本实验A、B组的动物一旦感染上HBV后,整个实验期间HBV感染标志(肝细胞内的HBsAg,HBxAg或HBV DNA)大都能够保持较长时间,这与Walter等的实验结果有所不同:他们报道用HBV感染幼年树
, 百拇医药
本实验结果与我们曾报道的结果〔1〕一致,再次证实了HBV与AFB1的共同作用可提高HCC的发生率。至于HBV如何与AFB1在HCC的形成中起作用,目前仍不很清楚。传统的观点认为肝细胞在HBV引起的炎症、坏死及再生过程中,易受AFB1毒性作用的影响。近年来有关研究表明HBV可能通过它引起的肝脏病变来改变肝细胞对AFB1的代谢〔9〕,或AFB1可能通过增加HBV引起的肝细胞基因的不稳定性来共同参与HCC的形成〔10~12〕。本研究观察到HBV在成年树
, 百拇医药
基金项目:广西留学回国人员科学基金资助项目(No 96-32006)和国家自然科学基金资助项目(No 39260033)
作者简介:李瑗,女,48岁,硕士,副主任医师。研究方向为肝癌实验病理
苏建家,男,56岁,主任医师,广西抗癌协会理事,从事肝癌病因及发病学的实验病理研究
参考文献
1,严瑞琪,苏建家,黄定瑞等.人乙型肝炎病毒和黄曲霉素B1诱发树
2,北京第五次全国传染病寄生虫病学术会议.病毒性肝炎防治方案(试行).中华内科杂志,1995;34(11):788~791
, 百拇医药
3,Paronetto F, Tennant BC. Woodchuck hepatitis virus infection:A model of human hepatic diseases and hepatocellular carcinoma. Prog in Liver Dis,1990;9:463~484
4,Toshkov I, Chisari FV, Bannasch P. Hepatic preneoplasia in hepatitis B virus transgenic mice. Hepatology,1994;20(5):1162~1172
5,Bannasch P, Jahn U, Hecker HJ et al. Focal hepatic glycogenosis:a putative preneoplastic lesion associated with neoplasia and cirrhosis in explanted human livers. Int J Oncol,1997;10:261~268
, 百拇医药
6,Walter E, Keist R, Niederost B et al. Hepatitis B virus infection of tupaia hepatocytes in vitro and in vivo. Hepatology,1996;24(1):1~5
7,Han KH, Hollinger FB, Noonan CA et al. Southern-blot analysis and simultaneous in situ detection of hepatitis B virus-associated DNA and antigens in patients with end-stage liver disease. Hepatology,1993;18(5):1032~1037
8,赵 勇,梁英锐.慢性活动肝炎HBV DNA原位分子杂交研究.中华病理学杂志,1990;19(1):42~44
, 百拇医药
9,Kirby GM, Chemin I, Montesano R et al. Induction of specific cytochrome P450s involved in aflatoxin B1 metabolism in hepatitis B virus transgenic mice. Mol Carcinog,1994;11(2):74~80
10,Kaplanski C, Chisari FV, Wild CP. Minisatellite rearrangements are increased in liver tumours induced by trasplacental aflatoxin B1 treatment of hepatitis B virus transgenic mice, but not in spontaneously arising tumous. Carcinogenesis,1997;18(4):633~639
11,苏建家,严瑞琪,黄定瑞等.肝细胞异型增生的产生及其与肝细胞癌发生关系的实验研究.临床与实验病理学杂志,1993;9(2):137~139
12,苏建家,严瑞琪,覃国忠等.树
收稿日期:1999-10-15, 百拇医药