原发性甲状腺非霍奇金淋巴瘤5例报道及文献复习
作者:胡维维 陈光华 李烈
单位:胡维维 李烈(广东省佛山市第一人民医院病理科 528000);陈光华(广东省广州市儿童医院病理科 510120)
关键词:甲状腺肿瘤;淋巴瘤;粘膜相关淋巴组织型淋巴瘤
临床与实验病理学杂志000309 摘要 目的:观察原发性甲状腺非霍奇金淋巴瘤(NHL)的病理形态特征,初步探讨其起源问题。方法:通过HE及免疫组化染色观察5例原发性甲状腺NHL,并复习文献。结果:5例原发性甲状腺NHL中,中心母细胞型1例,中心细胞-中心母细胞混合型2例,多形性免疫母细胞型1例及粘膜相关淋巴组织(MALT)淋巴瘤1例。免疫组化结果显示瘤细胞均表达LCA、L26,其中3例Kappa阳性,2例Lambda阳性。结论:原发性甲状腺NHL具有多种不同病理形态特征,原发性甲状腺NHL不一定都属于MALT淋巴瘤及由它发展而来的恶性度高的NHL。
, http://www.100md.com
中图分类号 R733.4;R736.1 文献标识码 A
文章编号 1001-7399(2000)03-0207-03
Primary non-Hodgkin's lymphoma (NHL) in thyroid gland:five cases report and literature review
Hu Weiwei
(Dept of Pathol,First Peoples Hospital of Foshan, Foshan 528000)
Chen Guanghua
(Dept of Pathol,Guangzhou Childrens Hospital,Guangzhou 510120)
, 百拇医药
Li Lie
(Dept of Pathol,First Peoples Hospital of Foshan, Foshan 528000)
ABSTRACT Purpose To observe the morphological features of NHL in thyroid gland and research their origin. Methods Five cases of primary NHL of thyroid gland were observed with HE and immunohistochemical stains. Results In the five cases of NHL of thyroid gland, two centroblast types, were centrocyte-centroblast type, polymorphological immunoblast type and the last one was mucous associated lymphoid tissue malignant lymphoma one each. The results of immunohistochemistry showed that five cases were LCA and L26 positive,three cases kappa positive,two cases lambda positive. Conclusion This suggest that not all primary NHL of thyroid gland are originated from MALT.
, 百拇医药
KEY WORDS thyroid neoplasms;lymphoma;mucosa associated lymphoid tissue type lymphoma
原发性甲状腺非霍奇金淋巴瘤(NHL) 较少见,据不完全统计,国内外文献报道100多例〔1~8〕。作者报道 5例NHL,并复习文献,结合病例初步探讨发生于甲状腺NHL的起源问题。
1 材料与方法
收集我院1994~1999年手术切除的甲状腺NHL标本5例。标本用10%福尔马林液固定,石蜡包埋,切片厚4μm,HE染色,光镜观察。免疫组化采用S-P法,抗体及试剂盒购自福州迈新公司。临床资料见表1。
2 结果
2.1 巨检 各例肿块大小不等, 形态不一。大者8 cm×7 cm×6 cm,小者6 cm×5 cm×4 cm,切面灰白鱼肉状,有灶性出血坏死,包膜不完整或无包膜。有2例各送检黄豆及蚕豆大淋巴结5枚。
, 百拇医药
2.2 镜检 5例均见异型淋巴细胞浸润甲状腺实质,甲状腺结构破坏,部分滤泡残留。例1,瘤细胞弥漫分布,形态相似于生发中心母细胞,体积近于组织细胞,有胞浆,核圆形或卵圆形,无裂沟。核膜下见1~ 3个嗜碱性核仁,核分裂象多见(图1)。例2及例5镜下形态相似,瘤细胞呈巢状或弥漫分布,已侵入甲状腺外周的横纹肌组织。瘤细胞大小不一,以中心细胞为主,大裂细胞次之,并夹杂部分中心母细胞(图2),有的区域还可见少数中心细胞样(CCL)细胞。例3,肿瘤组织内可见残存的甲状腺组织及个别呈反应性增生的淋巴滤泡。瘤细胞弥漫分布,浸润滤泡上皮,形成淋巴上皮病变(图3)。瘤细胞主要由CCL细胞构成,大小较一致,比小裂细胞稍大,胞浆较少,核不规则,并见少数浆细胞及单核样细胞。残存的甲状腺滤泡嗜酸性变,呈桥本病改变。送检5枚淋巴结内均未见肿瘤转移。例4,异型免疫母细胞弥漫浸润,细胞体积大,圆形,胞浆丰富,核仁明显,有的形似浆母细胞(图4),少数瘤细胞具双核,形如R-S细胞,核分裂象多,并见个别多核瘤细胞。甲状腺结构完全破坏。送检5枚淋巴结有4枚见肿瘤转移。
, http://www.100md.com
表1 5例原发性甲状腺NHL临床资料 病例号
性别
年龄(岁)
部位
主诉与检查
1
男
79
右甲状腺
颈前肿物10年,无痛,近来迅速增大,伴呼吸困难,无淋巴结肿大。
2
女
, http://www.100md.com
85
左甲状腺
颈前肿物2个月,有压痛,伴气促,吞咽困难。无淋巴结肿大。
3
女
70
双甲状腺
颈前肿物20余天,伴呼吸不畅。左颈部多个淋巴结肿大。
4
女
54
左甲状腺
, 百拇医药
颈前肿物1年,无明显不适。左颈部及锁骨上多个淋巴结肿大。
5
男
59
左甲状腺
颈前肿物1年,无痛。3年前曾因颈前肿物在外院行“双侧甲状腺次全切除术”,诊断不详,现复发。
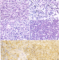
图1 瘤细胞形似生发中心母细胞,核仁明显,核分裂象可见。HE×400
图2 瘤细胞大小不一,以中心细胞为主,并夹有部分中心母细胞。HE×400
图3 中心细胞样细胞侵蚀残存滤泡上皮,形成淋巴上皮病变。HE×400
, http://www.100md.com
图4 瘤细胞体积大,胞浆丰富,有的形似浆母细胞,异型明显,核分裂象多见。HE×400
图5 免疫组化L26抗体标记,瘤细胞阳性。S-P×400
图6 免疫组化轻链Lambda标记阳性,显示单克隆。S-P×2002.3 免疫组化 5例瘤细胞均表达LCA、L26(图5),例1、例4及例5 Kappa阳性(图6),例2、例3 Lambda阳性,均显示单克隆。UCHL-1、角蛋白阴性。
2.4 病理诊断 根据以上形态,5例均诊断为甲状腺原发性NHL,例1为中心母细胞型;例2及例5为中心细胞-中心母细胞混合型;例3为MALT淋巴瘤;例4为多形性免疫母细胞型恶性淋巴瘤。
3 讨论
原发性甲状腺NHL多发在老年女性,平均年龄65岁,女性与男性之比为3∶1〔3〕。本组5例,女3例,男2例,3例女性平均年龄为66岁。各例病变不同,第1例中心母细胞型及第4例多形性免疫母细胞型属高度恶性,第2及第5例中心细胞-中心母细胞混合型属中度恶性,因其肿瘤组织中含有部分低度恶性成分CCL细胞,故也属MALT淋巴瘤范畴;第3例为典型的MALT淋巴瘤属低度恶性。Burke等〔4〕报道35例甲状腺原发的NHL,有27例合并桥本甲状腺炎。当时尚无MALT淋巴瘤一说,他只提出桥本病的发展会演变为淋巴瘤。1983年Isaacson及Wright等〔9〕首先提出见于胃肠道的MALT淋巴瘤,后来随着认识加深,学者们发现MALT淋巴瘤可发生在甲状腺、胸腺、乳腺、涎腺、肾脏、肺、眼及结膜等处〔10~14〕。近年来,免疫组化已证实MALT淋巴瘤的瘤细胞起源于再循环至淋巴滤泡边缘带B细胞,它形似滤泡中心的小裂细胞,体积因胞浆稍多略大于后者,故又称为小裂样或滤泡中心细胞样细胞。瘤细胞可向浆细胞分化。
, http://www.100md.com
根据组织形态学,MALT淋巴瘤都具有CCL细胞,对粘膜上皮有侵蚀性,且常发生在自身免疫性疾病的基础上,它与高度恶性的NHL是否同一起源?Hyjek等〔11〕报道 10例高度恶性原发于甲状腺NHL,2例存在桥本甲状腺炎病变,2例瘤细胞呈小裂细胞形态,2例瘤细胞有浆细胞分化。因此,Hyjek认为高度恶性甲状腺NHL是由低度恶性淋巴瘤发展来的。然而Woolner等〔3〕报道46例原发甲状腺NHL,只发现 10例存在桥本病变,36例没有。本组5例,只有1例可见桥本病改变,在2例高度恶性NHL中未见有低度恶性成分的CCL细胞,因而推测原发甲状腺的NHL,不一定都属于MALT淋巴瘤及由它发展的恶性度高的NHL。当然,起源问题亦非本文作者能解答的难题,有待更多事实证实。
作者简介:胡维维,女,39岁,主治医师
陈光华,男,73岁,主任医师。研究方向:儿科病理、淋巴瘤病理
, 百拇医药
参考文献
1,Mikal S. Primary lymphoma of the thyroid gland. Surgery,1964;55:233~239
2,Cox MT.Malignant lymphoma of the thyroid. J Clin Pathol,1964;17:591~601
3,Woolner LB,McConahey WM,Beahrs OH et al. Primary maligant lymphoma of the thyroid. Review of forty-six cases. Am J Surg, 1966;111:502~523
4,Burke JS, Butler JJ, Fuller LM. Malignant lymphoma of the thyroid. Cancer, 1977;39:1587~1602
, 百拇医药
5,孟 刚,马东白. 甲状腺恶性淋巴瘤——附17例临床分析. 肿瘤, 1995;15:94~95
6,杨 立,赵 敏,陈风林等. 48例原发粘膜恶性淋巴瘤的临床病理与免疫表型分析. 临床与实验病理学杂志,1998;14(1):38~40
7,袁 素,周慕珩. 桥本甲状腺炎并发B细胞性恶性淋巴瘤1例. 临床与实验病理学杂志,1997;13(1):92
8,朱梅刚,周志韶主编. 淋巴组织增生性疾病病理学. 广州:广东高等教育出版社,1994:74~75
9,Isaacson PG,Wright DH.Malignant lymphoma of mucosa-associated lymphoid tissue.A distinctive type of B-cell lymphoma. Cancer, 1983;52:1410~1416
, 百拇医药
10,Anscombe AM,Wright DH. Primary malignant lymphoma of the thyroid.A tumour of mucosa-associated lymphoid tissue. Review of seventy-six cases. Histopathology, 1985;9:81~97
11,Hyjek E, Isaacson PG. Primary B cell lymphoma of the thyroid and its relationship to Hashimoto's thyroiditis. Hum Pathol, 1988;19:1315~1326
12,Harris NL. Extranodal lymphoid infiltrates and mucosa-associated lymphoid tissue(MALT).A unifying concept.Am J Surg Pathol,1991;15:879~884
, http://www.100md.com
13,Isaacon P,Spencer J.Malignant lymphoma of mucosa-associated lymphoid tissue. Histopathology, 1987;11:445~462
14,Harris NL. Low grade B-cell lymphoma of mucosa-associated lymphoid tissue and monocytoid B-cell lymphoma. Arch Pathol, 1993;117:771~775
收稿日期:1999-10-12
修回日期:2000-04-27, 百拇医药
单位:胡维维 李烈(广东省佛山市第一人民医院病理科 528000);陈光华(广东省广州市儿童医院病理科 510120)
关键词:甲状腺肿瘤;淋巴瘤;粘膜相关淋巴组织型淋巴瘤
临床与实验病理学杂志000309 摘要 目的:观察原发性甲状腺非霍奇金淋巴瘤(NHL)的病理形态特征,初步探讨其起源问题。方法:通过HE及免疫组化染色观察5例原发性甲状腺NHL,并复习文献。结果:5例原发性甲状腺NHL中,中心母细胞型1例,中心细胞-中心母细胞混合型2例,多形性免疫母细胞型1例及粘膜相关淋巴组织(MALT)淋巴瘤1例。免疫组化结果显示瘤细胞均表达LCA、L26,其中3例Kappa阳性,2例Lambda阳性。结论:原发性甲状腺NHL具有多种不同病理形态特征,原发性甲状腺NHL不一定都属于MALT淋巴瘤及由它发展而来的恶性度高的NHL。
, http://www.100md.com
中图分类号 R733.4;R736.1 文献标识码 A
文章编号 1001-7399(2000)03-0207-03
Primary non-Hodgkin's lymphoma (NHL) in thyroid gland:five cases report and literature review
Hu Weiwei
(Dept of Pathol,First Peoples Hospital of Foshan, Foshan 528000)
Chen Guanghua
(Dept of Pathol,Guangzhou Childrens Hospital,Guangzhou 510120)
, 百拇医药
Li Lie
(Dept of Pathol,First Peoples Hospital of Foshan, Foshan 528000)
ABSTRACT Purpose To observe the morphological features of NHL in thyroid gland and research their origin. Methods Five cases of primary NHL of thyroid gland were observed with HE and immunohistochemical stains. Results In the five cases of NHL of thyroid gland, two centroblast types, were centrocyte-centroblast type, polymorphological immunoblast type and the last one was mucous associated lymphoid tissue malignant lymphoma one each. The results of immunohistochemistry showed that five cases were LCA and L26 positive,three cases kappa positive,two cases lambda positive. Conclusion This suggest that not all primary NHL of thyroid gland are originated from MALT.
, 百拇医药
KEY WORDS thyroid neoplasms;lymphoma;mucosa associated lymphoid tissue type lymphoma
原发性甲状腺非霍奇金淋巴瘤(NHL) 较少见,据不完全统计,国内外文献报道100多例〔1~8〕。作者报道 5例NHL,并复习文献,结合病例初步探讨发生于甲状腺NHL的起源问题。
1 材料与方法
收集我院1994~1999年手术切除的甲状腺NHL标本5例。标本用10%福尔马林液固定,石蜡包埋,切片厚4μm,HE染色,光镜观察。免疫组化采用S-P法,抗体及试剂盒购自福州迈新公司。临床资料见表1。
2 结果
2.1 巨检 各例肿块大小不等, 形态不一。大者8 cm×7 cm×6 cm,小者6 cm×5 cm×4 cm,切面灰白鱼肉状,有灶性出血坏死,包膜不完整或无包膜。有2例各送检黄豆及蚕豆大淋巴结5枚。
, 百拇医药
2.2 镜检 5例均见异型淋巴细胞浸润甲状腺实质,甲状腺结构破坏,部分滤泡残留。例1,瘤细胞弥漫分布,形态相似于生发中心母细胞,体积近于组织细胞,有胞浆,核圆形或卵圆形,无裂沟。核膜下见1~ 3个嗜碱性核仁,核分裂象多见(图1)。例2及例5镜下形态相似,瘤细胞呈巢状或弥漫分布,已侵入甲状腺外周的横纹肌组织。瘤细胞大小不一,以中心细胞为主,大裂细胞次之,并夹杂部分中心母细胞(图2),有的区域还可见少数中心细胞样(CCL)细胞。例3,肿瘤组织内可见残存的甲状腺组织及个别呈反应性增生的淋巴滤泡。瘤细胞弥漫分布,浸润滤泡上皮,形成淋巴上皮病变(图3)。瘤细胞主要由CCL细胞构成,大小较一致,比小裂细胞稍大,胞浆较少,核不规则,并见少数浆细胞及单核样细胞。残存的甲状腺滤泡嗜酸性变,呈桥本病改变。送检5枚淋巴结内均未见肿瘤转移。例4,异型免疫母细胞弥漫浸润,细胞体积大,圆形,胞浆丰富,核仁明显,有的形似浆母细胞(图4),少数瘤细胞具双核,形如R-S细胞,核分裂象多,并见个别多核瘤细胞。甲状腺结构完全破坏。送检5枚淋巴结有4枚见肿瘤转移。
, http://www.100md.com
表1 5例原发性甲状腺NHL临床资料 病例号
性别
年龄(岁)
部位
主诉与检查
1
男
79
右甲状腺
颈前肿物10年,无痛,近来迅速增大,伴呼吸困难,无淋巴结肿大。
2
女
, http://www.100md.com
85
左甲状腺
颈前肿物2个月,有压痛,伴气促,吞咽困难。无淋巴结肿大。
3
女
70
双甲状腺
颈前肿物20余天,伴呼吸不畅。左颈部多个淋巴结肿大。
4
女
54
左甲状腺
, 百拇医药
颈前肿物1年,无明显不适。左颈部及锁骨上多个淋巴结肿大。
5
男
59
左甲状腺
颈前肿物1年,无痛。3年前曾因颈前肿物在外院行“双侧甲状腺次全切除术”,诊断不详,现复发。
图1 瘤细胞形似生发中心母细胞,核仁明显,核分裂象可见。HE×400
图2 瘤细胞大小不一,以中心细胞为主,并夹有部分中心母细胞。HE×400
图3 中心细胞样细胞侵蚀残存滤泡上皮,形成淋巴上皮病变。HE×400
, http://www.100md.com
图4 瘤细胞体积大,胞浆丰富,有的形似浆母细胞,异型明显,核分裂象多见。HE×400
图5 免疫组化L26抗体标记,瘤细胞阳性。S-P×400
图6 免疫组化轻链Lambda标记阳性,显示单克隆。S-P×2002.3 免疫组化 5例瘤细胞均表达LCA、L26(图5),例1、例4及例5 Kappa阳性(图6),例2、例3 Lambda阳性,均显示单克隆。UCHL-1、角蛋白阴性。
2.4 病理诊断 根据以上形态,5例均诊断为甲状腺原发性NHL,例1为中心母细胞型;例2及例5为中心细胞-中心母细胞混合型;例3为MALT淋巴瘤;例4为多形性免疫母细胞型恶性淋巴瘤。
3 讨论
原发性甲状腺NHL多发在老年女性,平均年龄65岁,女性与男性之比为3∶1〔3〕。本组5例,女3例,男2例,3例女性平均年龄为66岁。各例病变不同,第1例中心母细胞型及第4例多形性免疫母细胞型属高度恶性,第2及第5例中心细胞-中心母细胞混合型属中度恶性,因其肿瘤组织中含有部分低度恶性成分CCL细胞,故也属MALT淋巴瘤范畴;第3例为典型的MALT淋巴瘤属低度恶性。Burke等〔4〕报道35例甲状腺原发的NHL,有27例合并桥本甲状腺炎。当时尚无MALT淋巴瘤一说,他只提出桥本病的发展会演变为淋巴瘤。1983年Isaacson及Wright等〔9〕首先提出见于胃肠道的MALT淋巴瘤,后来随着认识加深,学者们发现MALT淋巴瘤可发生在甲状腺、胸腺、乳腺、涎腺、肾脏、肺、眼及结膜等处〔10~14〕。近年来,免疫组化已证实MALT淋巴瘤的瘤细胞起源于再循环至淋巴滤泡边缘带B细胞,它形似滤泡中心的小裂细胞,体积因胞浆稍多略大于后者,故又称为小裂样或滤泡中心细胞样细胞。瘤细胞可向浆细胞分化。
, http://www.100md.com
根据组织形态学,MALT淋巴瘤都具有CCL细胞,对粘膜上皮有侵蚀性,且常发生在自身免疫性疾病的基础上,它与高度恶性的NHL是否同一起源?Hyjek等〔11〕报道 10例高度恶性原发于甲状腺NHL,2例存在桥本甲状腺炎病变,2例瘤细胞呈小裂细胞形态,2例瘤细胞有浆细胞分化。因此,Hyjek认为高度恶性甲状腺NHL是由低度恶性淋巴瘤发展来的。然而Woolner等〔3〕报道46例原发甲状腺NHL,只发现 10例存在桥本病变,36例没有。本组5例,只有1例可见桥本病改变,在2例高度恶性NHL中未见有低度恶性成分的CCL细胞,因而推测原发甲状腺的NHL,不一定都属于MALT淋巴瘤及由它发展的恶性度高的NHL。当然,起源问题亦非本文作者能解答的难题,有待更多事实证实。
作者简介:胡维维,女,39岁,主治医师
陈光华,男,73岁,主任医师。研究方向:儿科病理、淋巴瘤病理
, 百拇医药
参考文献
1,Mikal S. Primary lymphoma of the thyroid gland. Surgery,1964;55:233~239
2,Cox MT.Malignant lymphoma of the thyroid. J Clin Pathol,1964;17:591~601
3,Woolner LB,McConahey WM,Beahrs OH et al. Primary maligant lymphoma of the thyroid. Review of forty-six cases. Am J Surg, 1966;111:502~523
4,Burke JS, Butler JJ, Fuller LM. Malignant lymphoma of the thyroid. Cancer, 1977;39:1587~1602
, 百拇医药
5,孟 刚,马东白. 甲状腺恶性淋巴瘤——附17例临床分析. 肿瘤, 1995;15:94~95
6,杨 立,赵 敏,陈风林等. 48例原发粘膜恶性淋巴瘤的临床病理与免疫表型分析. 临床与实验病理学杂志,1998;14(1):38~40
7,袁 素,周慕珩. 桥本甲状腺炎并发B细胞性恶性淋巴瘤1例. 临床与实验病理学杂志,1997;13(1):92
8,朱梅刚,周志韶主编. 淋巴组织增生性疾病病理学. 广州:广东高等教育出版社,1994:74~75
9,Isaacson PG,Wright DH.Malignant lymphoma of mucosa-associated lymphoid tissue.A distinctive type of B-cell lymphoma. Cancer, 1983;52:1410~1416
, 百拇医药
10,Anscombe AM,Wright DH. Primary malignant lymphoma of the thyroid.A tumour of mucosa-associated lymphoid tissue. Review of seventy-six cases. Histopathology, 1985;9:81~97
11,Hyjek E, Isaacson PG. Primary B cell lymphoma of the thyroid and its relationship to Hashimoto's thyroiditis. Hum Pathol, 1988;19:1315~1326
12,Harris NL. Extranodal lymphoid infiltrates and mucosa-associated lymphoid tissue(MALT).A unifying concept.Am J Surg Pathol,1991;15:879~884
, http://www.100md.com
13,Isaacon P,Spencer J.Malignant lymphoma of mucosa-associated lymphoid tissue. Histopathology, 1987;11:445~462
14,Harris NL. Low grade B-cell lymphoma of mucosa-associated lymphoid tissue and monocytoid B-cell lymphoma. Arch Pathol, 1993;117:771~775
收稿日期:1999-10-12
修回日期:2000-04-27, 百拇医药