先天性小痣82例临床与病理分析
作者:叶庆佾 唐书谦 钟白玉 刁庆春 刘荣卿
单位:第三军医大学西南医院皮肤科,重庆,400038
关键词:黑素细胞痣;先天性小痣;恶性黑素瘤
临床皮肤科杂志000305
摘要:为了了解先天性小痣(SCN)的临床与病理特点,对82例进行了分析。在临床上,SCN损害常为梭形或椭圆形褐黑色斑块,84%的损害大小超过1cm,表面粗糙不平,常覆盖有黑色粗毛;部位最常见于躯干和四肢。病理上,大部分病例黑素细胞巢局限于真皮网状层的上半部;2/3的SCN可见到明显的交界活动性。由于先天性小痣比后天性痣易于恶变,故支持尽量在青春期前作预防性切除的意见。
Clinical and pathological analysis of 82 cases of small congenital nevus
, 百拇医药
Ye Qingyi Tang Shuqian Zhong Beiyu Diao Qingchun Liu Rongqing
(Department of Dermatology, Southwest Hospital, The Third Military Medical University, Chongqing, 400038)
Abstract In order to study the clinical and pathological characteristics, 82 cases of small congenital nevus(SCN) were reviewed. Clinically, SCN was often spindle or oval shaped plaques, brown to black in colour. in 84% of nevi the lesion size was over 1cm in greatest diameter. Their surface was rough and usually covered with coarse black hairs. Pathologically, in a great part of the cases, the nests of melanocytes were confined to the upper half of the reticular dermis, 2/3 of SCN showed marked junctional activity. Because SCN is more liable to undergo malignant degeneration than acquired nevus (AN) , the best possible means is prophylactic excision before puberty.
, 百拇医药
Key words Melanocytic nevus Small congenital nevus Malignant melanoma
黑素细胞痣又称色素痣或痣细胞痣,是人类最常见的新生物。临床上将出生时就有或出生后才发生的分别命名为先天性痣和后天性痣;又根据损害大小,将直径小于10cm或小于患者手掌的称先天性小痣(SCN),超过此数值者称先天性巨痣(GCN)[1]。部分色素痣可恶化为恶性黑素瘤(MM),但哪些痣易于恶变,一直受到医师和患者的关注。国内外学者一般认为先天性小痣易于恶变,故主张早期切除[2~5],这就需要对先天性小痣的临床和病理特点有足够认识。现将本科先天性小痣82例报道如下。
1 材料
复习本科1980年~1998年所有色素痣的临床及病理资料,病理切片均为HE染色。这期间共有色素痣352例,其中后天性痣248例,占色素痣总数的70.45%,先天性小痣82例,占23.30%,先天性巨痣8例,占2.27%,蓝痣14例,占3.98%。对82例先天性小痣的临床资料和组织病理学改变加以分析。
, 百拇医药
2 结果
82例中,男34例,女48例。年龄:小于10岁29例(最小1例为8个月)、11~20岁27例、21~30岁15例、31~40岁7例、41~50岁4例,平均16.5岁。部位:躯干32例、四肢27例、头颈13例、面部10例。损害大小:最大直径<0.9cm13例、1.0~1.4cm34例、1.5~2.9cm20例、3.0~4.9cm11例、5.0~10.0cm4例。轮廓及形态:梭形或椭圆形6例、圆形36例;褐黑色斑片4例、扁平斑块67例(见图1)、半球形丘疹或结节11例;表面多粗糙不平,有黑色粗毛34例、无黑毛48例。
图1 背部先天性小痣
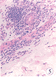
病理上痣细胞分布的宽度远远超过厚度,多呈条片状分散于真皮网状层上部(见图2),仅8例深达网状层下部;有54例可见痣细胞呈单行或双行条状在胶原束之间伸展(见图3),皮脂腺小叶中有痣细胞团者21例(见图4),毛囊壁有痣细胞团者10例,立毛肌内有痣细胞团者4例(见图5);有明显的以血管为中心的痣细胞团者34例;病理报告为交界痣3例、复合痣57例、皮内痣22例。
, 百拇医药
图2 真皮中上层及表真皮交界处痣细胞(HE×4);
图3 胶原束间痣细胞(HE×10);
图4 皮脂腺旁及以血管为中心的痣细胞(HE×10);
图5 立毛肌内痣细胞(HE×20)
3 讨论
部分恶性黑素瘤起源于色素痣,这已得到公认。国外报道先天性巨痣恶变率平均为10%[1],由于先天性巨痣发生率低,所以,在MM中所占比例不大。而先天性小痣的恶变率为1%[6],但先天性小痣在人群中的发生率约1%左右[1],基数大,故在MM的发病中占有重要地位。Harley等报道的一组发生于色素痣的MM,其中28%为先天性小痣[5]。Illig等提出小于10cm的先天性痣是MM的癌前病变(precursors)[2]。高天文等亦指出先天性小痣较后天性痣易于恶变[3],并报道9例先天性小痣恶变患者,占该组MM的13.44%[4]。但不少色素痣患者无法确定自己的痣是何时发生的,此时,就可根据临床、病理表现加以推断。
, 百拇医药
从本文资料来看,平均发病年龄比后天性痣低,这系因大部先天性痣比后天性痣大,易引起注意。本文中84%先天性小痣的直径大于1cm,43%大于1.5cm。形态上大部为梭形或椭圆形扁平或稍隆起斑块。色泽一般为褐黑色,表面多粗糙不平,有41.5%患者损害表面有均匀分布的黑色粗毛。其发生部位以躯干、四肢较多,头颈及面部较少;而后天性痣则好发于躯干及面部,轮廓多为圆形,呈半球形隆起的丘疹或结节;直径多在1cm以内,色泽往往随年龄增长而变淡;表面多光滑,少数损害中央有一至数根黑毛。
病理学上Lever提出几乎所有的先天性小痣痣细胞都深达真皮网状层的下部,半数以上的病例伸入皮下组织[6],但Illig[2]报道的52例中仅5例达真皮的下1/3或皮下。Ackerman亦指出先天性小痣通常不侵入真皮网状层的下部[7]。本文痣细胞深达网状层下部者不到10%,我们同意Barnhill等的意见,痣细胞浸润的深度可能与损害大小有关[8],因本文资料中绝大部分在5cm以内。Ackerman提出诊断先天性小痣有3条线索[7],这些在本文资料中都可见到,但除痣细胞在胶原束间伸展外,有以血管为中心的痣细胞团和皮脂腺小叶内有痣细胞团这2条线索的阳性率均不到半数。我们观察先天性小痣痣细胞呈散在片状较宽地分布于真皮网状层上部,且多表现为混合痣,低倍放大所见与后天性痣的病理变化不同,再结合Ackerman提出的3条线索即可作出先天性小痣病理诊断。
, 百拇医药
Lever指出如MM发生于先天性痣,它通常起源于表皮-真皮交界处[6]。本文资料中,交界痣及混合痣共占73.2%,即2/3以上的先天性小痣有交界活动现象,进一步证明它易于恶变。
Illig等[2]引用Rhodes的资料,指出先天性小痣患者活到60岁时,估计MM的风险累积为2.6%~4.9%;而且这风险将持续终生,因此只有切除才能预防其恶变,并提出切除时间可延至青春期前(至少对扁平、浅表型)。Norins提出可在患儿8~10岁能配合局麻手术时进行[9]。正因为先天性小痣比后天性痣易于恶变,故我们同意对先天性小痣在青春期前尽量切除的意见。
参 考 文 献
1,Jacobs AH. The argument for removal of congenital nevocytic nevi. In Epstein E. ed. Controversies in Dermatology. Philadelphia: Saunders. 1984.14~ 17
, 百拇医药
2,Illig L, Weidner F, Hundeiker M, et al. Congenital Nevi≤ 10cm as precursors to melanoma. Arch Dermatol, 1985,121(10):1274~ 1281
3,高天文,刘荣卿,叶庆佾.先天性小痣在MM发生的地位.第三军医大学学报,1993,15(5):391~394
4,高天文,刘荣卿,叶庆佾.先天性小痣恶变9例.临床皮肤科杂志,1993,22(4):195~196
5,Harley S, Walsh N.A. New look at nevus associated melanomas. Am J Dermatopathol, 1996,18(2):137~ 141
6,Lever WF, Schaumbarg Lever G. Histopathology of the skin. 6th ed. Philadelphia: Lippincott. 1983.693~ 694
, 百拇医药
7,Ackerman AB, Guo Y, Vitale PA. Clues to diagnosis in dermatopathology II. Chicago: Amer Soc Clin Path, 1992.214~ 215
8,Barnhill RL, Fleischli M. Histologic features of congenital melanocytic nevi in infants 1 year of age or younger. J Am Acad Dermatol, 1995,33(5):780~ 785
9,Norins AL. Congenital nevi, In Greer KE.Ed. Common Problems in Dermatology. Chicago: Year Book Medical Pub. 1988.256~ 259
(收 稿 1999- 07- 16 修 回 1999- 11- 15), 百拇医药
单位:第三军医大学西南医院皮肤科,重庆,400038
关键词:黑素细胞痣;先天性小痣;恶性黑素瘤
临床皮肤科杂志000305
摘要:为了了解先天性小痣(SCN)的临床与病理特点,对82例进行了分析。在临床上,SCN损害常为梭形或椭圆形褐黑色斑块,84%的损害大小超过1cm,表面粗糙不平,常覆盖有黑色粗毛;部位最常见于躯干和四肢。病理上,大部分病例黑素细胞巢局限于真皮网状层的上半部;2/3的SCN可见到明显的交界活动性。由于先天性小痣比后天性痣易于恶变,故支持尽量在青春期前作预防性切除的意见。
Clinical and pathological analysis of 82 cases of small congenital nevus
, 百拇医药
Ye Qingyi Tang Shuqian Zhong Beiyu Diao Qingchun Liu Rongqing
(Department of Dermatology, Southwest Hospital, The Third Military Medical University, Chongqing, 400038)
Abstract In order to study the clinical and pathological characteristics, 82 cases of small congenital nevus(SCN) were reviewed. Clinically, SCN was often spindle or oval shaped plaques, brown to black in colour. in 84% of nevi the lesion size was over 1cm in greatest diameter. Their surface was rough and usually covered with coarse black hairs. Pathologically, in a great part of the cases, the nests of melanocytes were confined to the upper half of the reticular dermis, 2/3 of SCN showed marked junctional activity. Because SCN is more liable to undergo malignant degeneration than acquired nevus (AN) , the best possible means is prophylactic excision before puberty.
, 百拇医药
Key words Melanocytic nevus Small congenital nevus Malignant melanoma
黑素细胞痣又称色素痣或痣细胞痣,是人类最常见的新生物。临床上将出生时就有或出生后才发生的分别命名为先天性痣和后天性痣;又根据损害大小,将直径小于10cm或小于患者手掌的称先天性小痣(SCN),超过此数值者称先天性巨痣(GCN)[1]。部分色素痣可恶化为恶性黑素瘤(MM),但哪些痣易于恶变,一直受到医师和患者的关注。国内外学者一般认为先天性小痣易于恶变,故主张早期切除[2~5],这就需要对先天性小痣的临床和病理特点有足够认识。现将本科先天性小痣82例报道如下。
1 材料
复习本科1980年~1998年所有色素痣的临床及病理资料,病理切片均为HE染色。这期间共有色素痣352例,其中后天性痣248例,占色素痣总数的70.45%,先天性小痣82例,占23.30%,先天性巨痣8例,占2.27%,蓝痣14例,占3.98%。对82例先天性小痣的临床资料和组织病理学改变加以分析。
, 百拇医药
2 结果
82例中,男34例,女48例。年龄:小于10岁29例(最小1例为8个月)、11~20岁27例、21~30岁15例、31~40岁7例、41~50岁4例,平均16.5岁。部位:躯干32例、四肢27例、头颈13例、面部10例。损害大小:最大直径<0.9cm13例、1.0~1.4cm34例、1.5~2.9cm20例、3.0~4.9cm11例、5.0~10.0cm4例。轮廓及形态:梭形或椭圆形6例、圆形36例;褐黑色斑片4例、扁平斑块67例(见图1)、半球形丘疹或结节11例;表面多粗糙不平,有黑色粗毛34例、无黑毛48例。
图1 背部先天性小痣
病理上痣细胞分布的宽度远远超过厚度,多呈条片状分散于真皮网状层上部(见图2),仅8例深达网状层下部;有54例可见痣细胞呈单行或双行条状在胶原束之间伸展(见图3),皮脂腺小叶中有痣细胞团者21例(见图4),毛囊壁有痣细胞团者10例,立毛肌内有痣细胞团者4例(见图5);有明显的以血管为中心的痣细胞团者34例;病理报告为交界痣3例、复合痣57例、皮内痣22例。
, 百拇医药
图2 真皮中上层及表真皮交界处痣细胞(HE×4);
图3 胶原束间痣细胞(HE×10);
图4 皮脂腺旁及以血管为中心的痣细胞(HE×10);
图5 立毛肌内痣细胞(HE×20)
3 讨论
部分恶性黑素瘤起源于色素痣,这已得到公认。国外报道先天性巨痣恶变率平均为10%[1],由于先天性巨痣发生率低,所以,在MM中所占比例不大。而先天性小痣的恶变率为1%[6],但先天性小痣在人群中的发生率约1%左右[1],基数大,故在MM的发病中占有重要地位。Harley等报道的一组发生于色素痣的MM,其中28%为先天性小痣[5]。Illig等提出小于10cm的先天性痣是MM的癌前病变(precursors)[2]。高天文等亦指出先天性小痣较后天性痣易于恶变[3],并报道9例先天性小痣恶变患者,占该组MM的13.44%[4]。但不少色素痣患者无法确定自己的痣是何时发生的,此时,就可根据临床、病理表现加以推断。
, 百拇医药
从本文资料来看,平均发病年龄比后天性痣低,这系因大部先天性痣比后天性痣大,易引起注意。本文中84%先天性小痣的直径大于1cm,43%大于1.5cm。形态上大部为梭形或椭圆形扁平或稍隆起斑块。色泽一般为褐黑色,表面多粗糙不平,有41.5%患者损害表面有均匀分布的黑色粗毛。其发生部位以躯干、四肢较多,头颈及面部较少;而后天性痣则好发于躯干及面部,轮廓多为圆形,呈半球形隆起的丘疹或结节;直径多在1cm以内,色泽往往随年龄增长而变淡;表面多光滑,少数损害中央有一至数根黑毛。
病理学上Lever提出几乎所有的先天性小痣痣细胞都深达真皮网状层的下部,半数以上的病例伸入皮下组织[6],但Illig[2]报道的52例中仅5例达真皮的下1/3或皮下。Ackerman亦指出先天性小痣通常不侵入真皮网状层的下部[7]。本文痣细胞深达网状层下部者不到10%,我们同意Barnhill等的意见,痣细胞浸润的深度可能与损害大小有关[8],因本文资料中绝大部分在5cm以内。Ackerman提出诊断先天性小痣有3条线索[7],这些在本文资料中都可见到,但除痣细胞在胶原束间伸展外,有以血管为中心的痣细胞团和皮脂腺小叶内有痣细胞团这2条线索的阳性率均不到半数。我们观察先天性小痣痣细胞呈散在片状较宽地分布于真皮网状层上部,且多表现为混合痣,低倍放大所见与后天性痣的病理变化不同,再结合Ackerman提出的3条线索即可作出先天性小痣病理诊断。
, 百拇医药
Lever指出如MM发生于先天性痣,它通常起源于表皮-真皮交界处[6]。本文资料中,交界痣及混合痣共占73.2%,即2/3以上的先天性小痣有交界活动现象,进一步证明它易于恶变。
Illig等[2]引用Rhodes的资料,指出先天性小痣患者活到60岁时,估计MM的风险累积为2.6%~4.9%;而且这风险将持续终生,因此只有切除才能预防其恶变,并提出切除时间可延至青春期前(至少对扁平、浅表型)。Norins提出可在患儿8~10岁能配合局麻手术时进行[9]。正因为先天性小痣比后天性痣易于恶变,故我们同意对先天性小痣在青春期前尽量切除的意见。
参 考 文 献
1,Jacobs AH. The argument for removal of congenital nevocytic nevi. In Epstein E. ed. Controversies in Dermatology. Philadelphia: Saunders. 1984.14~ 17
, 百拇医药
2,Illig L, Weidner F, Hundeiker M, et al. Congenital Nevi≤ 10cm as precursors to melanoma. Arch Dermatol, 1985,121(10):1274~ 1281
3,高天文,刘荣卿,叶庆佾.先天性小痣在MM发生的地位.第三军医大学学报,1993,15(5):391~394
4,高天文,刘荣卿,叶庆佾.先天性小痣恶变9例.临床皮肤科杂志,1993,22(4):195~196
5,Harley S, Walsh N.A. New look at nevus associated melanomas. Am J Dermatopathol, 1996,18(2):137~ 141
6,Lever WF, Schaumbarg Lever G. Histopathology of the skin. 6th ed. Philadelphia: Lippincott. 1983.693~ 694
, 百拇医药
7,Ackerman AB, Guo Y, Vitale PA. Clues to diagnosis in dermatopathology II. Chicago: Amer Soc Clin Path, 1992.214~ 215
8,Barnhill RL, Fleischli M. Histologic features of congenital melanocytic nevi in infants 1 year of age or younger. J Am Acad Dermatol, 1995,33(5):780~ 785
9,Norins AL. Congenital nevi, In Greer KE.Ed. Common Problems in Dermatology. Chicago: Year Book Medical Pub. 1988.256~ 259
(收 稿 1999- 07- 16 修 回 1999- 11- 15), 百拇医药