老年牙周炎牙龈内淋巴细胞分布的免疫组化观察
作者:毛钊 赖仁胜 杨俭
单位:毛钊(南京军区南京总医院口腔科,江苏南京 210002);赖仁胜(解放军第81医院病理科,江苏南京 210002);杨俭(江苏职工医科大学,江苏南京 210002)
关键词:老年牙周炎;淋巴细胞;免疫组织化学
医学研究生学报000308摘要: 目的:观察老年牙周炎牙龈组织中T和B淋巴细胞的分布,并与成人牙周炎患者牙龈组织中的情况进行比较。 方法:采用组织病理学和免疫组织化学方法,对15例老年牙周炎患者和10例成人牙周炎患者进行了T和B淋巴细胞分布情况的检查和比较。 结果:老年组IgM阳性表达例数(15例)多于IgA阳性表达例数(4例), 而成人组则相反,且两组组间和组内比较差异显著(P<0.05)。 成人组CD4+和CD8+细胞数明显多于老年组(P<0.05)。 结论:老年牙周牙龈组织局部免疫功能降低,免疫调节功能紊乱,有其独特的免疫组织化学表现。
, http://www.100md.com
中图分类号: R781.42 文献标识码: A
文章编号: 1008-8199(2000)03-0162-03
An immunohistochemical comparative study of lymphocytes in gingiva
in elderly patients with periodontitis
MAO Zhao
( Department of Odontology ,Jinling Hospital,Nanjing 210002,Jiangsu,China)
LAI Ren-sheng
, 百拇医药
(Department of Pathology,the 81st Hospital of PLA;Nanjing 210002,Jiangsu,China)
YANG Jian
(Jiangsu Medical University of Staffs and WorkersNanjing 210002,Jiangsu,China)
Abstract: Objectives: To study the distribution of T and B lymphocytes in gingiva in elderly patients with periodontitis, and compared with that of adult patients. Methods: The distribution of T and B lymphocytes in gingiva were measured with histopathological and immunohistochemical methods in 15 elderly patients and 10 adult patients . Results: In elderly patients with periodontitis ,the cases of IgM positive cells in gingiva (15 cases )were more than those of IgA positive cells ( 4 cases ) ,which were contrary to the adult patients. The number of CD4+ and CD8+ lymphocytes in gingiva in adult patients was much greater than that in elderly patients (P<0.05) . Conclusions : Elderly patients with periodontitis have certain specific characteristics in immunohistochemitry , such as low immunological function in local gingiva and poor function of immunological regulation.
, http://www.100md.com
Key words: Elderly patients with periodontitis; T and B lymphocytes; Immunohistochemical method
0 引 言
实验和临床研究发现,老年人细胞免疫和体液免疫功能均降低。是否会影响老年人患牙周炎时局部牙周组织的免疫功能? 这方面的研究较少[1]。本研究采用免疫组织化学多项功能指标,对老年牙周炎牙龈组织中的T和B淋巴细胞的分布情况进行了观察,并与成人慢性牙周炎牙龈组织进行比较,以期找出老年人牙周炎牙龈组织中免疫病理方面的特征性表现。
1 资料和方法
1.1 研究对象 临床检查及口腔全景X线片诊断为全口慢性牙周炎的老年患者15例,平均年龄70.5(65~79)岁,男性9例,女性6例;成年患者10例,平均年龄47.5(40~55)岁,男性6例,女性4例。凡经临床和实验室检查非全口牙周炎患者、有免疫缺陷病、内分泌疾病、肝肾功能异常、出血性疾病、变态反应性疾病及严重心血管疾病患者,3个月内服用过抗生素和1年内做过牙周系统治疗者均排除在外。
, 百拇医药
1.2 组织病理学检查 按常规病理活检方式取材,拔下牙剥离牙周袋内上皮, 取牙龈组织,以中性福马林固定,常规连续切片,HE染色,光镜下观察。
1.3 免疫组织化学检测
1.3.1 组织来源及标本制备 同组织病理学检查。
1.3.2 抗体种类及工作浓度 IgA(1∶100)、 IgG(1∶100)、 IgM(1∶100)、 κ(1∶100)、 λ(1∶100)、 CD4 (1∶100)、 CD8 (1∶10), 均系DAKO-patten公司(丹麦)提供。ABC试剂购自Vector公司,Bio-SAR和bio-SAM 工作浓度均为1∶200。
1.3.3 免疫组织化学染色步骤 切片以60℃烤片3 h,然后置入二甲苯内2 次,每次10 min,乙醇递次入水,0.01 mol/L的PBS(pH 7.2)洗10 min,加10%马血清37℃孵育20 min,不漂洗,加上述各类抗血清(第1抗体)4~8℃过夜,PBS漂洗3次,ZD- Ⅱ型医用微波炉(上海中达公司生产)功率第3档辐射50 s,PBS漂洗。然后分别加入第2抗体(1∶200)及ABC复合物(1∶100),微波辐射50 s,条件与第1抗体相同, 每次间隔以PBS漂洗,DAB-H2O2显色10~15 min,苏木素浅染5 s,脱水、透明、封片观察。
, http://www.100md.com
1.3.4 阳性细胞标准及统计 免疫组织化学染色结果,以背景清晰、 棕黄色部位定位明确的细胞占同类细胞的10%以上者为(+)表达, 阳性细胞占同类细胞的70%以上者为(2+)表达。CD4和CD8阳性细胞的计数以每高倍视野计数200 个细胞中的阳性细胞数,高倍视野下共数100个,取其平均值为细胞计数结果。
1.4 统计学处理 阳性细胞结果采用χ2检验,阳性细胞计数资料采用t检验。
2 结 果
2.1 组织病理学观察(HE染色) HE 染色光镜下示:老年组牙龈上皮多数重度糜烂、渗出及毛细血管扩张充血,鳞状上皮中下层细胞有较多单个细胞凋亡样改变,表现为核固缩及染色质边集凝块。上皮下纤维组织增生及胶原化明显,与成年组比较有显著性差异(P<0.05)。淋巴细胞和浆细胞仅呈中等量散在浸润。成年组鳞状上皮基底细胞钉突增生呈弓状吻合,淋巴细胞和浆细胞群簇浸润更明显,甚至形成浆细胞肉芽肿,与老年组比较差异显著(P<0.05)。说明老年组牙龈组织破坏明显,局部免疫功能低下。
, http://www.100md.com
2.2 免疫组织化学染色观察 两组染色阳性细胞结果及CD4+和CD8+计数结果见表1和表2。各类阳性细胞表现为多数散在于粘膜结缔组织中,以血管旁为最多;少数散在于上皮层内。免疫球蛋白的重链系统阳性主要显示于淋巴细胞和浆细胞胞质及鳞状上皮表面。老年组IgM阳性例数(15例)多于IgA阳性例数(9例),而成年组IgA阳性例数(10例)多于IgM阳性例数(4例),两组组内和组间比较差异均显著(P<0.05)。轻链系统的κ和λ两组均为多克隆性(图1、2、3、4)。成年组CD4+阳性细胞和CD8+阳性细胞计数均多于老年组(P<0.05),CD4+:CD8+的值也高于老年组。
表1 两组牙龈组织 T 和 B 淋巴细胞免疫组织化学染色结果比较
Table 1 The immunohistochmical labels of T and B lymphocytes in gingiva
, http://www.100md.com
Heavy chain
Light chain
CD4+(%)
CD8+(%)
IgA(%)
IgG(%)
IgM(%)
κ(%)
γ(%)
Group 1
Elderly
7(46)
, http://www.100md.com
8(53)
10(67)
6(40)
7(46)
7(46)
9(60)
Adults
7(70)
7(70)
3(30)
6(60)
4(40)
5(50)
, 百拇医药
5(50)
Group 2
Elderly
2(13)
5(33)
5(33)
3(25)
2(13)
3(25)
1(6)
Adults
3(30)
3(30)
, http://www.100md.com
1(10)
1(10)
5(50)
3(30)
1(10)
Total
Elderly
9(60)
13(86)
15(100)#
9(60)
9(60)
, http://www.100md.com
10(67)
10(67)
Adults
10(100)*
10(100)
4(40)*#
7(70)
9(90)
8(80)
6(60)
Elderly group:n=15,Adults group:n=10,χ2 test for differences between elderly group and adults group:*P<0.05; IgA compared with IgG or IgM:#P<0.05表2 两组CD4+和CD8+ 淋巴细胞计数和比值结果比较
, 百拇医药
Table 2 The counting and ratio of CD4+ and CD8+ lymphocytes in gingiva
CD4+
CD8+
CD4+/CD8+
Elderly(n=15)
13.99±3.16
11.48±2.32
1.21
Adults(n=10)
, 百拇医药
42.85±14.08
24.74±8.63
1.73
t
3.853 3
2.009 6
P
<0.002
<0.05
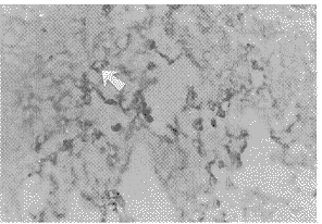
图1 老年组IgA阳性细胞
Figure 1 The IgA positive cells in elderly group
, 百拇医药
Small amount and medium amount IgA positive cells were distributed between nail and conver(ABC method) ×400
图2 成年组IgA阳性细胞
Figure 2 The IgA positive cells in adult group
Medium amount IgA positive cells were distributed between nail and conver(ABC method) ×400
图3 老年组IgM阳性细胞
, 百拇医药
Figure 3 The IgM positive cells in elderly group
Medium amount IgM positive cells were distributed around blood vessel between nail and conver(ABC method) ×400
图4 成年组IgM阳性细胞
Figure 4 The IgM positive cells in adult group
A little amount IgM positive cells were distributed under base membrane(ABC method) ×400
, 百拇医药
3 讨 论
近年来的流行病学调查表明,老年牙周炎的发病率和轻重程度随年龄递增[2] ,这与老年人组织再生和恢复能力及弹性降低、免疫功能低下有关。本研究组织病理学观察发现,老年组纤维组织增生及胶原化明显,牙龈上皮重度糜烂,鳞状上皮中下层细胞有较多单个核细胞呈凋亡样改变,而且这些表现均较成年组明显。提示老年人牙周炎牙周组织有衰老改变,组织弹性降低,糜烂不易愈合,造成牙周炎时牙龈组织呈进行性破坏。
在体液免疫中,IgA是分泌最多的一种免疫球蛋白, 当IgA合成障碍时,有75%的患者可并发呼吸道感染[3]。IgM是最原始抗体, 红细胞和革兰阴性菌的内毒素等含脂多糖颗粒的抗原可刺激产生IgM。 王正坤等的研究表明,由于分泌型IgA的降低,导致了牙周组织局部免疫力降低, 增加了牙周炎症的严重性[4]。本研究发现:成年组牙龈组织中阳性浆细胞例数以IgA最多,IgG次之,IgM最少,这与陈炯禧等人研究结果相似[5]。而老年组结果正相反,阳性浆细胞例数以IgM最多,IgG次之,IgA最少。且两组组间及组内IgA与IgM 比较差异均显著(P<0.05)。IgA 阳性细胞例数的降低结果表明,老年牙周炎牙龈组织中分泌型IgA产生功能降低;而IgM阳性细胞例数增多,提示老年牙周炎时牙周组织局部有革兰阴性菌反复感染的情况存在。
, http://www.100md.com
在细胞免疫中,TH(CD4+)和Ts(CD8+)淋巴细胞是一对十分重要的免疫细胞,它们相互作用对免疫调节有重要意义。CD4+/CD8+ 的比值是重要的免疫学参数,有人认为成人牙周炎牙龈组织中CD4+细胞是CD8+细胞的2倍[6]。不论是在龈沟、牙龈结缔组织及口腔上皮,CD4+阳性细胞都超过CD8+阳性细胞[7]。 在本研究中,老年组和成年组CD4+阳性细胞数多于CD8+阳性细胞数。但老年组这两种阳性细胞数均明显少于成年组(P<0.05),CD4+/CD8+的比值也低于成年组,其中CD4+ 阳性细胞数比CD8+阳性细胞数降低得更多。一般认为老年人往往表现为Ts(CD8+)细胞的减少,而本研究却是TH(CD4+)细胞减少更明显。这似表明老年牙周炎牙龈组织局部存在着免疫调节功能的紊乱,且以T淋巴细胞抑制占主导地位, 所表现的细胞免疫反应状态有其明显的特征性。
, http://www.100md.com
毛钊(1959-),男,南京市人,副和任医师,口腔医学硕士,从事口腔医学牙周病专业。
参考文献:
[1] 周 群,呼祥麟.老年人牙周炎组织内抗原提呈细胞的免疫组织化学研究[J].临床口腔医学杂志,1993,9(1):1-4.
[2] 罗 泊,朱晓玲.老年性牙周病53例调查分析[J].中华口腔医学杂志,1986,2(1):57-58.
[3] 施秉钧.免疫球蛋白的结构和功能.见:林飞卿,余传霖,何球藻主编.医学基础免疫学[M].上海:上海医科大学出版社,1992.81-93.
[4] 王正坤,杨连甲,孙庆妹.牙周炎龈组织中T和B细胞的初步观察[J].中华口腔医学杂志,1984,19(3):171-172.
[5] 吴晓晖综述.免疫应答与慢性炎症性牙周病[J].国外医学(口腔医学分册),1993,20(6):321-324.
[6] Keinhardt RA,Bolton RW,McDonald TL.In situ lymphocyte subpopulations from active versas stuble peridontal sites[J].J Periodontol,1988,59(10):656-663.
1999-08-30
2000-02-15, 百拇医药
单位:毛钊(南京军区南京总医院口腔科,江苏南京 210002);赖仁胜(解放军第81医院病理科,江苏南京 210002);杨俭(江苏职工医科大学,江苏南京 210002)
关键词:老年牙周炎;淋巴细胞;免疫组织化学
医学研究生学报000308摘要: 目的:观察老年牙周炎牙龈组织中T和B淋巴细胞的分布,并与成人牙周炎患者牙龈组织中的情况进行比较。 方法:采用组织病理学和免疫组织化学方法,对15例老年牙周炎患者和10例成人牙周炎患者进行了T和B淋巴细胞分布情况的检查和比较。 结果:老年组IgM阳性表达例数(15例)多于IgA阳性表达例数(4例), 而成人组则相反,且两组组间和组内比较差异显著(P<0.05)。 成人组CD4+和CD8+细胞数明显多于老年组(P<0.05)。 结论:老年牙周牙龈组织局部免疫功能降低,免疫调节功能紊乱,有其独特的免疫组织化学表现。
, http://www.100md.com
中图分类号: R781.42 文献标识码: A
文章编号: 1008-8199(2000)03-0162-03
An immunohistochemical comparative study of lymphocytes in gingiva
in elderly patients with periodontitis
MAO Zhao
( Department of Odontology ,Jinling Hospital,Nanjing 210002,Jiangsu,China)
LAI Ren-sheng
, 百拇医药
(Department of Pathology,the 81st Hospital of PLA;Nanjing 210002,Jiangsu,China)
YANG Jian
(Jiangsu Medical University of Staffs and WorkersNanjing 210002,Jiangsu,China)
Abstract: Objectives: To study the distribution of T and B lymphocytes in gingiva in elderly patients with periodontitis, and compared with that of adult patients. Methods: The distribution of T and B lymphocytes in gingiva were measured with histopathological and immunohistochemical methods in 15 elderly patients and 10 adult patients . Results: In elderly patients with periodontitis ,the cases of IgM positive cells in gingiva (15 cases )were more than those of IgA positive cells ( 4 cases ) ,which were contrary to the adult patients. The number of CD4+ and CD8+ lymphocytes in gingiva in adult patients was much greater than that in elderly patients (P<0.05) . Conclusions : Elderly patients with periodontitis have certain specific characteristics in immunohistochemitry , such as low immunological function in local gingiva and poor function of immunological regulation.
, http://www.100md.com
Key words: Elderly patients with periodontitis; T and B lymphocytes; Immunohistochemical method
0 引 言
实验和临床研究发现,老年人细胞免疫和体液免疫功能均降低。是否会影响老年人患牙周炎时局部牙周组织的免疫功能? 这方面的研究较少[1]。本研究采用免疫组织化学多项功能指标,对老年牙周炎牙龈组织中的T和B淋巴细胞的分布情况进行了观察,并与成人慢性牙周炎牙龈组织进行比较,以期找出老年人牙周炎牙龈组织中免疫病理方面的特征性表现。
1 资料和方法
1.1 研究对象 临床检查及口腔全景X线片诊断为全口慢性牙周炎的老年患者15例,平均年龄70.5(65~79)岁,男性9例,女性6例;成年患者10例,平均年龄47.5(40~55)岁,男性6例,女性4例。凡经临床和实验室检查非全口牙周炎患者、有免疫缺陷病、内分泌疾病、肝肾功能异常、出血性疾病、变态反应性疾病及严重心血管疾病患者,3个月内服用过抗生素和1年内做过牙周系统治疗者均排除在外。
, 百拇医药
1.2 组织病理学检查 按常规病理活检方式取材,拔下牙剥离牙周袋内上皮, 取牙龈组织,以中性福马林固定,常规连续切片,HE染色,光镜下观察。
1.3 免疫组织化学检测
1.3.1 组织来源及标本制备 同组织病理学检查。
1.3.2 抗体种类及工作浓度 IgA(1∶100)、 IgG(1∶100)、 IgM(1∶100)、 κ(1∶100)、 λ(1∶100)、 CD4 (1∶100)、 CD8 (1∶10), 均系DAKO-patten公司(丹麦)提供。ABC试剂购自Vector公司,Bio-SAR和bio-SAM 工作浓度均为1∶200。
1.3.3 免疫组织化学染色步骤 切片以60℃烤片3 h,然后置入二甲苯内2 次,每次10 min,乙醇递次入水,0.01 mol/L的PBS(pH 7.2)洗10 min,加10%马血清37℃孵育20 min,不漂洗,加上述各类抗血清(第1抗体)4~8℃过夜,PBS漂洗3次,ZD- Ⅱ型医用微波炉(上海中达公司生产)功率第3档辐射50 s,PBS漂洗。然后分别加入第2抗体(1∶200)及ABC复合物(1∶100),微波辐射50 s,条件与第1抗体相同, 每次间隔以PBS漂洗,DAB-H2O2显色10~15 min,苏木素浅染5 s,脱水、透明、封片观察。
, http://www.100md.com
1.3.4 阳性细胞标准及统计 免疫组织化学染色结果,以背景清晰、 棕黄色部位定位明确的细胞占同类细胞的10%以上者为(+)表达, 阳性细胞占同类细胞的70%以上者为(2+)表达。CD4和CD8阳性细胞的计数以每高倍视野计数200 个细胞中的阳性细胞数,高倍视野下共数100个,取其平均值为细胞计数结果。
1.4 统计学处理 阳性细胞结果采用χ2检验,阳性细胞计数资料采用t检验。
2 结 果
2.1 组织病理学观察(HE染色) HE 染色光镜下示:老年组牙龈上皮多数重度糜烂、渗出及毛细血管扩张充血,鳞状上皮中下层细胞有较多单个细胞凋亡样改变,表现为核固缩及染色质边集凝块。上皮下纤维组织增生及胶原化明显,与成年组比较有显著性差异(P<0.05)。淋巴细胞和浆细胞仅呈中等量散在浸润。成年组鳞状上皮基底细胞钉突增生呈弓状吻合,淋巴细胞和浆细胞群簇浸润更明显,甚至形成浆细胞肉芽肿,与老年组比较差异显著(P<0.05)。说明老年组牙龈组织破坏明显,局部免疫功能低下。
, http://www.100md.com
2.2 免疫组织化学染色观察 两组染色阳性细胞结果及CD4+和CD8+计数结果见表1和表2。各类阳性细胞表现为多数散在于粘膜结缔组织中,以血管旁为最多;少数散在于上皮层内。免疫球蛋白的重链系统阳性主要显示于淋巴细胞和浆细胞胞质及鳞状上皮表面。老年组IgM阳性例数(15例)多于IgA阳性例数(9例),而成年组IgA阳性例数(10例)多于IgM阳性例数(4例),两组组内和组间比较差异均显著(P<0.05)。轻链系统的κ和λ两组均为多克隆性(图1、2、3、4)。成年组CD4+阳性细胞和CD8+阳性细胞计数均多于老年组(P<0.05),CD4+:CD8+的值也高于老年组。
表1 两组牙龈组织 T 和 B 淋巴细胞免疫组织化学染色结果比较
Table 1 The immunohistochmical labels of T and B lymphocytes in gingiva
, http://www.100md.com
Heavy chain
Light chain
CD4+(%)
CD8+(%)
IgA(%)
IgG(%)
IgM(%)
κ(%)
γ(%)
Group 1
Elderly
7(46)
, http://www.100md.com
8(53)
10(67)
6(40)
7(46)
7(46)
9(60)
Adults
7(70)
7(70)
3(30)
6(60)
4(40)
5(50)
, 百拇医药
5(50)
Group 2
Elderly
2(13)
5(33)
5(33)
3(25)
2(13)
3(25)
1(6)
Adults
3(30)
3(30)
, http://www.100md.com
1(10)
1(10)
5(50)
3(30)
1(10)
Total
Elderly
9(60)
13(86)
15(100)#
9(60)
9(60)
, http://www.100md.com
10(67)
10(67)
Adults
10(100)*
10(100)
4(40)*#
7(70)
9(90)
8(80)
6(60)
Elderly group:n=15,Adults group:n=10,χ2 test for differences between elderly group and adults group:*P<0.05; IgA compared with IgG or IgM:#P<0.05表2 两组CD4+和CD8+ 淋巴细胞计数和比值结果比较
, 百拇医药
Table 2 The counting and ratio of CD4+ and CD8+ lymphocytes in gingiva
CD4+
CD8+
CD4+/CD8+
Elderly(n=15)
13.99±3.16
11.48±2.32
1.21
Adults(n=10)
, 百拇医药
42.85±14.08
24.74±8.63
1.73
t
3.853 3
2.009 6
P
<0.002
<0.05
图1 老年组IgA阳性细胞
Figure 1 The IgA positive cells in elderly group
, 百拇医药
Small amount and medium amount IgA positive cells were distributed between nail and conver(ABC method) ×400
图2 成年组IgA阳性细胞
Figure 2 The IgA positive cells in adult group
Medium amount IgA positive cells were distributed between nail and conver(ABC method) ×400
图3 老年组IgM阳性细胞
, 百拇医药
Figure 3 The IgM positive cells in elderly group
Medium amount IgM positive cells were distributed around blood vessel between nail and conver(ABC method) ×400
图4 成年组IgM阳性细胞
Figure 4 The IgM positive cells in adult group
A little amount IgM positive cells were distributed under base membrane(ABC method) ×400
, 百拇医药
3 讨 论
近年来的流行病学调查表明,老年牙周炎的发病率和轻重程度随年龄递增[2] ,这与老年人组织再生和恢复能力及弹性降低、免疫功能低下有关。本研究组织病理学观察发现,老年组纤维组织增生及胶原化明显,牙龈上皮重度糜烂,鳞状上皮中下层细胞有较多单个核细胞呈凋亡样改变,而且这些表现均较成年组明显。提示老年人牙周炎牙周组织有衰老改变,组织弹性降低,糜烂不易愈合,造成牙周炎时牙龈组织呈进行性破坏。
在体液免疫中,IgA是分泌最多的一种免疫球蛋白, 当IgA合成障碍时,有75%的患者可并发呼吸道感染[3]。IgM是最原始抗体, 红细胞和革兰阴性菌的内毒素等含脂多糖颗粒的抗原可刺激产生IgM。 王正坤等的研究表明,由于分泌型IgA的降低,导致了牙周组织局部免疫力降低, 增加了牙周炎症的严重性[4]。本研究发现:成年组牙龈组织中阳性浆细胞例数以IgA最多,IgG次之,IgM最少,这与陈炯禧等人研究结果相似[5]。而老年组结果正相反,阳性浆细胞例数以IgM最多,IgG次之,IgA最少。且两组组间及组内IgA与IgM 比较差异均显著(P<0.05)。IgA 阳性细胞例数的降低结果表明,老年牙周炎牙龈组织中分泌型IgA产生功能降低;而IgM阳性细胞例数增多,提示老年牙周炎时牙周组织局部有革兰阴性菌反复感染的情况存在。
, http://www.100md.com
在细胞免疫中,TH(CD4+)和Ts(CD8+)淋巴细胞是一对十分重要的免疫细胞,它们相互作用对免疫调节有重要意义。CD4+/CD8+ 的比值是重要的免疫学参数,有人认为成人牙周炎牙龈组织中CD4+细胞是CD8+细胞的2倍[6]。不论是在龈沟、牙龈结缔组织及口腔上皮,CD4+阳性细胞都超过CD8+阳性细胞[7]。 在本研究中,老年组和成年组CD4+阳性细胞数多于CD8+阳性细胞数。但老年组这两种阳性细胞数均明显少于成年组(P<0.05),CD4+/CD8+的比值也低于成年组,其中CD4+ 阳性细胞数比CD8+阳性细胞数降低得更多。一般认为老年人往往表现为Ts(CD8+)细胞的减少,而本研究却是TH(CD4+)细胞减少更明显。这似表明老年牙周炎牙龈组织局部存在着免疫调节功能的紊乱,且以T淋巴细胞抑制占主导地位, 所表现的细胞免疫反应状态有其明显的特征性。
, http://www.100md.com
毛钊(1959-),男,南京市人,副和任医师,口腔医学硕士,从事口腔医学牙周病专业。
参考文献:
[1] 周 群,呼祥麟.老年人牙周炎组织内抗原提呈细胞的免疫组织化学研究[J].临床口腔医学杂志,1993,9(1):1-4.
[2] 罗 泊,朱晓玲.老年性牙周病53例调查分析[J].中华口腔医学杂志,1986,2(1):57-58.
[3] 施秉钧.免疫球蛋白的结构和功能.见:林飞卿,余传霖,何球藻主编.医学基础免疫学[M].上海:上海医科大学出版社,1992.81-93.
[4] 王正坤,杨连甲,孙庆妹.牙周炎龈组织中T和B细胞的初步观察[J].中华口腔医学杂志,1984,19(3):171-172.
[5] 吴晓晖综述.免疫应答与慢性炎症性牙周病[J].国外医学(口腔医学分册),1993,20(6):321-324.
[6] Keinhardt RA,Bolton RW,McDonald TL.In situ lymphocyte subpopulations from active versas stuble peridontal sites[J].J Periodontol,1988,59(10):656-663.
1999-08-30
2000-02-15, 百拇医药