非淋巴细胞白血病原代细胞诱导成树突状细胞的研究
作者:朱玲 裴蕾 冯凯 李梁 白慈贤 裴雪涛
单位:朱玲 (北京卫生部北京医院血液科 北京,100730);裴蕾 (北京卫生部北京医院血液科 北京,100730);冯凯 (北京放射医学研究所);李梁 (北京放射医学研究所);白慈贤 (北京放射医学研究所);裴雪涛 (北京放射医学研究所)
关键词:白血病;非淋巴细胞;树突细胞
临床血液学杂志000311 摘要 目的:用白血病细胞诱导树突状细胞,为白血病的免疫治疗提供新途径。方法:分离人的非淋巴细胞白血病原代细胞,体外液体培养体系中加入GM-CSF、TNF-α及IL-4,培养12 d后,与培养前的细胞在形态、CD1a、HLA-DR及CD80的表达情况进行比较。结果:经12 d诱导,细胞形态表现典型的树突状细胞的特征;CD1a、HLA-DR及CD80的表达明显增高。结论:可将非淋巴细胞白血病原代细胞诱导成树突状细胞,可望开辟白血病免疫治疗的新途径。
, 百拇医药
Inducing effect of primary non-lymphocytic leukemic cells
on dendritic cells
ZHU Ling
(Department of Hematology,Beijing Hospital,Beijing 100730)
PEI Lei
(Department of Hematology,Beijing Hospital,Beijing 100730)
FENG Kai
(Beijing Institute of Radiation Medicine)
, 百拇医药
LI Liang
(Beijing Institute of Radiation Medicine)
BAI Ci-xian
(Beijing Institute of Radiation Medicine)
PEI Xue-tao2
(Beijing Institute of Radiation Medicine)
Abstract Objective:To clucidate and provide anow method for inducing human primary non-lymphocytic leukemia cells to differentiate into dendritic cells (DCs).Methods:Human primary non-lymphocytic leukemia cells were isolated and cultured with cytokines including IL-4.GM-CSF,TNF-α and IL-4 in a liquid culture system.Cells harvested after 12 days for morphological and phenotypic analysis by microscope and FACS,respectively.Results:Human primary non-lymphocytic leukemia cells can be induced into DCs in the culture system.The induced cells have the typic morphology and high expression of CD1a,HLA-DR and CD80.Conclusion:It is possible to induce nonlymphocytic leukemia cells to defferentiate into DCs.
, 百拇医药
Key words Leukemia,nonlymphocytic Dendritic cells
T细胞免疫在预防急性白血病患者缓解后的复发方面起重要作用,而抗原提呈细胞则在其中起桥梁作用,树突状细胞是迄今为止发现的功能最强的抗原提呈细胞;一般认为,树突状细胞的前体细胞是单核细胞,而单核细胞起源于髓系祖细胞。非淋巴细胞白血病是髓系的恶性克隆,它阻滞于祖细胞阶段而不能分化为成熟的髓系终末细胞。因此,如能将它定向诱导成树突状细胞,并且由于它是白血病细胞来源,它本身就带有白血病的抗原,而其又是抗原提呈细胞且来自患者本人,不存在MHC限制,这样它就可能在白血病的免疫治疗方面开辟一个崭新的领域。鉴于此,我们利用非淋巴细胞白血病的原代细胞进行诱导树突状细胞的实验研究,现报告如下。
1 材料与方法
1.1 病例选择
非淋巴细胞白血病患者的骨髓或外周血均采自北京医院血液科,9例均经临床和血常规、骨髓涂片细胞检查确诊,诊断符合血液病诊断标准〔1〕。采集标本时要求幼稚细胞比例>30%,且近期未接受化疗;其中M2 3例,M1、M3、M4各1例,慢粒2例,粒淋混合1例。具体资料见表1。
, http://www.100md.com
1.2 细胞的准备
肝素抗凝的骨髓或外周血细胞经磷酸盐缓冲液稀释,Ficoll(相对密度1.077)梯度离心,收集界面层单个核细胞(MNC),洗涤,接种于含1640培养液的培养瓶中,1 h后收集非贴壁细胞备用。
1.3 树突状细胞的诱导
将收集的细胞按1×106/ml的浓度接种于含100 ml/L胎牛血清的RPMI 1640培养液(GIBCO)中,并加入不同组合的细胞因子,上述体系接种于12孔板中,每孔2 ml,复种3孔,37 ℃、5% CO2空气条件下培养,每48 h补充细胞因子1次,共4次,12 d后收获细胞,进行细胞形态及表面标志检测。对照组细胞的培养体系中不含任何细胞因子,余与上述培养体系相同。
表1 非淋巴细胞白血病患者的临床资料 编号
, 百拇医药
性别
年龄
诊断
标本来源
采集标本时的细胞分类
1
男
27
CML
外周血
原粒0.02, 早幼粒0.28, 单核0.03, 嗜酸0.02
2
男
, 百拇医药
65
M2
骨 髓
原粒0.73, 早幼粒0.11
3
男
40
M3
外周血
早幼粒0.86, 晚幼粒0.02, 杆状0.01, 分叶0.01
4
男
, 百拇医药
61
L/M
骨 髓
原粒0.35, 幼淋0.33
5
男
76
M1
外周血
原粒0.94, 杆状0.01, 分叶0.01, 中幼红0.01
6
男
, 百拇医药
68
M2
外周血
原粒0.58, 杆状0.04, 分叶0.02, 淋巴0.15
7
女
9
CML
骨 髓
原粒0.06, 早幼粒0.11, 中幼粒0.28, 晚幼粒0.28
8
女
, 百拇医药
31
M4
外周血
原粒0.76, 淋巴0.20, 杆状0.02, 分叶0.02
9
男
50
M2
外周血
原粒0.52, 淋巴0.17, 杆状0.02, 分叶0.25
1.4 重组细胞因子及实验分组
, 百拇医药
细胞因子来源及终浓度:SCF(Sandos公司产品)为100 μg/ml,GM-CSF(Glaxo公司)40 ng/ml,TNF-α(邦定生物医学公司)50 U/ml,IL-4(Promega公司)1000 U/ml。按4种细胞因子的组合分为3组:①对照组(不加任何细胞因子);②SCF+GM-CSF+TNF-α;③SCF+GM-CSF+TNF-α+IL-4。
1.5 细胞形态学分析
倒置显微镜(Olympus)下观察细胞并摄影,取1×106细胞,离心固定,电子显微镜观察细胞形态。
1.6 细胞表面标志的测定
用于细胞表面标志检测的单克隆抗体分别为PE结合的鼠抗人CD1a单抗(Coulter公司)、FITC结合的鼠抗人HLA-DR单抗(BD公司)及PE结合的鼠抗人CD80单抗(Pharmegen)。抗体1∶10稀释,加入细胞悬液,4 ℃孵育30 min,洗涤2次,流式细胞仪(ELTTE Coulter公司)分析,分析软件为ELITE,每个样品分析细胞数≥5×104细胞。
, http://www.100md.com
1.7 统计学分析
采用t检验。
2 结果
2.1 非淋巴细胞白血病原代细胞向树突状细胞的定向诱导分化
来自不同患者的非淋巴细胞白血病原代细胞经上述培养体系诱导后12 d后,细胞均不同程度地出现典型的树突状细胞形态,而对照组的细胞则不具备这一特征。
2.2 经体外诱导的细胞表面标志的改变
DCs表达CD1a、HLA-DR及CD80抗原,在SCF、GM-CSF、TNF-α及IL-4等细胞因子的诱导下,非淋巴细胞白血病原代细胞可分化形成DCs,诱导前细胞该3种表面标志的表达率(
±s)分别为(1.2±0.5)%、(37.2±8.7)%及(0.7±0.4)%;而经过定向诱导树突状细胞后这3种表面分子的表达分别为(7.2±1.6)%、(97.4±2.2)%及(33.2±12.1)%。诱导前后各表面标志的表达率相比差异有显著意义(均为P<0.05)。
, http://www.100md.com
2.3 不同细胞因子组合诱导DC的效率
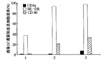
从图1可见含有IL-4的细胞因子组合可明显地增加CD1a细胞的数量且CD80的表达量也明显增加。
图1 非淋巴细胞白血病原代细胞诱导生成的DC的表面标志及不同细胞因子组合诱导DC的效率
1 对照 2 SCF+GM-CSF+TNF-α
3 SCF+GM-CSF+TNF-α+IL-4
3 讨论
DC是一类专职的抗原递呈细胞,在肿瘤免疫、移植免疫和免疫缺陷病中发挥关键作用〔2〕,髓系的DC与粒细胞、单核细胞具有共同的造血前体细胞来源,将去B细胞、去T细胞的健康人外周血单个核细胞在含有SCF、IL-4、GM-CSF及TNF-α的培养条件下可诱导出DC;人骨髓CD34+细胞体外在GM-CSF及TNF-α的作用下,也能生成大量的DC〔3〕,但不需要IL-4的参与,IL-4的作用是抑制前体细胞向单核及巨噬细胞分化〔4〕,为何CD34+细胞诱导为DC不需IL-4的参与,机制目前尚不清楚,但以上的研究表明,GM-CSF、TNF-α、IL-4及SCF对DC的分化发育具有重要影响。最近有研究提示,可诱导慢性粒细胞白血病的原代细胞为DC,且其向自体T细胞提呈抗原的能力是单核细胞的10 000倍以上〔5,6〕。我们利用上述细胞因子体外对非淋巴细胞白血病的原代细胞进行诱导分化,结果显示,利用GM-CSF、SCF和TNF-α可诱导部分原代细胞生成少量的DC,且CD80的表达量明显增加,加入IL-4后效果更为明显。
, 百拇医药
DC是近几年来在肿瘤免疫治疗中倍受瞩目的细胞,因为它是迄今为止已知的功能最强的抗原提呈细胞,经肿瘤抗原致敏的DC体外可有效激活并扩增肿瘤特异性CTL〔7〕,CD1a被公认为是DC的重要表面分子,DC发挥其生理功能一方面离不开MHC-Ⅱ类及Ⅰ类抗原,另一方面共刺激信号B7(CD80及CD86)和ICAM-Ⅰ等分子的表达也必不可少。我们的实验表明,经诱导后细胞的CD1a、HLA-DR及CD80的表达明显增高。这种DC由于其前体细胞为肿瘤细胞,故其必然带有肿瘤的抗原,此外又是功能强大的抗原提呈细胞,故可望用于体外肿瘤特异性CTL的扩增并用于过继性回输患者,或直接将诱导生成的DC灭活后作疫苗回输,用于体内激活、扩增特异性CTL,增强机体特异性的肿瘤免疫能力。
国家杰出青年科学基金资助项目(No.39825111)
参考文献
1,张之南,主编.血液病诊断及疗效标准.天津:天津科学技术出版社,1998.190~193
, 百拇医药
2,Wright B V,McClain K L,Talpaz M,et al.Physiology and pathophysiology of dendritic cells.Hum Pathol,1997,28:563~564
3,Caux C.Vanbervliet B,Massacrier C,et al.CD34+ hematopoietic progenitors from human cord blood differentiate along two independent dendritic cell pathways in response to GM-CSF plus TNF-α.J Exp Med,1996,184:695~697
4,Palucka K A,Taquet N,Chapuis F S,et al.Dendritic cells as the terminal atage of monocyte differentation.J Immunol,1998,160:4587~4589
, 百拇医药
5,Choudhury A,Gajewski J L,Liang J C,et al.Use of leukemic dendritic cells for the generation of antileukemic cellular cytotoxicity against philadelphia chromosome-positive chronic myelogenous leukemia.Blood,1997,89:1133~1134
6,Oehler L,Majdic G,Pickl W F,et al.Neutrophil granulocyte-committed cells can be driven to acquire dendritic cell characteristics.J Exp Med,1998,187:1019~1022
7,Tuting T,Wilson C C,Martin D M,et al.Autologous human monocyte-derived dendritic cells genetically modified to express melanoma antigens elicit primary cytotoxic T cell response in vitro:Enhancement by cotransfection of genes encoding the Th1-biasing cytokines IL-12 and IFN-α.J Immunol,1998,160:1139~1140
收稿:1999-09-03, 百拇医药
单位:朱玲 (北京卫生部北京医院血液科 北京,100730);裴蕾 (北京卫生部北京医院血液科 北京,100730);冯凯 (北京放射医学研究所);李梁 (北京放射医学研究所);白慈贤 (北京放射医学研究所);裴雪涛 (北京放射医学研究所)
关键词:白血病;非淋巴细胞;树突细胞
临床血液学杂志000311 摘要 目的:用白血病细胞诱导树突状细胞,为白血病的免疫治疗提供新途径。方法:分离人的非淋巴细胞白血病原代细胞,体外液体培养体系中加入GM-CSF、TNF-α及IL-4,培养12 d后,与培养前的细胞在形态、CD1a、HLA-DR及CD80的表达情况进行比较。结果:经12 d诱导,细胞形态表现典型的树突状细胞的特征;CD1a、HLA-DR及CD80的表达明显增高。结论:可将非淋巴细胞白血病原代细胞诱导成树突状细胞,可望开辟白血病免疫治疗的新途径。
, 百拇医药
Inducing effect of primary non-lymphocytic leukemic cells
on dendritic cells
ZHU Ling
(Department of Hematology,Beijing Hospital,Beijing 100730)
PEI Lei
(Department of Hematology,Beijing Hospital,Beijing 100730)
FENG Kai
(Beijing Institute of Radiation Medicine)
, 百拇医药
LI Liang
(Beijing Institute of Radiation Medicine)
BAI Ci-xian
(Beijing Institute of Radiation Medicine)
PEI Xue-tao2
(Beijing Institute of Radiation Medicine)
Abstract Objective:To clucidate and provide anow method for inducing human primary non-lymphocytic leukemia cells to differentiate into dendritic cells (DCs).Methods:Human primary non-lymphocytic leukemia cells were isolated and cultured with cytokines including IL-4.GM-CSF,TNF-α and IL-4 in a liquid culture system.Cells harvested after 12 days for morphological and phenotypic analysis by microscope and FACS,respectively.Results:Human primary non-lymphocytic leukemia cells can be induced into DCs in the culture system.The induced cells have the typic morphology and high expression of CD1a,HLA-DR and CD80.Conclusion:It is possible to induce nonlymphocytic leukemia cells to defferentiate into DCs.
, 百拇医药
Key words Leukemia,nonlymphocytic Dendritic cells
T细胞免疫在预防急性白血病患者缓解后的复发方面起重要作用,而抗原提呈细胞则在其中起桥梁作用,树突状细胞是迄今为止发现的功能最强的抗原提呈细胞;一般认为,树突状细胞的前体细胞是单核细胞,而单核细胞起源于髓系祖细胞。非淋巴细胞白血病是髓系的恶性克隆,它阻滞于祖细胞阶段而不能分化为成熟的髓系终末细胞。因此,如能将它定向诱导成树突状细胞,并且由于它是白血病细胞来源,它本身就带有白血病的抗原,而其又是抗原提呈细胞且来自患者本人,不存在MHC限制,这样它就可能在白血病的免疫治疗方面开辟一个崭新的领域。鉴于此,我们利用非淋巴细胞白血病的原代细胞进行诱导树突状细胞的实验研究,现报告如下。
1 材料与方法
1.1 病例选择
非淋巴细胞白血病患者的骨髓或外周血均采自北京医院血液科,9例均经临床和血常规、骨髓涂片细胞检查确诊,诊断符合血液病诊断标准〔1〕。采集标本时要求幼稚细胞比例>30%,且近期未接受化疗;其中M2 3例,M1、M3、M4各1例,慢粒2例,粒淋混合1例。具体资料见表1。
, http://www.100md.com
1.2 细胞的准备
肝素抗凝的骨髓或外周血细胞经磷酸盐缓冲液稀释,Ficoll(相对密度1.077)梯度离心,收集界面层单个核细胞(MNC),洗涤,接种于含1640培养液的培养瓶中,1 h后收集非贴壁细胞备用。
1.3 树突状细胞的诱导
将收集的细胞按1×106/ml的浓度接种于含100 ml/L胎牛血清的RPMI 1640培养液(GIBCO)中,并加入不同组合的细胞因子,上述体系接种于12孔板中,每孔2 ml,复种3孔,37 ℃、5% CO2空气条件下培养,每48 h补充细胞因子1次,共4次,12 d后收获细胞,进行细胞形态及表面标志检测。对照组细胞的培养体系中不含任何细胞因子,余与上述培养体系相同。
表1 非淋巴细胞白血病患者的临床资料 编号
, 百拇医药
性别
年龄
诊断
标本来源
采集标本时的细胞分类
1
男
27
CML
外周血
原粒0.02, 早幼粒0.28, 单核0.03, 嗜酸0.02
2
男
, 百拇医药
65
M2
骨 髓
原粒0.73, 早幼粒0.11
3
男
40
M3
外周血
早幼粒0.86, 晚幼粒0.02, 杆状0.01, 分叶0.01
4
男
, 百拇医药
61
L/M
骨 髓
原粒0.35, 幼淋0.33
5
男
76
M1
外周血
原粒0.94, 杆状0.01, 分叶0.01, 中幼红0.01
6
男
, 百拇医药
68
M2
外周血
原粒0.58, 杆状0.04, 分叶0.02, 淋巴0.15
7
女
9
CML
骨 髓
原粒0.06, 早幼粒0.11, 中幼粒0.28, 晚幼粒0.28
8
女
, 百拇医药
31
M4
外周血
原粒0.76, 淋巴0.20, 杆状0.02, 分叶0.02
9
男
50
M2
外周血
原粒0.52, 淋巴0.17, 杆状0.02, 分叶0.25
1.4 重组细胞因子及实验分组
, 百拇医药
细胞因子来源及终浓度:SCF(Sandos公司产品)为100 μg/ml,GM-CSF(Glaxo公司)40 ng/ml,TNF-α(邦定生物医学公司)50 U/ml,IL-4(Promega公司)1000 U/ml。按4种细胞因子的组合分为3组:①对照组(不加任何细胞因子);②SCF+GM-CSF+TNF-α;③SCF+GM-CSF+TNF-α+IL-4。
1.5 细胞形态学分析
倒置显微镜(Olympus)下观察细胞并摄影,取1×106细胞,离心固定,电子显微镜观察细胞形态。
1.6 细胞表面标志的测定
用于细胞表面标志检测的单克隆抗体分别为PE结合的鼠抗人CD1a单抗(Coulter公司)、FITC结合的鼠抗人HLA-DR单抗(BD公司)及PE结合的鼠抗人CD80单抗(Pharmegen)。抗体1∶10稀释,加入细胞悬液,4 ℃孵育30 min,洗涤2次,流式细胞仪(ELTTE Coulter公司)分析,分析软件为ELITE,每个样品分析细胞数≥5×104细胞。
, http://www.100md.com
1.7 统计学分析
采用t检验。
2 结果
2.1 非淋巴细胞白血病原代细胞向树突状细胞的定向诱导分化
来自不同患者的非淋巴细胞白血病原代细胞经上述培养体系诱导后12 d后,细胞均不同程度地出现典型的树突状细胞形态,而对照组的细胞则不具备这一特征。
2.2 经体外诱导的细胞表面标志的改变
DCs表达CD1a、HLA-DR及CD80抗原,在SCF、GM-CSF、TNF-α及IL-4等细胞因子的诱导下,非淋巴细胞白血病原代细胞可分化形成DCs,诱导前细胞该3种表面标志的表达率(
, http://www.100md.com
2.3 不同细胞因子组合诱导DC的效率
从图1可见含有IL-4的细胞因子组合可明显地增加CD1a细胞的数量且CD80的表达量也明显增加。
图1 非淋巴细胞白血病原代细胞诱导生成的DC的表面标志及不同细胞因子组合诱导DC的效率
1 对照 2 SCF+GM-CSF+TNF-α
3 SCF+GM-CSF+TNF-α+IL-4
3 讨论
DC是一类专职的抗原递呈细胞,在肿瘤免疫、移植免疫和免疫缺陷病中发挥关键作用〔2〕,髓系的DC与粒细胞、单核细胞具有共同的造血前体细胞来源,将去B细胞、去T细胞的健康人外周血单个核细胞在含有SCF、IL-4、GM-CSF及TNF-α的培养条件下可诱导出DC;人骨髓CD34+细胞体外在GM-CSF及TNF-α的作用下,也能生成大量的DC〔3〕,但不需要IL-4的参与,IL-4的作用是抑制前体细胞向单核及巨噬细胞分化〔4〕,为何CD34+细胞诱导为DC不需IL-4的参与,机制目前尚不清楚,但以上的研究表明,GM-CSF、TNF-α、IL-4及SCF对DC的分化发育具有重要影响。最近有研究提示,可诱导慢性粒细胞白血病的原代细胞为DC,且其向自体T细胞提呈抗原的能力是单核细胞的10 000倍以上〔5,6〕。我们利用上述细胞因子体外对非淋巴细胞白血病的原代细胞进行诱导分化,结果显示,利用GM-CSF、SCF和TNF-α可诱导部分原代细胞生成少量的DC,且CD80的表达量明显增加,加入IL-4后效果更为明显。
, 百拇医药
DC是近几年来在肿瘤免疫治疗中倍受瞩目的细胞,因为它是迄今为止已知的功能最强的抗原提呈细胞,经肿瘤抗原致敏的DC体外可有效激活并扩增肿瘤特异性CTL〔7〕,CD1a被公认为是DC的重要表面分子,DC发挥其生理功能一方面离不开MHC-Ⅱ类及Ⅰ类抗原,另一方面共刺激信号B7(CD80及CD86)和ICAM-Ⅰ等分子的表达也必不可少。我们的实验表明,经诱导后细胞的CD1a、HLA-DR及CD80的表达明显增高。这种DC由于其前体细胞为肿瘤细胞,故其必然带有肿瘤的抗原,此外又是功能强大的抗原提呈细胞,故可望用于体外肿瘤特异性CTL的扩增并用于过继性回输患者,或直接将诱导生成的DC灭活后作疫苗回输,用于体内激活、扩增特异性CTL,增强机体特异性的肿瘤免疫能力。
国家杰出青年科学基金资助项目(No.39825111)
参考文献
1,张之南,主编.血液病诊断及疗效标准.天津:天津科学技术出版社,1998.190~193
, 百拇医药
2,Wright B V,McClain K L,Talpaz M,et al.Physiology and pathophysiology of dendritic cells.Hum Pathol,1997,28:563~564
3,Caux C.Vanbervliet B,Massacrier C,et al.CD34+ hematopoietic progenitors from human cord blood differentiate along two independent dendritic cell pathways in response to GM-CSF plus TNF-α.J Exp Med,1996,184:695~697
4,Palucka K A,Taquet N,Chapuis F S,et al.Dendritic cells as the terminal atage of monocyte differentation.J Immunol,1998,160:4587~4589
, 百拇医药
5,Choudhury A,Gajewski J L,Liang J C,et al.Use of leukemic dendritic cells for the generation of antileukemic cellular cytotoxicity against philadelphia chromosome-positive chronic myelogenous leukemia.Blood,1997,89:1133~1134
6,Oehler L,Majdic G,Pickl W F,et al.Neutrophil granulocyte-committed cells can be driven to acquire dendritic cell characteristics.J Exp Med,1998,187:1019~1022
7,Tuting T,Wilson C C,Martin D M,et al.Autologous human monocyte-derived dendritic cells genetically modified to express melanoma antigens elicit primary cytotoxic T cell response in vitro:Enhancement by cotransfection of genes encoding the Th1-biasing cytokines IL-12 and IFN-α.J Immunol,1998,160:1139~1140
收稿:1999-09-03, 百拇医药