p27kipl在胃癌的表达及预后意义
作者:宋传贵 卢辉山 张祥福
单位:福建医科大学 附属协和医院肿瘤科,福州 350001
关键词:胃肿瘤;p27kipl基因;预后;免疫组织化学
福建医科大学学报000314
摘要: 目的 研究p27kipl在胃癌组织中的表达和生物学行为及对预后评价的意义。 方法 以免疫组织化学方法检测92例胃癌组织中p27kipl表达水平。 结果 92例胃癌中,p27kipl蛋白阳性39例(42.4%),其中弱阳性28例(71.8%),强阳性11例(28.2%)。在胃癌组织中,p27kipl蛋白水平与胃壁浸润深度、TNM分期、病理组织学分级、区域淋巴结转移等均相关。单因素生存分析,p27kipl高表达组3,5年生存率分别为77.1%, 57.8%,明显高于低表达组33.7%, 26.3%(P=0.002)。Cox回归模型多因素分析显示,p27kipl是一个独立的预后指标(P=0.0003)。 结论 p27kipl在胃癌中表达降低,可作为反映肿瘤恶性表型的指标,对胃癌预后判断具有一定的价值。
, http://www.100md.com
中图分类号: R392.11; R329.28; R730.7; R735.2 文献标识码: A
文章编号:1000-2235(2000)03-0248-04
Expression of p27kipl in Gastric Carcinoma
and Its Prognostic Significance
SONG Chuan-gui LU Hui-shan ZHANG Xiang-fu
(Department of Oncology, The Affiliated Union Hospital, Fujian Medical University, Fuzhou 350001, China)
, 百拇医药
ABSTRACT: Objective To study the expression of p27kipl in gastric carcinoma in relation to biological behavior and prognosis. Methods p27kipl expression at protein level were determined by immunohistochemistry technique in 92 patients with gastric carcinoma. Results 39 cases(42.4%) expressed p27kipl in this group. Of the 39 positive patients,p27kipl expression was low in 28(71.8%) and high in 11(28.2%). p27kipl expression level correlated with histological grade,depth of invasion,lymph-node metastasis and pTNM stage(P<0.05). Univariate analysis demonstrated better survival in patients with higher p27kipl expression than in those with lower expression. By Cox multivariate analysis,p27kipl expression level was found to be of independent prognostic significance. Conclusion p27kipl could be a useful marker indicator for reflecting tumorous malignant phenotype and favors prognosis of gastric cancer.
, http://www.100md.com
KEY WORDS: gastric neoplasms; p27kipl gene; prognosis; immunohistochemistry
细胞周期失控与肿瘤的发生、发展及恶性表象密切相关。p27kipl是新发现的细胞周期蛋白依赖性激酶抑制因子(cyclin dependent kinase inhibitor,CKI),属于Cip/Kip家族。作为细胞周期负性调控因子,它的异常表达将可能促进细胞的恶性转化。为了进一步明确它在胃癌发展中的作用,笔者于1999年9月~2000年5月运用免疫组织化学方法检测92例胃癌组织中p27kipl 的表达状况,探讨它们与胃癌浸润转移等生物学指标的关系,以及作为胃癌预后指标的潜在价值。
1 材料与方法
1.1 标本来源 92例原发性胃癌随机选自福建医科大学附属协和医院肿瘤科1990~1995年手术切除并经病理证实的石蜡包埋组织标本,均具有完整的随访资料。其中男性65例,女性27例,中位年龄50.35岁。肿瘤部位:胃窦部38例,贲门胃底部30例,胃体部24例。组织学类型:乳头状腺癌10例,管状腺癌52例,低分化腺癌7例,粘液腺癌15例,未分化癌4例,印戒细胞癌4例。区域淋巴结转移N0 25例,N1 34例,N2 24例,N3 9例。按国际TNM分期:Ⅰ期13例,Ⅱ期17例,Ⅲ期41例,Ⅳ期21例。每例取原发灶癌组织、癌旁及正常粘膜和转移淋巴结,均重新制备4 μm连续切片备用。每份标本行HE染色对照。
, 百拇医药
1.2 免疫组织化学染色 采用SP法。高压修复抗原,玻片经多聚赖氨酸(福州迈新生物公司)预处理以防脱片。按试剂盒提供说明书进行。鼠抗人p27kipl单克隆抗体(NCL-p27kipl)为Novo公司产品,购自北京中山生物公司;鼠抗人单克隆抗体(CAT#CC12,CC12C)为Oncogene Research Products产品,购自武汉博士德生物工程公司。p27kipl工作浓度为1∶20。每批切片免疫组织化学染色分析均以已知阳性的胃癌标本设立阳性对照,省却一抗以PBS替代作为阴性对照。
1.3 结果判断标准 采用文献[1]的判定方法评估p27kipl:观察包括表浅、中心、深部肿瘤浸润区域在内的10个随机视野,评定染色细胞的数目及其染色强度,取平均值,将p27kipl蛋白染色分级。:>30%的肿瘤细胞显示中等至强烈的免疫反应,染色为棕褐色至深棕色;+:5%~30%的肿瘤细胞显示中等强度的免疫反应,染色为棕褐色;-:<5%的肿瘤细胞显示弱的免疫反应,染色为淡棕色或无染色。
, 百拇医药
1.4 统计分析 采用统计学软件包SPSS 9.0进行统计学分析,涉及卡方检验检验组间差异;Spearman等级相关检验分析指标间相关趋势;Kaplan-Meier寿命法进行生存率分析,并予Log-rank时序检验分析组间差异;多因素分析应用Cox回归模型,以P<0.05为有统计学意义。
2 结 果
2.1 p27kipl蛋白在胃癌组织中的表达情况
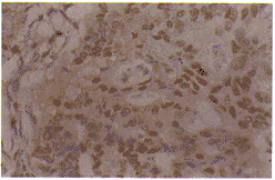
p27kipl蛋白产物在胃癌组织石蜡切片中,阳性着色定位于细胞核,在淋巴小结、平滑肌细胞、血管内皮细胞中可见阳性染色(可作为p27kipl染色的内对照),见图1。本组92例胃癌中,正常粘膜上皮中p27kipl蛋白呈强表达,而在胃癌组织中阳性病例39例,占42.4%,其中强阳性11例,占28.2%(11/39),该蛋白在胃癌组织中表达呈异质性。在淋巴结中可见淋巴小结中生发中心p27kipl染色低,周围区p27kipl染色比较密集,多为表达;转移淋巴结中转移灶p27kipl染色与原发灶基本一致。p27kipl蛋白在正常组织及肿瘤组织中表达经卡方检验显示有统计学意义(P<0.001),提示p27kipl蛋白在胃癌组织中表达降低(表1)。p27kipl蛋白在正常组织及肿瘤组织中表达经卡方检验显示有统计学意义(P<0.001)。
, http://www.100md.com
表1 p27kipl蛋白在胃癌及正常组织中表达 组 织
n
p27kipl蛋白表达
-
+
正常
92
0
5
87
胃癌
, http://www.100md.com
92
53
28
11
χ2=127.96, P=0.000.2.2 胃癌组织中p27kipl蛋白表达水平与各临床病理参数的关系
p27kipl蛋白表达多见于浸润浅、分化好、淋巴结转移少、临床分期早的胃癌组织,p27kipl蛋白表达水平与肿瘤浸润深度(P<0.01)、病理组织学分级(P<0.05)、淋巴结转移(P<0.05)、临床分期(P<0.05)均相关,与性别、年龄无明显相关(P>0.05),见表2。
表2 p27kipl蛋白表达与各临床病理参数的关系 临床病理参数
, http://www.100md.com
n
p27kipl表达
χ2
P
rs
P
-
+
性别
男
65
, http://www.100md.com 35
20
10
2.729
0.255
女
27
18
8
1
年龄(岁)
>60
37
20
, 百拇医药
14
3
2.017
0.365
<60
55
33
14
8
胃壁浸润深度
T1
11
2
, 百拇医药
3
6
T2
7
3
3
1
25.27
0.00
-0.361
0.00
T3
, 百拇医药
57
35
19
3
T4
17
13
3
1
病理组织学分级
Ⅰ(高分化)
10
2
, http://www.100md.com
5
3
Ⅱ(中分化)
52
28
18
6
11.33
0.023
-0.327
0.00
Ⅲ(低分化)
30
, 百拇医药
23
5
2
淋巴结转移
N0
25
9
10
6
N1
34
18
12
, 百拇医药
4
12.76
0.047
-0.359
0.00
N2
24
19
4
1
N3
9
, 百拇医药
7
2
0
临床TNM分期
Ⅰ
13
3
5
5
Ⅱ
17
8
8
1
, 百拇医药
16.65
0.011
-0.338
0.00
Ⅲ
41
26
11
4
Ⅳ
21
16
4
, 百拇医药
1
:P<0.01, :P<0.05.表3 p27kipl予Cox回归模型多因素分析 变 量
B
S.E
Wald
df
sig
R
EXP(B)
性别
-0.5491
0.3035
, 百拇医药
3.2729
1
0.0704
-0.0463
0.5775
年龄
0.0247
0.0165
2.2446
1
0.1341
0.0203
1.0250
, 百拇医药
浸润深度
0.4584
0.2814
2.6535
1
0.1033
0.0332
1.5816
病理组织分化
0.2434
0.2534
0.9227
1
, 百拇医药
0.3368
0.0000
1.2756
淋巴结转移
0.7179
0.2269
10.0115
1
0.0016
0.1162
2.0501
临床分期
0.0227
, http://www.100md.com
0.2625
0.0075
1
0.9310
0.0000
1.0230
p27kipl
-0.8207
0.2292
12.8256
1
0.0003
, http://www.100md.com
-0.1351
0.4401
2.3 p27kipl蛋白对预后评价的意义
将p27kipl蛋白分为低表达组(-与+),高表达组(),经Kaplan-Meier生存分析计算生存率,单因素生存分析显示,p27kipl蛋白高表达组3,5年生存率分别为77.1%,57.8%,明显高于低表达组33.7%,26.3%(P=0.002),见图2,3。Cox多因素回归模型分析显示,p27kipl蛋白是一个独立的预后指标(表3)。
图2 p27kipl各表达组与胃癌术后累计生存率的关系
, 百拇医药
Log-rank时序检验,P=0.0003. --:表达; …:+表达; —:阴性.
图3 p27kipl高低表达组与胃癌术后生存率的关系
Log-rank时序检验,P=0.0007. --:高表达; —:低表达.
p27kipl是一个独立的预后因素(P=0.0003),其变量系数为-0.8207(负值)。
3 讨 论
p27kipl蛋白是细胞周期蛋白依赖性激酶抑制因子Cip/Kip家族的成员,1994年Polyak等在转化生长因子(TGF)-β处理的生长抑制细胞及接触生长抑制的细胞株中发现分子量为27 kD的耐热细胞周期蛋白,它的主要作用是与cyclin D-CDK4-6、cyclin E-CDK2、cyclin A-CDK2结合,抑制相应细胞周期蛋白依赖性激酶(cyclin-dependent kinases,CDK)活性,阻断细胞由静止期向增殖期过渡,诱导G1期阻滞,诱发细胞凋亡。近来对乳癌、胃癌、肠癌、肺癌、前列腺癌的研究提示,p27kipl表达减低与肿瘤发生及恶性表型、不良预后密切相关。
, http://www.100md.com
3.1 Kiyokawa等通过实验观察到,与正常组织相比,良恶性肿瘤组织中p27kipl表达有明显的减低[2]。Nakavama发现p27kipl基因缺失的小鼠容易发生垂体肿瘤和多器官组织增生综合征[3]。Cheryl通过流式细胞仪的观测显示,p27kipl表达与肿瘤增生明显负相关[4]。笔者的研究表明,胃癌组织中p27kipl表达阳性率明显降低,仅达42.4%(39/92),与文献报道相符。笔者认为,p27kipl是一个细胞周期负调控因子,它在G0期浓度最高,它的水平高低提示细胞的增殖能力和细胞的状态[3]。一旦受到恶性增殖信号的刺激,p27kipl的蛋白表达水平开始下降,一方面由于合成降低,更主要的是通过细胞蛋白翻译后泛激素蛋白酶体降解途径的速度提高[5](这个降解途径在细胞的静止期作用很小,而在细胞接受增殖信号后明显增强)。p27kipl蛋白表达的下降减低了它对CDK活性的抑制效应,导致CDK的毒性效应递增,从而能够充分的维持pRb的失活状态,使细胞能够完成细胞周期G1-S的重要转换,无法阻断细胞进行增殖、分裂,乃至肿瘤形成。笔者还发现,在淋巴小结生发中心的p27kipl染色比较低,而其周围区染色比较密集,提示p27kipl是一个增殖分化的信号,也进一步证实了p27kipl表达与胃癌发生的密切关系。
, 百拇医药
3.2 本组实验表明,p27kipl的低表达与肿瘤的浸润程度、TNM分期、肿瘤病理组织学分级、淋巴结转移呈负相关,统计有显著意义,与性别、年龄无相关,与文献报道基本相符[6]。肿瘤浸润深度与淋巴结转移反映了肿瘤的侵袭能力,笔者认为p27kipl表达降低与其他涉及肿瘤侵袭行为的细胞机制相关,诸如细胞接触抑制、TGF-β、细胞凋亡、蛋白酶作用等。比如TGF-β可以诱发p27kipl的表达,刺激细胞外间质成分合成及诱导细胞分化。p27kipl的低表达可能伴随着TGF-β信号传导途径异常、细胞凋亡机制紊乱,导致细胞容易逃逸细胞周期的调控,提高了细胞对肿瘤转移信号的敏感性,从而具有更强的侵袭能力,同时p27kipl低表达可能使肿瘤某些亚群细胞获得更大的生长优势,乃至发生转移。随着肿瘤分化程度的减低,p27kipl表达也逐渐下降。已有研究表明,细胞株的培养中p27kipl的高表达能诱导分化[7]。p27kipl在诱导肿瘤细胞分化过程中起重要作用在本实验中进一步得到证实,其中的机制尚需进一步研究。
, http://www.100md.com
3.3 p27kipl的表达对胃癌预后判断的价值 对p27kipl的研究表明,p27kipl的表达与患者的预后呈密切正相关趋势,也就是说,p27kipl高表达的病人预后明显好于p27kipl低表达的病人。本组p27kipl高表达组患者术后3,5年累计生存率分别为77.1%,57.8%,而p27kipl低表达组的病人则为33.7%,26.3%,两组差异有显著性(P=0.002);Cox多因素回归模型分析显示p27kipl蛋白是一个独立的预后指标。
p27kipl在胃癌中表达降低,其蛋白表达与反映肿瘤浸润转移恶性生物学行为的指标呈明显负相关,而且与胃癌患者生存率存在密切的关系,提示p27kipl不但可作为反映肿瘤恶性表型的一个指标,而且可作为胃癌的重要预后因素,帮助临床选择易于复发、转移的高危患者,提高治疗率及生存率。
, 百拇医药
图1 p27kipl在胃癌组织中的表达阳性细胞为核表达(SP法×200)
作者简介:宋传贵(1971~),男,住院医师,医学硕士.
参考文献:
[1] Yasui W,Kudo Y,Semba S,et al. Reduced expression of cyclin-dependent kinase inhibitor p27 is associated with advanced stage and invasiveness of gastric carcinomas[J]. Jpn J Cancer Res, 1997,88:625~629.
[2]K iyokawa H,Kineman R,Manova-Todorova K,etal.Enlargedg rowthofmicelacking thecy clin-dependent kinase inhibitor function of p27[J]. Cell, 1996,85:721~732.
, http://www.100md.com
[3] Nakavama K,Kineman R,Shiane M,et al. Mice lacking p27 display increased body size,multiple organ hyperplasia,retina dysplasia,and pituitary tumors[J]. Cell, 1996,85:705~721.
[4] Cheryl E,Giliftt,Paul Smith,et al. Cyclin-dependent kinase inhibitor p27 expression and interaction with other cell cycle-associated proteins in mammary carcinoma[J]. Pathology, 1999,187:200~206.
[5] Pagano M, Tam SW, Theodoras AM, et al. Role of the ubiquitin pathway in regulating abundance of the cyclin-dependent kinase inhibitor[J]. Science, 1995,269:682~685.
, http://www.100md.com
[6] Mori M,Mimori K,Shiraishi T,et al. p27 expression and gastric carcinoma[J]. Nat Med, 1997,3:593.
[7] Valeria M,Alessandro S,Carmen P,et al. Frequent loss of expression of the cyclin-dependent kinase inhibitor p27 in epithelial ovarian cancer[J]. Cancer Res, 1999,59:3790~3794.
收稿日期:2000-06-30, 百拇医药
单位:福建医科大学 附属协和医院肿瘤科,福州 350001
关键词:胃肿瘤;p27kipl基因;预后;免疫组织化学
福建医科大学学报000314
摘要: 目的 研究p27kipl在胃癌组织中的表达和生物学行为及对预后评价的意义。 方法 以免疫组织化学方法检测92例胃癌组织中p27kipl表达水平。 结果 92例胃癌中,p27kipl蛋白阳性39例(42.4%),其中弱阳性28例(71.8%),强阳性11例(28.2%)。在胃癌组织中,p27kipl蛋白水平与胃壁浸润深度、TNM分期、病理组织学分级、区域淋巴结转移等均相关。单因素生存分析,p27kipl高表达组3,5年生存率分别为77.1%, 57.8%,明显高于低表达组33.7%, 26.3%(P=0.002)。Cox回归模型多因素分析显示,p27kipl是一个独立的预后指标(P=0.0003)。 结论 p27kipl在胃癌中表达降低,可作为反映肿瘤恶性表型的指标,对胃癌预后判断具有一定的价值。
, http://www.100md.com
中图分类号: R392.11; R329.28; R730.7; R735.2 文献标识码: A
文章编号:1000-2235(2000)03-0248-04
Expression of p27kipl in Gastric Carcinoma
and Its Prognostic Significance
SONG Chuan-gui LU Hui-shan ZHANG Xiang-fu
(Department of Oncology, The Affiliated Union Hospital, Fujian Medical University, Fuzhou 350001, China)
, 百拇医药
ABSTRACT: Objective To study the expression of p27kipl in gastric carcinoma in relation to biological behavior and prognosis. Methods p27kipl expression at protein level were determined by immunohistochemistry technique in 92 patients with gastric carcinoma. Results 39 cases(42.4%) expressed p27kipl in this group. Of the 39 positive patients,p27kipl expression was low in 28(71.8%) and high in 11(28.2%). p27kipl expression level correlated with histological grade,depth of invasion,lymph-node metastasis and pTNM stage(P<0.05). Univariate analysis demonstrated better survival in patients with higher p27kipl expression than in those with lower expression. By Cox multivariate analysis,p27kipl expression level was found to be of independent prognostic significance. Conclusion p27kipl could be a useful marker indicator for reflecting tumorous malignant phenotype and favors prognosis of gastric cancer.
, http://www.100md.com
KEY WORDS: gastric neoplasms; p27kipl gene; prognosis; immunohistochemistry
细胞周期失控与肿瘤的发生、发展及恶性表象密切相关。p27kipl是新发现的细胞周期蛋白依赖性激酶抑制因子(cyclin dependent kinase inhibitor,CKI),属于Cip/Kip家族。作为细胞周期负性调控因子,它的异常表达将可能促进细胞的恶性转化。为了进一步明确它在胃癌发展中的作用,笔者于1999年9月~2000年5月运用免疫组织化学方法检测92例胃癌组织中p27kipl 的表达状况,探讨它们与胃癌浸润转移等生物学指标的关系,以及作为胃癌预后指标的潜在价值。
1 材料与方法
1.1 标本来源 92例原发性胃癌随机选自福建医科大学附属协和医院肿瘤科1990~1995年手术切除并经病理证实的石蜡包埋组织标本,均具有完整的随访资料。其中男性65例,女性27例,中位年龄50.35岁。肿瘤部位:胃窦部38例,贲门胃底部30例,胃体部24例。组织学类型:乳头状腺癌10例,管状腺癌52例,低分化腺癌7例,粘液腺癌15例,未分化癌4例,印戒细胞癌4例。区域淋巴结转移N0 25例,N1 34例,N2 24例,N3 9例。按国际TNM分期:Ⅰ期13例,Ⅱ期17例,Ⅲ期41例,Ⅳ期21例。每例取原发灶癌组织、癌旁及正常粘膜和转移淋巴结,均重新制备4 μm连续切片备用。每份标本行HE染色对照。
, 百拇医药
1.2 免疫组织化学染色 采用SP法。高压修复抗原,玻片经多聚赖氨酸(福州迈新生物公司)预处理以防脱片。按试剂盒提供说明书进行。鼠抗人p27kipl单克隆抗体(NCL-p27kipl)为Novo公司产品,购自北京中山生物公司;鼠抗人单克隆抗体(CAT#CC12,CC12C)为Oncogene Research Products产品,购自武汉博士德生物工程公司。p27kipl工作浓度为1∶20。每批切片免疫组织化学染色分析均以已知阳性的胃癌标本设立阳性对照,省却一抗以PBS替代作为阴性对照。
1.3 结果判断标准 采用文献[1]的判定方法评估p27kipl:观察包括表浅、中心、深部肿瘤浸润区域在内的10个随机视野,评定染色细胞的数目及其染色强度,取平均值,将p27kipl蛋白染色分级。:>30%的肿瘤细胞显示中等至强烈的免疫反应,染色为棕褐色至深棕色;+:5%~30%的肿瘤细胞显示中等强度的免疫反应,染色为棕褐色;-:<5%的肿瘤细胞显示弱的免疫反应,染色为淡棕色或无染色。
, 百拇医药
1.4 统计分析 采用统计学软件包SPSS 9.0进行统计学分析,涉及卡方检验检验组间差异;Spearman等级相关检验分析指标间相关趋势;Kaplan-Meier寿命法进行生存率分析,并予Log-rank时序检验分析组间差异;多因素分析应用Cox回归模型,以P<0.05为有统计学意义。
2 结 果
2.1 p27kipl蛋白在胃癌组织中的表达情况
p27kipl蛋白产物在胃癌组织石蜡切片中,阳性着色定位于细胞核,在淋巴小结、平滑肌细胞、血管内皮细胞中可见阳性染色(可作为p27kipl染色的内对照),见图1。本组92例胃癌中,正常粘膜上皮中p27kipl蛋白呈强表达,而在胃癌组织中阳性病例39例,占42.4%,其中强阳性11例,占28.2%(11/39),该蛋白在胃癌组织中表达呈异质性。在淋巴结中可见淋巴小结中生发中心p27kipl染色低,周围区p27kipl染色比较密集,多为表达;转移淋巴结中转移灶p27kipl染色与原发灶基本一致。p27kipl蛋白在正常组织及肿瘤组织中表达经卡方检验显示有统计学意义(P<0.001),提示p27kipl蛋白在胃癌组织中表达降低(表1)。p27kipl蛋白在正常组织及肿瘤组织中表达经卡方检验显示有统计学意义(P<0.001)。
, http://www.100md.com
表1 p27kipl蛋白在胃癌及正常组织中表达 组 织
n
p27kipl蛋白表达
-
+
正常
92
0
5
87
胃癌
, http://www.100md.com
92
53
28
11
χ2=127.96, P=0.000.2.2 胃癌组织中p27kipl蛋白表达水平与各临床病理参数的关系
p27kipl蛋白表达多见于浸润浅、分化好、淋巴结转移少、临床分期早的胃癌组织,p27kipl蛋白表达水平与肿瘤浸润深度(P<0.01)、病理组织学分级(P<0.05)、淋巴结转移(P<0.05)、临床分期(P<0.05)均相关,与性别、年龄无明显相关(P>0.05),见表2。
表2 p27kipl蛋白表达与各临床病理参数的关系 临床病理参数
, http://www.100md.com
n
p27kipl表达
χ2
P
rs
P
-
+
性别
男
65
, http://www.100md.com 35
20
10
2.729
0.255
女
27
18
8
1
年龄(岁)
>60
37
20
, 百拇医药
14
3
2.017
0.365
<60
55
33
14
8
胃壁浸润深度
T1
11
2
, 百拇医药
3
6
T2
7
3
3
1
25.27
0.00
-0.361
0.00
T3
, 百拇医药
57
35
19
3
T4
17
13
3
1
病理组织学分级
Ⅰ(高分化)
10
2
, http://www.100md.com
5
3
Ⅱ(中分化)
52
28
18
6
11.33
0.023
-0.327
0.00
Ⅲ(低分化)
30
, 百拇医药
23
5
2
淋巴结转移
N0
25
9
10
6
N1
34
18
12
, 百拇医药
4
12.76
0.047
-0.359
0.00
N2
24
19
4
1
N3
9
, 百拇医药
7
2
0
临床TNM分期
Ⅰ
13
3
5
5
Ⅱ
17
8
8
1
, 百拇医药
16.65
0.011
-0.338
0.00
Ⅲ
41
26
11
4
Ⅳ
21
16
4
, 百拇医药
1
:P<0.01, :P<0.05.表3 p27kipl予Cox回归模型多因素分析 变 量
B
S.E
Wald
df
sig
R
EXP(B)
性别
-0.5491
0.3035
, 百拇医药
3.2729
1
0.0704
-0.0463
0.5775
年龄
0.0247
0.0165
2.2446
1
0.1341
0.0203
1.0250
, 百拇医药
浸润深度
0.4584
0.2814
2.6535
1
0.1033
0.0332
1.5816
病理组织分化
0.2434
0.2534
0.9227
1
, 百拇医药
0.3368
0.0000
1.2756
淋巴结转移
0.7179
0.2269
10.0115
1
0.0016
0.1162
2.0501
临床分期
0.0227
, http://www.100md.com
0.2625
0.0075
1
0.9310
0.0000
1.0230
p27kipl
-0.8207
0.2292
12.8256
1
0.0003
, http://www.100md.com
-0.1351
0.4401
2.3 p27kipl蛋白对预后评价的意义
将p27kipl蛋白分为低表达组(-与+),高表达组(),经Kaplan-Meier生存分析计算生存率,单因素生存分析显示,p27kipl蛋白高表达组3,5年生存率分别为77.1%,57.8%,明显高于低表达组33.7%,26.3%(P=0.002),见图2,3。Cox多因素回归模型分析显示,p27kipl蛋白是一个独立的预后指标(表3)。
图2 p27kipl各表达组与胃癌术后累计生存率的关系
, 百拇医药
Log-rank时序检验,P=0.0003. --:表达; …:+表达; —:阴性.
图3 p27kipl高低表达组与胃癌术后生存率的关系
Log-rank时序检验,P=0.0007. --:高表达; —:低表达.
p27kipl是一个独立的预后因素(P=0.0003),其变量系数为-0.8207(负值)。
3 讨 论
p27kipl蛋白是细胞周期蛋白依赖性激酶抑制因子Cip/Kip家族的成员,1994年Polyak等在转化生长因子(TGF)-β处理的生长抑制细胞及接触生长抑制的细胞株中发现分子量为27 kD的耐热细胞周期蛋白,它的主要作用是与cyclin D-CDK4-6、cyclin E-CDK2、cyclin A-CDK2结合,抑制相应细胞周期蛋白依赖性激酶(cyclin-dependent kinases,CDK)活性,阻断细胞由静止期向增殖期过渡,诱导G1期阻滞,诱发细胞凋亡。近来对乳癌、胃癌、肠癌、肺癌、前列腺癌的研究提示,p27kipl表达减低与肿瘤发生及恶性表型、不良预后密切相关。
, http://www.100md.com
3.1 Kiyokawa等通过实验观察到,与正常组织相比,良恶性肿瘤组织中p27kipl表达有明显的减低[2]。Nakavama发现p27kipl基因缺失的小鼠容易发生垂体肿瘤和多器官组织增生综合征[3]。Cheryl通过流式细胞仪的观测显示,p27kipl表达与肿瘤增生明显负相关[4]。笔者的研究表明,胃癌组织中p27kipl表达阳性率明显降低,仅达42.4%(39/92),与文献报道相符。笔者认为,p27kipl是一个细胞周期负调控因子,它在G0期浓度最高,它的水平高低提示细胞的增殖能力和细胞的状态[3]。一旦受到恶性增殖信号的刺激,p27kipl的蛋白表达水平开始下降,一方面由于合成降低,更主要的是通过细胞蛋白翻译后泛激素蛋白酶体降解途径的速度提高[5](这个降解途径在细胞的静止期作用很小,而在细胞接受增殖信号后明显增强)。p27kipl蛋白表达的下降减低了它对CDK活性的抑制效应,导致CDK的毒性效应递增,从而能够充分的维持pRb的失活状态,使细胞能够完成细胞周期G1-S的重要转换,无法阻断细胞进行增殖、分裂,乃至肿瘤形成。笔者还发现,在淋巴小结生发中心的p27kipl染色比较低,而其周围区染色比较密集,提示p27kipl是一个增殖分化的信号,也进一步证实了p27kipl表达与胃癌发生的密切关系。
, 百拇医药
3.2 本组实验表明,p27kipl的低表达与肿瘤的浸润程度、TNM分期、肿瘤病理组织学分级、淋巴结转移呈负相关,统计有显著意义,与性别、年龄无相关,与文献报道基本相符[6]。肿瘤浸润深度与淋巴结转移反映了肿瘤的侵袭能力,笔者认为p27kipl表达降低与其他涉及肿瘤侵袭行为的细胞机制相关,诸如细胞接触抑制、TGF-β、细胞凋亡、蛋白酶作用等。比如TGF-β可以诱发p27kipl的表达,刺激细胞外间质成分合成及诱导细胞分化。p27kipl的低表达可能伴随着TGF-β信号传导途径异常、细胞凋亡机制紊乱,导致细胞容易逃逸细胞周期的调控,提高了细胞对肿瘤转移信号的敏感性,从而具有更强的侵袭能力,同时p27kipl低表达可能使肿瘤某些亚群细胞获得更大的生长优势,乃至发生转移。随着肿瘤分化程度的减低,p27kipl表达也逐渐下降。已有研究表明,细胞株的培养中p27kipl的高表达能诱导分化[7]。p27kipl在诱导肿瘤细胞分化过程中起重要作用在本实验中进一步得到证实,其中的机制尚需进一步研究。
, http://www.100md.com
3.3 p27kipl的表达对胃癌预后判断的价值 对p27kipl的研究表明,p27kipl的表达与患者的预后呈密切正相关趋势,也就是说,p27kipl高表达的病人预后明显好于p27kipl低表达的病人。本组p27kipl高表达组患者术后3,5年累计生存率分别为77.1%,57.8%,而p27kipl低表达组的病人则为33.7%,26.3%,两组差异有显著性(P=0.002);Cox多因素回归模型分析显示p27kipl蛋白是一个独立的预后指标。
p27kipl在胃癌中表达降低,其蛋白表达与反映肿瘤浸润转移恶性生物学行为的指标呈明显负相关,而且与胃癌患者生存率存在密切的关系,提示p27kipl不但可作为反映肿瘤恶性表型的一个指标,而且可作为胃癌的重要预后因素,帮助临床选择易于复发、转移的高危患者,提高治疗率及生存率。
, 百拇医药
图1 p27kipl在胃癌组织中的表达阳性细胞为核表达(SP法×200)
作者简介:宋传贵(1971~),男,住院医师,医学硕士.
参考文献:
[1] Yasui W,Kudo Y,Semba S,et al. Reduced expression of cyclin-dependent kinase inhibitor p27 is associated with advanced stage and invasiveness of gastric carcinomas[J]. Jpn J Cancer Res, 1997,88:625~629.
[2]K iyokawa H,Kineman R,Manova-Todorova K,etal.Enlargedg rowthofmicelacking thecy clin-dependent kinase inhibitor function of p27[J]. Cell, 1996,85:721~732.
, http://www.100md.com
[3] Nakavama K,Kineman R,Shiane M,et al. Mice lacking p27 display increased body size,multiple organ hyperplasia,retina dysplasia,and pituitary tumors[J]. Cell, 1996,85:705~721.
[4] Cheryl E,Giliftt,Paul Smith,et al. Cyclin-dependent kinase inhibitor p27 expression and interaction with other cell cycle-associated proteins in mammary carcinoma[J]. Pathology, 1999,187:200~206.
[5] Pagano M, Tam SW, Theodoras AM, et al. Role of the ubiquitin pathway in regulating abundance of the cyclin-dependent kinase inhibitor[J]. Science, 1995,269:682~685.
, http://www.100md.com
[6] Mori M,Mimori K,Shiraishi T,et al. p27 expression and gastric carcinoma[J]. Nat Med, 1997,3:593.
[7] Valeria M,Alessandro S,Carmen P,et al. Frequent loss of expression of the cyclin-dependent kinase inhibitor p27 in epithelial ovarian cancer[J]. Cancer Res, 1999,59:3790~3794.
收稿日期:2000-06-30, 百拇医药