脾脏非霍奇金氏淋巴瘤1例
作者:王凤璟 刘都礼 李佽
单位:成都铁路局中心医院病理科 成都 610081
关键词:
华西医学000377[中图分类号]R733.1 [文献标识码]E
[文章编号]1002-0179(2000)03-0372-01
脾脏非霍奇金氏淋巴瘤较少见,现将我科诊断的1例报告如下:
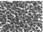
图1 瘤细胞较小,胞浆少,嗜酸性,核呈圆形或不规则形,有1~2个核仁。(HE染色×400)
患者男,64岁。因左上腹隐痛及高烧就诊。体检:左肋下脾可扪及,质中,光滑,未闻及血管杂音,浅表淋巴结不肿大。CT示脾前后径稍增大,见实质内有多个稍低密度区,3.5cm至2.5cm不等,边缘欠规整。行脾切除术。
病理检查:送检脾脏14.5cm×12cm×5cm,重1000g,表面暗红色,切面实质内见三个肿块,分别为4cm×3.5cm×2.5cm、7cm×2cm×2cm及2cm×1cm×0.5cm大小,呈细结节状。肿瘤实质灰白色,鱼肉状,脾门处未见肿大淋巴结。镜下见瘤结节大小不一,多数结节内血管不存在,可见结节相互融合的现象,瘤细胞较小,胞浆少,嗜酸性,核呈圆形或不规则形,有1~2个核仁(图1)。瘤细胞侵犯动脉周围的淋巴鞘,突入淋巴鞘内,外层形成残留半圈的淋巴细胞带。免疫组织化学结果:LCA强阳性、CD20阳性、CD45RO局灶阳性。(图2)。
图2 CD20阳性表达,瘤细胞膜、浆阳性反应,呈棕黄色细颗粒状,(SP法×400)
病理诊断:脾脏原发性多肿块型非霍奇金氏淋巴瘤。中心母细胞/中心细胞性,低度恶性,B细胞来源。
患者术后做常规化疗。术后一年余健在,全身未见肿大淋巴结。
1 讨论
Ahmann等统计脾原发性淋巴瘤占淋巴瘤不到1%,而脾原发性淋巴瘤多为非霍奇金氏淋巴瘤〔1〕。王杨等报道8例脾原发性淋巴瘤均为NHL〔2〕。Kehon等认为诊断脾原发性淋巴瘤时可以有脾门淋巴结、肝或骨髓的受累,主要根据受累部位的大小推测脾脏是否为原发部位〔3〕。本例以左上腹隐痛、高烧及脾肿大为临床特点,骨髓检查未见瘤细胞,经X线,CT检查及手术所见,无其他部位受侵犯的证据,故支持病变以脾脏为原发部位。本例需要与脾脏原发性血管肉瘤鉴别。本例典型的镜下特征及免疫组织化学结果证实为脾脏原发性非霍奇金氏淋巴瘤B细胞来源。本病首选外科治疗,早期行脾切除术,若开腹时未见转移,预后更好。
参考文献
1,Ahmann DL,Kiely JM,Harrison EG,et al.Malignant lyphoma of the spleen.Cancer,1966;19∶461.
2,王杨,姜玉珍,张秀梅,等:脾原发性恶性淋巴瘤11例报告。中华血液学杂志,1966;17∶36。
3,Kehon MD,Straus MD,et al.Pimary lyphoma of the spleen.Cancer,1988;62∶1433.
(收稿日期:2000-01-28), 百拇医药
单位:成都铁路局中心医院病理科 成都 610081
关键词:
华西医学000377[中图分类号]R733.1 [文献标识码]E
[文章编号]1002-0179(2000)03-0372-01
脾脏非霍奇金氏淋巴瘤较少见,现将我科诊断的1例报告如下:
图1 瘤细胞较小,胞浆少,嗜酸性,核呈圆形或不规则形,有1~2个核仁。(HE染色×400)
患者男,64岁。因左上腹隐痛及高烧就诊。体检:左肋下脾可扪及,质中,光滑,未闻及血管杂音,浅表淋巴结不肿大。CT示脾前后径稍增大,见实质内有多个稍低密度区,3.5cm至2.5cm不等,边缘欠规整。行脾切除术。
病理检查:送检脾脏14.5cm×12cm×5cm,重1000g,表面暗红色,切面实质内见三个肿块,分别为4cm×3.5cm×2.5cm、7cm×2cm×2cm及2cm×1cm×0.5cm大小,呈细结节状。肿瘤实质灰白色,鱼肉状,脾门处未见肿大淋巴结。镜下见瘤结节大小不一,多数结节内血管不存在,可见结节相互融合的现象,瘤细胞较小,胞浆少,嗜酸性,核呈圆形或不规则形,有1~2个核仁(图1)。瘤细胞侵犯动脉周围的淋巴鞘,突入淋巴鞘内,外层形成残留半圈的淋巴细胞带。免疫组织化学结果:LCA强阳性、CD20阳性、CD45RO局灶阳性。(图2)。
图2 CD20阳性表达,瘤细胞膜、浆阳性反应,呈棕黄色细颗粒状,(SP法×400)
病理诊断:脾脏原发性多肿块型非霍奇金氏淋巴瘤。中心母细胞/中心细胞性,低度恶性,B细胞来源。
患者术后做常规化疗。术后一年余健在,全身未见肿大淋巴结。
1 讨论
Ahmann等统计脾原发性淋巴瘤占淋巴瘤不到1%,而脾原发性淋巴瘤多为非霍奇金氏淋巴瘤〔1〕。王杨等报道8例脾原发性淋巴瘤均为NHL〔2〕。Kehon等认为诊断脾原发性淋巴瘤时可以有脾门淋巴结、肝或骨髓的受累,主要根据受累部位的大小推测脾脏是否为原发部位〔3〕。本例以左上腹隐痛、高烧及脾肿大为临床特点,骨髓检查未见瘤细胞,经X线,CT检查及手术所见,无其他部位受侵犯的证据,故支持病变以脾脏为原发部位。本例需要与脾脏原发性血管肉瘤鉴别。本例典型的镜下特征及免疫组织化学结果证实为脾脏原发性非霍奇金氏淋巴瘤B细胞来源。本病首选外科治疗,早期行脾切除术,若开腹时未见转移,预后更好。
参考文献
1,Ahmann DL,Kiely JM,Harrison EG,et al.Malignant lyphoma of the spleen.Cancer,1966;19∶461.
2,王杨,姜玉珍,张秀梅,等:脾原发性恶性淋巴瘤11例报告。中华血液学杂志,1966;17∶36。
3,Kehon MD,Straus MD,et al.Pimary lyphoma of the spleen.Cancer,1988;62∶1433.
(收稿日期:2000-01-28), 百拇医药