门静脉高压症患者脾内血管病变及其发病机制的研究
作者:施宝民 杨镇
单位:(同济医科大学附属同济医院普外科 430030 武汉)
关键词:高血压,门静脉;血管疾病;脾
中华医学杂志000313摘 要:目的 探讨门静脉高压症患者脾内血管病变及其机理。方法 对28例门静脉高压脾脏和10例正常脾破裂脾脏切除标本,行HE染色和MASSON染色, 观察血管形态学改变;免疫组织化学法检测增殖细胞核抗原(PCNA)、血管内皮生长因子受体1(Flt-1)的蛋白质表达;原位杂交法检测血管内皮生长因子(VEGF)、碱性成纤维细胞生长因子(bFGF)的mRNA表达。结果 门静脉高压脾内血管均发生内皮细胞受损、基质增多、弹力纤维断裂和管壁纤维化等血管病变。门静脉高压脾PCNA阳性表达率为85.7%, 对照组为40%, P<0.005;Flt-1阳性表达率为92.9%, 对照组为60%, P<0.005; bFGF的mRNA门静脉组表达率为71.4%, 对照组未能检测到; VEGF的mRNA门脉组表达率为75%,对照组只有2例阳性表达(20%); 表达部位均以血管为主。结论 (1)脾内血管病变是门静脉高压性血管病变的一部分;(2)脾内血管病变的发生与门静脉高压时脾内微循环改变 、血流动力学改变、免疫功能紊乱、VEGF及受体、bFGF等细胞因子的高表达有关。
, http://www.100md.com
Vascular lesion and its mechanisms in spleen under statement of portal hypertension
SHI Baomin YANG Zhen.
(Department of Surgery Tongji Hospital, Tongji Medical University, Wuhan 430030, China)
Abstract:Objective To investigate the vascular lesion and its mechanisms in spleen in patients with portal hypertension. Methods 28 specimens of spleen from portal hypertension patients and 10 from normal controls were stained by HE and Masson Trichrome to study their vascular pathological lesions. The proteins of PCNA, and Flt-1 were analyzed by immunohistochemistry. The mRNAs of VEGF and bFGF were also identified with in situ hybridization. Results Various vascular lesions occurred, such as sclerosis endangitis fibrosis and endothelial cell damage. The proteins of PCNA, and Flt-1 were intensively immunostained in portal hypertension spleens compared with normal controls. The mRNAs of VEGF and bFGF were highly expressed, but weakly in controls. Conclusions (1)Vascular lesion of spleen is one part of portal hypertensive vascular lesions. (2)The mechanisms of these lesions are due to the changes of microcirculation and hemodynamics, immune disorders ,increasing growth factors such as VEGF, Flt-1 and bFGF both at protein and transcription levels.
, 百拇医药
Key words:Hypertension, portal vein; Vascular diseases; Spleen
随着对门静脉高压症(portal hypertension, PHT)研究的深入,人们发现在PHT患者除有血流动力学紊乱外,还有门脉系统血管的病变,称之为门脉高压性血管病变(portal hypertensive vascular lesion),并在PHT的发展中起着重要作用。而PHT患者脾内血管的研究却不多,作者对其发病机制作了初步探讨。
对象与方法
一、对象
取自1993~1997年本院外科手术切除的脾脏石蜡标本切块,PHT者28例,男19例,女9例, 中位年龄为43岁(16~71岁)。对照组为同期住院的外伤性脾破裂切除脾标本10例无门静脉高压病史。
, http://www.100md.com
二、 方法
1.脾内血管的形态学观察:常规石蜡切片,行HE染色、Masson三色染色,光镜下观察脾内血管结构和形态的改变。
2.增殖细胞核抗原(PCNA)、血管内皮生长因子受体1(Flt-1)的蛋白质检测: 均采用免疫组织化学法。试剂分别采用鼠抗人PCNA(单抗)、Flt-1(多抗),分别购自中山生物试剂公司、ZYMED Lab Inc,方法采用S-P法。
3.血管内皮生长因子(VEGF)及碱性成纤维细胞生长因子(bFGF) 的mRNA测定:采用原位杂交法。 VEGF 探针片段大小为400 bp, 由德国Peter Sandner 教授赠送; bFGF 探针片段大小为0.9 kb, 由美国Wagner 博士惠赠。均采用随机引物法标记探针,原位杂交的具体方法参照文献[1]进行。
4.免疫显色半定量判定标准及统计学方法: 按显色的深度和阳性颗粒的粗细、数量分为三级,显色略高于背景、阳性颗粒细而少为弱阳性;显色为深褐色或棕褐色、颗粒粗大而多为强阳性;界于两者之间者为中度阳性。阳性颗粒在每个高倍镜视野中占30%以上定为阳性切片;其中强阳性染色占所有阳性颗粒的1/3以上为强阳性切片;每个病例连续取5张切片染色, 其中有一个阳性切片既定为阳性病例,比较阳性病例及强阳性病例在两组间的百分率的统计学差异,采用χ2检验。
, 百拇医药
结果
一、脾内血管病变(光镜观察)
门静脉高压脾脏内脾小梁动脉、滤泡动脉、髓索动脉可见内皮细胞受损、胶原纤维细胞外基质增多、管壁纤维化、弹力纤维断裂和溶解、管壁呈洋葱皮样改变或透明样变;动脉周围纤维化、髓索变细、假脾窦增生。静脉可见内皮细胞受损、基质增多、纤维化,呈现‘慢性硬化性静脉内膜炎'样改变。而对照脾内相应血管则未见到类似变化, 血管内膜完整, 管壁正常,弹力纤维无改变; 脾窦无增生, 动脉周围亦无纤维化。
二、蛋白质鉴定
1.PCNA:表达部位主要在淋巴细胞聚集区, 生发中心最明显, 以淋巴细胞为主, 血管内皮细胞、平滑肌细胞、纤维母细胞亦有表达,但较淋巴细胞为弱。门脉高压组阳性表达率为85.7%(24/28), 对照组为40%(4/10), P<0.005(χ2=7.94)。
, 百拇医药
2.Flt-1:表达分布区域主要在血管壁及周围,以内皮细胞为主,胞膜染色,极少数胞浆内也有染色。阳性表达率:门静脉高压组为92.9%(26/28), 对照组为60%(6/10), P<0.005(χ2=12.31)。
三、VEGF及bFGF的mRNA 鉴定
1.VEGF的mRNA:在脾内滤泡旁血管、髓索血管、小梁血管壁表达,内皮细胞和血管平滑肌细胞胞浆内,淋巴细胞未见表达。门静脉高压组阳性表达率为75%(21/28), 对照组仅有2例轻度阳性。
2.bFGF的mRNA : 阳性表达的部位主要在脾内小血管管壁内皮细胞、血管壁平滑肌细胞、脾小梁纤维细胞,胞浆表达;门静脉高压组阳性表达率为71.4%(20/28), 对照组脾脏内未能检测到bFGF的mRNA(图1~3)。
, 百拇医药
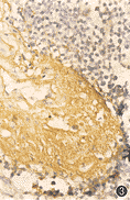
图1 小动脉内膜受损增厚,平滑肌细胞增生肥厚,管腔变小。有的滤泡动脉硬化闭缩(右上) HE染色×100
图2 小血管内皮细胞、纤维细胞胞膜表达 Flt-I免疫组织化学×200
图3 血管壁增厚、纤维化,管腔变窄。内皮细胞、纤维细胞胞浆表达 bFGF原位杂交×400
讨论
门静脉系统血管病变已经成为PHT目前研究的热点之一[2]。研究表明,门静脉、肠系膜上动静脉、脾动静脉、胃左静脉均存在着相似的构形改变,主要表现在管壁明显增厚、质地变硬、弹性下降、内膜及中膜平滑肌增生等[2-5]。本研究结果表明,脾内血管病变也是门静脉高压性血管病变的一部分,其机理有如下几个方面。
, 百拇医药
1.血流动力学紊乱:门静脉高压时,包括脾脏在内的内脏处于高血流动力状态,血流量增加,流速增快,对血管壁侧压升高,切应力增大,这些机械作用损伤血管内皮细胞,破坏血管壁的完整性,诱发平滑肌细胞和基质增生,造成血管病变[4]。
2.细胞因子及液递物质:本研究表明,门静脉高压状态下,脾脏内VEGF及其受体Flt-1的表达明显增加,而VEGF则具有较强的促进血管内皮细胞增生及增加血管的通透性的作用[6],两者协同使脾脏内血管增生、脾内储血量加大导致脾髓压力升高,从而加重门静脉高压状态和脾功能亢进。本研究还发现,bFGF在转录水平即大有增加。说明导致脾脏纤维细胞、平滑肌细胞的增生的bFGF是自身产生过多,而不是来源于体循环。它们是通过自分泌、旁分泌、还有不需膜受体的胞内分泌[7]等形式来发挥作用的。出现这些的原因可能与门静脉高压的高动力循环下,缺血、缺氧、内毒素,及肝功能下降等导致代谢紊乱的液递物质的作用有关[8]。
, 百拇医药
3.脾脏的免疫功能紊乱:PCNA的强阳性表达,均在淋巴细胞聚集区,反映了淋巴细胞的高增殖状态。滤泡周边带是捕捉抗原、发生免疫反应的主要场所,细胞过度增殖是过度免疫反应的间接证明[9]。PHT脾发生了免疫功能亢进或是说自身免疫反应,这也是脾亢发生机制之一。血管病变亦与免疫损伤有关,我们在肝内血管病变中已经证实[10]。
4.脾脏的失代偿状态:门静脉高压临床症状的直接因素并不是单纯动脉的高动力状态,而是静脉系统的循环障碍,脾脏在门静脉系统的压力维持和缓冲方面起着重要作用。脾脏的代偿达到极限时,脾窦出现扩张淤血,脾内血管扩张、硬化、弹性下降,使门静脉压力逐渐升高。如脾脏代偿功能储备较大,则不易发生门静脉高压;反之,较小时,可能很快发生。从这个意义上讲,在门静脉高压的发展中,脾脏也有主动性治病的一方面。因此,脾内血管病变的发生也与脾脏本身的因素有关。
总之,门静脉高压血管病变不但是门静脉高压作用的结果,同时也是门静脉高压的促进因素。门静脉高压状态下,血管壁的构形改变及其舒缩功能的失调;肝、脾、胃肠的微循环的改变;血管变化后释放的细胞因子及液递物质又反过来影响门静脉系统乃至全身的血流动力学,从而加重PHT的发展,形成恶性循环。本研究表明,脾内血管的病变亦与PHT的发展有关。
, 百拇医药
参考文献:
1 Feucht M, Christ B, Wilting J. VEGF induces cardiovascular malformation and embryonic lethality. Am J of Pathol, 1997,151: 1407-1416.
2 Yang Zhen, Liu Renzhe, Yang Rongguang, et al. Portal hypertensive vascular lesions. J Tongji Medical University,1996,16:1-3.
3 杨镇,汪国斌,杨榕光,等.血吸虫兔门静脉和肠系膜上动脉平滑肌的变化. 中华外科杂志,1994,12:760-762.
4 Malmquise V. Effect of long-term portal hypertension on structure,active force and content of contractile and structural proteins in smooth muscle of the rat portal vein. Acta Physiol Scand, 1994,150:171-175.
, 百拇医药
5 杨镇,刘仁则,杨榕光,等.肝硬变患者胃冠状静脉内膜、细胞外基质和平滑肌的变化.中华外科杂志,1996,34:138-140.
6 Veikkola T, Alitalo K. VEGFs, receptors and angiogenesis. Semin Cancer Biol, 1999, 9: 211-220.
7 Sachiko O, Hirohisa Y, Akihiro I, et al. Expressions of basic fibroblast growth factor and its receptors and their relationship to proliferation of human hepatocellular carcinoma cell lines. Hepatology, 1996, 23:198-205.
8 杨镇,恩巴恩巴,田磊,等. 肝硬变患者胃冠状静脉壁生长因子对胃冠状静脉构形改建的影响. 同济医科大学学报, 1996,25:216-218.
9 中川定名,郑国芳,李佩娟,著. 脾脏病理学.北京:世界图书出版公司,1991,174-179,132-142.
10 杨镇,李大鹏,施宝民,等.日本血吸虫病兔肝内血管壁免疫球蛋白及补体的免疫组化分析. 同济医科大学学报,1998,27:49-51.
收稿日期:1999-06-30, 百拇医药
单位:(同济医科大学附属同济医院普外科 430030 武汉)
关键词:高血压,门静脉;血管疾病;脾
中华医学杂志000313摘 要:目的 探讨门静脉高压症患者脾内血管病变及其机理。方法 对28例门静脉高压脾脏和10例正常脾破裂脾脏切除标本,行HE染色和MASSON染色, 观察血管形态学改变;免疫组织化学法检测增殖细胞核抗原(PCNA)、血管内皮生长因子受体1(Flt-1)的蛋白质表达;原位杂交法检测血管内皮生长因子(VEGF)、碱性成纤维细胞生长因子(bFGF)的mRNA表达。结果 门静脉高压脾内血管均发生内皮细胞受损、基质增多、弹力纤维断裂和管壁纤维化等血管病变。门静脉高压脾PCNA阳性表达率为85.7%, 对照组为40%, P<0.005;Flt-1阳性表达率为92.9%, 对照组为60%, P<0.005; bFGF的mRNA门静脉组表达率为71.4%, 对照组未能检测到; VEGF的mRNA门脉组表达率为75%,对照组只有2例阳性表达(20%); 表达部位均以血管为主。结论 (1)脾内血管病变是门静脉高压性血管病变的一部分;(2)脾内血管病变的发生与门静脉高压时脾内微循环改变 、血流动力学改变、免疫功能紊乱、VEGF及受体、bFGF等细胞因子的高表达有关。
, http://www.100md.com
Vascular lesion and its mechanisms in spleen under statement of portal hypertension
SHI Baomin YANG Zhen.
(Department of Surgery Tongji Hospital, Tongji Medical University, Wuhan 430030, China)
Abstract:Objective To investigate the vascular lesion and its mechanisms in spleen in patients with portal hypertension. Methods 28 specimens of spleen from portal hypertension patients and 10 from normal controls were stained by HE and Masson Trichrome to study their vascular pathological lesions. The proteins of PCNA, and Flt-1 were analyzed by immunohistochemistry. The mRNAs of VEGF and bFGF were also identified with in situ hybridization. Results Various vascular lesions occurred, such as sclerosis endangitis fibrosis and endothelial cell damage. The proteins of PCNA, and Flt-1 were intensively immunostained in portal hypertension spleens compared with normal controls. The mRNAs of VEGF and bFGF were highly expressed, but weakly in controls. Conclusions (1)Vascular lesion of spleen is one part of portal hypertensive vascular lesions. (2)The mechanisms of these lesions are due to the changes of microcirculation and hemodynamics, immune disorders ,increasing growth factors such as VEGF, Flt-1 and bFGF both at protein and transcription levels.
, 百拇医药
Key words:Hypertension, portal vein; Vascular diseases; Spleen
随着对门静脉高压症(portal hypertension, PHT)研究的深入,人们发现在PHT患者除有血流动力学紊乱外,还有门脉系统血管的病变,称之为门脉高压性血管病变(portal hypertensive vascular lesion),并在PHT的发展中起着重要作用。而PHT患者脾内血管的研究却不多,作者对其发病机制作了初步探讨。
对象与方法
一、对象
取自1993~1997年本院外科手术切除的脾脏石蜡标本切块,PHT者28例,男19例,女9例, 中位年龄为43岁(16~71岁)。对照组为同期住院的外伤性脾破裂切除脾标本10例无门静脉高压病史。
, http://www.100md.com
二、 方法
1.脾内血管的形态学观察:常规石蜡切片,行HE染色、Masson三色染色,光镜下观察脾内血管结构和形态的改变。
2.增殖细胞核抗原(PCNA)、血管内皮生长因子受体1(Flt-1)的蛋白质检测: 均采用免疫组织化学法。试剂分别采用鼠抗人PCNA(单抗)、Flt-1(多抗),分别购自中山生物试剂公司、ZYMED Lab Inc,方法采用S-P法。
3.血管内皮生长因子(VEGF)及碱性成纤维细胞生长因子(bFGF) 的mRNA测定:采用原位杂交法。 VEGF 探针片段大小为400 bp, 由德国Peter Sandner 教授赠送; bFGF 探针片段大小为0.9 kb, 由美国Wagner 博士惠赠。均采用随机引物法标记探针,原位杂交的具体方法参照文献[1]进行。
4.免疫显色半定量判定标准及统计学方法: 按显色的深度和阳性颗粒的粗细、数量分为三级,显色略高于背景、阳性颗粒细而少为弱阳性;显色为深褐色或棕褐色、颗粒粗大而多为强阳性;界于两者之间者为中度阳性。阳性颗粒在每个高倍镜视野中占30%以上定为阳性切片;其中强阳性染色占所有阳性颗粒的1/3以上为强阳性切片;每个病例连续取5张切片染色, 其中有一个阳性切片既定为阳性病例,比较阳性病例及强阳性病例在两组间的百分率的统计学差异,采用χ2检验。
, 百拇医药
结果
一、脾内血管病变(光镜观察)
门静脉高压脾脏内脾小梁动脉、滤泡动脉、髓索动脉可见内皮细胞受损、胶原纤维细胞外基质增多、管壁纤维化、弹力纤维断裂和溶解、管壁呈洋葱皮样改变或透明样变;动脉周围纤维化、髓索变细、假脾窦增生。静脉可见内皮细胞受损、基质增多、纤维化,呈现‘慢性硬化性静脉内膜炎'样改变。而对照脾内相应血管则未见到类似变化, 血管内膜完整, 管壁正常,弹力纤维无改变; 脾窦无增生, 动脉周围亦无纤维化。
二、蛋白质鉴定
1.PCNA:表达部位主要在淋巴细胞聚集区, 生发中心最明显, 以淋巴细胞为主, 血管内皮细胞、平滑肌细胞、纤维母细胞亦有表达,但较淋巴细胞为弱。门脉高压组阳性表达率为85.7%(24/28), 对照组为40%(4/10), P<0.005(χ2=7.94)。
, 百拇医药
2.Flt-1:表达分布区域主要在血管壁及周围,以内皮细胞为主,胞膜染色,极少数胞浆内也有染色。阳性表达率:门静脉高压组为92.9%(26/28), 对照组为60%(6/10), P<0.005(χ2=12.31)。
三、VEGF及bFGF的mRNA 鉴定
1.VEGF的mRNA:在脾内滤泡旁血管、髓索血管、小梁血管壁表达,内皮细胞和血管平滑肌细胞胞浆内,淋巴细胞未见表达。门静脉高压组阳性表达率为75%(21/28), 对照组仅有2例轻度阳性。
2.bFGF的mRNA : 阳性表达的部位主要在脾内小血管管壁内皮细胞、血管壁平滑肌细胞、脾小梁纤维细胞,胞浆表达;门静脉高压组阳性表达率为71.4%(20/28), 对照组脾脏内未能检测到bFGF的mRNA(图1~3)。
, 百拇医药
图1 小动脉内膜受损增厚,平滑肌细胞增生肥厚,管腔变小。有的滤泡动脉硬化闭缩(右上) HE染色×100
图2 小血管内皮细胞、纤维细胞胞膜表达 Flt-I免疫组织化学×200
图3 血管壁增厚、纤维化,管腔变窄。内皮细胞、纤维细胞胞浆表达 bFGF原位杂交×400
讨论
门静脉系统血管病变已经成为PHT目前研究的热点之一[2]。研究表明,门静脉、肠系膜上动静脉、脾动静脉、胃左静脉均存在着相似的构形改变,主要表现在管壁明显增厚、质地变硬、弹性下降、内膜及中膜平滑肌增生等[2-5]。本研究结果表明,脾内血管病变也是门静脉高压性血管病变的一部分,其机理有如下几个方面。
, 百拇医药
1.血流动力学紊乱:门静脉高压时,包括脾脏在内的内脏处于高血流动力状态,血流量增加,流速增快,对血管壁侧压升高,切应力增大,这些机械作用损伤血管内皮细胞,破坏血管壁的完整性,诱发平滑肌细胞和基质增生,造成血管病变[4]。
2.细胞因子及液递物质:本研究表明,门静脉高压状态下,脾脏内VEGF及其受体Flt-1的表达明显增加,而VEGF则具有较强的促进血管内皮细胞增生及增加血管的通透性的作用[6],两者协同使脾脏内血管增生、脾内储血量加大导致脾髓压力升高,从而加重门静脉高压状态和脾功能亢进。本研究还发现,bFGF在转录水平即大有增加。说明导致脾脏纤维细胞、平滑肌细胞的增生的bFGF是自身产生过多,而不是来源于体循环。它们是通过自分泌、旁分泌、还有不需膜受体的胞内分泌[7]等形式来发挥作用的。出现这些的原因可能与门静脉高压的高动力循环下,缺血、缺氧、内毒素,及肝功能下降等导致代谢紊乱的液递物质的作用有关[8]。
, 百拇医药
3.脾脏的免疫功能紊乱:PCNA的强阳性表达,均在淋巴细胞聚集区,反映了淋巴细胞的高增殖状态。滤泡周边带是捕捉抗原、发生免疫反应的主要场所,细胞过度增殖是过度免疫反应的间接证明[9]。PHT脾发生了免疫功能亢进或是说自身免疫反应,这也是脾亢发生机制之一。血管病变亦与免疫损伤有关,我们在肝内血管病变中已经证实[10]。
4.脾脏的失代偿状态:门静脉高压临床症状的直接因素并不是单纯动脉的高动力状态,而是静脉系统的循环障碍,脾脏在门静脉系统的压力维持和缓冲方面起着重要作用。脾脏的代偿达到极限时,脾窦出现扩张淤血,脾内血管扩张、硬化、弹性下降,使门静脉压力逐渐升高。如脾脏代偿功能储备较大,则不易发生门静脉高压;反之,较小时,可能很快发生。从这个意义上讲,在门静脉高压的发展中,脾脏也有主动性治病的一方面。因此,脾内血管病变的发生也与脾脏本身的因素有关。
总之,门静脉高压血管病变不但是门静脉高压作用的结果,同时也是门静脉高压的促进因素。门静脉高压状态下,血管壁的构形改变及其舒缩功能的失调;肝、脾、胃肠的微循环的改变;血管变化后释放的细胞因子及液递物质又反过来影响门静脉系统乃至全身的血流动力学,从而加重PHT的发展,形成恶性循环。本研究表明,脾内血管的病变亦与PHT的发展有关。
, 百拇医药
参考文献:
1 Feucht M, Christ B, Wilting J. VEGF induces cardiovascular malformation and embryonic lethality. Am J of Pathol, 1997,151: 1407-1416.
2 Yang Zhen, Liu Renzhe, Yang Rongguang, et al. Portal hypertensive vascular lesions. J Tongji Medical University,1996,16:1-3.
3 杨镇,汪国斌,杨榕光,等.血吸虫兔门静脉和肠系膜上动脉平滑肌的变化. 中华外科杂志,1994,12:760-762.
4 Malmquise V. Effect of long-term portal hypertension on structure,active force and content of contractile and structural proteins in smooth muscle of the rat portal vein. Acta Physiol Scand, 1994,150:171-175.
, 百拇医药
5 杨镇,刘仁则,杨榕光,等.肝硬变患者胃冠状静脉内膜、细胞外基质和平滑肌的变化.中华外科杂志,1996,34:138-140.
6 Veikkola T, Alitalo K. VEGFs, receptors and angiogenesis. Semin Cancer Biol, 1999, 9: 211-220.
7 Sachiko O, Hirohisa Y, Akihiro I, et al. Expressions of basic fibroblast growth factor and its receptors and their relationship to proliferation of human hepatocellular carcinoma cell lines. Hepatology, 1996, 23:198-205.
8 杨镇,恩巴恩巴,田磊,等. 肝硬变患者胃冠状静脉壁生长因子对胃冠状静脉构形改建的影响. 同济医科大学学报, 1996,25:216-218.
9 中川定名,郑国芳,李佩娟,著. 脾脏病理学.北京:世界图书出版公司,1991,174-179,132-142.
10 杨镇,李大鹏,施宝民,等.日本血吸虫病兔肝内血管壁免疫球蛋白及补体的免疫组化分析. 同济医科大学学报,1998,27:49-51.
收稿日期:1999-06-30, 百拇医药