增殖细胞核抗原在卵巢上皮性癌的表达及其临床意义
作者:李俊东 李孟达 张昌卿 李艳芳 刘富元 刘继红 冯凯涛
单位:李俊东(中山医科大学肿瘤防治中心妇科,广东广州510060);李孟达(中山医科大学肿瘤防治中心中心实验室,广东广州510060);张昌卿(中山医科大学肿瘤防治中心妇科,广东广州510060);李艳芳(中山医科大学肿瘤防治中心妇科,广东广州510060);刘富元(中山医科大学肿瘤防治中心妇科,广东广州510060);刘继红(中山医科大学肿瘤防治中心中心实验室,广东广州510060);冯凯涛(中山医科大学肿瘤防治中心1.妇科2.中心实验室,广东广州510060)
关键词:卵巢肿瘤;增殖细胞核抗原;生物学行为;预后
癌症000321
摘 要:目的:探讨增殖细胞核抗原(PCNA)表达与卵巢上皮性癌生物学行为及预后的关系。材料和方法:采用LSAB免疫组化方法检测84例石蜡包埋的卵巢上皮性癌组织中增殖细胞核抗原的表达,分析其表达与患者的年龄、临床分期、组织分化程度、组织学类型及预后之间的关系。结果:PCNA在卵巢上皮性癌的表达率为100%,表达强度与患者的年龄呈正相关(P<0.05),与卵巢上皮性癌的组织分化程度呈负相关(P<0.01),而与临床分期、组织学类型之间无关;单因素分析显示PCNA的表达与卵巢上皮性癌的预后呈负相关(P<0.05),但多因素分析未能显示这种相关性。结论:PCNA在卵巢上皮性癌的阳性表达率高,组织分化程度越低,年龄越大,PCNA表达强度越强;PCNA并不是估计卵巢癌预后的有效指标;临床分期、组织分化程度仍是影响卵巢上皮性癌预后的重要因素。
, http://www.100md.com
分类号:R737.31 文献标识码:A
文章编号:1000-467X(2000)03-0265-03
Expression and clinical significance of proliferating cell nuclear antigen in patients with ovarian epithelial carcinoma
LI Jun-dong LI Meng-da ZHANG Chang-qing et al.
(Department of Gynecologic Oncology, Cancer Center, Sun Yat-sen University
of Medical Sciences, Guangzhou 510060,P.R.China)
, 百拇医药
Abstract:Objective: To investigate the relationship between the expressions of proliferating cell nuclear antigen (PCNA) and the clinicobiological characteristics and prognosis in ovarian epithelial carcinoma. Methods: 84 specimens of ovarian epithelial carcinoma were detected for the expressions of PCNA by using labelling-streptavidin-biotin(LSAB) immunohistochemistry assay, and the correlations were analyzed for the PCNA expression with stage, histological grade, and histologic subtype of the tumor, and age and prgnosis of the patient. Results: All tumors had PCNA expression, the positive rate was 100% . There were significant correlations between the expressional grade of PCNA and the age (P< 0.05 ). In unvariate analysis, the expression of PCNA was associated with poor survival in ovarian epithelial carcinoma, but it did not retain any prognostic significance in multivariate analysis. Conclusions: PCNA expressions in ovarian epithelial carcinoma is high . The tumor with lower histological grade, or in the patients of older age, will express higher level of PCNA. The expression of PCNA is not an independent prognostic factor for prognosis in epithelial ovarian carcinoma. Stage and histological grade are still the significant prognostic factors in the epithelial ovarian cancer.
, http://www.100md.com
Key words:Ovarian neoplasma; PCNA; Clinicobiology; Prognosis▲
增殖细胞核抗原(proliferatin cell nuclear antigen,PCNA)作为细胞增殖的观察指标,被应用于良、恶性肿瘤鉴别及恶性肿瘤临床和预后分析等研究[1,2,3],近年来已成为肿瘤领域研究的热点。有关PCNA的表达与卵巢癌生物学行为及其预后关系的报道日渐增多,但至今尚未有统一的意见[2,3,4]。本研究通过免疫组化方法检测石蜡包埋的卵巢上皮性癌组织中PCNA的表达,分析其表达与患者的年龄、临床分期、组织分化程度、组织学类型及预后之间的关系,以探讨增殖细胞核抗原在卵巢上皮性癌的表达及其临床意义。
1 材料与方法
1.1 研究对象
, 百拇医药 全部病例及石蜡包埋标本均来自中山医科大学肿瘤防治中心肿瘤医院妇科1990年3月~1994年3月期间均经手术病理确诊的卵巢上皮性癌患者,共84例。
1.2 临床资料
1.2.1 年龄:最大82岁,最小18岁,中位年龄49岁。全部病例经随访,随访时间最长为97.9月,最短为0.77月,平均随访35月。
1.2.2 临床分期:I期16例,II期16例,III期43例,IV期9例。
1.2.2 组织学类型:浆液性腺癌34例,粘液性腺癌45例,子宫内膜样腺癌2例,透明细胞癌1例,腺鳞癌1例,未分化癌1例。
1.2.4 组织分化程度:高分化12例,中分化23例,低分化49例。
1.2.5 术后癌灶残留:术后无病灶残留或残留<2cm为58例,术后残留≥2cm为26例。
, 百拇医药
1.3 免疫组化染色方法
1.3.1 试剂:PCNA单克隆抗体(PC10)和LSAB试剂盒K681均购自DAKO公司。
1.3.2 LSAB免疫组化染色方法:卵巢癌蜡块组织→4μm切片→二甲苯脱蜡→水化→微波预处理→封闭→加相应第一抗体→加生物素标记的第二抗体→3%H2O2→加链白素过氧化物酶复合物→二氨基联苯胺(DAB)-H2O2显色→苏木素复染→封片→显微镜下观察显色结果。
1.4 结果判断标准
肿瘤细胞核内有棕色颗粒状物质为阳性。依照阳性细胞占肿瘤细胞数的多少而分为:阴性(-),细胞核内未见染色颗粒;阳性(+),阳性细胞数小于25%;阳性(++),阳性细胞数为25%~49%;阳性(+++),阳性细胞数为50%~75%;阳性(++++),阳性细胞数大于75%。
, http://www.100md.com
1.5 统计分析
使用SPSS8.0统计软件包进行统计分析。计数资料采用χ2检验;等级资料采用秩和检验;Kaplan-Meier法计算生存率,绘制生存曲线,各组生存率比较应用Log-Rank检验;Cox比例风险模型进行多因素预后分析。
2 结果
2.1 PCNA在卵巢上皮性癌的表达情况
本组病例PCNA表达均为阳性,阳性率为100%,其中(+)为22.6%(19/84),(++)为26.2%(22/84),(+++)为35.7%(30/84),(++++)为15.5%(13/84)(见表1)。
表1 PCNA表达与卵巢上皮性癌生物学行为的关系 特性
n
, http://www.100md.com
PCNA
检验值
P值
+
++
+++
++++
年龄(岁)
<50
55
16
16
17
, http://www.100md.com 6
≥50
29
3
6
13
7
2.558
0.011
临床分期
Ⅰ
16
5
6
, http://www.100md.com
2
3
Ⅱ
16
3
3
6
4
Ⅲ
43
10
12
15
6
, 百拇医药
Ⅳ
9
1
1
7
0
2.786
0.426
组织学类型
浆液性
34
7
6
12
, 百拇医药
9
粘液性
45
11
14
16
4
其他
5
1
2
2
0
3.224
, 百拇医药
0.199
组织分化程度
高分化
12
5
7
0
0
中分化
23
8
4
11
0
, http://www.100md.com
低分化
49
6
11
19
13
17.089
0.000
合计
84
19
22
30
, 百拇医药 13
22.6%
26.2%
35.7%
15.5%
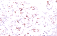
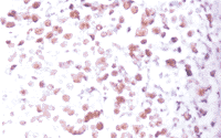
PCNA阳性镜下表现为细胞核染色,呈棕褐色颗粒状,胞浆不着色(见图1、图2)。
图1 卵巢粘液性腺癌(低分化)PCNA蛋白阳性(+++)×20
图2 卵巢浆液性腺癌(低分化)PCNA蛋白阳性(++++)×20
, 百拇医药 2.2 PCNA的表达与卵巢上皮性癌的患者年龄、临床分期、组织学类型、组织分化程度之间的关系
将PCNA(+)和(++)定为低表达,低表达率为48.8%;将(+++)和(++++)定为高表达,高表达率为51.2%。经秩和检验,结果:PCNA的表达强度与组织分化程度呈负相关(P<0.01),与患者年龄呈正相关(P<0.05)。PCNA的表达强度与临床分期、组织学类型无关(P>0.05)。年龄与组织分化程度之间的关系:两组年龄与组织分化程度相比较,经检验,未发现年龄与组织分化程度之间相关(P>0.05)(见表1)。
2.3 PCNA的表达与卵巢上皮性癌预后的关系
2.3.1 单因素分析:经统计分析,PCNA低表达(+~++)患者的平均生存期为78.09月,PCNA高表达(+++~++++)患者的平均生存期为59.41月。Kaplan-Meier生存曲线经Log-Rank检验,χ2=6.70,P=0.0097,提示PCNA表达强度与患者的预后呈负相关(见图3)。
, 百拇医药
图3 卵巢上皮性癌PCNA低表达与高表达患者的生存曲线(P<0.01)
2.3.2 预后多种因素Cox比例风险模型分析:将卵巢癌患者的年龄、临床分期、组织学类型、组织分化程度、残留肿瘤大小和PCNA的表达一起纳入风险回归模型进行预后的多因素分析,结果仅发现临床分期和组织分化程度是影响卵巢癌预后的较重要因素(表2)。
表2 卵巢上皮性癌预后Cox比例风险模型参数表
回归系数
标准误
Wald检验
P值
相对危险度
临床分期
, 百拇医药
0.7474
0.2608
8.2145
0.0042
2.1116
分化程度
0.8503
0.4143
4.2130
0.0401
2.3403
3 讨论
, 百拇医药 3.1 PCNA的结构和功能
PCNA是近年来研究较多的与细胞周期有关的蛋白质,是一种分子量在33KD~36KD之间,含有261个氨基酸的酸性蛋白质,在细胞核内合成[5,6]。研究表明PCNA是DNA多聚酶的一种辅助蛋白,协调DNA前导链和后随链的合成,在DNA复制中起重要作用[6,7]。PCNA在G1期表达逐渐增加,S期达到高峰,G2/M期减少或消失[8],可作为细胞周期内S期的特异性标记[1,9]。它的出现明显与细胞增殖有关,其含量的多少可以反映细胞的增殖程度。
3.2 PCNA与卵巢癌生物学行为的关系
目前有研究认为,PCNA与肿瘤组织分化程度、临床分期、预后等有关。国内学者研究PCNA在卵巢浆液性、粘液性囊腺癌的表达,发现卵巢浆液性囊腺癌PCNA表达阳性细胞率评分高于卵巢粘液性囊腺癌,组织分化程度越低,PCNA表达阳性率越高,临床分期越晚,伴淋巴结转移者,PCNA表达阳性细胞率评分高,差异均具有显著性[3,4]。然而国外研究结果显示,PCNA的表达与患者年龄、组织学类型、残留肿瘤大小均无关[1,2]。但亦有研究发现,PCNA表达与组织分化程度有明显的相关性,而与临床分期无关[10]。
, 百拇医药
本文的研究结果显示,PCNA在卵巢上皮性癌表达的阳性率为100%;其表达与组织学类型、临床分期无关;其表达的强度与患者的年龄、组织分化程度有关。我们也检验了患者年龄与组织分化程度之间的关系,结果两者之间未发现有统计学差异,提示PCNA的表达与年龄之间的相关性并非由于组织分化程度的差异所致。可以认为,卵巢上皮性癌分化程度越低,PCNA表达阳性强度越高,生长繁殖能力越强,恶性程度越高,患者的预后越差,这也是符合肿瘤的发展规律的[4]。
3.3 PCNA表达与卵巢癌预后的关系
有研究报道,PCNA的表达与卵巢癌预后有关[1,3],认为PCNA的表达对卵巢癌的预后可能具有预测价值[4],这些结论多来自单因素分析。本研究单因素分析亦显示,PCNA低表达的患者与高表达的患者其平均生存期
存在差异(P<0.01),提示PCNA的表达强度与预后有关。但此结论经Cox风险回归模型进行的预后多因素分析中,仅发现临床分期和组织分化程度是卵巢癌独立的预后因素,而未发现PCNA的表达与卵巢癌的预后相关,提示PCNA的表达对卵巢癌预后的影响作用是间接的,而不是直接的,它是通过组织分化程度而起间接的影响作用,可见PCNA表达并非是卵巢癌独立的预后因素[11],因此,它并不能作为评价卵巢癌预后的有效的观察指标,临床估计卵巢癌预后时,更应重视临床分期、组织分化程度对预后的影响。
, 百拇医药
(衷心感谢吴秋良、柳青老师对本研究的支持)
通讯作者:李俊东:Tel:86-20-87765368-5319 Fax:86-20-87754506 E-mail:LJUNDONG@163.net
参考文献:
[1]Hartmann LC, Sebo TJ, Kamel NA, et al. Proliferating cell nuclear antigen in epithelial ovarian cancer: relation to results at second-look laparotomy and sruvival [J]. Gynecol Oncol, 1992,47: 191~ 195.
[2]Thomas H, Nasim MM, Sarraf CE, et al. Proliferating cell nuclear antigen(PCNA) immunostaining a prognostic factor in
, 百拇医药
ovarian cancer [J]. Br J Cancer, 1995,71: 357~ 362.
[3]杨竹林,李玲,李永国.卵巢恶性肿瘤增殖细胞核抗原的表达及其临床意义[J].中华妇产科
杂志,1995,30:497.
[4]刘顺德,黎培毅,王华.卵巢粘、浆液性囊腺癌增殖细胞核抗原表达的研究[J].现代妇产科
进展,1997,(6)2:119~122.
[5]Miyachi K, Fritzler MJ,Tan EM. Auto antibody to a nuclear antigen in proliforating cells [J]. J Immunol, 1978,121:2228~ 2234.
, http://www.100md.com
[6]Bravo R, Frank R, Blundell PA,et al. Cyclin/PCNA is the auxiliary protein of DNA polymerase-delta [J]. Nature,1987,326: 515~ 517.
[7]Prelich G, Stillman B. Coordinated leading and lagging strand synthesis during SV40 DNA replication in vitro requires PCNA [J]. Cell, 1988,53(1): 117~ 126.
[8]Ogata K, Kurki P, Ceils JE, et al. Monoclonal antibodies to a nuclear protein (PCNA/cyclin) associated with DNA replication[J]. Exp Cell Res, 1987,168: 475~ 486.
, http://www.100md.com
[9]Hall PA, Levison DA, Woods AL, et al. Pro-liferating cell nuclear antigen(PCNA) immunolo-calization in paraffin sections:an index of cell proliferation with evidence of deregulated expression in some neoplasms [J]. J Pathol,1990,162(4): 285~ 294.
[10]Ghazizadeh M, Sasaki Y, Araki T, et al. Prognostic value of proliferative activity of ovarian carcinoma as revealed by PCNA and AgNOR analyses [J]. Am J Clin Pathol, 1997, 107(4): 451~ 458.
[11]Nakopoulou L, Janinis J, Panagos G, et al. The immuohi-stochemical expression of proliferating cell nuclearantigen(PCNA/Cyclin) in malignant and benign epithelial ovarian neoplasms and correlation with prognosis [J]. Eur J Cancer,1993, 29: 1599~ 1601.
收稿日期:1999-09-24, 百拇医药
单位:李俊东(中山医科大学肿瘤防治中心妇科,广东广州510060);李孟达(中山医科大学肿瘤防治中心中心实验室,广东广州510060);张昌卿(中山医科大学肿瘤防治中心妇科,广东广州510060);李艳芳(中山医科大学肿瘤防治中心妇科,广东广州510060);刘富元(中山医科大学肿瘤防治中心妇科,广东广州510060);刘继红(中山医科大学肿瘤防治中心中心实验室,广东广州510060);冯凯涛(中山医科大学肿瘤防治中心1.妇科2.中心实验室,广东广州510060)
关键词:卵巢肿瘤;增殖细胞核抗原;生物学行为;预后
癌症000321
摘 要:目的:探讨增殖细胞核抗原(PCNA)表达与卵巢上皮性癌生物学行为及预后的关系。材料和方法:采用LSAB免疫组化方法检测84例石蜡包埋的卵巢上皮性癌组织中增殖细胞核抗原的表达,分析其表达与患者的年龄、临床分期、组织分化程度、组织学类型及预后之间的关系。结果:PCNA在卵巢上皮性癌的表达率为100%,表达强度与患者的年龄呈正相关(P<0.05),与卵巢上皮性癌的组织分化程度呈负相关(P<0.01),而与临床分期、组织学类型之间无关;单因素分析显示PCNA的表达与卵巢上皮性癌的预后呈负相关(P<0.05),但多因素分析未能显示这种相关性。结论:PCNA在卵巢上皮性癌的阳性表达率高,组织分化程度越低,年龄越大,PCNA表达强度越强;PCNA并不是估计卵巢癌预后的有效指标;临床分期、组织分化程度仍是影响卵巢上皮性癌预后的重要因素。
, http://www.100md.com
分类号:R737.31 文献标识码:A
文章编号:1000-467X(2000)03-0265-03
Expression and clinical significance of proliferating cell nuclear antigen in patients with ovarian epithelial carcinoma
LI Jun-dong LI Meng-da ZHANG Chang-qing et al.
(Department of Gynecologic Oncology, Cancer Center, Sun Yat-sen University
of Medical Sciences, Guangzhou 510060,P.R.China)
, 百拇医药
Abstract:Objective: To investigate the relationship between the expressions of proliferating cell nuclear antigen (PCNA) and the clinicobiological characteristics and prognosis in ovarian epithelial carcinoma. Methods: 84 specimens of ovarian epithelial carcinoma were detected for the expressions of PCNA by using labelling-streptavidin-biotin(LSAB) immunohistochemistry assay, and the correlations were analyzed for the PCNA expression with stage, histological grade, and histologic subtype of the tumor, and age and prgnosis of the patient. Results: All tumors had PCNA expression, the positive rate was 100% . There were significant correlations between the expressional grade of PCNA and the age (P< 0.05 ). In unvariate analysis, the expression of PCNA was associated with poor survival in ovarian epithelial carcinoma, but it did not retain any prognostic significance in multivariate analysis. Conclusions: PCNA expressions in ovarian epithelial carcinoma is high . The tumor with lower histological grade, or in the patients of older age, will express higher level of PCNA. The expression of PCNA is not an independent prognostic factor for prognosis in epithelial ovarian carcinoma. Stage and histological grade are still the significant prognostic factors in the epithelial ovarian cancer.
, http://www.100md.com
Key words:Ovarian neoplasma; PCNA; Clinicobiology; Prognosis▲
增殖细胞核抗原(proliferatin cell nuclear antigen,PCNA)作为细胞增殖的观察指标,被应用于良、恶性肿瘤鉴别及恶性肿瘤临床和预后分析等研究[1,2,3],近年来已成为肿瘤领域研究的热点。有关PCNA的表达与卵巢癌生物学行为及其预后关系的报道日渐增多,但至今尚未有统一的意见[2,3,4]。本研究通过免疫组化方法检测石蜡包埋的卵巢上皮性癌组织中PCNA的表达,分析其表达与患者的年龄、临床分期、组织分化程度、组织学类型及预后之间的关系,以探讨增殖细胞核抗原在卵巢上皮性癌的表达及其临床意义。
1 材料与方法
1.1 研究对象
, 百拇医药 全部病例及石蜡包埋标本均来自中山医科大学肿瘤防治中心肿瘤医院妇科1990年3月~1994年3月期间均经手术病理确诊的卵巢上皮性癌患者,共84例。
1.2 临床资料
1.2.1 年龄:最大82岁,最小18岁,中位年龄49岁。全部病例经随访,随访时间最长为97.9月,最短为0.77月,平均随访35月。
1.2.2 临床分期:I期16例,II期16例,III期43例,IV期9例。
1.2.2 组织学类型:浆液性腺癌34例,粘液性腺癌45例,子宫内膜样腺癌2例,透明细胞癌1例,腺鳞癌1例,未分化癌1例。
1.2.4 组织分化程度:高分化12例,中分化23例,低分化49例。
1.2.5 术后癌灶残留:术后无病灶残留或残留<2cm为58例,术后残留≥2cm为26例。
, 百拇医药
1.3 免疫组化染色方法
1.3.1 试剂:PCNA单克隆抗体(PC10)和LSAB试剂盒K681均购自DAKO公司。
1.3.2 LSAB免疫组化染色方法:卵巢癌蜡块组织→4μm切片→二甲苯脱蜡→水化→微波预处理→封闭→加相应第一抗体→加生物素标记的第二抗体→3%H2O2→加链白素过氧化物酶复合物→二氨基联苯胺(DAB)-H2O2显色→苏木素复染→封片→显微镜下观察显色结果。
1.4 结果判断标准
肿瘤细胞核内有棕色颗粒状物质为阳性。依照阳性细胞占肿瘤细胞数的多少而分为:阴性(-),细胞核内未见染色颗粒;阳性(+),阳性细胞数小于25%;阳性(++),阳性细胞数为25%~49%;阳性(+++),阳性细胞数为50%~75%;阳性(++++),阳性细胞数大于75%。
, http://www.100md.com
1.5 统计分析
使用SPSS8.0统计软件包进行统计分析。计数资料采用χ2检验;等级资料采用秩和检验;Kaplan-Meier法计算生存率,绘制生存曲线,各组生存率比较应用Log-Rank检验;Cox比例风险模型进行多因素预后分析。
2 结果
2.1 PCNA在卵巢上皮性癌的表达情况
本组病例PCNA表达均为阳性,阳性率为100%,其中(+)为22.6%(19/84),(++)为26.2%(22/84),(+++)为35.7%(30/84),(++++)为15.5%(13/84)(见表1)。
表1 PCNA表达与卵巢上皮性癌生物学行为的关系 特性
n
, http://www.100md.com
PCNA
检验值
P值
+
++
+++
++++
年龄(岁)
<50
55
16
16
17
, http://www.100md.com 6
≥50
29
3
6
13
7
2.558
0.011
临床分期
Ⅰ
16
5
6
, http://www.100md.com
2
3
Ⅱ
16
3
3
6
4
Ⅲ
43
10
12
15
6
, 百拇医药
Ⅳ
9
1
1
7
0
2.786
0.426
组织学类型
浆液性
34
7
6
12
, 百拇医药
9
粘液性
45
11
14
16
4
其他
5
1
2
2
0
3.224
, 百拇医药
0.199
组织分化程度
高分化
12
5
7
0
0
中分化
23
8
4
11
0
, http://www.100md.com
低分化
49
6
11
19
13
17.089
0.000
合计
84
19
22
30
, 百拇医药 13
22.6%
26.2%
35.7%
15.5%
PCNA阳性镜下表现为细胞核染色,呈棕褐色颗粒状,胞浆不着色(见图1、图2)。
图1 卵巢粘液性腺癌(低分化)PCNA蛋白阳性(+++)×20
图2 卵巢浆液性腺癌(低分化)PCNA蛋白阳性(++++)×20
, 百拇医药 2.2 PCNA的表达与卵巢上皮性癌的患者年龄、临床分期、组织学类型、组织分化程度之间的关系
将PCNA(+)和(++)定为低表达,低表达率为48.8%;将(+++)和(++++)定为高表达,高表达率为51.2%。经秩和检验,结果:PCNA的表达强度与组织分化程度呈负相关(P<0.01),与患者年龄呈正相关(P<0.05)。PCNA的表达强度与临床分期、组织学类型无关(P>0.05)。年龄与组织分化程度之间的关系:两组年龄与组织分化程度相比较,经检验,未发现年龄与组织分化程度之间相关(P>0.05)(见表1)。
2.3 PCNA的表达与卵巢上皮性癌预后的关系
2.3.1 单因素分析:经统计分析,PCNA低表达(+~++)患者的平均生存期为78.09月,PCNA高表达(+++~++++)患者的平均生存期为59.41月。Kaplan-Meier生存曲线经Log-Rank检验,χ2=6.70,P=0.0097,提示PCNA表达强度与患者的预后呈负相关(见图3)。
, 百拇医药
图3 卵巢上皮性癌PCNA低表达与高表达患者的生存曲线(P<0.01)
2.3.2 预后多种因素Cox比例风险模型分析:将卵巢癌患者的年龄、临床分期、组织学类型、组织分化程度、残留肿瘤大小和PCNA的表达一起纳入风险回归模型进行预后的多因素分析,结果仅发现临床分期和组织分化程度是影响卵巢癌预后的较重要因素(表2)。
表2 卵巢上皮性癌预后Cox比例风险模型参数表
回归系数
标准误
Wald检验
P值
相对危险度
临床分期
, 百拇医药
0.7474
0.2608
8.2145
0.0042
2.1116
分化程度
0.8503
0.4143
4.2130
0.0401
2.3403
3 讨论
, 百拇医药 3.1 PCNA的结构和功能
PCNA是近年来研究较多的与细胞周期有关的蛋白质,是一种分子量在33KD~36KD之间,含有261个氨基酸的酸性蛋白质,在细胞核内合成[5,6]。研究表明PCNA是DNA多聚酶的一种辅助蛋白,协调DNA前导链和后随链的合成,在DNA复制中起重要作用[6,7]。PCNA在G1期表达逐渐增加,S期达到高峰,G2/M期减少或消失[8],可作为细胞周期内S期的特异性标记[1,9]。它的出现明显与细胞增殖有关,其含量的多少可以反映细胞的增殖程度。
3.2 PCNA与卵巢癌生物学行为的关系
目前有研究认为,PCNA与肿瘤组织分化程度、临床分期、预后等有关。国内学者研究PCNA在卵巢浆液性、粘液性囊腺癌的表达,发现卵巢浆液性囊腺癌PCNA表达阳性细胞率评分高于卵巢粘液性囊腺癌,组织分化程度越低,PCNA表达阳性率越高,临床分期越晚,伴淋巴结转移者,PCNA表达阳性细胞率评分高,差异均具有显著性[3,4]。然而国外研究结果显示,PCNA的表达与患者年龄、组织学类型、残留肿瘤大小均无关[1,2]。但亦有研究发现,PCNA表达与组织分化程度有明显的相关性,而与临床分期无关[10]。
, 百拇医药
本文的研究结果显示,PCNA在卵巢上皮性癌表达的阳性率为100%;其表达与组织学类型、临床分期无关;其表达的强度与患者的年龄、组织分化程度有关。我们也检验了患者年龄与组织分化程度之间的关系,结果两者之间未发现有统计学差异,提示PCNA的表达与年龄之间的相关性并非由于组织分化程度的差异所致。可以认为,卵巢上皮性癌分化程度越低,PCNA表达阳性强度越高,生长繁殖能力越强,恶性程度越高,患者的预后越差,这也是符合肿瘤的发展规律的[4]。
3.3 PCNA表达与卵巢癌预后的关系
有研究报道,PCNA的表达与卵巢癌预后有关[1,3],认为PCNA的表达对卵巢癌的预后可能具有预测价值[4],这些结论多来自单因素分析。本研究单因素分析亦显示,PCNA低表达的患者与高表达的患者其平均生存期
存在差异(P<0.01),提示PCNA的表达强度与预后有关。但此结论经Cox风险回归模型进行的预后多因素分析中,仅发现临床分期和组织分化程度是卵巢癌独立的预后因素,而未发现PCNA的表达与卵巢癌的预后相关,提示PCNA的表达对卵巢癌预后的影响作用是间接的,而不是直接的,它是通过组织分化程度而起间接的影响作用,可见PCNA表达并非是卵巢癌独立的预后因素[11],因此,它并不能作为评价卵巢癌预后的有效的观察指标,临床估计卵巢癌预后时,更应重视临床分期、组织分化程度对预后的影响。
, 百拇医药
(衷心感谢吴秋良、柳青老师对本研究的支持)
通讯作者:李俊东:Tel:86-20-87765368-5319 Fax:86-20-87754506 E-mail:LJUNDONG@163.net
参考文献:
[1]Hartmann LC, Sebo TJ, Kamel NA, et al. Proliferating cell nuclear antigen in epithelial ovarian cancer: relation to results at second-look laparotomy and sruvival [J]. Gynecol Oncol, 1992,47: 191~ 195.
[2]Thomas H, Nasim MM, Sarraf CE, et al. Proliferating cell nuclear antigen(PCNA) immunostaining a prognostic factor in
, 百拇医药
ovarian cancer [J]. Br J Cancer, 1995,71: 357~ 362.
[3]杨竹林,李玲,李永国.卵巢恶性肿瘤增殖细胞核抗原的表达及其临床意义[J].中华妇产科
杂志,1995,30:497.
[4]刘顺德,黎培毅,王华.卵巢粘、浆液性囊腺癌增殖细胞核抗原表达的研究[J].现代妇产科
进展,1997,(6)2:119~122.
[5]Miyachi K, Fritzler MJ,Tan EM. Auto antibody to a nuclear antigen in proliforating cells [J]. J Immunol, 1978,121:2228~ 2234.
, http://www.100md.com
[6]Bravo R, Frank R, Blundell PA,et al. Cyclin/PCNA is the auxiliary protein of DNA polymerase-delta [J]. Nature,1987,326: 515~ 517.
[7]Prelich G, Stillman B. Coordinated leading and lagging strand synthesis during SV40 DNA replication in vitro requires PCNA [J]. Cell, 1988,53(1): 117~ 126.
[8]Ogata K, Kurki P, Ceils JE, et al. Monoclonal antibodies to a nuclear protein (PCNA/cyclin) associated with DNA replication[J]. Exp Cell Res, 1987,168: 475~ 486.
, http://www.100md.com
[9]Hall PA, Levison DA, Woods AL, et al. Pro-liferating cell nuclear antigen(PCNA) immunolo-calization in paraffin sections:an index of cell proliferation with evidence of deregulated expression in some neoplasms [J]. J Pathol,1990,162(4): 285~ 294.
[10]Ghazizadeh M, Sasaki Y, Araki T, et al. Prognostic value of proliferative activity of ovarian carcinoma as revealed by PCNA and AgNOR analyses [J]. Am J Clin Pathol, 1997, 107(4): 451~ 458.
[11]Nakopoulou L, Janinis J, Panagos G, et al. The immuohi-stochemical expression of proliferating cell nuclearantigen(PCNA/Cyclin) in malignant and benign epithelial ovarian neoplasms and correlation with prognosis [J]. Eur J Cancer,1993, 29: 1599~ 1601.
收稿日期:1999-09-24, 百拇医药