增殖细胞核抗原和细胞凋亡表达在中晚期食管鳞癌的预后意义
作者:杨林 冯伦高 叶世铎 王家顺 潘永成
单位:杨林(同济医科大学附属协和医院胸外科,湖北武汉430022);冯伦高(同济医科大学附属协和医院胸外科,湖北武汉430022);叶世铎(同济医科大学附属协和医院胸外科,湖北武汉430022);王家顺(同济医科大学附属协和医院胸外科,湖北武汉430022);潘永成(同济医科大学附属协和医院胸外科,湖北武汉430022)
关键词:食管鳞癌;中晚期;增殖细胞核抗原;细胞凋亡;预后
摘 要
摘 要:目的:探讨增殖细胞核抗原(proliferatingcellnuclearantigen,PCNA)和细胞凋亡表达在中晚期食管鳞状上皮细胞癌(食管鳞癌)的预后意义。方法:应用微波炉加热修复抗原方法和链霉菌素-生物素免疫亲和酶技术行PCNA抗原染色,用末端脱氧核苷酸转移酶介导的dUTP缺口末端标记法(TUNEL法)进行原位凋亡染色。结果:36例手术切除的食管鳞癌组织平均PCNA表达指数(PCNAlabellingindex,PI)为48.84%±13.63%,细胞凋亡指数(apoptosisindex,AI)为12.26‰±5.20‰;PI升高与患者年龄小、分化程度低、有淋巴结转移和肿瘤进行性浸润呈正相关,而AI升高与分化程度高、角化明显呈正相关;绘制Kaplan-Meier生存曲线,发现病变侵及食管外膜、有淋巴结转移、无角化、PI≥40%或AI<10‰的患者术后生存率明显降低;COX比例风险模型分析,发现只有淋巴结转移和PI是影响预后的独立因素。结论:淋巴结转移和PCNA表达增高是影响中晚期食管鳞癌术后生存的重要因素.
, 百拇医药
分类号:R735.1 文献标识码:A
文章编号:1000-467X(2000)03-0230-03
Expression of proliferating cell nuclear antigen and apoptosis
relationship to prognosis of patient with esophageal squamous
cell carcinoma(ESCC) in middle or late stage
YANG Lin FENG Lun-gao YE Shi-duo et al.
(Department of Thoracic Surgery, Xiehe Hospital, Tongji Medical
, http://www.100md.com
University, Wuhan 430022, P.R. China)
Abstract:Objective: To determine the expression of proliferating cell nuclear antigen(PCNA) and apoptosis in esophageal squamous cell carcinoma (ESCC), and their relationship to the prognosis of ESCC patient. Methods: A total of 36 operated patients suffering from ESCC in middle or late stage were studied. Cell proliferation was evaluated by utilizing PCNA immunohistochemical assay, the extent of apoptosis was determined by counting the number of cells labelled by terminal deoxynucleotidyl transferase mediated dUTP nick end labelling (TUNEL) method. Results: The PCNA mean labelling index (PI) was 48.84% ± 13.63% , and the apoptotic labelling index (AI) was 12.26‰ ± 5.20‰ . The Kaplan-Meier survival curves showed that the postoperative survival time of the patient was shorter when the tumor infiltrated to the adventitia of esophagus,with lymph node metastasis, without keratinization, PI ≥ 40% or AI<10‰ . Using forward multivariate Cox regression analysis, only the parameters of pN category and PI could be verified as independent prognostic factors. Conclusion: The expression of PCNA and pN category play important roles in evaluating the prognosis of ESCC patient.
, http://www.100md.com
Key words:PCNA; Apoptosis; Esophageal neoplasm; Prognosis▲
食管鳞状上皮细胞癌(食管鳞癌)是我国常见的恶性肿瘤之一,外科临床中以中晚期病变为主,术后五年生存率多在20%~30%左右。随着肿瘤相关学科的不断发展,越来越多的新技术指标成为肿瘤的预后因子。我们回顾性地研究了36例中晚期食管鳞癌中增殖细胞核抗原(proliferating cell nuclear antigen,PCNA)和细胞凋亡的表达情况,探讨二者与食管鳞癌生物学行为和患者预后的关系。
1 材料和方法
1.1 研究对象
取自我科1993年2月至1997年2月行食管癌切除术临床资料和随访资料完整的食管鳞癌患者36例,临床病理分期为Ⅱ~Ⅳ期。其中男26例,女10例。年龄39~69岁,平均54.11岁,术前均未行放疗或化疗。标本经中性福尔马林固定、石蜡包埋。试验前每例均制备1张HE染色切片,以进一步证实最初的病理学诊断。每例标本作4μm厚切片。
, 百拇医药
1.2 免疫组织化学染色检测细胞增殖活性
应用微波炉加热修复抗原的方法,染色前先将切片放入0.01mol/LPBS缓冲液(pH=7.4)内,医用微波炉(700W)中处理5分钟,温度达90~95℃。其它步骤按试剂盒说明书进行染色。抗PCNA单克隆抗体(PC10)和ABC免疫组化试剂盒均购自武汉博士德生物公司。以PBS代替一抗作阴性对照。
1.3 TUNEL检测细胞凋亡
采用末端脱氧核苷酸转移酶介导的dUTP缺口末端标记(TUNEL)法[1]。原位检测细胞死亡POD试剂盒为德国Boehringer Mannheim公司原装。常规脱蜡及再水合,具体方法按说明书进行。每批染色采用50μl标记液(无末端转移酶)代替TUNEL反应混合液作阴性对照。
1.4 统计方法
, http://www.100md.com
使用STATA计算机统计软件处理数据。样本均数比较采用t检验和F检验,Kaplan-Meier生存率分析法分析预后,广义Wilcoxon秩检验法进行单个变量分析,采用COX比例风险模型进行多变量预后因素分析。
2 结果
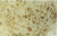
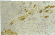
PCNA和TUNEL染色阳性细胞的形态基本正常,定位于肿瘤细胞核内,主要呈颗粒型,细胞深染成棕黄色或棕褐色。高分化、角化明显的食管鳞癌癌组织内PCNA阳性细胞数量较少,阳性细胞分布在癌巢周围,单层或多层,低分化鳞癌PCNA阳性细胞明显增多,分布无规律;而角化型鳞癌凋亡细胞分布于癌巢中央,非角化型鳞癌凋亡细胞散在分布于肿瘤组织内(图1~4)。
图1 角化型食管鳞癌PCNA表达×200
, 百拇医药
图2 非角化型食管鳞癌PCNA表达×200
图3 角化型食管鳞癌细胞凋亡表达×200
图4非角化型食管鳞癌细胞凋亡表达×200
光学显微镜下,随机选取5个高倍视野,分别计数500~1000个肿瘤细胞中阳性细胞数。分别计算PCNA指数(PI=PCNA染色阳性细胞数/肿瘤细胞数×100%)和凋亡细胞指数(AI=TUNEL染色阳性细胞数/肿瘤细胞数×1000‰)。本组PI在10.86%~77.91%之间,平均为48.84%±13.63%,AI在5.56‰~23.38‰之间,平均为12.26‰±5.20‰。按各项临床病理指标分组,PCNA、细胞凋亡表达与食管鳞癌生物学行为的关系见表1。
, 百拇医药
表1 36例中晚期食管鳞癌PCNA和细胞凋亡表达意义
临床病理指标
n
PI(%)
AI(‰)
年龄
≤50岁
16
54.50±11.39
12.87±5.57
>50岁
20
, 百拇医药
44.30±13.82*
11.77±4.97
病变部位
食管上段
5
50.41±11.14
11.01±2.92
食管中段
20
50.44±14.91
13.58±5.80
食管下段
, http://www.100md.com
11
45.20±12.53
10.42±4.37
病变长径
≤5cm
19
46.89±15.19
12.04±5.65
>5cm
17
51.01±11.71
12.50±4.80
, http://www.100md.com
病变深度
未及外膜
26
44.41±12.18
11.27±3.93
侵及外膜
10
60.34±10.3*
14.84±7.20
淋巴转移
无
12
, 百拇医药
38.76±13.32
11.92±3.76
有
24
53.87±10.88**
12.43±5.85
分化程度
高度
10
45.56±17.12
18.41±4.49
中度
, 百拇医药
22
47.41±10.89
10.52±2.95△△
低度
4
64.83±8.08△
6.46±0.66△△
角化
无
16
50.31±13.75
7.86±1.45
, 百拇医药
有
20
47.66±13.77
15.77±4.34**
组间比较 *P<0.05 **P<0.01;
与高度分化组比较 △P<0.05 △△P<0.01
分组绘制Kaplan-Meier生存曲线,Wilcoxon检验表明病变侵及食管外膜、有淋巴结转移、无角化、PI≥40%或AI<10‰的患者术后生存率明显降低(P<0.01或P<0.05)。进一步行多因素分析,将各组指标量化后导入COX比例风险模型,发现只有淋巴结转移和PI是影响预后的独立因素。
, 百拇医药
3 讨论
由于食管鳞癌的早期发现和早期诊断十分困难,住院手术的患者多为中晚期食管癌,虽行根治性切除,但大多数患者仍死于术后肿瘤的复发或转移,因此如何更准确地评价预后、指导治疗,是我们急待解决的问题。近年来的研究表明,食管鳞癌是一类涉及多种基因改变而导致细胞持续增殖的疾病。细胞的恶性增殖导致肿瘤的由无到有,从小到大;而细胞凋亡决定细胞的死亡,肿瘤细胞凋亡说明机体可通过自主地清除恶变的或可能恶变的细胞来对抗肿瘤的发生发展[2]。Gavrieli[1]的TUNEL法用于常规组织切片中单个细胞凋亡的原位精确测定,促进了凋亡的定量研究。PCNA是DNA聚合酶δ的亚基,参与DNA合成并在细胞周期中起着重要作用,通过检测PCNA表达可客观估计肿瘤细胞增殖活性和判断预后[3]。
Soini[4]等分析33例原发性肝癌术后预后,指出PI、AI和组织坏死均不能单独作为预后因子,但三者结合起来,高表达PCNA、同时细胞凋亡少和组织坏死少的具有高度增殖活性,而且与p53的阳性表达密切相关,可较好地用于肝癌的预后判断。Kinugasa等[5]检测59例食管鳞癌,PCNA指数与肿瘤长度和浸润深度有关,病变越长,浸润越深,PI越高;而与其它指标无关。应用单因素和多因素生存分析,PI≥40%者生存率高,但只有淋巴结转移和肿瘤浸润深度是影响预后的独立因素,而PI不是。
, http://www.100md.com
本组PCNA的高表达与患者年龄小、有淋巴结转移和肿瘤进行性浸润呈正相关,分化程度低的食管鳞癌比分化程度高的增殖活性高;而分化程度高、角化明显的食管鳞癌细胞凋亡表达率明显升高,且AI与淋巴结转移和外侵无关。这与文献报道的随着肿瘤从粘膜层、粘膜下层,到侵犯肌层和外膜,AI显著增高[6]不符,可能反应了外侵明显的中晚期食管鳞癌,机体本身局部免疫反应低下,或者随着肿瘤进展,肿瘤对机体免疫反应形成耐受。
通过分组绘制Kaplan-Meier生存曲线发现,病变侵及食管外膜、有淋巴结转移、无角化、PCNA表达指数≥40%或细胞凋亡指数<10‰的食管鳞癌患者手术后的预后明显较差。COX风险模型将淋巴结转移和PI作为影响预后的独立因素,提示细胞增殖在判断中晚期食管鳞癌预后中的重要作用。目前,反应恶性肿瘤预后的指标还有很多,判断预后还需考虑病例选择、判断指标和测量的标准化问题、统计学方法的选择、免疫组化标本固定等许多因素,对细胞增殖、细胞凋亡和食管鳞癌的预后评价尚需要大规模、多中心的定群研究和实验资料。
, http://www.100md.com
通讯作者:杨林:Tel:86-27-85726411 Fax:86-27-87886119 E-mail:yangl.wh@263.net
参考文献:
[1] Gavrieli Y, Sherman Y, Ben Sasson SA. Identification of programmed cell death in situ via specific labeling of nuclear DNA fragmentation [J]. J Cell Biol, 1992, 119(3): 493~ 501.
[2]Ohashi K,Nemoto T,Eishi Y,et al.Proliferative activity and p53 protein accumulation correlate with early invasive trend,and apoptosis correlates with differentiation grade in oesophageal squamous cell carcinomas [J]. Virchows Arch, 1997,430(2):107~ 115.
, http://www.100md.com
[3]Yu CC, Filipe MI. Update on proliferation associated antibodies applicable to formalin fixed paraffin embedded tissue and their clinical apprications[J]. Histochem J, 1993, 25: 843~ 853.
[4]Soini Y, Virkajarvi N, Lehto VP, et al. Hepatocellular carcinomas with a high proliferation index and a low degree of apoptosis and necrosis are associated with a shortened survival [J]. Br J Cancer, 1996, 73(9): 1025~ 1030.
[5]Kinugasa S, Tachibana M,Hishikawa Y,et al. Prognostic significance of proliferating cell nuclear antigen (PCNA) in squamouse cell carcinoma of the esophagus [J]. Jpn J Clin Oncol,1996, 26: 405~ 410.
[6]Ohbu M,Saegusa M,Okayasu I.Apoptosis and cellular proliferation in oesophageal squamous cell carcinoma: differences between keratinizing and nonkeratinizing types[J]. Virchows Arch, 1995, 427(3): 271~ 276.
收稿日期:1999-05-12
修稿日期:1999-06-08, 百拇医药
单位:杨林(同济医科大学附属协和医院胸外科,湖北武汉430022);冯伦高(同济医科大学附属协和医院胸外科,湖北武汉430022);叶世铎(同济医科大学附属协和医院胸外科,湖北武汉430022);王家顺(同济医科大学附属协和医院胸外科,湖北武汉430022);潘永成(同济医科大学附属协和医院胸外科,湖北武汉430022)
关键词:食管鳞癌;中晚期;增殖细胞核抗原;细胞凋亡;预后
摘 要
摘 要:目的:探讨增殖细胞核抗原(proliferatingcellnuclearantigen,PCNA)和细胞凋亡表达在中晚期食管鳞状上皮细胞癌(食管鳞癌)的预后意义。方法:应用微波炉加热修复抗原方法和链霉菌素-生物素免疫亲和酶技术行PCNA抗原染色,用末端脱氧核苷酸转移酶介导的dUTP缺口末端标记法(TUNEL法)进行原位凋亡染色。结果:36例手术切除的食管鳞癌组织平均PCNA表达指数(PCNAlabellingindex,PI)为48.84%±13.63%,细胞凋亡指数(apoptosisindex,AI)为12.26‰±5.20‰;PI升高与患者年龄小、分化程度低、有淋巴结转移和肿瘤进行性浸润呈正相关,而AI升高与分化程度高、角化明显呈正相关;绘制Kaplan-Meier生存曲线,发现病变侵及食管外膜、有淋巴结转移、无角化、PI≥40%或AI<10‰的患者术后生存率明显降低;COX比例风险模型分析,发现只有淋巴结转移和PI是影响预后的独立因素。结论:淋巴结转移和PCNA表达增高是影响中晚期食管鳞癌术后生存的重要因素.
, 百拇医药
分类号:R735.1 文献标识码:A
文章编号:1000-467X(2000)03-0230-03
Expression of proliferating cell nuclear antigen and apoptosis
relationship to prognosis of patient with esophageal squamous
cell carcinoma(ESCC) in middle or late stage
YANG Lin FENG Lun-gao YE Shi-duo et al.
(Department of Thoracic Surgery, Xiehe Hospital, Tongji Medical
, http://www.100md.com
University, Wuhan 430022, P.R. China)
Abstract:Objective: To determine the expression of proliferating cell nuclear antigen(PCNA) and apoptosis in esophageal squamous cell carcinoma (ESCC), and their relationship to the prognosis of ESCC patient. Methods: A total of 36 operated patients suffering from ESCC in middle or late stage were studied. Cell proliferation was evaluated by utilizing PCNA immunohistochemical assay, the extent of apoptosis was determined by counting the number of cells labelled by terminal deoxynucleotidyl transferase mediated dUTP nick end labelling (TUNEL) method. Results: The PCNA mean labelling index (PI) was 48.84% ± 13.63% , and the apoptotic labelling index (AI) was 12.26‰ ± 5.20‰ . The Kaplan-Meier survival curves showed that the postoperative survival time of the patient was shorter when the tumor infiltrated to the adventitia of esophagus,with lymph node metastasis, without keratinization, PI ≥ 40% or AI<10‰ . Using forward multivariate Cox regression analysis, only the parameters of pN category and PI could be verified as independent prognostic factors. Conclusion: The expression of PCNA and pN category play important roles in evaluating the prognosis of ESCC patient.
, http://www.100md.com
Key words:PCNA; Apoptosis; Esophageal neoplasm; Prognosis▲
食管鳞状上皮细胞癌(食管鳞癌)是我国常见的恶性肿瘤之一,外科临床中以中晚期病变为主,术后五年生存率多在20%~30%左右。随着肿瘤相关学科的不断发展,越来越多的新技术指标成为肿瘤的预后因子。我们回顾性地研究了36例中晚期食管鳞癌中增殖细胞核抗原(proliferating cell nuclear antigen,PCNA)和细胞凋亡的表达情况,探讨二者与食管鳞癌生物学行为和患者预后的关系。
1 材料和方法
1.1 研究对象
取自我科1993年2月至1997年2月行食管癌切除术临床资料和随访资料完整的食管鳞癌患者36例,临床病理分期为Ⅱ~Ⅳ期。其中男26例,女10例。年龄39~69岁,平均54.11岁,术前均未行放疗或化疗。标本经中性福尔马林固定、石蜡包埋。试验前每例均制备1张HE染色切片,以进一步证实最初的病理学诊断。每例标本作4μm厚切片。
, 百拇医药
1.2 免疫组织化学染色检测细胞增殖活性
应用微波炉加热修复抗原的方法,染色前先将切片放入0.01mol/LPBS缓冲液(pH=7.4)内,医用微波炉(700W)中处理5分钟,温度达90~95℃。其它步骤按试剂盒说明书进行染色。抗PCNA单克隆抗体(PC10)和ABC免疫组化试剂盒均购自武汉博士德生物公司。以PBS代替一抗作阴性对照。
1.3 TUNEL检测细胞凋亡
采用末端脱氧核苷酸转移酶介导的dUTP缺口末端标记(TUNEL)法[1]。原位检测细胞死亡POD试剂盒为德国Boehringer Mannheim公司原装。常规脱蜡及再水合,具体方法按说明书进行。每批染色采用50μl标记液(无末端转移酶)代替TUNEL反应混合液作阴性对照。
1.4 统计方法
, http://www.100md.com
使用STATA计算机统计软件处理数据。样本均数比较采用t检验和F检验,Kaplan-Meier生存率分析法分析预后,广义Wilcoxon秩检验法进行单个变量分析,采用COX比例风险模型进行多变量预后因素分析。
2 结果
PCNA和TUNEL染色阳性细胞的形态基本正常,定位于肿瘤细胞核内,主要呈颗粒型,细胞深染成棕黄色或棕褐色。高分化、角化明显的食管鳞癌癌组织内PCNA阳性细胞数量较少,阳性细胞分布在癌巢周围,单层或多层,低分化鳞癌PCNA阳性细胞明显增多,分布无规律;而角化型鳞癌凋亡细胞分布于癌巢中央,非角化型鳞癌凋亡细胞散在分布于肿瘤组织内(图1~4)。
图1 角化型食管鳞癌PCNA表达×200
, 百拇医药
图2 非角化型食管鳞癌PCNA表达×200
图3 角化型食管鳞癌细胞凋亡表达×200
图4非角化型食管鳞癌细胞凋亡表达×200
光学显微镜下,随机选取5个高倍视野,分别计数500~1000个肿瘤细胞中阳性细胞数。分别计算PCNA指数(PI=PCNA染色阳性细胞数/肿瘤细胞数×100%)和凋亡细胞指数(AI=TUNEL染色阳性细胞数/肿瘤细胞数×1000‰)。本组PI在10.86%~77.91%之间,平均为48.84%±13.63%,AI在5.56‰~23.38‰之间,平均为12.26‰±5.20‰。按各项临床病理指标分组,PCNA、细胞凋亡表达与食管鳞癌生物学行为的关系见表1。
, 百拇医药
表1 36例中晚期食管鳞癌PCNA和细胞凋亡表达意义
临床病理指标
n
PI(%)
AI(‰)
年龄
≤50岁
16
54.50±11.39
12.87±5.57
>50岁
20
, 百拇医药
44.30±13.82*
11.77±4.97
病变部位
食管上段
5
50.41±11.14
11.01±2.92
食管中段
20
50.44±14.91
13.58±5.80
食管下段
, http://www.100md.com
11
45.20±12.53
10.42±4.37
病变长径
≤5cm
19
46.89±15.19
12.04±5.65
>5cm
17
51.01±11.71
12.50±4.80
, http://www.100md.com
病变深度
未及外膜
26
44.41±12.18
11.27±3.93
侵及外膜
10
60.34±10.3*
14.84±7.20
淋巴转移
无
12
, 百拇医药
38.76±13.32
11.92±3.76
有
24
53.87±10.88**
12.43±5.85
分化程度
高度
10
45.56±17.12
18.41±4.49
中度
, 百拇医药
22
47.41±10.89
10.52±2.95△△
低度
4
64.83±8.08△
6.46±0.66△△
角化
无
16
50.31±13.75
7.86±1.45
, 百拇医药
有
20
47.66±13.77
15.77±4.34**
组间比较 *P<0.05 **P<0.01;
与高度分化组比较 △P<0.05 △△P<0.01
分组绘制Kaplan-Meier生存曲线,Wilcoxon检验表明病变侵及食管外膜、有淋巴结转移、无角化、PI≥40%或AI<10‰的患者术后生存率明显降低(P<0.01或P<0.05)。进一步行多因素分析,将各组指标量化后导入COX比例风险模型,发现只有淋巴结转移和PI是影响预后的独立因素。
, 百拇医药
3 讨论
由于食管鳞癌的早期发现和早期诊断十分困难,住院手术的患者多为中晚期食管癌,虽行根治性切除,但大多数患者仍死于术后肿瘤的复发或转移,因此如何更准确地评价预后、指导治疗,是我们急待解决的问题。近年来的研究表明,食管鳞癌是一类涉及多种基因改变而导致细胞持续增殖的疾病。细胞的恶性增殖导致肿瘤的由无到有,从小到大;而细胞凋亡决定细胞的死亡,肿瘤细胞凋亡说明机体可通过自主地清除恶变的或可能恶变的细胞来对抗肿瘤的发生发展[2]。Gavrieli[1]的TUNEL法用于常规组织切片中单个细胞凋亡的原位精确测定,促进了凋亡的定量研究。PCNA是DNA聚合酶δ的亚基,参与DNA合成并在细胞周期中起着重要作用,通过检测PCNA表达可客观估计肿瘤细胞增殖活性和判断预后[3]。
Soini[4]等分析33例原发性肝癌术后预后,指出PI、AI和组织坏死均不能单独作为预后因子,但三者结合起来,高表达PCNA、同时细胞凋亡少和组织坏死少的具有高度增殖活性,而且与p53的阳性表达密切相关,可较好地用于肝癌的预后判断。Kinugasa等[5]检测59例食管鳞癌,PCNA指数与肿瘤长度和浸润深度有关,病变越长,浸润越深,PI越高;而与其它指标无关。应用单因素和多因素生存分析,PI≥40%者生存率高,但只有淋巴结转移和肿瘤浸润深度是影响预后的独立因素,而PI不是。
, http://www.100md.com
本组PCNA的高表达与患者年龄小、有淋巴结转移和肿瘤进行性浸润呈正相关,分化程度低的食管鳞癌比分化程度高的增殖活性高;而分化程度高、角化明显的食管鳞癌细胞凋亡表达率明显升高,且AI与淋巴结转移和外侵无关。这与文献报道的随着肿瘤从粘膜层、粘膜下层,到侵犯肌层和外膜,AI显著增高[6]不符,可能反应了外侵明显的中晚期食管鳞癌,机体本身局部免疫反应低下,或者随着肿瘤进展,肿瘤对机体免疫反应形成耐受。
通过分组绘制Kaplan-Meier生存曲线发现,病变侵及食管外膜、有淋巴结转移、无角化、PCNA表达指数≥40%或细胞凋亡指数<10‰的食管鳞癌患者手术后的预后明显较差。COX风险模型将淋巴结转移和PI作为影响预后的独立因素,提示细胞增殖在判断中晚期食管鳞癌预后中的重要作用。目前,反应恶性肿瘤预后的指标还有很多,判断预后还需考虑病例选择、判断指标和测量的标准化问题、统计学方法的选择、免疫组化标本固定等许多因素,对细胞增殖、细胞凋亡和食管鳞癌的预后评价尚需要大规模、多中心的定群研究和实验资料。
, http://www.100md.com
通讯作者:杨林:Tel:86-27-85726411 Fax:86-27-87886119 E-mail:yangl.wh@263.net
参考文献:
[1] Gavrieli Y, Sherman Y, Ben Sasson SA. Identification of programmed cell death in situ via specific labeling of nuclear DNA fragmentation [J]. J Cell Biol, 1992, 119(3): 493~ 501.
[2]Ohashi K,Nemoto T,Eishi Y,et al.Proliferative activity and p53 protein accumulation correlate with early invasive trend,and apoptosis correlates with differentiation grade in oesophageal squamous cell carcinomas [J]. Virchows Arch, 1997,430(2):107~ 115.
, http://www.100md.com
[3]Yu CC, Filipe MI. Update on proliferation associated antibodies applicable to formalin fixed paraffin embedded tissue and their clinical apprications[J]. Histochem J, 1993, 25: 843~ 853.
[4]Soini Y, Virkajarvi N, Lehto VP, et al. Hepatocellular carcinomas with a high proliferation index and a low degree of apoptosis and necrosis are associated with a shortened survival [J]. Br J Cancer, 1996, 73(9): 1025~ 1030.
[5]Kinugasa S, Tachibana M,Hishikawa Y,et al. Prognostic significance of proliferating cell nuclear antigen (PCNA) in squamouse cell carcinoma of the esophagus [J]. Jpn J Clin Oncol,1996, 26: 405~ 410.
[6]Ohbu M,Saegusa M,Okayasu I.Apoptosis and cellular proliferation in oesophageal squamous cell carcinoma: differences between keratinizing and nonkeratinizing types[J]. Virchows Arch, 1995, 427(3): 271~ 276.
收稿日期:1999-05-12
修稿日期:1999-06-08, 百拇医药