人肺癌裸鼠移植瘤中uPA系统的表达及意义
作者:彭挺生 赵国华 吴惠茜 赵国强 周慕珩
单位:彭挺生(中山医科大学病理学教研室,广东广州510089);赵国华(中山医科大学病理学教研室,广东广州510089);吴惠茜(中山医科大学病理学教研室,广东广州510089);赵国强(中山医科大学病理学教研室,广东广州510089);周慕珩(中山医科大学病理学教研室,广东广州510089)
关键词:尿激酶;癌;非小细胞性;裸鼠;侵袭和转移
癌症000304
摘 要:目的:研究uPA系统4种主要成分(uPA、PAI-1、PAI-2、uPAR)在肺癌细胞裸鼠移植瘤侵袭转移过程中的作用。方法:将4株肺癌细胞(1株肺巨细胞癌、2株肺腺癌、1株肺鳞癌)接种入裸鼠体内,建立体内侵袭转移模型;应用免疫组化、蛋白免疫印迹(WesternBlot)等方法检测移植瘤组织中uPA系统各因子的表达。结果:肺巨细胞癌细胞所形成移植瘤的侵袭转移能力最强;免疫组化和蛋白免疫印迹(WesternBlot)均表明uPA系统各因子在4株移植瘤肿瘤细胞的胞浆及胞膜均有相当的表达,在肺巨细胞癌细胞所形成移植瘤中4种因子的表达水平相对较低,而在两株腺癌移植瘤中相对较高。结论:uPA系统内4种因子在移植瘤中以多种复合物及单体的形式存在;这些因子的表达水平不能确切反映各移植瘤在裸鼠体内侵袭转移能力的差异。
, 百拇医药
分类号:R734.2 文献标识码:A
文章编号:1000-467X(2000)03-0208-04
Expression and significance of urokinase-type plasminogen
activator (uPA) system in the implanted tumors in nude mice
PENG Ting-sheng ZHAO Guo-hua WU Hui-xi et al.
(Department of Pathology,Sun Yat sen University of Medical Science,Guangzhou 510089,P.R.China)
, 百拇医药
Abstract:Objective:To study the role of four major components of urokinase-type plasminogen activator (uPA) system during the course of invasion and metastasis of the implanted tumors in nude mice. Methods: Four non-small cell lung cancer cell lines (including 1 giant cell carcinoma, 2 adenocarcinomas and 1 squamous cell carcinoma) were implanted into the nude mice, respectively to establish the model of invasion and metastasis in vivo. Immunohistochemistry and Western Blot were used to detect the four components of uPA system. Results: The giant cell lung cancer showed highest ability of invasion and metastasis among the four xenograft models . All the four components of uPA system were detected in the all implanted tumors. The expression level of uPA system in the two adenocarcinoma xenografts was higher than that in the others. Conclusions: Some components of the uPA system exist in forms of monomer,diamer or trimer in the implanted tumors. The relative expression of the components of uPA system couldn't exactly reflect the difference of invasive ability among the four non-small cell lumg cancer in nude mice xenograft models.
, http://www.100md.com
Key Words:Urokinase;Non-small cell lung cancer; Nude Mice; Invasion and Metastasis▲
肿瘤细胞的生长及其对周围组织的侵袭是一个复杂的过程,与细胞的生物学特性和细胞与周围基质的相互作用有关。纤溶酶原激活系统包括纤溶酶原激活剂(plasminogen activator,PA)及其特异性受体和抑制剂。PA是一种特殊的丝氨酸蛋白酶,能催化无活性血纤溶酶原转化为纤溶酶。尿激酶型纤溶酶原激活剂(urokinase-typePA,uPA)由肿瘤细胞或上皮细胞产生,uPA所产生的纤溶酶主要参与对细胞外基质蛋白(Extracellular matrix,ECM)的降解,促进肿瘤细胞的侵袭和转移[1]。uPA的特异性受体(uPA receptor,uPAR)是细胞膜上高度糖基化的50~60KD的单链糖蛋白,从N-端开始依次为1,2,3区[2];纤溶酶原激活抑制剂(PA inhibitors,PAIs)主要分为两大类,能特异地抑制uPA的活性,包括血管内皮型(PAI-1)和胎盘型(PAI-2)[3]。
, 百拇医药
本研究对4株肺癌细胞及其在裸鼠体内形成的移植瘤进行蛋白水平的检测,初步探讨uPA系统在裸鼠体内的表达及意义。
1 材料与方法
1.1 细胞来源
肺巨细胞癌细胞系(PLA-801)由中国人民解放军总医院建立,肺腺癌细胞系(GLC-82)由昆明医学院第一附属医院建立,肺腺癌细胞系(SPC-A-1)由上海市胸科医院及中科院上海细胞所建立,肺鳞癌细胞系(LTEP-78)由北京肺部肿瘤研究所建立。以上细胞株均在标准条件下常规体外培养。
1.2 动物实验
BALB/C裸鼠,由中山医科大学实验动物中心提供,鼠龄4~8周,雌雄兼用,雌性为主。随机分成4组,每组10只。实验和饲养均在SPF条件下的超净层流架中进行,灭菌处理的水和饲料供动物自由摄入。将4种细胞系传代扩大培养至所需数量后,制成浓度为2×1010个/L的无血清细胞悬液。每只裸鼠足垫皮下注射0.1mL,即每只动物接种量为2×106个。
, 百拇医药
处死动物时,取肿瘤组织的大部分(去除周围皮肤、软组织及坏死组织),迅速投入液氮中1~2min,待组织变硬后取出,快速置-80℃冻存备用。另一部分(含肿瘤及其周围正常组织)以及裸鼠的肺、肝、脾、肾与各部位淋巴结(包括同侧及对侧腹股沟淋巴结、腋窝淋巴结和肾门淋巴结),中性福马林固定4h,常规脱水、浸蜡、包埋、切片,HE染色观察。
1.3 免疫组化
常规LSAB免疫组化法对移植瘤组织切片进行染色,一抗购自American Diagnostic Inc.,其工作浓度为:uPA1∶1000,PAI-1 1∶50,PAI-2 1∶50,uPAR 1∶50。
1.4 蛋白免疫印迹(WesternBlot)
分别取4种冻存肿瘤组织约100mg,预冷PBS漂洗2次,加入300μL预冷细胞裂解液,充分研磨,制成移植瘤组织全蛋白抽提液。考马斯亮蓝G-250染色法测定蛋白浓度,应用标准曲线法计算样本中全蛋白的浓度,重复3次,取其均值;同时将含有等量总蛋白的4份样本稀释至相同的体积,加入等量加样缓冲液,SDS-聚丙烯酰胺凝胶电泳分离蛋白条带(分离胶为5%~20%的线性梯度胶,积层胶浓度为4%),电泳结束后应用半干转移仪将蛋白从凝胶转移至尼龙膜上,该膜用LSAB法染色,一抗工作浓度为uPA1∶5000,PAI-1 1∶100,PAI-2 1∶100,uPAR 1∶500,相同实验步骤重复3次。图像分析仪(Kontron IBASS2.0)处理分析结果。
, http://www.100md.com
2 结果
2.1 4株肺癌细胞裸鼠体内生长特性
4种肺癌细胞株在裸鼠体内全部成瘤,4种移植瘤均呈指数方式生长,生长曲线见图1。肺巨细胞癌株PLA-801所形成的移植瘤成瘤早,生长迅速,肿瘤中心较早出现出血坏死,裸鼠迅速出现消瘦等恶病质表现,接种21天后即有一只出现自然死亡,为避免标本损失,第22天统一处死该组动物;接种其他三种细胞的裸鼠成瘤较晚,肿瘤生长速度较慢,裸鼠恶病质不甚明显,接种后45天分别处死。
图1 4株人肺癌细胞株裸鼠体内移植瘤的生长曲线
2.2 4种裸鼠移植瘤的形态特点及浸润转移特性
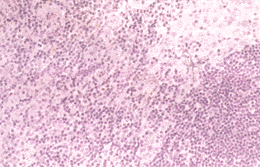
光镜下见4种移植瘤组织形态特点相似,细胞异型性大,多核瘤巨细胞及病理性核分裂多见;肿瘤呈浸润性生长;接种肺巨细胞癌株PLA-801的10只裸鼠中有3只出现同侧腹股沟淋巴结及肾门淋巴结转移(见图2,淋巴结转移率3/10);接种其它的裸鼠均未见淋巴结转移(淋巴结转移率0/10),接种PLA801组与其他3组之间的淋巴结转移率有显著性差异(P<0.01).所有接种动物中未见有肺及其他脏器的转移.
, http://www.100md.com
图2肺巨细胞癌移植瘤的淋巴结内转移灶HE5×20
2.3 4种移植瘤中uPA系统各因子的免疫组化染色结果(定性)
uPA、PAI-1、PAI-2、uPAR在肿瘤细胞的胞浆及胞膜均有着色,阳性信号为棕黄色颗粒;uPA、PAI-1、uPAR在肿瘤细胞表面有大量分布,PAI-2多位于胞浆(见图3),与正常组织交界处阳性细胞较多。
图3肺巨细胞癌移植瘤中uPA(A)、PAI-1(B)、PAI-2(C)、uPAR(D)的免疫表达,LSAB5×40
2.4 4种移植瘤中uPA系统各因子的蛋白免疫印迹表达(定量)
分别检测uPA和PAI-1,4种组织中均表达约80KD和140KD的特异性条带;在PAI-2的检测中,4种组织表达约80KD和47KD的特异性条带;检测uPAR,4种组织主要表达约50~60KD的特异性条带(见图4)。根据uPA系统各因子分子量的大小,认为4种肿瘤中均出现的约80KD的条带是uPA/PAI-1、uPA/PAI-2二联复合物;约140KD的特异性条带是uPA/PAI-1/uPAR三联复合物;约47KD的条带代表PAI-2单体;检测uPAR时出现的50~60KD的条带则代表单体形式的uPAR,蛋白表达的相对含量=条带面积×(条带灰度-背景灰度),各种单体及复合物的相对含量如图5所示。
, http://www.100md.com
图44种移植瘤抽提蛋白中uPA系统
各种蛋白的免疫表达Western Blot
Lane1.PLA-801 Lane2.SPC-A-1 Lane3.GLC-82 Lane4.L-78
图5 4种移植瘤抽提蛋白中uPA系统
各种复合物及单体的相对含量
3 讨论
本实验构建了人肺癌细胞株在裸鼠体内的移植瘤模型,并同时检测该模型内uPA系统4种主要成分的表达,对uPA系统在侵袭和转移过程中的作用作了初步的探讨。动物实验表明肺巨细胞癌株PLA-801所形成的移植瘤在裸鼠体内侵袭转移能力显著高于其他细胞株所形成的移植瘤;免疫组化与蛋白免疫印迹结果提示肿瘤细胞能分泌uPA,后者能与瘤细胞胞膜上的uPAR相结合,并与PAIs形成多种复合物,瘤组织的侵袭边缘阳性细胞数较多,提示uPA系统的确促进正常基质的降解,介导肿瘤细胞的侵袭作用,与文献报道相一致[4,5]。
, http://www.100md.com
按照传统的观点,肺巨细胞癌细胞恶性度高,在裸鼠体内的侵袭转移能力明显强于其它3种细胞,其uPA系统的表达水平应高于其它3种细胞,但本研究中uPA系统各种因子在此种移植瘤中的表达水平均低于其他3种移植瘤,反之,侵袭能力并不强的两种腺癌移植瘤中uPA系统各种因子的表达水平明显升高。其原因何在呢?首先,虽然目前多数学者认为uPA水平的升高促进癌细胞的迁移和侵袭,但有作者[6]发现在某些侵袭性强的肺巨细胞癌细胞中,uPA反而低表达。Tsuboi等[7]也曾证明,在一定的浓度范围内,uPA的促侵袭能力随浓度的升高而增强,但uPA的过表达导致大量纤溶酶的产生,引起基质过分降解,从而在侵袭早期即阻断了细胞与ECM或基底膜的接触,反而降低侵袭程度。因而,我们认为可能因为腺癌细胞中uPA的表达水平已超过其发挥促侵袭作用的阈值,反而抑制瘤细胞对周围正常组织的侵袭,导致瘤组织侵袭能力降低;另一方面,众所周知,uPA、PAI-1、uPAR均促进肿瘤细胞对周围基质的侵袭,而PAI-2起重要的抑制作用[8,9]。当分别分析某一移植瘤中uPA系统各因子的表达时,发现腺癌和鳞癌移植瘤中PAI-2的相对含量较高,可能在这两种移植瘤中PAI-2发挥了重要的抑制作用;在肺巨细胞癌移植瘤中,uPAR的表达占主导地位,根据uPA系统的分子作用机理[3],uPAR水平的升高为uPA促侵袭作用的发挥提供了重要的中介作用,这也可能是肺巨细胞癌移植瘤比其它3种移植瘤表现出更强的体内侵袭及转移能力的原因之一。
, 百拇医药
综合以上分析,uPA系统是一个包含多因子的作用系统,各因子之间以多种二联及三联复合物形式存在,各复合物之间形成复杂的作用网络,共同影响肿瘤的侵袭和转移。值得注意的是,或许在肺巨细胞癌的侵袭转移过程中,uPA系统的作用并非关键因素,国内也有学者认为[10]uPA与PLA-801的某些子株的侵袭性无显著相关;在某些肺巨细胞癌的浸润转移过程中,其他基质水解酶类或粘附分子可能发挥更重要的作用,这些机制有待进一步深入全面的研究。
基金项目:本课题由国家自然科学基金(编号39570294)资助
通讯作者:彭挺生:Tel:86-20-87330743,86-20-87331784
参考文献:
[1]Liotta LA, Steeg PS, Stetler-Stevenson WG. Cancer metastasis and angiogenesis: an imbalance of positive and negative regulation [J]. Cell, 1991, 64(2): 327~ 336.
, 百拇医药
[2]Behrendt N, Ploug M, Patthy L, et al. The ligand-binding domain of the cell surface receptor for urokinase-type plasminogen activator [J]. J Biol Chem, 1991, 266(12): 7842~ 7847.
[3]Andreasen PA, Sottrup Sottrup-Jensen L, Kjoller L, et al. Receptor mediated endocytosis of plasminogen activator and activator/inhibitor complexes [J]. FEBS Lett, 1994, 338(3): 239~ 245.
[4]陈乐真,黄靖香,游联璧,等.人肺巨细胞癌系(PLA801)的建立和生物学特性[J].中华肿瘤杂志,1983,5(6):409~412.
, http://www.100md.com
[5]Pyke C, Ralfkiaer E, Ronne E, et al. Immunohistochemical detection of the receptor for urokinase plasminogen activator in human colon cancer [J]. Histopathology, 1994, 24(2): 131~ 138.
[6]Liu G, Shuman MA,Cohen RL. Co-expression of urokinase,urokinase receptor and PAI-1 is necessary for optimum invasiveness of cultured lung cancer cells [J]. Int J Cancer, 1995, 60: 501~ 506.
[7]Tsuboi R, Rifkin DB. Bimodal relationship between invasion of the amniotic membrane and plasminogen activator activity [J]. Int J Cancer, 1990, 46: 56~ 60.
, 百拇医药
[8]Bouchet C, Spyrators F, Martin PM, et al. Prognostic value of urokinase-type activator(uPA) and plasminogen activator inhibitors PAI-1 and PAI-2 in breast carcinoma [J]. Br J Cancer, 1994, 69(2): 398~ 405.
[9]Duggan C,Kennedy S, Kramer MD,et al. Plasminogen activator inhibitor type 2 in breast cancer [J]. Br J Cancer, 1997, 76(5): 622~ 627.
[10]魏泓,吴丰春,周建华,等.nm23/NDPK基因、整和蛋白、IV型胶原酶及尿激酶表达与鼠肺癌转移的关系[J].中华医学杂志,1997,77(8):597~601.
收稿日期:1999-08-25
修稿日期:1999-10-11, 百拇医药
单位:彭挺生(中山医科大学病理学教研室,广东广州510089);赵国华(中山医科大学病理学教研室,广东广州510089);吴惠茜(中山医科大学病理学教研室,广东广州510089);赵国强(中山医科大学病理学教研室,广东广州510089);周慕珩(中山医科大学病理学教研室,广东广州510089)
关键词:尿激酶;癌;非小细胞性;裸鼠;侵袭和转移
癌症000304
摘 要:目的:研究uPA系统4种主要成分(uPA、PAI-1、PAI-2、uPAR)在肺癌细胞裸鼠移植瘤侵袭转移过程中的作用。方法:将4株肺癌细胞(1株肺巨细胞癌、2株肺腺癌、1株肺鳞癌)接种入裸鼠体内,建立体内侵袭转移模型;应用免疫组化、蛋白免疫印迹(WesternBlot)等方法检测移植瘤组织中uPA系统各因子的表达。结果:肺巨细胞癌细胞所形成移植瘤的侵袭转移能力最强;免疫组化和蛋白免疫印迹(WesternBlot)均表明uPA系统各因子在4株移植瘤肿瘤细胞的胞浆及胞膜均有相当的表达,在肺巨细胞癌细胞所形成移植瘤中4种因子的表达水平相对较低,而在两株腺癌移植瘤中相对较高。结论:uPA系统内4种因子在移植瘤中以多种复合物及单体的形式存在;这些因子的表达水平不能确切反映各移植瘤在裸鼠体内侵袭转移能力的差异。
, 百拇医药
分类号:R734.2 文献标识码:A
文章编号:1000-467X(2000)03-0208-04
Expression and significance of urokinase-type plasminogen
activator (uPA) system in the implanted tumors in nude mice
PENG Ting-sheng ZHAO Guo-hua WU Hui-xi et al.
(Department of Pathology,Sun Yat sen University of Medical Science,Guangzhou 510089,P.R.China)
, 百拇医药
Abstract:Objective:To study the role of four major components of urokinase-type plasminogen activator (uPA) system during the course of invasion and metastasis of the implanted tumors in nude mice. Methods: Four non-small cell lung cancer cell lines (including 1 giant cell carcinoma, 2 adenocarcinomas and 1 squamous cell carcinoma) were implanted into the nude mice, respectively to establish the model of invasion and metastasis in vivo. Immunohistochemistry and Western Blot were used to detect the four components of uPA system. Results: The giant cell lung cancer showed highest ability of invasion and metastasis among the four xenograft models . All the four components of uPA system were detected in the all implanted tumors. The expression level of uPA system in the two adenocarcinoma xenografts was higher than that in the others. Conclusions: Some components of the uPA system exist in forms of monomer,diamer or trimer in the implanted tumors. The relative expression of the components of uPA system couldn't exactly reflect the difference of invasive ability among the four non-small cell lumg cancer in nude mice xenograft models.
, http://www.100md.com
Key Words:Urokinase;Non-small cell lung cancer; Nude Mice; Invasion and Metastasis▲
肿瘤细胞的生长及其对周围组织的侵袭是一个复杂的过程,与细胞的生物学特性和细胞与周围基质的相互作用有关。纤溶酶原激活系统包括纤溶酶原激活剂(plasminogen activator,PA)及其特异性受体和抑制剂。PA是一种特殊的丝氨酸蛋白酶,能催化无活性血纤溶酶原转化为纤溶酶。尿激酶型纤溶酶原激活剂(urokinase-typePA,uPA)由肿瘤细胞或上皮细胞产生,uPA所产生的纤溶酶主要参与对细胞外基质蛋白(Extracellular matrix,ECM)的降解,促进肿瘤细胞的侵袭和转移[1]。uPA的特异性受体(uPA receptor,uPAR)是细胞膜上高度糖基化的50~60KD的单链糖蛋白,从N-端开始依次为1,2,3区[2];纤溶酶原激活抑制剂(PA inhibitors,PAIs)主要分为两大类,能特异地抑制uPA的活性,包括血管内皮型(PAI-1)和胎盘型(PAI-2)[3]。
, 百拇医药
本研究对4株肺癌细胞及其在裸鼠体内形成的移植瘤进行蛋白水平的检测,初步探讨uPA系统在裸鼠体内的表达及意义。
1 材料与方法
1.1 细胞来源
肺巨细胞癌细胞系(PLA-801)由中国人民解放军总医院建立,肺腺癌细胞系(GLC-82)由昆明医学院第一附属医院建立,肺腺癌细胞系(SPC-A-1)由上海市胸科医院及中科院上海细胞所建立,肺鳞癌细胞系(LTEP-78)由北京肺部肿瘤研究所建立。以上细胞株均在标准条件下常规体外培养。
1.2 动物实验
BALB/C裸鼠,由中山医科大学实验动物中心提供,鼠龄4~8周,雌雄兼用,雌性为主。随机分成4组,每组10只。实验和饲养均在SPF条件下的超净层流架中进行,灭菌处理的水和饲料供动物自由摄入。将4种细胞系传代扩大培养至所需数量后,制成浓度为2×1010个/L的无血清细胞悬液。每只裸鼠足垫皮下注射0.1mL,即每只动物接种量为2×106个。
, 百拇医药
处死动物时,取肿瘤组织的大部分(去除周围皮肤、软组织及坏死组织),迅速投入液氮中1~2min,待组织变硬后取出,快速置-80℃冻存备用。另一部分(含肿瘤及其周围正常组织)以及裸鼠的肺、肝、脾、肾与各部位淋巴结(包括同侧及对侧腹股沟淋巴结、腋窝淋巴结和肾门淋巴结),中性福马林固定4h,常规脱水、浸蜡、包埋、切片,HE染色观察。
1.3 免疫组化
常规LSAB免疫组化法对移植瘤组织切片进行染色,一抗购自American Diagnostic Inc.,其工作浓度为:uPA1∶1000,PAI-1 1∶50,PAI-2 1∶50,uPAR 1∶50。
1.4 蛋白免疫印迹(WesternBlot)
分别取4种冻存肿瘤组织约100mg,预冷PBS漂洗2次,加入300μL预冷细胞裂解液,充分研磨,制成移植瘤组织全蛋白抽提液。考马斯亮蓝G-250染色法测定蛋白浓度,应用标准曲线法计算样本中全蛋白的浓度,重复3次,取其均值;同时将含有等量总蛋白的4份样本稀释至相同的体积,加入等量加样缓冲液,SDS-聚丙烯酰胺凝胶电泳分离蛋白条带(分离胶为5%~20%的线性梯度胶,积层胶浓度为4%),电泳结束后应用半干转移仪将蛋白从凝胶转移至尼龙膜上,该膜用LSAB法染色,一抗工作浓度为uPA1∶5000,PAI-1 1∶100,PAI-2 1∶100,uPAR 1∶500,相同实验步骤重复3次。图像分析仪(Kontron IBASS2.0)处理分析结果。
, http://www.100md.com
2 结果
2.1 4株肺癌细胞裸鼠体内生长特性
4种肺癌细胞株在裸鼠体内全部成瘤,4种移植瘤均呈指数方式生长,生长曲线见图1。肺巨细胞癌株PLA-801所形成的移植瘤成瘤早,生长迅速,肿瘤中心较早出现出血坏死,裸鼠迅速出现消瘦等恶病质表现,接种21天后即有一只出现自然死亡,为避免标本损失,第22天统一处死该组动物;接种其他三种细胞的裸鼠成瘤较晚,肿瘤生长速度较慢,裸鼠恶病质不甚明显,接种后45天分别处死。
图1 4株人肺癌细胞株裸鼠体内移植瘤的生长曲线
2.2 4种裸鼠移植瘤的形态特点及浸润转移特性
光镜下见4种移植瘤组织形态特点相似,细胞异型性大,多核瘤巨细胞及病理性核分裂多见;肿瘤呈浸润性生长;接种肺巨细胞癌株PLA-801的10只裸鼠中有3只出现同侧腹股沟淋巴结及肾门淋巴结转移(见图2,淋巴结转移率3/10);接种其它的裸鼠均未见淋巴结转移(淋巴结转移率0/10),接种PLA801组与其他3组之间的淋巴结转移率有显著性差异(P<0.01).所有接种动物中未见有肺及其他脏器的转移.
, http://www.100md.com
图2肺巨细胞癌移植瘤的淋巴结内转移灶HE5×20
2.3 4种移植瘤中uPA系统各因子的免疫组化染色结果(定性)
uPA、PAI-1、PAI-2、uPAR在肿瘤细胞的胞浆及胞膜均有着色,阳性信号为棕黄色颗粒;uPA、PAI-1、uPAR在肿瘤细胞表面有大量分布,PAI-2多位于胞浆(见图3),与正常组织交界处阳性细胞较多。
图3肺巨细胞癌移植瘤中uPA(A)、PAI-1(B)、PAI-2(C)、uPAR(D)的免疫表达,LSAB5×40
2.4 4种移植瘤中uPA系统各因子的蛋白免疫印迹表达(定量)
分别检测uPA和PAI-1,4种组织中均表达约80KD和140KD的特异性条带;在PAI-2的检测中,4种组织表达约80KD和47KD的特异性条带;检测uPAR,4种组织主要表达约50~60KD的特异性条带(见图4)。根据uPA系统各因子分子量的大小,认为4种肿瘤中均出现的约80KD的条带是uPA/PAI-1、uPA/PAI-2二联复合物;约140KD的特异性条带是uPA/PAI-1/uPAR三联复合物;约47KD的条带代表PAI-2单体;检测uPAR时出现的50~60KD的条带则代表单体形式的uPAR,蛋白表达的相对含量=条带面积×(条带灰度-背景灰度),各种单体及复合物的相对含量如图5所示。
, http://www.100md.com
图44种移植瘤抽提蛋白中uPA系统
各种蛋白的免疫表达Western Blot
Lane1.PLA-801 Lane2.SPC-A-1 Lane3.GLC-82 Lane4.L-78
图5 4种移植瘤抽提蛋白中uPA系统
各种复合物及单体的相对含量
3 讨论
本实验构建了人肺癌细胞株在裸鼠体内的移植瘤模型,并同时检测该模型内uPA系统4种主要成分的表达,对uPA系统在侵袭和转移过程中的作用作了初步的探讨。动物实验表明肺巨细胞癌株PLA-801所形成的移植瘤在裸鼠体内侵袭转移能力显著高于其他细胞株所形成的移植瘤;免疫组化与蛋白免疫印迹结果提示肿瘤细胞能分泌uPA,后者能与瘤细胞胞膜上的uPAR相结合,并与PAIs形成多种复合物,瘤组织的侵袭边缘阳性细胞数较多,提示uPA系统的确促进正常基质的降解,介导肿瘤细胞的侵袭作用,与文献报道相一致[4,5]。
, http://www.100md.com
按照传统的观点,肺巨细胞癌细胞恶性度高,在裸鼠体内的侵袭转移能力明显强于其它3种细胞,其uPA系统的表达水平应高于其它3种细胞,但本研究中uPA系统各种因子在此种移植瘤中的表达水平均低于其他3种移植瘤,反之,侵袭能力并不强的两种腺癌移植瘤中uPA系统各种因子的表达水平明显升高。其原因何在呢?首先,虽然目前多数学者认为uPA水平的升高促进癌细胞的迁移和侵袭,但有作者[6]发现在某些侵袭性强的肺巨细胞癌细胞中,uPA反而低表达。Tsuboi等[7]也曾证明,在一定的浓度范围内,uPA的促侵袭能力随浓度的升高而增强,但uPA的过表达导致大量纤溶酶的产生,引起基质过分降解,从而在侵袭早期即阻断了细胞与ECM或基底膜的接触,反而降低侵袭程度。因而,我们认为可能因为腺癌细胞中uPA的表达水平已超过其发挥促侵袭作用的阈值,反而抑制瘤细胞对周围正常组织的侵袭,导致瘤组织侵袭能力降低;另一方面,众所周知,uPA、PAI-1、uPAR均促进肿瘤细胞对周围基质的侵袭,而PAI-2起重要的抑制作用[8,9]。当分别分析某一移植瘤中uPA系统各因子的表达时,发现腺癌和鳞癌移植瘤中PAI-2的相对含量较高,可能在这两种移植瘤中PAI-2发挥了重要的抑制作用;在肺巨细胞癌移植瘤中,uPAR的表达占主导地位,根据uPA系统的分子作用机理[3],uPAR水平的升高为uPA促侵袭作用的发挥提供了重要的中介作用,这也可能是肺巨细胞癌移植瘤比其它3种移植瘤表现出更强的体内侵袭及转移能力的原因之一。
, 百拇医药
综合以上分析,uPA系统是一个包含多因子的作用系统,各因子之间以多种二联及三联复合物形式存在,各复合物之间形成复杂的作用网络,共同影响肿瘤的侵袭和转移。值得注意的是,或许在肺巨细胞癌的侵袭转移过程中,uPA系统的作用并非关键因素,国内也有学者认为[10]uPA与PLA-801的某些子株的侵袭性无显著相关;在某些肺巨细胞癌的浸润转移过程中,其他基质水解酶类或粘附分子可能发挥更重要的作用,这些机制有待进一步深入全面的研究。
基金项目:本课题由国家自然科学基金(编号39570294)资助
通讯作者:彭挺生:Tel:86-20-87330743,86-20-87331784
参考文献:
[1]Liotta LA, Steeg PS, Stetler-Stevenson WG. Cancer metastasis and angiogenesis: an imbalance of positive and negative regulation [J]. Cell, 1991, 64(2): 327~ 336.
, 百拇医药
[2]Behrendt N, Ploug M, Patthy L, et al. The ligand-binding domain of the cell surface receptor for urokinase-type plasminogen activator [J]. J Biol Chem, 1991, 266(12): 7842~ 7847.
[3]Andreasen PA, Sottrup Sottrup-Jensen L, Kjoller L, et al. Receptor mediated endocytosis of plasminogen activator and activator/inhibitor complexes [J]. FEBS Lett, 1994, 338(3): 239~ 245.
[4]陈乐真,黄靖香,游联璧,等.人肺巨细胞癌系(PLA801)的建立和生物学特性[J].中华肿瘤杂志,1983,5(6):409~412.
, http://www.100md.com
[5]Pyke C, Ralfkiaer E, Ronne E, et al. Immunohistochemical detection of the receptor for urokinase plasminogen activator in human colon cancer [J]. Histopathology, 1994, 24(2): 131~ 138.
[6]Liu G, Shuman MA,Cohen RL. Co-expression of urokinase,urokinase receptor and PAI-1 is necessary for optimum invasiveness of cultured lung cancer cells [J]. Int J Cancer, 1995, 60: 501~ 506.
[7]Tsuboi R, Rifkin DB. Bimodal relationship between invasion of the amniotic membrane and plasminogen activator activity [J]. Int J Cancer, 1990, 46: 56~ 60.
, 百拇医药
[8]Bouchet C, Spyrators F, Martin PM, et al. Prognostic value of urokinase-type activator(uPA) and plasminogen activator inhibitors PAI-1 and PAI-2 in breast carcinoma [J]. Br J Cancer, 1994, 69(2): 398~ 405.
[9]Duggan C,Kennedy S, Kramer MD,et al. Plasminogen activator inhibitor type 2 in breast cancer [J]. Br J Cancer, 1997, 76(5): 622~ 627.
[10]魏泓,吴丰春,周建华,等.nm23/NDPK基因、整和蛋白、IV型胶原酶及尿激酶表达与鼠肺癌转移的关系[J].中华医学杂志,1997,77(8):597~601.
收稿日期:1999-08-25
修稿日期:1999-10-11, 百拇医药