多孔β-TCP/BMP复合人工骨引导牙周组织再生的实验研究
作者:贾晓真 樊明文 任铁冠 李成章
单位:贾晓真(湖北医科大学口腔医学院牙周科 武汉,430079);樊明文(湖北医科大学口腔医学院牙周科 武汉,430079);任铁冠(湖北医科大学口腔医学院牙周科 武汉,430079);李成章(湖北医科大学口腔医学院牙周科 武汉,430079)
关键词:引导组织再生;骨形成蛋白;β磷酸三钙
中华口腔医学杂志000312 【摘要】目的 将骨形成蛋白(bone morphogenetic protein,BMP)和多孔β磷酸三钙(β-tricalcium phosphate,β-TCP)复合人工骨联合应用于引导组织再生(guided tissue regeneration,GTR)技术中,评价其对Ⅱ度根分叉病变牙周组织再生修复的影响和意义。方法 用健康成年杂种狗4只,制备下颌后牙区人工骨缺损。实验牙位随机分为3组:①骨形成蛋白/引导组织再生(BMP/GTR)组:缺损处植入引导膜材料和复合人工骨;②GTR组:单纯放置引导膜材料;③以常规翻瓣术为对照组。术后12周取材做组织学观察和评价。结果 两实验组均有明显新附着形成,其中BMP/GTR组有大量新生牙槽骨、牙骨质、牙周韧带生长。对照组新生组织量很少。结论 β-TCP/BMP是一种具有较强骨诱导能力,生物相容性较好的复合人工骨,在引导牙周组织再生术中有良好的应用前景。
, http://www.100md.com
Periodontal regeneration by application of the porous β-TCP/BMP artificial bone to class II furcation defects
JIA Xiaozhen,FAN Mingwen,REN Tieguan,et al.
(Department of Periodontology,School of Stomatology,Hubei Medical University,Wuhan 430079,China)
【Abstract】Objective To study the regeneration of periodontal tissue after the application of β-TCP/BMP artificial bone to class Ⅱ furcation defects.Methods Periodontal defects were produced surgically around premolar teeth in 4 dogs.The flap surgery was performed and the root surfaces were curetted to remove the periodontal ligament and the cementum.A synthetic bioabsorble barrier manufactured from poly DL-lactide was used.The defects were divided into 3 groups (β- TCP/BMP+PDLLA、PDLLA、control).12 weeks after surgery,the animals were sacrificed and the teeth with their supporting periodontium were processed for light microscopic evaluation.Results The definitive evidences of regeneration were founded both in BMP/GTR group and GTR group,but the BMP/GTR group exhibited more new bone formation,cementum deposition occupying the majority of the furcation defects than the other two groups.Conclusion It was concluded that the β-TCP/BMP artificial bone can be used in GTR technique to promote periodontal regeneration.
, 百拇医药
【Key words】Guided tissue regeneration;Bone morphogenetic protein;β-Tricalcium phosphate
牙周病的治疗目的是重建因病变而破坏的牙齿支持组织。引导组织再生(guided tissue regeneration,GTR)技术通过在牙根面和牙龈结缔组织间放置生物膜,促进剩余牙周韧带和骨的细胞优先占据根面,以形成新的牙骨质、牙周韧带和牙槽骨,重建结缔组织和结合上皮对根面的新附着关系。牙槽骨的再生修复是众多学者关注的焦点,也是评价GTR术后远期疗效的一个重要指标。骨形成蛋白是一种重要的诱骨分化因子,能诱导未分化间充质细胞不可逆地分化为软骨和骨细胞,从而导致新骨形成。β磷酸三钙(β-tricalcium phosphate,β-TCP)具有良好的生物相容性和骨引导活性,将两者复合后使骨缺损修复材料拥有骨引导和骨诱导的双重特性,有可能进一步提高牙周新附着的形成。
材料与方法
, http://www.100md.com
一、多孔β-TCP/BMP复合人工骨的制备
多孔β-TCP材料和聚DL-乳酸膜由武汉工业大学生物材料研究所提供。骨形成蛋白(bone morphogenetic protein,BMP)由第四军医大学西京医院提供。β-TCP为白色多孔海绵块状结构,平均孔径380 μm(240~500 μm),其内部有大量分布均匀的连通孔道,气孔率46.4%,抗压强度97.4 kg/cm2。将块状多孔β-TCP材料制成直径约2~3 mm的颗粒状材料。取60 mg BMP溶于适量4 mol/L CuHCl/0.05 mol/L CaCl2复合液中,4℃ 12 h。放入TCP颗粒,抽真空,蒸馏水透析48 h,冻干,置-30℃保存备用。BMP与β-TCP的比例为1∶10(w∶w)。
二、方法
将4只健康成年狗的18颗下颌后牙随机分为3组:BMP/GTR组、GTR组和对照组。动物麻醉、消毒后常规翻瓣,充分暴露颊侧骨壁,用裂钻、骨凿去除根分叉处部分牙槽骨。骨缺损范围包括:冠根向高度约4 mm,宽度至近远中相邻牙间牙槽嵴1/3处,根分叉水平深度约3 mm,刮净根面牙周韧带及牙骨质。最后用圆钻在骨缺损底部相对应的近远中根面上制备切迹(notch),作为组织测量的基线。搔刮骨面,使缺损区充满新鲜血液,放置适量复合人工骨于根分叉处(每个缺损约10 mg BMP)。将膜材料修剪成合适的形状,上端略低于龈缘,边缘覆盖超出骨缺损四周1~2 mm。用5-0可吸收缝线固定,龈瓣复位缝合。GTR组仅放置聚乳酸膜,对照组单纯手术缝合。术后12周处死动物,4%多聚甲醛颈动脉灌注固定,30%复合甲酸脱钙,常规脱水、浸蜡、包埋、切片。切片方向为近远中向。常规HE、Van Gieson染色,光镜下作组织学观察和测量。
, 百拇医药
三、组织学观察指标
放大100倍用目镜测微尺标定物镜,进行组织学测量。分别测量近远中根牙周新附着的高度,以其平均数作为测量结果。①骨缺损高度(defect height,DH):根分叉顶至根方切迹底间距离;②新生牙槽骨高度(new bone formation,NB):切迹底至新生牙槽骨冠方顶间距离;③新生牙骨质高度(new cementum formation,NC):牙根切迹底至新生牙骨质冠方顶间距离;④新生结缔组织附着(new connective tissue,CT):根方切迹底至根分叉顶新生结缔组织附着高度。
结果
1.肉眼观察:手术后3周创口愈合良好,牙周组织无明显炎症表现。两实验组牙龈附着愈合良好,根分叉无暴露。软组织色、形、质正常,对照组部分牙齿牙龈退缩,根分叉暴露。
2.组织学观察及测量结果(表1):3组均有不同程度的牙周新附着形成。BMP/GTR组和GTR组较对照组有更多的新生牙槽骨、牙骨质样组织和牙周韧带生长,其中BMP/GTR组再生最为完全,有些牙位新生牙槽骨几乎充满根分叉区,其形态不规则,骨髓腔较大。新沉积的细胞性牙骨质从切迹底向冠方延伸,与牙本质有一条深染的分界线,覆盖根分叉的大部分区域。新生牙周纤维呈束状,一端埋入牙骨质样组织,一端埋入新生牙槽骨,方向与根面垂直或接近垂直,类似Sharpey's纤维。GTR组新生牙槽骨较纤细,未充满根分叉区,根分叉顶端胶原纤维大部分与牙面平行,新生牙骨质不完全。对照组新附着的量很少,主要位于切迹内,结合上皮从根分叉顶向切迹处延伸,胶原纤维细小、疏松、排列不规则。见图1~4。
, 百拇医药
表1 各项组织学测量结果比较(mm,
±s) 测量项目
对照组
GTR组
BMP/GTR组
DH
4.19±0.22
4.17±0.24
4.22±0.31
NB
1.13±0.11
, http://www.100md.com
2.64±0.15*
3.54±0.24*
NC
1.01±0.12
2.24±0.20*
2.93±0.38*
CT
0.95±0.11
2.55±0.13*
3.18±0.20*
, http://www.100md.com
注:n=6;*:BMP/GTR组与GTR组经统计学分析P<0.05;NB:新生牙槽骨高度,NC:新生牙骨质高度,CT:新生结缔组织附着,DH:骨缺损高度讨论
骨诱导的概念是本世纪60年代提出的[1],80年代末已有BMP用于临床的报道。BMP能诱导未分化间充质细胞,使之分化为软骨和骨细胞,从而导致新骨形成,为目前最引人注目的骨移植替代材料之一[2,3]。本实验将β-TCP/BMP复合,评价其在引导牙周组织再生过程中的安全性和有效性。
BMP单独使用半衰期很短,在体内扩散很快,易被蛋白酶分解,因而不能在有效的时间内作用于更多的靶细胞,其活性难以得到充分发挥。本实验选用多孔β-TCP作为BMP的载体。它的生物相容性好,结构类似松质骨,在根分叉处能提供新骨形成的支架,利于新骨长入,并能在体内逐渐降解吸收。其降解速度与材料的制备方法、材料的孔径、孔隙率有关。但β-TCP缺乏骨诱导活性,植入缺损区只能依靠骨床的骨组织长入来完成骨修复。我们将两者复合,以弥补各自的不足,形成一种具有骨诱导和骨引导双重特性的复合人工骨。国外研究显示,骨缺损区如不放置或仅放置骨引导材料,骨修复仅从缺损处边缘开始,且成骨量有限[4]。本研究结果显示,BMP复合人工骨组牙龈组织愈合良好,新生牙槽骨量多,均匀分布于根分叉区,与GTR组相比差异有显著性。骨小梁间可见成骨细胞样细胞及血管分布,说明新骨形成活跃,且骨缺损修复同时发生于缺损的中部和边缘,而GTR组新生骨主要位于近远中根旁。
, http://www.100md.com
BMP在牙周组织再生中的机理仍不十分清楚,可能通过以下几种途径发挥其诱导再生的能力:①BMP能刺激多能前体干细胞(pluripotent progenitor cells)的生长和分化,使间充质细胞分化为牙骨质细胞、牙周韧带细胞和成骨细胞;②促进来自剩余组织已经分化的细胞(如牙槽骨、牙周韧带细胞)沿根面迁移和生长;③BMP一旦启动修复机制,其他组织特异性细胞因子和生长因子将进一步支持间充质细胞分化[5-9]。
目前GTR技术中有两个概念非常重要,一是隔离,即膜材料起一种物理屏障的作用。二是完整性,又称“一步法”(single step method)[10],即在GTR技术中使用可吸收性膜材料,避免了不可吸收性膜材料需2次手术的缺点,保证牙周组织的再生过程不被打扰。本实验所用聚D-L乳酸膜生物相容性好,为一种可降解材料,在体内以水解方式降解,膜在体内维持时间约4周,完全降解需3~4个月,能满足GTR技术的基本要求[11]。该膜制作过程简单,便于推广应用,但降解时间较长。今后可根据其分子量、膜的组成、表面形态及厚薄等,调节其降解时间[12],更好地满足GTR技术要求。
, http://www.100md.com
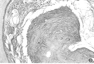
图1 BMP/GTR组:根分叉区牙周新附着形成较为完全,可见NB:新生牙槽骨;NC:新生牙骨质;CT:新生结缔组织附着;M:近中 (HE ×40)
图2 BMP/GTR组:根方切迹处牙周组织再生完全,N:切迹;D:牙本质 (HE ×40)
图3 BMP/GTR组:切迹处牙周组织新附着 (Van Gieson ×200)
图4 GTR组:根分叉区牙周组织再生不完全 (HE ×40)
参考文献
, http://www.100md.com
1,Urist MR.Bone: formation by autoinduction.Science,1965,150:893-899.
2,邹敬才,肖光裕,唐文杰,等.牛骨形成蛋白微孔钛种植体与骨界面的扫描电镜观察.口腔医学纵横,1993,4:209-211.
3,Toriumi DM,Kotler HS,Luxenberg DP,et al.Mandibular reconstruction with a recombinant bone-inducing factor.Functional,histologic,and biomechanical evaluation.Arch Otolaryngol Head Neck Surg,1991,117:1101-1112.
4,King GN,King N,Hughes FJ.Effect of two delivery systems for recombinant human bone morphogenetic protein-2 on periodontal regeneration in vivo.J Periodontal Res,1998,33:226-236.
, 百拇医药
5,Wang EA,Rosen V,D'Alessandro JS,et al.Recombinant human bone morphogenetic protein induces bone formation.Proc Natl Acad Sci (USA),1990,87:2220-2224.
6,Sigurdsson TJ,Lee MB,Kubota K,et al.Periodontal repair in dogs: recombinant human bone morphogenetic protein-2 significantly enhances periodontal regeneration.J Periodontol,1995,66:131-138.
7,Tenorio D,Cruchley A,Hughes FJ.Immunocytochemical investigation of the rat cementoblast phenotype.J Periodontal Res,1993,28:411-419.
, 百拇医药
8,Narayanan SA,Yonemura K.Purification and characterization of a novel growth factor from cementum.J Periodontal Res,1993,28:563-565.
9,Kinoshita A,Oda S,Takahashi K,et al.Periodontal regeneration by application of recombinant human bone morphogenetic protein-2 to horizontal circumferential defects created by experimental periodontitis in beagle dogs.J Periodontol,1997,68:103-109.
10,Magnusson I, Batich C,Collins BR.New attachment formation following controlled tissue regeneration using biodegradable membranes.J Periodontol,1988,59:1-6.
11,Wang HL,MacNeil RL.Guided tissue regeneration.Absorbable barriers.Dent Clin North Am,1998,42:505-522.
12,Minabe M.A critical review of the biologic rationale for guided tissue regeneration.J Periodontol,1991,62:171-179.
(收稿日期:1999-03-16), http://www.100md.com
单位:贾晓真(湖北医科大学口腔医学院牙周科 武汉,430079);樊明文(湖北医科大学口腔医学院牙周科 武汉,430079);任铁冠(湖北医科大学口腔医学院牙周科 武汉,430079);李成章(湖北医科大学口腔医学院牙周科 武汉,430079)
关键词:引导组织再生;骨形成蛋白;β磷酸三钙
中华口腔医学杂志000312 【摘要】目的 将骨形成蛋白(bone morphogenetic protein,BMP)和多孔β磷酸三钙(β-tricalcium phosphate,β-TCP)复合人工骨联合应用于引导组织再生(guided tissue regeneration,GTR)技术中,评价其对Ⅱ度根分叉病变牙周组织再生修复的影响和意义。方法 用健康成年杂种狗4只,制备下颌后牙区人工骨缺损。实验牙位随机分为3组:①骨形成蛋白/引导组织再生(BMP/GTR)组:缺损处植入引导膜材料和复合人工骨;②GTR组:单纯放置引导膜材料;③以常规翻瓣术为对照组。术后12周取材做组织学观察和评价。结果 两实验组均有明显新附着形成,其中BMP/GTR组有大量新生牙槽骨、牙骨质、牙周韧带生长。对照组新生组织量很少。结论 β-TCP/BMP是一种具有较强骨诱导能力,生物相容性较好的复合人工骨,在引导牙周组织再生术中有良好的应用前景。
, http://www.100md.com
Periodontal regeneration by application of the porous β-TCP/BMP artificial bone to class II furcation defects
JIA Xiaozhen,FAN Mingwen,REN Tieguan,et al.
(Department of Periodontology,School of Stomatology,Hubei Medical University,Wuhan 430079,China)
【Abstract】Objective To study the regeneration of periodontal tissue after the application of β-TCP/BMP artificial bone to class Ⅱ furcation defects.Methods Periodontal defects were produced surgically around premolar teeth in 4 dogs.The flap surgery was performed and the root surfaces were curetted to remove the periodontal ligament and the cementum.A synthetic bioabsorble barrier manufactured from poly DL-lactide was used.The defects were divided into 3 groups (β- TCP/BMP+PDLLA、PDLLA、control).12 weeks after surgery,the animals were sacrificed and the teeth with their supporting periodontium were processed for light microscopic evaluation.Results The definitive evidences of regeneration were founded both in BMP/GTR group and GTR group,but the BMP/GTR group exhibited more new bone formation,cementum deposition occupying the majority of the furcation defects than the other two groups.Conclusion It was concluded that the β-TCP/BMP artificial bone can be used in GTR technique to promote periodontal regeneration.
, 百拇医药
【Key words】Guided tissue regeneration;Bone morphogenetic protein;β-Tricalcium phosphate
牙周病的治疗目的是重建因病变而破坏的牙齿支持组织。引导组织再生(guided tissue regeneration,GTR)技术通过在牙根面和牙龈结缔组织间放置生物膜,促进剩余牙周韧带和骨的细胞优先占据根面,以形成新的牙骨质、牙周韧带和牙槽骨,重建结缔组织和结合上皮对根面的新附着关系。牙槽骨的再生修复是众多学者关注的焦点,也是评价GTR术后远期疗效的一个重要指标。骨形成蛋白是一种重要的诱骨分化因子,能诱导未分化间充质细胞不可逆地分化为软骨和骨细胞,从而导致新骨形成。β磷酸三钙(β-tricalcium phosphate,β-TCP)具有良好的生物相容性和骨引导活性,将两者复合后使骨缺损修复材料拥有骨引导和骨诱导的双重特性,有可能进一步提高牙周新附着的形成。
材料与方法
, http://www.100md.com
一、多孔β-TCP/BMP复合人工骨的制备
多孔β-TCP材料和聚DL-乳酸膜由武汉工业大学生物材料研究所提供。骨形成蛋白(bone morphogenetic protein,BMP)由第四军医大学西京医院提供。β-TCP为白色多孔海绵块状结构,平均孔径380 μm(240~500 μm),其内部有大量分布均匀的连通孔道,气孔率46.4%,抗压强度97.4 kg/cm2。将块状多孔β-TCP材料制成直径约2~3 mm的颗粒状材料。取60 mg BMP溶于适量4 mol/L CuHCl/0.05 mol/L CaCl2复合液中,4℃ 12 h。放入TCP颗粒,抽真空,蒸馏水透析48 h,冻干,置-30℃保存备用。BMP与β-TCP的比例为1∶10(w∶w)。
二、方法
将4只健康成年狗的18颗下颌后牙随机分为3组:BMP/GTR组、GTR组和对照组。动物麻醉、消毒后常规翻瓣,充分暴露颊侧骨壁,用裂钻、骨凿去除根分叉处部分牙槽骨。骨缺损范围包括:冠根向高度约4 mm,宽度至近远中相邻牙间牙槽嵴1/3处,根分叉水平深度约3 mm,刮净根面牙周韧带及牙骨质。最后用圆钻在骨缺损底部相对应的近远中根面上制备切迹(notch),作为组织测量的基线。搔刮骨面,使缺损区充满新鲜血液,放置适量复合人工骨于根分叉处(每个缺损约10 mg BMP)。将膜材料修剪成合适的形状,上端略低于龈缘,边缘覆盖超出骨缺损四周1~2 mm。用5-0可吸收缝线固定,龈瓣复位缝合。GTR组仅放置聚乳酸膜,对照组单纯手术缝合。术后12周处死动物,4%多聚甲醛颈动脉灌注固定,30%复合甲酸脱钙,常规脱水、浸蜡、包埋、切片。切片方向为近远中向。常规HE、Van Gieson染色,光镜下作组织学观察和测量。
, 百拇医药
三、组织学观察指标
放大100倍用目镜测微尺标定物镜,进行组织学测量。分别测量近远中根牙周新附着的高度,以其平均数作为测量结果。①骨缺损高度(defect height,DH):根分叉顶至根方切迹底间距离;②新生牙槽骨高度(new bone formation,NB):切迹底至新生牙槽骨冠方顶间距离;③新生牙骨质高度(new cementum formation,NC):牙根切迹底至新生牙骨质冠方顶间距离;④新生结缔组织附着(new connective tissue,CT):根方切迹底至根分叉顶新生结缔组织附着高度。
结果
1.肉眼观察:手术后3周创口愈合良好,牙周组织无明显炎症表现。两实验组牙龈附着愈合良好,根分叉无暴露。软组织色、形、质正常,对照组部分牙齿牙龈退缩,根分叉暴露。
2.组织学观察及测量结果(表1):3组均有不同程度的牙周新附着形成。BMP/GTR组和GTR组较对照组有更多的新生牙槽骨、牙骨质样组织和牙周韧带生长,其中BMP/GTR组再生最为完全,有些牙位新生牙槽骨几乎充满根分叉区,其形态不规则,骨髓腔较大。新沉积的细胞性牙骨质从切迹底向冠方延伸,与牙本质有一条深染的分界线,覆盖根分叉的大部分区域。新生牙周纤维呈束状,一端埋入牙骨质样组织,一端埋入新生牙槽骨,方向与根面垂直或接近垂直,类似Sharpey's纤维。GTR组新生牙槽骨较纤细,未充满根分叉区,根分叉顶端胶原纤维大部分与牙面平行,新生牙骨质不完全。对照组新附着的量很少,主要位于切迹内,结合上皮从根分叉顶向切迹处延伸,胶原纤维细小、疏松、排列不规则。见图1~4。
, 百拇医药
表1 各项组织学测量结果比较(mm,
对照组
GTR组
BMP/GTR组
DH
4.19±0.22
4.17±0.24
4.22±0.31
NB
1.13±0.11
, http://www.100md.com
2.64±0.15*
3.54±0.24*
NC
1.01±0.12
2.24±0.20*
2.93±0.38*
CT
0.95±0.11
2.55±0.13*
3.18±0.20*
, http://www.100md.com
注:n=6;*:BMP/GTR组与GTR组经统计学分析P<0.05;NB:新生牙槽骨高度,NC:新生牙骨质高度,CT:新生结缔组织附着,DH:骨缺损高度讨论
骨诱导的概念是本世纪60年代提出的[1],80年代末已有BMP用于临床的报道。BMP能诱导未分化间充质细胞,使之分化为软骨和骨细胞,从而导致新骨形成,为目前最引人注目的骨移植替代材料之一[2,3]。本实验将β-TCP/BMP复合,评价其在引导牙周组织再生过程中的安全性和有效性。
BMP单独使用半衰期很短,在体内扩散很快,易被蛋白酶分解,因而不能在有效的时间内作用于更多的靶细胞,其活性难以得到充分发挥。本实验选用多孔β-TCP作为BMP的载体。它的生物相容性好,结构类似松质骨,在根分叉处能提供新骨形成的支架,利于新骨长入,并能在体内逐渐降解吸收。其降解速度与材料的制备方法、材料的孔径、孔隙率有关。但β-TCP缺乏骨诱导活性,植入缺损区只能依靠骨床的骨组织长入来完成骨修复。我们将两者复合,以弥补各自的不足,形成一种具有骨诱导和骨引导双重特性的复合人工骨。国外研究显示,骨缺损区如不放置或仅放置骨引导材料,骨修复仅从缺损处边缘开始,且成骨量有限[4]。本研究结果显示,BMP复合人工骨组牙龈组织愈合良好,新生牙槽骨量多,均匀分布于根分叉区,与GTR组相比差异有显著性。骨小梁间可见成骨细胞样细胞及血管分布,说明新骨形成活跃,且骨缺损修复同时发生于缺损的中部和边缘,而GTR组新生骨主要位于近远中根旁。
, http://www.100md.com
BMP在牙周组织再生中的机理仍不十分清楚,可能通过以下几种途径发挥其诱导再生的能力:①BMP能刺激多能前体干细胞(pluripotent progenitor cells)的生长和分化,使间充质细胞分化为牙骨质细胞、牙周韧带细胞和成骨细胞;②促进来自剩余组织已经分化的细胞(如牙槽骨、牙周韧带细胞)沿根面迁移和生长;③BMP一旦启动修复机制,其他组织特异性细胞因子和生长因子将进一步支持间充质细胞分化[5-9]。
目前GTR技术中有两个概念非常重要,一是隔离,即膜材料起一种物理屏障的作用。二是完整性,又称“一步法”(single step method)[10],即在GTR技术中使用可吸收性膜材料,避免了不可吸收性膜材料需2次手术的缺点,保证牙周组织的再生过程不被打扰。本实验所用聚D-L乳酸膜生物相容性好,为一种可降解材料,在体内以水解方式降解,膜在体内维持时间约4周,完全降解需3~4个月,能满足GTR技术的基本要求[11]。该膜制作过程简单,便于推广应用,但降解时间较长。今后可根据其分子量、膜的组成、表面形态及厚薄等,调节其降解时间[12],更好地满足GTR技术要求。
, http://www.100md.com
图1 BMP/GTR组:根分叉区牙周新附着形成较为完全,可见NB:新生牙槽骨;NC:新生牙骨质;CT:新生结缔组织附着;M:近中 (HE ×40)
图2 BMP/GTR组:根方切迹处牙周组织再生完全,N:切迹;D:牙本质 (HE ×40)
图3 BMP/GTR组:切迹处牙周组织新附着 (Van Gieson ×200)
图4 GTR组:根分叉区牙周组织再生不完全 (HE ×40)
参考文献
, http://www.100md.com
1,Urist MR.Bone: formation by autoinduction.Science,1965,150:893-899.
2,邹敬才,肖光裕,唐文杰,等.牛骨形成蛋白微孔钛种植体与骨界面的扫描电镜观察.口腔医学纵横,1993,4:209-211.
3,Toriumi DM,Kotler HS,Luxenberg DP,et al.Mandibular reconstruction with a recombinant bone-inducing factor.Functional,histologic,and biomechanical evaluation.Arch Otolaryngol Head Neck Surg,1991,117:1101-1112.
4,King GN,King N,Hughes FJ.Effect of two delivery systems for recombinant human bone morphogenetic protein-2 on periodontal regeneration in vivo.J Periodontal Res,1998,33:226-236.
, 百拇医药
5,Wang EA,Rosen V,D'Alessandro JS,et al.Recombinant human bone morphogenetic protein induces bone formation.Proc Natl Acad Sci (USA),1990,87:2220-2224.
6,Sigurdsson TJ,Lee MB,Kubota K,et al.Periodontal repair in dogs: recombinant human bone morphogenetic protein-2 significantly enhances periodontal regeneration.J Periodontol,1995,66:131-138.
7,Tenorio D,Cruchley A,Hughes FJ.Immunocytochemical investigation of the rat cementoblast phenotype.J Periodontal Res,1993,28:411-419.
, 百拇医药
8,Narayanan SA,Yonemura K.Purification and characterization of a novel growth factor from cementum.J Periodontal Res,1993,28:563-565.
9,Kinoshita A,Oda S,Takahashi K,et al.Periodontal regeneration by application of recombinant human bone morphogenetic protein-2 to horizontal circumferential defects created by experimental periodontitis in beagle dogs.J Periodontol,1997,68:103-109.
10,Magnusson I, Batich C,Collins BR.New attachment formation following controlled tissue regeneration using biodegradable membranes.J Periodontol,1988,59:1-6.
11,Wang HL,MacNeil RL.Guided tissue regeneration.Absorbable barriers.Dent Clin North Am,1998,42:505-522.
12,Minabe M.A critical review of the biologic rationale for guided tissue regeneration.J Periodontol,1991,62:171-179.
(收稿日期:1999-03-16), http://www.100md.com