β-榄香烯术前区域动脉灌注对乳腺癌组织的抑制作用及其对细胞凋亡和增殖的影响
作者:谭敏 郭智涛 石灵春 汪波 肖楚梅 张维斌
单位:广州中医药大学第二附属医院,广州 510120
关键词:@β-榄香烯/药理学;乳腺肿瘤/中药疗法;@动脉内灌注;细胞死亡/药物作用;细胞分裂/药物作用
广州中医药大学学报000320摘要:目的:观察中药莪术有效提取物 β-榄香烯术前区域动脉灌注对乳腺癌组织的抑制作用及其对细胞凋亡和增殖的影响。方法:临床观察给药后肿块的改变并应用末端转移酶介导的脱氧核苷酸末端标记法(TUNEL 法)和增殖细胞核抗原(PCNA)免疫组化检测方法,观察术前 β-榄香烯治疗组 14 例和一期手术组 17 例乳腺癌标本的凋亡指数、增殖指数和分裂指数的差异。结果:β-榄香烯治疗组凋亡指数(7.97±1.50)明显高于一期手术对照组(2.26±0.49),两组比较差异有显著性 (P<0.01);β -榄香烯治疗组增殖细胞核抗原指数(44.54±9.99)与对照组(42.80±6.78)比差异无显著性(P>0.05);治疗组的分裂指数(3.92±1.44)与对照组(3.88±1.08)比,差异无显著性(P>0.05)。14 例术前 β-榄香烯治疗组等级相关分析凋亡指数与肿块缩小程度呈正相关(r=-0.729)。结论:给乳腺癌患者术前区域动脉灌注 β-榄香烯可缩小乳腺癌局部肿块其机理可能与诱导乳腺癌细胞凋亡有关。
, http://www.100md.com
中图分类号:R737.9 文献标识码:A
文章编号:1007-3213(2000)03-0250-03
Effect of Local Arterial Infusion of β-elemene on Breast
Cancer Tissue Inhibition and Cell Apoptosis
and Proliferation
TAN Min,GUO Zhitao,SHI Lingchun,WANG Bo,XIAO Chumei,ZHANG Weibing
(The Second Affiliated Hospital, Guangzhou University of TCM, Guangzhou 510120, China)
, http://www.100md.com
Abstract: The effect of local arterial infusion of β-elemene on breast cancer tissue inhibition and cell apoptosis and proliferation was observed. The deoxyribonucleotide and labelling method mediating by end transferase and the immunohistochemical assay for cell nucleus antigen (PCNA)were employed to observe the apoptosis index (AI),cell division index and PCNA index. The mass of breast cancer was also observed.The breast cancer samples were taken from 14 cases receiving preoperative local arterial infusion of β-elemene (the treatment group) and 17 receiving operation only (control group ). The results showed that AI in the treatment group (7.97±1.50) was higher than the control group (2.26±0.49) (P<0.01);the difference of PCNA index and division index were not significant between the treatment group (44.54±9.99, 3.92±1.44 respectively) and the control group (42.80±6.78,3.88±1.08 respectively) (P>0.05). There is negative correlation between AI and the reduction of mass in the treatment group by degree relative analysis (r=-0.508).It is concluded that preoperative local arterial infusion of β-elemene can reduce the mass and its possible mechanism is by inducing breast cancer cell apoptosis.
, http://www.100md.com
Key words: @β-ELEMENE/pharmacology; BREAST NEOPLASMS/TCD ther.;
@ARTERIAL INFUSION; CELL DEATH/drug eff.; CELL DIVISION/drug eff.
区域动脉灌注化疗可缩小晚期乳腺癌病人的瘤体及淋巴结转移灶,达到术前治疗的效果,但尚有部分病人出现毒性反应[1]。中药莪术有效提取物 β-榄香烯具有抗肿瘤作用,可诱导肿瘤细胞凋亡[2],并且副作用小。我们用 β-榄香烯替代常规化疗药对晚期乳腺癌病人进行局部肿块区域动脉灌注治疗,观察肿块变化情况并对治疗后病人乳腺癌细胞凋亡及增殖情况进行了观察。
1 材料与方法
1.1 临床资料
, 百拇医药
乳腺癌标本 31 例,均为女性,临床分期为Ⅲa~Ⅲb期。其中手术前用β-榄香烯治疗标本14例,年龄37~73岁;病理类型:6例浸润性导管癌,8例单纯癌,伴淋巴结转移者10例;用药前肿块平均两个最大直径为7.41 cm×3.16 cm。持续动脉灌注β-榄香烯乳(大连金港制药公司生产),每m2体表面积400mg/d,共14d。同期术前未经治疗的一期手术对照标本17例,年龄35~74岁;病理类型:7例浸润性导管癌,10例单纯癌,伴淋巴结转移者11例。
1.2 实验方法
1.2.1 原位细胞凋亡检测 用末端转移酶介导的脱氧核苷酸末端标记法(TUNEL法)。石蜡切片经二甲苯脱蜡,水化,20mg/L蛋白酶K消化20min后,3%H2O230min阻断内源性过氧化物酶,采用Oncor公司的TUNEL染色试剂盒(编号S7100-KIT),按步骤进行,最后DAB显色,干燥封片。
, http://www.100md.com
1.2.2 增殖细胞核抗原(PCNA)蛋白表达免疫组化染色 用LSAB法。切片脱蜡水化,高压锅煮10min,3%H2O2阻断,血清封闭后,加PCNA—抗(DAKO公司)过夜。
再分别加二抗及辣根过氧化物酶标记的链霉卵白素后,DAB显色,苏木素复染,封片。
1.3 观察指标
1.3.1 凋亡指数(AI)、分裂指数 以细胞核出现棕黄色颗粒为阳性细胞,TUNEL染色切片选择表达清楚并癌细胞丰富的10个高倍镜视野,共计数1000个癌细胞中阳性细胞数,计算染色阳性细胞占肿瘤细胞的百分数。
1.3.2 增殖细胞核抗原指数(PCNA) 以细胞核内出现明显棕黄色颗粒为阳性细胞,淡黄色者忽略不计;计数1000个癌细胞,计算染色阳性细胞占肿瘤细胞的百分数。
, http://www.100md.com
1.3.3 分裂指数(MI) 计数1000个癌细胞,分裂相细胞与癌细胞总数的百分比。
1.3.4 肿块缩小程度 按以下公式计算。
1.4 统计方法
计算出各组各指标的平均数及标准差;手术前局部用药组(实验组)和一期手术组(对照组)各指标数据运用SPSS统计软件进行分析;并将肿块缩小程度与PCNA、凋亡指数进行等级相关分析。
2 结果
术前用β-榄香烯区域动脉灌注治疗2周后,实验组14例患者局部肿块均有减小,肿块缩小程度范围为52%~83%,用药后肿块平均两个最大直径为4.14 cm×3.52 cm。榄香烯药物治疗的疗效组织学评定为有效12例,显效2例;而对照组17患者局部肿块均无明显变化。
, http://www.100md.com
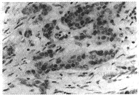
2.1 原位凋亡检测和PCNA蛋白表达免疫组化测定 结果见表1、图1、图2。
图1显示:凋亡细胞散在分布,细胞核内充满棕色颗粒。部分凋亡细胞核明显缩小,但核膜完整,核染色质浓缩;部分凋亡细胞核形态正常,细胞核染成棕色。
图2显示:PCNA蛋白表达阳性乳腺癌细胞核中出现棕色颗粒。
2.2 实验组PCNA、凋亡指数与肿块缩小程度等级相关分析 结果见表2。
表2为等级相关矩阵分析表显示:实验组14例患者乳腺癌肿块缩小程度与凋亡指数的等级相关系数rs=-0.729;呈正相关关系(P<0.01)。可认为乳腺癌细胞,凋亡指数越大,则乳腺癌肿块缩小程度越大。
表1 β-榄香烯对乳腺癌细胞PCNA指数(pPCNA)、分裂指数(pMI)及凋亡指数(pAI)的影响(
±s)
, 百拇医药
N/例
pPCNA/(%)
pAI/(%)
pMI/(%)
对照组
17
42.80±6.78
2.26±0.49
3.88±1.08
实验组
14
44.54±9.99
, http://www.100md.com
7.97±1.50**
3.92±1.44
*与对照组比较P<0.05,**P<0.01表2 实验组PCNA指数、凋亡指数与肿块
缩小程度等级相关(rs)分析 (N=14)
rs
PCNA指数
凋亡指数
肿块缩小程度(%)
PCNA指数
1.000
, 百拇医药
0.347
0.430
凋亡指数
1.0000
0.729**
肿块缩小程度
1.000
**等级相关系数(rs),P<0.01
图1 乳腺癌组织细胞凋亡表达
凋亡细胞核呈棕黄色(10×40倍)
, 百拇医药
图2 乳腺癌组织PCNA2蛋白表达阳性
细胞核呈棕黄色(10×40倍)
3 讨论
中医认为,莪术具有良好的活血化瘀、消癖散结之功效,历来为治疗痈疽肿毒之良药。β-榄香烯是经科学方法从莪术中提取的二类新药,是莪术中抗肿瘤的主要有效成份。多项实验研究表明β-榄香烯具有明显的抗癌作用[3]。可抑制肿瘤细胞的DNA、RNA和蛋白质合成,直接杀伤肿瘤细胞,亦可诱导多种肿瘤细胞株发生凋亡,并且使凋亡抑制基因bcl-2表达降低[2]。
细胞凋亡是恶性肿瘤的普遍自发现象,研究表明无论是肿瘤的发生、发展还是治疗及预后均与细胞凋亡有密切关系[4]。本研究选用β-榄香烯替代化疗药进行晚期乳腺癌病人术前区域动脉持续灌注介入治疗,起到了使肿瘤明显缩小的良好效果,用药后癌组织凋亡细胞数明显增加,并且凋亡指数与肿块缩小程度呈正相关关系,说明在临床应用并且两者呈负中度相关关系,说明在临床应用中β-榄香烯抑制乳腺癌的作用与其诱导细胞凋亡有关。
, 百拇医药
PCNA的含量及癌细胞核分裂数的多少反映了细胞增殖活动。一些临床研究表明,化疗药物术前介入治疗可使PCNA蛋白表达明显降低[5],从而降低了肿瘤细胞的增殖活性。本研究中β-榄香烯治疗组PCNA及分裂指数稍高于一期手术对照组,两组比较差异无显著性(P>0.05)。说明β-榄香烯抑制乳腺癌的机理与某些化疗药物不同,其主要是通过诱导细胞凋亡来实现的,并且不同类型的肿瘤细胞对榄香烯的敏感性不同。
β-榄香烯具有诱导患者乳腺癌细胞凋亡的良好作用。结合现代的给药方法——持续动脉灌注,可更有效地发挥抗癌中药高效低毒的特点,既可使肿块缩小,又可减少其临床副作用,对肝肾功能无损害,无骨髓抑制作用[4],认为有望替代非特异细胞毒性化疗药,对乳腺癌病人进行术前术后的临床治疗。
基金项目:国家中医药管理局资助课题(编号:97Y028)
作者简介:谭敏(1962-),女,副教授
, 百拇医药
参考文献:
[1] 郭智涛,杨志刚,秦有,等.术前区域动脉持续灌注化疗并栓塞治疗局部晚期乳腺癌的临床观察[J].中国中西医结合外科杂志,1999,5(5):281
[2] 左云飞,魏巍,张耀铮,等.榄香烯诱导肝腹水瘤细胞系 HCa-F25/CL-16H3凋亡的实验研究[J].中药药理与临床,1998,14(2):20
[3] 杨骅,王仙平,郁琳琳,等.榄香烯抗癌作用与诱发肿瘤细胞凋亡[J].中华肿瘤杂志,1996,6(6):169
[4] Kerr J F R,Winterford C M,Harmon B V.Apoptosis:its significance in cancer and cancer therapy[J].Cancer,1994,73:2013
[5] 高解春,钱抱平,金百祥.术前化疗对神经母细胞瘤凋亡和增殖的影响作用[J].中华小儿外科杂志,1998,19(4):193
收稿日期:2000-03-09, 百拇医药
单位:广州中医药大学第二附属医院,广州 510120
关键词:@β-榄香烯/药理学;乳腺肿瘤/中药疗法;@动脉内灌注;细胞死亡/药物作用;细胞分裂/药物作用
广州中医药大学学报000320摘要:目的:观察中药莪术有效提取物 β-榄香烯术前区域动脉灌注对乳腺癌组织的抑制作用及其对细胞凋亡和增殖的影响。方法:临床观察给药后肿块的改变并应用末端转移酶介导的脱氧核苷酸末端标记法(TUNEL 法)和增殖细胞核抗原(PCNA)免疫组化检测方法,观察术前 β-榄香烯治疗组 14 例和一期手术组 17 例乳腺癌标本的凋亡指数、增殖指数和分裂指数的差异。结果:β-榄香烯治疗组凋亡指数(7.97±1.50)明显高于一期手术对照组(2.26±0.49),两组比较差异有显著性 (P<0.01);β -榄香烯治疗组增殖细胞核抗原指数(44.54±9.99)与对照组(42.80±6.78)比差异无显著性(P>0.05);治疗组的分裂指数(3.92±1.44)与对照组(3.88±1.08)比,差异无显著性(P>0.05)。14 例术前 β-榄香烯治疗组等级相关分析凋亡指数与肿块缩小程度呈正相关(r=-0.729)。结论:给乳腺癌患者术前区域动脉灌注 β-榄香烯可缩小乳腺癌局部肿块其机理可能与诱导乳腺癌细胞凋亡有关。
, http://www.100md.com
中图分类号:R737.9 文献标识码:A
文章编号:1007-3213(2000)03-0250-03
Effect of Local Arterial Infusion of β-elemene on Breast
Cancer Tissue Inhibition and Cell Apoptosis
and Proliferation
TAN Min,GUO Zhitao,SHI Lingchun,WANG Bo,XIAO Chumei,ZHANG Weibing
(The Second Affiliated Hospital, Guangzhou University of TCM, Guangzhou 510120, China)
, http://www.100md.com
Abstract: The effect of local arterial infusion of β-elemene on breast cancer tissue inhibition and cell apoptosis and proliferation was observed. The deoxyribonucleotide and labelling method mediating by end transferase and the immunohistochemical assay for cell nucleus antigen (PCNA)were employed to observe the apoptosis index (AI),cell division index and PCNA index. The mass of breast cancer was also observed.The breast cancer samples were taken from 14 cases receiving preoperative local arterial infusion of β-elemene (the treatment group) and 17 receiving operation only (control group ). The results showed that AI in the treatment group (7.97±1.50) was higher than the control group (2.26±0.49) (P<0.01);the difference of PCNA index and division index were not significant between the treatment group (44.54±9.99, 3.92±1.44 respectively) and the control group (42.80±6.78,3.88±1.08 respectively) (P>0.05). There is negative correlation between AI and the reduction of mass in the treatment group by degree relative analysis (r=-0.508).It is concluded that preoperative local arterial infusion of β-elemene can reduce the mass and its possible mechanism is by inducing breast cancer cell apoptosis.
, http://www.100md.com
Key words: @β-ELEMENE/pharmacology; BREAST NEOPLASMS/TCD ther.;
@ARTERIAL INFUSION; CELL DEATH/drug eff.; CELL DIVISION/drug eff.
区域动脉灌注化疗可缩小晚期乳腺癌病人的瘤体及淋巴结转移灶,达到术前治疗的效果,但尚有部分病人出现毒性反应[1]。中药莪术有效提取物 β-榄香烯具有抗肿瘤作用,可诱导肿瘤细胞凋亡[2],并且副作用小。我们用 β-榄香烯替代常规化疗药对晚期乳腺癌病人进行局部肿块区域动脉灌注治疗,观察肿块变化情况并对治疗后病人乳腺癌细胞凋亡及增殖情况进行了观察。
1 材料与方法
1.1 临床资料
, 百拇医药
乳腺癌标本 31 例,均为女性,临床分期为Ⅲa~Ⅲb期。其中手术前用β-榄香烯治疗标本14例,年龄37~73岁;病理类型:6例浸润性导管癌,8例单纯癌,伴淋巴结转移者10例;用药前肿块平均两个最大直径为7.41 cm×3.16 cm。持续动脉灌注β-榄香烯乳(大连金港制药公司生产),每m2体表面积400mg/d,共14d。同期术前未经治疗的一期手术对照标本17例,年龄35~74岁;病理类型:7例浸润性导管癌,10例单纯癌,伴淋巴结转移者11例。
1.2 实验方法
1.2.1 原位细胞凋亡检测 用末端转移酶介导的脱氧核苷酸末端标记法(TUNEL法)。石蜡切片经二甲苯脱蜡,水化,20mg/L蛋白酶K消化20min后,3%H2O230min阻断内源性过氧化物酶,采用Oncor公司的TUNEL染色试剂盒(编号S7100-KIT),按步骤进行,最后DAB显色,干燥封片。
, http://www.100md.com
1.2.2 增殖细胞核抗原(PCNA)蛋白表达免疫组化染色 用LSAB法。切片脱蜡水化,高压锅煮10min,3%H2O2阻断,血清封闭后,加PCNA—抗(DAKO公司)过夜。
再分别加二抗及辣根过氧化物酶标记的链霉卵白素后,DAB显色,苏木素复染,封片。
1.3 观察指标
1.3.1 凋亡指数(AI)、分裂指数 以细胞核出现棕黄色颗粒为阳性细胞,TUNEL染色切片选择表达清楚并癌细胞丰富的10个高倍镜视野,共计数1000个癌细胞中阳性细胞数,计算染色阳性细胞占肿瘤细胞的百分数。
1.3.2 增殖细胞核抗原指数(PCNA) 以细胞核内出现明显棕黄色颗粒为阳性细胞,淡黄色者忽略不计;计数1000个癌细胞,计算染色阳性细胞占肿瘤细胞的百分数。
, http://www.100md.com
1.3.3 分裂指数(MI) 计数1000个癌细胞,分裂相细胞与癌细胞总数的百分比。
1.3.4 肿块缩小程度 按以下公式计算。
1.4 统计方法
计算出各组各指标的平均数及标准差;手术前局部用药组(实验组)和一期手术组(对照组)各指标数据运用SPSS统计软件进行分析;并将肿块缩小程度与PCNA、凋亡指数进行等级相关分析。
2 结果
术前用β-榄香烯区域动脉灌注治疗2周后,实验组14例患者局部肿块均有减小,肿块缩小程度范围为52%~83%,用药后肿块平均两个最大直径为4.14 cm×3.52 cm。榄香烯药物治疗的疗效组织学评定为有效12例,显效2例;而对照组17患者局部肿块均无明显变化。
, http://www.100md.com
2.1 原位凋亡检测和PCNA蛋白表达免疫组化测定 结果见表1、图1、图2。
图1显示:凋亡细胞散在分布,细胞核内充满棕色颗粒。部分凋亡细胞核明显缩小,但核膜完整,核染色质浓缩;部分凋亡细胞核形态正常,细胞核染成棕色。
图2显示:PCNA蛋白表达阳性乳腺癌细胞核中出现棕色颗粒。
2.2 实验组PCNA、凋亡指数与肿块缩小程度等级相关分析 结果见表2。
表2为等级相关矩阵分析表显示:实验组14例患者乳腺癌肿块缩小程度与凋亡指数的等级相关系数rs=-0.729;呈正相关关系(P<0.01)。可认为乳腺癌细胞,凋亡指数越大,则乳腺癌肿块缩小程度越大。
表1 β-榄香烯对乳腺癌细胞PCNA指数(pPCNA)、分裂指数(pMI)及凋亡指数(pAI)的影响(
, 百拇医药
N/例
pPCNA/(%)
pAI/(%)
pMI/(%)
对照组
17
42.80±6.78
2.26±0.49
3.88±1.08
实验组
14
44.54±9.99
, http://www.100md.com
7.97±1.50**
3.92±1.44
*与对照组比较P<0.05,**P<0.01表2 实验组PCNA指数、凋亡指数与肿块
缩小程度等级相关(rs)分析 (N=14)
rs
PCNA指数
凋亡指数
肿块缩小程度(%)
PCNA指数
1.000
, 百拇医药
0.347
0.430
凋亡指数
1.0000
0.729**
肿块缩小程度
1.000
**等级相关系数(rs),P<0.01
图1 乳腺癌组织细胞凋亡表达
凋亡细胞核呈棕黄色(10×40倍)
, 百拇医药
图2 乳腺癌组织PCNA2蛋白表达阳性
细胞核呈棕黄色(10×40倍)
3 讨论
中医认为,莪术具有良好的活血化瘀、消癖散结之功效,历来为治疗痈疽肿毒之良药。β-榄香烯是经科学方法从莪术中提取的二类新药,是莪术中抗肿瘤的主要有效成份。多项实验研究表明β-榄香烯具有明显的抗癌作用[3]。可抑制肿瘤细胞的DNA、RNA和蛋白质合成,直接杀伤肿瘤细胞,亦可诱导多种肿瘤细胞株发生凋亡,并且使凋亡抑制基因bcl-2表达降低[2]。
细胞凋亡是恶性肿瘤的普遍自发现象,研究表明无论是肿瘤的发生、发展还是治疗及预后均与细胞凋亡有密切关系[4]。本研究选用β-榄香烯替代化疗药进行晚期乳腺癌病人术前区域动脉持续灌注介入治疗,起到了使肿瘤明显缩小的良好效果,用药后癌组织凋亡细胞数明显增加,并且凋亡指数与肿块缩小程度呈正相关关系,说明在临床应用并且两者呈负中度相关关系,说明在临床应用中β-榄香烯抑制乳腺癌的作用与其诱导细胞凋亡有关。
, 百拇医药
PCNA的含量及癌细胞核分裂数的多少反映了细胞增殖活动。一些临床研究表明,化疗药物术前介入治疗可使PCNA蛋白表达明显降低[5],从而降低了肿瘤细胞的增殖活性。本研究中β-榄香烯治疗组PCNA及分裂指数稍高于一期手术对照组,两组比较差异无显著性(P>0.05)。说明β-榄香烯抑制乳腺癌的机理与某些化疗药物不同,其主要是通过诱导细胞凋亡来实现的,并且不同类型的肿瘤细胞对榄香烯的敏感性不同。
β-榄香烯具有诱导患者乳腺癌细胞凋亡的良好作用。结合现代的给药方法——持续动脉灌注,可更有效地发挥抗癌中药高效低毒的特点,既可使肿块缩小,又可减少其临床副作用,对肝肾功能无损害,无骨髓抑制作用[4],认为有望替代非特异细胞毒性化疗药,对乳腺癌病人进行术前术后的临床治疗。
基金项目:国家中医药管理局资助课题(编号:97Y028)
作者简介:谭敏(1962-),女,副教授
, 百拇医药
参考文献:
[1] 郭智涛,杨志刚,秦有,等.术前区域动脉持续灌注化疗并栓塞治疗局部晚期乳腺癌的临床观察[J].中国中西医结合外科杂志,1999,5(5):281
[2] 左云飞,魏巍,张耀铮,等.榄香烯诱导肝腹水瘤细胞系 HCa-F25/CL-16H3凋亡的实验研究[J].中药药理与临床,1998,14(2):20
[3] 杨骅,王仙平,郁琳琳,等.榄香烯抗癌作用与诱发肿瘤细胞凋亡[J].中华肿瘤杂志,1996,6(6):169
[4] Kerr J F R,Winterford C M,Harmon B V.Apoptosis:its significance in cancer and cancer therapy[J].Cancer,1994,73:2013
[5] 高解春,钱抱平,金百祥.术前化疗对神经母细胞瘤凋亡和增殖的影响作用[J].中华小儿外科杂志,1998,19(4):193
收稿日期:2000-03-09, 百拇医药