雌酚酮体外影响骨生长的形态学研究
作者:李灵芝 张永亮 马丽英 冯凯琳
单位:李灵芝 冯凯琳(武警医学院药学教研室,天津 300162);张永亮(武警医学院法医学教研室);马丽英(新疆医科大学,乌鲁木齐 830054)
关键词:雌酚酮;长骨;骨吸收;骨形成
中国应用生理学杂志000420
摘要 目的:从组织形态学角度综合考察雌酚酮在体外对骨吸收和骨形成的影响。方法:16 d胎龄雌性小鼠尺骨在含有雌酚酮的BGJb培养基中旋转培养48 h后,测量 骨总长和骨干长度;H.E染色,光镜下计数破骨细胞和肥大软骨细胞。结果:当 雌酚酮浓度为10-7 mol/L时,长骨总长和骨干长均比对照组显著增加;破骨细胞 减少,肥大软骨细胞增加。结论:雌酚酮在体外可抑制骨吸收,促进骨形成 。
, 百拇医药 中图分类号: R329.1;R329.2+8文献标识码:A
文章编号:1000-6834(2000)04-0361-04
MORPHOMETRIC STUDY ON THE EFFECTS
OF ESTRONE ON BONE IN VITRO
LI Ling-zhi
(Department of Pharmacology, Medical College of Chinese Peop le's Armed Police Forces,Tianjin 300162)
ZHANG Yong-liang
, 百拇医药
(Department of Forensic Medicine, Me dical College of Chinese People's Armed Police Forces)
MA Li-ying
(Xinjiang Medical Un iversity, Urumuqi 830054)
FENG Kai- lin
(Department of Radiology, Medical College of Chine se People's Armed Police Forces)
ABSTRACT Aim: To study the effects of estrone on the bone resorption and bon e formation in vitro. Methods: Long bones from 16-day-old female mouse fetuses were cultured in BGJb medium for 48 h.The bones were harvested, then bones length and length of their diaphyses were measured under stereo mic roscope. The histomorphormetric analyses on midlongitudinal sections of bones w ere performed. The numbers of osteoclasts and hypertrophic chondrocytes were ob served under biological microscope.Results:Compared with control,the re were significant increase in bones length and length of their diaphyses after treated with 10-7 mol/L estrone.Under this condition,decreased osteoclas ts and increased hypertrophic chondrocytes were observed,too.Conclusion: Estrone stimulates bone formation and inhibites bone resorption in vitr o.
, 百拇医药
KEY WORDS: estrone; long bone; bone resorption; bon e formation
雌激素是调节钙-磷代谢的主要因素之一,因而极大地影响着骨代谢和骨重建过程。既 往研究证实雌激素可通过降低破骨细胞活性抑制骨吸收[1,2],但雌激素对骨形成 的确切作用至今尚未达成共识,体内外实验结果不一致[3-5]。此外,以往考察雌 激素对骨的作用时体外实验多采用破骨细胞、成骨细胞或带有成骨细胞表型特征的细胞培养 模型,其共同局限在于无法同时观察雌激素对骨形成和骨吸收两方面的作用。本文采用小鼠 长骨体外培养模型,考察天然弱雌激素雌酚酮对长骨骨干长、骨总长以及对破骨细胞数目、 肥大软骨细胞数目的影响,旨在从组织学和形态学的角度综合评价雌激素在体外对骨生长的影响。
1 材料和方法
1.1 主要试剂及设备
, 百拇医药
雌酚酮(浙江仙居药厂)。培养基BGJ、Hepes、胎牛血清(FBS)(sigma公司)。隔水式恒温 培养箱(上海跃进医疗器械三厂),旋转装置(成都方圆电子工程研究所),超净工作台(蚌埠 净化设备厂),Olympus解剖显微镜(日本),Olympus生物显微镜(日本),组织切片机(AO,美 国)。
1.2 实验动物
昆明种小鼠,雌鼠体重(30±5) g,雄鼠体重(35±5) g,由四川抗生素研究所动物中心 提供(合格号为川实动管0085)。动物在温度(24±3)℃、湿度60~70%条件下,于22:00按 雌:雄( 2∶1)合笼,次日8:00检查阴栓,查见阴栓即为交配,定为妊娠0 d,第16 d 8:00 定为妊娠16 d。
1.3 实验分组
实验分为雌酚酮(estrone)组和正常对照组(control)。其中雌酚酮组按不同给药浓度分 为10-7mol/L、10-8mol/L和10-9mol/L三个亚组。每组培养长骨6根,重 复5次。
, 百拇医药
1.4 骨组织培养
取16 d胎龄雌性小鼠,在解剖显微镜下剥离出完整的前肢尺骨,置于含有10%FBS的BGJ b培养基中,按实验分组加入雌酚酮后参照文献[6]旋转培养48 h。雌酚酮先配制为 10-3mol/L的乙醇溶液,再用双蒸水依次稀释至10-5mol/L、10-6mol/L 和10-7mol/L,分别取各稀释溶液50μ1加入含5 m1培养基的培养瓶内,培养基中雌酚 酮的终浓度分别为10-7mol/L、10-8mol/L和10-9mol/L。对照组在5 ml 培养基中加按10-7mol/L雌酚酮组同样方法稀释的乙醇。
1.5 测定指标及方法
1.5.1 骨干长及骨总长测定 长骨培养48 h后,转移至培养皿中,在带有标 尺的解剖显微镜下分别测量其骨总长(bone length)、骨干长(diaphyseal length)。
, 百拇医药
1.5.2 破骨细胞、肥大软骨细胞计数 将培养48 h的骨组织用4%多聚甲 醛(pH7.2)固定后,以7%EDTA(pH7.2,4℃)脱钙16 d(其间每天更换EDTA一次),双蒸水漂 洗,逐级酒精脱水,石蜡包埋,由骨干中心纵切成5 μm厚切片,H.E染色。显微镜下计数 每张切片的破骨细胞(osteoclasts)及肥大软骨细胞(hypertrophic chondrocytes)。
1.6 统计方法
实验数据用均数±标准差(
±s)表示,其显著性经PEMS统计软件包进行方差 分析和q检验。
2 结果
2.1 组织学观察
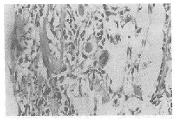
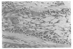
镜下可见培养前的骨干是一透明的软骨雏形,骨干区被一薄的骨膜骨领所包绕。培养48 h后,对照组成骨组织和间充组织所包绕的骨膜骨领均有所增加,骨干部位出现许多空腔隙 ,其间可见间充组织,并出现破骨细胞。10-7mol/L雌酚酮组骨外膜骨领的成骨组织 和骨小梁增多,骨髓腔形成并有骨小梁出现(图1,2)。
, 百拇医药
Fig.1 Photomicrograph of an ulna from mouse fetus cultured
for 48 h to show extensive periosteal bone collar and invasion
of mesenchymal tissue into the diaphysis(H.E×400)
Fig.2 Photomicrograph of an ulna from mouse fetus cultured
for 48 h at 10-7mol/L estrone to show bone trabecular and bone marrow(H.E×400)
, 百拇医药
2.2 雌酚酮对长骨总长和骨干长度的影响
雌酚酮浓度为10-7mol/L时,长骨总长(3.76±0.13)mm和骨干(1.39±0.09 3) mm的增长速度显著高于对照组[骨总长和骨干长分别为(3.54±0.073) mm和(1. 22± 0.083) mm (P<0.05和P<0.01)]。低于10-7mol/L则与对照组无差异(图 3)。
Fig.3 Effects of different concentrati on of estrone
on bone length and diaphyseal length (
±s,n=18)
, 百拇医药
* P<0.05,* * P<0.01 co mpared with control
2.3 雌酚酮对长骨破骨细胞和肥大软骨细胞数目的影响
随雌酚酮浓度增大,长骨破骨细胞逐渐减少,其中10-7mol/L和10-8 mo l/L雌酚酮组,破骨细胞数(分别为5.3±0.6和6.0±1.7)显著低于对照组(12.3±1.5) (P<0.01和P〈0.05)。10-7mol/L雌酚酮处理后,长骨肥大软骨细胞(15. 3±1.5)与对照组(10.0±1.0)相比显著增加(P<0.01),低于此浓度,则与对照组无 差异(图4)。
Fig.4 Effects of different concentrat ion of estrone on
, http://www.100md.com
the numbers of osteoclasts and hypertrophic chondrocytes (
±s,n=18)
* P<0.05, * * P<0.01 compa red with control
3 讨论
破骨细胞在骨吸收过程中起主要作用,可以从一个部位游走到另一个部位,施行其破骨活动 。一个破骨细胞可以溶解吸收由大约100个成骨细胞所形成的骨质。所以,破骨细胞数目的 变化是考察骨吸收程度的一个最直接的指标。破骨细胞源于骨髓造血细胞,从粒—巨噬细胞 集落形成单位(CFU-GM)分化而来[7]。Jilka等证实小鼠切除卵巢后早期CFU-GM数 量增多,骨小梁处破骨细胞数量增加,雌二醇可以抑制这些变化[8]。本文实验结 果证实雌酚酮也同样可抑制小鼠长骨破骨细胞生成,且在10-9~10-7mol/L范 围内呈剂量依赖性,表明具有抑制骨吸收作用。目前认为雌激素对破骨细胞生成的抑制与白 细胞介素-6(IL-6)有关。IL-6在体内含量甚微,以自分泌和旁分泌的形式作用于局部, 发挥多种生物学活性,并能促进早期骨髓造血干细胞的生长。破骨细胞既源于骨髓造血干细 胞,自然也受到IL-6的调节。IL-6能刺激CFU-GM的发展,并刺激CFU-GM中早期破骨细胞 前体的形成。体外实验表明,IL-6使胎鼠骨培养物中的破骨细胞形成增加,促进骨吸收。 雌激素可通过雌激素受体作用于IL-6基因,影响其转录活性,抑制IL-6基因的表达[ 9]。因此雌酚酮干预后,长骨破骨细胞的减少很可能是其抑制了IL-6基因的表达所致。
, 百拇医药
在软骨内成骨的过程中,软骨细胞分化的特点是经过一系列形态学变化,细胞变肥大, 最后软骨基质矿化。因此肥大带的软骨细胞体积增大,呈圆形,并排列成柱状,是成熟的软 骨细胞。研究表明肥大软骨细胞也表达骨钙素(osteocalcin)、骨桥蛋白(osteoprontin)和 骨涎蛋白(bone sialoprotein),而这三种蛋白以前一直被认为仅仅由成骨细胞表达。研究 还显示肥大软骨细胞在软骨内成骨的过程中在功能上与成骨细胞、血管细胞以及破骨细胞的 生成相偶联[10],故其数目变化在一定程度上可反映软骨细胞分化、成熟、矿化成 骨的情况。本实验显示10-7mol/L雌酚酮可使骺板肥大软骨细胞数目增加,表明体外 一定浓度的雌酚酮可以促进软骨细胞的分化成熟,从而促进软骨内骨形成。
作者简介:李灵芝(1963-),女,籍贯内蒙古,副教授,博士学位,从事 雌激素骨作用机制和雌激素类抗骨质疏松药物的开发及其药理活性研究。
, http://www.100md.com 4 参考文献
[1] Oursler M J, Osdoby P, Pyfferoen J, et al. Avian osteoclasts as estrogen target cells[J]. Proc Natl Acad Sci USA,1991,88:6613-6617.
[2] Riggs B L,Melton L J. Medical progress: involutional osteoporosis[J]. N Engl J Med, 1994,314: 1676-1684.
[3] Turner R T,Colvard D S, Spelberg T C. Estrogen inhibition of periosteal bo ne formation in rat long bones: down-regulation of gene expression for bone mat rix proteins[J]. Endocrinology, 1990, 27: 1346-1351.
, 百拇医药
[4] Yamamoto T T, Rodan G A. Direct effects of 17 β- estradiol on trabecular bone in ovariectomized rats[J]. Proc Natl Acad Sci USA, 1990,87:2172-21 76.
[5] Migliaccio S, Newbold E R,Bullock B C, et al. Alte-rations of mat ernal estrogen levels during gestation affect the skeleton of female offspring[J]. Endocrinology, 1996,137:2118-2125.
[6] 马丽英,王瑞淑,李 云,等.小鼠胚胎长骨体外培养的研究[J]. 卫生研究,1998,27 :399-401.
, 百拇医药
[7] Hatterley G,Kerby J A,Chambers T J. Identification of osteoclast precursor s in multilineage hemopoietic colonies[J]. Endocrinology, 1991,128:259-2 62.
[8] Jilka R L, Hangoc G, Girasole G, et al. Increased osteoclasts developm ent after estrogen loss: mediation by interleukin-6[J]. Science,1992,257 :88-91.
[9] Pottratz S T, Bellido T, Mocharia H, et al. 17 β- estradiol inhibits expression of human interleukin-6 promotor-reporter constructs by a receptor -dependent mechanism[J] .J Clin Invest, 1994,93:944-950.
[10] Gerstenfeld H F, Shapiro F D. Expression of bone-specific genes by hyper trophic chondrocytes: implication of the complex functions of the hypertrophic c hondrocytes during endochondral bone development[J]. J Cell Biochem, 1996, 62:1-9.
收稿日期:2000-01-05
回日期:2000-07-26, http://www.100md.com
单位:李灵芝 冯凯琳(武警医学院药学教研室,天津 300162);张永亮(武警医学院法医学教研室);马丽英(新疆医科大学,乌鲁木齐 830054)
关键词:雌酚酮;长骨;骨吸收;骨形成
中国应用生理学杂志000420
摘要 目的:从组织形态学角度综合考察雌酚酮在体外对骨吸收和骨形成的影响。方法:16 d胎龄雌性小鼠尺骨在含有雌酚酮的BGJb培养基中旋转培养48 h后,测量 骨总长和骨干长度;H.E染色,光镜下计数破骨细胞和肥大软骨细胞。结果:当 雌酚酮浓度为10-7 mol/L时,长骨总长和骨干长均比对照组显著增加;破骨细胞 减少,肥大软骨细胞增加。结论:雌酚酮在体外可抑制骨吸收,促进骨形成 。
, 百拇医药 中图分类号: R329.1;R329.2+8文献标识码:A
文章编号:1000-6834(2000)04-0361-04
MORPHOMETRIC STUDY ON THE EFFECTS
OF ESTRONE ON BONE IN VITRO
LI Ling-zhi
(Department of Pharmacology, Medical College of Chinese Peop le's Armed Police Forces,Tianjin 300162)
ZHANG Yong-liang
, 百拇医药
(Department of Forensic Medicine, Me dical College of Chinese People's Armed Police Forces)
MA Li-ying
(Xinjiang Medical Un iversity, Urumuqi 830054)
FENG Kai- lin
(Department of Radiology, Medical College of Chine se People's Armed Police Forces)
ABSTRACT Aim: To study the effects of estrone on the bone resorption and bon e formation in vitro. Methods: Long bones from 16-day-old female mouse fetuses were cultured in BGJb medium for 48 h.The bones were harvested, then bones length and length of their diaphyses were measured under stereo mic roscope. The histomorphormetric analyses on midlongitudinal sections of bones w ere performed. The numbers of osteoclasts and hypertrophic chondrocytes were ob served under biological microscope.Results:Compared with control,the re were significant increase in bones length and length of their diaphyses after treated with 10-7 mol/L estrone.Under this condition,decreased osteoclas ts and increased hypertrophic chondrocytes were observed,too.Conclusion: Estrone stimulates bone formation and inhibites bone resorption in vitr o.
, 百拇医药
KEY WORDS: estrone; long bone; bone resorption; bon e formation
雌激素是调节钙-磷代谢的主要因素之一,因而极大地影响着骨代谢和骨重建过程。既 往研究证实雌激素可通过降低破骨细胞活性抑制骨吸收[1,2],但雌激素对骨形成 的确切作用至今尚未达成共识,体内外实验结果不一致[3-5]。此外,以往考察雌 激素对骨的作用时体外实验多采用破骨细胞、成骨细胞或带有成骨细胞表型特征的细胞培养 模型,其共同局限在于无法同时观察雌激素对骨形成和骨吸收两方面的作用。本文采用小鼠 长骨体外培养模型,考察天然弱雌激素雌酚酮对长骨骨干长、骨总长以及对破骨细胞数目、 肥大软骨细胞数目的影响,旨在从组织学和形态学的角度综合评价雌激素在体外对骨生长的影响。
1 材料和方法
1.1 主要试剂及设备
, 百拇医药
雌酚酮(浙江仙居药厂)。培养基BGJ、Hepes、胎牛血清(FBS)(sigma公司)。隔水式恒温 培养箱(上海跃进医疗器械三厂),旋转装置(成都方圆电子工程研究所),超净工作台(蚌埠 净化设备厂),Olympus解剖显微镜(日本),Olympus生物显微镜(日本),组织切片机(AO,美 国)。
1.2 实验动物
昆明种小鼠,雌鼠体重(30±5) g,雄鼠体重(35±5) g,由四川抗生素研究所动物中心 提供(合格号为川实动管0085)。动物在温度(24±3)℃、湿度60~70%条件下,于22:00按 雌:雄( 2∶1)合笼,次日8:00检查阴栓,查见阴栓即为交配,定为妊娠0 d,第16 d 8:00 定为妊娠16 d。
1.3 实验分组
实验分为雌酚酮(estrone)组和正常对照组(control)。其中雌酚酮组按不同给药浓度分 为10-7mol/L、10-8mol/L和10-9mol/L三个亚组。每组培养长骨6根,重 复5次。
, 百拇医药
1.4 骨组织培养
取16 d胎龄雌性小鼠,在解剖显微镜下剥离出完整的前肢尺骨,置于含有10%FBS的BGJ b培养基中,按实验分组加入雌酚酮后参照文献[6]旋转培养48 h。雌酚酮先配制为 10-3mol/L的乙醇溶液,再用双蒸水依次稀释至10-5mol/L、10-6mol/L 和10-7mol/L,分别取各稀释溶液50μ1加入含5 m1培养基的培养瓶内,培养基中雌酚 酮的终浓度分别为10-7mol/L、10-8mol/L和10-9mol/L。对照组在5 ml 培养基中加按10-7mol/L雌酚酮组同样方法稀释的乙醇。
1.5 测定指标及方法
1.5.1 骨干长及骨总长测定 长骨培养48 h后,转移至培养皿中,在带有标 尺的解剖显微镜下分别测量其骨总长(bone length)、骨干长(diaphyseal length)。
, 百拇医药
1.5.2 破骨细胞、肥大软骨细胞计数 将培养48 h的骨组织用4%多聚甲 醛(pH7.2)固定后,以7%EDTA(pH7.2,4℃)脱钙16 d(其间每天更换EDTA一次),双蒸水漂 洗,逐级酒精脱水,石蜡包埋,由骨干中心纵切成5 μm厚切片,H.E染色。显微镜下计数 每张切片的破骨细胞(osteoclasts)及肥大软骨细胞(hypertrophic chondrocytes)。
1.6 统计方法
实验数据用均数±标准差(
2 结果
2.1 组织学观察
镜下可见培养前的骨干是一透明的软骨雏形,骨干区被一薄的骨膜骨领所包绕。培养48 h后,对照组成骨组织和间充组织所包绕的骨膜骨领均有所增加,骨干部位出现许多空腔隙 ,其间可见间充组织,并出现破骨细胞。10-7mol/L雌酚酮组骨外膜骨领的成骨组织 和骨小梁增多,骨髓腔形成并有骨小梁出现(图1,2)。
, 百拇医药
Fig.1 Photomicrograph of an ulna from mouse fetus cultured
for 48 h to show extensive periosteal bone collar and invasion
of mesenchymal tissue into the diaphysis(H.E×400)
Fig.2 Photomicrograph of an ulna from mouse fetus cultured
for 48 h at 10-7mol/L estrone to show bone trabecular and bone marrow(H.E×400)
, 百拇医药
2.2 雌酚酮对长骨总长和骨干长度的影响
雌酚酮浓度为10-7mol/L时,长骨总长(3.76±0.13)mm和骨干(1.39±0.09 3) mm的增长速度显著高于对照组[骨总长和骨干长分别为(3.54±0.073) mm和(1. 22± 0.083) mm (P<0.05和P<0.01)]。低于10-7mol/L则与对照组无差异(图 3)。
Fig.3 Effects of different concentrati on of estrone
on bone length and diaphyseal length (
, 百拇医药
* P<0.05,* * P<0.01 co mpared with control
2.3 雌酚酮对长骨破骨细胞和肥大软骨细胞数目的影响
随雌酚酮浓度增大,长骨破骨细胞逐渐减少,其中10-7mol/L和10-8 mo l/L雌酚酮组,破骨细胞数(分别为5.3±0.6和6.0±1.7)显著低于对照组(12.3±1.5) (P<0.01和P〈0.05)。10-7mol/L雌酚酮处理后,长骨肥大软骨细胞(15. 3±1.5)与对照组(10.0±1.0)相比显著增加(P<0.01),低于此浓度,则与对照组无 差异(图4)。
Fig.4 Effects of different concentrat ion of estrone on
, http://www.100md.com
the numbers of osteoclasts and hypertrophic chondrocytes (
* P<0.05, * * P<0.01 compa red with control
3 讨论
破骨细胞在骨吸收过程中起主要作用,可以从一个部位游走到另一个部位,施行其破骨活动 。一个破骨细胞可以溶解吸收由大约100个成骨细胞所形成的骨质。所以,破骨细胞数目的 变化是考察骨吸收程度的一个最直接的指标。破骨细胞源于骨髓造血细胞,从粒—巨噬细胞 集落形成单位(CFU-GM)分化而来[7]。Jilka等证实小鼠切除卵巢后早期CFU-GM数 量增多,骨小梁处破骨细胞数量增加,雌二醇可以抑制这些变化[8]。本文实验结 果证实雌酚酮也同样可抑制小鼠长骨破骨细胞生成,且在10-9~10-7mol/L范 围内呈剂量依赖性,表明具有抑制骨吸收作用。目前认为雌激素对破骨细胞生成的抑制与白 细胞介素-6(IL-6)有关。IL-6在体内含量甚微,以自分泌和旁分泌的形式作用于局部, 发挥多种生物学活性,并能促进早期骨髓造血干细胞的生长。破骨细胞既源于骨髓造血干细 胞,自然也受到IL-6的调节。IL-6能刺激CFU-GM的发展,并刺激CFU-GM中早期破骨细胞 前体的形成。体外实验表明,IL-6使胎鼠骨培养物中的破骨细胞形成增加,促进骨吸收。 雌激素可通过雌激素受体作用于IL-6基因,影响其转录活性,抑制IL-6基因的表达[ 9]。因此雌酚酮干预后,长骨破骨细胞的减少很可能是其抑制了IL-6基因的表达所致。
, 百拇医药
在软骨内成骨的过程中,软骨细胞分化的特点是经过一系列形态学变化,细胞变肥大, 最后软骨基质矿化。因此肥大带的软骨细胞体积增大,呈圆形,并排列成柱状,是成熟的软 骨细胞。研究表明肥大软骨细胞也表达骨钙素(osteocalcin)、骨桥蛋白(osteoprontin)和 骨涎蛋白(bone sialoprotein),而这三种蛋白以前一直被认为仅仅由成骨细胞表达。研究 还显示肥大软骨细胞在软骨内成骨的过程中在功能上与成骨细胞、血管细胞以及破骨细胞的 生成相偶联[10],故其数目变化在一定程度上可反映软骨细胞分化、成熟、矿化成 骨的情况。本实验显示10-7mol/L雌酚酮可使骺板肥大软骨细胞数目增加,表明体外 一定浓度的雌酚酮可以促进软骨细胞的分化成熟,从而促进软骨内骨形成。
作者简介:李灵芝(1963-),女,籍贯内蒙古,副教授,博士学位,从事 雌激素骨作用机制和雌激素类抗骨质疏松药物的开发及其药理活性研究。
, http://www.100md.com 4 参考文献
[1] Oursler M J, Osdoby P, Pyfferoen J, et al. Avian osteoclasts as estrogen target cells[J]. Proc Natl Acad Sci USA,1991,88:6613-6617.
[2] Riggs B L,Melton L J. Medical progress: involutional osteoporosis[J]. N Engl J Med, 1994,314: 1676-1684.
[3] Turner R T,Colvard D S, Spelberg T C. Estrogen inhibition of periosteal bo ne formation in rat long bones: down-regulation of gene expression for bone mat rix proteins[J]. Endocrinology, 1990, 27: 1346-1351.
, 百拇医药
[4] Yamamoto T T, Rodan G A. Direct effects of 17 β- estradiol on trabecular bone in ovariectomized rats[J]. Proc Natl Acad Sci USA, 1990,87:2172-21 76.
[5] Migliaccio S, Newbold E R,Bullock B C, et al. Alte-rations of mat ernal estrogen levels during gestation affect the skeleton of female offspring[J]. Endocrinology, 1996,137:2118-2125.
[6] 马丽英,王瑞淑,李 云,等.小鼠胚胎长骨体外培养的研究[J]. 卫生研究,1998,27 :399-401.
, 百拇医药
[7] Hatterley G,Kerby J A,Chambers T J. Identification of osteoclast precursor s in multilineage hemopoietic colonies[J]. Endocrinology, 1991,128:259-2 62.
[8] Jilka R L, Hangoc G, Girasole G, et al. Increased osteoclasts developm ent after estrogen loss: mediation by interleukin-6[J]. Science,1992,257 :88-91.
[9] Pottratz S T, Bellido T, Mocharia H, et al. 17 β- estradiol inhibits expression of human interleukin-6 promotor-reporter constructs by a receptor -dependent mechanism[J] .J Clin Invest, 1994,93:944-950.
[10] Gerstenfeld H F, Shapiro F D. Expression of bone-specific genes by hyper trophic chondrocytes: implication of the complex functions of the hypertrophic c hondrocytes during endochondral bone development[J]. J Cell Biochem, 1996, 62:1-9.
收稿日期:2000-01-05
回日期:2000-07-26, http://www.100md.com