细胞之间介质传导的pCEAcd-tk/前药体系的旁观者效应
作者:郭语彬 童大跃 伍新尧 罗超权 林达 许道松
单位:郭语彬 童大跃 罗超权(中山医科大学生化教研室,广东 广州 510089);伍新尧 林达 许道松(中山医科大学生化教研室,广东 广州 510089)
关键词:自杀基因;旁观者效应
癌症000407
【摘要】目的:探讨融合自杀基因pCEAcd-tk/前药体系的旁观者效应的机理。方法:质粒pCEAcd-tk提取后,脂质体介导的方法转染到SPCA-1细胞中,与未转染的SPCA-1细胞混合(2∶8)后接种到96孔培养板中(每孔3×103),加前体药物5-氟胞嘧啶[5-Fluorocytesine,5-FC(5μmol/L)]和[丙氧鸟苷(Ganciclovir,GCV(10μmol/L)],培养5天,MTT法测定细胞存活率而观察旁观者效应。利用细胞种植密度的稀密和取转导了pCEAcd-tk融合基因的SPCA-1细胞(处理细胞)加前体药物的培养液和细胞裂解液对未转染细胞SPCA-1的毒性探讨旁观者效应的传递方式。结果:融合基因pCEAcd-tk/前药体系的旁观者效应在细胞密度较低时更明显,处理细胞的细胞培养液具有细胞毒性。结论:融合自杀基因pCEAcd-tk/前药体系的旁观者效应的传递方式之一是通过细胞之间的某些介质传递。
, 百拇医药
中图分类号:R334.34 文献标识码:A 文章编号:1000-467X(2000)04-0311-03
The bystander effect of suicide gene pCEAcd-tk/predrug system mediated by the intercellular medium
GUO Yu-bin TONG Da-yue WU Xin-yao et al.
(Department of Biochemistry,Faculty of Forensic Medicine,Sun Yat-sen University of Medical Sciences,Guangzhou 510089,P.R.China)
【Abstract】 Objective:To study the mechanism of bystander effect of suicide gene pCEAcd-tk/predrug system. Methods:plasmid pCEAcd-tk was extracted and transfected into the SPCA-1 cells by cationic lipid-mediated transfection. The transfected cells were mixed with untransfected cells(2∶ 8) and cultured in 96-well plate (3× 103cells/well). Predrugs such as 5-FC(5μ mol/L) and GCV(10μ mol/L) were added into the medium and cultured for 5 days. Survival rate was measured with MTT assay,so that to observe bystander effect . As to determine the passway of bystander effect ,the SPCA-1 cell line (transfected and untransfected, 2∶ 8)was cultured in low population(1× 103cells/well)and high population(5× 103cells/well), and the cytotoxicity to the wild type cells of the medium and lysate of trans-feeted cells was analyzed. Results: The bystander effect of pCEA cd-tk /predrugs was obvious when the cell population was lower, and there were a toxicity to the wild type cells in the cultured medium and the cell lysate solution. Conclusion: The passway of bystander effect in pCEAcd-tk/predrugs system may be a intercellular medium-mediated process.
, 百拇医药
Key words: Suicide gene; Bystander effect
基因治疗肿瘤的主要缺陷之一是基因转染效率很低,不可能将外源基因导入到每一个靶细胞。自杀基因/前体药物体系有一个显著特点是存在旁观者效应(Bystandereffect)。这种旁观者效应是指在转染了自杀基因的肿瘤细胞死亡以后,它还引起周围未转染的细胞也死亡。这种旁观者效应显著地扩大了自杀基因/前体药物体系杀伤肿瘤细胞的能力。
Denning[1]等对旁观者效应的机理进行了初步研究,认为旁观者效应机理很复杂,不同自杀基因的旁观者效应的机理也不一样,如tk基因的旁观者效应主要通过缝隙连接传递,cd基因的旁观者效应主要通过介质传递。我组前期构建的cd-tk融合基因[2],其旁观者效应的机理又如何?本文对此作了研究,现报道如下。
1 材料与方法
, 百拇医药
1.1 质粒提取、纯化与鉴定
按照QIAGENplasmidMidiKit(100)方法制备质粒pCEAcd-tk,紫外分光光度计测定A260/A280在1.8~2.0。分别用HindIII、EcoRI及BamHⅠ酶切鉴定。
1.2细胞培养、转染及筛选
选用肺腺癌SPCA-1细胞培养(5%CO2、37℃),选用RPMI1640加10%灭活小牛血清做完全培养基,用胰酶消化细胞后,将2×105个细胞接种在6孔培养板上,待细胞的密度大约为60%时转染。将5μL质粒DNA(1μg/μL)、15μLESCORTTransfectionTM脂质体(Sigma)及230μLDMEM培养基在体外混合,室温放置15min,再加到6孔培养板中,37℃孵育6小时后,弃去DNA-ESCORT混合液,加入完全培养基继续培养,24小时后加入含G418(GIBCO)0.3mg/mL的选择培养基筛选,直至出现阳性克隆。
, 百拇医药
1.3细胞毒性测定
转染细胞大量培养后,与未转染细胞按2∶8比例加入到96孔培养板中,每孔3×103,加入不同浓度的前体药物GCV(0.1μmol/L~1mol/L)和5-FC(0.5μmol/L~5mol/L)孵育5~6天后加入MTT(2mg/mL)50μl,37℃孵育4小时,再加入二甲基亚砜(Sigma)150μl,以570nm为测定波长,630nm为参考波长,测定OD值。根据下列公式计算细胞存活率:存活率(%)=实验孔平均OD值/对照孔平均OD值×100%
2 结果
2.1质粒pCEAcd-tk的酶切鉴定结果
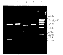
用EcoR和Hind酶切后的融合基因cd-tk长约2.5kb;EcoR和BamH酶切后的tk基因长约1.2kb;BamH和Hind酶切后的cd基因长约1.3kb(见图1)。
, 百拇医药
图1pCEAcd-tk用不同的内切酶消化,在1%琼脂糖凝胶电泳鉴定结果
1.pCEAcd-tk/BamHⅠ+HindⅢ,cd基因2.pCEAcd-tk/EcoRⅠ+BamHⅠ,tk基因;
3.pCEAcd-tk/EcoRⅠ+HindⅢ,cd-tk基因;
4.pCEAcd-tk;
5.λDNA/EcoRⅠ+HindⅢ;
2.2前体药物5-FC和GCV对转染细胞SPCA-1/cd-tk和未转染细胞SPCA-1的毒性作用
加入不同浓度的前体药物后,转染了cd-tk融合基因的SPCA-1细胞(SPCA-1/cd-tk)对前体药物的敏感性提高,其IC50:5-FC为5.2μmol/L,GCV为1μmol/L,而未转染融合基因的SPCA-1细胞的IC50:5-FC为649.9μmol/L,GCV为129.9μmol/L,可见转染了cd-tk融合基因的SPCA-1细胞对前体药物的敏感性分别提高了124.9倍和120.9倍,见表1。
, http://www.100md.com
表1 SPCA-1和SPCA-1/cd-tk细胞对前体药物5-FC和GCV的敏感性 细胞株
IC50(μmol/L)
5-FC
GCV
SPCA-1
649.9
129.9
SPCA-1/cd-tk
5.2
1.0
2.3旁观者效应
, 百拇医药
转染细胞SPCA-1/cd-tk和未转染细胞SPCA-1按不同比例(0、20%、40%、60%、80%、100%)混合后,分两种细胞密度(5×103/孔和1×103/孔)接种在96孔培养板中,加入10μmol/LGCV和5μmol/L5-FC,37℃孵育120小时,MTT法测定每孔的吸光度,然后计算细胞生长存活率,见表2。表2 转染融合基因cd-tk的SPCA-1细胞的旁观者效应 转染细胞(%)
存活率(%)
高细胞密度
(5×103/孔)
高细胞密度
(5×103/孔)
2
, 百拇医药
94
98
20
43
37
40
38
24
60
14
8
80
9
3
, http://www.100md.com
100
3
0.7
从表2可以看出,当细胞密度较低时,旁观者效应更为明显。由此可以看出,cd-tk的旁观者效应不依赖于缝隙连接,而与细胞与细胞之间的介质传导相关。为了验证转染细胞是否释放了可溶性毒性成分到胞外介质中,接着做了以下实验。
2.4细胞裂解液和细胞培养液对未转染细胞的毒性作用
分别收集转染cd-tk的SPCA-1细胞培养液和裂解液以及未转染cd-tk的SPCA-1细胞培养液和裂解液分别加入到SPCA-1细胞中。用96孔培养板,细胞种植密度为1×103/孔,37℃培养72小时后,测定MTT,计算细胞存活率,见表3。表3 处理细胞的培养液和细胞裂解液对SPCA-1细胞株的毒性作用 处理因素
, 百拇医药
细胞存活率(%)
SPCA-1培养液
104
SPCA-1裂解液
129
SPCA-1/cd-tk培养液
57
SPCA-1/cd-tk裂解液
64
从表3可见:①转染了pCEAcd-tk的SPCA-1细胞培养液和细胞裂解液对同类肿瘤细胞均有一定的毒性作用。细胞存活率分别为57%和64%;②未转染自杀性基因的细胞培养液对同类细胞无毒性,而其细胞裂解液对同类细胞的生长有促进作用。
, 百拇医药
3 讨论
目前,自杀基因的旁观者效应的机理倍受重视,因为旁观者效应显著地扩大了自杀基因/前体药物体系杀伤肿瘤细胞的能力,Vrionis[3]报道了HSVtk/GCV体系的旁观者效应主要与细胞与细胞之间的缝隙连接相关。只有细胞与细胞之间的紧密接触,才会产生旁观者效应,并且这种旁观者效应存在细胞之间的差异性,有的细胞株在导入HSV-tk基因以后有较强的旁观者效应,而有的细胞株的旁观者效应则较弱。这种差异性通过实验证实与构成缝隙连接的细胞膜上的一种蛋白家族(Cennexin)有关。Huber[4]将cd基因转入到大肠癌细胞,发现在体外的cd基因的旁观者效应并非需要细胞与细胞之间的紧密接触,而是通过细胞之间的介质传导一种毒性成分。综上所述,不同的自杀基因其旁观者效应的机理不一样。那么我们前期构建的融合自杀基因cd-tk/前体药物体系的旁观者效应,在细胞接种密度较低时的旁观者效应高于接种细胞密度高时的旁观者效应,说明融合基因的旁观者效应与通过介质传导相关。
, 百拇医药
那么传导的物质成分是什么呢?目前尚在探索之中。如Bi[5]提出是一种磷酸化的GCV的直接传递,Huber[4]认为cd基因的旁观者效应是传递了5-FU,但也有学者提出转染了自杀基因的细胞的死亡是一种凋亡[6],凋亡细胞释放凋亡小体可以传递cd或tk酶本身。但也有学者认为是传递了一种细胞因子,有免疫机制的参与[7]。众多学说的提出,目前还不能明确具体是何种成分进行了传递。
本课题计划先用超滤的方法把有毒性的处理细胞的培养液分为分子量不同大小的几个组分(>50000,10000~50000,5000~10000,再用沉析和高效液相色谱进分离,必要时联用质谱或氨基酸序列分析,期待分离到产生旁观者效应的有效组分.
通讯作者:郭语彬 Tel:86-20-87330621 Fax:86-20-87331679 E-mail:ybguo1963@163.net
, http://www.100md.com
[参考文献]
[1]Denning C,Pitts JD.Bystander effects of different enzyme-progrug systems for cancer gene therapy depend on different pathways for intercellular transfer of toxic metabolites,a factor that will govern clinical choice of appropriate regimes [J]. Hum Gene Ther,1997,8: 1825~ 1835.
[2]许道松,伍新尧,钟女奇,等.CEA启动子驱动cd-tk表达对CEAS阳性肿瘤的杀伤作用[J].癌症,1998,17(5):349~351.
[3]Vrionis FD,Wu JK,Qi P, et al.The bystander effect exerted by tumor cells expressing the herpes simplex virus thymidine kinase (HSV- tk) gene is dependent on connexin expression and cell communication via gap junctions [J]. Gene Ther,1997,4: 577~ 585.
, 百拇医药
[4]Huber BE,Austin EA,Richards CA, et al. Metabolism of 5-fluorocytosine in human colorectal tumor cells transduced with the cytosine deaminase gene:significant antitumor effects when only a small percentage of tumor cells erpress cytosine deaminase [J]. Proc Natl Acad Sci USA, 1994,91:8302~ 8306.
[5]Bi WL, Parysek LM,Warnick R,et al.In vitro evidence that metabolic cooperation is responsible for the bystander effect observed with HSVtk retroviral gene therapy [J].Hum Gene Ther, 1993,4: 725~ 731.
, http://www.100md.com
[6]Freeman SM,Abboud CN,Whartenby KA, et al.The “ bystander effect” : tumor regression when a fraction of the tumor mass is genetically modified [J] . Cancer Res, 1993,53: 5274~ 5283.
[7]Colombo BM, Benedetti S, Ottolenghi S,et al.The “ bystander effect” :association of U-87 cell death with ganciclovir-mediated apoptosis of nearby cells and lack of effect in athymice mice [J]. Hum Gene Ther, 1995,6: 763~ 772.
收稿日期:1999-07-27
修回日期:1999-09-06, 百拇医药
单位:郭语彬 童大跃 罗超权(中山医科大学生化教研室,广东 广州 510089);伍新尧 林达 许道松(中山医科大学生化教研室,广东 广州 510089)
关键词:自杀基因;旁观者效应
癌症000407
【摘要】目的:探讨融合自杀基因pCEAcd-tk/前药体系的旁观者效应的机理。方法:质粒pCEAcd-tk提取后,脂质体介导的方法转染到SPCA-1细胞中,与未转染的SPCA-1细胞混合(2∶8)后接种到96孔培养板中(每孔3×103),加前体药物5-氟胞嘧啶[5-Fluorocytesine,5-FC(5μmol/L)]和[丙氧鸟苷(Ganciclovir,GCV(10μmol/L)],培养5天,MTT法测定细胞存活率而观察旁观者效应。利用细胞种植密度的稀密和取转导了pCEAcd-tk融合基因的SPCA-1细胞(处理细胞)加前体药物的培养液和细胞裂解液对未转染细胞SPCA-1的毒性探讨旁观者效应的传递方式。结果:融合基因pCEAcd-tk/前药体系的旁观者效应在细胞密度较低时更明显,处理细胞的细胞培养液具有细胞毒性。结论:融合自杀基因pCEAcd-tk/前药体系的旁观者效应的传递方式之一是通过细胞之间的某些介质传递。
, 百拇医药
中图分类号:R334.34 文献标识码:A 文章编号:1000-467X(2000)04-0311-03
The bystander effect of suicide gene pCEAcd-tk/predrug system mediated by the intercellular medium
GUO Yu-bin TONG Da-yue WU Xin-yao et al.
(Department of Biochemistry,Faculty of Forensic Medicine,Sun Yat-sen University of Medical Sciences,Guangzhou 510089,P.R.China)
【Abstract】 Objective:To study the mechanism of bystander effect of suicide gene pCEAcd-tk/predrug system. Methods:plasmid pCEAcd-tk was extracted and transfected into the SPCA-1 cells by cationic lipid-mediated transfection. The transfected cells were mixed with untransfected cells(2∶ 8) and cultured in 96-well plate (3× 103cells/well). Predrugs such as 5-FC(5μ mol/L) and GCV(10μ mol/L) were added into the medium and cultured for 5 days. Survival rate was measured with MTT assay,so that to observe bystander effect . As to determine the passway of bystander effect ,the SPCA-1 cell line (transfected and untransfected, 2∶ 8)was cultured in low population(1× 103cells/well)and high population(5× 103cells/well), and the cytotoxicity to the wild type cells of the medium and lysate of trans-feeted cells was analyzed. Results: The bystander effect of pCEA cd-tk /predrugs was obvious when the cell population was lower, and there were a toxicity to the wild type cells in the cultured medium and the cell lysate solution. Conclusion: The passway of bystander effect in pCEAcd-tk/predrugs system may be a intercellular medium-mediated process.
, 百拇医药
Key words: Suicide gene; Bystander effect
基因治疗肿瘤的主要缺陷之一是基因转染效率很低,不可能将外源基因导入到每一个靶细胞。自杀基因/前体药物体系有一个显著特点是存在旁观者效应(Bystandereffect)。这种旁观者效应是指在转染了自杀基因的肿瘤细胞死亡以后,它还引起周围未转染的细胞也死亡。这种旁观者效应显著地扩大了自杀基因/前体药物体系杀伤肿瘤细胞的能力。
Denning[1]等对旁观者效应的机理进行了初步研究,认为旁观者效应机理很复杂,不同自杀基因的旁观者效应的机理也不一样,如tk基因的旁观者效应主要通过缝隙连接传递,cd基因的旁观者效应主要通过介质传递。我组前期构建的cd-tk融合基因[2],其旁观者效应的机理又如何?本文对此作了研究,现报道如下。
1 材料与方法
, 百拇医药
1.1 质粒提取、纯化与鉴定
按照QIAGENplasmidMidiKit(100)方法制备质粒pCEAcd-tk,紫外分光光度计测定A260/A280在1.8~2.0。分别用HindIII、EcoRI及BamHⅠ酶切鉴定。
1.2细胞培养、转染及筛选
选用肺腺癌SPCA-1细胞培养(5%CO2、37℃),选用RPMI1640加10%灭活小牛血清做完全培养基,用胰酶消化细胞后,将2×105个细胞接种在6孔培养板上,待细胞的密度大约为60%时转染。将5μL质粒DNA(1μg/μL)、15μLESCORTTransfectionTM脂质体(Sigma)及230μLDMEM培养基在体外混合,室温放置15min,再加到6孔培养板中,37℃孵育6小时后,弃去DNA-ESCORT混合液,加入完全培养基继续培养,24小时后加入含G418(GIBCO)0.3mg/mL的选择培养基筛选,直至出现阳性克隆。
, 百拇医药
1.3细胞毒性测定
转染细胞大量培养后,与未转染细胞按2∶8比例加入到96孔培养板中,每孔3×103,加入不同浓度的前体药物GCV(0.1μmol/L~1mol/L)和5-FC(0.5μmol/L~5mol/L)孵育5~6天后加入MTT(2mg/mL)50μl,37℃孵育4小时,再加入二甲基亚砜(Sigma)150μl,以570nm为测定波长,630nm为参考波长,测定OD值。根据下列公式计算细胞存活率:存活率(%)=实验孔平均OD值/对照孔平均OD值×100%
2 结果
2.1质粒pCEAcd-tk的酶切鉴定结果
用EcoR和Hind酶切后的融合基因cd-tk长约2.5kb;EcoR和BamH酶切后的tk基因长约1.2kb;BamH和Hind酶切后的cd基因长约1.3kb(见图1)。
, 百拇医药
图1pCEAcd-tk用不同的内切酶消化,在1%琼脂糖凝胶电泳鉴定结果
1.pCEAcd-tk/BamHⅠ+HindⅢ,cd基因2.pCEAcd-tk/EcoRⅠ+BamHⅠ,tk基因;
3.pCEAcd-tk/EcoRⅠ+HindⅢ,cd-tk基因;
4.pCEAcd-tk;
5.λDNA/EcoRⅠ+HindⅢ;
2.2前体药物5-FC和GCV对转染细胞SPCA-1/cd-tk和未转染细胞SPCA-1的毒性作用
加入不同浓度的前体药物后,转染了cd-tk融合基因的SPCA-1细胞(SPCA-1/cd-tk)对前体药物的敏感性提高,其IC50:5-FC为5.2μmol/L,GCV为1μmol/L,而未转染融合基因的SPCA-1细胞的IC50:5-FC为649.9μmol/L,GCV为129.9μmol/L,可见转染了cd-tk融合基因的SPCA-1细胞对前体药物的敏感性分别提高了124.9倍和120.9倍,见表1。
, http://www.100md.com
表1 SPCA-1和SPCA-1/cd-tk细胞对前体药物5-FC和GCV的敏感性 细胞株
IC50(μmol/L)
5-FC
GCV
SPCA-1
649.9
129.9
SPCA-1/cd-tk
5.2
1.0
2.3旁观者效应
, 百拇医药
转染细胞SPCA-1/cd-tk和未转染细胞SPCA-1按不同比例(0、20%、40%、60%、80%、100%)混合后,分两种细胞密度(5×103/孔和1×103/孔)接种在96孔培养板中,加入10μmol/LGCV和5μmol/L5-FC,37℃孵育120小时,MTT法测定每孔的吸光度,然后计算细胞生长存活率,见表2。表2 转染融合基因cd-tk的SPCA-1细胞的旁观者效应 转染细胞(%)
存活率(%)
高细胞密度
(5×103/孔)
高细胞密度
(5×103/孔)
2
, 百拇医药
94
98
20
43
37
40
38
24
60
14
8
80
9
3
, http://www.100md.com
100
3
0.7
从表2可以看出,当细胞密度较低时,旁观者效应更为明显。由此可以看出,cd-tk的旁观者效应不依赖于缝隙连接,而与细胞与细胞之间的介质传导相关。为了验证转染细胞是否释放了可溶性毒性成分到胞外介质中,接着做了以下实验。
2.4细胞裂解液和细胞培养液对未转染细胞的毒性作用
分别收集转染cd-tk的SPCA-1细胞培养液和裂解液以及未转染cd-tk的SPCA-1细胞培养液和裂解液分别加入到SPCA-1细胞中。用96孔培养板,细胞种植密度为1×103/孔,37℃培养72小时后,测定MTT,计算细胞存活率,见表3。表3 处理细胞的培养液和细胞裂解液对SPCA-1细胞株的毒性作用 处理因素
, 百拇医药
细胞存活率(%)
SPCA-1培养液
104
SPCA-1裂解液
129
SPCA-1/cd-tk培养液
57
SPCA-1/cd-tk裂解液
64
从表3可见:①转染了pCEAcd-tk的SPCA-1细胞培养液和细胞裂解液对同类肿瘤细胞均有一定的毒性作用。细胞存活率分别为57%和64%;②未转染自杀性基因的细胞培养液对同类细胞无毒性,而其细胞裂解液对同类细胞的生长有促进作用。
, 百拇医药
3 讨论
目前,自杀基因的旁观者效应的机理倍受重视,因为旁观者效应显著地扩大了自杀基因/前体药物体系杀伤肿瘤细胞的能力,Vrionis[3]报道了HSVtk/GCV体系的旁观者效应主要与细胞与细胞之间的缝隙连接相关。只有细胞与细胞之间的紧密接触,才会产生旁观者效应,并且这种旁观者效应存在细胞之间的差异性,有的细胞株在导入HSV-tk基因以后有较强的旁观者效应,而有的细胞株的旁观者效应则较弱。这种差异性通过实验证实与构成缝隙连接的细胞膜上的一种蛋白家族(Cennexin)有关。Huber[4]将cd基因转入到大肠癌细胞,发现在体外的cd基因的旁观者效应并非需要细胞与细胞之间的紧密接触,而是通过细胞之间的介质传导一种毒性成分。综上所述,不同的自杀基因其旁观者效应的机理不一样。那么我们前期构建的融合自杀基因cd-tk/前体药物体系的旁观者效应,在细胞接种密度较低时的旁观者效应高于接种细胞密度高时的旁观者效应,说明融合基因的旁观者效应与通过介质传导相关。
, 百拇医药
那么传导的物质成分是什么呢?目前尚在探索之中。如Bi[5]提出是一种磷酸化的GCV的直接传递,Huber[4]认为cd基因的旁观者效应是传递了5-FU,但也有学者提出转染了自杀基因的细胞的死亡是一种凋亡[6],凋亡细胞释放凋亡小体可以传递cd或tk酶本身。但也有学者认为是传递了一种细胞因子,有免疫机制的参与[7]。众多学说的提出,目前还不能明确具体是何种成分进行了传递。
本课题计划先用超滤的方法把有毒性的处理细胞的培养液分为分子量不同大小的几个组分(>50000,10000~50000,5000~10000,再用沉析和高效液相色谱进分离,必要时联用质谱或氨基酸序列分析,期待分离到产生旁观者效应的有效组分.
通讯作者:郭语彬 Tel:86-20-87330621 Fax:86-20-87331679 E-mail:ybguo1963@163.net
, http://www.100md.com
[参考文献]
[1]Denning C,Pitts JD.Bystander effects of different enzyme-progrug systems for cancer gene therapy depend on different pathways for intercellular transfer of toxic metabolites,a factor that will govern clinical choice of appropriate regimes [J]. Hum Gene Ther,1997,8: 1825~ 1835.
[2]许道松,伍新尧,钟女奇,等.CEA启动子驱动cd-tk表达对CEAS阳性肿瘤的杀伤作用[J].癌症,1998,17(5):349~351.
[3]Vrionis FD,Wu JK,Qi P, et al.The bystander effect exerted by tumor cells expressing the herpes simplex virus thymidine kinase (HSV- tk) gene is dependent on connexin expression and cell communication via gap junctions [J]. Gene Ther,1997,4: 577~ 585.
, 百拇医药
[4]Huber BE,Austin EA,Richards CA, et al. Metabolism of 5-fluorocytosine in human colorectal tumor cells transduced with the cytosine deaminase gene:significant antitumor effects when only a small percentage of tumor cells erpress cytosine deaminase [J]. Proc Natl Acad Sci USA, 1994,91:8302~ 8306.
[5]Bi WL, Parysek LM,Warnick R,et al.In vitro evidence that metabolic cooperation is responsible for the bystander effect observed with HSVtk retroviral gene therapy [J].Hum Gene Ther, 1993,4: 725~ 731.
, http://www.100md.com
[6]Freeman SM,Abboud CN,Whartenby KA, et al.The “ bystander effect” : tumor regression when a fraction of the tumor mass is genetically modified [J] . Cancer Res, 1993,53: 5274~ 5283.
[7]Colombo BM, Benedetti S, Ottolenghi S,et al.The “ bystander effect” :association of U-87 cell death with ganciclovir-mediated apoptosis of nearby cells and lack of effect in athymice mice [J]. Hum Gene Ther, 1995,6: 763~ 772.
收稿日期:1999-07-27
修回日期:1999-09-06, 百拇医药