膀胱移行细胞癌增殖细胞核抗原与肿瘤间质微血管密度的表达与临床及预后的意义
作者:赵志德 李玉林 寇伯君 吴珊 韩英杰 鲁学军
单位:赵志德 白求恩医科大学中日联谊医院泌尿外科(长春市 130031);鲁学军 白求恩医科大学中日联谊医院泌尿外科(长春市 130031);李玉林 白求恩医科大学基础医学院病理教研室;寇伯君 白求恩医科大学基础医学院病理教研室;吴珊 白求恩医科大学基础医学院病理教研室;韩英杰 白求恩医科大学基础医学院病理教研室
关键词:膀胱移行细胞癌;PCNA;肿瘤间质微血管密度;免疫组化
中国肿瘤临床000409
摘要 目的:探讨膀胱移行细胞癌组织中增殖细胞核抗原(PCNA)与肿瘤间质微血管密度 (MVD)的表达及其临床与预后的意义。方法:对72例膀胱移行细胞癌进行PCNA及第Ⅷ因子 相关抗原(VWF:Ag)单克隆抗体免疫组化染色。结果:PCNA增殖指数与肿瘤间质微血管密度 之间存在正相关性,二者的表达皆与膀胱移行细胞癌的病理分级显著相关,Ⅰ级与Ⅱ级、Ⅱ 级与Ⅲ级之间存在显著性差异(P<0.01);侵袭性肿瘤明显高于浅表性肿瘤(P<0.01).手术2年后随访复发组明显高于未复发组(P<0.01).结论:PCNA的表达为膀胱移行细胞癌的恶性表型,且与膀胱肿瘤间质微血管形成有关,上述二项指标对评估膀胱移行细胞癌的预生有重要的意义.
, 百拇医药
Clinical and Prognostic Significance of PCNA Expression and
Tumor Interstitial Vascular Density in Transitional Cell Bladder Cancer
Zhao Zhide Li Yulin Kou Baijun et al
China-Japan Union Hospital, Norman Bethune University of Medical Sciences, Changchun
Abstract Objective: To evaluate the clinical and prognostic significance of proliferating cell nuclear antigen (PCNA) expression and tumor interstitial microvessel density (MVD) in transitional cell bladder cancer. Methods: The expression of PCNA and MVD in 72 cases of transitional cell bladder cancer were determined with anti- PCNA McAb and anti-VWF by Ag McAb immunohistochemical staining. Results: It was shown that the expression of PCNA in bladder cancer was positively correlated to tumor interstitial vascular density. These two indices increased with the escalation of the tumor grade(P<0.01).The PCNA and MVD expression in resurrent tumours were higher than those without(P<0.01).Conclusion:The resuls suggest that the expression of PCNA is a malignant phenotype in transitional cell bladder cancer and that it is related to the formation of tumor interstitial vascularity.The PCNA expression and MVD measurement is of significance in assessing the prognosis of transitional cell bladder cancer.
, 百拇医药
Key Words Transitional cell bladder cancer PCNA Tumor interstitial vascular density Immunohistochemistry
膀胱移行细胞癌是泌尿系统最常见的恶性肿瘤。生物学行为及预后难以估计。PCNA是与 周期细胞相关的抗原之一,因此常将PCNA指数作为肿瘤增殖程度的指标,而肿瘤血管的形成 是肿瘤组织得以生存并赖以迅速生长和远距离转移必要条件,有关膀胱肿瘤中PCNA与肿瘤间 质微血管密度的关系国内鲜有报道。本研究应用LSAB法免疫组化技术从蛋白水平上,探讨膀 胱移行细胞癌组织中PCNA与肿瘤间质微血管密度的关系及其临床和预后意义。
1 材料与方法
1.1 临床资料
1994年1月~1996年1月间白求恩医科大学第三临床医学院有随访结果的膀胱移行细胞癌 手术标本72例,其中男46例,女26例;平均年龄47.9岁。所有病例术前均未行放、化疗和免 疫治疗。术后皆应用丝裂霉素C常规膀胱灌注治疗,均未行放疗和免疫治疗。所有组织均经C arnoy液固定,梯度脱水,石蜡包埋后4μm连续切片。标本病理分级按WHO分级标准[1]: 其中Ⅰ级19例,Ⅱ级35例,Ⅲ级18例。浸润深度按UICC-TNM标准[1]:浅表性肿瘤Tis~T1期24例,浸润性肿瘤T2~T4期48例。预后结果:术后2年随访,肿瘤未复发组32例,复发组 40例。
, 百拇医药
1.2 试剂
实验用单克隆抗体PCNA(工作浓度1:100),第Ⅷ因子相关抗原(VWF:Ag)单克隆抗体( 工作浓度1:400),LSAB试剂盒为DAKO公司产品,用已知阳性切片作阳性对照,用PBS液代替 一抗作阴性对照,DAB显色,Mayer苏木素复染。
1.3 结果判断
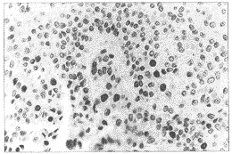
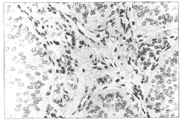
PCNA为颗粒型阳性,定位于细胞核,呈黄褐色(图1),每张切片选取10个不同视野用网 格测微尺记数100个网格内肿瘤细胞数及阳性核细胞数,计算阳性核细胞数占总的肿瘤细胞 数的百分比,再取10个视野的平均值作为该患者膀胱移行细胞癌的PCNA值。VWF:Ag以血管内 皮细胞染成棕黄色为阳性(图2),单个的内皮细胞着色也判断为阳性。用OLYMPUS显微镜在 200倍视野下对每例膀胱移行细胞癌的VWF:Ag染色切片选取10个血管数目最多的视野计数其 血管数,计算其平均数。
, 百拇医药
图1 PCNA在膀胱移行细胞癌组织中的表达:
PCNA为颗粒型阳性,部位在细胞核,呈黄褐色LSAB法×400
图2 VWF:Ag在膀胱移行细胞癌组织中的表达:
可见肿瘤间质血管内皮细胞染成棕黄色LSAB法×200
1.4 统计学方法
采用t检验和方差分析。
2 结果
2.1 PCNA与肿瘤微血管密度在膀胱移行细胞癌中的表达
见附表。
, 百拇医药
附表 PCNA与肿瘤微血管密度在膀胱移行细胞癌中的表达 表达项目
例数
平均MVD值
PCNA值(%)
病理分级
Ⅰ
19
24.9±7.7
27.5±9.2
Ⅱ
35
37.3±13.6
, http://www.100md.com
49.4±15.5
Ⅲ
18
54.3±16.1
63.2±±11.3
浸润深度
表浅性
24
26.4±10.3
29.8±14.4
浸润性
48
44.2±12.5
, 百拇医药
55.7±21.0
预后结果
未复发组
32
29.1±9.7
34.2±13.1
复发组
40
45.6±19.9
57.4±23.6
由表可知:PCNA增殖指数与肿瘤间质微血管密度二者的表达皆与膀胱移行细胞癌的病理 分级、浸润深度和预后结果密切相关:Ⅰ级与Ⅱ级、Ⅱ级与Ⅲ、浅表性与浸润性、复发组与 未复发组之间存在显著性差异(P<0.01)。
, 百拇医药
2.2 PCNA增殖指数与肿瘤间质微血管密度之间的关系
PCNA增殖指数与肿瘤间质微血管密度之间存在正相关性,随着肿瘤间质微血管密度的增 加肿瘤细胞的增殖活性亦相应增加(回归方程:
=-9.17+1.47X)。
3 讨论
PCNA是一种分子量为36000酸性蛋白,是DNA聚合酶delta的辅助成分,与DNA复制和细胞 增生密切相关,于细胞周期G1期开始合成,S期达高峰,G2期下降,M期测不到,可反应细胞 增殖分数和所处周期。最近发现它可用于多种良恶性肿瘤的鉴别和预后评估[2,3],已发现在胃癌、膀胱移行细胞癌和淋巴瘤中PCNA表达增高提示 预后差[4]。Lipponen等[5]对178例膀胱移行细胞癌进行了十年的随访,认为PCNA表达 可作为判断膀胱移行细胞癌预后的指标之一。本研究结果发现膀胱移行细胞癌PCNA增殖指数 随着膀胱移行细胞癌的病理分级的增高而增加;浸润性肿瘤、复发组明显高于浅表性肿瘤、未复发组,这同Lipponen等[5]、Kuroda等[6]、丁强等[7]研究结果一致,从而进一 步证实在膀胱移行细胞癌组织中PCNA增殖指数可作为判断膀胱肿瘤恶性程度、浸润能力乃至 预后的指标。
, http://www.100md.com
肿瘤细胞的浸润及转移有赖于肿瘤血管的生成,肿瘤血管是向肿瘤组织生长或在肿瘤组 织内部生长的新生血管网,由肿瘤内部的残留血管和肿瘤外部血管长入组成,包括微动脉、 微静脉和毛细血管。已证实肿瘤细胞及其相关性炎性细胞释放的特殊因子、细胞外基质、细 胞粘附分子等可诱导产生肿瘤微小血管,后者是肿瘤细胞浸润和转移的重要因素[8,9]。V WF:Ag位于血管内皮细胞的Weibel-palade小体上,是血管内皮细胞的标记抗原,而一些血 管依赖性的肿瘤微血管与肿瘤的生物学行为密切相关。本实验结果显示:肿瘤微血管密度值 亦随着膀胱移行细胞癌的病理分级的增高而增加,浸润性肿瘤、复发组亦明显高于浅表性肿 瘤、未复发组。说明随着膀胱移行细胞癌的病理分级的增高、浸润深度的增加,肿瘤微血管 的形成亦相应增加,促进癌细胞的合成代谢,加速排泻酸性及毒性代谢产物,为肿瘤细胞的 快速增长及物质代谢提供了物质基础[9]。
肿瘤细胞的生长繁殖依赖其周围的微血管提供充足的养分,本组研究结果显示膀胱移行 细胞癌PCNA增殖指数与肿瘤间质微血管密度存在正相关性,并且肿瘤细胞越靠近血管,肿瘤 细胞的增殖能力越强,从而在形态学上证实:肿瘤血管的生长越丰富,肿瘤细胞的增殖能力 越强,同时随着膀胱肿瘤的病理分级的增高、向深层浸润的加深,肿瘤复发的机率就会越高 ,预后就越差。因此无论对PCNA或MVD表达较强的患者都应给予严密随访观察,增加膀胱镜 复查次数,扩大复发肿瘤电灼或手术范围,使治疗效果及预后结果更好。
, 百拇医药
参考文献
[1]阶平.泌尿外科.济南:山东科学技术出版社,1993:444
[2]Mayer A,Takimoto M,Fritz E,et al. The prognostic significance ofproliferating cell nuclear antigen,epidermal growth factor receptor and mdr gene expression in colorectal cancer. Cancer,1993;71:2454
[3]Hall PA,Levison DA,Woods AL,et al. Proliferating cell nuclear antigen (PCNA) immunolocalization in paraffin section:an index of cell proliferation with evidence of deregulated expression in some neoplasms. J pathol,1990;162:285
, http://www.100md.com
[4]Jain S,Filipe MI,Hall PA,et al. Prognostic value of proliferating cell nuclear in gastic carcinoma. J Clin pathol,1991;44:655
[5]Lipponen PK,Eskelinen MJ. Cell proliferation of transitional cell bladder tumour determined by PCNA/cyclin immunostaining and its prognostic value. Br J Cancer,1992;66:171
[6]Kuroda H,Yasunaga Y,Takatera H,et al. Growth factions of bladder cancer determined by proliferating cell nuclear antigen immunostaining. Hinyokika Kiyo,1994;40:379
, 百拇医药
[7]丁强,张元芳,孙逊,等.p21、p53蛋白和增殖细胞核抗原在膀胱癌中的表达及意义.中华病理学杂志,1997;26:211
[8]Folkman J. In biologic therapy of cancer (Devita V,Hellman S and Rosenberg SA eds) Lippincott Co. Philadelphia,1991;743
[9]Blood CH,Zether BR. Tumor interaction with the vasculature:angiogenesis and tumor metastasis. Biochim Biophys Acta,1990;1032:89
(1999-07-10收稿), http://www.100md.com
单位:赵志德 白求恩医科大学中日联谊医院泌尿外科(长春市 130031);鲁学军 白求恩医科大学中日联谊医院泌尿外科(长春市 130031);李玉林 白求恩医科大学基础医学院病理教研室;寇伯君 白求恩医科大学基础医学院病理教研室;吴珊 白求恩医科大学基础医学院病理教研室;韩英杰 白求恩医科大学基础医学院病理教研室
关键词:膀胱移行细胞癌;PCNA;肿瘤间质微血管密度;免疫组化
中国肿瘤临床000409
摘要 目的:探讨膀胱移行细胞癌组织中增殖细胞核抗原(PCNA)与肿瘤间质微血管密度 (MVD)的表达及其临床与预后的意义。方法:对72例膀胱移行细胞癌进行PCNA及第Ⅷ因子 相关抗原(VWF:Ag)单克隆抗体免疫组化染色。结果:PCNA增殖指数与肿瘤间质微血管密度 之间存在正相关性,二者的表达皆与膀胱移行细胞癌的病理分级显著相关,Ⅰ级与Ⅱ级、Ⅱ 级与Ⅲ级之间存在显著性差异(P<0.01);侵袭性肿瘤明显高于浅表性肿瘤(P<0.01).手术2年后随访复发组明显高于未复发组(P<0.01).结论:PCNA的表达为膀胱移行细胞癌的恶性表型,且与膀胱肿瘤间质微血管形成有关,上述二项指标对评估膀胱移行细胞癌的预生有重要的意义.
, 百拇医药
Clinical and Prognostic Significance of PCNA Expression and
Tumor Interstitial Vascular Density in Transitional Cell Bladder Cancer
Zhao Zhide Li Yulin Kou Baijun et al
China-Japan Union Hospital, Norman Bethune University of Medical Sciences, Changchun
Abstract Objective: To evaluate the clinical and prognostic significance of proliferating cell nuclear antigen (PCNA) expression and tumor interstitial microvessel density (MVD) in transitional cell bladder cancer. Methods: The expression of PCNA and MVD in 72 cases of transitional cell bladder cancer were determined with anti- PCNA McAb and anti-VWF by Ag McAb immunohistochemical staining. Results: It was shown that the expression of PCNA in bladder cancer was positively correlated to tumor interstitial vascular density. These two indices increased with the escalation of the tumor grade(P<0.01).The PCNA and MVD expression in resurrent tumours were higher than those without(P<0.01).Conclusion:The resuls suggest that the expression of PCNA is a malignant phenotype in transitional cell bladder cancer and that it is related to the formation of tumor interstitial vascularity.The PCNA expression and MVD measurement is of significance in assessing the prognosis of transitional cell bladder cancer.
, 百拇医药
Key Words Transitional cell bladder cancer PCNA Tumor interstitial vascular density Immunohistochemistry
膀胱移行细胞癌是泌尿系统最常见的恶性肿瘤。生物学行为及预后难以估计。PCNA是与 周期细胞相关的抗原之一,因此常将PCNA指数作为肿瘤增殖程度的指标,而肿瘤血管的形成 是肿瘤组织得以生存并赖以迅速生长和远距离转移必要条件,有关膀胱肿瘤中PCNA与肿瘤间 质微血管密度的关系国内鲜有报道。本研究应用LSAB法免疫组化技术从蛋白水平上,探讨膀 胱移行细胞癌组织中PCNA与肿瘤间质微血管密度的关系及其临床和预后意义。
1 材料与方法
1.1 临床资料
1994年1月~1996年1月间白求恩医科大学第三临床医学院有随访结果的膀胱移行细胞癌 手术标本72例,其中男46例,女26例;平均年龄47.9岁。所有病例术前均未行放、化疗和免 疫治疗。术后皆应用丝裂霉素C常规膀胱灌注治疗,均未行放疗和免疫治疗。所有组织均经C arnoy液固定,梯度脱水,石蜡包埋后4μm连续切片。标本病理分级按WHO分级标准[1]: 其中Ⅰ级19例,Ⅱ级35例,Ⅲ级18例。浸润深度按UICC-TNM标准[1]:浅表性肿瘤Tis~T1期24例,浸润性肿瘤T2~T4期48例。预后结果:术后2年随访,肿瘤未复发组32例,复发组 40例。
, 百拇医药
1.2 试剂
实验用单克隆抗体PCNA(工作浓度1:100),第Ⅷ因子相关抗原(VWF:Ag)单克隆抗体( 工作浓度1:400),LSAB试剂盒为DAKO公司产品,用已知阳性切片作阳性对照,用PBS液代替 一抗作阴性对照,DAB显色,Mayer苏木素复染。
1.3 结果判断
PCNA为颗粒型阳性,定位于细胞核,呈黄褐色(图1),每张切片选取10个不同视野用网 格测微尺记数100个网格内肿瘤细胞数及阳性核细胞数,计算阳性核细胞数占总的肿瘤细胞 数的百分比,再取10个视野的平均值作为该患者膀胱移行细胞癌的PCNA值。VWF:Ag以血管内 皮细胞染成棕黄色为阳性(图2),单个的内皮细胞着色也判断为阳性。用OLYMPUS显微镜在 200倍视野下对每例膀胱移行细胞癌的VWF:Ag染色切片选取10个血管数目最多的视野计数其 血管数,计算其平均数。
, 百拇医药
图1 PCNA在膀胱移行细胞癌组织中的表达:
PCNA为颗粒型阳性,部位在细胞核,呈黄褐色LSAB法×400
图2 VWF:Ag在膀胱移行细胞癌组织中的表达:
可见肿瘤间质血管内皮细胞染成棕黄色LSAB法×200
1.4 统计学方法
采用t检验和方差分析。
2 结果
2.1 PCNA与肿瘤微血管密度在膀胱移行细胞癌中的表达
见附表。
, 百拇医药
附表 PCNA与肿瘤微血管密度在膀胱移行细胞癌中的表达 表达项目
例数
平均MVD值
PCNA值(%)
病理分级
Ⅰ
19
24.9±7.7
27.5±9.2
Ⅱ
35
37.3±13.6
, http://www.100md.com
49.4±15.5
Ⅲ
18
54.3±16.1
63.2±±11.3
浸润深度
表浅性
24
26.4±10.3
29.8±14.4
浸润性
48
44.2±12.5
, 百拇医药
55.7±21.0
预后结果
未复发组
32
29.1±9.7
34.2±13.1
复发组
40
45.6±19.9
57.4±23.6
由表可知:PCNA增殖指数与肿瘤间质微血管密度二者的表达皆与膀胱移行细胞癌的病理 分级、浸润深度和预后结果密切相关:Ⅰ级与Ⅱ级、Ⅱ级与Ⅲ、浅表性与浸润性、复发组与 未复发组之间存在显著性差异(P<0.01)。
, 百拇医药
2.2 PCNA增殖指数与肿瘤间质微血管密度之间的关系
PCNA增殖指数与肿瘤间质微血管密度之间存在正相关性,随着肿瘤间质微血管密度的增 加肿瘤细胞的增殖活性亦相应增加(回归方程:
3 讨论
PCNA是一种分子量为36000酸性蛋白,是DNA聚合酶delta的辅助成分,与DNA复制和细胞 增生密切相关,于细胞周期G1期开始合成,S期达高峰,G2期下降,M期测不到,可反应细胞 增殖分数和所处周期。最近发现它可用于多种良恶性肿瘤的鉴别和预后评估[2,3],已发现在胃癌、膀胱移行细胞癌和淋巴瘤中PCNA表达增高提示 预后差[4]。Lipponen等[5]对178例膀胱移行细胞癌进行了十年的随访,认为PCNA表达 可作为判断膀胱移行细胞癌预后的指标之一。本研究结果发现膀胱移行细胞癌PCNA增殖指数 随着膀胱移行细胞癌的病理分级的增高而增加;浸润性肿瘤、复发组明显高于浅表性肿瘤、未复发组,这同Lipponen等[5]、Kuroda等[6]、丁强等[7]研究结果一致,从而进一 步证实在膀胱移行细胞癌组织中PCNA增殖指数可作为判断膀胱肿瘤恶性程度、浸润能力乃至 预后的指标。
, http://www.100md.com
肿瘤细胞的浸润及转移有赖于肿瘤血管的生成,肿瘤血管是向肿瘤组织生长或在肿瘤组 织内部生长的新生血管网,由肿瘤内部的残留血管和肿瘤外部血管长入组成,包括微动脉、 微静脉和毛细血管。已证实肿瘤细胞及其相关性炎性细胞释放的特殊因子、细胞外基质、细 胞粘附分子等可诱导产生肿瘤微小血管,后者是肿瘤细胞浸润和转移的重要因素[8,9]。V WF:Ag位于血管内皮细胞的Weibel-palade小体上,是血管内皮细胞的标记抗原,而一些血 管依赖性的肿瘤微血管与肿瘤的生物学行为密切相关。本实验结果显示:肿瘤微血管密度值 亦随着膀胱移行细胞癌的病理分级的增高而增加,浸润性肿瘤、复发组亦明显高于浅表性肿 瘤、未复发组。说明随着膀胱移行细胞癌的病理分级的增高、浸润深度的增加,肿瘤微血管 的形成亦相应增加,促进癌细胞的合成代谢,加速排泻酸性及毒性代谢产物,为肿瘤细胞的 快速增长及物质代谢提供了物质基础[9]。
肿瘤细胞的生长繁殖依赖其周围的微血管提供充足的养分,本组研究结果显示膀胱移行 细胞癌PCNA增殖指数与肿瘤间质微血管密度存在正相关性,并且肿瘤细胞越靠近血管,肿瘤 细胞的增殖能力越强,从而在形态学上证实:肿瘤血管的生长越丰富,肿瘤细胞的增殖能力 越强,同时随着膀胱肿瘤的病理分级的增高、向深层浸润的加深,肿瘤复发的机率就会越高 ,预后就越差。因此无论对PCNA或MVD表达较强的患者都应给予严密随访观察,增加膀胱镜 复查次数,扩大复发肿瘤电灼或手术范围,使治疗效果及预后结果更好。
, 百拇医药
参考文献
[1]阶平.泌尿外科.济南:山东科学技术出版社,1993:444
[2]Mayer A,Takimoto M,Fritz E,et al. The prognostic significance ofproliferating cell nuclear antigen,epidermal growth factor receptor and mdr gene expression in colorectal cancer. Cancer,1993;71:2454
[3]Hall PA,Levison DA,Woods AL,et al. Proliferating cell nuclear antigen (PCNA) immunolocalization in paraffin section:an index of cell proliferation with evidence of deregulated expression in some neoplasms. J pathol,1990;162:285
, http://www.100md.com
[4]Jain S,Filipe MI,Hall PA,et al. Prognostic value of proliferating cell nuclear in gastic carcinoma. J Clin pathol,1991;44:655
[5]Lipponen PK,Eskelinen MJ. Cell proliferation of transitional cell bladder tumour determined by PCNA/cyclin immunostaining and its prognostic value. Br J Cancer,1992;66:171
[6]Kuroda H,Yasunaga Y,Takatera H,et al. Growth factions of bladder cancer determined by proliferating cell nuclear antigen immunostaining. Hinyokika Kiyo,1994;40:379
, 百拇医药
[7]丁强,张元芳,孙逊,等.p21、p53蛋白和增殖细胞核抗原在膀胱癌中的表达及意义.中华病理学杂志,1997;26:211
[8]Folkman J. In biologic therapy of cancer (Devita V,Hellman S and Rosenberg SA eds) Lippincott Co. Philadelphia,1991;743
[9]Blood CH,Zether BR. Tumor interaction with the vasculature:angiogenesis and tumor metastasis. Biochim Biophys Acta,1990;1032:89
(1999-07-10收稿), http://www.100md.com