T细胞免疫核糖核酸治疗大鼠佐剂关节炎的研究
作者:李舒帆 赵丽娟 杨娉婷
单位:李舒帆(110001 沈阳,中国医科大学第一临床学院风湿免疫科);赵丽娟(110001 沈阳,中国医科大学第一临床学院风湿免疫科);杨娉婷(110001 沈阳,中国医科大学第一临床学院风湿免疫科)
关键词:关节炎,佐剂性;T淋巴细胞;免疫核糖核酸;关节体积;关节指数
中华风湿病学杂志000410 【摘 要】 目的 探讨T细胞免疫核糖核酸(iRNA)是否可以通过调节机体免疫功能而影响关节炎病理生理过程,为类风湿关节炎治疗探索一条新路。方法 利用大鼠佐剂性关节炎(AA)动物模型,腹腔注射T细胞免疫核糖核酸,观察关节体积、关节指数及关节病理变化。结果 注射10 d后,关节体积、关节指数与关节炎对照组比较差异均有显著性(P<0.05),病理结果显示滑膜组织增生及炎症细胞浸润均较关节炎对照组明显减轻。结论 T细胞iRNA调节免疫系统功能抑制关节炎病理生理过程,其机制可能是iRNA通过诱生大量细胞因子的作用。
, 百拇医药
T lymphocyte immunized RNA inhibits adjuvant arthritis in rats
LI Shufan,ZHAO Lijuan,YANG Pingting.
Department of Rheumatology,First College of China Medical University,Shenyang 110001,China
【Abstract】 Objective To study the effect of T lymphocyte immunized RNA (iRNA) in adjuvant arthritis (AA) in rats.Methods Arthritis was produced in Wistar rats after single injection of Freund′s complete adjuvant (FCA).After 14 days injection,the rats which had arthritis were given intraperitoneal injection of iRNA.Then the severity of arthritis was inspected by surveying the volume of paw and the arthritic index.Results The group treated with iRNA developed milder arthritis than the arthritic rats without it 10 days later (P<0.05),and the difference was more significant 15 days later (P<0.01).The arthritic index of the rat treated with iRNA was (8.6±1.9),and that of the other arthritic group was (10.6±2.1).The difference between the two groups was significant (P<0.05).Histopathology showed that the less synovial hyperplasia and the fewer infiltration of inflammatory cells in the group treated with iRNA than without it.Conclusion Administration of iRNA can inhibit the development of AA.
, http://www.100md.com
【Key words】 Arthritis,adjuvant; T lympbocytes; Immunized RNA; Arthritic volume; Arthritic index
类风湿关节炎(RA)是一种病因未明的常见的自身免疫性疾病,其基本病理为关节滑膜慢性炎症。用完全福氏佐剂免疫Wistar大鼠诱发的佐剂关节(AA),表现出多关节炎、关节畸形及在组织病理学上的改变与RA极为相似[1]。利用免疫核糖核酸(iRNA)治疗重症细菌感染及肿瘤已有诸多报道,iRNA是否通过调节机体免疫功能而影响关节炎病理生理过程值得探讨。本实验首次观察了T细胞iRNA对AA大鼠的影响,现报道如下。
1 材料与方法
1.1 实验动物及主要材料
1.1.1 动物:Wistar大鼠,购于沈阳市药品检验所。
, http://www.100md.com
1.1.2 材料:卡介苗:长春生物制品研究所产品。T细胞iRNA:中国医科大学制药厂生产。
1.2 方法
1.2.1 AA大鼠的诱发:取体重180~200 g的雄性大鼠50只,随机取10只作正常对照,其余大鼠均于右后足跖皮内注射卡介苗浓度为5 mg/ml的完全福氏佐剂(FCA)0.1 ml(正常对照组以同样方法注射等量生理盐水)诱发关节炎发生[2]。致炎后第14天,AA大鼠发病率为75%(30/40),随机将关节炎大鼠分为两组,两组大鼠的关节体积和关节指数经统计学处理差异无显著性。动物共分为3组:①正常对照组(10例);②关节炎组(14例);③T细胞iRNA用药组(16例)。
1.2.2 T细胞iRNA给药:T细胞iRNA以生理盐水作溶剂,当日配制,每只鼠每次用量为6 mg/kg,药液总体积是0.5 ml,腹腔注射。致炎后第14天给药,每天1次,连续3 d,T细胞iRNA的给药方法、剂量及疗程依据iRNA治疗重症革兰氏阴性杆菌感染[3]。正常对照组和关节炎组注射等量生理盐水。
, 百拇医药
1.2.3 观察指标:每5 d观察一次关节体积、关节指数变化。前者以关节体积测定仪测定右踝关节以下排水毫升数计,后者按四肢远端关节肿胀程度总得分计。四肢关节肿胀程度按0~Ⅳ级评分:0:无红肿;Ⅰ:趾关节稍肿;Ⅱ:小趾关节和足跖肿胀;Ⅲ:踝关节以下足爪肿胀;Ⅳ:包括踝关节在内的全部足爪肿胀。
1.2.4 组织病理:于实验的第14天随机处死2只AA大鼠,取炎症关节做HE染色。第20天、25天、30天分别从关节炎对照组和T细胞iRNA用药组大鼠中随机选取2只处死,立即取左后肢脚、左右前肢脚的病变跖趾关节(继发病变)固定于10%的甲醛溶液中,24 h后4%稀硝酸脱钙,常规进行石蜡包埋,切片(5~6 μm),HE染色。同时于同一天,从正常对照组大鼠中随机选取一只以同样方法取相同的跖趾关节做HE染色,作为正常对照,做病理切片观察关节组织病理学变化。
1.2.5 统计学处理:资料采用秩和检验,α水准0.05,显著性界值为0.05。
, http://www.100md.com
2 结 果
2.1 T细胞iRNA对AA大鼠关节体积的影响:注射FCA第14天诱发大鼠关节炎形成,腹腔给药T细胞iRNA观察踝关节以下体积变化,结果显示:给药5 d,AA大鼠踝关节以下体积与关节炎对照组比较无明显减少(P>0.05)。给药10 d,与关节炎对照组比较,关节体积明显减少(P<0.01),给药15 d,关节体积减少更明显,与关节炎对照组比较差异具有高度显著性(P<0.001)。见表1。
表1 T细胞iRNA对AA大鼠关节体积的影响(
±s)ml 组别
只数
关节体积
5 d
, 百拇医药 10 d
15 d
正常
10
2.07±0.25
2.08±0.24
2.07±0.29
AA
14
6.12±1.14
6.03±0.89
, 百拇医药
5.97±0.91
AA+iRNA
16
5.38±0.57Δ
4.65±0.73ΔΔ
4.02±0.52ΔΔΔ
注:与正常组比较P<0.001;与AA组比较ΔP>0.05,ΔΔP<0.01,ΔΔΔP<0.001
2.2 T细胞iRNA对AA大鼠关节指数的影响:注射FCA后14 d,大鼠诱发关节炎。给药后5、10 d观察AA大鼠关节指数,并与AA组进行比较,结果见表2。
, 百拇医药
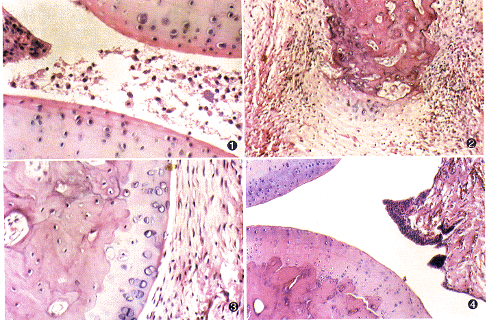
2.3 组织病理学:AA+iRNA组滑膜组织增生及炎症细胞浸润均较AA组明显减轻。作HE染色可见致炎后14 d炎症关节滑膜组织增生,纤维渗出并有炎性细胞浸润(见图1),30 d AA组炎症关节重度滑膜炎,软骨破坏,关节结构消失(见图2)。AA+iRNA组炎症关节滑膜组织增生明显减轻,少量炎症细胞浸润(见图3)。正常对照组30 d组织病理(见图4)。
3 讨 论
免疫核糖核酸(iRNA)是一种从免疫动物肝、脾等组织中提取出来的核糖核酸。它携带免疫信息,可以在不同种属动物间传递免疫活性,使正常动物或细胞获得免疫功能。iRNA的免疫活性主要表现为细胞免疫和体液免疫,实验证明用白细胞黏附抑制试验(LAI)可证明iRNA传递细胞免疫活性的特异性[4],用ELISA间接夹心法可证明末梢血内的特异抗体,说明iRNA传递体液免疫活性的特异性[5]。当经由腹腔注射iRNA致敏动物后,使腹腔中的淋巴细胞启动进入激活状态,产生大量的细胞因子,诸多研究已证实iRNA可以诱导巨噬细胞产生干扰素、白细胞介素(IL)、细胞毒因子、集落刺激/抑制因子等多种细胞因子[6,7]。临床上应用iRNA治疗肿瘤及条件致病菌的重症感染收到了良好的效果。本文通过上述研究受到启示,拟通过iRNA治疗RA,为RA的治疗探索一条新路。
, http://www.100md.com
表2 两组大鼠关节指数的比较 分组
关节指数
0
5 d
AA
7、8、8、9、9、10、10、10、11、11、12、12、13、13
9、9、9、10、10、10、10、11、12、12、12、13、14、17
iRNA
7、8、8、9、9、10、10、10、11、11、11、12、12、12、13、13
7、8、9、9、9、10、10、10、11、11、11、12、12、13、13、13
, http://www.100md.com
P值
>0.05
>0.05
分组
关节指数
10 d
15 d
AA
8、9、9、9、10、10、10、11、12、12、12、13、14、17
7、8、9、10、10、10、11、11、11、12、12、12、13、13
iRNA
, 百拇医药 6、6、7、7、8、8、9、9、9、10、10、10、11、11、12、12
6、6、7、7、8、8、8、9、9、9、10、10、10、10、10、10
P值
≤0.01
<0.005
本文利用经典的AA大鼠动物模型,给AA大鼠腹腔注射iRNA,结果显示用药后大鼠踝关节以下体积及关节指数与AA组比较差异有显著性,P<0.05。关节病理观察结果亦显示用药后滑膜组织增生及炎性细胞浸润明显减轻。iRNA治疗AA大鼠的作用机制可能是通过免疫调节作用诱生大量细胞因子,在炎症性关节炎的发病中发挥促进或抑制作用。近年来随着人们对细胞因子的不断深入研究,不仅认识到细胞因子致炎机制,亦发现细胞因子在炎症治疗中的作用,已有研究表明干扰素、IL-4、IL-10等细胞因子在RA的治疗中获得疗效[8-10]。本试验的结果提示T细胞iRNA具有抑制免疫炎症反应,减轻AA大鼠的病变程度的作用,为RA的治疗提供了新的思路,它有可能同其他生物制剂一样不久用于临床。
, 百拇医药
图1 致炎后14d HE×400
图2 AA组30d HE×200
图3 AA+iRNA组30d HE×400
图4 正常对照组30d HE×200
参 考 文 献
1.Pearson CM,Wood RD.Studies of polyarthritis and lesions induced in rats by injection of mycobaterial adjutant:I general clinical and pathologic characteristics some modifying factors.Arthritis Rheum,1964,2:440-448.
, 百拇医药
2.徐淑云,卞如廉,陈修,主编.药理实验方法学.北京:人民卫生出版社,1982.524-526.
3.杨明久,韩风玉.应用免疫核糖核酸治疗重症革兰氏阴性杆菌感染.微生物学通报,1984,11:215-216.
4.金壮,谢光临.白细胞粘附抑制试验测定i-RNA的细胞免疫活性.微生物学杂志,1983,3:52-55.
5.王福忠,闫健忠,杨明久,等.抗大肠杆菌免疫核糖核酸的体液免疫活性.微生物学杂志,1983,3:48-51.
6.杨明久,赫生,刘北星.用抗病毒i-RNA诱生细胞毒因子的研究.中华微生物和免疫学杂志,1990,10:252-255.
7.王福忠,赫生,杨明久,等.抗病毒i-RNA诱生γ-干扰素的实验研究.中国医科大学学报,1988,17:47-49.
, 百拇医药
8.张进玉,杨世勇.细胞因子与临床.中级医刊,1996,31:38-43.
9.Sewell KL,Moreland LW,Furst DE,et al.Phase 11 open-label trial of DAB 389 IL-2 administered up to four times a year to patients with active rheumatoid arthritis (RA).Arthritis Rheum,1994,37(Suppl 9):341.
10.Joosten LAB,Lubberts E,Durez P,et al.Role of interleukin-4 and interleukin-10 in murine collagen-induced arthritis:protective effect of interleukin-4 and interleukin-10 treatment on cartilage destruction.Arthritis Rheum,1997,40:249-260.
(收稿日期:1999-09-22), http://www.100md.com
单位:李舒帆(110001 沈阳,中国医科大学第一临床学院风湿免疫科);赵丽娟(110001 沈阳,中国医科大学第一临床学院风湿免疫科);杨娉婷(110001 沈阳,中国医科大学第一临床学院风湿免疫科)
关键词:关节炎,佐剂性;T淋巴细胞;免疫核糖核酸;关节体积;关节指数
中华风湿病学杂志000410 【摘 要】 目的 探讨T细胞免疫核糖核酸(iRNA)是否可以通过调节机体免疫功能而影响关节炎病理生理过程,为类风湿关节炎治疗探索一条新路。方法 利用大鼠佐剂性关节炎(AA)动物模型,腹腔注射T细胞免疫核糖核酸,观察关节体积、关节指数及关节病理变化。结果 注射10 d后,关节体积、关节指数与关节炎对照组比较差异均有显著性(P<0.05),病理结果显示滑膜组织增生及炎症细胞浸润均较关节炎对照组明显减轻。结论 T细胞iRNA调节免疫系统功能抑制关节炎病理生理过程,其机制可能是iRNA通过诱生大量细胞因子的作用。
, 百拇医药
T lymphocyte immunized RNA inhibits adjuvant arthritis in rats
LI Shufan,ZHAO Lijuan,YANG Pingting.
Department of Rheumatology,First College of China Medical University,Shenyang 110001,China
【Abstract】 Objective To study the effect of T lymphocyte immunized RNA (iRNA) in adjuvant arthritis (AA) in rats.Methods Arthritis was produced in Wistar rats after single injection of Freund′s complete adjuvant (FCA).After 14 days injection,the rats which had arthritis were given intraperitoneal injection of iRNA.Then the severity of arthritis was inspected by surveying the volume of paw and the arthritic index.Results The group treated with iRNA developed milder arthritis than the arthritic rats without it 10 days later (P<0.05),and the difference was more significant 15 days later (P<0.01).The arthritic index of the rat treated with iRNA was (8.6±1.9),and that of the other arthritic group was (10.6±2.1).The difference between the two groups was significant (P<0.05).Histopathology showed that the less synovial hyperplasia and the fewer infiltration of inflammatory cells in the group treated with iRNA than without it.Conclusion Administration of iRNA can inhibit the development of AA.
, http://www.100md.com
【Key words】 Arthritis,adjuvant; T lympbocytes; Immunized RNA; Arthritic volume; Arthritic index
类风湿关节炎(RA)是一种病因未明的常见的自身免疫性疾病,其基本病理为关节滑膜慢性炎症。用完全福氏佐剂免疫Wistar大鼠诱发的佐剂关节(AA),表现出多关节炎、关节畸形及在组织病理学上的改变与RA极为相似[1]。利用免疫核糖核酸(iRNA)治疗重症细菌感染及肿瘤已有诸多报道,iRNA是否通过调节机体免疫功能而影响关节炎病理生理过程值得探讨。本实验首次观察了T细胞iRNA对AA大鼠的影响,现报道如下。
1 材料与方法
1.1 实验动物及主要材料
1.1.1 动物:Wistar大鼠,购于沈阳市药品检验所。
, http://www.100md.com
1.1.2 材料:卡介苗:长春生物制品研究所产品。T细胞iRNA:中国医科大学制药厂生产。
1.2 方法
1.2.1 AA大鼠的诱发:取体重180~200 g的雄性大鼠50只,随机取10只作正常对照,其余大鼠均于右后足跖皮内注射卡介苗浓度为5 mg/ml的完全福氏佐剂(FCA)0.1 ml(正常对照组以同样方法注射等量生理盐水)诱发关节炎发生[2]。致炎后第14天,AA大鼠发病率为75%(30/40),随机将关节炎大鼠分为两组,两组大鼠的关节体积和关节指数经统计学处理差异无显著性。动物共分为3组:①正常对照组(10例);②关节炎组(14例);③T细胞iRNA用药组(16例)。
1.2.2 T细胞iRNA给药:T细胞iRNA以生理盐水作溶剂,当日配制,每只鼠每次用量为6 mg/kg,药液总体积是0.5 ml,腹腔注射。致炎后第14天给药,每天1次,连续3 d,T细胞iRNA的给药方法、剂量及疗程依据iRNA治疗重症革兰氏阴性杆菌感染[3]。正常对照组和关节炎组注射等量生理盐水。
, 百拇医药
1.2.3 观察指标:每5 d观察一次关节体积、关节指数变化。前者以关节体积测定仪测定右踝关节以下排水毫升数计,后者按四肢远端关节肿胀程度总得分计。四肢关节肿胀程度按0~Ⅳ级评分:0:无红肿;Ⅰ:趾关节稍肿;Ⅱ:小趾关节和足跖肿胀;Ⅲ:踝关节以下足爪肿胀;Ⅳ:包括踝关节在内的全部足爪肿胀。
1.2.4 组织病理:于实验的第14天随机处死2只AA大鼠,取炎症关节做HE染色。第20天、25天、30天分别从关节炎对照组和T细胞iRNA用药组大鼠中随机选取2只处死,立即取左后肢脚、左右前肢脚的病变跖趾关节(继发病变)固定于10%的甲醛溶液中,24 h后4%稀硝酸脱钙,常规进行石蜡包埋,切片(5~6 μm),HE染色。同时于同一天,从正常对照组大鼠中随机选取一只以同样方法取相同的跖趾关节做HE染色,作为正常对照,做病理切片观察关节组织病理学变化。
1.2.5 统计学处理:资料采用秩和检验,α水准0.05,显著性界值为0.05。
, http://www.100md.com
2 结 果
2.1 T细胞iRNA对AA大鼠关节体积的影响:注射FCA第14天诱发大鼠关节炎形成,腹腔给药T细胞iRNA观察踝关节以下体积变化,结果显示:给药5 d,AA大鼠踝关节以下体积与关节炎对照组比较无明显减少(P>0.05)。给药10 d,与关节炎对照组比较,关节体积明显减少(P<0.01),给药15 d,关节体积减少更明显,与关节炎对照组比较差异具有高度显著性(P<0.001)。见表1。
表1 T细胞iRNA对AA大鼠关节体积的影响(
只数
关节体积
5 d
, 百拇医药 10 d
15 d
正常
10
2.07±0.25
2.08±0.24
2.07±0.29
AA
14
6.12±1.14
6.03±0.89
, 百拇医药
5.97±0.91
AA+iRNA
16
5.38±0.57Δ
4.65±0.73ΔΔ
4.02±0.52ΔΔΔ
注:与正常组比较P<0.001;与AA组比较ΔP>0.05,ΔΔP<0.01,ΔΔΔP<0.001
2.2 T细胞iRNA对AA大鼠关节指数的影响:注射FCA后14 d,大鼠诱发关节炎。给药后5、10 d观察AA大鼠关节指数,并与AA组进行比较,结果见表2。
, 百拇医药
2.3 组织病理学:AA+iRNA组滑膜组织增生及炎症细胞浸润均较AA组明显减轻。作HE染色可见致炎后14 d炎症关节滑膜组织增生,纤维渗出并有炎性细胞浸润(见图1),30 d AA组炎症关节重度滑膜炎,软骨破坏,关节结构消失(见图2)。AA+iRNA组炎症关节滑膜组织增生明显减轻,少量炎症细胞浸润(见图3)。正常对照组30 d组织病理(见图4)。
3 讨 论
免疫核糖核酸(iRNA)是一种从免疫动物肝、脾等组织中提取出来的核糖核酸。它携带免疫信息,可以在不同种属动物间传递免疫活性,使正常动物或细胞获得免疫功能。iRNA的免疫活性主要表现为细胞免疫和体液免疫,实验证明用白细胞黏附抑制试验(LAI)可证明iRNA传递细胞免疫活性的特异性[4],用ELISA间接夹心法可证明末梢血内的特异抗体,说明iRNA传递体液免疫活性的特异性[5]。当经由腹腔注射iRNA致敏动物后,使腹腔中的淋巴细胞启动进入激活状态,产生大量的细胞因子,诸多研究已证实iRNA可以诱导巨噬细胞产生干扰素、白细胞介素(IL)、细胞毒因子、集落刺激/抑制因子等多种细胞因子[6,7]。临床上应用iRNA治疗肿瘤及条件致病菌的重症感染收到了良好的效果。本文通过上述研究受到启示,拟通过iRNA治疗RA,为RA的治疗探索一条新路。
, http://www.100md.com
表2 两组大鼠关节指数的比较 分组
关节指数
0
5 d
AA
7、8、8、9、9、10、10、10、11、11、12、12、13、13
9、9、9、10、10、10、10、11、12、12、12、13、14、17
iRNA
7、8、8、9、9、10、10、10、11、11、11、12、12、12、13、13
7、8、9、9、9、10、10、10、11、11、11、12、12、13、13、13
, http://www.100md.com
P值
>0.05
>0.05
分组
关节指数
10 d
15 d
AA
8、9、9、9、10、10、10、11、12、12、12、13、14、17
7、8、9、10、10、10、11、11、11、12、12、12、13、13
iRNA
, 百拇医药 6、6、7、7、8、8、9、9、9、10、10、10、11、11、12、12
6、6、7、7、8、8、8、9、9、9、10、10、10、10、10、10
P值
≤0.01
<0.005
本文利用经典的AA大鼠动物模型,给AA大鼠腹腔注射iRNA,结果显示用药后大鼠踝关节以下体积及关节指数与AA组比较差异有显著性,P<0.05。关节病理观察结果亦显示用药后滑膜组织增生及炎性细胞浸润明显减轻。iRNA治疗AA大鼠的作用机制可能是通过免疫调节作用诱生大量细胞因子,在炎症性关节炎的发病中发挥促进或抑制作用。近年来随着人们对细胞因子的不断深入研究,不仅认识到细胞因子致炎机制,亦发现细胞因子在炎症治疗中的作用,已有研究表明干扰素、IL-4、IL-10等细胞因子在RA的治疗中获得疗效[8-10]。本试验的结果提示T细胞iRNA具有抑制免疫炎症反应,减轻AA大鼠的病变程度的作用,为RA的治疗提供了新的思路,它有可能同其他生物制剂一样不久用于临床。
, 百拇医药
图1 致炎后14d HE×400
图2 AA组30d HE×200
图3 AA+iRNA组30d HE×400
图4 正常对照组30d HE×200
参 考 文 献
1.Pearson CM,Wood RD.Studies of polyarthritis and lesions induced in rats by injection of mycobaterial adjutant:I general clinical and pathologic characteristics some modifying factors.Arthritis Rheum,1964,2:440-448.
, 百拇医药
2.徐淑云,卞如廉,陈修,主编.药理实验方法学.北京:人民卫生出版社,1982.524-526.
3.杨明久,韩风玉.应用免疫核糖核酸治疗重症革兰氏阴性杆菌感染.微生物学通报,1984,11:215-216.
4.金壮,谢光临.白细胞粘附抑制试验测定i-RNA的细胞免疫活性.微生物学杂志,1983,3:52-55.
5.王福忠,闫健忠,杨明久,等.抗大肠杆菌免疫核糖核酸的体液免疫活性.微生物学杂志,1983,3:48-51.
6.杨明久,赫生,刘北星.用抗病毒i-RNA诱生细胞毒因子的研究.中华微生物和免疫学杂志,1990,10:252-255.
7.王福忠,赫生,杨明久,等.抗病毒i-RNA诱生γ-干扰素的实验研究.中国医科大学学报,1988,17:47-49.
, 百拇医药
8.张进玉,杨世勇.细胞因子与临床.中级医刊,1996,31:38-43.
9.Sewell KL,Moreland LW,Furst DE,et al.Phase 11 open-label trial of DAB 389 IL-2 administered up to four times a year to patients with active rheumatoid arthritis (RA).Arthritis Rheum,1994,37(Suppl 9):341.
10.Joosten LAB,Lubberts E,Durez P,et al.Role of interleukin-4 and interleukin-10 in murine collagen-induced arthritis:protective effect of interleukin-4 and interleukin-10 treatment on cartilage destruction.Arthritis Rheum,1997,40:249-260.
(收稿日期:1999-09-22), http://www.100md.com