+Gz重复暴露大鼠海马细胞凋亡及相关基因bcl-2和p53表达的观察
作者:刘红巾 蔡庆 占志 朱美财
单位:刘红巾(空军总医院航空病研究中心,北京 100036);蔡庆 占志 朱美财(空军总医院分子生物学研究中心,北京 10000)
关键词:正加速度;细胞凋亡;脑损伤;bcl-2;P53;免疫法;大鼠
航天医学与医学工程000407摘要: 目的 探讨细胞凋亡在反复高+Gz暴露所致脑损伤中的病理作用。 方法 20只SD大鼠随机分成对照组、+Gz重复暴露后30 min、6 h、24 h和48 h 5组,每组4只。对照组大鼠G值为+1 Gz,实验组大鼠在动物离心机上经历了3次+14 Gz/45 s(两次间间隔30 min)作用。分别于暴露后30 min、6 h、24 h和48 h处死大鼠取脑,固定包埋。用原位末端标记法(TUNEL)检测大鼠海马细胞凋亡及用免疫组化方法检测凋亡相关基因bcl-2和p53表达的变化。 结果 对照组和+Gz重复暴露后30 min组海马各亚区未见凋亡细胞和bcl-2、p53表达变化,6 h组海马CA1区可见部分细胞凋亡和明显的bcl-2、p53表达变化,但在24 h组和48 h组基本恢复正常。 结论 +Gz重复暴露可引起大鼠海马细胞凋亡及凋亡相关基因bcl-2和p53的表达变化,细胞凋亡是反复高Gz暴露致脑损伤的机制之一。
, http://www.100md.com
中图分类号:R852.21 文献标识码:A 文章编号:1002-0837(2000)04-0263-04
A Study of Apoptosis and Related Gene bcl-2 and p53 Expression in Hippocampus of Rats Exposed to Repeated +Gz
CAI Qing LIU Hong-jin ZHAN Zhi ZHU Mei-cai
(Department of Molecular Biology, General Hospital of Air Force, Beijing 100036,China)
Abstract: Objective To investigate the role of apoptosis in mechanisms of brain damage induced by repeated +Gz exposures. Method Twenty concious SD rats were randomly divided into 5 groups. Rats in the control group (n=4) were exposed to +1 Gz and rats in the 4 experimental groups (n=16) were exposed to +14 Gz for three times, each for 45 seconds with 30 min interval in between. All the +Gz exposured were on an animal centrifuge. The rat brains were taken 30 min, 6 h, 24 h and 48 h after the last centrifuge run and fixed and embeded. The apoptosis and expression changes of related gene bcl-2 and p53 were detected by terminal deoxynuleotide transferase-mediated dUTP nick end labeling (TUNEL) technique and immunohistochemical method, respectively. Result Apoptotic cells and expression changes of bcl-2 and p53 were observed in CA1 subregion of rat hippocampus taken 6 h after repeated +Gz exposures, but returned to normal after 24~48 h. Conclusion It suggests that apoptosis and expression changes of bcl-2 and p53 in rats hippocampus can be induced by repeated +Gz exposures and the apoptosis is one of the molecular mechanisms of brain damage induced by repeated +Gz exposures.
, 百拇医药
Key words: positive acceleration;apoptosis;brain damage;bcl-2;p53;immunication;rats
+Gz引起急性脑功能障碍是航空医学研究的重要课题之一。已经证实反复+Gz暴露可对大鼠脑产生类似缺血和再灌注的作用,并引起脑损伤[1~3]。近年来脑缺血再灌注动物模型研究表明,脑缺血再灌注可引起海马内神经细胞凋亡及其相关基因的表达,并认为细胞凋亡在缺血再灌注损伤中起重要作用[4~9],海马在脑各组织结构中对缺血损伤最为敏感。+Gz重复暴露是否
引起海马神经细胞凋亡及相关基因表达变化未见报道。本研究利用原位末端脱氧核苷酸转移酶(TdT)标记法(TUNEL)检测+Gz重复暴露大鼠海马细胞凋亡情况及用免疫组化方法检测凋亡相关基因bcl-2和p53表达的变化,探讨细胞凋亡在+Gz致脑损伤中的作用。
, http://www.100md.com
方 法
实验动物 选用200 g左右的SD大鼠20只(本院实验动物中心提供),随机分成对照组、+Gz重复暴露后30 min、6 h、24 h和48 h 5组,每组4只,将大鼠置于动物离心机的转臂上,头向离心机轴心。离心机半径为2 m。+Gz暴露G值为+14 Gz,增长率1.5 G/s,峰值持续时间45 s,共作用3次,两次中间间歇30 min。对照组大鼠亦在动物离心机上经历类似实验步骤,所承受的G值为+1 Gz。断头取脑,4%多聚甲醛固定,石蜡包埋。
原位末端标记(TUNEL) 采用德国Boenriner Mannheimgs公司检测试剂盒,具体流程:组织切片5μm,常规脱蜡至水后,分别经蛋白酶K(20 μg/ml)、过氧化氢甲醇、体积分数为0.1% Triton X-100溶液处理后,用Tunle反应液37℃孵育60 min,反应液中含末端脱氧核苷酸转移酶(TdT),荧光素标记的核苷酸。再用连接过氧化物酶的荧光素抗体37℃孵育30 min,经DAB显色后,苏木素衬染。以上各步骤间均用0.01 mol/L PBS洗3×5 in。实验设立不加TdT的阴性对照组。在光镜高倍视野下计数TUNEL染色阳性的细胞数。
, 百拇医药
免疫组织化学 SP试剂盒和bcl-2单克隆抗体、p53多克隆抗体购自北京中山生物工程公司。取与原位末端标记相毗邻的切片,脱蜡至水后用3%过氧化氢-甲醇孵育10 min清除内源性过氧化物酶,用正常羊血清室温孵育30 min,加bcl-2单克隆抗体或p53多克隆抗体(1∶50稀释)4℃ 过夜,生物素标记的抗兔IgG抗体37℃ 15 min,滴加辣根过氧化物酶标记的链霉卵白素工作液37℃ 15 min,DAB显色,苏木素复染,经脱水、透明、封片且光镜观察。以上各步骤间均用0.01 mol/L PBS洗3×5 min。阴性对照用正常羊血清代替一抗,各步骤同上。
结 果
原位末端标记 光镜下观察对照组和+Gz重复暴露后30 min组未见凋亡细胞,海马CA1区有3~4层蓝染的锥体细胞,排列整齐紧密。+Gz重复暴露后6 h 组CA1区可见部分细胞发生凋亡(图1),为12±2个/高倍视野,核固缩,深染。24 h组则仅有少量的凋亡细胞,为3±2个/高倍视野,48 h 组则恢复正常。CA3 和CA4区未发现凋亡细胞。
, 百拇医药
图1 +Gz重复暴露后6 h组海马CA1区的凋亡细胞×100
Fig.1 The apoptotic cell in CA1 region of rat hippocampus of 6 h after repeated +Gz exposures×100show apoptotic cell,×100
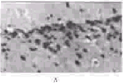
bcl-2免疫组化结果 对照组海马各亚区均存在bcl-2蛋白的表达,其中以CA1和CA4区表达较强(图2A)。+Gz重复暴露后30 min组bcl-2的表达无明显变化,6 h组CA1和CA4区bcl-2的表达明显减弱(图2B),24 h组bcl-2表达较6 h组有明显增强,48 h组bcl-2表达基本恢复正常。而在CA3区始终存在着bcl-2蛋白染色。阴性对照未见阳性染色。

, 百拇医药
图2 对照组(A)和+Gz重复暴露后6 h 组(B)海马CA1区bcl-2表达变化 ×200
Fig.2 The expression changes of bcl-2 in CA1 region of rat hippocampus of control (A) and 6 h after repeated +Gz exposures (B) ×200

图3 对照组(A)和+Gz重复暴露后6 h 组(B)海马CA1区p53表达变化 ×200
Fig.3 The expression changes of p53 in CA1 region of rat hippocampus of control (A) and 6 h after repeated +Gz exposures (B) ×200
, 百拇医药
p53免疫组化结果 对照组和+Gz重复暴露后30 min组在海马各亚区未检测到p53蛋白的表达(图3A),6 h组在CA1区出现较强的p53蛋白表达(图3B),24 h组表达量明显下降,48 h组p53蛋白表达基本恢复正常。CA3 和CA4区未见p53蛋白的表达。阴性对照未见阳性染色。
讨 论
细胞凋亡属于一种生理性的细胞死亡。目前认为细胞凋亡并不仅仅是一种自身的保护性机制,它可能与诸多的病理状态如缺血缺氧、肿瘤、衰老、自身免疫病、神经退行性疾病等的发病机制有关。TUNEL是一种灵敏度较高的细胞凋亡检测方法,其原理是细胞发生凋亡时染色体DNA在内源性核酸水解酶或核酸内切酶的作用下断裂,产生一系列DNA的3'-OH末端,可在脱氧核苷酸末端转移酶(TdT)的作用下,将荧光素、过氧化酶或生物素等形成的衍生物标记到DNA的3'-OH末端,从而进行细胞凋亡检测。它是分子生物学和形态学相结合的研究方法,能准确地反应细胞凋亡最典型的生物化学和形态特征,可检测出极少量的凋亡细胞,因而被广泛应用于细胞凋亡的研究中[4~7,10~11]。
, 百拇医药
已有研究表明细胞凋亡是脑缺血再灌注损伤的分子机制之一, 神经元的细胞凋亡与一些基因(如c-fos、c-jun、bcl-2、p53等)的表达变化、自由基的大量产生、一氧化氮的产生增加等因素有关。本研究证实反复高+Gz暴露可引起海马CA1区部分神经元细胞凋亡,因而细胞凋亡是反复高+Gz暴露所致脑损伤的机制之一。以往的研究表明反复高+Gz暴露可引起脑组织内c-fos、c-jun和一氧化氮合酶基因表达增高[12,13],自由基产生增加[14],这些是导致细胞凋亡的因素。但在+Gz暴露后24~48 h细胞凋亡基本消失,表明这种损伤是可逆的。动物模型研究显示脑缺血再灌注引起的海马神经元细胞凋亡一般在24~48 h为最高峰,这种和+Gz重复暴露引起的细胞凋亡的时相上的差异可能与两者脑缺血程度、再灌注的时间不同以及+Gz暴露有脑受挤压等外来因素有关。
bcl-2和p53是两种凋亡相关基因,bcl-2 是抑制凋亡基因,p53是促进凋亡基因,它们在细胞凋亡的发生发展中起到重要作用。本研究发现+Gz重复暴露可引起海马CA1区bcl-2和p53表达变化,bcl-2表达下降,p53表达上调,这种变化在反复高+Gz暴露所致的细胞凋亡中起一定作用,且研究显示bcl-2和p53表达变化与细胞凋亡的发生在时相上也是一致的。
, 百拇医药
综上所述,反复高+Gz暴露可诱发海马神经元细胞凋亡及相关基因bcl-2和p53的表达变化,它们在+Gz 所致的脑损伤中起重要作用,这为从基因水平认识和防护+Gz所致脑损伤提供了实验依据。
基金项目:全军医药卫生科研基金课题(98D033)和空军后勤部科研基金课题
[参考文献]
[1] Shahed AR,Barber JA,Werchan PM.Multiple +Gz exposures cause brain edema in rats[J]. Aviat Space Environ Med, 1994,65(6):522~526
[2] SUN Xiqing.The potential effects and mechanism of repeated high+Gz exposures on the brain[J]. Space Medicine & Medical Engineering,1998,11(1):75~78
, 百拇医药
孙喜庆.反复高G值暴露对脑的潜在影响及其机制[J].航天医学与医学工程,1998,11(1):75~78
[3] SUN Xiqing,ZHANG Lifan,WU Xingyu et al.Changes of cortical neurons after repeated +Gz exposures in rats[J].Space Medicine & Medical Engineering,1996,9(3):173~178
孙喜庆,张立藩,吴兴裕等.+Gz重复暴露后大鼠脑皮层神经元的形态学改变[J].航天医学与医学工程,1996,9(3):173~178
[4] Pulera MR,Adams LM, Liu H et al.Author apoptosis in a neonatal rat model of cerebral hypoxia~ischemia[J]. Stroke,1998,29(12): 2622~2630
, 百拇医药
[5] Charriaut Marlangue C,Remolleau S,Aggoun Zouaoui D et al.Apoptosis and programmed cell death: a role in cerebral ischemia[J]. Biomed Pharmacother,1998,52(6): 264~269
[6] Li Y, Chopp M, Powers C, Jiang N.Apoptosis and protein expression after focal cerebral ischemia in rat[J].Brain Res,1997,765(2): 301~312
[7] LU Dunyue,JIANG Dehua.The expression of heat shock protin 70 gene and apoptosis in hippocampal formation of the rats exposed to transient forebrain ischemia and reperfusion[J]. Natl Med J china,1997,77(6):451~453
, 百拇医药
路敦跃,江德华.脑缺血再灌流大鼠海马热休克蛋白70基因表达与细胞凋亡[J].中华医学杂志,1997,77(6):451~453
[8] LU Dunyue,JIANG Dehua,CHENG Yan.The expression of egr-1 and bcl-2 genes in hippocampal formation of the rats exposed to transient forebrain ischemia and reperfusion[J].J Apoplexy and Nervous Diseases,1999,16(2):67~69
路敦跃,江德华,程 炎.脑缺血再灌流大鼠海马egr-1及bcl-2基因的表达[J]. 中风与神经疾病杂志,1999,16(2):67~69
[9] LIU Hongmei,GAO Tianming,TONG Zhenqing. The mRNA and protien expression of p53 in hippocampal CA1 region of the rats exposed to transient full~brain ischemia and reperfusion[J].Natl Med J china,1999,79(1):67~69
, 百拇医药
刘红梅,高天明,佟振清.大鼠全脑缺血再灌流后海马CA1区p53 mRNA及蛋白的表达[J]. 中华医学杂志,1999,79(1):67~69
[10] Wijsman JH,Jonker RR,Keijzer R et al.A new method to detect apoptosis in paraff insections: in situ end labeling of fragmented DNA[J].J Histochem Cytochem,1993,41(1):7~12
[11] JIANG Lixian,XIE Yinzhi,SUN Xingbin et al.Relationship between apoptosis of brain cells and free radical scavenging ability in rats during acute intermittent hypoxia[J].Space Medicine & Medical Engineering,1998,11(2):83~86
, http://www.100md.com
蒋礼先,谢印芝,孙兴斌等.急性间断低氧大鼠脑细胞程序性死亡与自由基清除能力的关系[J].航天医学与医学工程,1998,11(2):83~86
[12] CAI Qing,LIU Hongjin,CHEN Youchun.Study of the expression of c-fos and c-jun gene in the brain of rat exposured to repeated +Gz by RT-PCR[J].Chin J Aerospace Med,1998,9(2):77~80
蔡 庆,刘红巾,陈友纯.用逆转录-聚合酶链反应检测+Gz重复暴露大鼠脑组织c-fos和c-jun基因表达[J]. 中华航空航天医学杂志,1998,9(2):77~80
[13] LIU Hongjin,CAI Qing,CHEN Youchun et al.Effects of repeated +Gz exposures on gene expression of nitric oxide synthase in rat brain[J]. Chin J Aerospace Med,1997,8(4):214~217
, http://www.100md.com
刘红巾,蔡 庆,陈友纯等.+Gz重复暴露对大鼠脑组织一氧化氮合成酶基因表达的影响[J].中华航空医学杂志,1997,8(4):214~217
[14] Zhan Hao,Xin Yimei,Liu Renfu et al.Effects of +Gz exposures on lipid peroxidation activity in rat brain[J].Chin J Aerospace Med,1992,3(2):74~76
詹 皓,辛益妹,刘人富等.+Gz对鼠脑脂质过氧化作用的影响[J].中华航空医学杂志,1992,3(2):74~76
收稿日期:1999-11-09, 百拇医药
单位:刘红巾(空军总医院航空病研究中心,北京 100036);蔡庆 占志 朱美财(空军总医院分子生物学研究中心,北京 10000)
关键词:正加速度;细胞凋亡;脑损伤;bcl-2;P53;免疫法;大鼠
航天医学与医学工程000407摘要: 目的 探讨细胞凋亡在反复高+Gz暴露所致脑损伤中的病理作用。 方法 20只SD大鼠随机分成对照组、+Gz重复暴露后30 min、6 h、24 h和48 h 5组,每组4只。对照组大鼠G值为+1 Gz,实验组大鼠在动物离心机上经历了3次+14 Gz/45 s(两次间间隔30 min)作用。分别于暴露后30 min、6 h、24 h和48 h处死大鼠取脑,固定包埋。用原位末端标记法(TUNEL)检测大鼠海马细胞凋亡及用免疫组化方法检测凋亡相关基因bcl-2和p53表达的变化。 结果 对照组和+Gz重复暴露后30 min组海马各亚区未见凋亡细胞和bcl-2、p53表达变化,6 h组海马CA1区可见部分细胞凋亡和明显的bcl-2、p53表达变化,但在24 h组和48 h组基本恢复正常。 结论 +Gz重复暴露可引起大鼠海马细胞凋亡及凋亡相关基因bcl-2和p53的表达变化,细胞凋亡是反复高Gz暴露致脑损伤的机制之一。
, http://www.100md.com
中图分类号:R852.21 文献标识码:A 文章编号:1002-0837(2000)04-0263-04
A Study of Apoptosis and Related Gene bcl-2 and p53 Expression in Hippocampus of Rats Exposed to Repeated +Gz
CAI Qing LIU Hong-jin ZHAN Zhi ZHU Mei-cai
(Department of Molecular Biology, General Hospital of Air Force, Beijing 100036,China)
Abstract: Objective To investigate the role of apoptosis in mechanisms of brain damage induced by repeated +Gz exposures. Method Twenty concious SD rats were randomly divided into 5 groups. Rats in the control group (n=4) were exposed to +1 Gz and rats in the 4 experimental groups (n=16) were exposed to +14 Gz for three times, each for 45 seconds with 30 min interval in between. All the +Gz exposured were on an animal centrifuge. The rat brains were taken 30 min, 6 h, 24 h and 48 h after the last centrifuge run and fixed and embeded. The apoptosis and expression changes of related gene bcl-2 and p53 were detected by terminal deoxynuleotide transferase-mediated dUTP nick end labeling (TUNEL) technique and immunohistochemical method, respectively. Result Apoptotic cells and expression changes of bcl-2 and p53 were observed in CA1 subregion of rat hippocampus taken 6 h after repeated +Gz exposures, but returned to normal after 24~48 h. Conclusion It suggests that apoptosis and expression changes of bcl-2 and p53 in rats hippocampus can be induced by repeated +Gz exposures and the apoptosis is one of the molecular mechanisms of brain damage induced by repeated +Gz exposures.
, 百拇医药
Key words: positive acceleration;apoptosis;brain damage;bcl-2;p53;immunication;rats
+Gz引起急性脑功能障碍是航空医学研究的重要课题之一。已经证实反复+Gz暴露可对大鼠脑产生类似缺血和再灌注的作用,并引起脑损伤[1~3]。近年来脑缺血再灌注动物模型研究表明,脑缺血再灌注可引起海马内神经细胞凋亡及其相关基因的表达,并认为细胞凋亡在缺血再灌注损伤中起重要作用[4~9],海马在脑各组织结构中对缺血损伤最为敏感。+Gz重复暴露是否
引起海马神经细胞凋亡及相关基因表达变化未见报道。本研究利用原位末端脱氧核苷酸转移酶(TdT)标记法(TUNEL)检测+Gz重复暴露大鼠海马细胞凋亡情况及用免疫组化方法检测凋亡相关基因bcl-2和p53表达的变化,探讨细胞凋亡在+Gz致脑损伤中的作用。
, http://www.100md.com
方 法
实验动物 选用200 g左右的SD大鼠20只(本院实验动物中心提供),随机分成对照组、+Gz重复暴露后30 min、6 h、24 h和48 h 5组,每组4只,将大鼠置于动物离心机的转臂上,头向离心机轴心。离心机半径为2 m。+Gz暴露G值为+14 Gz,增长率1.5 G/s,峰值持续时间45 s,共作用3次,两次中间间歇30 min。对照组大鼠亦在动物离心机上经历类似实验步骤,所承受的G值为+1 Gz。断头取脑,4%多聚甲醛固定,石蜡包埋。
原位末端标记(TUNEL) 采用德国Boenriner Mannheimgs公司检测试剂盒,具体流程:组织切片5μm,常规脱蜡至水后,分别经蛋白酶K(20 μg/ml)、过氧化氢甲醇、体积分数为0.1% Triton X-100溶液处理后,用Tunle反应液37℃孵育60 min,反应液中含末端脱氧核苷酸转移酶(TdT),荧光素标记的核苷酸。再用连接过氧化物酶的荧光素抗体37℃孵育30 min,经DAB显色后,苏木素衬染。以上各步骤间均用0.01 mol/L PBS洗3×5 in。实验设立不加TdT的阴性对照组。在光镜高倍视野下计数TUNEL染色阳性的细胞数。
, 百拇医药
免疫组织化学 SP试剂盒和bcl-2单克隆抗体、p53多克隆抗体购自北京中山生物工程公司。取与原位末端标记相毗邻的切片,脱蜡至水后用3%过氧化氢-甲醇孵育10 min清除内源性过氧化物酶,用正常羊血清室温孵育30 min,加bcl-2单克隆抗体或p53多克隆抗体(1∶50稀释)4℃ 过夜,生物素标记的抗兔IgG抗体37℃ 15 min,滴加辣根过氧化物酶标记的链霉卵白素工作液37℃ 15 min,DAB显色,苏木素复染,经脱水、透明、封片且光镜观察。以上各步骤间均用0.01 mol/L PBS洗3×5 min。阴性对照用正常羊血清代替一抗,各步骤同上。
结 果
原位末端标记 光镜下观察对照组和+Gz重复暴露后30 min组未见凋亡细胞,海马CA1区有3~4层蓝染的锥体细胞,排列整齐紧密。+Gz重复暴露后6 h 组CA1区可见部分细胞发生凋亡(图1),为12±2个/高倍视野,核固缩,深染。24 h组则仅有少量的凋亡细胞,为3±2个/高倍视野,48 h 组则恢复正常。CA3 和CA4区未发现凋亡细胞。
, 百拇医药
图1 +Gz重复暴露后6 h组海马CA1区的凋亡细胞×100
Fig.1 The apoptotic cell in CA1 region of rat hippocampus of 6 h after repeated +Gz exposures×100show apoptotic cell,×100
bcl-2免疫组化结果 对照组海马各亚区均存在bcl-2蛋白的表达,其中以CA1和CA4区表达较强(图2A)。+Gz重复暴露后30 min组bcl-2的表达无明显变化,6 h组CA1和CA4区bcl-2的表达明显减弱(图2B),24 h组bcl-2表达较6 h组有明显增强,48 h组bcl-2表达基本恢复正常。而在CA3区始终存在着bcl-2蛋白染色。阴性对照未见阳性染色。
, 百拇医药
图2 对照组(A)和+Gz重复暴露后6 h 组(B)海马CA1区bcl-2表达变化 ×200
Fig.2 The expression changes of bcl-2 in CA1 region of rat hippocampus of control (A) and 6 h after repeated +Gz exposures (B) ×200
图3 对照组(A)和+Gz重复暴露后6 h 组(B)海马CA1区p53表达变化 ×200
Fig.3 The expression changes of p53 in CA1 region of rat hippocampus of control (A) and 6 h after repeated +Gz exposures (B) ×200
, 百拇医药
p53免疫组化结果 对照组和+Gz重复暴露后30 min组在海马各亚区未检测到p53蛋白的表达(图3A),6 h组在CA1区出现较强的p53蛋白表达(图3B),24 h组表达量明显下降,48 h组p53蛋白表达基本恢复正常。CA3 和CA4区未见p53蛋白的表达。阴性对照未见阳性染色。
讨 论
细胞凋亡属于一种生理性的细胞死亡。目前认为细胞凋亡并不仅仅是一种自身的保护性机制,它可能与诸多的病理状态如缺血缺氧、肿瘤、衰老、自身免疫病、神经退行性疾病等的发病机制有关。TUNEL是一种灵敏度较高的细胞凋亡检测方法,其原理是细胞发生凋亡时染色体DNA在内源性核酸水解酶或核酸内切酶的作用下断裂,产生一系列DNA的3'-OH末端,可在脱氧核苷酸末端转移酶(TdT)的作用下,将荧光素、过氧化酶或生物素等形成的衍生物标记到DNA的3'-OH末端,从而进行细胞凋亡检测。它是分子生物学和形态学相结合的研究方法,能准确地反应细胞凋亡最典型的生物化学和形态特征,可检测出极少量的凋亡细胞,因而被广泛应用于细胞凋亡的研究中[4~7,10~11]。
, 百拇医药
已有研究表明细胞凋亡是脑缺血再灌注损伤的分子机制之一, 神经元的细胞凋亡与一些基因(如c-fos、c-jun、bcl-2、p53等)的表达变化、自由基的大量产生、一氧化氮的产生增加等因素有关。本研究证实反复高+Gz暴露可引起海马CA1区部分神经元细胞凋亡,因而细胞凋亡是反复高+Gz暴露所致脑损伤的机制之一。以往的研究表明反复高+Gz暴露可引起脑组织内c-fos、c-jun和一氧化氮合酶基因表达增高[12,13],自由基产生增加[14],这些是导致细胞凋亡的因素。但在+Gz暴露后24~48 h细胞凋亡基本消失,表明这种损伤是可逆的。动物模型研究显示脑缺血再灌注引起的海马神经元细胞凋亡一般在24~48 h为最高峰,这种和+Gz重复暴露引起的细胞凋亡的时相上的差异可能与两者脑缺血程度、再灌注的时间不同以及+Gz暴露有脑受挤压等外来因素有关。
bcl-2和p53是两种凋亡相关基因,bcl-2 是抑制凋亡基因,p53是促进凋亡基因,它们在细胞凋亡的发生发展中起到重要作用。本研究发现+Gz重复暴露可引起海马CA1区bcl-2和p53表达变化,bcl-2表达下降,p53表达上调,这种变化在反复高+Gz暴露所致的细胞凋亡中起一定作用,且研究显示bcl-2和p53表达变化与细胞凋亡的发生在时相上也是一致的。
, 百拇医药
综上所述,反复高+Gz暴露可诱发海马神经元细胞凋亡及相关基因bcl-2和p53的表达变化,它们在+Gz 所致的脑损伤中起重要作用,这为从基因水平认识和防护+Gz所致脑损伤提供了实验依据。
基金项目:全军医药卫生科研基金课题(98D033)和空军后勤部科研基金课题
[参考文献]
[1] Shahed AR,Barber JA,Werchan PM.Multiple +Gz exposures cause brain edema in rats[J]. Aviat Space Environ Med, 1994,65(6):522~526
[2] SUN Xiqing.The potential effects and mechanism of repeated high+Gz exposures on the brain[J]. Space Medicine & Medical Engineering,1998,11(1):75~78
, 百拇医药
孙喜庆.反复高G值暴露对脑的潜在影响及其机制[J].航天医学与医学工程,1998,11(1):75~78
[3] SUN Xiqing,ZHANG Lifan,WU Xingyu et al.Changes of cortical neurons after repeated +Gz exposures in rats[J].Space Medicine & Medical Engineering,1996,9(3):173~178
孙喜庆,张立藩,吴兴裕等.+Gz重复暴露后大鼠脑皮层神经元的形态学改变[J].航天医学与医学工程,1996,9(3):173~178
[4] Pulera MR,Adams LM, Liu H et al.Author apoptosis in a neonatal rat model of cerebral hypoxia~ischemia[J]. Stroke,1998,29(12): 2622~2630
, 百拇医药
[5] Charriaut Marlangue C,Remolleau S,Aggoun Zouaoui D et al.Apoptosis and programmed cell death: a role in cerebral ischemia[J]. Biomed Pharmacother,1998,52(6): 264~269
[6] Li Y, Chopp M, Powers C, Jiang N.Apoptosis and protein expression after focal cerebral ischemia in rat[J].Brain Res,1997,765(2): 301~312
[7] LU Dunyue,JIANG Dehua.The expression of heat shock protin 70 gene and apoptosis in hippocampal formation of the rats exposed to transient forebrain ischemia and reperfusion[J]. Natl Med J china,1997,77(6):451~453
, 百拇医药
路敦跃,江德华.脑缺血再灌流大鼠海马热休克蛋白70基因表达与细胞凋亡[J].中华医学杂志,1997,77(6):451~453
[8] LU Dunyue,JIANG Dehua,CHENG Yan.The expression of egr-1 and bcl-2 genes in hippocampal formation of the rats exposed to transient forebrain ischemia and reperfusion[J].J Apoplexy and Nervous Diseases,1999,16(2):67~69
路敦跃,江德华,程 炎.脑缺血再灌流大鼠海马egr-1及bcl-2基因的表达[J]. 中风与神经疾病杂志,1999,16(2):67~69
[9] LIU Hongmei,GAO Tianming,TONG Zhenqing. The mRNA and protien expression of p53 in hippocampal CA1 region of the rats exposed to transient full~brain ischemia and reperfusion[J].Natl Med J china,1999,79(1):67~69
, 百拇医药
刘红梅,高天明,佟振清.大鼠全脑缺血再灌流后海马CA1区p53 mRNA及蛋白的表达[J]. 中华医学杂志,1999,79(1):67~69
[10] Wijsman JH,Jonker RR,Keijzer R et al.A new method to detect apoptosis in paraff insections: in situ end labeling of fragmented DNA[J].J Histochem Cytochem,1993,41(1):7~12
[11] JIANG Lixian,XIE Yinzhi,SUN Xingbin et al.Relationship between apoptosis of brain cells and free radical scavenging ability in rats during acute intermittent hypoxia[J].Space Medicine & Medical Engineering,1998,11(2):83~86
, http://www.100md.com
蒋礼先,谢印芝,孙兴斌等.急性间断低氧大鼠脑细胞程序性死亡与自由基清除能力的关系[J].航天医学与医学工程,1998,11(2):83~86
[12] CAI Qing,LIU Hongjin,CHEN Youchun.Study of the expression of c-fos and c-jun gene in the brain of rat exposured to repeated +Gz by RT-PCR[J].Chin J Aerospace Med,1998,9(2):77~80
蔡 庆,刘红巾,陈友纯.用逆转录-聚合酶链反应检测+Gz重复暴露大鼠脑组织c-fos和c-jun基因表达[J]. 中华航空航天医学杂志,1998,9(2):77~80
[13] LIU Hongjin,CAI Qing,CHEN Youchun et al.Effects of repeated +Gz exposures on gene expression of nitric oxide synthase in rat brain[J]. Chin J Aerospace Med,1997,8(4):214~217
, http://www.100md.com
刘红巾,蔡 庆,陈友纯等.+Gz重复暴露对大鼠脑组织一氧化氮合成酶基因表达的影响[J].中华航空医学杂志,1997,8(4):214~217
[14] Zhan Hao,Xin Yimei,Liu Renfu et al.Effects of +Gz exposures on lipid peroxidation activity in rat brain[J].Chin J Aerospace Med,1992,3(2):74~76
詹 皓,辛益妹,刘人富等.+Gz对鼠脑脂质过氧化作用的影响[J].中华航空医学杂志,1992,3(2):74~76
收稿日期:1999-11-09, 百拇医药