X线影像变化在食管癌术前加速放射治疗中的价值
作者:闫根尚 刘海龙 赵玉林 秦永昌
单位:郑州,河南省肿瘤医院放射治疗科 450003
关键词:食管肿瘤;放射摄影术;食管肿瘤;放射疗法;加速放射治疗
中华放射肿瘤学杂志000406 【摘要】 目的 探讨放射治疗后不同时间的X线影像变化在食管癌术前加速放射治疗中的临床意义。方法 118例直接手术困难的晚期食管癌接受术前加速放射治疗及手术。将放射治疗后的X线分级及变化,结合临床治疗情况进行综合分析。结果 加速术前放射治疗结束后第2d的食管钡餐造影与第14d的比较,后者的X线分级有明显的升级现象;其中由Ⅲ、Ⅳ级上升为Ⅱ、Ⅲ级者最多,但无越级上升或降级者。放射治疗后第14d的X线分级与手术切除率、术后病理反应分级、长期生存率均呈正相关,即X线分级越好,临床疗效越好。结论 食管癌术前加速放射治疗后的X线影像变化,对食管癌的治疗方法选择、预后判断具有重要意义。
, 百拇医药
Value of X-ray appearance after preoperative accelerated radiotherapy for advanced esophageal cancer
YAN Genshang LIU Hailong ZHAO Yulin
(Department of Radiation Oncology, Henan Tumor Hospital , Zhengzhou 450003, China)
【Abstract】 Objective To evaluate the clinical value of X-ray appearance after preoperative accelerated radiotherapy for esophageal cancer. Methods One hundred and eighteen patients with advanced esophageal cancer were treated by accelerated radiotherapy and surgery. The association of X-ray appearance and treatment result was evaluated. Results The esophageal barium meal was performed on 2nd day and 14th day after radiotherapy. Grade I, II, III, and IV of X-ray appearance were defined as excellent, good, fair and poor. The grade of X-ray appearance was significantly improved 14 days after radiation. Thirty-eight percent (17/45) of patients had their findings improved from grade III to grade II. It was positively correlated with the resectability, patho-histological changes in the specimen and the survival rates. Patients with grade I and II had higher survival rates while those with grade III and IV had lower ones. Conclusion The esophageal barium meal is of paramount importance for the treatment and prognosis of esophageal cancer.
, 百拇医药
【Key words】 Esophageal neoplasms/radiography; Esophageal neoplasms/radiotherapy; Accelerated radiotherapy
1989年3月至1998年6月,本院采用术前加速放射治疗联合外科手术治疗晚期食管癌118例,通过观察术前加速放射治疗结束后第2d、第14d的X线影像变化,结合临床治疗情况,进行综合分析,结果报道如下。
1 材料与方法
1.1 病例选择:包括内窥镜活检的全面检查后最终经病理确诊为食管癌、放射治疗前经胸外科会诊认为手术困难并建议术前放射治疗、经过随机分组进入术前加速放射治疗组的患者。其中男性86例,女性32例。年龄35~65岁, 45~60岁占80%。病理组织学检查均为鳞癌。X线分型:髓质型 91例,蕈伞型27例。病变部位:胸上段23例,胸中段95例。病变长度4.0~ 6.0cm 67例,6.1~8.0cm 32例,8.1~10.0cm16例,>10.0cm 3例。
, 百拇医药
1.2 照射方法:3个野交叉等中心照射; 2次/d,间隔 6~8h, 2Gy/次;总剂量 DT 40Gy,疗程12~14d。放射治疗后 3~4周行食管癌根治术。
1.3 统计方法:X线疗效Ⅰ+Ⅱ级与Ⅲ+Ⅳ级者的术后病理重度反应率比较、5年生存率比较均用χ2检验。
2 结果
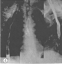
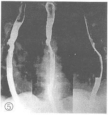
2.1 X线影像比较:每例患者在术前加速放射治疗结束后第2d及第14d分别两次摄食管钡餐造影片。由放射科、放射治疗科、胸外科3名副主任医师以上的人员读片,读片前用胶布粘住每例患者的摄片的日期,再进行“多盲法”对比观察、记录。评判标准按1981年第三届全国放射学术会议(郑州)治疗组通过的食管癌放射治疗后X线诊断标准分为4级。Ⅰ级:病变完全消失,食管壁软而光滑,蠕动及扩张良好,粘膜纹理清楚可见(图1、 2);Ⅱ级:病变基本消失,食管壁规则,钡剂能顺利通过,但管壁仍僵直或狭窄,蠕动未恢复,粘膜仍增粗(图3、 4);Ⅲ级:病变明显好转,食管病灶退缩一半以上,没有明显扭曲、成角以及突出腔外的溃疡,稠的钡剂能通过(图5、 6);Ⅳ级:病变残留或恶化,病灶消退不到一半或成角,扭曲明显或有突出腔外的溃疡,钡剂通过极差(图7、 8)。118例术前加速放射治疗后不同时间的X线影像变化结果中,从Ⅲ、Ⅳ级病例上升为Ⅱ、Ⅲ级者最多,分别达 37.8%(17/45)和43.8%(7/16);但未发现越级上升和降级病例。
, 百拇医药
2.2 手术情况:术前加速放射治疗后第14d的 X 线疗效分级为Ⅰ、Ⅱ级者74例,均为根治术(100%,74/74);Ⅲ级者根治术33例(94.3%,33/35),探查术2例;Ⅳ级者根治术 4例(44.4%,4/9 ),姑息术3例,探查术 2例。说明术前加速放射治疗后第14d的X线分级与根治性手术切除率呈正相关。
2.3 手术后放射治疗反应的病理改变:手术切除标本的病理组织学放射治疗反应分级可分为轻、中、重3度[1]。轻度反应又称为退化性变期,仅有部分癌细胞退化变性;中度反应又称为肉芽肿期,肿瘤体积明显缩小,癌细胞大量坏死;重度反应又称为纤维化期,癌细胞完全消失。术前加速放射治疗结束后第14d X线疗效Ⅳ级的 9例患者中,2例仅做手术探查,无术后病理;手术的7例术后病理均为轻度放射治疗反应,无重度反应(无残存癌细胞)。相反,食管钡餐片显示病变疗效Ⅰ级者,术后病理查不到癌细胞(重度放射治疗反应)的例数最多,达88%(22/25)。总之, X线疗效Ⅰ+Ⅱ级者,术后病理重度反应率为74%(55/74),Ⅲ+Ⅳ级者的术后病理重度反应率为16%(7/44),前者明显高于后者(χ2=37.8, P=0.000)。即随X线疗效分级下降,食管癌术后病理反应重度反应率下降,二者呈正相关。
, 百拇医药
2.4 生存率:全部病例治疗后均跟踪随访至5年止,失访按死亡算,随访率为95%。随着X线疗效分级逐渐下降,长期生存率逐渐降低,见表1。其中X线疗效Ⅰ+Ⅱ级者术后5年生存率明显高于Ⅲ+Ⅳ级者(χ2=9.34, P=0.002)。
表1 术前加速放射治疗后第14d的
X线影像分级与生存率的关系 X线
分级
1年
2年
5年
总例数
生存例数
生存率(%)
, 百拇医药
总例数
生存例数
生存率(%)
总例数
生存例数
生存率(%)
Ⅰ
25
25
100
23
19
83
, 百拇医药
20
14
70
Ⅱ
49
40
82
44
26
59
34
15
44
Ⅲ
, 百拇医药
35
26
74
32
11
34
20
4
20
Ⅳ
9
5
56
6
, http://www.100md.com
0
0
4
0
0
3 讨论
对食管癌术前加速放射治疗后的X线影像学变化的研究,国内外尚无报道。笔者在研究食管癌加速放射治疗与常规放射治疗的疗效比较中,曾对术前加速放射治疗后食管癌的术后病理放射治疗重度反应率做过统计分析[2,3],提示术前加速放射治疗组的重度放射治疗反应(病理无癌)率明显优于常规放射治疗组。而在进行临床总结时,还发现照射刚结束时,术前加速放射治疗组相当部分病例的X线钡餐片显示病变缩短不明显,管腔扩张柔韧度不很理想;休息2周后再摄片,局部X线疗效改善明显;本研究的118例X线影像学报告证实了这一现象。具体表现为X线疗效分级有不同程度的升级,其中从Ⅲ、Ⅳ级病例上升为Ⅱ、Ⅲ级者最多,但未发现越级上升和降级病例。这可能与术前加速放射治疗组在2周内完成放射治疗有关。因为疗程时间短、生物效应明显、肿瘤细胞变性和坏死的速度快,而这些变性、坏死的肿瘤细胞的吸收、清除需要一定的时间过程。另外,可能在术前加速放射治疗组中存在的放射生物学的增殖死亡和凋亡现象更明显些。术前加速放射治疗后不同时间食管癌的X线影像变化(升级现象)及其术前加速放射治疗后第14d的X线分级与术后病理反应、手术切除率、生存率的相关性研究表明,使用放射治疗后2周的X线钡餐片比放射治疗结束即刻的钡餐片更有临床意义,即更容易判断手术切除可能性和临床预后。术前加速放射治疗后第14d的X线疗效Ⅰ、Ⅱ级病例重度放射治疗反应(无癌)率较高,5年生存率在数值上低于术后病理无癌率;说明对于X线疗效Ⅰ、Ⅱ级病例、术前加速放射治疗后加用手术切除的局部肿瘤,增加局部控制对提高生存率的作用似乎不大。对于Ⅲ、Ⅳ级病例,重度放射反应率和5年生存率均很低,但5年生存率在数值上高于术后病理无癌率;说明对于X线疗效Ⅲ、Ⅳ级病例,在术前加速放射治疗的基础上,加用局部手术切除,通过改善肿瘤局部控制,能提高生存率。
, 百拇医药
图1 食管上段癌放射治疗后2d摄片,病灶5cm长虫蚀样破坏
图2 放射治疗后14d,病灶消失,柔韧度恢复
图3 食管中段癌示龛影及破坏
图4 放射治疗第14d后炳灶被显著修复
图5 食管胸上段癌,食管粘膜破坏并龛影
, 百拇医药
图6 加速放射治疗第14d,商灶管壁轮廓较前规则
图7 食管中段癌髓质型
图8 放射治疗14d仍示病灶残留,病灶消退不足1/2。
参考文献
1,刘复生 .食管癌和贲门癌的细胞、病理学诊断 .见:中华人民共和国卫生部医政司,主编 .中国常见恶性肿瘤诊治规范(第一分册 食管癌和贲门癌) .北京:北京医科大学中国协和医科大学联合出版社,1991 . 26 .
2,赵玉林,刘海龙,徐建华 .食管癌术前加速超分割放射治疗临床研究 .中华放射肿瘤学杂志,1999,8:136-138 .
3,赵玉林,卫功铨,沙永慧,等 .晚期食管癌术前加速放疗与术前常规放疗随机分组临床研究 .中华肿瘤杂志,1994,16:444 .
收稿日期:2000-05-26, 百拇医药
单位:郑州,河南省肿瘤医院放射治疗科 450003
关键词:食管肿瘤;放射摄影术;食管肿瘤;放射疗法;加速放射治疗
中华放射肿瘤学杂志000406 【摘要】 目的 探讨放射治疗后不同时间的X线影像变化在食管癌术前加速放射治疗中的临床意义。方法 118例直接手术困难的晚期食管癌接受术前加速放射治疗及手术。将放射治疗后的X线分级及变化,结合临床治疗情况进行综合分析。结果 加速术前放射治疗结束后第2d的食管钡餐造影与第14d的比较,后者的X线分级有明显的升级现象;其中由Ⅲ、Ⅳ级上升为Ⅱ、Ⅲ级者最多,但无越级上升或降级者。放射治疗后第14d的X线分级与手术切除率、术后病理反应分级、长期生存率均呈正相关,即X线分级越好,临床疗效越好。结论 食管癌术前加速放射治疗后的X线影像变化,对食管癌的治疗方法选择、预后判断具有重要意义。
, 百拇医药
Value of X-ray appearance after preoperative accelerated radiotherapy for advanced esophageal cancer
YAN Genshang LIU Hailong ZHAO Yulin
(Department of Radiation Oncology, Henan Tumor Hospital , Zhengzhou 450003, China)
【Abstract】 Objective To evaluate the clinical value of X-ray appearance after preoperative accelerated radiotherapy for esophageal cancer. Methods One hundred and eighteen patients with advanced esophageal cancer were treated by accelerated radiotherapy and surgery. The association of X-ray appearance and treatment result was evaluated. Results The esophageal barium meal was performed on 2nd day and 14th day after radiotherapy. Grade I, II, III, and IV of X-ray appearance were defined as excellent, good, fair and poor. The grade of X-ray appearance was significantly improved 14 days after radiation. Thirty-eight percent (17/45) of patients had their findings improved from grade III to grade II. It was positively correlated with the resectability, patho-histological changes in the specimen and the survival rates. Patients with grade I and II had higher survival rates while those with grade III and IV had lower ones. Conclusion The esophageal barium meal is of paramount importance for the treatment and prognosis of esophageal cancer.
, 百拇医药
【Key words】 Esophageal neoplasms/radiography; Esophageal neoplasms/radiotherapy; Accelerated radiotherapy
1989年3月至1998年6月,本院采用术前加速放射治疗联合外科手术治疗晚期食管癌118例,通过观察术前加速放射治疗结束后第2d、第14d的X线影像变化,结合临床治疗情况,进行综合分析,结果报道如下。
1 材料与方法
1.1 病例选择:包括内窥镜活检的全面检查后最终经病理确诊为食管癌、放射治疗前经胸外科会诊认为手术困难并建议术前放射治疗、经过随机分组进入术前加速放射治疗组的患者。其中男性86例,女性32例。年龄35~65岁, 45~60岁占80%。病理组织学检查均为鳞癌。X线分型:髓质型 91例,蕈伞型27例。病变部位:胸上段23例,胸中段95例。病变长度4.0~ 6.0cm 67例,6.1~8.0cm 32例,8.1~10.0cm16例,>10.0cm 3例。
, 百拇医药
1.2 照射方法:3个野交叉等中心照射; 2次/d,间隔 6~8h, 2Gy/次;总剂量 DT 40Gy,疗程12~14d。放射治疗后 3~4周行食管癌根治术。
1.3 统计方法:X线疗效Ⅰ+Ⅱ级与Ⅲ+Ⅳ级者的术后病理重度反应率比较、5年生存率比较均用χ2检验。
2 结果
2.1 X线影像比较:每例患者在术前加速放射治疗结束后第2d及第14d分别两次摄食管钡餐造影片。由放射科、放射治疗科、胸外科3名副主任医师以上的人员读片,读片前用胶布粘住每例患者的摄片的日期,再进行“多盲法”对比观察、记录。评判标准按1981年第三届全国放射学术会议(郑州)治疗组通过的食管癌放射治疗后X线诊断标准分为4级。Ⅰ级:病变完全消失,食管壁软而光滑,蠕动及扩张良好,粘膜纹理清楚可见(图1、 2);Ⅱ级:病变基本消失,食管壁规则,钡剂能顺利通过,但管壁仍僵直或狭窄,蠕动未恢复,粘膜仍增粗(图3、 4);Ⅲ级:病变明显好转,食管病灶退缩一半以上,没有明显扭曲、成角以及突出腔外的溃疡,稠的钡剂能通过(图5、 6);Ⅳ级:病变残留或恶化,病灶消退不到一半或成角,扭曲明显或有突出腔外的溃疡,钡剂通过极差(图7、 8)。118例术前加速放射治疗后不同时间的X线影像变化结果中,从Ⅲ、Ⅳ级病例上升为Ⅱ、Ⅲ级者最多,分别达 37.8%(17/45)和43.8%(7/16);但未发现越级上升和降级病例。
, 百拇医药
2.2 手术情况:术前加速放射治疗后第14d的 X 线疗效分级为Ⅰ、Ⅱ级者74例,均为根治术(100%,74/74);Ⅲ级者根治术33例(94.3%,33/35),探查术2例;Ⅳ级者根治术 4例(44.4%,4/9 ),姑息术3例,探查术 2例。说明术前加速放射治疗后第14d的X线分级与根治性手术切除率呈正相关。
2.3 手术后放射治疗反应的病理改变:手术切除标本的病理组织学放射治疗反应分级可分为轻、中、重3度[1]。轻度反应又称为退化性变期,仅有部分癌细胞退化变性;中度反应又称为肉芽肿期,肿瘤体积明显缩小,癌细胞大量坏死;重度反应又称为纤维化期,癌细胞完全消失。术前加速放射治疗结束后第14d X线疗效Ⅳ级的 9例患者中,2例仅做手术探查,无术后病理;手术的7例术后病理均为轻度放射治疗反应,无重度反应(无残存癌细胞)。相反,食管钡餐片显示病变疗效Ⅰ级者,术后病理查不到癌细胞(重度放射治疗反应)的例数最多,达88%(22/25)。总之, X线疗效Ⅰ+Ⅱ级者,术后病理重度反应率为74%(55/74),Ⅲ+Ⅳ级者的术后病理重度反应率为16%(7/44),前者明显高于后者(χ2=37.8, P=0.000)。即随X线疗效分级下降,食管癌术后病理反应重度反应率下降,二者呈正相关。
, 百拇医药
2.4 生存率:全部病例治疗后均跟踪随访至5年止,失访按死亡算,随访率为95%。随着X线疗效分级逐渐下降,长期生存率逐渐降低,见表1。其中X线疗效Ⅰ+Ⅱ级者术后5年生存率明显高于Ⅲ+Ⅳ级者(χ2=9.34, P=0.002)。
表1 术前加速放射治疗后第14d的
X线影像分级与生存率的关系 X线
分级
1年
2年
5年
总例数
生存例数
生存率(%)
, 百拇医药
总例数
生存例数
生存率(%)
总例数
生存例数
生存率(%)
Ⅰ
25
25
100
23
19
83
, 百拇医药
20
14
70
Ⅱ
49
40
82
44
26
59
34
15
44
Ⅲ
, 百拇医药
35
26
74
32
11
34
20
4
20
Ⅳ
9
5
56
6
, http://www.100md.com
0
0
4
0
0
3 讨论
对食管癌术前加速放射治疗后的X线影像学变化的研究,国内外尚无报道。笔者在研究食管癌加速放射治疗与常规放射治疗的疗效比较中,曾对术前加速放射治疗后食管癌的术后病理放射治疗重度反应率做过统计分析[2,3],提示术前加速放射治疗组的重度放射治疗反应(病理无癌)率明显优于常规放射治疗组。而在进行临床总结时,还发现照射刚结束时,术前加速放射治疗组相当部分病例的X线钡餐片显示病变缩短不明显,管腔扩张柔韧度不很理想;休息2周后再摄片,局部X线疗效改善明显;本研究的118例X线影像学报告证实了这一现象。具体表现为X线疗效分级有不同程度的升级,其中从Ⅲ、Ⅳ级病例上升为Ⅱ、Ⅲ级者最多,但未发现越级上升和降级病例。这可能与术前加速放射治疗组在2周内完成放射治疗有关。因为疗程时间短、生物效应明显、肿瘤细胞变性和坏死的速度快,而这些变性、坏死的肿瘤细胞的吸收、清除需要一定的时间过程。另外,可能在术前加速放射治疗组中存在的放射生物学的增殖死亡和凋亡现象更明显些。术前加速放射治疗后不同时间食管癌的X线影像变化(升级现象)及其术前加速放射治疗后第14d的X线分级与术后病理反应、手术切除率、生存率的相关性研究表明,使用放射治疗后2周的X线钡餐片比放射治疗结束即刻的钡餐片更有临床意义,即更容易判断手术切除可能性和临床预后。术前加速放射治疗后第14d的X线疗效Ⅰ、Ⅱ级病例重度放射治疗反应(无癌)率较高,5年生存率在数值上低于术后病理无癌率;说明对于X线疗效Ⅰ、Ⅱ级病例、术前加速放射治疗后加用手术切除的局部肿瘤,增加局部控制对提高生存率的作用似乎不大。对于Ⅲ、Ⅳ级病例,重度放射反应率和5年生存率均很低,但5年生存率在数值上高于术后病理无癌率;说明对于X线疗效Ⅲ、Ⅳ级病例,在术前加速放射治疗的基础上,加用局部手术切除,通过改善肿瘤局部控制,能提高生存率。
, 百拇医药
图1 食管上段癌放射治疗后2d摄片,病灶5cm长虫蚀样破坏
图2 放射治疗后14d,病灶消失,柔韧度恢复
图3 食管中段癌示龛影及破坏
图4 放射治疗第14d后炳灶被显著修复
图5 食管胸上段癌,食管粘膜破坏并龛影
, 百拇医药
图6 加速放射治疗第14d,商灶管壁轮廓较前规则
图7 食管中段癌髓质型
图8 放射治疗14d仍示病灶残留,病灶消退不足1/2。
参考文献
1,刘复生 .食管癌和贲门癌的细胞、病理学诊断 .见:中华人民共和国卫生部医政司,主编 .中国常见恶性肿瘤诊治规范(第一分册 食管癌和贲门癌) .北京:北京医科大学中国协和医科大学联合出版社,1991 . 26 .
2,赵玉林,刘海龙,徐建华 .食管癌术前加速超分割放射治疗临床研究 .中华放射肿瘤学杂志,1999,8:136-138 .
3,赵玉林,卫功铨,沙永慧,等 .晚期食管癌术前加速放疗与术前常规放疗随机分组临床研究 .中华肿瘤杂志,1994,16:444 .
收稿日期:2000-05-26, 百拇医药