庚型肝炎病毒致病性的初步研究
作者:廖胜东 詹美云 杨昭徐 孙异临 郎振为 田瑞光
单位:廖胜东 詹美云 杨昭徐 孙异临 田瑞光(中国预防医学科学院病毒学研究所肝炎病毒研究室);郎振为(北京佑安医院病理科)
关键词:肝脏;病理学;致病力;酶;血清学;肝炎;庚型
中华实验和临床病毒学杂志000415 【摘要】 目的 探讨庚型肝炎病毒(HGV)的致病性。方法 应用RT-nPCR检测368例肝炎患者血清HGV RNA和血清酶的变化,并对其中1例单独庚型肝炎肝硬化病例进行肝脏活组织病理检测。结果 在71例急性黄疸型肝炎中检出单纯性HGV RNA阳性7例,155例慢性肝炎中检出单纯性HGV RNA阳性22例,51例肝硬化中检出单纯HGV RNA阳性3例。其中1例肝穿组织免疫组化证实为HGV NS 5 Ag阳性。结论 急性黄疸型肝炎及乙、丙型肝炎病毒携带者,其慢性肝炎、肝硬化和肝癌中均可检出HGV RNA,HGV感染可为单独感染或与乙/丙型肝炎病毒混合或重叠感染,肝脏病理和免疫组化检查证实庚型肝炎病毒是一种嗜肝病毒,其定位主要存在于细胞浆内,可引起慢性病毒性肝炎甚至肝硬化。庚型肝炎病毒很可能具有致病性。
, 百拇医药
Preliminary study on pathogenicity of hepatitis G virus
LIAO Shengdong, ZHAN Meiyun, YANG Zhaoxu
(Department of Digestion,Tiantan Affiliated Hospital of Capital University of Medical Sciences, Beijing 100050, China)
【Abstract】 Objective To study the clinical,enzymatic and liver pathological changes in patients with hepatitis G virus (HGV) infection. Methods RT-nested PCR was applied to detect HGV RNA in 368 patients with hepatic diseases. The liver biopsy tissue from one liver cirrhosis patient with simple HGV infection was examined. Results Simple HGV RNA positive were found in 7 cases of 71 acute hepatitis jaundice, in 22 cases of 155 chronic hepatitis and in 3 cases of 51 liver cirrhosis. The immunohistochemistry of the liver biopsy tissue from a liver cirrhosis patient showed HGV NS 5 antigen positive. However, HGV infection might occur simply or combinatively with hepatitis B or C virus or super infected. Conclusion HGV RNA could be detected in acute hepatitis jaundice,chronic hepatitis, hepatitis B or C carriers, liver cirrhosis and hepatocellular carcinoma. HGV is proved to be a hepatotropic virus by pathological examination and immunohistochemistry, the virus located in the cytoplasm of the liver cells. It may cause chronic hepatitis and even liver cirrhosis, so HGV in pathogenic to liver tissue.
, 百拇医药
【Key words】 Hepatitis/Pathology; Pathogenicity; Enzyme/Serology; Hepatitis G virus
庚型肝炎病毒(GBV-C/HGV)于1995年底和1996年初分别由美国两个研究小组发现〔1,2〕,随后的研究证明,庚型肝炎病毒属黄病毒科但不同于丙型肝炎病毒的单股正链RNA病毒,该病毒经肠道外途径传播。除通过血液、血制品传播外,还可以通过性传播和母婴垂直传播。庚型肝炎病毒感染呈全球分布,在我国不同省市、不同临床型肝炎病人中均有庚型肝炎病毒感染存在。在急慢性乙型肝炎病人中,庚型肝炎病毒合并或重叠感染约占10%~20%,在非甲~非戊型肝炎中庚型肝炎病毒感染约占1/4~1/3,因此庚型肝炎病毒感染在我国是一比较严重的问题。然而关于庚型肝炎病毒的致病性、嗜肝性等问题,目前存在两种不同的认识,一种认为,庚型肝炎病毒是非致病因子,其与HBV合并感染后并不影响HBV的临床表现,预后和对IFN的治疗效果,用庚型肝炎病毒感染黑猩猩只是产生长时间的病毒血症而肝功能正常〔3-5〕。与此相反的结论认为庚肝病毒除可以健康携带外还可以引起急慢性肝炎乃至肝硬化和肝癌〔6-9〕。为了进一步评价庚型肝炎病毒感染的临床意义,我们对368例肝炎患者中单独庚型肝炎病毒感染的32例患者进行了临床、酶学和病理等方面的研究,以阐明HGV感染与肝病的关系。
, 百拇医药
1 材料和方法
1.1 检测对象 随机送检368例肝炎患者血清,男251例,女117例,年龄8~66岁,平均(41.3±12.4)岁。按1995年(北京)全国传染病与寄生虫病学术会议修订的诊断分型标准,急性黄疸性肝炎71例,乙、丙型肝炎病毒携带者83例,慢性肝炎(轻、中、重度)155例,肝硬化51例,原发性肝癌8例。
1.2 检测方法 所有患者进行血清丙氨酸转氨酶(ALT)、天门冬氨酸转氨酶(AST)、碱性磷酸酶(ALP)、乳酸脱氢酶(LDH)、γ-谷氨酰转肽酶(γ-GT)、胆碱酯酶(CHE)、血清总胆红素(TBil)和直接胆红素(DBil)测定,排除饮酒、药物等影响因素,进行B超等有关检查以除外梗阻性黄疸。所有患者血清送中国预防医学科学院病毒学研究所肝炎室,应用酶联免疫吸附法(ELISA)检测抗-HAV IgM、抗-HEV IgM、抗-HCV IgG(第三代试剂)、抗-HBc IgM和HBsAg,对上述病毒指标均阴性、HGV RNA阳性血清用地高辛标记探针测定HBV DNA或用RIA测定HBsAg,应用逆转录-套式聚合酶链反应(RT-nested PCR)检测HGV RNA。
, 百拇医药
1.3 病理学检测 对1例单独庚型肝炎肝硬化进行肝脏活组织穿刺,甲醛固定,石蜡包埋,常规HE染色进行光镜病理诊断。使用免疫组织化学技术做HGV NS 5 Ag检测。用多聚甲醛,戊二醛液固定后超薄切片电子显微镜观察。
2 结果
2.1 应用RT-nPCR检测不同临床型肝炎病人中HGV的感染率,结果见表1。不同临床型肝炎中均存在HGV感染,在HBV及HCV携带者中HGV的感染率达21.7%。单纯HGV感染随病程延长而减少,与HBV、HCV合并和/或重叠感染率增加。在所测的71例急性肝炎中8例HGV RNA阳性者有7例为HGV单独感染,而51例肝硬化病人中9例HGV RNA阳性者中60%(6/9)以上合并HBV、HCV感染。
2.2 单纯HGV感染的病毒性肝炎与血清酶学的关系 为了阐明HGV的致病性,追踪观察了单纯HGV感染病人血清酶学的改变情况,结果见表2。
, 百拇医药
2.3 单独庚型肝炎肝硬化肝活检组织的病理检查结果
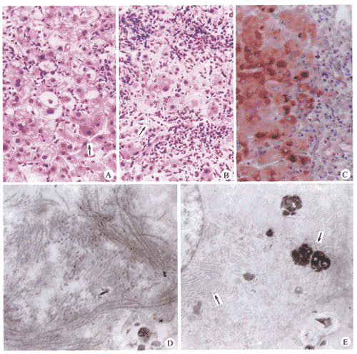
2.3.1 光镜检查 可见肝小叶内肝细胞胞浆疏松化及嗜酸性变,有较多点灶性坏死,部分肝细胞轻度脂变,汇管区扩张伴有淋巴细胞等单个核细胞浸润,多处界板被破坏,部分区域可见假小叶形成,见图版Ⅱ,图A和图B。
2.3.2 免疫组化 在肝细胞质内见有HGV NS 5抗原表达,证明确为HGV复制与表达(图版Ⅱ,图C)。
2.3.3 超薄切片的电子显微镜观察结果 肝细胞浆内线粒体嵴模糊不清,电子密度增高,散在大小不等脂滴,胞浆内次级溶酶体增多,可见空泡形成,部分肝细胞内有大量糖原颗粒肝细胞之间可见单核细胞及淋巴细胞浸润,并有大量胶原纤维形成,见图版Ⅱ,图D,E。
表1 368例肝病患者中庚型肝炎病毒(GBV-C/HGV RNA)阳性率
, http://www.100md.com
Tab.1 The HGV (GBV-C/HGV RNA) positive rates in 368 patients with hepatic diseases 临床型Clinical type
检测数
No.tested
总阳性数
Total HGV positive no.
单纯阳性数
Simple HGV RNA
positive no.
总阳性率
Total HGV
, 百拇医药
positive rate
单纯阳性率
Simple HGV RNA
positive rate
急性黄疸型肝炎
Acute jaundice hepatitis
71
8
7
11.3(8/71)
87.5(7/8)
慢性肝炎
, 百拇医药
Chronic hepatitis
155
48
22
30.9(48/155)
45.8(22/48)
肝硬化
Liver cirrhosis
51
9
3
17.6(9/51)
, http://www.100md.com
33.3(3/9)
原发性肝癌
Primary hepatocellular carcinoma
8
2
0
25.0(2/8)
HBV和HCV携带者
HBV and HCV carriers
83
18
0
, 百拇医药
21.7(18/83)
合 计
Total
368
85
32
23.1(85/368)
37.6(32/85)
表2 32例单纯庚型肝炎病例的酶学检测结果(
±s)
Tab.2 The enzyme detection of 32 cases of simple HGV positive(
±s) 分组Group
, http://www.100md.com
例数
Case No.
ALT
(U/L)
AST
(U/L)
ALP
(U/L)
LDH
(U/L)
γ-GT
(U/L)
CHE
, 百拇医药
(U/L)
TBil
(μmol/L)
DBil
(μmol/L)
急性肝炎
Acute hepatitis
7
588±95
452±71
273±46
281±43
, http://www.100md.com
142±41
8425±1350
77.1±14.3
46.4±10.8
慢性肝炎
Chronic hepatitis
轻度
Mild
19
91±18
69±16
93±21
, 百拇医药
108±27
72±24
10724±1125
13.1±4.7
2.8±0.6
中度
Moderate
3
181±52
146±48
435±70
185±60
, http://www.100md.com 414±88
7324±736
17.4±5.1
4.4±1.9
肝 硬 化
Liver cirrhosis
3
104±17
118±18
317±44
117±19
1214±121
, 百拇医药
5824±250
29.4±6.5
16.3±3.8
3 讨论
1995年美国学者相继报道用分子生物学技术发现一种新型的庚型肝炎病毒(GBV-C/HGV),我们应用RT-nPCR检测71例急性黄疸型肝炎患者血清,检出单独HGV感染7例,其中2例同时伴有抗-HGV阳性,7例急性肝炎ALT为325~783 U/L,AST为238~589 U/L,TBil为51.1~92 μmol/L,此7例急性肝炎转氨酶在1个月内即恢复正常,黄疸消退,3例发病后3年复查HGV RNA仍然阳性,抗-HGV未出现,2例于发病后9个月HGV RNA消失,抗-HGV出现,2例于发病后1年半复查,HGV RNA与抗-HGV同时阳性。说明庚型肝炎有急性黄疸型,肝功能正常后HGV RNA携带时间在6个月以上。在83例乙、丙型肝炎病毒携带者中检出18例HGV RNA阳性,其中14例合并HBV感染,4例合并HCV感染。在155例慢性肝炎中,检出HGV RNA阳性的轻度肝炎36例,中度9例,重度3例,其中22例为单独HGV RNA感染。3例单独感染的轻度慢性肝炎ALT和AST呈间断低水平升高,而胆红素持续轻度升高(28.6 μmol/L~54.8 μmol/L),伴脾脏轻度肿大。2例单独感染的中度慢性肝炎其γ-GT在230 U/L~1 354 U/L,白蛋白/球蛋白比值(A/G)在0.8~1.1之间。1例合并丙型肝炎的重度慢性肝炎,其HCV RNA阴性而抗-HCV阳性。在51例肝硬化中检出9例HGV RNA阳性,其中有3例为单独HGV感染,并对其中1例进行肝脏活组织病理检查结果为活动性肝硬化(G4 S5),肝组织免疫组化HGV NS 5 Ag定位于肝细胞胞浆呈红色。8例原发性肝癌中检出2例HGV RNA阳性。本研究结果证实单独HGV RNA感染后,可有慢性携带状态、急性肝炎、慢性肝炎、肝硬化,临床症状轻重不等,电镜下细胞器改变较轻,血清各项化验检测指标均明显异常,HGV在肝细胞内的定位主要存在于细胞浆内,证实HGV可能是一种具有一定致病性、与肝病相关的病毒,其临床表现以混合感染为主,单纯感染率是否这么高有待进一步证实。
, http://www.100md.com
图1 单纯庚型肝炎病理感染的肝硬化患者肝组织的病理改变、免疫组化及电镜观察结果
A:肝细胞胞浆疏松化及嗜酸性变,部分轻度脂变(HE 200×); B:部分区域可见假小叶形成(HE 200×); C:NS5抗原定位于肝细胞胞浆内呈红色(AEC 200×); D:肝细胞间质内大量胶原纤维形成(20 000×); E:肝细胞浆内次级溶酶体增加,粗面内质网,线粒体嵴不清(10 000×)
Fig.1 The pathological,immunehistochemistry and electron microscopic observation of the liver tissue of a liver cirrhosis patient with simple HGV infection
A:Acidophilic change and loosening of cytoplasm of the liver cells, part of cells showing light lipochange (HE 200×). B:In some area of liver cell,pseudolobule was formed (HE 200×). C:HGV NS5 antigen located in the cytoplasm of liver cells showing red color (AEC 200×). D:Large amount of collagen fibers formed in the interstitial space of liver cell (20 000×). E: Secondary lysozymes increased in the cytoplasm of liver cell, the rough-surfaced endoplasmic reticulum and the ridges of the mitochondria were indistinct (10 000×)
, 百拇医药
此研究属国家863(102-07-02-0)和九五攻关课题(96-906A-0308)
参 考 文 献
1,Simons JN,Leary TP,Dawson GL,et al.Isolation of novel virus like sequences associated with human hepatitis. Nature Med,1995,1:564-569.
2,Linner J, Wages J,Zhang-Keck Z,et al.Molecular cloning and disease association of hepatitis G virus: A transfusion transmissble agent.Science,1996,271-508.
3,Bukhi J, Kim J, Govindaraians S,et al.Natural history of hepatitis G virus in champanzees.Hepatology,1996,24:413A.
, 百拇医药
4,Pessoa MG,Terrault NA,Detmer J, et al.Quantitation of hepatitis G and C viruses is not hepatotropic.Hepatology ,1998,72:877-880.
5,Laskus T, Radkowski M,Wang LT,et al.Lack of evidence for hepatitis G virus replication in the liver of patients coinfected with hepatitis C and G viruses. J Virol,1997,7:7804-7806.
6,Pessoa, MG,Wright TL.Hepatitis G:A virus in search of a disease.Hepatology, 1996,24:461-463.
, 百拇医药
7,Zhan MY,Wang Y,Xia NS,et al.Study on hepatitis G virus in China. Programme & Abstracts,China-Korea Medical Conference, Beijing, 1997,p93.
8,廖胜东,詹美云,丛郁,等.35例庚型肝炎病毒临床及酶学变化观察.中华实验和临床病毒学杂志,1998,12:333-335.
9,貌盼勇,何红霖,洪世雯,等.恒河猴感染庚型肝炎病毒的实验研究.中华实验和临床病毒学杂志,1998,12:258-260.
(收稿日期:2000-01-20)
, http://www.100md.com
单位:廖胜东 詹美云 杨昭徐 孙异临 田瑞光(中国预防医学科学院病毒学研究所肝炎病毒研究室);郎振为(北京佑安医院病理科)
关键词:肝脏;病理学;致病力;酶;血清学;肝炎;庚型
中华实验和临床病毒学杂志000415 【摘要】 目的 探讨庚型肝炎病毒(HGV)的致病性。方法 应用RT-nPCR检测368例肝炎患者血清HGV RNA和血清酶的变化,并对其中1例单独庚型肝炎肝硬化病例进行肝脏活组织病理检测。结果 在71例急性黄疸型肝炎中检出单纯性HGV RNA阳性7例,155例慢性肝炎中检出单纯性HGV RNA阳性22例,51例肝硬化中检出单纯HGV RNA阳性3例。其中1例肝穿组织免疫组化证实为HGV NS 5 Ag阳性。结论 急性黄疸型肝炎及乙、丙型肝炎病毒携带者,其慢性肝炎、肝硬化和肝癌中均可检出HGV RNA,HGV感染可为单独感染或与乙/丙型肝炎病毒混合或重叠感染,肝脏病理和免疫组化检查证实庚型肝炎病毒是一种嗜肝病毒,其定位主要存在于细胞浆内,可引起慢性病毒性肝炎甚至肝硬化。庚型肝炎病毒很可能具有致病性。
, 百拇医药
Preliminary study on pathogenicity of hepatitis G virus
LIAO Shengdong, ZHAN Meiyun, YANG Zhaoxu
(Department of Digestion,Tiantan Affiliated Hospital of Capital University of Medical Sciences, Beijing 100050, China)
【Abstract】 Objective To study the clinical,enzymatic and liver pathological changes in patients with hepatitis G virus (HGV) infection. Methods RT-nested PCR was applied to detect HGV RNA in 368 patients with hepatic diseases. The liver biopsy tissue from one liver cirrhosis patient with simple HGV infection was examined. Results Simple HGV RNA positive were found in 7 cases of 71 acute hepatitis jaundice, in 22 cases of 155 chronic hepatitis and in 3 cases of 51 liver cirrhosis. The immunohistochemistry of the liver biopsy tissue from a liver cirrhosis patient showed HGV NS 5 antigen positive. However, HGV infection might occur simply or combinatively with hepatitis B or C virus or super infected. Conclusion HGV RNA could be detected in acute hepatitis jaundice,chronic hepatitis, hepatitis B or C carriers, liver cirrhosis and hepatocellular carcinoma. HGV is proved to be a hepatotropic virus by pathological examination and immunohistochemistry, the virus located in the cytoplasm of the liver cells. It may cause chronic hepatitis and even liver cirrhosis, so HGV in pathogenic to liver tissue.
, 百拇医药
【Key words】 Hepatitis/Pathology; Pathogenicity; Enzyme/Serology; Hepatitis G virus
庚型肝炎病毒(GBV-C/HGV)于1995年底和1996年初分别由美国两个研究小组发现〔1,2〕,随后的研究证明,庚型肝炎病毒属黄病毒科但不同于丙型肝炎病毒的单股正链RNA病毒,该病毒经肠道外途径传播。除通过血液、血制品传播外,还可以通过性传播和母婴垂直传播。庚型肝炎病毒感染呈全球分布,在我国不同省市、不同临床型肝炎病人中均有庚型肝炎病毒感染存在。在急慢性乙型肝炎病人中,庚型肝炎病毒合并或重叠感染约占10%~20%,在非甲~非戊型肝炎中庚型肝炎病毒感染约占1/4~1/3,因此庚型肝炎病毒感染在我国是一比较严重的问题。然而关于庚型肝炎病毒的致病性、嗜肝性等问题,目前存在两种不同的认识,一种认为,庚型肝炎病毒是非致病因子,其与HBV合并感染后并不影响HBV的临床表现,预后和对IFN的治疗效果,用庚型肝炎病毒感染黑猩猩只是产生长时间的病毒血症而肝功能正常〔3-5〕。与此相反的结论认为庚肝病毒除可以健康携带外还可以引起急慢性肝炎乃至肝硬化和肝癌〔6-9〕。为了进一步评价庚型肝炎病毒感染的临床意义,我们对368例肝炎患者中单独庚型肝炎病毒感染的32例患者进行了临床、酶学和病理等方面的研究,以阐明HGV感染与肝病的关系。
, 百拇医药
1 材料和方法
1.1 检测对象 随机送检368例肝炎患者血清,男251例,女117例,年龄8~66岁,平均(41.3±12.4)岁。按1995年(北京)全国传染病与寄生虫病学术会议修订的诊断分型标准,急性黄疸性肝炎71例,乙、丙型肝炎病毒携带者83例,慢性肝炎(轻、中、重度)155例,肝硬化51例,原发性肝癌8例。
1.2 检测方法 所有患者进行血清丙氨酸转氨酶(ALT)、天门冬氨酸转氨酶(AST)、碱性磷酸酶(ALP)、乳酸脱氢酶(LDH)、γ-谷氨酰转肽酶(γ-GT)、胆碱酯酶(CHE)、血清总胆红素(TBil)和直接胆红素(DBil)测定,排除饮酒、药物等影响因素,进行B超等有关检查以除外梗阻性黄疸。所有患者血清送中国预防医学科学院病毒学研究所肝炎室,应用酶联免疫吸附法(ELISA)检测抗-HAV IgM、抗-HEV IgM、抗-HCV IgG(第三代试剂)、抗-HBc IgM和HBsAg,对上述病毒指标均阴性、HGV RNA阳性血清用地高辛标记探针测定HBV DNA或用RIA测定HBsAg,应用逆转录-套式聚合酶链反应(RT-nested PCR)检测HGV RNA。
, 百拇医药
1.3 病理学检测 对1例单独庚型肝炎肝硬化进行肝脏活组织穿刺,甲醛固定,石蜡包埋,常规HE染色进行光镜病理诊断。使用免疫组织化学技术做HGV NS 5 Ag检测。用多聚甲醛,戊二醛液固定后超薄切片电子显微镜观察。
2 结果
2.1 应用RT-nPCR检测不同临床型肝炎病人中HGV的感染率,结果见表1。不同临床型肝炎中均存在HGV感染,在HBV及HCV携带者中HGV的感染率达21.7%。单纯HGV感染随病程延长而减少,与HBV、HCV合并和/或重叠感染率增加。在所测的71例急性肝炎中8例HGV RNA阳性者有7例为HGV单独感染,而51例肝硬化病人中9例HGV RNA阳性者中60%(6/9)以上合并HBV、HCV感染。
2.2 单纯HGV感染的病毒性肝炎与血清酶学的关系 为了阐明HGV的致病性,追踪观察了单纯HGV感染病人血清酶学的改变情况,结果见表2。
, 百拇医药
2.3 单独庚型肝炎肝硬化肝活检组织的病理检查结果
2.3.1 光镜检查 可见肝小叶内肝细胞胞浆疏松化及嗜酸性变,有较多点灶性坏死,部分肝细胞轻度脂变,汇管区扩张伴有淋巴细胞等单个核细胞浸润,多处界板被破坏,部分区域可见假小叶形成,见图版Ⅱ,图A和图B。
2.3.2 免疫组化 在肝细胞质内见有HGV NS 5抗原表达,证明确为HGV复制与表达(图版Ⅱ,图C)。
2.3.3 超薄切片的电子显微镜观察结果 肝细胞浆内线粒体嵴模糊不清,电子密度增高,散在大小不等脂滴,胞浆内次级溶酶体增多,可见空泡形成,部分肝细胞内有大量糖原颗粒肝细胞之间可见单核细胞及淋巴细胞浸润,并有大量胶原纤维形成,见图版Ⅱ,图D,E。
表1 368例肝病患者中庚型肝炎病毒(GBV-C/HGV RNA)阳性率
, http://www.100md.com
Tab.1 The HGV (GBV-C/HGV RNA) positive rates in 368 patients with hepatic diseases 临床型Clinical type
检测数
No.tested
总阳性数
Total HGV positive no.
单纯阳性数
Simple HGV RNA
positive no.
总阳性率
Total HGV
, 百拇医药
positive rate
单纯阳性率
Simple HGV RNA
positive rate
急性黄疸型肝炎
Acute jaundice hepatitis
71
8
7
11.3(8/71)
87.5(7/8)
慢性肝炎
, 百拇医药
Chronic hepatitis
155
48
22
30.9(48/155)
45.8(22/48)
肝硬化
Liver cirrhosis
51
9
3
17.6(9/51)
, http://www.100md.com
33.3(3/9)
原发性肝癌
Primary hepatocellular carcinoma
8
2
0
25.0(2/8)
HBV和HCV携带者
HBV and HCV carriers
83
18
0
, 百拇医药
21.7(18/83)
合 计
Total
368
85
32
23.1(85/368)
37.6(32/85)
表2 32例单纯庚型肝炎病例的酶学检测结果(
Tab.2 The enzyme detection of 32 cases of simple HGV positive(
, http://www.100md.com
例数
Case No.
ALT
(U/L)
AST
(U/L)
ALP
(U/L)
LDH
(U/L)
γ-GT
(U/L)
CHE
, 百拇医药
(U/L)
TBil
(μmol/L)
DBil
(μmol/L)
急性肝炎
Acute hepatitis
7
588±95
452±71
273±46
281±43
, http://www.100md.com
142±41
8425±1350
77.1±14.3
46.4±10.8
慢性肝炎
Chronic hepatitis
轻度
Mild
19
91±18
69±16
93±21
, 百拇医药
108±27
72±24
10724±1125
13.1±4.7
2.8±0.6
中度
Moderate
3
181±52
146±48
435±70
185±60
, http://www.100md.com 414±88
7324±736
17.4±5.1
4.4±1.9
肝 硬 化
Liver cirrhosis
3
104±17
118±18
317±44
117±19
1214±121
, 百拇医药
5824±250
29.4±6.5
16.3±3.8
3 讨论
1995年美国学者相继报道用分子生物学技术发现一种新型的庚型肝炎病毒(GBV-C/HGV),我们应用RT-nPCR检测71例急性黄疸型肝炎患者血清,检出单独HGV感染7例,其中2例同时伴有抗-HGV阳性,7例急性肝炎ALT为325~783 U/L,AST为238~589 U/L,TBil为51.1~92 μmol/L,此7例急性肝炎转氨酶在1个月内即恢复正常,黄疸消退,3例发病后3年复查HGV RNA仍然阳性,抗-HGV未出现,2例于发病后9个月HGV RNA消失,抗-HGV出现,2例于发病后1年半复查,HGV RNA与抗-HGV同时阳性。说明庚型肝炎有急性黄疸型,肝功能正常后HGV RNA携带时间在6个月以上。在83例乙、丙型肝炎病毒携带者中检出18例HGV RNA阳性,其中14例合并HBV感染,4例合并HCV感染。在155例慢性肝炎中,检出HGV RNA阳性的轻度肝炎36例,中度9例,重度3例,其中22例为单独HGV RNA感染。3例单独感染的轻度慢性肝炎ALT和AST呈间断低水平升高,而胆红素持续轻度升高(28.6 μmol/L~54.8 μmol/L),伴脾脏轻度肿大。2例单独感染的中度慢性肝炎其γ-GT在230 U/L~1 354 U/L,白蛋白/球蛋白比值(A/G)在0.8~1.1之间。1例合并丙型肝炎的重度慢性肝炎,其HCV RNA阴性而抗-HCV阳性。在51例肝硬化中检出9例HGV RNA阳性,其中有3例为单独HGV感染,并对其中1例进行肝脏活组织病理检查结果为活动性肝硬化(G4 S5),肝组织免疫组化HGV NS 5 Ag定位于肝细胞胞浆呈红色。8例原发性肝癌中检出2例HGV RNA阳性。本研究结果证实单独HGV RNA感染后,可有慢性携带状态、急性肝炎、慢性肝炎、肝硬化,临床症状轻重不等,电镜下细胞器改变较轻,血清各项化验检测指标均明显异常,HGV在肝细胞内的定位主要存在于细胞浆内,证实HGV可能是一种具有一定致病性、与肝病相关的病毒,其临床表现以混合感染为主,单纯感染率是否这么高有待进一步证实。
, http://www.100md.com
图1 单纯庚型肝炎病理感染的肝硬化患者肝组织的病理改变、免疫组化及电镜观察结果
A:肝细胞胞浆疏松化及嗜酸性变,部分轻度脂变(HE 200×); B:部分区域可见假小叶形成(HE 200×); C:NS5抗原定位于肝细胞胞浆内呈红色(AEC 200×); D:肝细胞间质内大量胶原纤维形成(20 000×); E:肝细胞浆内次级溶酶体增加,粗面内质网,线粒体嵴不清(10 000×)
Fig.1 The pathological,immunehistochemistry and electron microscopic observation of the liver tissue of a liver cirrhosis patient with simple HGV infection
A:Acidophilic change and loosening of cytoplasm of the liver cells, part of cells showing light lipochange (HE 200×). B:In some area of liver cell,pseudolobule was formed (HE 200×). C:HGV NS5 antigen located in the cytoplasm of liver cells showing red color (AEC 200×). D:Large amount of collagen fibers formed in the interstitial space of liver cell (20 000×). E: Secondary lysozymes increased in the cytoplasm of liver cell, the rough-surfaced endoplasmic reticulum and the ridges of the mitochondria were indistinct (10 000×)
, 百拇医药
此研究属国家863(102-07-02-0)和九五攻关课题(96-906A-0308)
参 考 文 献
1,Simons JN,Leary TP,Dawson GL,et al.Isolation of novel virus like sequences associated with human hepatitis. Nature Med,1995,1:564-569.
2,Linner J, Wages J,Zhang-Keck Z,et al.Molecular cloning and disease association of hepatitis G virus: A transfusion transmissble agent.Science,1996,271-508.
3,Bukhi J, Kim J, Govindaraians S,et al.Natural history of hepatitis G virus in champanzees.Hepatology,1996,24:413A.
, 百拇医药
4,Pessoa MG,Terrault NA,Detmer J, et al.Quantitation of hepatitis G and C viruses is not hepatotropic.Hepatology ,1998,72:877-880.
5,Laskus T, Radkowski M,Wang LT,et al.Lack of evidence for hepatitis G virus replication in the liver of patients coinfected with hepatitis C and G viruses. J Virol,1997,7:7804-7806.
6,Pessoa, MG,Wright TL.Hepatitis G:A virus in search of a disease.Hepatology, 1996,24:461-463.
, 百拇医药
7,Zhan MY,Wang Y,Xia NS,et al.Study on hepatitis G virus in China. Programme & Abstracts,China-Korea Medical Conference, Beijing, 1997,p93.
8,廖胜东,詹美云,丛郁,等.35例庚型肝炎病毒临床及酶学变化观察.中华实验和临床病毒学杂志,1998,12:333-335.
9,貌盼勇,何红霖,洪世雯,等.恒河猴感染庚型肝炎病毒的实验研究.中华实验和临床病毒学杂志,1998,12:258-260.
(收稿日期:2000-01-20)
, http://www.100md.com