转化生长因子β1诱导鼠牙槽骨缺损修复的实验研究
作者:赵淑贤 王强 程政 景娟 王敏
单位:赵淑贤(710004西安医科大学口腔医学院口腔内科);王强(710004西安医科大学口腔医学院口腔内科);程政(710004西安医科大学口腔医学院口腔内科);景娟(710004西安医科大学口腔医学院口腔内科);王敏(710004西安医科大学口腔医学院口腔内科)
关键词:转化生长因子β;动物,实验;再生
中华口腔医学杂志000418 【摘要】 目的 观察转化生长因子β1 (transforming growth factor-β1,TGF-β1) 对鼠牙槽骨缺损修复的诱导作用。方法 将20只实验小白鼠随机分为实验组和对照组,在两组动物
牙间牙槽骨人工制备2 mm×2.5 mm骨缺损区, 实验组骨缺损区填入浸有TGF-β1溶液的明胶海绵块,对照组只填入明胶海绵块。术后1、2周及1、3个月分别处死动物,进行组织学观察。结果 ① 实验组:术后1周,骨缺损区周围有炎性细胞浸润,可见牙槽骨变性坏死;术后2周,炎性渗出明显吸收,成纤维细胞、毛细血管生长活跃,可见骨样组织和少量骨组织;术后1~3个月,新生骨组织范围扩大,钙化程度加强。② 对照组:术后1周,骨缺损区周围有大量炎性细胞浸润;术后2周,炎性渗出吸收,成纤维细胞 、毛细血管生长活跃;术后1个月,骨缺损区周围有成骨细胞;术后3个月,骨缺损边缘有少量新骨沉积。结论 TGF-β1可诱导牙槽骨再生。
, 百拇医药
The induction of transforming growth factor-β1 in reparative process of mouse experimental alveolar bone defect
ZHAO Shuxian,WANG Qiang,CHENG Zheng
(Department of Oral Medicine, College of Stomatology, Xi′an Medical University, Xi′an 710004,China)
【Abstract】 Objective To study the induction of transforming growth factor-β1(TGF-β1) in reparative process of mouse experimental alveolar bone defect. Methods Alveolar bone defect were made in 20 mice at
region. In twelve mice (experimental group),the defect was filled with gelatin sponge infiltrated by TGF-β1 solution; in eight mice (control group), the defect was filled with gelatin sponge. The peripheral tissue coating alveolar bone defect was harvested for histopathologic study after 1 week, 2 weeks and 1 month, 3 months.Results The main histopathologic changes were:① experimental group: inflammatory cell infiltration (1W); inflammatory cell disappearance, fibroblast and capillary tachyauxesis, osteoid tissue and small amount neoformative bone tissue appearance (2 W); fibrous tissue decrease, neoformative bone tissue enlarging and maturity (1~3 M). ② control group: inflammatory cell infiltration (1W); inflammatory cell disappearance, fibroblast and capillary tachyauxesis (2W); osteoblast appearance around bone defect (1M); small amount neoformative bone tissue around bone defect. Conclusion TGF-β1 can induce alveolar bone regeneration.
, 百拇医药
【Key words】 Transforming growth factor beta; Animals,laboratory; Regeneration
转化生长因子β(transforming growth factor-β,TGF-β)是一簇相对分子质量为25 000的同源双链多肽蛋白,具有多种调节功能。大量的研究已证实,应用外源性TGF-β可明显促进创面愈合和组织修复[1,2]; 在体内可诱导新骨形成[3];与牙骨质和牙槽骨的再生密切相关[4,5] 。我们拟通过TGF-β1用于治疗鼠实验性牙槽骨缺损,观察牙槽骨缺损修复过程中的组织学变化。
材料和方法
1.实验动物和主要试剂:昆明种小白鼠20只,雌性,体重30~40 g(购自西安医科大学动物中心);TGF-β1(纯品),浓度为 100 mg/L(购自北京中山技术有限公司)。用TBS缓冲液(pH=7.6)稀释TGF-β1,使其浓度为2 mg/L,每次用量50 μl。
, 百拇医药
2.实验方法:将20只小白鼠随机分为2组,实验组12只,对照组8只。2组动物均在2%利多卡因(1.5 ml/kg)局部浸润麻醉下于
牙间牙槽嵴处切开,分离牙龈及骨膜,暴露牙槽骨。用5号裂钻(3×105 r/min)制作出贯通唇舌侧约2.0 mm×2.5 mm大小的人工骨缺损区,用0.9%生理盐水反复冲洗创面并严密止血后,实验组动物骨缺损区填入浸有2 mg/L TGF-β1 溶液50 μl的明胶海绵块,对照组骨缺损区只填入明胶海绵块,严密关闭切口。术后除对照组1只动物因腹泻死亡外,其余动物伤口均愈合良好。术后1周、2周、1个月及3个月实验组分别处死动物3只,对照组分别处死2只,获取包括骨缺损及
在内的骨组织块,以10% 甲醛液固定,PL脱矿,石蜡包埋,切片,HE染色,光镜观察。
结果
, 百拇医药
1.实验组:①术后1周,牙槽骨人工缺损周围可见牙槽骨和牙周膜组织变性坏死及大量炎性细胞浸润(图1),其间可见残存的变性组织。②术后2周,骨缺损处炎性细胞渗出明显吸收,成纤维细胞和毛细血管生长活跃,周边有骨样组织和少量骨组织形成(图2)。③术后3周,新生的骨组织范围扩大,钙盐沉积增多(图3)。④术后3个月,缺损处几乎被新生骨组织充填,仅存少许纤维组织(图4),周边可见骨小梁形成。
2.对照组:①术后1周,组组织学改变同实验组;②术后2周,骨缺损区纤维组织弥漫,成纤维细胞和毛细血管生长活跃;③术后1个月,骨缺损区周边可见成骨细胞;④术后3个月,骨缺损区边缘有少量新骨沉积,腔内被纤维组织充满。
讨论
骨形成是一个极其复杂的过程,在众多的影响因素中,生长因子的局部调节作用十分肯定。自Noda 和Camilliere[6]首次发现TGF-β在体内的诱导新骨形成特性以来,大量的研究证实,TGF-β是骨组织形成和改建的重要调节因子。TGF-β促进骨膜下间质细胞增殖分化为成骨细胞和成软骨细胞,成骨细胞合成大量胶原,最终导致新骨形成[7] 。骨器官体外实验也证实,TGF-β明显刺激骨基质的沉积[8]。TGF-β可诱导人胚成骨细胞合成胶原蛋白,增加骨形成过程中胶原蛋白的含量,从而加速新骨基质的形成;TGF-β可增加碱性磷酸酶的表达,说明除了TGF-β对成骨细胞增殖的作用外,它还可影响成骨细胞由不成熟型向成熟型分化[9]。本实验组织学观察表明:实验组牙槽骨缺损处2周时周边出现成骨细胞,内侧有骨样组织及少许骨组织形成,1个月时新骨自四周向中心堆积,钙盐沉积增多,3个月时新生骨组织更加成熟;对照组牙槽骨缺损处1个月后周边可见成骨细胞,3个月后牙槽骨缺损周边仅有少量新骨形成。我们推测,TGF-β1可通过刺激鼠牙槽骨成骨细胞增殖而不断形成胶原蛋白,促进新骨基质形成及新骨沉积,并由不成熟型向成熟型转化。
, 百拇医药
TGF-β是具有双重效应的生长因子,在不同的条件下,TGF-β对成骨细胞的作用不同。有研究发现,TGF-β表现为抑制人胚成骨细胞DNA合成,同时又刺激胶原蛋白和碱性磷酸酶的合成,其作用强度在一定的TGF-β浓度范围内呈剂量依赖性,随剂量的增加而强度增大[9]。TGF-β的作用结果不相同或存在相互矛盾的结果亦有文献报道。国外有学者将TGF-β与另外两种生长因子合用,以明胶海绵作载体,用于治疗狗的实验性牙槽骨洞穿缺损,结果创面愈合早期的新骨形成受到抑制。由此可见,TGF-β对特定的靶细胞作用的性质取决于许多参数,包括细胞类型及分化状态 、生长条件及其他生长因子的存在 。本实验采用0.01 mg/L浓度的TGF-β1溶液,以明胶海绵作载体治疗鼠实验性牙槽骨缺损,结果表明该浓度的TGF-β1可诱导鼠牙槽骨再生,至于其作用是否呈剂量依赖性及TGF-β1溶液浓度的范围,还有待于进一步的实验观察。
, 百拇医药
图1 光镜下缺损区周边大量炎性细胞浸润(HE×40)
图2 光镜下缺损区边缘有骨样组织(↑,HE×40)
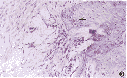
图3 光镜下新生骨向中心堆积(↑,HE×40)
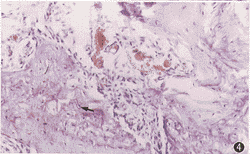
图4 光镜下新生骨组织钙化加强(↑,HE×40)
基金项目:陕西省卫生厅科研基金资助项目(97110)
参考文献
1,Sprm MB, Robert AB, Wakefield IM. Some recent advances in the chemistry and biology of TGF-β. J Cell Biol, 1987,105:1 039-1 042.
, 百拇医药
2,孙玉鹏, 胡韵玉. 转化生长因子-β研究进展. 中华骨科杂志,1994,14:505-507.
3,Lind M. Growth factors: possible new clinical tools. A review. Acta Orthop Scand, 1996,67:407-417.
4,Tenorio D, Cruchley A, Hughes FJ. Immunocytochemical investigation of the rat cementoblast phenotype. J Periodontol Res, 1993, 28(6 Pt 1): 411-419.
5,董广英 , 综述. 转化生长因子β在牙周组织再生修复中的作用. 国外医学口腔医学分册,1997,24:82-85.
, 百拇医药 6,Noda M, Camilliere JJ. In vivo stimulation of bone formation by transforming growth factor-beta. Endocrinology, 1989,124:2991-2994.
7,孙玉鹏 , 陆裕朴, 胡韵玉, 等. 牛血小板TGF-β提取、纯化及其诱导小鼠股骨成骨作用. 中华骨科杂志,1995,15:610-613.
8,Pfeilschifter J, Oechsner M, Naumann A, et al. Stimulation of bone matrix apposition in vitro by local growth factors: a comparison between insulin-like growth factor Ⅰ, platelet-derived growth factor, and transforming growth factor beta. Endocrinology, 1990, 127: 69-75.
9,田卫东,王大章 . 生长因子网络调节对骨形成作用的研究Ⅰ——TGF-β对人胚成骨样细胞增殖及分化的影响 . 华西口腔医学杂志, 1998,16:65-68.
(收稿日期:1999-09-15), 百拇医药
单位:赵淑贤(710004西安医科大学口腔医学院口腔内科);王强(710004西安医科大学口腔医学院口腔内科);程政(710004西安医科大学口腔医学院口腔内科);景娟(710004西安医科大学口腔医学院口腔内科);王敏(710004西安医科大学口腔医学院口腔内科)
关键词:转化生长因子β;动物,实验;再生
中华口腔医学杂志000418 【摘要】 目的 观察转化生长因子β1 (transforming growth factor-β1,TGF-β1) 对鼠牙槽骨缺损修复的诱导作用。方法 将20只实验小白鼠随机分为实验组和对照组,在两组动物
, 百拇医药
The induction of transforming growth factor-β1 in reparative process of mouse experimental alveolar bone defect
ZHAO Shuxian,WANG Qiang,CHENG Zheng
(Department of Oral Medicine, College of Stomatology, Xi′an Medical University, Xi′an 710004,China)
【Abstract】 Objective To study the induction of transforming growth factor-β1(TGF-β1) in reparative process of mouse experimental alveolar bone defect. Methods Alveolar bone defect were made in 20 mice at
, 百拇医药
【Key words】 Transforming growth factor beta; Animals,laboratory; Regeneration
转化生长因子β(transforming growth factor-β,TGF-β)是一簇相对分子质量为25 000的同源双链多肽蛋白,具有多种调节功能。大量的研究已证实,应用外源性TGF-β可明显促进创面愈合和组织修复[1,2]; 在体内可诱导新骨形成[3];与牙骨质和牙槽骨的再生密切相关[4,5] 。我们拟通过TGF-β1用于治疗鼠实验性牙槽骨缺损,观察牙槽骨缺损修复过程中的组织学变化。
材料和方法
1.实验动物和主要试剂:昆明种小白鼠20只,雌性,体重30~40 g(购自西安医科大学动物中心);TGF-β1(纯品),浓度为 100 mg/L(购自北京中山技术有限公司)。用TBS缓冲液(pH=7.6)稀释TGF-β1,使其浓度为2 mg/L,每次用量50 μl。
, 百拇医药
2.实验方法:将20只小白鼠随机分为2组,实验组12只,对照组8只。2组动物均在2%利多卡因(1.5 ml/kg)局部浸润麻醉下于
结果
, 百拇医药
1.实验组:①术后1周,牙槽骨人工缺损周围可见牙槽骨和牙周膜组织变性坏死及大量炎性细胞浸润(图1),其间可见残存的变性组织。②术后2周,骨缺损处炎性细胞渗出明显吸收,成纤维细胞和毛细血管生长活跃,周边有骨样组织和少量骨组织形成(图2)。③术后3周,新生的骨组织范围扩大,钙盐沉积增多(图3)。④术后3个月,缺损处几乎被新生骨组织充填,仅存少许纤维组织(图4),周边可见骨小梁形成。
2.对照组:①术后1周,组组织学改变同实验组;②术后2周,骨缺损区纤维组织弥漫,成纤维细胞和毛细血管生长活跃;③术后1个月,骨缺损区周边可见成骨细胞;④术后3个月,骨缺损区边缘有少量新骨沉积,腔内被纤维组织充满。
讨论
骨形成是一个极其复杂的过程,在众多的影响因素中,生长因子的局部调节作用十分肯定。自Noda 和Camilliere[6]首次发现TGF-β在体内的诱导新骨形成特性以来,大量的研究证实,TGF-β是骨组织形成和改建的重要调节因子。TGF-β促进骨膜下间质细胞增殖分化为成骨细胞和成软骨细胞,成骨细胞合成大量胶原,最终导致新骨形成[7] 。骨器官体外实验也证实,TGF-β明显刺激骨基质的沉积[8]。TGF-β可诱导人胚成骨细胞合成胶原蛋白,增加骨形成过程中胶原蛋白的含量,从而加速新骨基质的形成;TGF-β可增加碱性磷酸酶的表达,说明除了TGF-β对成骨细胞增殖的作用外,它还可影响成骨细胞由不成熟型向成熟型分化[9]。本实验组织学观察表明:实验组牙槽骨缺损处2周时周边出现成骨细胞,内侧有骨样组织及少许骨组织形成,1个月时新骨自四周向中心堆积,钙盐沉积增多,3个月时新生骨组织更加成熟;对照组牙槽骨缺损处1个月后周边可见成骨细胞,3个月后牙槽骨缺损周边仅有少量新骨形成。我们推测,TGF-β1可通过刺激鼠牙槽骨成骨细胞增殖而不断形成胶原蛋白,促进新骨基质形成及新骨沉积,并由不成熟型向成熟型转化。
, 百拇医药
TGF-β是具有双重效应的生长因子,在不同的条件下,TGF-β对成骨细胞的作用不同。有研究发现,TGF-β表现为抑制人胚成骨细胞DNA合成,同时又刺激胶原蛋白和碱性磷酸酶的合成,其作用强度在一定的TGF-β浓度范围内呈剂量依赖性,随剂量的增加而强度增大[9]。TGF-β的作用结果不相同或存在相互矛盾的结果亦有文献报道。国外有学者将TGF-β与另外两种生长因子合用,以明胶海绵作载体,用于治疗狗的实验性牙槽骨洞穿缺损,结果创面愈合早期的新骨形成受到抑制。由此可见,TGF-β对特定的靶细胞作用的性质取决于许多参数,包括细胞类型及分化状态 、生长条件及其他生长因子的存在 。本实验采用0.01 mg/L浓度的TGF-β1溶液,以明胶海绵作载体治疗鼠实验性牙槽骨缺损,结果表明该浓度的TGF-β1可诱导鼠牙槽骨再生,至于其作用是否呈剂量依赖性及TGF-β1溶液浓度的范围,还有待于进一步的实验观察。
, 百拇医药
图1 光镜下缺损区周边大量炎性细胞浸润(HE×40)
图2 光镜下缺损区边缘有骨样组织(↑,HE×40)
图3 光镜下新生骨向中心堆积(↑,HE×40)
图4 光镜下新生骨组织钙化加强(↑,HE×40)
基金项目:陕西省卫生厅科研基金资助项目(97110)
参考文献
1,Sprm MB, Robert AB, Wakefield IM. Some recent advances in the chemistry and biology of TGF-β. J Cell Biol, 1987,105:1 039-1 042.
, 百拇医药
2,孙玉鹏, 胡韵玉. 转化生长因子-β研究进展. 中华骨科杂志,1994,14:505-507.
3,Lind M. Growth factors: possible new clinical tools. A review. Acta Orthop Scand, 1996,67:407-417.
4,Tenorio D, Cruchley A, Hughes FJ. Immunocytochemical investigation of the rat cementoblast phenotype. J Periodontol Res, 1993, 28(6 Pt 1): 411-419.
5,董广英 , 综述. 转化生长因子β在牙周组织再生修复中的作用. 国外医学口腔医学分册,1997,24:82-85.
, 百拇医药 6,Noda M, Camilliere JJ. In vivo stimulation of bone formation by transforming growth factor-beta. Endocrinology, 1989,124:2991-2994.
7,孙玉鹏 , 陆裕朴, 胡韵玉, 等. 牛血小板TGF-β提取、纯化及其诱导小鼠股骨成骨作用. 中华骨科杂志,1995,15:610-613.
8,Pfeilschifter J, Oechsner M, Naumann A, et al. Stimulation of bone matrix apposition in vitro by local growth factors: a comparison between insulin-like growth factor Ⅰ, platelet-derived growth factor, and transforming growth factor beta. Endocrinology, 1990, 127: 69-75.
9,田卫东,王大章 . 生长因子网络调节对骨形成作用的研究Ⅰ——TGF-β对人胚成骨样细胞增殖及分化的影响 . 华西口腔医学杂志, 1998,16:65-68.
(收稿日期:1999-09-15), 百拇医药