P物质受体在成骨细胞和牙周膜成纤维细胞内的表达和意义
作者:孙应明 段银钟 樊成涛 曹玲
单位:孙应明(第四军医大学口腔医学院,陕西 西安 710032);段银钟(第四军医大学口腔医学院,陕西 西安 710032);樊成涛(第四军医大学口腔医学院,陕西 西安 710032);曹玲(第四军医大学口腔医学院,陕西 西安 710032)
关键词:P物质;成骨细胞;牙周膜成纤维细胞
牙体牙髓牙周病学杂志000403 [摘 要]目的:了解P物质受体在成骨细胞、牙周膜成纤维细胞内的表达情况,探讨P物质在正畸牙周组织改建中的作用机制。方法:细胞培养和ABC免疫组织化学方法检测SP受体在成骨细胞和牙周膜成纤维细胞内的表达。结果:SP受体在成骨细胞、牙周膜成纤维细胞内均阳性表达,胞浆着色。结论:P物质可能直接作用于成骨细胞、牙周膜成纤维细胞而在正畸牙周组织改建中发挥作用。
[中图号]R780.2 [文献标识码]A
, http://www.100md.com
[文章编号]1005-2593(2000)04-0198-03
Expression of substance P receptor in osteoblasts and periodontal ligament cells
SUN Ying-ming,DUAN Yin-zhong,FAN Cheng-tao,et al
(School of Stomatology,The Fourth Military Medical University,Xi'an 710032,China)
[Abstract]AIM:To investigate the localization of Sub stance P receptor in osteoblasts and periodontal ligament cells.METHODS:Substance P receptor expression in osteoblasts and periodontal ligament cells was detected by cell culture and immunohistochemical method.RESULTS:Immunoreactivity for Substance P receptor was distributed in the cytoplasm of osteoblasts and periodontal ligament cells.CONCLUSION:The findings further support the hypothesis that substance P may have regulato ry effects on osteoblasts and periodontal ligament cells directly.
, http://www.100md.com
[Key words]substance P;osteoblasts;periodontal ligament cells
P物质(Subatsnce P,SP)是最早发现的神经肽。在牙周组织中已证实 有SP样神经纤维的存在,源于三叉神经节。在正畸牙齿移动过程中,牙周SP样神经纤维发生 了非常显著的反应,但SP与牙周组织改建的关系还不十分清楚。本文采用细胞培养和免疫组 织化学的方法,观察了SP受体在成骨细胞、牙周膜成纤维细胞内的表达情况,以期为SP在正 畸牙周组织改建中的作用和机理提供依据。
1 材料和方法
1.1 主要试剂
兔抗SP受体多克隆抗体(Sigma,USA),ABC免疫组化染色试剂盒(Sigma,USA),DMEM培 养液(Gibco),胎牛血清(浙江金华清湖犊牛利用研究所),胰蛋白酶(上海浦东生化试 剂厂),Ⅱ型胶原酶(Sigma,USA)。
, http://www.100md.com
1.2 细胞培养
1.2.1 人牙周膜成纤维细胞培养
选取青少年因正畸拔除的前磨牙,无菌条件下刮取根中 1/3的牙周膜组织。采用组织块法[1]原代培养人牙周膜成纤维细胞。将第4代细胞 用于实验。本组细胞鉴定结果为:角蛋白染色阴性(小鼠抗角蛋白单抗,ABC法免疫组 化染色);波形丝染色阳性(小鼠抗波形丝单抗,ABC法免疫组化染色)。
1.2.2 大鼠成骨细胞培养
处死新生SD大鼠,取其头盖骨,剔除表面软组织,无菌条件下剪成1mm3大小。按酶消化法进行成骨细胞的原代培养[2],将第4代细 胞用于实验。本组细胞鉴定结果为:BGP染色阳性(兔抗BGP多抗,ABC法免疫组化染色);ALP染色阳性(小鼠抗ALP单抗,ABC法免疫组化染色)。
, 百拇医药
1.3 细胞免疫组化染色
分别将第4代成骨细胞、牙周膜成纤维细胞接种于培养皿中,内置盖玻 片,观察细胞爬片3d,40g/L多聚甲醛固定,供免疫组化染色。
采用ABC法,2.5ml/LTriton X-100 30min,3ml/LH2O2-甲醇消除内源性过氧化 物酶,30min;正常血清孵育30min。滴加一抗4湿盒过夜;然后37℃复温1h,湿盒中二抗37℃ 孵育1h;ABC复合物37℃1h。DAB-H2O2光镜下控制显色。上述各步骤后均用PBS振 洗3次,每次5min,空白对照用PBS代替一抗,其余步骤同上。
另设阳性对照,为大鼠脑组织冰冻切片,步骤从略。
2 结果
, 百拇医药
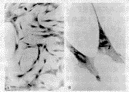
光镜下成骨细胞为梭形,有突起。牙周膜成纤维细胞为梭形、纺锤形或多角形。两细胞均呈 阳性染色,着色部位在胞浆,胞核为空泡状,无阳性染色(图1、2)。
图1 大鼠成骨细胞胞浆SPR染色阳性
(A:10×10 B:10 ×40)
图2 人牙周膜成纤维细胞胞浆SPR染色阳性
(A:10×10 B:10×40)
3 讨论
P物质是在初级传入无髓神经纤维(C纤维)的胞体合成,通过轴流向中枢和外周运 输。 在正常牙周组织中,SP样神经纤维分布在牙周间隙的中份和根尖区域并伴随着血管。在正畸 牙齿加力时,神经末梢受到刺激,通过轴突反射机制,P物质向外周释放,研究证实[3 ]P物质与正畸牙周组织改建的关系十分密切,并可能通过直接或间接的途径影响牙周细 胞而发挥调节作用。成骨细胞和牙周膜成纤维细胞是与正畸牙周组织改建相关的两种重要的 细胞成分,P物质如何作用于这些细胞还不十分清楚。
, 百拇医药
本实验表明,在成骨细胞内有P物质受体的阳性表达。以往的研究也证实了P物质与骨代谢 的关系非常密切。Cole[4]和Sandhu[5]等证实交感神经切断可促进外周SP 的增加和骨的吸收;Herskovits[6]进一步发现交感神经切断增加了外周SP,但 减少了股骨骨干骨膜成骨细胞对[3H]proline的摄入;Goto[7]则采用免疫组 化方 法在光镜和电镜下观察到下颌骨成骨细胞内有P物质受体的阳性表达;尽管Bjurhoim[ 8]发现SP对各种培养的成骨样细胞内的第二信号CAMP无影响,但有两种可能性:成骨细 胞内缺乏SP受体;或CAMP不作为SP作用的第二信号。本实验在成骨细胞内SP受体的发现,以 及Goto的研究结果提示第二种假设可能成立。同时本文作者已在进一步的研究中证实了SP可 明显增加成骨细胞内Ca2+水平,推测Ca2+可能为其主要的第二信号。至于SP对 成骨细胞的直接作用效果,还需深入的研究。
, 百拇医药
本研究同时在牙周膜成纤维细胞内发现了SP受体的阳性表达。这与以往的研究相符。Divido vtch[9]等在体外将SP和人牙周膜成纤维细胞一起孵育。其CAMP、PGE2浓度明显 增加;Nohutcu[10]等采用激光共聚焦技术发现SP可增加人牙周膜成纤维细胞内Ca 2+的浓度(56%),推测Ca2+/CAMP可能是细胞内的第二信号。大量的体外实 验证实SP 对成纤维细胞的增殖作用十分明显。文献报道低浓度的SP(10-9mol/L)即明显促进 牙龈成纤维细胞的有丝分裂;而SP对牙髓成纤维细胞的最大增殖浓度为10-6mol/L;另外,SP对成纤维细胞还有明显的趋化作用,这为其能迁徙到损伤部位,进行组织的再生、 修复十分有利。
目前SP对成骨细胞、牙周膜成纤维细胞的作用效果报道极少。而SP受体在这两种细胞内的 发现为证实SP可直接作用于这些靶细胞提供了依据。但是牙周膜是一个包含多种激素和因子 的微环境,这些成分之间相互作用构成一个复杂的网络。如与SP共存于感觉神经末梢内的CG RP能够刺激成骨细胞内CAMP水平,抑制骨吸收[11];IL-2α、FGF、EGF等可 与 SP协同作用,影响成纤维细胞的增殖、迁徙等。此外SP本身作用十分广泛,能刺激血管的扩 张、渗出;影响巨噬细胞和白细胞的功能,从而可间接作用于这些细胞。有鉴于此,P物质 在牙周组织改建中的作用和机制,尚待进一步的研究和探讨。
, 百拇医药
基金课题:国家自然科学基金资助课题(39570770)
参考文献:
[1]吴军正,司徒镇强,陈建元.体外培养人牙龈牙髓牙周膜成纤维细胞生长及形态特点[J].实用口腔医学杂志,1993,9(4):227
[2]司徒镇强,吴军正主编.细胞培养[M].西安:世界图书出版公司,1996.112
[3]Norevall LI,Forsgren S,Matsson L.Expression of neuropeptides during and after orthodontic tooth movement in the rat[J].Eur J Ortho,1995,17(4):311
[4]Cole DF,Bloom SR,Burnstock G,et al.Increase in SP-like immunor eactivity in nerve fibers of rabbit iris and ciliary body one to four months following sympathetic denervation[J].Exp Eye Res,1983,37:191
, 百拇医药
[5]Sandhu HS,Kwong H,Herskovits MS,et al.The early effects of surgical sympathectomy inducid bone resorption in the rat incesor socket[J].Arch Oral Bio,1990,35(12):1003
[6] Herskovits MS,Singh LJ.Effects of guanethidine-induced sympath ectomy on osteoblastic activity in the rat femur evaluated by 3H-proline autoradiograp hy[J].Acta Anat,1984,120(3):151
[7]Goto T,Yamaza T,Kido MA,et al.Light and electron-microscopic study of the distribution of axons containing substance P and the localiz ation of neurokinin-1 receptor in bone[J].Tissue Res,1998,293(1):87
, http://www.100md.com
[8]Bjurhoim A,Kreicbergs A,Schultzberg M,et al.Neuroendocrine regulation of cyclic AMP formation in osteoblastic cell line and primary bone cells[J].J Bone Miner Res,1992,7:1011
[9]Davidovitch Z,Nicolay OF,Ngan PW,et al.neurotransmitters,cyt okines and the control of alveolar bone remodeling in orthodontics[J].Dent C lin North Am,1988,32,411
[10]Nohutcu RM,Mccauley LK.Effects of hormones and cytokines on stimulation of adenylate cyclase and intracellur calcium concentration in human and canine periodontal-ligament fibroblasts[J].Arch Oral Bio,1993,38( 10):871
[11]Maggi CA.Tachykinins and calcitonin gene-related peptide as co-transmitters realeased from peripheral endings of sensory nerves[J].Prog N eurobiol,1995,45:1
收稿日期:2000-01-17, 百拇医药
单位:孙应明(第四军医大学口腔医学院,陕西 西安 710032);段银钟(第四军医大学口腔医学院,陕西 西安 710032);樊成涛(第四军医大学口腔医学院,陕西 西安 710032);曹玲(第四军医大学口腔医学院,陕西 西安 710032)
关键词:P物质;成骨细胞;牙周膜成纤维细胞
牙体牙髓牙周病学杂志000403 [摘 要]目的:了解P物质受体在成骨细胞、牙周膜成纤维细胞内的表达情况,探讨P物质在正畸牙周组织改建中的作用机制。方法:细胞培养和ABC免疫组织化学方法检测SP受体在成骨细胞和牙周膜成纤维细胞内的表达。结果:SP受体在成骨细胞、牙周膜成纤维细胞内均阳性表达,胞浆着色。结论:P物质可能直接作用于成骨细胞、牙周膜成纤维细胞而在正畸牙周组织改建中发挥作用。
[中图号]R780.2 [文献标识码]A
, http://www.100md.com
[文章编号]1005-2593(2000)04-0198-03
Expression of substance P receptor in osteoblasts and periodontal ligament cells
SUN Ying-ming,DUAN Yin-zhong,FAN Cheng-tao,et al
(School of Stomatology,The Fourth Military Medical University,Xi'an 710032,China)
[Abstract]AIM:To investigate the localization of Sub stance P receptor in osteoblasts and periodontal ligament cells.METHODS:Substance P receptor expression in osteoblasts and periodontal ligament cells was detected by cell culture and immunohistochemical method.RESULTS:Immunoreactivity for Substance P receptor was distributed in the cytoplasm of osteoblasts and periodontal ligament cells.CONCLUSION:The findings further support the hypothesis that substance P may have regulato ry effects on osteoblasts and periodontal ligament cells directly.
, http://www.100md.com
[Key words]substance P;osteoblasts;periodontal ligament cells
P物质(Subatsnce P,SP)是最早发现的神经肽。在牙周组织中已证实 有SP样神经纤维的存在,源于三叉神经节。在正畸牙齿移动过程中,牙周SP样神经纤维发生 了非常显著的反应,但SP与牙周组织改建的关系还不十分清楚。本文采用细胞培养和免疫组 织化学的方法,观察了SP受体在成骨细胞、牙周膜成纤维细胞内的表达情况,以期为SP在正 畸牙周组织改建中的作用和机理提供依据。
1 材料和方法
1.1 主要试剂
兔抗SP受体多克隆抗体(Sigma,USA),ABC免疫组化染色试剂盒(Sigma,USA),DMEM培 养液(Gibco),胎牛血清(浙江金华清湖犊牛利用研究所),胰蛋白酶(上海浦东生化试 剂厂),Ⅱ型胶原酶(Sigma,USA)。
, http://www.100md.com
1.2 细胞培养
1.2.1 人牙周膜成纤维细胞培养
选取青少年因正畸拔除的前磨牙,无菌条件下刮取根中 1/3的牙周膜组织。采用组织块法[1]原代培养人牙周膜成纤维细胞。将第4代细胞 用于实验。本组细胞鉴定结果为:角蛋白染色阴性(小鼠抗角蛋白单抗,ABC法免疫组 化染色);波形丝染色阳性(小鼠抗波形丝单抗,ABC法免疫组化染色)。
1.2.2 大鼠成骨细胞培养
处死新生SD大鼠,取其头盖骨,剔除表面软组织,无菌条件下剪成1mm3大小。按酶消化法进行成骨细胞的原代培养[2],将第4代细 胞用于实验。本组细胞鉴定结果为:BGP染色阳性(兔抗BGP多抗,ABC法免疫组化染色);ALP染色阳性(小鼠抗ALP单抗,ABC法免疫组化染色)。
, 百拇医药
1.3 细胞免疫组化染色
分别将第4代成骨细胞、牙周膜成纤维细胞接种于培养皿中,内置盖玻 片,观察细胞爬片3d,40g/L多聚甲醛固定,供免疫组化染色。
采用ABC法,2.5ml/LTriton X-100 30min,3ml/LH2O2-甲醇消除内源性过氧化 物酶,30min;正常血清孵育30min。滴加一抗4湿盒过夜;然后37℃复温1h,湿盒中二抗37℃ 孵育1h;ABC复合物37℃1h。DAB-H2O2光镜下控制显色。上述各步骤后均用PBS振 洗3次,每次5min,空白对照用PBS代替一抗,其余步骤同上。
另设阳性对照,为大鼠脑组织冰冻切片,步骤从略。
2 结果
, 百拇医药
光镜下成骨细胞为梭形,有突起。牙周膜成纤维细胞为梭形、纺锤形或多角形。两细胞均呈 阳性染色,着色部位在胞浆,胞核为空泡状,无阳性染色(图1、2)。
图1 大鼠成骨细胞胞浆SPR染色阳性
(A:10×10 B:10 ×40)
图2 人牙周膜成纤维细胞胞浆SPR染色阳性
(A:10×10 B:10×40)
3 讨论
P物质是在初级传入无髓神经纤维(C纤维)的胞体合成,通过轴流向中枢和外周运 输。 在正常牙周组织中,SP样神经纤维分布在牙周间隙的中份和根尖区域并伴随着血管。在正畸 牙齿加力时,神经末梢受到刺激,通过轴突反射机制,P物质向外周释放,研究证实[3 ]P物质与正畸牙周组织改建的关系十分密切,并可能通过直接或间接的途径影响牙周细 胞而发挥调节作用。成骨细胞和牙周膜成纤维细胞是与正畸牙周组织改建相关的两种重要的 细胞成分,P物质如何作用于这些细胞还不十分清楚。
, 百拇医药
本实验表明,在成骨细胞内有P物质受体的阳性表达。以往的研究也证实了P物质与骨代谢 的关系非常密切。Cole[4]和Sandhu[5]等证实交感神经切断可促进外周SP 的增加和骨的吸收;Herskovits[6]进一步发现交感神经切断增加了外周SP,但 减少了股骨骨干骨膜成骨细胞对[3H]proline的摄入;Goto[7]则采用免疫组 化方 法在光镜和电镜下观察到下颌骨成骨细胞内有P物质受体的阳性表达;尽管Bjurhoim[ 8]发现SP对各种培养的成骨样细胞内的第二信号CAMP无影响,但有两种可能性:成骨细 胞内缺乏SP受体;或CAMP不作为SP作用的第二信号。本实验在成骨细胞内SP受体的发现,以 及Goto的研究结果提示第二种假设可能成立。同时本文作者已在进一步的研究中证实了SP可 明显增加成骨细胞内Ca2+水平,推测Ca2+可能为其主要的第二信号。至于SP对 成骨细胞的直接作用效果,还需深入的研究。
, 百拇医药
本研究同时在牙周膜成纤维细胞内发现了SP受体的阳性表达。这与以往的研究相符。Divido vtch[9]等在体外将SP和人牙周膜成纤维细胞一起孵育。其CAMP、PGE2浓度明显 增加;Nohutcu[10]等采用激光共聚焦技术发现SP可增加人牙周膜成纤维细胞内Ca 2+的浓度(56%),推测Ca2+/CAMP可能是细胞内的第二信号。大量的体外实 验证实SP 对成纤维细胞的增殖作用十分明显。文献报道低浓度的SP(10-9mol/L)即明显促进 牙龈成纤维细胞的有丝分裂;而SP对牙髓成纤维细胞的最大增殖浓度为10-6mol/L;另外,SP对成纤维细胞还有明显的趋化作用,这为其能迁徙到损伤部位,进行组织的再生、 修复十分有利。
目前SP对成骨细胞、牙周膜成纤维细胞的作用效果报道极少。而SP受体在这两种细胞内的 发现为证实SP可直接作用于这些靶细胞提供了依据。但是牙周膜是一个包含多种激素和因子 的微环境,这些成分之间相互作用构成一个复杂的网络。如与SP共存于感觉神经末梢内的CG RP能够刺激成骨细胞内CAMP水平,抑制骨吸收[11];IL-2α、FGF、EGF等可 与 SP协同作用,影响成纤维细胞的增殖、迁徙等。此外SP本身作用十分广泛,能刺激血管的扩 张、渗出;影响巨噬细胞和白细胞的功能,从而可间接作用于这些细胞。有鉴于此,P物质 在牙周组织改建中的作用和机制,尚待进一步的研究和探讨。
, 百拇医药
基金课题:国家自然科学基金资助课题(39570770)
参考文献:
[1]吴军正,司徒镇强,陈建元.体外培养人牙龈牙髓牙周膜成纤维细胞生长及形态特点[J].实用口腔医学杂志,1993,9(4):227
[2]司徒镇强,吴军正主编.细胞培养[M].西安:世界图书出版公司,1996.112
[3]Norevall LI,Forsgren S,Matsson L.Expression of neuropeptides during and after orthodontic tooth movement in the rat[J].Eur J Ortho,1995,17(4):311
[4]Cole DF,Bloom SR,Burnstock G,et al.Increase in SP-like immunor eactivity in nerve fibers of rabbit iris and ciliary body one to four months following sympathetic denervation[J].Exp Eye Res,1983,37:191
, 百拇医药
[5]Sandhu HS,Kwong H,Herskovits MS,et al.The early effects of surgical sympathectomy inducid bone resorption in the rat incesor socket[J].Arch Oral Bio,1990,35(12):1003
[6] Herskovits MS,Singh LJ.Effects of guanethidine-induced sympath ectomy on osteoblastic activity in the rat femur evaluated by 3H-proline autoradiograp hy[J].Acta Anat,1984,120(3):151
[7]Goto T,Yamaza T,Kido MA,et al.Light and electron-microscopic study of the distribution of axons containing substance P and the localiz ation of neurokinin-1 receptor in bone[J].Tissue Res,1998,293(1):87
, http://www.100md.com
[8]Bjurhoim A,Kreicbergs A,Schultzberg M,et al.Neuroendocrine regulation of cyclic AMP formation in osteoblastic cell line and primary bone cells[J].J Bone Miner Res,1992,7:1011
[9]Davidovitch Z,Nicolay OF,Ngan PW,et al.neurotransmitters,cyt okines and the control of alveolar bone remodeling in orthodontics[J].Dent C lin North Am,1988,32,411
[10]Nohutcu RM,Mccauley LK.Effects of hormones and cytokines on stimulation of adenylate cyclase and intracellur calcium concentration in human and canine periodontal-ligament fibroblasts[J].Arch Oral Bio,1993,38( 10):871
[11]Maggi CA.Tachykinins and calcitonin gene-related peptide as co-transmitters realeased from peripheral endings of sensory nerves[J].Prog N eurobiol,1995,45:1
收稿日期:2000-01-17, 百拇医药