益气养血活血中药对实验性血虚证大鼠视网膜病理改变的影响
作者:亢泽峰 庄曾渊 万素君 李庆生 王勒渝 黄霞珍 毕振春 解荣庆
单位:亢泽峰 庄曾渊 李庆生(中国中医研究院眼科医院,北京 100040);万素君 王勒渝 黄霞珍 毕振春 解荣庆(中国中医研究院广安门医院)
关键词:中药;血虚证;大鼠;视网膜;病理
中国中医眼科杂志000404 [摘 要]目的 观察益气养血活血中药对实验性血虚证大鼠视网膜病理改变的影响。方法 将70只Wistar大鼠随机分为正常组、对照组、大剂量给药组、小剂量给药组和预防组。除正常组外,其它4组用乙酰苯肼造成血虚证模型。各血虚组大鼠治疗20d、40d后分别每组随机取7只鼠的视网膜进行光镜观察,40d每组随机取2只眼视网膜作电镜观察。结果 预防组大鼠视网膜未发现病理改变;中药治疗组视网膜病理损害程度轻于对照组;其中大剂量组治疗40d检查的结果更为明显。结论 益气养血活血中药对早中期视网膜病变具有较好的防治作用。
, http://www.100md.com
中图分类号:R361.2;R289.5 文献标识码:A
文章编号:1002-4379(2000)04-0199-06
An observation of influence of traditional Chinese medicine for yiqiyangxue and huoxue(益气养血活血)therapeutics on retinal pathologic change in experimental diabetic rats with xuexu(血虚)syndrome
KANG Zefeng,ZHUANG Zengyuan,WAN Sujun,et al.
(Eye Hospital of China Academy of Traditional Chinese Medicine,Beijing 100040,China)
, http://www.100md.com
[Abstract]OBJECTIVE To study the influence of the traditional Chinese medicine for xuexu(血虚);therapy on retinal pathologic changes in the experimental rats with xuexu syndrome.METHODS Seventy Wistar rats were divided random into normal group,control group,treated group with high dose,group with low dose,and prevention group.Except for the normal group,experimental xuexu syndromes were occurred in other 4 groups by acetphenylhydrazine (APH).Seven respective samples of retina from each group with xuexu syndrome and normal group were inspected by light microscopy at 20 days and 40 days after treatment.Two samples were inspected by electric microscope at 40 days after treatment in the each group with experimental xuexu syndromes.RESULTS Any retina pathologic change did not be found in the prevention group.The degree of retina pathologic damage was lighter in the treated groups than in the control group,the effect was more obvious in the group with high dose at 40 days after the treatment.CONCLUSION Traditional Chinese medicine for yiqiyangxue and huaxue(益气养血活血) therapy could play a positive role in the prevention and cure of the retinal pathologic damages induced by experimental xiexu syndrome among the early and middle stage.
, http://www.100md.com
[Key words]traditional Chinese medicine;xuexu(血虚)syndrome;rats;retina;pathology
血与眼的关系非常密切,血虚、血不濡目是引起目不明的重要原因。近年来在临床中应用益气补血活血的中药对血虚证视网膜疾病取得一定的疗效,为了对临床用药提供确切依据和探讨其作用机制,从1999年9月~2000年2月我们观察了临床疗效较好的益气补血活血的补血汤对乙酰苯肼(APH)所致的实验性血虚证大鼠视网膜病理改变的影响,报道如下。
1 材料与方法
1.1 实验材料
实验动物:健康雄性Wistar大鼠,体重200g±50g,由中国军事医学科学院实验动物繁殖厂提供。
药品与制剂:实验用药材购自北京市药材公司,经广安门医院生药室鉴定为黄芪、当归、葛根、枸杞子。前两味按《内外伤辨惑论》原方,两味药5∶1组成,剂量分别为30g、6g,后两味各12g,洗净后加10倍水浸泡30min加热至沸,30min后过滤。合并2次滤液,加热浓缩至相当每ml含2g生药,4℃冰箱储存备用。
, http://www.100md.com
乙酰苯肼(APH)北京化工厂产品,批号:980220。
仪器:日本5150血液分析仪,日本OLYMPUS五目镜,PHILIPS透射电镜EM400T及瑞典LKB-8800超薄切片机。
1.2 实验方法
1.2.1 造模方法:Wistar大鼠70只,随机分为5组,即正常组、对照组、给药大、小剂量组和预防组。正常组为自由摄食饮水不加任何处理,其他4组大鼠依次间隔两日皮下以1%APH*NS注射液,剂量为10ml/kg体重注射2次,以后浓度与剂量减半皮下注射,6次为1周期,周期递增APH lml/kg体重,共计注射36次,108d停止,进行药物的治疗观察。
1.2.2 分组与给药:以1.2.1分组,预防组在接受APH同时灌胃给药,给药组在造模后第一日灌胃给药,每日1次。小剂量为3ml/(kg*d),预防组口服大剂量中药,对照组口服等量(大剂量)消毒饮用水,正常组不作任何处理。
, 百拇医药
1.2.3 病理组织学样品制备:于造模及给药前后剪尾采血外周红细胞计数,观察其下降率变化;同时观察大鼠症状体征变化。对造模后治疗20d、40d分别每组随机取7只大鼠,充分麻醉取视网膜制片〔1〕作光镜观察,40d每组大鼠随机取2只眼的视网膜制片作电镜观察。
1.2.4 统计学处理:测定值均用x —±s表示,采用t检验。
2 结果
2.1 一般体征
造模后对照组、大小、剂量组大鼠呈较重血虚状态,表现出粘膜和爪甲苍白、皮毛无光泽,乏力,睑裂变小,反应迟钝等体征;预防组大鼠也呈血虚状态,但程度较造模各组明显轻,尤其是体重、状态等差异明显,停止注射APH后继续给补血汤20d、40d,血虚症状、体征消失较快,40d时为轻度血虚状态。小剂量组在给药20d大鼠体征较给药前轻度好转,40d则又有所好转。大剂量组20d状态较给药前好转,40d恢复明显。对照组在40d后症状体征也有所好转。
, http://www.100md.com
2.2 补血汤对血虚证大鼠模型红细胞下降率的影响
表1 给药20d前后各组红细胞的下降率
(
±s,n=7) 组 别
给药前(%)
给药20d(%)
对 照 组
56.81±8.381)
48.74±7.493)
小剂量组
56.83±5.431)
, http://www.100md.com
47.34±6.033)
大剂量组
56.30±4.791)
45.74±5.483)
预 防 组
37.09±4.862)
29.72±6.214)
正 常 组
18.06±3.26
19.83±2.50
, 百拇医药
注:治疗前后比较:对照组t=1.9013,P>0.05;小剂量组、大剂量组、预防组t=3.3559,10.5719,2.4793,均P<0.05;组间比较:治疗前与正常组比较:1)t=7.5447,13.457,12.4186,均P<0.01;与对照组比较2)t=5.3991,P<0.01;治疗后与正常组比较3)t=6.3428,7.4276,8.674,均P<0.01;与对照组比较:4)t=5.1734,P<0.01表2 给药40d前后各组红细胞的下降率
(
±s,n=7) 组 别
给药前(%)
给药40d(%)
对 照 组
56.69±4.951)
, 百拇医药
47.08±5.183)
小剂量组
57.45±3.501)
46.90±2.923)
大剂量组
54.93±4.071)
30.27±3.134)
预 防 组
36.81±2.322)
23.45±4.985)
, 百拇医药
正 常 组
16.73±7.992)
14.74±7.65
注:治疗前后比较:对照组t=2.8131,P<0.05,其余3组t=6.1235,12.7097,6.4359,均P<0.01;组间比较:治疗前与正常组比较:1)t=9.8818,11.7675,10.3907,均P<0.01;与对照组比较:2)t=9.625,9.8818,均P<0.01;治疗后与正常组比较:3)t=9.4763,12.0992,均P<0.01;与对照组比较:4)t=8.2214,P<0.01 5)与4)比较:t=3.0727,P<0.012.3 补血汤对血虚证大鼠模型视网膜病理改变的影响
2.3.1 治疗20、40d血虚证大鼠视网膜组织形态学的观察:①正常组:光镜下视网膜组织结构正常,10层结构清楚,内核层及外核层细胞排列整齐、规则。预防组无病变同正常组(图1)。②对照组:20d视网膜严重水肿。视神经纤维层、内网层及视杆锥层明显疏松、水肿、结构紊乱,内核层和外核层细胞间明显水肿、疏松,细胞肿胀、排列明显紊乱(图2),视网膜明显增厚。40d较20d稍好转,水肿稍减轻(图3)。③小剂量组:治疗20d视神经纤维层疏松、水肿,内核层及外核层细胞之间明显疏松、排列紊乱、水肿,视杆视锥层疏松、水肿较明显。视网膜中度水肿、增厚(图4)。40d内颗粒层疏松、水肿程度较20d减轻,余基本病变同20d(图5)。④大剂量组:治疗20d视锥杆层疏松、紊乱,外核层细胞之间疏松,排列较不整齐,视网膜水肿、增厚(图6),40d除外颗粒层与20d相同外,其余均较20d明显好转(图7)。
, http://www.100md.com
2.3.2 治疗40d血虚证大鼠视网膜超微结构的观察:正常组、预防组:正常光感受器细胞排列整齐,细胞间隙较密,内节线粒体形态结构正常、嵴清楚,外节膜盘结构清楚排列规律整齐(图8、图9)。对照组:视杆锥细胞外节膜盘结构变形、扭曲、肿胀,呈不规则扩散(图10);内节线粒体肿胀,嵴模糊或脱嵴,有的呈空泡状(图11)。小剂量组:视杆锥细胞外节膜盘排列紊乱疏松,部分断裂(图12);内节线粒体肿胀、变大变圆,嵴不清楚(图13)。大剂量组:视杆锥细胞外节膜盘结构变疏松,排列较紊乱(图14);有的内节线粒体肿胀,嵴较清楚(图15)。
3 讨论
补血汤治疗后各组大鼠血虚症状明显好转,以大剂量组、预防组尤为显著。预防组大鼠红细胞下降率较低,与造模其他3组比较差异有显著性(P<0.01);小剂量组在给药40d后红细胞下降率降低(P<0.01)。大剂量组在给药20d和40d,红细胞下降率均降低(P<0.01)。说明补血汤可促进红细胞生成,对血虚证有良好的防治作用。对照组在停止注射APH40d后红细胞数有所回升,但与用药组比较差异有显著性(P<0.01),以上结果表明对照组在未治疗情况下,红细胞下降率虽稍有好转,但不能完全恢复到正常状态,可能是经过长时期的红细胞膜氧化性损伤,红细胞成熟基本停滞〔2〕,但也有部分受损的或衰老的红细胞尚能恢复〔3〕的结果。
, http://www.100md.com
结果显示,病程在108d时实验性贫血大鼠视网膜组织已有早中期病理改变。治疗40d后,大剂量组视网膜组织病理损害程度最轻,小剂量组次之,对照组最重。病理学认为,当细胞受到缺氧、中毒等各种损伤时,线粒体等其它细胞器发生非特异性扩张和裂解,严重时裂解为大泡状〔4〕。影响了细胞内三羧酸循环、呼吸链电子传递、氧化磷酸化和DNA的转录复制,使能量供应不足,DNA的转录复制功能降低,而导致整个细胞的功能低下。以上结果说明视网膜细胞超微结构的改变及其细胞功能下降与血虚程度有关,益气养血、活血化瘀的补血汤对血虚证视网膜超微结构的早、中期损伤有明显改善作用,因而促进了细胞功能的恢复、进而调整了眼血虚证的种种表征,使视网膜结构、功能得到改善。
本病属血虚引起的眼底疾病,根据眼与气血密切相关理论,我们认为精血亏虚,目失所养是导致该病发生的主要内因,血运不畅,目络瘀阻是其重要的继发病因。无论是血虚精少、络道不充还是气虚血弱、鼓动无力、血行受阻均可导致瘀血内生。因而针对其病因病机以益气养血,活血通络,标本兼治为主要治和组方原则。黄芪、当归、枸杞子具有良好的益气补血作用〔5〕,有文献报道黄芪能促进造血干细胞增殖〔6〕和升高溶血性贫血小鼠红细胞数〔7〕当归、葛根具有扩张血管改善微循环、降低血液粘度、抑制红细胞聚集、防止血栓形成作用〔8〕,葛根还有增加冠状血流量、降低外周血管阻力、促进细胞代谢等作用〔9,10〕。另外通过临床研究证明,以葛根、黄芪、当归等组成复方治疗视网膜疾病能缩短视网膜循环时间、增进视力以及降低全血粘度、改善血液流变学〔11,12〕。因而从本实验结果可推测,由当归,黄芪、枸杞、葛根组成的补血汤也有以上多种作用。
, 百拇医药
治疗结果说明,补血汤防治本病的作用机制可能不仅在于减轻血虚状态、减轻血液代谢紊乱、改善视网膜微循环,而且可能还有改善或恢复视网膜组织结构损伤的作用。
图1 正常组、预防组:视网膜组织结构正常,10层结构清楚,内核层及外核层细胞排列整齐 HE×200
图2 对照组:治疗20d视神经纤维层、内网层及视杆锥层明显疏松、水肿、结构紊乱,内、外核层细胞间明显水肿、疏松,细胞排列明显紊乱,视网膜明显水肿增厚 HE×200
图3 对照组:治疗40d较20d稍好转,水肿稍减轻 HE×200
, 百拇医药
图4 小剂量组:治疗20d视神经纤维层疏松、水肿,内核层及外核层细胞之间明显疏松、排列紊乱水肿,视杆视锥层疏松、水肿较明显,视网膜中度增厚 HE×200
图5 小剂量组:40d内颗粒层疏松、水肿程度较20d减轻 HE×200
图6 大剂量组:治疗20d视锥杆层疏松、紊乱,外核层细胞之间疏松,排列较不整齐,视网膜水肿、增厚 HE×200
图7 大剂量组:治疗40d除外颗粒层与治疗20d相同外,其余均较治疗20d时明显好转 HE×200
, http://www.100md.com
图8 正常组外核细胞排列整齐,间隙较密 ×8000
图9 内节线粒体形态结构正常、嵴清楚 ×36000
图10 对照组外节膜盘结构变形、扭曲、肿胀、空泡,呈不规则扩散 ×28000
图11 对照组线粒体肿胀,脱嵴,呈球状或空泡 ×36000
图12 小剂量组膜盘排列紊乱疏松,部分断裂 ×28000
, 百拇医药
图13 小剂量组内节线粒体肿胀变大变圆,呈球状,轻度脱嵴 ×36000
图14 大剂量组外节膜盘结构疏松,排列较紊乱 ×28000
图15 大剂量组视杆锥细胞内节线粒体较肿胀,嵴较清楚 ×36000
基金项目:国家自然科学基金资助项目(39770923)
参考文献
1,马吉献,张延铖,于纯智.西京固定液的应用观察[J].眼科新进展,1994,14(4):302-303.
2,郁知非.现代血液病学.贫血及红细胞疾病分册[M].杭州:浙江科学技术出版社,1989.138.
, 百拇医药
3,杜传书,许延康.蚕豆病[M].北京:人民卫生出版社,1987.127-129.
4,董 郡.病理学[M].北京:人民卫生出版社,1996.26.
5,邓文龙.中医方 剂的药理与应用[M].重庆:重庆出版社,1996.5-26.
6,周霭祥,王天恩,杨经敏,等.益肾生血片为主治疗再生障碍性贫血的临床研究[J].中国中西医结合杂志,1998,18(10):603-606.
7,李美芬.黄芪促进小鼠粒系造血[J].湖南医科大学学报,1991,16(2):135.
8,翁维良,王 怡,马惠敏,等.20种活血药对血液粘稠度作用的比较观察[J].中医杂志,1984,25(2):69.
, 百拇医药 9,王晓晴,傅 静.葛根的药理作用研究进展[J].北京中医药大学学报,1994,17(3):39-41.
10,焦树德.中药大全[M].哈尔滨:黑龙江科学技术出版社,1988:162-164.
11,谷万章.卜秀荣,王玉国,等.葛芪口服液治疗前部缺血性视神经病变疗效分析[J].中国中医眼科杂志,1996,6(4):198-200.
12,李传课,彭清华,曾明葵,等.益气明目丸治疗脾胃气虚型视神经萎缩和视网膜色素变性疗效观察[J].中国中医眼科杂志,1997,7(1):14-18.
收稿日期:2000-06-12, http://www.100md.com
单位:亢泽峰 庄曾渊 李庆生(中国中医研究院眼科医院,北京 100040);万素君 王勒渝 黄霞珍 毕振春 解荣庆(中国中医研究院广安门医院)
关键词:中药;血虚证;大鼠;视网膜;病理
中国中医眼科杂志000404 [摘 要]目的 观察益气养血活血中药对实验性血虚证大鼠视网膜病理改变的影响。方法 将70只Wistar大鼠随机分为正常组、对照组、大剂量给药组、小剂量给药组和预防组。除正常组外,其它4组用乙酰苯肼造成血虚证模型。各血虚组大鼠治疗20d、40d后分别每组随机取7只鼠的视网膜进行光镜观察,40d每组随机取2只眼视网膜作电镜观察。结果 预防组大鼠视网膜未发现病理改变;中药治疗组视网膜病理损害程度轻于对照组;其中大剂量组治疗40d检查的结果更为明显。结论 益气养血活血中药对早中期视网膜病变具有较好的防治作用。
, http://www.100md.com
中图分类号:R361.2;R289.5 文献标识码:A
文章编号:1002-4379(2000)04-0199-06
An observation of influence of traditional Chinese medicine for yiqiyangxue and huoxue(益气养血活血)therapeutics on retinal pathologic change in experimental diabetic rats with xuexu(血虚)syndrome
KANG Zefeng,ZHUANG Zengyuan,WAN Sujun,et al.
(Eye Hospital of China Academy of Traditional Chinese Medicine,Beijing 100040,China)
, http://www.100md.com
[Abstract]OBJECTIVE To study the influence of the traditional Chinese medicine for xuexu(血虚);therapy on retinal pathologic changes in the experimental rats with xuexu syndrome.METHODS Seventy Wistar rats were divided random into normal group,control group,treated group with high dose,group with low dose,and prevention group.Except for the normal group,experimental xuexu syndromes were occurred in other 4 groups by acetphenylhydrazine (APH).Seven respective samples of retina from each group with xuexu syndrome and normal group were inspected by light microscopy at 20 days and 40 days after treatment.Two samples were inspected by electric microscope at 40 days after treatment in the each group with experimental xuexu syndromes.RESULTS Any retina pathologic change did not be found in the prevention group.The degree of retina pathologic damage was lighter in the treated groups than in the control group,the effect was more obvious in the group with high dose at 40 days after the treatment.CONCLUSION Traditional Chinese medicine for yiqiyangxue and huaxue(益气养血活血) therapy could play a positive role in the prevention and cure of the retinal pathologic damages induced by experimental xiexu syndrome among the early and middle stage.
, http://www.100md.com
[Key words]traditional Chinese medicine;xuexu(血虚)syndrome;rats;retina;pathology
血与眼的关系非常密切,血虚、血不濡目是引起目不明的重要原因。近年来在临床中应用益气补血活血的中药对血虚证视网膜疾病取得一定的疗效,为了对临床用药提供确切依据和探讨其作用机制,从1999年9月~2000年2月我们观察了临床疗效较好的益气补血活血的补血汤对乙酰苯肼(APH)所致的实验性血虚证大鼠视网膜病理改变的影响,报道如下。
1 材料与方法
1.1 实验材料
实验动物:健康雄性Wistar大鼠,体重200g±50g,由中国军事医学科学院实验动物繁殖厂提供。
药品与制剂:实验用药材购自北京市药材公司,经广安门医院生药室鉴定为黄芪、当归、葛根、枸杞子。前两味按《内外伤辨惑论》原方,两味药5∶1组成,剂量分别为30g、6g,后两味各12g,洗净后加10倍水浸泡30min加热至沸,30min后过滤。合并2次滤液,加热浓缩至相当每ml含2g生药,4℃冰箱储存备用。
, http://www.100md.com
乙酰苯肼(APH)北京化工厂产品,批号:980220。
仪器:日本5150血液分析仪,日本OLYMPUS五目镜,PHILIPS透射电镜EM400T及瑞典LKB-8800超薄切片机。
1.2 实验方法
1.2.1 造模方法:Wistar大鼠70只,随机分为5组,即正常组、对照组、给药大、小剂量组和预防组。正常组为自由摄食饮水不加任何处理,其他4组大鼠依次间隔两日皮下以1%APH*NS注射液,剂量为10ml/kg体重注射2次,以后浓度与剂量减半皮下注射,6次为1周期,周期递增APH lml/kg体重,共计注射36次,108d停止,进行药物的治疗观察。
1.2.2 分组与给药:以1.2.1分组,预防组在接受APH同时灌胃给药,给药组在造模后第一日灌胃给药,每日1次。小剂量为3ml/(kg*d),预防组口服大剂量中药,对照组口服等量(大剂量)消毒饮用水,正常组不作任何处理。
, 百拇医药
1.2.3 病理组织学样品制备:于造模及给药前后剪尾采血外周红细胞计数,观察其下降率变化;同时观察大鼠症状体征变化。对造模后治疗20d、40d分别每组随机取7只大鼠,充分麻醉取视网膜制片〔1〕作光镜观察,40d每组大鼠随机取2只眼的视网膜制片作电镜观察。
1.2.4 统计学处理:测定值均用x —±s表示,采用t检验。
2 结果
2.1 一般体征
造模后对照组、大小、剂量组大鼠呈较重血虚状态,表现出粘膜和爪甲苍白、皮毛无光泽,乏力,睑裂变小,反应迟钝等体征;预防组大鼠也呈血虚状态,但程度较造模各组明显轻,尤其是体重、状态等差异明显,停止注射APH后继续给补血汤20d、40d,血虚症状、体征消失较快,40d时为轻度血虚状态。小剂量组在给药20d大鼠体征较给药前轻度好转,40d则又有所好转。大剂量组20d状态较给药前好转,40d恢复明显。对照组在40d后症状体征也有所好转。
, http://www.100md.com
2.2 补血汤对血虚证大鼠模型红细胞下降率的影响
表1 给药20d前后各组红细胞的下降率
(
给药前(%)
给药20d(%)
对 照 组
56.81±8.381)
48.74±7.493)
小剂量组
56.83±5.431)
, http://www.100md.com
47.34±6.033)
大剂量组
56.30±4.791)
45.74±5.483)
预 防 组
37.09±4.862)
29.72±6.214)
正 常 组
18.06±3.26
19.83±2.50
, 百拇医药
注:治疗前后比较:对照组t=1.9013,P>0.05;小剂量组、大剂量组、预防组t=3.3559,10.5719,2.4793,均P<0.05;组间比较:治疗前与正常组比较:1)t=7.5447,13.457,12.4186,均P<0.01;与对照组比较2)t=5.3991,P<0.01;治疗后与正常组比较3)t=6.3428,7.4276,8.674,均P<0.01;与对照组比较:4)t=5.1734,P<0.01表2 给药40d前后各组红细胞的下降率
(
给药前(%)
给药40d(%)
对 照 组
56.69±4.951)
, 百拇医药
47.08±5.183)
小剂量组
57.45±3.501)
46.90±2.923)
大剂量组
54.93±4.071)
30.27±3.134)
预 防 组
36.81±2.322)
23.45±4.985)
, 百拇医药
正 常 组
16.73±7.992)
14.74±7.65
注:治疗前后比较:对照组t=2.8131,P<0.05,其余3组t=6.1235,12.7097,6.4359,均P<0.01;组间比较:治疗前与正常组比较:1)t=9.8818,11.7675,10.3907,均P<0.01;与对照组比较:2)t=9.625,9.8818,均P<0.01;治疗后与正常组比较:3)t=9.4763,12.0992,均P<0.01;与对照组比较:4)t=8.2214,P<0.01 5)与4)比较:t=3.0727,P<0.012.3 补血汤对血虚证大鼠模型视网膜病理改变的影响
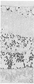
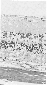
2.3.1 治疗20、40d血虚证大鼠视网膜组织形态学的观察:①正常组:光镜下视网膜组织结构正常,10层结构清楚,内核层及外核层细胞排列整齐、规则。预防组无病变同正常组(图1)。②对照组:20d视网膜严重水肿。视神经纤维层、内网层及视杆锥层明显疏松、水肿、结构紊乱,内核层和外核层细胞间明显水肿、疏松,细胞肿胀、排列明显紊乱(图2),视网膜明显增厚。40d较20d稍好转,水肿稍减轻(图3)。③小剂量组:治疗20d视神经纤维层疏松、水肿,内核层及外核层细胞之间明显疏松、排列紊乱、水肿,视杆视锥层疏松、水肿较明显。视网膜中度水肿、增厚(图4)。40d内颗粒层疏松、水肿程度较20d减轻,余基本病变同20d(图5)。④大剂量组:治疗20d视锥杆层疏松、紊乱,外核层细胞之间疏松,排列较不整齐,视网膜水肿、增厚(图6),40d除外颗粒层与20d相同外,其余均较20d明显好转(图7)。
, http://www.100md.com
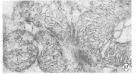
2.3.2 治疗40d血虚证大鼠视网膜超微结构的观察:正常组、预防组:正常光感受器细胞排列整齐,细胞间隙较密,内节线粒体形态结构正常、嵴清楚,外节膜盘结构清楚排列规律整齐(图8、图9)。对照组:视杆锥细胞外节膜盘结构变形、扭曲、肿胀,呈不规则扩散(图10);内节线粒体肿胀,嵴模糊或脱嵴,有的呈空泡状(图11)。小剂量组:视杆锥细胞外节膜盘排列紊乱疏松,部分断裂(图12);内节线粒体肿胀、变大变圆,嵴不清楚(图13)。大剂量组:视杆锥细胞外节膜盘结构变疏松,排列较紊乱(图14);有的内节线粒体肿胀,嵴较清楚(图15)。
3 讨论
补血汤治疗后各组大鼠血虚症状明显好转,以大剂量组、预防组尤为显著。预防组大鼠红细胞下降率较低,与造模其他3组比较差异有显著性(P<0.01);小剂量组在给药40d后红细胞下降率降低(P<0.01)。大剂量组在给药20d和40d,红细胞下降率均降低(P<0.01)。说明补血汤可促进红细胞生成,对血虚证有良好的防治作用。对照组在停止注射APH40d后红细胞数有所回升,但与用药组比较差异有显著性(P<0.01),以上结果表明对照组在未治疗情况下,红细胞下降率虽稍有好转,但不能完全恢复到正常状态,可能是经过长时期的红细胞膜氧化性损伤,红细胞成熟基本停滞〔2〕,但也有部分受损的或衰老的红细胞尚能恢复〔3〕的结果。
, http://www.100md.com
结果显示,病程在108d时实验性贫血大鼠视网膜组织已有早中期病理改变。治疗40d后,大剂量组视网膜组织病理损害程度最轻,小剂量组次之,对照组最重。病理学认为,当细胞受到缺氧、中毒等各种损伤时,线粒体等其它细胞器发生非特异性扩张和裂解,严重时裂解为大泡状〔4〕。影响了细胞内三羧酸循环、呼吸链电子传递、氧化磷酸化和DNA的转录复制,使能量供应不足,DNA的转录复制功能降低,而导致整个细胞的功能低下。以上结果说明视网膜细胞超微结构的改变及其细胞功能下降与血虚程度有关,益气养血、活血化瘀的补血汤对血虚证视网膜超微结构的早、中期损伤有明显改善作用,因而促进了细胞功能的恢复、进而调整了眼血虚证的种种表征,使视网膜结构、功能得到改善。
本病属血虚引起的眼底疾病,根据眼与气血密切相关理论,我们认为精血亏虚,目失所养是导致该病发生的主要内因,血运不畅,目络瘀阻是其重要的继发病因。无论是血虚精少、络道不充还是气虚血弱、鼓动无力、血行受阻均可导致瘀血内生。因而针对其病因病机以益气养血,活血通络,标本兼治为主要治和组方原则。黄芪、当归、枸杞子具有良好的益气补血作用〔5〕,有文献报道黄芪能促进造血干细胞增殖〔6〕和升高溶血性贫血小鼠红细胞数〔7〕当归、葛根具有扩张血管改善微循环、降低血液粘度、抑制红细胞聚集、防止血栓形成作用〔8〕,葛根还有增加冠状血流量、降低外周血管阻力、促进细胞代谢等作用〔9,10〕。另外通过临床研究证明,以葛根、黄芪、当归等组成复方治疗视网膜疾病能缩短视网膜循环时间、增进视力以及降低全血粘度、改善血液流变学〔11,12〕。因而从本实验结果可推测,由当归,黄芪、枸杞、葛根组成的补血汤也有以上多种作用。
, 百拇医药
治疗结果说明,补血汤防治本病的作用机制可能不仅在于减轻血虚状态、减轻血液代谢紊乱、改善视网膜微循环,而且可能还有改善或恢复视网膜组织结构损伤的作用。
图1 正常组、预防组:视网膜组织结构正常,10层结构清楚,内核层及外核层细胞排列整齐 HE×200
图2 对照组:治疗20d视神经纤维层、内网层及视杆锥层明显疏松、水肿、结构紊乱,内、外核层细胞间明显水肿、疏松,细胞排列明显紊乱,视网膜明显水肿增厚 HE×200
图3 对照组:治疗40d较20d稍好转,水肿稍减轻 HE×200
, 百拇医药
图4 小剂量组:治疗20d视神经纤维层疏松、水肿,内核层及外核层细胞之间明显疏松、排列紊乱水肿,视杆视锥层疏松、水肿较明显,视网膜中度增厚 HE×200
图5 小剂量组:40d内颗粒层疏松、水肿程度较20d减轻 HE×200
图6 大剂量组:治疗20d视锥杆层疏松、紊乱,外核层细胞之间疏松,排列较不整齐,视网膜水肿、增厚 HE×200
图7 大剂量组:治疗40d除外颗粒层与治疗20d相同外,其余均较治疗20d时明显好转 HE×200
, http://www.100md.com
图8 正常组外核细胞排列整齐,间隙较密 ×8000
图9 内节线粒体形态结构正常、嵴清楚 ×36000
图10 对照组外节膜盘结构变形、扭曲、肿胀、空泡,呈不规则扩散 ×28000
图11 对照组线粒体肿胀,脱嵴,呈球状或空泡 ×36000
图12 小剂量组膜盘排列紊乱疏松,部分断裂 ×28000
, 百拇医药
图13 小剂量组内节线粒体肿胀变大变圆,呈球状,轻度脱嵴 ×36000
图14 大剂量组外节膜盘结构疏松,排列较紊乱 ×28000
图15 大剂量组视杆锥细胞内节线粒体较肿胀,嵴较清楚 ×36000
基金项目:国家自然科学基金资助项目(39770923)
参考文献
1,马吉献,张延铖,于纯智.西京固定液的应用观察[J].眼科新进展,1994,14(4):302-303.
2,郁知非.现代血液病学.贫血及红细胞疾病分册[M].杭州:浙江科学技术出版社,1989.138.
, 百拇医药
3,杜传书,许延康.蚕豆病[M].北京:人民卫生出版社,1987.127-129.
4,董 郡.病理学[M].北京:人民卫生出版社,1996.26.
5,邓文龙.中医方 剂的药理与应用[M].重庆:重庆出版社,1996.5-26.
6,周霭祥,王天恩,杨经敏,等.益肾生血片为主治疗再生障碍性贫血的临床研究[J].中国中西医结合杂志,1998,18(10):603-606.
7,李美芬.黄芪促进小鼠粒系造血[J].湖南医科大学学报,1991,16(2):135.
8,翁维良,王 怡,马惠敏,等.20种活血药对血液粘稠度作用的比较观察[J].中医杂志,1984,25(2):69.
, 百拇医药 9,王晓晴,傅 静.葛根的药理作用研究进展[J].北京中医药大学学报,1994,17(3):39-41.
10,焦树德.中药大全[M].哈尔滨:黑龙江科学技术出版社,1988:162-164.
11,谷万章.卜秀荣,王玉国,等.葛芪口服液治疗前部缺血性视神经病变疗效分析[J].中国中医眼科杂志,1996,6(4):198-200.
12,李传课,彭清华,曾明葵,等.益气明目丸治疗脾胃气虚型视神经萎缩和视网膜色素变性疗效观察[J].中国中医眼科杂志,1997,7(1):14-18.
收稿日期:2000-06-12, http://www.100md.com