改良Saccomanno法用于肺癌患者痰标本处理的应用体会
作者:李龙芸 汪斌超 陈勇 姚连昌 操乐杰 王瑜玲 毛琦善
单位:李龙芸 汪斌超 陈勇 姚连昌 操乐杰 王瑜玲 毛琦善(100730 中国医学科学院中国协和医科大学北京协和医院呼吸内科)
关键词:改良Saccomanno法;肺肿瘤;痰标本
中国肺癌杂志000411
【摘要】 目的 探讨新的痰标本收集和保存方法用于肺癌的辅助诊断。方法 分别用常规法和改良Saccomanno法(以下简称改良S法),对125例经细胞或组织病理学确诊的肺癌患者的痰标本进行处理。部分标本尚进行了p53突变基因检测和流式细胞术测定p53和p21蛋白。结果 用改良S法获得的痰标本涂片示癌细胞形态完整,背景杂质少,更易辨认。125例患者常规法涂片发现肺癌细胞阳性者35例,改良S法发现69例,阳性率分别为28%和55.2%,二者间有显著性差异(P<0.01)。常规法和改良S法检出的阳性患者中分别有26例和58例能明确病理类型,二者比较差异也有显著性(P<0.01)。改良S法阳性率与肺癌病理类型、TNM分期和肺癌类型有密切关系(P均<0.05)。改良S法处理的痰标本中,41例用PCR-SSCP-银染法检测p53基因突变,阳性率53.7%(22/41);30例用流式细胞术测定p53和p21蛋白含量,阳性率分别为40%(12/30)和53.5%(16/30)。结论 改良S法处理的痰标本能很好地保存肺癌细胞形态和成分,易于检出。标本也适于肺癌相关的基因及蛋白检测。
, 百拇医药
【中图分类号】 R734.2;R730.43
Evaluation of improved Saccomanno method in management of sputum samples of lung cancer patients
LI Longyun WANG Binchao CHEN Yong YAO Lianchang CAO Lejie WANG Yuling MAO Qishan (Department of Respiratory Diseases, Peking Union Medical College Hospital, CAMS and PUMC, Beijing 100730, P.R.China)
【Abstract】 Objective To compare the improved Saccomanno method with conventional method not only on concentrating and detecting cytological sputum but also on preserving sputum samples for further molecular biological and flow cytometry (FCM) investigation in lung cancer patients. Methods A total of 125 cases were identified as lung cancer by histological or cellular pathology, and sputum samples from these patients were collected by conventional method and improved Saccomanno method respectively for sputum smear. Then, some sputum samples collected by improved Saccomanno method were studied by FCM and/or PCR-SSCP-silver stain. Results The positive smear rates were 55.2%(69/125) by improved Saccomanno method and 28%(35/125) by conventional method respectively (P<0.01). Of the 125 cases, 58 by improved Saccomanno method and 26 by conventional method were confirmed for histological types of lung cancer respecitvely, and a highly significant difference was observed between the two groups (P<0.01). The positive smear rate by improved Saccomanno method had significant correlation with the clinical characteristics such as histology, TNM stage, and type of lung cancer. Moreover, of the samples collected by improved Saccomanno method, 41 cases were selected to detect p53 point mutation by PCR-SSCP-silver stain and 30 cases were selected to quantitate p53 and p21 protein by FCM technique successfully, the positive rates were 53.7%(22/41), 40%(12/30) and 53.3% (16/30) respectively. Conclusion The results indicate that improved Saccomanno method has a higher value than conventional method not only on concentrating and detecting cytological sputum but also on preserving sputum sample for further molecular biological study.
, 百拇医药
【Key words】 Improved Saccomanno method Lung neoplasms Sputum sample
痰细胞学检查是诊断支气管肺癌的重要方法之一,保证患者所留痰标本的质量是提高痰检阳性率的关键。常规的痰涂片检查(以下简称常规法)是对患者痰标本直接涂片染色后检查,受检标本量小,痰中的粘蛋白和其它杂质可影响细胞识别,而且患者留痰后须尽快送检。为了克服常规法的这些不足,我们自1997年5月开始改用一定量的乙醇和聚乙二醇的混合液作为固定液保存患者痰标本,在行解粘处理、离心洗涤后涂片检查肺癌细胞,即改良Saccomanno法[1](以下简称改良S法),检查了125例肺癌患者痰标本,并与常规法进行比较。
1 材料与方法
1.1 研究对象 1997年5月至1999年2月经细胞学和/或组织学确诊为肺癌的患者125例。男性78例,女性47例,平均年龄65.2岁±7岁(35~82岁)。其中鳞癌46例,腺癌32例,小细胞肺癌31例,病理分型不明者16例。
, 百拇医药
1.2 研究方法
1.2.1 获取与保存痰标本 每例患者在常规痰标本送检的同时,另备三个专用痰液收集管,管内预先放入20ml痰保存液(主要含50%乙醇和2%聚乙二醇)。晨起漱口后,咳深部痰7~8口于一个痰液管内,混匀后储于4℃冰箱或阴凉处,第二、三天再留另两管。一天不能留够7~8口者可第二天接着留同一管,一般每个患者总痰量可达10~20ml。留足三管后一起送实验室,4℃冰箱保存。
1.2.2 解粘处理 每份痰管内加入适量解粘剂,反复振摇5~10分钟,充分混匀。见痰液中无粘稠痰块而呈均匀的液相时,4℃1200r/min离心5分钟,弃上清,沉淀再用PBS液洗两遍。
1.2.3 痰涂片找瘤细胞 上述每管沉淀取适量涂片两张,常规HE染色后光镜下找瘤细胞,并与直接涂片法比较细胞形态。其余沉淀转入Eppendoff管,-20℃冰箱保存,备用于分子生物学检查。
, 百拇医药
1.2.4 痰标本分子生物学检查 30例患者的痰标本用流式细胞术测定其中p53和p21蛋白含量,41例标本用聚合酶链反应—单链构象多态性分析技术(PCR-SSCP)检测了痰p53基因突变等肿瘤相关指标。
1.2.5 统计学处理 采用χ2检验。
2 结果
2.1 涂片检查 经改良S法处理的痰标本涂片中癌细胞形态完整,含杂质少,易于辨认(图1~3)。常规涂片检查发现肺癌细胞或高度可疑肺癌细胞者共35例,占28%(35/125),改良S法收集并处理痰标本后涂片查出癌细胞或高度可疑癌细胞者共69例,占55.2%(69/125)。经χ2检验,两组间阳性率的差异有显著性(P<0.01)。改良S法检测到的69例痰细胞学阳性患者中,能明确病理类型者58例(鳞癌28例,腺癌9例,小细胞肺癌21例)。常规法检测到的35例中,明确病理类型者26例(鳞癌13例,腺癌5例,小细胞肺癌8例)。两组间病理类型确诊率的差异也有显著性(P<0.01)。改良S法的阳性检出率与肿瘤的组织病理类型、TNM分期及肿瘤在支气管内的位置有明显关系(表1)。
, http://www.100md.com
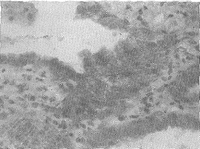
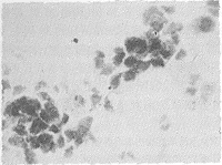
图1 腺癌细胞:细胞排列紧密,为腺样排列,胞浆内有多个空泡。细胞核浆比例大,细胞核靠边,呈卵圆形,核膜核仁明显。HE×400
Fig 1 Adenocarcinoma cell: the cells arranged compactly and acinously with many vacuoles seen in cytoplasm. The high nucleocytoplasmic ratio, marginal oval nucleus with nuclear membrane and nucleoli was discerned clearly in each cell.
图2 小细胞癌:细胞核大小、形状极不一致,多为瓜子或葵瓜子形,一端稍尖,核染色质呈粗颗粒状,胞浆几乎不见。HE×400
, 百拇医药
Fig 2 Small cell lung cancer: Sunflower seeds-like nucleus with one sharp end varied in size and shape. Coarse granular chromatin could be seen and the cytoplasm almost disappeared in each cell.
图3 鳞癌细胞:细胞形状各异,胞浆较多、均实、橘红色,核浆比例较小,染色质浓染,分布不均匀。HE×400
Fig 3 Squamous cell carcinoma: Tangerine-tinged cells with affluent and even cytoplasm differed in shape. Hyperchromatin was irregularly distributed in each cell with low nucleocytoplasmic ratio.
, 百拇医药
表1 改良S法阳性检出率与肺癌临床病理特征之间的关系
Tab 1 Relationship between the positive smear rate
by improved Saccomanno method and the clinical
pathological characteristics of lung cancer Characteristics
Positive
Negative
P value
Histology
, 百拇医药 0.0027
Squamous cell carcinoma
28
18
Adenocarcinoma
9
23
Small cell lung cancer
21
10
TNM stage
0.0001
, http://www.100md.com
Ⅰ
2
11
Ⅱ
7
18
Ⅲ
39
18
Ⅳ
21
9
Type
0.0325
, 百拇医药
Central
59
38
Peripheral
10
18
2.2 分子生物学检测 改良S法处理后的痰标本,取30例制成单细胞悬液,用流式细胞术测定肺癌细胞p53和p21蛋白的表达量,结果p53蛋白表达阳性者12例,占40%(12/30);p21蛋白表达阳性者16例,占53.3%(16/30)。此外,取41例标本提取DNA,用PCR-SSCP-银染法检测p53基因突变情况,结果阳性率为53.7%(22/41),接近肺癌组织的阳性率[2]。
3 讨论
, 百拇医药
早期诊断和早期治疗是延长肺癌患者生存期、改善患者预后的关键。由于肺癌患者多无特异的临床表现,一些相关的临床症状和体征出现也较晚,故肺癌的早期临床诊断是困难的。目前临床上常规开展的介入性检查如经纤维支气管镜肺活组织检查、经皮肺穿刺活检和手术标本的检查等是肺癌诊断的主要方法,但这些操作多为创伤性的。因此,探讨方法简便、患者痛苦小而检测阳性率高的肺癌诊断新途径,是肺癌诊疗中迫切需要解决的问题。
Strauss等[3]认为,痰标本检查十分有利于肺癌的早期诊断。因为支气管肺癌的始发部位为支气管粘膜上皮,而癌变后自原位癌到晚期各阶段肿瘤表面的癌细胞都可脱落,脱落的癌细胞可随呼吸道的粘液分泌物在纤毛运动作用下排出体外。因此,加强对痰液中脱落上皮细胞的检查应该是肺癌诊断最简便可行的途径。在早期肺癌(如原位癌和早期浸润癌),癌细胞间联结尚松散,表层细胞易于脱落,若及时检查痰标本更易检测到癌细胞及其它肿瘤标记物的存在,从而为肺癌早期诊断提供依据。
, 百拇医药 但是,痰标本检测肺癌的阳性率受很多因素影响,国内外报道一般在30%~60%左右[4,6],使人认为常规痰细胞学检查用于肺癌的诊断并不敏感。影响因素是多方面的,如:①痰标本中含肺癌细胞较少,一般在2%左右[5]。②受痰盒限制患者留取的痰标本量小,从而受检的痰标本量也小,痰标本中较少量的瘤细胞有可能未被检测到。③患者必须在留痰后数小时内送检,以便瘤细胞尽量保持形态完整,易于辨认。④痰标本中有时混有较多杂质,影响瘤细胞的辨认。⑤检查人员要有较丰富的识别肺癌细胞的经验。要克服以上不足,首先应增加患者留痰量,而这往往需要患者多次留痰。为了保证已留部分不因待检时间过长变质,就应采用某种保存液加以保存。我们的实验结果表明,我们所用的固定液以一定浓度的乙醇和聚乙二醇等混合使用,对肺癌细胞的保存效果较好,癌细胞形态完整,甚至也完全满足对细胞形态完整要求较严格的流式细胞术检查所需。
痰细胞解粘处理是痰检前一重要步骤。不经解粘处理者,癌细胞可被痰液中大量的粘蛋白粘连在一起呈团块状,不易被检测到。另外,不经解粘,痰液中其它杂质成分不易去除,瘤细胞也无法经离心和PBS液清洗而富集。但应注意,解粘剂应仅对粘蛋白间的二硫键起断键作用,而对瘤细胞本身无损伤。我们的实验结果表明,理想的解粘剂不仅对细胞形态无影响,对肿瘤细胞的DNA成分及癌蛋白表达产物如p53和p21蛋白也无影响。
, 百拇医药
本实验的对比研究表明,改良S法较常规涂片法能明显提高肺癌细胞的检出率,且癌细胞形态完整,含杂质少,易于辨认。同时改良S法较常规法更易于判断肺癌细胞的病理类型。因此经改良S法收集、保存和处理的痰标本更有利于痰查癌细胞的检查,改良S法具有较明显的优越性。众所周知,痰细胞学检查具有一定的偶然性,而我们用改良S法检测痰标本中肺癌细胞的结果表明,痰细胞检查的阳性率与肺癌的类型、TNM分期和肿瘤组织病理类型等均有密切关系,与有关文献结果一致[6],也表明了改良S法痰细胞学检查的敏感性提高,而偶然性减少了。
如上所述,由于痰检肺癌细胞不可避免地受到多种因素影响,单靠胞浆或胞核的形态有时无法确定是否为癌细胞,细胞的组织病理类型就更难诊断[7]。因此,近年来人们又试图避开具体的细胞形态而以痰液中肿瘤的某一标记物来识别它,并已在肺癌标记物方面做了大量工作,筛选出了许多与肺癌相关的标记物,有些已被证明对肺癌的诊断、治疗方案选择和预后判断有一定价值[8,9]。但要保证较高的阳性率和结果的可靠性,痰标本的前期处理仍然是十分必要的。我们的实验资料表明,经改良S法处理的痰标本用流式细胞术检测p53和p21蛋白表达及用PCR-SSCP方法检测p53基因突变的结果令人满意,表明该改良S法处理的痰标本也适合于分子生物学检查,由此为肺癌的早期甚至癌前病变期的诊断提供一种新方法。
, 百拇医药
下一步要进行的工作包括对改良S法保存的痰标本在储存了1、2、3、4……个月后分别进行有关检测,总结出该方法保存痰标本令人满意的最长时间。另外,还应进一步扩大对有关肿瘤标记物的检测,掌握其较准确的应用范围,为将来实际应用于临床提供指导。
本研究受卫生部科学研究基金(96-2-015)资助
参考文献
1,Saccomanno G, Sauders RP, Ellis H, et al. Concentration of carcinoma or atypical cells in sputum. Acta Cytol,1963,7(2)∶305-310.
2,Badner SM, Minna JD, Jensen SM, et al. Expression of mutant p53 proteins in lung cancer correlates with the class of p53 gene mutation. Oncogene,1992,7(5)∶743-749.
, http://www.100md.com
3,Strauss GM, Skarin AT. Use of tumor markers in lung cancer. Hematol Oncol Clin North Am, 1994,8(3)∶507-532.
4,Nasiell M. Diagnosis of lung cancer by aspiration biopsy and a comparison between this method and exfoliative cytology. Acta Cytol,1967,11(1)∶114-117.
5,Risse EKJ, Hof MA, Vooijs GP. Relationship between the cellular composition of sputum and the cytologic diagnosis of lung cancer. Acta Cytol,1987,31(1)∶170-176.
, http://www.100md.com
6,Risse EKJ, Hof MA, Vooijs GP. Relationship between patient characteristics and the sputum cytologic diagnosis of lung cancer. Acta Cytol,1987,31(1)∶159-165.
7,Mitchell ML, King DE, Bonfiglio TA, et al. Pulmonary fine needle aspiration cytopathology. A five-year correlation study. Acta Cytol,1984,28(1)∶72-77.
8,魏素菊,胡振杰.肿瘤标记物在肺癌诊治中的应用进展.国外医学呼吸系统分册,1999,19(1)∶49-51.
9,高振强,高志萍.肺癌分子生物学研究进展.国外医学呼吸系统分册,1996,16(2)∶92-99.
(收稿:1999-10-21,修回:2000-03-21), http://www.100md.com
单位:李龙芸 汪斌超 陈勇 姚连昌 操乐杰 王瑜玲 毛琦善(100730 中国医学科学院中国协和医科大学北京协和医院呼吸内科)
关键词:改良Saccomanno法;肺肿瘤;痰标本
中国肺癌杂志000411
【摘要】 目的 探讨新的痰标本收集和保存方法用于肺癌的辅助诊断。方法 分别用常规法和改良Saccomanno法(以下简称改良S法),对125例经细胞或组织病理学确诊的肺癌患者的痰标本进行处理。部分标本尚进行了p53突变基因检测和流式细胞术测定p53和p21蛋白。结果 用改良S法获得的痰标本涂片示癌细胞形态完整,背景杂质少,更易辨认。125例患者常规法涂片发现肺癌细胞阳性者35例,改良S法发现69例,阳性率分别为28%和55.2%,二者间有显著性差异(P<0.01)。常规法和改良S法检出的阳性患者中分别有26例和58例能明确病理类型,二者比较差异也有显著性(P<0.01)。改良S法阳性率与肺癌病理类型、TNM分期和肺癌类型有密切关系(P均<0.05)。改良S法处理的痰标本中,41例用PCR-SSCP-银染法检测p53基因突变,阳性率53.7%(22/41);30例用流式细胞术测定p53和p21蛋白含量,阳性率分别为40%(12/30)和53.5%(16/30)。结论 改良S法处理的痰标本能很好地保存肺癌细胞形态和成分,易于检出。标本也适于肺癌相关的基因及蛋白检测。
, 百拇医药
【中图分类号】 R734.2;R730.43
Evaluation of improved Saccomanno method in management of sputum samples of lung cancer patients
LI Longyun WANG Binchao CHEN Yong YAO Lianchang CAO Lejie WANG Yuling MAO Qishan (Department of Respiratory Diseases, Peking Union Medical College Hospital, CAMS and PUMC, Beijing 100730, P.R.China)
【Abstract】 Objective To compare the improved Saccomanno method with conventional method not only on concentrating and detecting cytological sputum but also on preserving sputum samples for further molecular biological and flow cytometry (FCM) investigation in lung cancer patients. Methods A total of 125 cases were identified as lung cancer by histological or cellular pathology, and sputum samples from these patients were collected by conventional method and improved Saccomanno method respectively for sputum smear. Then, some sputum samples collected by improved Saccomanno method were studied by FCM and/or PCR-SSCP-silver stain. Results The positive smear rates were 55.2%(69/125) by improved Saccomanno method and 28%(35/125) by conventional method respectively (P<0.01). Of the 125 cases, 58 by improved Saccomanno method and 26 by conventional method were confirmed for histological types of lung cancer respecitvely, and a highly significant difference was observed between the two groups (P<0.01). The positive smear rate by improved Saccomanno method had significant correlation with the clinical characteristics such as histology, TNM stage, and type of lung cancer. Moreover, of the samples collected by improved Saccomanno method, 41 cases were selected to detect p53 point mutation by PCR-SSCP-silver stain and 30 cases were selected to quantitate p53 and p21 protein by FCM technique successfully, the positive rates were 53.7%(22/41), 40%(12/30) and 53.3% (16/30) respectively. Conclusion The results indicate that improved Saccomanno method has a higher value than conventional method not only on concentrating and detecting cytological sputum but also on preserving sputum sample for further molecular biological study.
, 百拇医药
【Key words】 Improved Saccomanno method Lung neoplasms Sputum sample
痰细胞学检查是诊断支气管肺癌的重要方法之一,保证患者所留痰标本的质量是提高痰检阳性率的关键。常规的痰涂片检查(以下简称常规法)是对患者痰标本直接涂片染色后检查,受检标本量小,痰中的粘蛋白和其它杂质可影响细胞识别,而且患者留痰后须尽快送检。为了克服常规法的这些不足,我们自1997年5月开始改用一定量的乙醇和聚乙二醇的混合液作为固定液保存患者痰标本,在行解粘处理、离心洗涤后涂片检查肺癌细胞,即改良Saccomanno法[1](以下简称改良S法),检查了125例肺癌患者痰标本,并与常规法进行比较。
1 材料与方法
1.1 研究对象 1997年5月至1999年2月经细胞学和/或组织学确诊为肺癌的患者125例。男性78例,女性47例,平均年龄65.2岁±7岁(35~82岁)。其中鳞癌46例,腺癌32例,小细胞肺癌31例,病理分型不明者16例。
, 百拇医药
1.2 研究方法
1.2.1 获取与保存痰标本 每例患者在常规痰标本送检的同时,另备三个专用痰液收集管,管内预先放入20ml痰保存液(主要含50%乙醇和2%聚乙二醇)。晨起漱口后,咳深部痰7~8口于一个痰液管内,混匀后储于4℃冰箱或阴凉处,第二、三天再留另两管。一天不能留够7~8口者可第二天接着留同一管,一般每个患者总痰量可达10~20ml。留足三管后一起送实验室,4℃冰箱保存。
1.2.2 解粘处理 每份痰管内加入适量解粘剂,反复振摇5~10分钟,充分混匀。见痰液中无粘稠痰块而呈均匀的液相时,4℃1200r/min离心5分钟,弃上清,沉淀再用PBS液洗两遍。
1.2.3 痰涂片找瘤细胞 上述每管沉淀取适量涂片两张,常规HE染色后光镜下找瘤细胞,并与直接涂片法比较细胞形态。其余沉淀转入Eppendoff管,-20℃冰箱保存,备用于分子生物学检查。
, 百拇医药
1.2.4 痰标本分子生物学检查 30例患者的痰标本用流式细胞术测定其中p53和p21蛋白含量,41例标本用聚合酶链反应—单链构象多态性分析技术(PCR-SSCP)检测了痰p53基因突变等肿瘤相关指标。
1.2.5 统计学处理 采用χ2检验。
2 结果
2.1 涂片检查 经改良S法处理的痰标本涂片中癌细胞形态完整,含杂质少,易于辨认(图1~3)。常规涂片检查发现肺癌细胞或高度可疑肺癌细胞者共35例,占28%(35/125),改良S法收集并处理痰标本后涂片查出癌细胞或高度可疑癌细胞者共69例,占55.2%(69/125)。经χ2检验,两组间阳性率的差异有显著性(P<0.01)。改良S法检测到的69例痰细胞学阳性患者中,能明确病理类型者58例(鳞癌28例,腺癌9例,小细胞肺癌21例)。常规法检测到的35例中,明确病理类型者26例(鳞癌13例,腺癌5例,小细胞肺癌8例)。两组间病理类型确诊率的差异也有显著性(P<0.01)。改良S法的阳性检出率与肿瘤的组织病理类型、TNM分期及肿瘤在支气管内的位置有明显关系(表1)。
, http://www.100md.com
图1 腺癌细胞:细胞排列紧密,为腺样排列,胞浆内有多个空泡。细胞核浆比例大,细胞核靠边,呈卵圆形,核膜核仁明显。HE×400
Fig 1 Adenocarcinoma cell: the cells arranged compactly and acinously with many vacuoles seen in cytoplasm. The high nucleocytoplasmic ratio, marginal oval nucleus with nuclear membrane and nucleoli was discerned clearly in each cell.
图2 小细胞癌:细胞核大小、形状极不一致,多为瓜子或葵瓜子形,一端稍尖,核染色质呈粗颗粒状,胞浆几乎不见。HE×400
, 百拇医药
Fig 2 Small cell lung cancer: Sunflower seeds-like nucleus with one sharp end varied in size and shape. Coarse granular chromatin could be seen and the cytoplasm almost disappeared in each cell.
图3 鳞癌细胞:细胞形状各异,胞浆较多、均实、橘红色,核浆比例较小,染色质浓染,分布不均匀。HE×400
Fig 3 Squamous cell carcinoma: Tangerine-tinged cells with affluent and even cytoplasm differed in shape. Hyperchromatin was irregularly distributed in each cell with low nucleocytoplasmic ratio.
, 百拇医药
表1 改良S法阳性检出率与肺癌临床病理特征之间的关系
Tab 1 Relationship between the positive smear rate
by improved Saccomanno method and the clinical
pathological characteristics of lung cancer Characteristics
Positive
Negative
P value
Histology
, 百拇医药 0.0027
Squamous cell carcinoma
28
18
Adenocarcinoma
9
23
Small cell lung cancer
21
10
TNM stage
0.0001
, http://www.100md.com
Ⅰ
2
11
Ⅱ
7
18
Ⅲ
39
18
Ⅳ
21
9
Type
0.0325
, 百拇医药
Central
59
38
Peripheral
10
18
2.2 分子生物学检测 改良S法处理后的痰标本,取30例制成单细胞悬液,用流式细胞术测定肺癌细胞p53和p21蛋白的表达量,结果p53蛋白表达阳性者12例,占40%(12/30);p21蛋白表达阳性者16例,占53.3%(16/30)。此外,取41例标本提取DNA,用PCR-SSCP-银染法检测p53基因突变情况,结果阳性率为53.7%(22/41),接近肺癌组织的阳性率[2]。
3 讨论
, 百拇医药
早期诊断和早期治疗是延长肺癌患者生存期、改善患者预后的关键。由于肺癌患者多无特异的临床表现,一些相关的临床症状和体征出现也较晚,故肺癌的早期临床诊断是困难的。目前临床上常规开展的介入性检查如经纤维支气管镜肺活组织检查、经皮肺穿刺活检和手术标本的检查等是肺癌诊断的主要方法,但这些操作多为创伤性的。因此,探讨方法简便、患者痛苦小而检测阳性率高的肺癌诊断新途径,是肺癌诊疗中迫切需要解决的问题。
Strauss等[3]认为,痰标本检查十分有利于肺癌的早期诊断。因为支气管肺癌的始发部位为支气管粘膜上皮,而癌变后自原位癌到晚期各阶段肿瘤表面的癌细胞都可脱落,脱落的癌细胞可随呼吸道的粘液分泌物在纤毛运动作用下排出体外。因此,加强对痰液中脱落上皮细胞的检查应该是肺癌诊断最简便可行的途径。在早期肺癌(如原位癌和早期浸润癌),癌细胞间联结尚松散,表层细胞易于脱落,若及时检查痰标本更易检测到癌细胞及其它肿瘤标记物的存在,从而为肺癌早期诊断提供依据。
, 百拇医药 但是,痰标本检测肺癌的阳性率受很多因素影响,国内外报道一般在30%~60%左右[4,6],使人认为常规痰细胞学检查用于肺癌的诊断并不敏感。影响因素是多方面的,如:①痰标本中含肺癌细胞较少,一般在2%左右[5]。②受痰盒限制患者留取的痰标本量小,从而受检的痰标本量也小,痰标本中较少量的瘤细胞有可能未被检测到。③患者必须在留痰后数小时内送检,以便瘤细胞尽量保持形态完整,易于辨认。④痰标本中有时混有较多杂质,影响瘤细胞的辨认。⑤检查人员要有较丰富的识别肺癌细胞的经验。要克服以上不足,首先应增加患者留痰量,而这往往需要患者多次留痰。为了保证已留部分不因待检时间过长变质,就应采用某种保存液加以保存。我们的实验结果表明,我们所用的固定液以一定浓度的乙醇和聚乙二醇等混合使用,对肺癌细胞的保存效果较好,癌细胞形态完整,甚至也完全满足对细胞形态完整要求较严格的流式细胞术检查所需。
痰细胞解粘处理是痰检前一重要步骤。不经解粘处理者,癌细胞可被痰液中大量的粘蛋白粘连在一起呈团块状,不易被检测到。另外,不经解粘,痰液中其它杂质成分不易去除,瘤细胞也无法经离心和PBS液清洗而富集。但应注意,解粘剂应仅对粘蛋白间的二硫键起断键作用,而对瘤细胞本身无损伤。我们的实验结果表明,理想的解粘剂不仅对细胞形态无影响,对肿瘤细胞的DNA成分及癌蛋白表达产物如p53和p21蛋白也无影响。
, 百拇医药
本实验的对比研究表明,改良S法较常规涂片法能明显提高肺癌细胞的检出率,且癌细胞形态完整,含杂质少,易于辨认。同时改良S法较常规法更易于判断肺癌细胞的病理类型。因此经改良S法收集、保存和处理的痰标本更有利于痰查癌细胞的检查,改良S法具有较明显的优越性。众所周知,痰细胞学检查具有一定的偶然性,而我们用改良S法检测痰标本中肺癌细胞的结果表明,痰细胞检查的阳性率与肺癌的类型、TNM分期和肿瘤组织病理类型等均有密切关系,与有关文献结果一致[6],也表明了改良S法痰细胞学检查的敏感性提高,而偶然性减少了。
如上所述,由于痰检肺癌细胞不可避免地受到多种因素影响,单靠胞浆或胞核的形态有时无法确定是否为癌细胞,细胞的组织病理类型就更难诊断[7]。因此,近年来人们又试图避开具体的细胞形态而以痰液中肿瘤的某一标记物来识别它,并已在肺癌标记物方面做了大量工作,筛选出了许多与肺癌相关的标记物,有些已被证明对肺癌的诊断、治疗方案选择和预后判断有一定价值[8,9]。但要保证较高的阳性率和结果的可靠性,痰标本的前期处理仍然是十分必要的。我们的实验资料表明,经改良S法处理的痰标本用流式细胞术检测p53和p21蛋白表达及用PCR-SSCP方法检测p53基因突变的结果令人满意,表明该改良S法处理的痰标本也适合于分子生物学检查,由此为肺癌的早期甚至癌前病变期的诊断提供一种新方法。
, 百拇医药
下一步要进行的工作包括对改良S法保存的痰标本在储存了1、2、3、4……个月后分别进行有关检测,总结出该方法保存痰标本令人满意的最长时间。另外,还应进一步扩大对有关肿瘤标记物的检测,掌握其较准确的应用范围,为将来实际应用于临床提供指导。
本研究受卫生部科学研究基金(96-2-015)资助
参考文献
1,Saccomanno G, Sauders RP, Ellis H, et al. Concentration of carcinoma or atypical cells in sputum. Acta Cytol,1963,7(2)∶305-310.
2,Badner SM, Minna JD, Jensen SM, et al. Expression of mutant p53 proteins in lung cancer correlates with the class of p53 gene mutation. Oncogene,1992,7(5)∶743-749.
, http://www.100md.com
3,Strauss GM, Skarin AT. Use of tumor markers in lung cancer. Hematol Oncol Clin North Am, 1994,8(3)∶507-532.
4,Nasiell M. Diagnosis of lung cancer by aspiration biopsy and a comparison between this method and exfoliative cytology. Acta Cytol,1967,11(1)∶114-117.
5,Risse EKJ, Hof MA, Vooijs GP. Relationship between the cellular composition of sputum and the cytologic diagnosis of lung cancer. Acta Cytol,1987,31(1)∶170-176.
, http://www.100md.com
6,Risse EKJ, Hof MA, Vooijs GP. Relationship between patient characteristics and the sputum cytologic diagnosis of lung cancer. Acta Cytol,1987,31(1)∶159-165.
7,Mitchell ML, King DE, Bonfiglio TA, et al. Pulmonary fine needle aspiration cytopathology. A five-year correlation study. Acta Cytol,1984,28(1)∶72-77.
8,魏素菊,胡振杰.肿瘤标记物在肺癌诊治中的应用进展.国外医学呼吸系统分册,1999,19(1)∶49-51.
9,高振强,高志萍.肺癌分子生物学研究进展.国外医学呼吸系统分册,1996,16(2)∶92-99.
(收稿:1999-10-21,修回:2000-03-21), http://www.100md.com