芳香化酶mRNA在肺癌组织中表达的初步研究
作者:周向东 蔡文琴
单位:
周向东 蔡文琴(400038 重庆,第三军医大学组织胚胎学教研室)
关键词:肺肿瘤;芳香化酶P450;表达
中国肺癌杂志000408 【摘要】 目的 探讨芳香化酶P450 mRNA在肺癌组织中的表达及其定位分布情况。方法 以芳香化酶cRNA作探针,采用原位杂交检测23例肺癌及其相对应的癌旁组织和7例肺良性疾病及其相应正常肺组织中芳香化酶mRNA的表达。结果 11例肺鳞癌、6例腺癌和2例腺鳞癌芳香化酶mRNA表达均为阳性,而3例小细胞肺癌和1例肺泡细胞癌均为弱阳性。阳性信号主要位于癌细胞的胞浆和胞核内,肿瘤的间质细胞和血管内皮细胞也有少量表达。而癌旁组织、肺良性疾病及其相应的正常肺组织中芳香化酶mRNA表达均为阴性。结论 芳香化酶mRNA在肺癌组织中的表达较广泛,它可能在肺癌的发生发展中起着重要的作用。
, 百拇医药
【中图分类号】 R734.2
Preliminary study on the expression of aromatase P450 mRNA in human lung cancer tissues
ZHOU Xiangdong CAI Wenqin
(Department of Histology and Embryology, The Third Military Medical University, Chongqing 400038, P.R.China)
【Abstract】 Objective To evaluate the expression, location and distribution of aromatase P450 mRNA in human lung cancer. Methods Using aromatase P450 cRNA as probe, the expression of aromatase mRNA were tested in 23 patients with primary lung cancer and 7 patients with pulmonary benign diseases by in situ hybridization. Results Positive expression of aromatase mRNA was found in 11 cases with squamous cell carcinoma, 6 cases with adenocarcinoma and 2 cases with adenosquamous carcinoma. 3 cases with small cell lung cancer and 1 case with bronchioloalveolar carcinoma were all weak positive. Positive signals were mainly found in cytoplasm and nuclei of tumor cells, and a small quantity of positive expression of aromatase mRNA was found in stromal cells and vascular endothelium cells of the tumor. But no expression of aromatase mRNA was found in the noncancerous tissues and tissues of benign pulmonary lesions. Conclusion The results suggest that the expression of aromatase mRNA are general in lung cancer tissues, and it might play an important role in the oncogenesis and development of lung cancer.
, http://www.100md.com
【Key words】 Pulmonary neoplasms Aromatase P450 Expression
芳香化酶是细胞色素P450超家族中的成员,它作为催化雄激素向雌激素转化的限速酶,在雌激素依赖性肿瘤如乳腺癌、子宫癌等的发生发展中起着重要的作用[1-2]。近年来发现雌激素可促进小鼠肺肿瘤的发生和发展,并可促进体外培养的肺癌细胞生长,而且国内外研究均已证实肺癌组织中也存在雌激素受体。但芳香化酶在肺癌组织中有无表达国内外尚未见有关报道。因此,本研究采用原位杂交检测肺癌及其相应的癌旁组织中芳香化酶mRNA的表达,旨在探讨芳香化酶mRNA在肺癌组织中的定位、分布、表达情况及其临床意义,结果报告如下。
1 材料与方法
1.1 研究对象 23例原发性肺癌及其相应癌旁组织,7例肺良性疾病及其相应正常肺组织均取自第三军医大学附属西南医院胸外科1998年3月~1999年3月间肺切除标本,均经临床及病理证实。癌旁组织和正常肺组织系取自同一患者距病灶5 cm以上,且经大体及光镜检查无异常。①肺癌组:共23例,男16例,女7例,中位年龄51岁(36~74岁);鳞癌11例,腺癌6例,小细胞癌3例,腺鳞癌2例,肺泡细胞癌1例;按照 1998年UICC肺癌TNM标准进行分期,ⅠA+ⅠB期7例,ⅡA+ⅡB期5例,ⅢA期6例,ⅢB期5例。②肺良性疾病组:共7例,男5例,女2例,年龄32~66岁;肺结核3例,炎性假瘤3例,肺曲霉菌病1例;其中5例术前被误诊为肺癌。标本取材后立即置于固定液(4%多聚甲醛+3%苦味酸)中,4℃保存待用。
, http://www.100md.com
1.2 探针及主要试剂 含有人芳香化酶cDNA片段的重组质粒pBluescriptⅡKS由美国洛杉矶贝克曼研究所周度金教授惠赠。pBluescriptⅡKS质粒带有T3启动子。SphⅠ酶切使质粒线性化,地高辛RNA标记试剂盒合成cRNA探针,探针长度为1.2kb。上述试剂盒和限制性内切酶以及蛋白酶K、RNA酶均为Boehringer Mannheim公司生产。
1.3 原位杂交 参照蔡文琴等[3]的方法加以改进。组织标本经30%蔗糖脱水24小时,冰冻切片机切片,厚度15μm。主要步骤:①0.1mol/LPBS (pH7.2,0.1%DEPC)漂洗5分钟×3次;②0.3%Triton-100/0.1mol/LPBS (pH7.2,0.1% DEPC)漂洗25分钟;③蛋白酶K(2μg/ml)37℃消化30分钟;④4%多聚甲醛固定5分钟;⑤0.1mol/L PBS(0.1% DEPC)漂洗5分钟×2次;⑥1.33%三乙醇胺+0.25%乙酸酐/0.1mol/L Tris-HCl(pH8.0)漂洗10分钟;⑦2×SSC(0.1%DEPC)漂洗10分钟;⑧杂交:将芳香化酶cRNA探针加入杂交液(5×SSC,5×Denhardt,0.5%SDS,变性鲑鱼精DNA100μg/ml,50%甲酰胺,10%硫酸葡聚糖)中,每张切片加杂交液10~20μl,43℃杂交16~20小时;⑨倾去杂交液,4×SSC漂洗15分钟;⑩2×SSC(加入RNA酶20μg/ml)漂洗30分钟(37℃),1×SSC、0.5×SSC各漂洗10分钟,0.05mol/LPBS漂洗10分钟×2次,每张切片滴加1∶1000抗地高辛抗体30~50μl,37℃孵育3小时。0.05mol/LPBS漂洗10分钟×3次,TSM1、TSM2各漂洗10分钟×2次。NBT/BCIP1∶200(用TSM2稀释)显色1~3小时。0.05mol/LPBS漂洗终止反应。酒精脱水,二甲苯透明,DPX封片。阳性对照:采用手术切除的芳香化酶mRNA表达阳性的乳腺癌标本作为阳性对照;阴性对照:各组均设空白对照切片,未加探针,其余步骤与实验切片完全相同。
, 百拇医药
1.4. 结果判定 阳性细胞为浅蓝~蓝紫色,着色可定位于胞浆、胞核或胞浆胞核同时着色。根据阳性细胞数的多少分为:阴性(-):镜下未见阳性细胞;弱阳性(±):阳性细胞数<15%;阳性(+):阳性细胞数≥15%。
2 结果
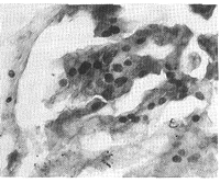
11例鳞癌、6例腺癌和2例腺鳞癌芳香化酶mRNA表达均为阳性,3例小细胞肺癌和1例肺泡细胞癌均为弱阳性。阳性信号主要分布于癌细胞的胞浆和胞核内(图1、2),肿瘤的间质细胞和血管内皮细胞也有少量表达(图3)。而作为对照的癌旁组织、肺良性疾病及其相应的正常肺组织均为阴性(图4)。
图1 肺腺癌芳香化酶mRNA阳性表达细胞(原位杂交×200)
Fig 1 Positive stained cells of aromatase mRNA in adenocarcinoma (in situ hybridizition, ISH×200)
, http://www.100md.com
图2 肺鳞癌芳香化酶mRNA阳性表达细胞(原位杂交×200)
Fig 2 Positive stained cells of aromatase mRNA in squamous cell carcinoma (in situ hybridization, ISH×200)
图3 肺鳞癌血管内皮细胞和肺间质细胞芳香化酶mRNA阳性表达(原位杂交×200)
Fig 3 Positive stain of vascular endothelium cells and stromal cells of aromatase mRNA in squamous cell carcinoma (in situ hybridization, ISH×200)
, 百拇医药
图4 肺鳞癌与癌旁组织交界区域芳香化酶mRNA表达情况。癌细胞呈阳性表达,癌旁组织为阴性(原位杂交×200)
Fig 4 It showed that there were positive stains in squamous cell carcinoma and negative stains in noncancerous tissues (in situ hybridizition, ISH×200)
3 讨论
众所周知,雌激素与其作用的靶器官如子宫、乳腺等组织的肿瘤发生和发展密切相关。雌激素对这些组织的影响与肿瘤组织中存在相应的雌激素受体有关。目前国内外研究均已证实肺癌组织中存在雌激素受体[4~6]。动物实验发现,乙烯雌酚可促进小白鼠肺肿瘤的发生和发展[7];体外实验证实,雌激素可促进乳腺癌、胃癌、肝癌、结肠癌和肺癌等多种癌细胞的生长。而芳香化酶作为催化雄激素转变为雌激素的最后一步限速酶,在雌激素的合成中发挥着非常重要的作用。
, 百拇医药
在人类的胚胎期,芳香化酶通过催化雄激素转化为雌激素,从而对性别的分化、中枢神经系统的生长发育和内分泌起着重要的调节作用。在胚胎期的各个组织脏器均可检测到该酶的表达,尤以胎盘、脑和肝的活性较高,而出生后该酶活性迅速降低。在成年期,芳香化酶表达主要见于绝经前期妇女的卵巢、绝经后女性和男性的脂肪、肌肉组织以及皮肤[8]。
国外研究已证实,芳香化酶在雌激素依赖性肿瘤如乳腺癌、子宫内膜癌的发生发展中起着重要作用[1~2]。细胞培养和芳香化酶活性测定的研究进一步证实了乳腺癌组织局部表达的芳香化酶能促进雌激素的合成并使乳腺癌组织局部雌激素的浓度升高,从而促进癌细胞本身的生长[1]。
国内外研究均已证实,肺癌组织中也存在雌激素受体。但到目前为止,尚未见关于芳香化酶与肺癌关系的研究报道。本研究采用原位杂交检测23例原发性肺癌芳香化酶mRNA的表达,结果均为阳性或弱阳性,而作为对照的7例肺良性疾病及其相应的正常肺组织和23例癌旁组织均为阴性。这一结果提示芳香化酶的表达可能在肺癌的发生和发展中起着重要的作用。
, 百拇医药
本研究结果显示,芳香化酶表达主要定位在肺癌细胞内,肿瘤的间质细胞和肿瘤的血管内皮细胞也有少量表达,这与国外报道的乳腺癌芳香化酶表达部位基本一致(乳腺癌的癌细胞和间质细胞)[1]。从分级判定结果来看,6例肺腺癌、11例鳞癌和2例腺鳞癌芳香化酶mRNA表达均为阳性,而3例小细胞肺癌和1例肺泡细胞癌均为弱阳性,提示芳香化酶的表达量可能与肺癌的类型有关,这与国内外报告的雌激素受体的表达以非小细胞肺癌为主基本一致[5,6]。
由于目前国内外尚未见芳香化酶与肺癌关系的研究报道,而我们的研究也刚刚起步,因此,芳香化酶在肺癌发生和发展中的作用、肺癌组织中表达的芳香化酶是否具有促进雌激素合成的作用,以及芳香化酶抑制剂治疗肺癌是否具有临床价值等问题均不清楚,有待进行深入研究。
参考文献
1,Lu Q, Naakmuraa J, Savinov A, et al. Expression of aromatase protein and messenger ribonucleic acid in tumor epithelial cells and evidence of functional significance of locally produced estrogen in human breast cancers.Endocrinology,1996,137(7)∶3061-3068.
, http://www.100md.com
2,Bulun SE, Economos K, Miller D, et al. CYP19(aromatase cytochrome P450) gene expression in human malignant endometrial tumors. J Clin Endocrinol Metab,1994,79(6)∶1831-1834.
3,蔡文琴,王伯云主编.实用免疫细胞化学与核酸分子杂交技术.第1版.成都:四川科学技术出版社,1994.401-429.
4,Canven CC, Meoli VA,Vanderveer PL, et al. Sex hormone receptors in non small cell lung cancer in human beings. J thorac Cardiovasc Surg,1994,108(1)∶153-158.
, http://www.100md.com 5,陈兵,王洪均,张骏,等.39例肺癌组织雌激素及孕激素受体的研究.临床肿瘤学杂志,1997,2(1)∶28-30.
6,Kaiser U, Hofmann J, Schilli M, et al. Steroid hormone receptors in cell lines and tumor biopsies of human lung cancer. Int J Cancer,1996,29,67(3)∶357-364.
7,蒋义国,陈家坤,吴中亮,等.乙烯雌酚对乌拉坦诱发小鼠肺肿瘤的促进作用. 癌变,畸变,突变,1998,10(2)∶72-75.
8,Lephart ED. A review of brain aromatase cytochrome P450. Brain Research Reviews,1996,22(1)∶1-26.
(收稿:1999-12-30,修回:2000-06-22), 百拇医药
单位:
周向东 蔡文琴(400038 重庆,第三军医大学组织胚胎学教研室)
关键词:肺肿瘤;芳香化酶P450;表达
中国肺癌杂志000408 【摘要】 目的 探讨芳香化酶P450 mRNA在肺癌组织中的表达及其定位分布情况。方法 以芳香化酶cRNA作探针,采用原位杂交检测23例肺癌及其相对应的癌旁组织和7例肺良性疾病及其相应正常肺组织中芳香化酶mRNA的表达。结果 11例肺鳞癌、6例腺癌和2例腺鳞癌芳香化酶mRNA表达均为阳性,而3例小细胞肺癌和1例肺泡细胞癌均为弱阳性。阳性信号主要位于癌细胞的胞浆和胞核内,肿瘤的间质细胞和血管内皮细胞也有少量表达。而癌旁组织、肺良性疾病及其相应的正常肺组织中芳香化酶mRNA表达均为阴性。结论 芳香化酶mRNA在肺癌组织中的表达较广泛,它可能在肺癌的发生发展中起着重要的作用。
, 百拇医药
【中图分类号】 R734.2
Preliminary study on the expression of aromatase P450 mRNA in human lung cancer tissues
ZHOU Xiangdong CAI Wenqin
(Department of Histology and Embryology, The Third Military Medical University, Chongqing 400038, P.R.China)
【Abstract】 Objective To evaluate the expression, location and distribution of aromatase P450 mRNA in human lung cancer. Methods Using aromatase P450 cRNA as probe, the expression of aromatase mRNA were tested in 23 patients with primary lung cancer and 7 patients with pulmonary benign diseases by in situ hybridization. Results Positive expression of aromatase mRNA was found in 11 cases with squamous cell carcinoma, 6 cases with adenocarcinoma and 2 cases with adenosquamous carcinoma. 3 cases with small cell lung cancer and 1 case with bronchioloalveolar carcinoma were all weak positive. Positive signals were mainly found in cytoplasm and nuclei of tumor cells, and a small quantity of positive expression of aromatase mRNA was found in stromal cells and vascular endothelium cells of the tumor. But no expression of aromatase mRNA was found in the noncancerous tissues and tissues of benign pulmonary lesions. Conclusion The results suggest that the expression of aromatase mRNA are general in lung cancer tissues, and it might play an important role in the oncogenesis and development of lung cancer.
, http://www.100md.com
【Key words】 Pulmonary neoplasms Aromatase P450 Expression
芳香化酶是细胞色素P450超家族中的成员,它作为催化雄激素向雌激素转化的限速酶,在雌激素依赖性肿瘤如乳腺癌、子宫癌等的发生发展中起着重要的作用[1-2]。近年来发现雌激素可促进小鼠肺肿瘤的发生和发展,并可促进体外培养的肺癌细胞生长,而且国内外研究均已证实肺癌组织中也存在雌激素受体。但芳香化酶在肺癌组织中有无表达国内外尚未见有关报道。因此,本研究采用原位杂交检测肺癌及其相应的癌旁组织中芳香化酶mRNA的表达,旨在探讨芳香化酶mRNA在肺癌组织中的定位、分布、表达情况及其临床意义,结果报告如下。
1 材料与方法
1.1 研究对象 23例原发性肺癌及其相应癌旁组织,7例肺良性疾病及其相应正常肺组织均取自第三军医大学附属西南医院胸外科1998年3月~1999年3月间肺切除标本,均经临床及病理证实。癌旁组织和正常肺组织系取自同一患者距病灶5 cm以上,且经大体及光镜检查无异常。①肺癌组:共23例,男16例,女7例,中位年龄51岁(36~74岁);鳞癌11例,腺癌6例,小细胞癌3例,腺鳞癌2例,肺泡细胞癌1例;按照 1998年UICC肺癌TNM标准进行分期,ⅠA+ⅠB期7例,ⅡA+ⅡB期5例,ⅢA期6例,ⅢB期5例。②肺良性疾病组:共7例,男5例,女2例,年龄32~66岁;肺结核3例,炎性假瘤3例,肺曲霉菌病1例;其中5例术前被误诊为肺癌。标本取材后立即置于固定液(4%多聚甲醛+3%苦味酸)中,4℃保存待用。
, http://www.100md.com
1.2 探针及主要试剂 含有人芳香化酶cDNA片段的重组质粒pBluescriptⅡKS由美国洛杉矶贝克曼研究所周度金教授惠赠。pBluescriptⅡKS质粒带有T3启动子。SphⅠ酶切使质粒线性化,地高辛RNA标记试剂盒合成cRNA探针,探针长度为1.2kb。上述试剂盒和限制性内切酶以及蛋白酶K、RNA酶均为Boehringer Mannheim公司生产。
1.3 原位杂交 参照蔡文琴等[3]的方法加以改进。组织标本经30%蔗糖脱水24小时,冰冻切片机切片,厚度15μm。主要步骤:①0.1mol/LPBS (pH7.2,0.1%DEPC)漂洗5分钟×3次;②0.3%Triton-100/0.1mol/LPBS (pH7.2,0.1% DEPC)漂洗25分钟;③蛋白酶K(2μg/ml)37℃消化30分钟;④4%多聚甲醛固定5分钟;⑤0.1mol/L PBS(0.1% DEPC)漂洗5分钟×2次;⑥1.33%三乙醇胺+0.25%乙酸酐/0.1mol/L Tris-HCl(pH8.0)漂洗10分钟;⑦2×SSC(0.1%DEPC)漂洗10分钟;⑧杂交:将芳香化酶cRNA探针加入杂交液(5×SSC,5×Denhardt,0.5%SDS,变性鲑鱼精DNA100μg/ml,50%甲酰胺,10%硫酸葡聚糖)中,每张切片加杂交液10~20μl,43℃杂交16~20小时;⑨倾去杂交液,4×SSC漂洗15分钟;⑩2×SSC(加入RNA酶20μg/ml)漂洗30分钟(37℃),1×SSC、0.5×SSC各漂洗10分钟,0.05mol/LPBS漂洗10分钟×2次,每张切片滴加1∶1000抗地高辛抗体30~50μl,37℃孵育3小时。0.05mol/LPBS漂洗10分钟×3次,TSM1、TSM2各漂洗10分钟×2次。NBT/BCIP1∶200(用TSM2稀释)显色1~3小时。0.05mol/LPBS漂洗终止反应。酒精脱水,二甲苯透明,DPX封片。阳性对照:采用手术切除的芳香化酶mRNA表达阳性的乳腺癌标本作为阳性对照;阴性对照:各组均设空白对照切片,未加探针,其余步骤与实验切片完全相同。
, 百拇医药
1.4. 结果判定 阳性细胞为浅蓝~蓝紫色,着色可定位于胞浆、胞核或胞浆胞核同时着色。根据阳性细胞数的多少分为:阴性(-):镜下未见阳性细胞;弱阳性(±):阳性细胞数<15%;阳性(+):阳性细胞数≥15%。
2 结果
11例鳞癌、6例腺癌和2例腺鳞癌芳香化酶mRNA表达均为阳性,3例小细胞肺癌和1例肺泡细胞癌均为弱阳性。阳性信号主要分布于癌细胞的胞浆和胞核内(图1、2),肿瘤的间质细胞和血管内皮细胞也有少量表达(图3)。而作为对照的癌旁组织、肺良性疾病及其相应的正常肺组织均为阴性(图4)。
图1 肺腺癌芳香化酶mRNA阳性表达细胞(原位杂交×200)
Fig 1 Positive stained cells of aromatase mRNA in adenocarcinoma (in situ hybridizition, ISH×200)
, http://www.100md.com
图2 肺鳞癌芳香化酶mRNA阳性表达细胞(原位杂交×200)
Fig 2 Positive stained cells of aromatase mRNA in squamous cell carcinoma (in situ hybridization, ISH×200)
图3 肺鳞癌血管内皮细胞和肺间质细胞芳香化酶mRNA阳性表达(原位杂交×200)
Fig 3 Positive stain of vascular endothelium cells and stromal cells of aromatase mRNA in squamous cell carcinoma (in situ hybridization, ISH×200)
, 百拇医药
图4 肺鳞癌与癌旁组织交界区域芳香化酶mRNA表达情况。癌细胞呈阳性表达,癌旁组织为阴性(原位杂交×200)
Fig 4 It showed that there were positive stains in squamous cell carcinoma and negative stains in noncancerous tissues (in situ hybridizition, ISH×200)
3 讨论
众所周知,雌激素与其作用的靶器官如子宫、乳腺等组织的肿瘤发生和发展密切相关。雌激素对这些组织的影响与肿瘤组织中存在相应的雌激素受体有关。目前国内外研究均已证实肺癌组织中存在雌激素受体[4~6]。动物实验发现,乙烯雌酚可促进小白鼠肺肿瘤的发生和发展[7];体外实验证实,雌激素可促进乳腺癌、胃癌、肝癌、结肠癌和肺癌等多种癌细胞的生长。而芳香化酶作为催化雄激素转变为雌激素的最后一步限速酶,在雌激素的合成中发挥着非常重要的作用。
, 百拇医药
在人类的胚胎期,芳香化酶通过催化雄激素转化为雌激素,从而对性别的分化、中枢神经系统的生长发育和内分泌起着重要的调节作用。在胚胎期的各个组织脏器均可检测到该酶的表达,尤以胎盘、脑和肝的活性较高,而出生后该酶活性迅速降低。在成年期,芳香化酶表达主要见于绝经前期妇女的卵巢、绝经后女性和男性的脂肪、肌肉组织以及皮肤[8]。
国外研究已证实,芳香化酶在雌激素依赖性肿瘤如乳腺癌、子宫内膜癌的发生发展中起着重要作用[1~2]。细胞培养和芳香化酶活性测定的研究进一步证实了乳腺癌组织局部表达的芳香化酶能促进雌激素的合成并使乳腺癌组织局部雌激素的浓度升高,从而促进癌细胞本身的生长[1]。
国内外研究均已证实,肺癌组织中也存在雌激素受体。但到目前为止,尚未见关于芳香化酶与肺癌关系的研究报道。本研究采用原位杂交检测23例原发性肺癌芳香化酶mRNA的表达,结果均为阳性或弱阳性,而作为对照的7例肺良性疾病及其相应的正常肺组织和23例癌旁组织均为阴性。这一结果提示芳香化酶的表达可能在肺癌的发生和发展中起着重要的作用。
, 百拇医药
本研究结果显示,芳香化酶表达主要定位在肺癌细胞内,肿瘤的间质细胞和肿瘤的血管内皮细胞也有少量表达,这与国外报道的乳腺癌芳香化酶表达部位基本一致(乳腺癌的癌细胞和间质细胞)[1]。从分级判定结果来看,6例肺腺癌、11例鳞癌和2例腺鳞癌芳香化酶mRNA表达均为阳性,而3例小细胞肺癌和1例肺泡细胞癌均为弱阳性,提示芳香化酶的表达量可能与肺癌的类型有关,这与国内外报告的雌激素受体的表达以非小细胞肺癌为主基本一致[5,6]。
由于目前国内外尚未见芳香化酶与肺癌关系的研究报道,而我们的研究也刚刚起步,因此,芳香化酶在肺癌发生和发展中的作用、肺癌组织中表达的芳香化酶是否具有促进雌激素合成的作用,以及芳香化酶抑制剂治疗肺癌是否具有临床价值等问题均不清楚,有待进行深入研究。
参考文献
1,Lu Q, Naakmuraa J, Savinov A, et al. Expression of aromatase protein and messenger ribonucleic acid in tumor epithelial cells and evidence of functional significance of locally produced estrogen in human breast cancers.Endocrinology,1996,137(7)∶3061-3068.
, http://www.100md.com
2,Bulun SE, Economos K, Miller D, et al. CYP19(aromatase cytochrome P450) gene expression in human malignant endometrial tumors. J Clin Endocrinol Metab,1994,79(6)∶1831-1834.
3,蔡文琴,王伯云主编.实用免疫细胞化学与核酸分子杂交技术.第1版.成都:四川科学技术出版社,1994.401-429.
4,Canven CC, Meoli VA,Vanderveer PL, et al. Sex hormone receptors in non small cell lung cancer in human beings. J thorac Cardiovasc Surg,1994,108(1)∶153-158.
, http://www.100md.com 5,陈兵,王洪均,张骏,等.39例肺癌组织雌激素及孕激素受体的研究.临床肿瘤学杂志,1997,2(1)∶28-30.
6,Kaiser U, Hofmann J, Schilli M, et al. Steroid hormone receptors in cell lines and tumor biopsies of human lung cancer. Int J Cancer,1996,29,67(3)∶357-364.
7,蒋义国,陈家坤,吴中亮,等.乙烯雌酚对乌拉坦诱发小鼠肺肿瘤的促进作用. 癌变,畸变,突变,1998,10(2)∶72-75.
8,Lephart ED. A review of brain aromatase cytochrome P450. Brain Research Reviews,1996,22(1)∶1-26.
(收稿:1999-12-30,修回:2000-06-22), 百拇医药