经皮肺肿瘤局部置管术
作者:王波 骆建军 陈达伟 郭康荣 缪建良
单位:王波 骆建军 陈达伟 郭康荣 缪建良(310013 杭州,解放军117医院呼吸内科)
关键词:
中国肺癌杂志000416
【中图分类号】 R734.2
在过去的50年里,虽然新的更有效的抗癌药物不断应用于临床[1,2],肺癌的化疗效果并没有得到大的提高,主要原因之一是抗癌药物毒副作用较大,限制了其临床上持续高浓度应用。如何使抗癌药物在肿瘤细胞周围形成持久而有效的高浓度,最大限度地杀灭肿瘤细胞,且又不增加毒副作用,是肿瘤化疗的发展方向。我科试用肺肿瘤局部置管术并予局部治疗2例晚期肺癌,获得初步成功,为进一步局部化疗和局部基因治疗奠定基础。
, 百拇医药
1 资料与方法
1.1 一般资料 2例晚期肺癌患者均为男性住院病例,年龄分别为57岁和62岁,病理证实为中分化鳞癌,临床分期为T3N2M1。
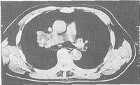
1.2 方法 CT导向仪为岛津SCT—4800TE全身CT扫描,带超薄层1mm及HRCT扫描。定位器为自制栅网格定位器(用废导管制成,每2根间距1cm)。选用特制穿刺套针进行穿刺。在病变相应皮肤表面放置栅网格定位器,选择有肿瘤中心层的CT扫描层为进针层面,并利用CT机上的激光十字定位灯标出进针点,测出进针深度及角度。常规消毒局部皮肤、铺巾、局麻。穿刺时嘱患者平静呼吸,进针达相应深度后再作CT扫描,反复调整进针方向,以明确针尖已在肺肿瘤中心。取出针芯,送入内径为0.1cm、长度为50cm的特制导管至肿瘤中心部位,然后缓慢退出套针。将导管留于肿瘤组织中,另一端固定于皮肤上,注入少量泛影葡胺后再次CT扫描,以确定导管在肿瘤组织中(图1)。10min后作胸部 X线透视,确定无气胸后将患者送回病房,进行局部微泵持续化疗。
, 百拇医药
图1 肿瘤置管术后注入泛影葡胺
Fig 1 Inject meglucamine diatrizoate after implanting tube in lung cancer
化疗方案选用MVP方案,其中丝裂霉素(MMC)和长春新碱(VCR)的剂量为常规用量的1/2,即MMC 1mg/d,VCR 0.5mg/d,用生理盐水稀释后经微泵局部给药,每天持续6~8小时,共4天,第1天同时用顺铂(DDP)60~80mg静脉滴注。
2 结果
2例患者均成功完成经皮肺肿瘤局部置管术,无并发症,患者无特殊不适,一例患者在局部用药过程中出现一过性呛咳。肺部留置导管均保留了5天。患者经化疗后肺部肿瘤明显缩小(图2)。
, 百拇医药
图2 局部化疗术后43天,瘤体明显缩小
Fig 2 The tumor shrank apparently 43 days after regional infusion chemotherapy
3 讨论
化疗药物的疗效与其血药浓度及(或)用药持续时间成正比,而化疗药物的毒副作用限制了药物大剂量、长疗程地持续应用,不仅明显降低患者的生活质量,而且使现有的化疗方案不得不在两个疗程之间停息一段时间,以便让患者有一段恢复的时期。但此时的肿瘤细胞也会得到一个恢复的机会,肿瘤的耐药细胞亦会不断增多。最佳的治疗方案是在高浓度、长疗程持续治疗下,最大限度地杀灭肿瘤细胞的同时,尽可能降低或避免药物的毒副作用。局部用药是达到这一目标的主要手段,但由于肺脏是一个疏松而含气的脏器,局部用药一直是一大难题。我们通过CT导引下经皮肺肿瘤局部置管微泵化疗方法,基本达到了这一目的。2例患者经局部灌注化疗后,肿瘤体积均显著缩小。
, 百拇医药
由于局部给药是通过药物由高浓度向低浓度扩散,遍及整个肿瘤组织,局部微泵给药的速度与穿刺时的操作、导管进入瘤体的深度和肿瘤体积大小成正比,过快的注入速度会超过药物在肿瘤体内的扩散速度,药物会沿导管返流至肺组织,引起患者呛咳。因此,穿刺置管时应尽可能将导管置于瘤体的深部,以免局部用药时药物沿导管反流至正常肺组织。
经皮肺肿瘤局部置管术使肿瘤局部化疗和基因治疗成为可能。但如何选择更适合局部化疗的抗癌药物以及确定更合理的给药浓度、给药速度和给药时间,如何把局部持续化疗与局部放疗有机地结合起来,尚有待于进一步探讨。
参 考 文 献
1,Reed JG, Rubin SA, Schnadig VJ. Interventional procedures used for diagnosing and treating lung cancer. J Thorac Imaging,1991,7(1)∶48-56.
2,张天泽,徐光炜主编.肿瘤学.上册.天津:科学技术出版社,1996.567-591.
(收稿:2000-02-24 修回:2000-05-09), 百拇医药
单位:王波 骆建军 陈达伟 郭康荣 缪建良(310013 杭州,解放军117医院呼吸内科)
关键词:
中国肺癌杂志000416
【中图分类号】 R734.2
在过去的50年里,虽然新的更有效的抗癌药物不断应用于临床[1,2],肺癌的化疗效果并没有得到大的提高,主要原因之一是抗癌药物毒副作用较大,限制了其临床上持续高浓度应用。如何使抗癌药物在肿瘤细胞周围形成持久而有效的高浓度,最大限度地杀灭肿瘤细胞,且又不增加毒副作用,是肿瘤化疗的发展方向。我科试用肺肿瘤局部置管术并予局部治疗2例晚期肺癌,获得初步成功,为进一步局部化疗和局部基因治疗奠定基础。
, 百拇医药
1 资料与方法
1.1 一般资料 2例晚期肺癌患者均为男性住院病例,年龄分别为57岁和62岁,病理证实为中分化鳞癌,临床分期为T3N2M1。
1.2 方法 CT导向仪为岛津SCT—4800TE全身CT扫描,带超薄层1mm及HRCT扫描。定位器为自制栅网格定位器(用废导管制成,每2根间距1cm)。选用特制穿刺套针进行穿刺。在病变相应皮肤表面放置栅网格定位器,选择有肿瘤中心层的CT扫描层为进针层面,并利用CT机上的激光十字定位灯标出进针点,测出进针深度及角度。常规消毒局部皮肤、铺巾、局麻。穿刺时嘱患者平静呼吸,进针达相应深度后再作CT扫描,反复调整进针方向,以明确针尖已在肺肿瘤中心。取出针芯,送入内径为0.1cm、长度为50cm的特制导管至肿瘤中心部位,然后缓慢退出套针。将导管留于肿瘤组织中,另一端固定于皮肤上,注入少量泛影葡胺后再次CT扫描,以确定导管在肿瘤组织中(图1)。10min后作胸部 X线透视,确定无气胸后将患者送回病房,进行局部微泵持续化疗。
, 百拇医药
图1 肿瘤置管术后注入泛影葡胺
Fig 1 Inject meglucamine diatrizoate after implanting tube in lung cancer
化疗方案选用MVP方案,其中丝裂霉素(MMC)和长春新碱(VCR)的剂量为常规用量的1/2,即MMC 1mg/d,VCR 0.5mg/d,用生理盐水稀释后经微泵局部给药,每天持续6~8小时,共4天,第1天同时用顺铂(DDP)60~80mg静脉滴注。
2 结果
2例患者均成功完成经皮肺肿瘤局部置管术,无并发症,患者无特殊不适,一例患者在局部用药过程中出现一过性呛咳。肺部留置导管均保留了5天。患者经化疗后肺部肿瘤明显缩小(图2)。
, 百拇医药
图2 局部化疗术后43天,瘤体明显缩小
Fig 2 The tumor shrank apparently 43 days after regional infusion chemotherapy
3 讨论
化疗药物的疗效与其血药浓度及(或)用药持续时间成正比,而化疗药物的毒副作用限制了药物大剂量、长疗程地持续应用,不仅明显降低患者的生活质量,而且使现有的化疗方案不得不在两个疗程之间停息一段时间,以便让患者有一段恢复的时期。但此时的肿瘤细胞也会得到一个恢复的机会,肿瘤的耐药细胞亦会不断增多。最佳的治疗方案是在高浓度、长疗程持续治疗下,最大限度地杀灭肿瘤细胞的同时,尽可能降低或避免药物的毒副作用。局部用药是达到这一目标的主要手段,但由于肺脏是一个疏松而含气的脏器,局部用药一直是一大难题。我们通过CT导引下经皮肺肿瘤局部置管微泵化疗方法,基本达到了这一目的。2例患者经局部灌注化疗后,肿瘤体积均显著缩小。
, 百拇医药
由于局部给药是通过药物由高浓度向低浓度扩散,遍及整个肿瘤组织,局部微泵给药的速度与穿刺时的操作、导管进入瘤体的深度和肿瘤体积大小成正比,过快的注入速度会超过药物在肿瘤体内的扩散速度,药物会沿导管返流至肺组织,引起患者呛咳。因此,穿刺置管时应尽可能将导管置于瘤体的深部,以免局部用药时药物沿导管反流至正常肺组织。
经皮肺肿瘤局部置管术使肿瘤局部化疗和基因治疗成为可能。但如何选择更适合局部化疗的抗癌药物以及确定更合理的给药浓度、给药速度和给药时间,如何把局部持续化疗与局部放疗有机地结合起来,尚有待于进一步探讨。
参 考 文 献
1,Reed JG, Rubin SA, Schnadig VJ. Interventional procedures used for diagnosing and treating lung cancer. J Thorac Imaging,1991,7(1)∶48-56.
2,张天泽,徐光炜主编.肿瘤学.上册.天津:科学技术出版社,1996.567-591.
(收稿:2000-02-24 修回:2000-05-09), 百拇医药