IL-4和紫杉醇对Lewis肺癌细胞增殖的影响
作者:胡雪峰 刘铭球 喻伦银 陈德基 江曼 刘晓翌 夏东 张正彬
单位:胡雪峰 刘铭球 喻伦银 陈德基 江曼 刘晓翌 夏东 张正彬(430071 武汉,湖北医科大学病理学教研室)
关键词:肺肿瘤;IL-4;紫杉醇;DNA含量;核仁组成区
中国肺癌杂志000405
【摘要】 目的 探讨IL-4、紫杉醇对Lewis肺癌细胞增殖的影响。方法 将Lewis肺癌细胞(1.25×106个/鼠)接种于C57BL/6小鼠皮下。将40只小鼠随机分为Ⅰ、Ⅱ、Ⅲ、Ⅳ组,接种后第5天起分别给予生理盐水、IL-4、紫杉醇和IL-4+紫杉醇。第18天处死动物。利用图像分析仪对肿瘤细胞核形态、DNA含量及AgNORs 计数进行测量。结果 Ⅱ组核面积为(24.202±5.012)?μm2,周长(18.625±4.180)?μm,平均直径(2.642±0.291)?μm,积分光密度3.412±0.910,AgNORs计数5.313±0.820,各项参数数值均显著小于Ⅰ组(P<0.05);Ⅲ组核面积为(18.373±4.833)?μm2,周长(16.522±2.518)?μm,平均直径(2.401±0.288)?μm,积分光密度3.096±0.771,AgNORs计数2.670±0.401,均显著小于Ⅰ组(P<0.01);Ⅳ组核面积为(16.664±4.671)?μm2,周长(15.901±2.700)?μm,平均直径(2.283±0.308)?μm,积分光密度2.707±0.807,AgNORs计数1.552±0.316,均显著小于Ⅰ组(P<0.01)。各用药组间各参数差异亦具有显著性(P<0.05)。结论 IL-4和紫杉醇对Lewis肺癌细胞的增殖均有抑制作用,紫杉醇疗效较IL-4好,而两者联用疗效更好。
, 百拇医药
【中图分类号】 R734.2
Effects of IL-4 and taxol on cellular proliferation of Lewis lung cancer
HU Xuefeng LIU Mingqiu YU Lunyin CHEN Deji JIANG Man LIU Xiaoyi XIA Dong ZHANG Zhengbing
(Department of Pathology, Hubei Medical University, Wuhan, Hubei 430071, P.R.China)
【Abstract】 Objective To investigate the effects of IL-4 and taxol on cellular proliferation of Lewis lung cancer (LLC). Methods LLC cells (1.25×106/mouse) were inoculated subcutaneously to 40 mice, which were randomized into 4 groups and given responsive treatment consecutively in 5 days after inoculation. For group Ⅰ natrii chloride was injected, for group Ⅱ IL-4 at 50?ng/d for 7 days, for group Ⅲ taxol at 10?mg/(kg*d) for 10 days, and for group Ⅳ IL-4 and taxol were injected altogether at 50?ng/d for 7 days and 5mg/(kg*d) for 10 days respectively. On the 18th day, all the mice were killed. Nuclear morphometry, DNA contents and AgNORs were detected by image analysis. Results Nuclear area, perimeter, mean diameter, DNA contents, and AgNORs counting in group Ⅱ were 24.202±5.012?μm2, 18.626±4.180?μm, 2.642±0.291?μm, 3.412±0.910, and 5.313±0.820 respectively, which were significantly less than those in group Ⅰ (P<0.05); the parameters in group Ⅲ were 18.373±4.833?μm2, 16.522±2.518?μm, 2.401±0.288?μm, 3.096±0.771, and 2.670±0.401 respectively, which were much less than those in group Ⅰ (P<0.01); the parameters in group Ⅳ were 16.664±4.761?μm2, 15.901±2.700?μm, 2.283±0.308?μm, 2.707±0.807, and 1.552±0.316 respectively, which were remarkably less than those in group Ⅰ (P<0.01). Significant differences of the parameters were observed among group Ⅱ and Ⅲ and Ⅳ (P<0.05). Conclusion Both IL-4 and taxol can remarkably inhibit the proliferation of LLC. The effect of combined treatment is most significant, and the effect of taxol is higher than that of IL-4.
, 百拇医药
【Key words】 Lung neoplasms IL-4 Taxol DNA contents Nucleolar organizer region
IL-4是机体免疫应答过程中的重要调控因子,可促进细胞毒T细胞分化、促进巨噬细胞的趋化及杀伤作用,对肿瘤的生长也有显著的抑制作用[1]。紫杉醇是一种从太平洋紫杉属短叶紫杉茎皮中提取的抗肿瘤药物,它属于细胞周期G2/M期阻滞剂,并能诱导肿瘤细胞凋亡[2]。体内外实验证明它对卵巢癌、乳腺癌、子宫内膜癌、肺癌、淋巴瘤、白血病及头颈部肿瘤均有较好的疗效[3、4]。本研究使用IL-4、紫杉醇单用及联用治疗Lewis肺癌,观察肿瘤细胞核形态、DNA含量及AgNORs计数的改变。
1 材料与方法
1.1 实验材料
, 百拇医药
1.1.1 实验动物 C57BL/6小鼠40只,雌雄各半,体重为18~22g,购自中国医学科学院医学实验动物研究所。
1.1.2 Lewis肺癌可移植性瘤株 自中国医学科学院药物研究所药理室购荷瘤C57BL/6小鼠,经体内传代保种。
1.1.3 L929传代细胞系 购自武汉大学典型培养物保藏中心。
1.1.4 鼠重组IL-4 购自英国Peprotech公司。
1.1.5 紫杉醇注射液 中国医学科学院药物研究所方起程老师惠赠,浓度为6mg/ml,批号970110。
1.1.6 Feulgen 染液 ①无色品红液;②0.5%偏重亚硫酸钠水溶液;③0.2%亮绿水溶液;④1N盐酸水溶液。
, 百拇医药
1.1.7 AgNO3染液 ①甲液:2%明胶;②乙液:50%AgNO3;③工作液(临用配制):甲液∶乙液为1∶2。
1.1.8 图像分析仪 TJTY-300型,同济太阳电子公司产品。
1.2 实验方法 在C57BL/6小鼠的右腋皮下接种Lewis肺癌细胞,接种量为1.25×106个活细胞,接种后将动物随机分为4组,每组10只,雌雄各半,并编号,第5天开始给药。
Ⅰ组为对照组:由Ⅰa 5只、Ⅰb 5只作两种条件对照。Ⅰa每日每只肿瘤局部皮下注射生理盐水0.2ml,连用10天。Ⅰb每日每只腹腔注射生理盐水0.2ml,连用10天。
Ⅱ组为IL-4组:每日每只瘤周注射IL-450ng,连用7天[5]。
, http://www.100md.com
Ⅲ组为紫杉醇组:每日每只腹腔注射紫杉醇10mg/kg,连用10天[6]。
Ⅳ组为IL-4、紫杉醇合用组:每日每只腹腔注射紫杉醇5mg/kg,连用10天,瘤周注射IL-4 50ng,连用7天。
接种肿瘤后第18天处死动物。分离皮下肿瘤结节,取局部肿瘤行甲醛固定,常规透明、浸蜡、包埋、切片,Feulgen染色、嗜银染色。
1.3 数据收集 将Feulgen染色切片在高倍镜(10×40)下观察细胞核,选择无重叠者为测试对象,由图像分析仪测肿瘤细胞核的面积、周长、平均直径、形状因子、积分光密度等参数。每张切片测100个肿瘤细胞核[7],结果经微机处理,得出每组各参数的平均值±标准差,然后组间比较,得出P值。
将嗜银染色切片在油镜(10×100)下随机观察2个视野,由图像分析仪测平均每个视野胞核的数目、颗粒的数目,单个颗粒的面积、周长、平均直径、形状因子、数密度、面密度、AgNORs计数等参数。其中形状因子、数密度、面密度、AgNORs计数按以下公式计算:
, 百拇医药
形状因子=周长2/4π×面积
数密度=AgNORs颗粒数/视野面积
(每个视野面积由微机得出为3694.18μm2)
面密度=AgNORs颗粒数×颗粒面积/视野面积
AgNORs计数=AgNORs颗粒数/胞核数
结果经微机处理,得出每组各参数的平均值±标准差,组间比较,得出P值。
用SAS统计包进行方差分析,再进行student's-T-Test。
2 结果
2.1. 小鼠存活情况 Ⅰa、Ⅰb两种条件对照组各参数经统计学处理,其差异无显著性(P>0.05)。Ⅲ组于接种后第7、8天各有一只动物死亡。Ⅳ组中紫杉醇剂量减半,虽与IL-4联用,却无动物死亡。
, 百拇医药
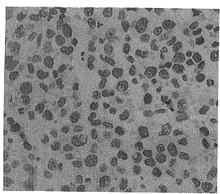
2.2 Lewis肺癌细胞形态测量和DNA含量测定 经Feulgen染色的组织切片,核呈深红色,胞浆不着色。Ⅰ组核大,多呈空泡状,染色质聚集成块,核分布紧密,核浆比例大(图1)。用药组核缩小,染色质均匀分布,核间隙增宽,核浆比例缩小(图2)。从Ⅰ组至Ⅳ组,核面积、周长、平均直径、积分光密度均依次减小,而形状因子均依次增大(表1)。上述参数各用药组与对照组比较:Ⅱ与Ⅰ比,差异有显著性(P<0.05);Ⅲ、Ⅳ与Ⅰ比,差异有显著性(P<0.01)。各用药组之间比较:Ⅲ、Ⅳ与Ⅱ比,差异有高度显著性(P<0.01);Ⅳ与Ⅲ比,差异有显著性(P<0.05)。这说明,用药后肿瘤细胞体积缩小,生长受抑制,核DNA含量(积分光密度值)降低,肿瘤细胞核增殖能力减弱。其中联合用药效果最好,其次为单用紫杉醇组。
图1. 组Ⅰ肿瘤结节组织切片,核大,分布紧密,多呈空泡状,异型性大 Feulgen染色 ×466
, 百拇医药
Fig 1 Histological section of tumor for group Ⅰ (The nucleus became big and dense in distribution, most cases with vaculization and obvious atypia. Feulgen staining ×466)
图2. 组Ⅲ肿瘤结节组织切片,核明显缩小,色深,核间隙增宽 Feulgen染色 ×466
Fig 2 Histological section of tumor for group Ⅱ (The nucleus minified obviously and became dark in color with increased nuclear gap. Feulgen staining ×466)
, http://www.100md.com
表1 不同组间核形态参数和DNA含量(
±s)
Tab 1 Nuclear morphometric parameters and DNA contents of different groups (
±s) Parameters
Group Ⅰ
Group Ⅱ
Group Ⅲ
Group Ⅳ
Area(μm2)
, http://www.100md.com
37.037±7.027
24.202±5.012
18.373±4.833
16.664±4.671
Perimeter(μm)
22.762±4.312
18.625±4.180
16.522±2.518
15.901±2.700
Mean diameter(μm)
3.136±0.351
, 百拇医药
2.642±0.291
2.401±0.288
2.283±0.308
Form factor
1.113±0.065
1.141±0.075
1.186±0.081
1.207±0.084
Integral optical density
4.294±0.992
3.412±0.910
, 百拇医药
3.096±0.771
2.707±0.807
2.3 AgNORs颗粒计数测定 组织切片行银染,细胞核呈淡黄色,AgNORs呈棕褐色颗粒状。光镜下,Ⅰ组AgNORs颗粒多为弥散型,少见单一型和混合型。从第Ⅱ组至Ⅳ组,混合型和单一型逐渐增多,第Ⅳ组主要 表现为单一型(图3、4、5)。从第Ⅰ组至第Ⅳ组,胞核的数目,颗粒的面积、周长、平均直径均依次增大,而其它各参数均依次减小(表2)。以上参数各用药组与对照组比较:Ⅱ与Ⅰ比,差异有显著性(P<0.05);Ⅲ、Ⅳ与Ⅰ比,差异有显著性(P<0.01)。各用药组之间比较:Ⅲ、Ⅳ与Ⅱ比,差异有显著性(P<0.01);Ⅳ与Ⅲ比,差异有显著性(P<0.05)。这说明,从Ⅰ组至Ⅳ组,平均每个视野胞核的数目增多,胞核的体积就相对缩小,肿瘤细胞生长受到抑制,而AgNORs颗粒的体积逐渐增大,AgNORs计数逐渐减小。同样联合用药效果最好,单用紫杉醇组较好。
, 百拇医药
图3 .Ⅰ组肿瘤结节组织切片,AgNORs颗粒多而小,多为弥散型 银染 ×1165
Fig 3 Histological section of tumor for group Ⅰ (The AgNORs granule increased in amount but minified, and appeared diffused-type in most cases. Silver staining ×1165)
图4 .Ⅲ组肿瘤结节组织切片,AgNORs颗粒少而大,弥散型 银染 ×1165
Fig 4 Histological section of tumor for group Ⅲ (The AgNORs granule decreased in amount but magnified, and appeared mixed-type in most cases. Silver staining ×1165)
, 百拇医药
图5 .Ⅳ组肿瘤结节组织切片,AgNORs颗粒少而大,多为单一型,少为混合型 银染 ×1165
Fig 5 Histological section of tumor for group Ⅳ (The AgNORs granule decreased in amount but magnified. The simple-type was predominant than mixed-type. Silver staining ×1165)
表2 不同组间AgNORs颗粒测定(
±s)
Tab 2 The detection of AgNORs in different groups(
±s) Parameters
, http://www.100md.com
Group Ⅰ
Group Ⅱ
Group Ⅲ
Group Ⅳ
X1
5.500±1.195
6.700±2.214
7.200±2.486
8.763±2.997
X2
41.993±6.960
, http://www.100md.com
35.597±4.880
19.224±3.858
13.600±2.169
X3(μm2)
0.675±0.112
0.744±0.118
1.130±0.252
1.767±0.371
X4(μm)
3.119±0.378
3.236±0.390
, 百拇医药
3.813±0.501
4.674±0.751
X5(μm)
0.437±0.026
0.501±0.030
0.581±0.031
0.665±0.034
X6
1.147±0.152
1.120±0.035
1.024±0.059
, 百拇医药
0.984±0.066
Z(×10-3)
7.673±2.506
7.170±2.365
5.880±1.613
6.505±2.112
Y(×10-3)
11.370±2.076
9.363±2.007
5.204±1.683
3.681±1.136
, http://www.100md.com
P
7.635±1.160
5.313±0.820
2.670±0.401
1.552±0.316
注:X1:平均每个视野胞核的数目;X2:平均每个视野颗粒的数目;X3:颗粒的面积;X4:颗粒的周长;X5:颗粒的平均直径;X6:颗粒的形状因子;Z:颗粒的数密度;Y:颗粒的面密度;P:AgNORs计数。其中X6=X42/4π.X3 Z=X2.X3/3694.18 Y=X2/3694.18 P=X2/X1。
, 百拇医药
X1:number of nuclear in a view;X2:number of granule in a view;X3:area of granule;X4:perimeter of granule;X5:mean diameter of granule;X6:form factor of granule,equal X42/4π*X3;Z:number density of granule,equal X2*X3/3694.18;Y:area density of granule,equal X2/3694.18;P:AgNORs count,equal X2/X1.
2.4 核DNA含量与AgNORs计数的关系 表1、2显示,从Ⅰ组至Ⅳ组,DNA含量(积分光密度值)依次减少,AgNORs计数亦依次减小。DNA含量高的组别,其AgNORs计数亦高,反之亦然。经统计学处理,两者呈直线正相关,r为0.9611,P<0.01。
, http://www.100md.com
3 讨论
图像分析仪能够客观、准确、直接地获得数据,随着计算机图像分析技术的发展和普及,采用图像分析仪检测细胞的形态及组织细胞化学成份的含量,特别是DNA含量的工作越来越多。药物对肿瘤的疗效在组织切片中主要反映在细胞核上,因此我们选定了细胞核的形态参数作为实验的指标。细胞核形态参数的均值反映了细胞核的大小,DNA含量则反映了肿瘤细胞的增殖特点。本实验观察了使用IL-4、紫杉醇后肿瘤细胞核形态、DNA含量5个参数的改变。结果显示各用药组与对照组参数值比较,差异均有显著性。各用药组之间比较,差异亦均有显著性,因此肿瘤细胞核形态测量和DNA含量测定是判断肿瘤细胞增殖的一个重要指标。
AgNORs是嗜银的酸性非组蛋白,也是rDNA转录的调节蛋白,AgNORs的量主要与NORs内rDNA转录的活动水平,细胞所处的不同分裂周期以及携带NORs染色体的数量有关[8]。因此AgNORs的数量可反映细胞增殖、分化及癌变过程中细胞内蛋白合成及代谢活动变化,AgNORs计数对良恶性肿瘤的鉴别已有大量的报道[9]。本实验从Ⅰ组至Ⅳ组,AgNORs计数依次减少,各组间差异均有显著性。但本实验亦对AgNORs颗粒的大小进行了测量,从Ⅰ组至Ⅳ组,反映颗粒大小的几个参数如面积、周长、平均直径均依次增大,且各组间差异有显著性,而且对照组AgNORs颗粒以弥散型为主,使用抑癌药后AgNORs颗粒单一型和混合型增多,疗效越好,单一型越多。由此可见,AgNORs颗粒的大小与分型对于判断肿瘤的疗效、预后可能具有重要参考价值,这一发现在文献中尚未见报道。
, 百拇医药
细胞核形态参数反映了细胞核的大小,DNA含量和AgNORs计数均反映了肿瘤细胞增殖特点,它们分别从静态和动态功能方面对Lewis肺癌的生长与分化提供信息,本实验显示它们之间有良好的相关性,肿瘤细胞核越大,DNA含量越高,AgNORs计数越多,将三者结合起来分析Lewis肺癌的增殖情况,可以弥补常规病理形态学检查的不足,具有较大的实用价值。
本课题受湖北省自然科学基金(94J080)与湖北省科委重点科研课题(962P1106)资助
参考文献
1,Paul WE. Interleukin-4: a prototypic immunoregulatory lymphokine. Blood,1991,77(9)∶1859-1870.
2,陈丽荣,郑树,Willingham MC,等.紫杉醇诱导的人乳癌细胞凋亡相关表达基因的克隆研究.中国医学科学院学报,1997,19(3)∶197-203.
, 百拇医药
3,Slichcnmcyer WJ, VonHoff DD. Taxol: a new and effective anti-cancer drug.Anti-cancer Drug,1991,2(2)∶519-524.
4,Riondel J, Jacrot M, Picot F, et al. Therapeutic response to taxol of 6 human tumors xenografted into nude mice. Cancer Chemoth Pharmac,1996,17(1)∶137-142.
5,Gallagher G, Zaloom Y. Peritumoural IL-4 treatment induces systemic inhibition of tumor growth in experimental melanoma. Anticancer Res, 1992,12(3)∶1019-1024.
, http://www.100md.com
6,韩锐,何小庆,刘红岩,等.紫杉醇的抗肿瘤作用,药理及药代动力学研究.全国肿瘤防治学术讨论会论文集.北京:中国科技出版社,1989.3-7.
7,田玉旺,丁华野,吴霞,等.肿瘤细胞DNA图像定量分析.中华病理学杂志,1995,24(4)∶264-265.
8,卿德科,夏亮芳.AgNORs检测在原发性胆囊癌诊断中的价值.癌症,1996,15(2)∶146.
9,徐建江,郑家富,钱松溪,等.睾丸肿瘤核仁组成区嗜银蛋白图像分析.中华泌尿外科杂志,1997,18(5)∶269.
(收稿:1999-10-25, 修回:2000-02-25), 百拇医药
单位:胡雪峰 刘铭球 喻伦银 陈德基 江曼 刘晓翌 夏东 张正彬(430071 武汉,湖北医科大学病理学教研室)
关键词:肺肿瘤;IL-4;紫杉醇;DNA含量;核仁组成区
中国肺癌杂志000405
【摘要】 目的 探讨IL-4、紫杉醇对Lewis肺癌细胞增殖的影响。方法 将Lewis肺癌细胞(1.25×106个/鼠)接种于C57BL/6小鼠皮下。将40只小鼠随机分为Ⅰ、Ⅱ、Ⅲ、Ⅳ组,接种后第5天起分别给予生理盐水、IL-4、紫杉醇和IL-4+紫杉醇。第18天处死动物。利用图像分析仪对肿瘤细胞核形态、DNA含量及AgNORs 计数进行测量。结果 Ⅱ组核面积为(24.202±5.012)?μm2,周长(18.625±4.180)?μm,平均直径(2.642±0.291)?μm,积分光密度3.412±0.910,AgNORs计数5.313±0.820,各项参数数值均显著小于Ⅰ组(P<0.05);Ⅲ组核面积为(18.373±4.833)?μm2,周长(16.522±2.518)?μm,平均直径(2.401±0.288)?μm,积分光密度3.096±0.771,AgNORs计数2.670±0.401,均显著小于Ⅰ组(P<0.01);Ⅳ组核面积为(16.664±4.671)?μm2,周长(15.901±2.700)?μm,平均直径(2.283±0.308)?μm,积分光密度2.707±0.807,AgNORs计数1.552±0.316,均显著小于Ⅰ组(P<0.01)。各用药组间各参数差异亦具有显著性(P<0.05)。结论 IL-4和紫杉醇对Lewis肺癌细胞的增殖均有抑制作用,紫杉醇疗效较IL-4好,而两者联用疗效更好。
, 百拇医药
【中图分类号】 R734.2
Effects of IL-4 and taxol on cellular proliferation of Lewis lung cancer
HU Xuefeng LIU Mingqiu YU Lunyin CHEN Deji JIANG Man LIU Xiaoyi XIA Dong ZHANG Zhengbing
(Department of Pathology, Hubei Medical University, Wuhan, Hubei 430071, P.R.China)
【Abstract】 Objective To investigate the effects of IL-4 and taxol on cellular proliferation of Lewis lung cancer (LLC). Methods LLC cells (1.25×106/mouse) were inoculated subcutaneously to 40 mice, which were randomized into 4 groups and given responsive treatment consecutively in 5 days after inoculation. For group Ⅰ natrii chloride was injected, for group Ⅱ IL-4 at 50?ng/d for 7 days, for group Ⅲ taxol at 10?mg/(kg*d) for 10 days, and for group Ⅳ IL-4 and taxol were injected altogether at 50?ng/d for 7 days and 5mg/(kg*d) for 10 days respectively. On the 18th day, all the mice were killed. Nuclear morphometry, DNA contents and AgNORs were detected by image analysis. Results Nuclear area, perimeter, mean diameter, DNA contents, and AgNORs counting in group Ⅱ were 24.202±5.012?μm2, 18.626±4.180?μm, 2.642±0.291?μm, 3.412±0.910, and 5.313±0.820 respectively, which were significantly less than those in group Ⅰ (P<0.05); the parameters in group Ⅲ were 18.373±4.833?μm2, 16.522±2.518?μm, 2.401±0.288?μm, 3.096±0.771, and 2.670±0.401 respectively, which were much less than those in group Ⅰ (P<0.01); the parameters in group Ⅳ were 16.664±4.761?μm2, 15.901±2.700?μm, 2.283±0.308?μm, 2.707±0.807, and 1.552±0.316 respectively, which were remarkably less than those in group Ⅰ (P<0.01). Significant differences of the parameters were observed among group Ⅱ and Ⅲ and Ⅳ (P<0.05). Conclusion Both IL-4 and taxol can remarkably inhibit the proliferation of LLC. The effect of combined treatment is most significant, and the effect of taxol is higher than that of IL-4.
, 百拇医药
【Key words】 Lung neoplasms IL-4 Taxol DNA contents Nucleolar organizer region
IL-4是机体免疫应答过程中的重要调控因子,可促进细胞毒T细胞分化、促进巨噬细胞的趋化及杀伤作用,对肿瘤的生长也有显著的抑制作用[1]。紫杉醇是一种从太平洋紫杉属短叶紫杉茎皮中提取的抗肿瘤药物,它属于细胞周期G2/M期阻滞剂,并能诱导肿瘤细胞凋亡[2]。体内外实验证明它对卵巢癌、乳腺癌、子宫内膜癌、肺癌、淋巴瘤、白血病及头颈部肿瘤均有较好的疗效[3、4]。本研究使用IL-4、紫杉醇单用及联用治疗Lewis肺癌,观察肿瘤细胞核形态、DNA含量及AgNORs计数的改变。
1 材料与方法
1.1 实验材料
, 百拇医药
1.1.1 实验动物 C57BL/6小鼠40只,雌雄各半,体重为18~22g,购自中国医学科学院医学实验动物研究所。
1.1.2 Lewis肺癌可移植性瘤株 自中国医学科学院药物研究所药理室购荷瘤C57BL/6小鼠,经体内传代保种。
1.1.3 L929传代细胞系 购自武汉大学典型培养物保藏中心。
1.1.4 鼠重组IL-4 购自英国Peprotech公司。
1.1.5 紫杉醇注射液 中国医学科学院药物研究所方起程老师惠赠,浓度为6mg/ml,批号970110。
1.1.6 Feulgen 染液 ①无色品红液;②0.5%偏重亚硫酸钠水溶液;③0.2%亮绿水溶液;④1N盐酸水溶液。
, 百拇医药
1.1.7 AgNO3染液 ①甲液:2%明胶;②乙液:50%AgNO3;③工作液(临用配制):甲液∶乙液为1∶2。
1.1.8 图像分析仪 TJTY-300型,同济太阳电子公司产品。
1.2 实验方法 在C57BL/6小鼠的右腋皮下接种Lewis肺癌细胞,接种量为1.25×106个活细胞,接种后将动物随机分为4组,每组10只,雌雄各半,并编号,第5天开始给药。
Ⅰ组为对照组:由Ⅰa 5只、Ⅰb 5只作两种条件对照。Ⅰa每日每只肿瘤局部皮下注射生理盐水0.2ml,连用10天。Ⅰb每日每只腹腔注射生理盐水0.2ml,连用10天。
Ⅱ组为IL-4组:每日每只瘤周注射IL-450ng,连用7天[5]。
, http://www.100md.com
Ⅲ组为紫杉醇组:每日每只腹腔注射紫杉醇10mg/kg,连用10天[6]。
Ⅳ组为IL-4、紫杉醇合用组:每日每只腹腔注射紫杉醇5mg/kg,连用10天,瘤周注射IL-4 50ng,连用7天。
接种肿瘤后第18天处死动物。分离皮下肿瘤结节,取局部肿瘤行甲醛固定,常规透明、浸蜡、包埋、切片,Feulgen染色、嗜银染色。
1.3 数据收集 将Feulgen染色切片在高倍镜(10×40)下观察细胞核,选择无重叠者为测试对象,由图像分析仪测肿瘤细胞核的面积、周长、平均直径、形状因子、积分光密度等参数。每张切片测100个肿瘤细胞核[7],结果经微机处理,得出每组各参数的平均值±标准差,然后组间比较,得出P值。
将嗜银染色切片在油镜(10×100)下随机观察2个视野,由图像分析仪测平均每个视野胞核的数目、颗粒的数目,单个颗粒的面积、周长、平均直径、形状因子、数密度、面密度、AgNORs计数等参数。其中形状因子、数密度、面密度、AgNORs计数按以下公式计算:
, 百拇医药
形状因子=周长2/4π×面积
数密度=AgNORs颗粒数/视野面积
(每个视野面积由微机得出为3694.18μm2)
面密度=AgNORs颗粒数×颗粒面积/视野面积
AgNORs计数=AgNORs颗粒数/胞核数
结果经微机处理,得出每组各参数的平均值±标准差,组间比较,得出P值。
用SAS统计包进行方差分析,再进行student's-T-Test。
2 结果
2.1. 小鼠存活情况 Ⅰa、Ⅰb两种条件对照组各参数经统计学处理,其差异无显著性(P>0.05)。Ⅲ组于接种后第7、8天各有一只动物死亡。Ⅳ组中紫杉醇剂量减半,虽与IL-4联用,却无动物死亡。
, 百拇医药
2.2 Lewis肺癌细胞形态测量和DNA含量测定 经Feulgen染色的组织切片,核呈深红色,胞浆不着色。Ⅰ组核大,多呈空泡状,染色质聚集成块,核分布紧密,核浆比例大(图1)。用药组核缩小,染色质均匀分布,核间隙增宽,核浆比例缩小(图2)。从Ⅰ组至Ⅳ组,核面积、周长、平均直径、积分光密度均依次减小,而形状因子均依次增大(表1)。上述参数各用药组与对照组比较:Ⅱ与Ⅰ比,差异有显著性(P<0.05);Ⅲ、Ⅳ与Ⅰ比,差异有显著性(P<0.01)。各用药组之间比较:Ⅲ、Ⅳ与Ⅱ比,差异有高度显著性(P<0.01);Ⅳ与Ⅲ比,差异有显著性(P<0.05)。这说明,用药后肿瘤细胞体积缩小,生长受抑制,核DNA含量(积分光密度值)降低,肿瘤细胞核增殖能力减弱。其中联合用药效果最好,其次为单用紫杉醇组。
图1. 组Ⅰ肿瘤结节组织切片,核大,分布紧密,多呈空泡状,异型性大 Feulgen染色 ×466
, 百拇医药
Fig 1 Histological section of tumor for group Ⅰ (The nucleus became big and dense in distribution, most cases with vaculization and obvious atypia. Feulgen staining ×466)
图2. 组Ⅲ肿瘤结节组织切片,核明显缩小,色深,核间隙增宽 Feulgen染色 ×466
Fig 2 Histological section of tumor for group Ⅱ (The nucleus minified obviously and became dark in color with increased nuclear gap. Feulgen staining ×466)
, http://www.100md.com
表1 不同组间核形态参数和DNA含量(
Tab 1 Nuclear morphometric parameters and DNA contents of different groups (
Group Ⅰ
Group Ⅱ
Group Ⅲ
Group Ⅳ
Area(μm2)
, http://www.100md.com
37.037±7.027
24.202±5.012
18.373±4.833
16.664±4.671
Perimeter(μm)
22.762±4.312
18.625±4.180
16.522±2.518
15.901±2.700
Mean diameter(μm)
3.136±0.351
, 百拇医药
2.642±0.291
2.401±0.288
2.283±0.308
Form factor
1.113±0.065
1.141±0.075
1.186±0.081
1.207±0.084
Integral optical density
4.294±0.992
3.412±0.910
, 百拇医药
3.096±0.771
2.707±0.807
2.3 AgNORs颗粒计数测定 组织切片行银染,细胞核呈淡黄色,AgNORs呈棕褐色颗粒状。光镜下,Ⅰ组AgNORs颗粒多为弥散型,少见单一型和混合型。从第Ⅱ组至Ⅳ组,混合型和单一型逐渐增多,第Ⅳ组主要 表现为单一型(图3、4、5)。从第Ⅰ组至第Ⅳ组,胞核的数目,颗粒的面积、周长、平均直径均依次增大,而其它各参数均依次减小(表2)。以上参数各用药组与对照组比较:Ⅱ与Ⅰ比,差异有显著性(P<0.05);Ⅲ、Ⅳ与Ⅰ比,差异有显著性(P<0.01)。各用药组之间比较:Ⅲ、Ⅳ与Ⅱ比,差异有显著性(P<0.01);Ⅳ与Ⅲ比,差异有显著性(P<0.05)。这说明,从Ⅰ组至Ⅳ组,平均每个视野胞核的数目增多,胞核的体积就相对缩小,肿瘤细胞生长受到抑制,而AgNORs颗粒的体积逐渐增大,AgNORs计数逐渐减小。同样联合用药效果最好,单用紫杉醇组较好。
, 百拇医药
图3 .Ⅰ组肿瘤结节组织切片,AgNORs颗粒多而小,多为弥散型 银染 ×1165
Fig 3 Histological section of tumor for group Ⅰ (The AgNORs granule increased in amount but minified, and appeared diffused-type in most cases. Silver staining ×1165)
图4 .Ⅲ组肿瘤结节组织切片,AgNORs颗粒少而大,弥散型 银染 ×1165
Fig 4 Histological section of tumor for group Ⅲ (The AgNORs granule decreased in amount but magnified, and appeared mixed-type in most cases. Silver staining ×1165)
, 百拇医药
图5 .Ⅳ组肿瘤结节组织切片,AgNORs颗粒少而大,多为单一型,少为混合型 银染 ×1165
Fig 5 Histological section of tumor for group Ⅳ (The AgNORs granule decreased in amount but magnified. The simple-type was predominant than mixed-type. Silver staining ×1165)
表2 不同组间AgNORs颗粒测定(
Tab 2 The detection of AgNORs in different groups(
, http://www.100md.com
Group Ⅰ
Group Ⅱ
Group Ⅲ
Group Ⅳ
X1
5.500±1.195
6.700±2.214
7.200±2.486
8.763±2.997
X2
41.993±6.960
, http://www.100md.com
35.597±4.880
19.224±3.858
13.600±2.169
X3(μm2)
0.675±0.112
0.744±0.118
1.130±0.252
1.767±0.371
X4(μm)
3.119±0.378
3.236±0.390
, 百拇医药
3.813±0.501
4.674±0.751
X5(μm)
0.437±0.026
0.501±0.030
0.581±0.031
0.665±0.034
X6
1.147±0.152
1.120±0.035
1.024±0.059
, 百拇医药
0.984±0.066
Z(×10-3)
7.673±2.506
7.170±2.365
5.880±1.613
6.505±2.112
Y(×10-3)
11.370±2.076
9.363±2.007
5.204±1.683
3.681±1.136
, http://www.100md.com
P
7.635±1.160
5.313±0.820
2.670±0.401
1.552±0.316
注:X1:平均每个视野胞核的数目;X2:平均每个视野颗粒的数目;X3:颗粒的面积;X4:颗粒的周长;X5:颗粒的平均直径;X6:颗粒的形状因子;Z:颗粒的数密度;Y:颗粒的面密度;P:AgNORs计数。其中X6=X42/4π.X3 Z=X2.X3/3694.18 Y=X2/3694.18 P=X2/X1。
, 百拇医药
X1:number of nuclear in a view;X2:number of granule in a view;X3:area of granule;X4:perimeter of granule;X5:mean diameter of granule;X6:form factor of granule,equal X42/4π*X3;Z:number density of granule,equal X2*X3/3694.18;Y:area density of granule,equal X2/3694.18;P:AgNORs count,equal X2/X1.
2.4 核DNA含量与AgNORs计数的关系 表1、2显示,从Ⅰ组至Ⅳ组,DNA含量(积分光密度值)依次减少,AgNORs计数亦依次减小。DNA含量高的组别,其AgNORs计数亦高,反之亦然。经统计学处理,两者呈直线正相关,r为0.9611,P<0.01。
, http://www.100md.com
3 讨论
图像分析仪能够客观、准确、直接地获得数据,随着计算机图像分析技术的发展和普及,采用图像分析仪检测细胞的形态及组织细胞化学成份的含量,特别是DNA含量的工作越来越多。药物对肿瘤的疗效在组织切片中主要反映在细胞核上,因此我们选定了细胞核的形态参数作为实验的指标。细胞核形态参数的均值反映了细胞核的大小,DNA含量则反映了肿瘤细胞的增殖特点。本实验观察了使用IL-4、紫杉醇后肿瘤细胞核形态、DNA含量5个参数的改变。结果显示各用药组与对照组参数值比较,差异均有显著性。各用药组之间比较,差异亦均有显著性,因此肿瘤细胞核形态测量和DNA含量测定是判断肿瘤细胞增殖的一个重要指标。
AgNORs是嗜银的酸性非组蛋白,也是rDNA转录的调节蛋白,AgNORs的量主要与NORs内rDNA转录的活动水平,细胞所处的不同分裂周期以及携带NORs染色体的数量有关[8]。因此AgNORs的数量可反映细胞增殖、分化及癌变过程中细胞内蛋白合成及代谢活动变化,AgNORs计数对良恶性肿瘤的鉴别已有大量的报道[9]。本实验从Ⅰ组至Ⅳ组,AgNORs计数依次减少,各组间差异均有显著性。但本实验亦对AgNORs颗粒的大小进行了测量,从Ⅰ组至Ⅳ组,反映颗粒大小的几个参数如面积、周长、平均直径均依次增大,且各组间差异有显著性,而且对照组AgNORs颗粒以弥散型为主,使用抑癌药后AgNORs颗粒单一型和混合型增多,疗效越好,单一型越多。由此可见,AgNORs颗粒的大小与分型对于判断肿瘤的疗效、预后可能具有重要参考价值,这一发现在文献中尚未见报道。
, 百拇医药
细胞核形态参数反映了细胞核的大小,DNA含量和AgNORs计数均反映了肿瘤细胞增殖特点,它们分别从静态和动态功能方面对Lewis肺癌的生长与分化提供信息,本实验显示它们之间有良好的相关性,肿瘤细胞核越大,DNA含量越高,AgNORs计数越多,将三者结合起来分析Lewis肺癌的增殖情况,可以弥补常规病理形态学检查的不足,具有较大的实用价值。
本课题受湖北省自然科学基金(94J080)与湖北省科委重点科研课题(962P1106)资助
参考文献
1,Paul WE. Interleukin-4: a prototypic immunoregulatory lymphokine. Blood,1991,77(9)∶1859-1870.
2,陈丽荣,郑树,Willingham MC,等.紫杉醇诱导的人乳癌细胞凋亡相关表达基因的克隆研究.中国医学科学院学报,1997,19(3)∶197-203.
, 百拇医药
3,Slichcnmcyer WJ, VonHoff DD. Taxol: a new and effective anti-cancer drug.Anti-cancer Drug,1991,2(2)∶519-524.
4,Riondel J, Jacrot M, Picot F, et al. Therapeutic response to taxol of 6 human tumors xenografted into nude mice. Cancer Chemoth Pharmac,1996,17(1)∶137-142.
5,Gallagher G, Zaloom Y. Peritumoural IL-4 treatment induces systemic inhibition of tumor growth in experimental melanoma. Anticancer Res, 1992,12(3)∶1019-1024.
, http://www.100md.com
6,韩锐,何小庆,刘红岩,等.紫杉醇的抗肿瘤作用,药理及药代动力学研究.全国肿瘤防治学术讨论会论文集.北京:中国科技出版社,1989.3-7.
7,田玉旺,丁华野,吴霞,等.肿瘤细胞DNA图像定量分析.中华病理学杂志,1995,24(4)∶264-265.
8,卿德科,夏亮芳.AgNORs检测在原发性胆囊癌诊断中的价值.癌症,1996,15(2)∶146.
9,徐建江,郑家富,钱松溪,等.睾丸肿瘤核仁组成区嗜银蛋白图像分析.中华泌尿外科杂志,1997,18(5)∶269.
(收稿:1999-10-25, 修回:2000-02-25), 百拇医药