NO与小鼠病毒性心肌炎心肌损伤的关系
作者:钱素娟 于祖熙 于维汉 万汇娟 Victor.J.Ferrans
单位:钱素娟 于祖熙 于维汉 万汇娟(哈尔滨医科大学 克山病研究所,黑龙江 哈尔滨 150086);Victor.J.Ferrans(美国国立卫生研究院 心、肺、血液研究所病理研究室,美国 20892—1518)
关键词:心肌炎;细胞凋亡;一氧化氮
中国地方病学杂志000503 [摘要] 目的 嗜鼠心肌Coxsackie B3病毒(CVB3m)可诱导BALB/C小鼠病毒性心肌炎(VMC)。探讨自由基一氧化氮(NO)与VMC心肌损伤的关系。方法 给BALB/C小鼠腹腔接种0.1 ml 100 TCD50CVB3m,感染后分批断脊处死小鼠。应用双重荧光染色技术、原位末端标记法(TUNEL)和共聚焦显微镜对小鼠心肌中细胞凋亡、NO相关合成酶(NOS1、NOS2和NOS3)及其降解产物(Nitrotyrosine)和肌钙蛋白(Troponin I,TnI)的表达进行检测。结果 TUNEL法检测发现,感染后7~15 d,小鼠心肌中可见明显的心肌细胞及炎细胞凋亡,20 d后逐渐减少。感染鼠心肌中Nitrotyrosine和NOS2蛋白表达同时期增加,阳性细胞分布区域与脱失TnI的细胞分布区域基本一致,表达量的动态改变与炎性损伤程度一致。双重荧光染色显示,部分NOS2阳性炎细胞及心肌细胞同时可见凋亡标记。NOS1、NOS3的表达在感染前、后各时间点无明显差异。结论 在CVB3m诱发的小鼠心肌炎实验中,由NOS2诱导产生的NO可直接参与细胞凋亡及心肌细胞变性、坏死的调节。
, 百拇医药
[中图分类号] R542.2+1; Q254 [文献标识码] A [文章编号]1000-4955(2000)05-327-03
NO plays an important role in cardiac damage in experimental viral myocarditis of mice
QIAN Su-juan,YU Zu-xi,YU Wei-han,et al
(Keshan Disease Institute of Harbin Medical University,Harbin 150086,China)
Abstract:Objective This study is to explore the Nitric Oxide involved in the cardiac damages of mice myocaditis induced by CVB3m.Methods BALB/C mice were inoculated with 0.1ml 100 TCD50CVB3m and batch sacrificed later.Immunohistochemical observations,including TUNEL labeling,single and dual fluorescent labeling techniques,were performed on mice hearts,and the results were detected by a confocal laser scanning microscope.Results The myocarditis was detected from all CVB3m-infected mice and was most severe at 7~12 days.Apoptosis also increased markedly in inflammatory cells and myocytes at 9~15 days after infection.Immunoreactivities for NOS2 and Nitrotyrosine increased considerably in myocardium after infection,and decreased gradually after 20 days,as inflammation subsided.The distribution of these two signals in myocytes were similar to those seen in the lost of TnI.Double staining for NOS2 and apoptosis were observed in some inflammatory cells and myocytes.Conclusions Our data suggest that in experimental viral myocarditis in mice,NO,which was induced by NOS2,take a part in the development of myocarditis by the regulation of apoptosis and the damage of myocardium.
, 百拇医药
Key words: Myocarditis; Apoptosis; NO
一氧化氮(NO)是一种难溶于水、具有高脂溶性的带有不配对电子的气体自由基(NO·),在免疫防御和杀伤、抑制微生物方面发挥重要作用。生物体内的NO是由L-精氨酸内胍基氮原子经氧化而产生,催化这一反应的酶为NO合酶(NOS)。根据NOS的基因。在细胞内分布和对钙的依赖性不同,NOS可分为3类,即诱导型NOS(NOS2)和两类构成型NOS(NOS1和NOS3)。目前认为,在机体许多病理状态下,可通过NOS2诱导产生过多的NO而参与疾病的发生与发展[1,2]。本实验用嗜鼠心肌Coxsackie B3病毒(CVB3m)诱导BALB/C小鼠病毒性心肌炎(VMC),通过对心肌中NOS1、NOS2、NOS3及NO降解产物Nitrotyrosine[3]和肌钙蛋白(TnI,一种心肌损伤标识蛋白)[4]的表达进行检测,探讨NO在小鼠VMC发生、发展过程中的作用。
, http://www.100md.com
1 材料与方法
1.1 VMC动物模型的建立 给纯系5周龄雄性BALB/C小鼠腹腔接种0.1 ml 100 TCD50CVB3m;对照组小鼠接种0.1 ml RPMI 1640,接种后分批断脊处死小鼠。取心脏标本,经常规石蜡包埋、切片后,进行相关检测。
1.2 TUNEL法检测细胞凋亡[5] 生物素标记的TUNEL法检测细胞凋亡试剂盒由Oncor公司提供,操作方法见参考文献5。
1.3 荧光染色 荧光标记的TUNEL法检测细胞凋亡试剂盒由Intergen公司生产。兔抗NOS1、NOS2和NOS3多克隆抗体由Santa Cruz Biotechnology公司生产,兔抗Nitrotyrosine多克隆抗体由Upstate公司生产。第二抗体为FITC(绿色荧光)标记的羊抗兔及马抗鼠IgG和Texas red(红色荧光)标记的羊抗兔IgG,核染为含4,6-二氨基-2-苯基吲哚(DAPI,蓝色荧光)的Vectashield,均由Vector公司生产。
, http://www.100md.com
1.3.1 单荧光染色 石蜡切片常规脱蜡、水化,与5%羊正常封闭血清室温反应30 min。拭去组织上多余液体,加20 μg/ml的第一抗体(NOS1、NOS2和NOS3)于4℃过夜。用0.01 mol/L PBS,pH 7.4清洗(5 min,3次),再与10 μg/ml FITC标记的羊抗兔第二抗体室温反应2 h,最后用含DAPI的Vectashield封片。
1.3.2 Nitrotyrosine与TnI双重荧光染色 石蜡切片脱蜡、水化、微波炉法修复抗原20 min,与5%正常马和羊封闭血清室温反应30 min,再加混合好的20 μg/ml Nitrotyrosine和TnI第一抗体于4℃过夜。PBS清洗后,加混合好的FITC标记的马抗鼠及Texas red标记的羊抗兔第二抗体室温反应2 h,最后用含DAPI的Vectashield封片。
1.3.3 细胞凋亡与NOS2双重荧光染色[5] 先进行NOS2单荧光染色,然后进行apoptosis荧光染色。所有荧光染色标本均应用Leica TCS-4D共聚焦显微镜观察结果。
, http://www.100md.com
2 结果
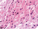
2.1 常规组织形态学检查 小鼠感染CVB3m后7~12 d,心肌炎性损伤程度达到高峰,检出率为100%,可见灶状心肌细胞变性、坏死,肌纤维溶解消失,间质炎细胞浸润(图A);15 d后,出现明显修复改变;30~50 d时,炎性损伤逐渐消失(图B)。对照组小鼠心肌未见炎性病变。
2.2 生物素标记的TUNEL法检测结果 感染鼠心肌中可见心肌细胞及炎细胞凋亡,于感染后7~15 d最明显,20 d后逐渐减少(图C和图D)。
2.3 免疫荧光染色
2.3.1 NOS2与细胞凋亡 对照组小鼠心肌内少数血管壁细胞和心底部心肌细胞可见较弱的NOS2荧光染色。感染CVB3m后3 d,小鼠心外膜下部分心肌细胞有明显的NOS2表达。5~15 d,炎性损伤灶周围的心肌细胞可见较强的NOS2阳性反应,血管内皮、平滑肌细胞及单核、巨噬细胞亦可见较强染色(图E和图F)。20 d后,NOS2表达逐渐减少,至30~50 d时,NOS2表达基本接近正常,凋亡细胞亦明显减少。
, 百拇医药
2.3.2 TnI与Nitrotyrosine双重染色 对照组小鼠心肌细胞内可见均匀一致的TnI绿色荧光,呈带状分布于心肌细胞的I带及闰盘,排列规则,染色清晰,未发现TnI脱失;Nitrotyrosine的表达不明显。
感染CVB3m后3 d,小鼠心外膜下部分心肌细胞TnI脱失;5 d后,TnI脱失的心肌细胞明显增多,至7~15 d时达到高峰,并主要分布于炎性病灶周围;20 d后,脱失TnI的心肌细胞逐渐减少;至50 d时,仍可见心外膜下少数细胞TnI脱失。感染后,心肌内Nitrotyrosine的表达明显增加,动态改变与NOS2相似,且Nitrotyrosine阳性心肌细胞的分布区域与TnI脱失细胞一致(图G和图H)。
对照鼠部分心肌细胞和血管壁细胞可见NOS1、NOS3阳性反应。尽管感染后病灶周围心肌细胞的阳性染色有所增强,但在每个时间点无明显差异。
, 百拇医药
3 讨论
VMC是病毒感染引起的心肌细胞变性、坏死及纤维素渗出的病理过程,CVB是其最常见病原,发病机制还不十分清楚。
本实验应用CVB3m建立稳定的小鼠VMC动物模型,心肌炎性损伤检出率在感染后7~12 d达到100%。通过对细胞凋亡进行检测发现,感染病毒后的各个时段,小鼠心肌中都可见不同程度的细胞凋亡,以感染后7~15 d最明显,提示细胞凋亡是病毒性心肌损伤的机制之一。凋亡是一个瞬间发生的事件(在数分钟至数小时内即可完成),所以能观察到的凋亡细胞很少,但对于缺乏有效再生能力的心肌细胞,反复的细胞凋亡积累必然影响心脏功能。NOS2于感染鼠心肌中亦可见异常表达,主要见于单核、巨噬细胞及病灶周围的心肌细胞。随着病程的进展,NOS2的表达呈现与心肌损伤类似的由增加至逐渐恢复正常的动态改变,提示NO参与急性VMC心肌损伤的发生与发展。应用双重荧光染色检测发现,部分表达NOS2的细胞同时呈现凋亡阳性染色,提示NO直接参与VMC细胞凋亡的调控。虽然在感染小鼠心肌中,NOS1和NOS3的表达有所增加,但在各个时间点无明显差异,表明2类构成型NOS与本实验模型的炎性心肌损伤关系不大。
, http://www.100md.com
为了观察NO与心肌细胞变性、坏死的关系,我们进行了TnI与NO降解产生Nitrotyrosine的双重染色。TnI是肌细胞内一种重要的结构蛋白,与TnT及TnC一起结合于肌动蛋白,在电机械收缩偶联的信号传递过程中起重要作用。因其分子量小,可以从破坏的心肌细胞中漏出后而直接入血,所以目前临床将其作为一些有急性心肌损伤的病人(如心肌梗塞)的早期辅助诊断指标[4]。实验结果显示,感染小鼠部分心肌细胞TnI脱失,分布区域与表达Nitrotyrosine的心肌细胞基本一致。提示NO与TnI的漏出有一定关系。但感染后30~50 d时,Nitrotyrosine基本恢复正常,而TnI仍有明显脱失,这可能是由于病毒感染后,心肌细胞及炎细胞表达NOS2蛋白,诱导NO的产生,在NO的作用下,心肌细胞受损,TnI漏出,损伤重的细胞继续发展为坏死,而多数TnI脱失细胞经过一段时间可以逐渐恢复正常。TnI的脱失必然影响心肌的收缩及舒张,这可能是VMC心脏功能障碍的机制之一。
本实验结果表明,在小鼠急性VMC发生、发展过程中,由NOS2诱导产生的NO可直接造成心肌损伤。其降解产物Nitrotyrosine的表达与TnI脱失的一过性相关关系提示NO可以直接破坏心肌细胞;NOS2蛋白表达增强与细胞凋亡同时存在,证明NO参与VMC细胞凋亡的调控。







, 百拇医药
图示说明
小鼠心肌H&E染色(A和B)及生和素标记的TUNEL检测细胞凋亡(C和D细胞核褐色为凋亡细胞,甲基绿复染)Nomarski相差显微照片和共聚焦显微镜照片显示小鼠心肌组织中细胞调亡与NOS2和(E和F)与Nitrotyro sine(G和H)双重荧光染色结果,细胞核为DAPI(蓝色荧光)复染。放大倍数为650×
A:感染后9d小鼠心外膜下病灶内可见浸润及凋亡的炎细胞和凋小体(箭头)
B:感染后50d,可见细胞核碎裂的心肌细胞(箭头)
C:感染后9d浸润的炎细胞、心细胞及血管壁细胞凋亡
D:感染后50d散在的心肌细胞凋亡(箭头)
E:细胞凋亡(红色荧光)与NOS2(绿色荧光)双重荧光染色显示感染9d小鼠心肌间质内呈双染的炎细胞(箭头)
, 百拇医药
F:感染病毒15d小鼠心肌内双染的心肌细胞(箭头)
G:正常小鼠心肌组织中TnI呈均匀带状分布于I带和闰盘(绿色荧光)Nitrotyrosine(红色荧光)表达不明显
H:感染后7d近病灶部分心肌细胞TnI脱失,但Nitrotyrosine于同区域心肌细胞及血管壁细胞、炎细胞表达增强。
[作者简介]钱素娟(1966-),女,博士后。
[参考文献]
[1] Jorg K,David JG,Troels GJ et al.Attenuated acute cardiac rejection in NOS2-/- recipients correlates with reduced apoptosis[J].Circulation,1999,99:836.
, 百拇医药
[2] Markus F,Heiko K,Bodo C et al.Effects of endotoxin on human myocardial contractility involvement of nitric oxide and peroxynitrite[J].J Am Coll Cardio,1999,33:1062.
[3] Szabolcs M,Michler RE,Yang X,et al.Apoptosis of cardiac myocytes during cardiac allograft rejection-relation to induction of nitric oxide synthase[J].Circulation,1996,94:1665.
[4] Char DM,Israel E,Ladenson J.Early laboratory indicators of acute myocardial infarction[J].Emerg Med Clin North Am,1998,16:519.
[5] 钱素娟,于祖熙,于维汉,等.克山病患者心肌组织细胞凋亡与结构蛋白Desmin异常表达的研究[J].中国地方病学杂志,1999,18(2):81.
[收稿日期]2000-01-16, http://www.100md.com
单位:钱素娟 于祖熙 于维汉 万汇娟(哈尔滨医科大学 克山病研究所,黑龙江 哈尔滨 150086);Victor.J.Ferrans(美国国立卫生研究院 心、肺、血液研究所病理研究室,美国 20892—1518)
关键词:心肌炎;细胞凋亡;一氧化氮
中国地方病学杂志000503 [摘要] 目的 嗜鼠心肌Coxsackie B3病毒(CVB3m)可诱导BALB/C小鼠病毒性心肌炎(VMC)。探讨自由基一氧化氮(NO)与VMC心肌损伤的关系。方法 给BALB/C小鼠腹腔接种0.1 ml 100 TCD50CVB3m,感染后分批断脊处死小鼠。应用双重荧光染色技术、原位末端标记法(TUNEL)和共聚焦显微镜对小鼠心肌中细胞凋亡、NO相关合成酶(NOS1、NOS2和NOS3)及其降解产物(Nitrotyrosine)和肌钙蛋白(Troponin I,TnI)的表达进行检测。结果 TUNEL法检测发现,感染后7~15 d,小鼠心肌中可见明显的心肌细胞及炎细胞凋亡,20 d后逐渐减少。感染鼠心肌中Nitrotyrosine和NOS2蛋白表达同时期增加,阳性细胞分布区域与脱失TnI的细胞分布区域基本一致,表达量的动态改变与炎性损伤程度一致。双重荧光染色显示,部分NOS2阳性炎细胞及心肌细胞同时可见凋亡标记。NOS1、NOS3的表达在感染前、后各时间点无明显差异。结论 在CVB3m诱发的小鼠心肌炎实验中,由NOS2诱导产生的NO可直接参与细胞凋亡及心肌细胞变性、坏死的调节。
, 百拇医药
[中图分类号] R542.2+1; Q254 [文献标识码] A [文章编号]1000-4955(2000)05-327-03
NO plays an important role in cardiac damage in experimental viral myocarditis of mice
QIAN Su-juan,YU Zu-xi,YU Wei-han,et al
(Keshan Disease Institute of Harbin Medical University,Harbin 150086,China)
Abstract:Objective This study is to explore the Nitric Oxide involved in the cardiac damages of mice myocaditis induced by CVB3m.Methods BALB/C mice were inoculated with 0.1ml 100 TCD50CVB3m and batch sacrificed later.Immunohistochemical observations,including TUNEL labeling,single and dual fluorescent labeling techniques,were performed on mice hearts,and the results were detected by a confocal laser scanning microscope.Results The myocarditis was detected from all CVB3m-infected mice and was most severe at 7~12 days.Apoptosis also increased markedly in inflammatory cells and myocytes at 9~15 days after infection.Immunoreactivities for NOS2 and Nitrotyrosine increased considerably in myocardium after infection,and decreased gradually after 20 days,as inflammation subsided.The distribution of these two signals in myocytes were similar to those seen in the lost of TnI.Double staining for NOS2 and apoptosis were observed in some inflammatory cells and myocytes.Conclusions Our data suggest that in experimental viral myocarditis in mice,NO,which was induced by NOS2,take a part in the development of myocarditis by the regulation of apoptosis and the damage of myocardium.
, 百拇医药
Key words: Myocarditis; Apoptosis; NO
一氧化氮(NO)是一种难溶于水、具有高脂溶性的带有不配对电子的气体自由基(NO·),在免疫防御和杀伤、抑制微生物方面发挥重要作用。生物体内的NO是由L-精氨酸内胍基氮原子经氧化而产生,催化这一反应的酶为NO合酶(NOS)。根据NOS的基因。在细胞内分布和对钙的依赖性不同,NOS可分为3类,即诱导型NOS(NOS2)和两类构成型NOS(NOS1和NOS3)。目前认为,在机体许多病理状态下,可通过NOS2诱导产生过多的NO而参与疾病的发生与发展[1,2]。本实验用嗜鼠心肌Coxsackie B3病毒(CVB3m)诱导BALB/C小鼠病毒性心肌炎(VMC),通过对心肌中NOS1、NOS2、NOS3及NO降解产物Nitrotyrosine[3]和肌钙蛋白(TnI,一种心肌损伤标识蛋白)[4]的表达进行检测,探讨NO在小鼠VMC发生、发展过程中的作用。
, http://www.100md.com
1 材料与方法
1.1 VMC动物模型的建立 给纯系5周龄雄性BALB/C小鼠腹腔接种0.1 ml 100 TCD50CVB3m;对照组小鼠接种0.1 ml RPMI 1640,接种后分批断脊处死小鼠。取心脏标本,经常规石蜡包埋、切片后,进行相关检测。
1.2 TUNEL法检测细胞凋亡[5] 生物素标记的TUNEL法检测细胞凋亡试剂盒由Oncor公司提供,操作方法见参考文献5。
1.3 荧光染色 荧光标记的TUNEL法检测细胞凋亡试剂盒由Intergen公司生产。兔抗NOS1、NOS2和NOS3多克隆抗体由Santa Cruz Biotechnology公司生产,兔抗Nitrotyrosine多克隆抗体由Upstate公司生产。第二抗体为FITC(绿色荧光)标记的羊抗兔及马抗鼠IgG和Texas red(红色荧光)标记的羊抗兔IgG,核染为含4,6-二氨基-2-苯基吲哚(DAPI,蓝色荧光)的Vectashield,均由Vector公司生产。
, http://www.100md.com
1.3.1 单荧光染色 石蜡切片常规脱蜡、水化,与5%羊正常封闭血清室温反应30 min。拭去组织上多余液体,加20 μg/ml的第一抗体(NOS1、NOS2和NOS3)于4℃过夜。用0.01 mol/L PBS,pH 7.4清洗(5 min,3次),再与10 μg/ml FITC标记的羊抗兔第二抗体室温反应2 h,最后用含DAPI的Vectashield封片。
1.3.2 Nitrotyrosine与TnI双重荧光染色 石蜡切片脱蜡、水化、微波炉法修复抗原20 min,与5%正常马和羊封闭血清室温反应30 min,再加混合好的20 μg/ml Nitrotyrosine和TnI第一抗体于4℃过夜。PBS清洗后,加混合好的FITC标记的马抗鼠及Texas red标记的羊抗兔第二抗体室温反应2 h,最后用含DAPI的Vectashield封片。
1.3.3 细胞凋亡与NOS2双重荧光染色[5] 先进行NOS2单荧光染色,然后进行apoptosis荧光染色。所有荧光染色标本均应用Leica TCS-4D共聚焦显微镜观察结果。
, http://www.100md.com
2 结果
2.1 常规组织形态学检查 小鼠感染CVB3m后7~12 d,心肌炎性损伤程度达到高峰,检出率为100%,可见灶状心肌细胞变性、坏死,肌纤维溶解消失,间质炎细胞浸润(图A);15 d后,出现明显修复改变;30~50 d时,炎性损伤逐渐消失(图B)。对照组小鼠心肌未见炎性病变。
2.2 生物素标记的TUNEL法检测结果 感染鼠心肌中可见心肌细胞及炎细胞凋亡,于感染后7~15 d最明显,20 d后逐渐减少(图C和图D)。
2.3 免疫荧光染色
2.3.1 NOS2与细胞凋亡 对照组小鼠心肌内少数血管壁细胞和心底部心肌细胞可见较弱的NOS2荧光染色。感染CVB3m后3 d,小鼠心外膜下部分心肌细胞有明显的NOS2表达。5~15 d,炎性损伤灶周围的心肌细胞可见较强的NOS2阳性反应,血管内皮、平滑肌细胞及单核、巨噬细胞亦可见较强染色(图E和图F)。20 d后,NOS2表达逐渐减少,至30~50 d时,NOS2表达基本接近正常,凋亡细胞亦明显减少。
, 百拇医药
2.3.2 TnI与Nitrotyrosine双重染色 对照组小鼠心肌细胞内可见均匀一致的TnI绿色荧光,呈带状分布于心肌细胞的I带及闰盘,排列规则,染色清晰,未发现TnI脱失;Nitrotyrosine的表达不明显。
感染CVB3m后3 d,小鼠心外膜下部分心肌细胞TnI脱失;5 d后,TnI脱失的心肌细胞明显增多,至7~15 d时达到高峰,并主要分布于炎性病灶周围;20 d后,脱失TnI的心肌细胞逐渐减少;至50 d时,仍可见心外膜下少数细胞TnI脱失。感染后,心肌内Nitrotyrosine的表达明显增加,动态改变与NOS2相似,且Nitrotyrosine阳性心肌细胞的分布区域与TnI脱失细胞一致(图G和图H)。
对照鼠部分心肌细胞和血管壁细胞可见NOS1、NOS3阳性反应。尽管感染后病灶周围心肌细胞的阳性染色有所增强,但在每个时间点无明显差异。
, 百拇医药
3 讨论
VMC是病毒感染引起的心肌细胞变性、坏死及纤维素渗出的病理过程,CVB是其最常见病原,发病机制还不十分清楚。
本实验应用CVB3m建立稳定的小鼠VMC动物模型,心肌炎性损伤检出率在感染后7~12 d达到100%。通过对细胞凋亡进行检测发现,感染病毒后的各个时段,小鼠心肌中都可见不同程度的细胞凋亡,以感染后7~15 d最明显,提示细胞凋亡是病毒性心肌损伤的机制之一。凋亡是一个瞬间发生的事件(在数分钟至数小时内即可完成),所以能观察到的凋亡细胞很少,但对于缺乏有效再生能力的心肌细胞,反复的细胞凋亡积累必然影响心脏功能。NOS2于感染鼠心肌中亦可见异常表达,主要见于单核、巨噬细胞及病灶周围的心肌细胞。随着病程的进展,NOS2的表达呈现与心肌损伤类似的由增加至逐渐恢复正常的动态改变,提示NO参与急性VMC心肌损伤的发生与发展。应用双重荧光染色检测发现,部分表达NOS2的细胞同时呈现凋亡阳性染色,提示NO直接参与VMC细胞凋亡的调控。虽然在感染小鼠心肌中,NOS1和NOS3的表达有所增加,但在各个时间点无明显差异,表明2类构成型NOS与本实验模型的炎性心肌损伤关系不大。
, http://www.100md.com
为了观察NO与心肌细胞变性、坏死的关系,我们进行了TnI与NO降解产生Nitrotyrosine的双重染色。TnI是肌细胞内一种重要的结构蛋白,与TnT及TnC一起结合于肌动蛋白,在电机械收缩偶联的信号传递过程中起重要作用。因其分子量小,可以从破坏的心肌细胞中漏出后而直接入血,所以目前临床将其作为一些有急性心肌损伤的病人(如心肌梗塞)的早期辅助诊断指标[4]。实验结果显示,感染小鼠部分心肌细胞TnI脱失,分布区域与表达Nitrotyrosine的心肌细胞基本一致。提示NO与TnI的漏出有一定关系。但感染后30~50 d时,Nitrotyrosine基本恢复正常,而TnI仍有明显脱失,这可能是由于病毒感染后,心肌细胞及炎细胞表达NOS2蛋白,诱导NO的产生,在NO的作用下,心肌细胞受损,TnI漏出,损伤重的细胞继续发展为坏死,而多数TnI脱失细胞经过一段时间可以逐渐恢复正常。TnI的脱失必然影响心肌的收缩及舒张,这可能是VMC心脏功能障碍的机制之一。
本实验结果表明,在小鼠急性VMC发生、发展过程中,由NOS2诱导产生的NO可直接造成心肌损伤。其降解产物Nitrotyrosine的表达与TnI脱失的一过性相关关系提示NO可以直接破坏心肌细胞;NOS2蛋白表达增强与细胞凋亡同时存在,证明NO参与VMC细胞凋亡的调控。
, 百拇医药
图示说明
小鼠心肌H&E染色(A和B)及生和素标记的TUNEL检测细胞凋亡(C和D细胞核褐色为凋亡细胞,甲基绿复染)Nomarski相差显微照片和共聚焦显微镜照片显示小鼠心肌组织中细胞调亡与NOS2和(E和F)与Nitrotyro sine(G和H)双重荧光染色结果,细胞核为DAPI(蓝色荧光)复染。放大倍数为650×
A:感染后9d小鼠心外膜下病灶内可见浸润及凋亡的炎细胞和凋小体(箭头)
B:感染后50d,可见细胞核碎裂的心肌细胞(箭头)
C:感染后9d浸润的炎细胞、心细胞及血管壁细胞凋亡
D:感染后50d散在的心肌细胞凋亡(箭头)
E:细胞凋亡(红色荧光)与NOS2(绿色荧光)双重荧光染色显示感染9d小鼠心肌间质内呈双染的炎细胞(箭头)
, 百拇医药
F:感染病毒15d小鼠心肌内双染的心肌细胞(箭头)
G:正常小鼠心肌组织中TnI呈均匀带状分布于I带和闰盘(绿色荧光)Nitrotyrosine(红色荧光)表达不明显
H:感染后7d近病灶部分心肌细胞TnI脱失,但Nitrotyrosine于同区域心肌细胞及血管壁细胞、炎细胞表达增强。
[作者简介]钱素娟(1966-),女,博士后。
[参考文献]
[1] Jorg K,David JG,Troels GJ et al.Attenuated acute cardiac rejection in NOS2-/- recipients correlates with reduced apoptosis[J].Circulation,1999,99:836.
, 百拇医药
[2] Markus F,Heiko K,Bodo C et al.Effects of endotoxin on human myocardial contractility involvement of nitric oxide and peroxynitrite[J].J Am Coll Cardio,1999,33:1062.
[3] Szabolcs M,Michler RE,Yang X,et al.Apoptosis of cardiac myocytes during cardiac allograft rejection-relation to induction of nitric oxide synthase[J].Circulation,1996,94:1665.
[4] Char DM,Israel E,Ladenson J.Early laboratory indicators of acute myocardial infarction[J].Emerg Med Clin North Am,1998,16:519.
[5] 钱素娟,于祖熙,于维汉,等.克山病患者心肌组织细胞凋亡与结构蛋白Desmin异常表达的研究[J].中国地方病学杂志,1999,18(2):81.
[收稿日期]2000-01-16, http://www.100md.com