肺癌组织中c-erbB-2、bcl-2蛋白的联合表达及意义
作者:姚和瑞 谢德荣 王安训 陈庆瑜 何剑峰
单位:姚和瑞 谢德荣 王安训 陈庆瑜 何剑峰(中山医科大学孙逸仙纪念医院,广东广州510120)
关键词:肺肿瘤;bcl-2;c-erbB-2;免疫组织化学
癌症000534
中图分类号:R734.2文献标识码:A
文章编号:1000-467X(2000)05-0496-02
应用免疫组化方法对60例肺癌组织行bcl-2、c-erbB-2原癌基因蛋白检测,探讨其在肺癌组织中的表达及意义。
1材料与方法
, http://www.100md.com 1.1材料
60例肺癌组织及9例正常肺组织均为本院病理科存档石蜡标本。其中鳞癌27例、腺癌27例、小细胞癌4例、大细胞癌2例。按国际抗癌联盟TNM分期。
1.2方法
标本按常规制作4μm石蜡切片3张,分别行HE染色及bcl-2、c-erbB-2蛋白LSAB法免疫组化染色。鼠抗人bcl-2蛋白单克隆抗体、兔抗人c-erbB-2蛋白多克隆抗体及LSAB试剂盒均购自DAKO公司。bcl-2、c-erbB-2工作浓度分别为1∶50及1∶150。
1.3结果分析
根据文献[1~3]并结合本研究实际进行染色结果判断。bcl-2染色以肿瘤细胞胞浆内有棕褐色细颗粒为阳性,阳性细胞占肿瘤细胞<5% 、5%~50%、>50%分别定为弱阳性(+)、中度阳性(++)、强阳性(+++)。c-erbB-2染色以肿瘤细胞胞浆和/或胞膜有棕褐色细颗粒为阳性,阳性细胞占肿瘤细胞<30%、30%~60%、>60%分别定为弱阳性(+)、中度阳性(++)、强阳性(+++)。统计学处理用χ2检验或Fisher精确概率法,相关分析用Spearman等级相关分析。
, 百拇医药
表1bcl-2、c-erbB-2表达与病理特征的关系 bcl-2
/c-erbB-2
表达
n
肿瘤大小
T
N
分期
分化程度
≤3cm
>3cm
T1
T2
, 百拇医药
T3
T4
N0
N1
N2
Ⅰ
Ⅱ
Ⅲ
高
中
低
+
未
同时阴性
, 百拇医药
14
2
12
1
8
3
2
8
4
2
5
4
5
1
, http://www.100md.com
6
7
一个阳性
39
7
32
5
14
10
10
18
13
8
10
, 百拇医药
5
24
10
12
17
同时阳性
7
2
5
0
5
1
1
5
, http://www.100md.com
0
2
5
0
2
0
1
6
合计
60
11
16
6
27
, 百拇医药
14
13
31
17
12
20
9
31
11
19
30
p值
>0.05
>0.05
, http://www.100md.com
>0.05
>0.05
>0.05
2结果
2.1bcl-2、c-erbB-2在肺癌及正常肺组织中的表达情况
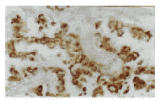
60例肺癌bcl-2、c-erbB-2阳性率分别为26.7%(16/60),61.7%(37/60),c-erbB-2阳性率高于bcl-2(P<0.05),4例小细胞癌有3例阳性,9例正常肺组织及肺癌周围正常肺组织均为阴性。肺癌bcl2、cerbB2蛋白染色见图1、2。
2.2肺癌bcl-2、c-erbB-2表达与肿瘤病理学特征的关系
bcl-2及c-erbB-2同时阳性、同时阴性或其中一个阳性与肿瘤大小、T级别、淋巴结转移、临床分期、分化程度均无关(P>0.05,见表1)。
, 百拇医药
2.3bcl-2表达与c-erbB-2表达的关系
相关分析提示两者表达无相关性(rs=-0.239,P>0.05,见表2)。
图1肺腺癌胞浆c-erbB-2蛋白阳性(免疫组化LSAB法×200)
图2肺鳞癌胞浆bcl-2蛋白阳性(免疫组化LSAB法×400)
表2 bcl-2、c-erbB-2表达的关系 bcl-2
n
c-erbB-2
, http://www.100md.com
0
<30%
30%~60%
>60%
0
44
14
13
11
6
<5%
8
4
2
, 百拇医药
1
1
5%~50%
3
2
1
0
0
>50%
5
3
1
1
0
, 百拇医药
合计
60
23
17
13
7
3讨论
近年的研究发现多种肿瘤的发生发展不仅存在细胞的异常增殖,还存在细胞凋亡的减少。原癌基因c-erbB-2、bcl-2异常表达所介导的细胞增殖、凋亡与肿瘤的发生发展的关系亦引起人们的关注[3~5]。
本研究发现60例肺癌c-erbB-2、bcl-2阳性率分别为61.7%,26.7%,小细胞肺癌、非小细胞肺癌均有一定的阳性率,提示肺癌的发生与c-erbB-2、bcl-2异常表达所介导的细胞增殖、凋亡异常有关。本研究中c-erbB-2阳性率明显高于bcl-2,说明在肺癌的发生中c-erbB-2的增强表达较bcl-2更为普遍。
, 百拇医药
小细胞肺癌具有高度侵袭及早期转移的特性,本研究中小细胞肺癌bcl-2阳性率较高(3/4),是否与上述特性有关,因病例数少未能进一步分析。我们发现c-erbB-2和bcl-2同时阴性、其中一个阳性、同时阳性与肿瘤大小、T级别、淋巴结转移、临床分期、分化程度等临床病理特性均无关(P>0.05,见表1)。c-erbB-2、bcl-2表达与肺癌临床病理特性的关系有待进一步探讨。
本研究发现肺癌组织中存在c-erbB-2和bcl-2的增强表达,支持肺癌的发生发展中存在多基因的激活。但本组病例中两个基因同时阳性的仅占11.7%(7/60),相关分析发现两者表达无相关性(表2,P>0.05),提示在肺癌的发生中这两个基因的表达无协同作用。
[参考文献]
1,Sugano S, Mukai K, Tsuda H, et al. Immunohistochemical study of c-erbB-2 oncoprotein overexpression in human major salivary gland carcinoma∶ an indicator of aggressiveness [J] Laryngo-scope, 1992,102(8)∶ 923~ 927.
, 百拇医药
2,Walker C,Robertson L,Myskow M, et al Expression of the BCL-2 protein in normal and dysplastic bronchial epithelium and in lung carcinomas [J] Br J Cancer, 1995,72∶ 164~ 169.
3,周涛,叶明,干灵红,等.癌基因c-erbB-2在肺癌及癌旁组织中的表达研究[J]实用肿瘤杂志,1994,9(4)∶224~225.
4,Hockenbery D,Nunez G,Milliman C,et al.Bcl-2 is an inner mitochondrial membrane protein that blocks programmed cell death [J] Nature,1990,348∶ 334~336.
5,王小强,袁世珍,王晓怀,等.大肠癌细胞凋亡及相关基因表达的研究[J]临床消化病杂志,1996,8(1)∶1~4.
收稿日期:1999-08-20;修回日期:1999-09-20, 百拇医药
单位:姚和瑞 谢德荣 王安训 陈庆瑜 何剑峰(中山医科大学孙逸仙纪念医院,广东广州510120)
关键词:肺肿瘤;bcl-2;c-erbB-2;免疫组织化学
癌症000534
中图分类号:R734.2文献标识码:A
文章编号:1000-467X(2000)05-0496-02
应用免疫组化方法对60例肺癌组织行bcl-2、c-erbB-2原癌基因蛋白检测,探讨其在肺癌组织中的表达及意义。
1材料与方法
, http://www.100md.com 1.1材料
60例肺癌组织及9例正常肺组织均为本院病理科存档石蜡标本。其中鳞癌27例、腺癌27例、小细胞癌4例、大细胞癌2例。按国际抗癌联盟TNM分期。
1.2方法
标本按常规制作4μm石蜡切片3张,分别行HE染色及bcl-2、c-erbB-2蛋白LSAB法免疫组化染色。鼠抗人bcl-2蛋白单克隆抗体、兔抗人c-erbB-2蛋白多克隆抗体及LSAB试剂盒均购自DAKO公司。bcl-2、c-erbB-2工作浓度分别为1∶50及1∶150。
1.3结果分析
根据文献[1~3]并结合本研究实际进行染色结果判断。bcl-2染色以肿瘤细胞胞浆内有棕褐色细颗粒为阳性,阳性细胞占肿瘤细胞<5% 、5%~50%、>50%分别定为弱阳性(+)、中度阳性(++)、强阳性(+++)。c-erbB-2染色以肿瘤细胞胞浆和/或胞膜有棕褐色细颗粒为阳性,阳性细胞占肿瘤细胞<30%、30%~60%、>60%分别定为弱阳性(+)、中度阳性(++)、强阳性(+++)。统计学处理用χ2检验或Fisher精确概率法,相关分析用Spearman等级相关分析。
, 百拇医药
表1bcl-2、c-erbB-2表达与病理特征的关系 bcl-2
/c-erbB-2
表达
n
肿瘤大小
T
N
分期
分化程度
≤3cm
>3cm
T1
T2
, 百拇医药
T3
T4
N0
N1
N2
Ⅰ
Ⅱ
Ⅲ
高
中
低
+
未
同时阴性
, 百拇医药
14
2
12
1
8
3
2
8
4
2
5
4
5
1
, http://www.100md.com
6
7
一个阳性
39
7
32
5
14
10
10
18
13
8
10
, 百拇医药
5
24
10
12
17
同时阳性
7
2
5
0
5
1
1
5
, http://www.100md.com
0
2
5
0
2
0
1
6
合计
60
11
16
6
27
, 百拇医药
14
13
31
17
12
20
9
31
11
19
30
p值
>0.05
>0.05
, http://www.100md.com
>0.05
>0.05
>0.05
2结果
2.1bcl-2、c-erbB-2在肺癌及正常肺组织中的表达情况
60例肺癌bcl-2、c-erbB-2阳性率分别为26.7%(16/60),61.7%(37/60),c-erbB-2阳性率高于bcl-2(P<0.05),4例小细胞癌有3例阳性,9例正常肺组织及肺癌周围正常肺组织均为阴性。肺癌bcl2、cerbB2蛋白染色见图1、2。
2.2肺癌bcl-2、c-erbB-2表达与肿瘤病理学特征的关系
bcl-2及c-erbB-2同时阳性、同时阴性或其中一个阳性与肿瘤大小、T级别、淋巴结转移、临床分期、分化程度均无关(P>0.05,见表1)。
, 百拇医药
2.3bcl-2表达与c-erbB-2表达的关系
相关分析提示两者表达无相关性(rs=-0.239,P>0.05,见表2)。
图1肺腺癌胞浆c-erbB-2蛋白阳性(免疫组化LSAB法×200)
图2肺鳞癌胞浆bcl-2蛋白阳性(免疫组化LSAB法×400)
表2 bcl-2、c-erbB-2表达的关系 bcl-2
n
c-erbB-2
, http://www.100md.com
0
<30%
30%~60%
>60%
0
44
14
13
11
6
<5%
8
4
2
, 百拇医药
1
1
5%~50%
3
2
1
0
0
>50%
5
3
1
1
0
, 百拇医药
合计
60
23
17
13
7
3讨论
近年的研究发现多种肿瘤的发生发展不仅存在细胞的异常增殖,还存在细胞凋亡的减少。原癌基因c-erbB-2、bcl-2异常表达所介导的细胞增殖、凋亡与肿瘤的发生发展的关系亦引起人们的关注[3~5]。
本研究发现60例肺癌c-erbB-2、bcl-2阳性率分别为61.7%,26.7%,小细胞肺癌、非小细胞肺癌均有一定的阳性率,提示肺癌的发生与c-erbB-2、bcl-2异常表达所介导的细胞增殖、凋亡异常有关。本研究中c-erbB-2阳性率明显高于bcl-2,说明在肺癌的发生中c-erbB-2的增强表达较bcl-2更为普遍。
, 百拇医药
小细胞肺癌具有高度侵袭及早期转移的特性,本研究中小细胞肺癌bcl-2阳性率较高(3/4),是否与上述特性有关,因病例数少未能进一步分析。我们发现c-erbB-2和bcl-2同时阴性、其中一个阳性、同时阳性与肿瘤大小、T级别、淋巴结转移、临床分期、分化程度等临床病理特性均无关(P>0.05,见表1)。c-erbB-2、bcl-2表达与肺癌临床病理特性的关系有待进一步探讨。
本研究发现肺癌组织中存在c-erbB-2和bcl-2的增强表达,支持肺癌的发生发展中存在多基因的激活。但本组病例中两个基因同时阳性的仅占11.7%(7/60),相关分析发现两者表达无相关性(表2,P>0.05),提示在肺癌的发生中这两个基因的表达无协同作用。
[参考文献]
1,Sugano S, Mukai K, Tsuda H, et al. Immunohistochemical study of c-erbB-2 oncoprotein overexpression in human major salivary gland carcinoma∶ an indicator of aggressiveness [J] Laryngo-scope, 1992,102(8)∶ 923~ 927.
, 百拇医药
2,Walker C,Robertson L,Myskow M, et al Expression of the BCL-2 protein in normal and dysplastic bronchial epithelium and in lung carcinomas [J] Br J Cancer, 1995,72∶ 164~ 169.
3,周涛,叶明,干灵红,等.癌基因c-erbB-2在肺癌及癌旁组织中的表达研究[J]实用肿瘤杂志,1994,9(4)∶224~225.
4,Hockenbery D,Nunez G,Milliman C,et al.Bcl-2 is an inner mitochondrial membrane protein that blocks programmed cell death [J] Nature,1990,348∶ 334~336.
5,王小强,袁世珍,王晓怀,等.大肠癌细胞凋亡及相关基因表达的研究[J]临床消化病杂志,1996,8(1)∶1~4.
收稿日期:1999-08-20;修回日期:1999-09-20, 百拇医药