儿童肾母细胞瘤的CT诊断价值
作者:刘明娟 郭燕 黄兆民 杨旭峰
单位:刘明娟 郭燕 黄兆民 杨旭峰(中山医科大学附属第一医院放射科,广东 广州510080)
关键词:儿童;肾母细胞瘤;断层摄影术,X线计算机
癌症000524
【摘要】目的:探讨CT对肾母细胞瘤的诊断价值,指导临床治疗。资料与方法:回顾性分析43例病理证实为肾母细胞瘤平扫加增强扫描的CT征象。结果:肿瘤单侧多见,也可为双侧,多发生于肾脏一极,也可全部,常表现为强化不明显的实性肿块,瘤内常有坏死、囊变,少数有出血、钙化,典型表现为残存肾实质变薄,呈新月形、环形,或肾的正常结构消失。本组术前发现病灶100%,诊断准确率95%。结论:CT增强扫描能发现小病灶的肾母细胞瘤,很好地评价对侧肾脏的情况,并能明确肿瘤的范围以及转移的情况,对肿瘤的分期、指导临床制定治疗方案有重要的意义。
, http://www.100md.com
中图分类号:R737.11;R730.42文献标识码:A文章编号:1000-467X(2000)05-0473-03
The value of CT diagnosis for nephroblastoma in children
LIU Ming-juan, GUO Yan, HUANG Zhao-min, et al.
(Department of Radiology, the First Affiliated Hospital, Sun Yat-sen University of Medical Sciences, Guangzhou 510080,P.R.China)
【Abstract】 Objective: TO evaluate diagnostic Value of CT scan for nephroblastoma in children. Methods: Forty-three patients with pathologically confirmed nephrblastoma were analizd retrospectively for their CT scans with and without contrast enhancement. Results: The tumor seemed to likely envolve the unilateral kidney but bilateral lesion was also observed. Polar envolvement of the kidney was seen in most of the cases though whole kidney envolvement was also the case. The tumour appeared usually a poorly enhanced solid mass, in which necrosis and cystic change were often found, while seldom the tumour presented with hemorrhage and calcifications. A characteristic CT finding was that the residual kidney presented the enhancement in the crescent or ring like pattern. In some patients, the normal structure of kidney could not be found. All the lesions were found on CT image before surgical resection. Preoprative diagnostic accuracy was 95% . Couclusion: Small lesion of nephroblastoma can be demonstrated by CT scan with contrast-enhancement. The evaluation of the function of the contralateral kidney and information of the evolvement and metastasis of the lesion can be obtained by CT scan with contrast-enhancement, which are essential to the staging and treatment planning.
, 百拇医药
Key words: Children, nephroblastoma; tomography, X-ray computer
肾母细胞瘤是儿童最常见的恶性肿瘤之一。笔者回顾分析43例经手术病理证实肾母细胞瘤的CT表现,结合文献探讨CT的诊断价值,以便更好指导临床制定治疗方案。
1资料与方法
43例(48个病灶)肾母细胞瘤中,男26例、女17例,年龄5个月至9岁,平均4.7岁,年龄小于5岁者39例。临床表现,腹部肿块43例(47个病灶),血尿4例,发热、腹痛、脸色苍白各1例。
使用GE9000Ⅱ型及Toshiba Xpress/SX螺旋CT机,扫描范围从肿块上方10mm到肿块下方10mm,层厚及层距均为10mm,扫描前30~60分钟口服2%泛影葡胺50~300ml。全部行平扫加增强扫描,造影剂采用优维显,剂量为2ml/kg。
, http://www.100md.com
2结果
肿瘤大小2cm×2cm×4cm至25cm×18cm×12cm。圆形、类圆形38个病灶,葫芦形8个病灶,不规则形2个病灶;5例发生于双侧肾脏,38例为一侧肾脏,左右各为19例;肿瘤发生于肾上极13个病灶、中上极5个病灶、中极5个病灶、中下极4个病灶、下极6个病灶、上中下极2个病灶,累及全肾13个病灶。42例(46个病灶)为混杂密度的肿块,平扫CT值17~40HU,增强后不均匀强化,CT值63~77HU,瘤内见无强化的坏死、囊变灶,为局限或弥漫、小片或大片、中央或周边,其中1例瘤内有片状高密度出血灶(图1),2个病灶密度较均匀;48个病灶,10个出现散在、成堆的小斑片或线点状钙化,位于周边或中央(图2)。肿瘤边界清楚36例(41个病灶),7例边界不清。腹膜后大血管受推压9例,被包绕6例(图3)。肾脏轮廓基本正常1例(图4);13例全肾受累,肾的正常结构完全消失(图4);34例肾脏增大,肾实质变薄,明显者呈新月形、环形,增强后,变薄的肾实质明显强化,由平扫CT值的30~40HU增加到90~110HU,与正常肾实质相同,致使肿瘤边界更清(图5),残肾移位与肿瘤的位置有关,可向前下、外下、外上、内后移位;肾盂、肾盏明显受压变形、移位,部分肾盂、肾盏破坏消失,其中8例出现肾盂、肾盏积水,余27例未见积水。肿瘤与肾组织呈钝角相交。3例有腹水,1例下腔静脉、右肾静脉可见瘤栓(图6)。术前2例肾上极肾母细胞瘤误诊为肾上腺神经母细胞瘤。
, 百拇医药
图1男,9个月,右侧肾母细胞瘤。CT平扫,肿瘤内见不规则片状高密度出血灶及低密度坏死灶。
图2女,1岁,双侧肾母细胞瘤。CT平扫示左侧肿瘤内线点状致密钙化灶。
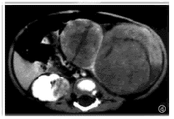
图3男,2岁,左侧肾母细胞瘤。CT增强扫描示肿瘤不规则强化,内见无强化的坏死、囊变。肿瘤侵犯腹膜后结构,腹主动脉被包绕,下腔静脉受压变扁右移。
图4男,5个月,双侧肾母细胞瘤。CT增强扫描示右侧肾实质内一强化不明显的瘤灶,肾轮廓基本正常;左肾正常结构消失。
, 百拇医药
图5女,2岁,双侧肾母细胞瘤。CT增强扫描示明显变薄的肾实质呈新月形改变。
图6女,3岁,左侧肾母细胞瘤。CT增强扫描示下腔静脉、右肾静脉增宽,腔内未见造影剂充盈。
3讨论
肾母细胞瘤(即肾胚瘤、Wilm-sTumour)占小儿肾肿瘤的97%,新生儿罕见,肿瘤大部分(75%)发生于5岁以下的幼儿[1],本组为39例(约90%)。肿瘤来源于肾胚芽的初级间叶细胞[2],多为边界清楚、有包膜的实体瘤[1],但也有囊性部分分化性肾母细胞瘤。肿瘤5%可有钙化,且发生在坏死区,远处转移以肺最多。
3.1肾母细胞瘤的CT表现
, http://www.100md.com
(1)肿瘤较小者,可局限于肾实质内或轻度突向肾表面,呈等密度或稍低密度,肾轮廓基本正常或肾影轻度增大;增强扫描见明显强化的肾实质内有强化不明显的低密度肿瘤,这对发现小肿瘤很重要;肿瘤大者,表现为肾区甚至一侧腹部混杂密度的肿块,增强后不均匀强化,瘤内常有低密度的坏死囊变区,坏死区与肿瘤的大小无关,少数可见高密度的出血灶。极少病例可表现为囊性肿块[2]。本组未发现囊性肿瘤。(2)5%的病灶可有钙化灶(本组为20.83%),其形态、分布无规律。(3)肿瘤边界常清楚,较少侵犯腹膜后结构。但少数肿瘤呈浸润生长,侵犯周围的结构,腹膜后结构不清,血管受压移位或被包绕。肿瘤侵犯血管,表现为管腔扩大,平扫为低密度,增强后未见强化[3],肿瘤尚可侵犯输尿管、腰大肌。(4)肿瘤侵蚀肾脏一部分,可见皮质变薄,残存的肾实质呈“新月形”,明显者可为线样环形变薄,这些变薄的肾实质有明显的强化,与肿瘤形成明显的对比,为肾母细胞瘤的典型表现,此“新月形”征象有助于鉴别腹膜后其他恶性肿瘤侵蚀肾脏。肿瘤与残肾呈钝角相交。肾盂、肾盏变形、移位,可有积水。侵犯全肾,则正常的肾结构消失。
, http://www.100md.com
3.2CT的诊断价值
(1)CT敏感度优于B超[4~6]。由于CT的密度分辨率高,只要细致调节窗宽、窗位,则可显示强化不明显的病灶[4],本组病灶的发现率为100%。而B超由于肾母细胞瘤的回声与邻近正常的肾实质相似,对小肿瘤不敏感x。本组有1例临床发现左侧腹部包块,B超检查为左肾母细胞瘤,右肾代偿性增大;CT除发现左肾母细胞瘤外,增强扫描清楚显示右肾皮质内一强化不明显的小病灶,大小约2cm×2cm(见图4),最小径线约1cm的部位,低密度的病灶与正常肾实质仍有明显的对比,病理证实为双侧肾母细胞瘤。另外CT被广泛用来评价肾母细胞瘤患者对侧肾[4,6,7],但亦有作者认为小病灶可能漏诊,所以,即使CT是阴性,术中也应该探查对侧肾脏[4]。(2)CT能确定肿瘤的范围、血管侵犯、远处转移[6],对于疾病的分期、指导治疗有重要意义。它能准确显示远处转移最常见的肺结节,但难与肺内良性肉芽肿结节鉴别;能发现肝脾的转移灶,但偶尔肝脾放疗后改变可误诊为转移灶,造成假阳性[8]。(3)化疗及术后随访:肾母细胞瘤术前化疗可以降低术中肿瘤破裂以及由此而增加腹部肿瘤复发的危险性,同时使诊断时认为难以手术切除的肿瘤可以切除。而化疗后CT扫描可以明确肿瘤的变化情况,判断疗效,指导临床医生选择手术时机。化疗后CT可见肿瘤缩小,常有囊变、钙化,病理为广泛坏死、血管明显改变。但有时囊变是唯一的改变,而缩小则不明显。CT对判断化疗后淋巴结、肝脏的浸润的准确性则较低[9]。术后CT检查可以明确有无局部复发或远处转移。扫描时要求肠道造影剂充盈必须满意,以便肿瘤与肠道鉴别。由于术后瘢痕组织难与恶性肿瘤鉴别,主张术后3个月作基线对照,有利于诊断[8]。
, http://www.100md.com
3.3鉴别诊断
肾母细胞瘤主要与肾上腺神经母细胞瘤鉴别,后者钙化率高(79%),常侵犯腹膜后结构,推移和包绕下腔静脉、腹主动脉,因为是肾外肿瘤,对肾脏主要是推移,肾的形态基本保持,没有肾实质呈“新月形”变薄的强化征象,肿瘤与肾脏呈锐角相交。尿中的VMA(3-甲氧基-4-羟基杏仁酸)升高支持肾上腺神经母细胞瘤诊断。
[参考文献]
1,黄橙如主编.小儿泌尿外科学[M].济南:山东科学技术出版社,1996:330~333.
2,王德延主编.肿瘤病理学[M].天津:天津科学技术出版社,1987,441~447
3,李欣,安玉,杨志勇.儿童肾母细胞瘤的CT诊断[J].中华放射学杂志,1998,32:185~187.
, http://www.100md.com
4,White KS, Kirks DR, Bove KE. Imaging of nephroblastomatosis: an overview [J]. Radiology, 1992,182: 1~ 5.
5,Fernbach SK,Feinstein KA, Donaldson JS, et al. Nephro-blastosis: comparison of CT with US and urography [J]. Radi-ology,1988,166: 153~ 156.
6,Reiman TA, Siegel MJ, Shackelford GD,et al. Wilms tumors in children: abdominal CT and US evaluation [J]. Radiology, 1986,160: 501~ 505.
7,Cormier PJ,Donaldson JS,Gonzalez-Crussi F. Nephrobla-stomatosis: missed diagnosis [J]. Radilolgy,1988,169: 737~ 738.
8,周康荣主编.腹部CT[M].上海:上海医科大学出版社,1993:174.
9,Ng YY,Hall-Craggs MA, Dicks-Mireaux C, et al. Wilms-tumour: pre-and post-chemotherapy CT appearances [J]. Clin Radiol, 1991, 43: 255~ 259.
收稿日期:1999-08-23;修回日期:1999-10-07, http://www.100md.com
单位:刘明娟 郭燕 黄兆民 杨旭峰(中山医科大学附属第一医院放射科,广东 广州510080)
关键词:儿童;肾母细胞瘤;断层摄影术,X线计算机
癌症000524
【摘要】目的:探讨CT对肾母细胞瘤的诊断价值,指导临床治疗。资料与方法:回顾性分析43例病理证实为肾母细胞瘤平扫加增强扫描的CT征象。结果:肿瘤单侧多见,也可为双侧,多发生于肾脏一极,也可全部,常表现为强化不明显的实性肿块,瘤内常有坏死、囊变,少数有出血、钙化,典型表现为残存肾实质变薄,呈新月形、环形,或肾的正常结构消失。本组术前发现病灶100%,诊断准确率95%。结论:CT增强扫描能发现小病灶的肾母细胞瘤,很好地评价对侧肾脏的情况,并能明确肿瘤的范围以及转移的情况,对肿瘤的分期、指导临床制定治疗方案有重要的意义。
, http://www.100md.com
中图分类号:R737.11;R730.42文献标识码:A文章编号:1000-467X(2000)05-0473-03
The value of CT diagnosis for nephroblastoma in children
LIU Ming-juan, GUO Yan, HUANG Zhao-min, et al.
(Department of Radiology, the First Affiliated Hospital, Sun Yat-sen University of Medical Sciences, Guangzhou 510080,P.R.China)
【Abstract】 Objective: TO evaluate diagnostic Value of CT scan for nephroblastoma in children. Methods: Forty-three patients with pathologically confirmed nephrblastoma were analizd retrospectively for their CT scans with and without contrast enhancement. Results: The tumor seemed to likely envolve the unilateral kidney but bilateral lesion was also observed. Polar envolvement of the kidney was seen in most of the cases though whole kidney envolvement was also the case. The tumour appeared usually a poorly enhanced solid mass, in which necrosis and cystic change were often found, while seldom the tumour presented with hemorrhage and calcifications. A characteristic CT finding was that the residual kidney presented the enhancement in the crescent or ring like pattern. In some patients, the normal structure of kidney could not be found. All the lesions were found on CT image before surgical resection. Preoprative diagnostic accuracy was 95% . Couclusion: Small lesion of nephroblastoma can be demonstrated by CT scan with contrast-enhancement. The evaluation of the function of the contralateral kidney and information of the evolvement and metastasis of the lesion can be obtained by CT scan with contrast-enhancement, which are essential to the staging and treatment planning.
, 百拇医药
Key words: Children, nephroblastoma; tomography, X-ray computer
肾母细胞瘤是儿童最常见的恶性肿瘤之一。笔者回顾分析43例经手术病理证实肾母细胞瘤的CT表现,结合文献探讨CT的诊断价值,以便更好指导临床制定治疗方案。
1资料与方法
43例(48个病灶)肾母细胞瘤中,男26例、女17例,年龄5个月至9岁,平均4.7岁,年龄小于5岁者39例。临床表现,腹部肿块43例(47个病灶),血尿4例,发热、腹痛、脸色苍白各1例。
使用GE9000Ⅱ型及Toshiba Xpress/SX螺旋CT机,扫描范围从肿块上方10mm到肿块下方10mm,层厚及层距均为10mm,扫描前30~60分钟口服2%泛影葡胺50~300ml。全部行平扫加增强扫描,造影剂采用优维显,剂量为2ml/kg。
, http://www.100md.com
2结果
肿瘤大小2cm×2cm×4cm至25cm×18cm×12cm。圆形、类圆形38个病灶,葫芦形8个病灶,不规则形2个病灶;5例发生于双侧肾脏,38例为一侧肾脏,左右各为19例;肿瘤发生于肾上极13个病灶、中上极5个病灶、中极5个病灶、中下极4个病灶、下极6个病灶、上中下极2个病灶,累及全肾13个病灶。42例(46个病灶)为混杂密度的肿块,平扫CT值17~40HU,增强后不均匀强化,CT值63~77HU,瘤内见无强化的坏死、囊变灶,为局限或弥漫、小片或大片、中央或周边,其中1例瘤内有片状高密度出血灶(图1),2个病灶密度较均匀;48个病灶,10个出现散在、成堆的小斑片或线点状钙化,位于周边或中央(图2)。肿瘤边界清楚36例(41个病灶),7例边界不清。腹膜后大血管受推压9例,被包绕6例(图3)。肾脏轮廓基本正常1例(图4);13例全肾受累,肾的正常结构完全消失(图4);34例肾脏增大,肾实质变薄,明显者呈新月形、环形,增强后,变薄的肾实质明显强化,由平扫CT值的30~40HU增加到90~110HU,与正常肾实质相同,致使肿瘤边界更清(图5),残肾移位与肿瘤的位置有关,可向前下、外下、外上、内后移位;肾盂、肾盏明显受压变形、移位,部分肾盂、肾盏破坏消失,其中8例出现肾盂、肾盏积水,余27例未见积水。肿瘤与肾组织呈钝角相交。3例有腹水,1例下腔静脉、右肾静脉可见瘤栓(图6)。术前2例肾上极肾母细胞瘤误诊为肾上腺神经母细胞瘤。
, 百拇医药
图1男,9个月,右侧肾母细胞瘤。CT平扫,肿瘤内见不规则片状高密度出血灶及低密度坏死灶。
图2女,1岁,双侧肾母细胞瘤。CT平扫示左侧肿瘤内线点状致密钙化灶。
图3男,2岁,左侧肾母细胞瘤。CT增强扫描示肿瘤不规则强化,内见无强化的坏死、囊变。肿瘤侵犯腹膜后结构,腹主动脉被包绕,下腔静脉受压变扁右移。
图4男,5个月,双侧肾母细胞瘤。CT增强扫描示右侧肾实质内一强化不明显的瘤灶,肾轮廓基本正常;左肾正常结构消失。
, 百拇医药
图5女,2岁,双侧肾母细胞瘤。CT增强扫描示明显变薄的肾实质呈新月形改变。
图6女,3岁,左侧肾母细胞瘤。CT增强扫描示下腔静脉、右肾静脉增宽,腔内未见造影剂充盈。
3讨论
肾母细胞瘤(即肾胚瘤、Wilm-sTumour)占小儿肾肿瘤的97%,新生儿罕见,肿瘤大部分(75%)发生于5岁以下的幼儿[1],本组为39例(约90%)。肿瘤来源于肾胚芽的初级间叶细胞[2],多为边界清楚、有包膜的实体瘤[1],但也有囊性部分分化性肾母细胞瘤。肿瘤5%可有钙化,且发生在坏死区,远处转移以肺最多。
3.1肾母细胞瘤的CT表现
, http://www.100md.com
(1)肿瘤较小者,可局限于肾实质内或轻度突向肾表面,呈等密度或稍低密度,肾轮廓基本正常或肾影轻度增大;增强扫描见明显强化的肾实质内有强化不明显的低密度肿瘤,这对发现小肿瘤很重要;肿瘤大者,表现为肾区甚至一侧腹部混杂密度的肿块,增强后不均匀强化,瘤内常有低密度的坏死囊变区,坏死区与肿瘤的大小无关,少数可见高密度的出血灶。极少病例可表现为囊性肿块[2]。本组未发现囊性肿瘤。(2)5%的病灶可有钙化灶(本组为20.83%),其形态、分布无规律。(3)肿瘤边界常清楚,较少侵犯腹膜后结构。但少数肿瘤呈浸润生长,侵犯周围的结构,腹膜后结构不清,血管受压移位或被包绕。肿瘤侵犯血管,表现为管腔扩大,平扫为低密度,增强后未见强化[3],肿瘤尚可侵犯输尿管、腰大肌。(4)肿瘤侵蚀肾脏一部分,可见皮质变薄,残存的肾实质呈“新月形”,明显者可为线样环形变薄,这些变薄的肾实质有明显的强化,与肿瘤形成明显的对比,为肾母细胞瘤的典型表现,此“新月形”征象有助于鉴别腹膜后其他恶性肿瘤侵蚀肾脏。肿瘤与残肾呈钝角相交。肾盂、肾盏变形、移位,可有积水。侵犯全肾,则正常的肾结构消失。
, http://www.100md.com
3.2CT的诊断价值
(1)CT敏感度优于B超[4~6]。由于CT的密度分辨率高,只要细致调节窗宽、窗位,则可显示强化不明显的病灶[4],本组病灶的发现率为100%。而B超由于肾母细胞瘤的回声与邻近正常的肾实质相似,对小肿瘤不敏感x。本组有1例临床发现左侧腹部包块,B超检查为左肾母细胞瘤,右肾代偿性增大;CT除发现左肾母细胞瘤外,增强扫描清楚显示右肾皮质内一强化不明显的小病灶,大小约2cm×2cm(见图4),最小径线约1cm的部位,低密度的病灶与正常肾实质仍有明显的对比,病理证实为双侧肾母细胞瘤。另外CT被广泛用来评价肾母细胞瘤患者对侧肾[4,6,7],但亦有作者认为小病灶可能漏诊,所以,即使CT是阴性,术中也应该探查对侧肾脏[4]。(2)CT能确定肿瘤的范围、血管侵犯、远处转移[6],对于疾病的分期、指导治疗有重要意义。它能准确显示远处转移最常见的肺结节,但难与肺内良性肉芽肿结节鉴别;能发现肝脾的转移灶,但偶尔肝脾放疗后改变可误诊为转移灶,造成假阳性[8]。(3)化疗及术后随访:肾母细胞瘤术前化疗可以降低术中肿瘤破裂以及由此而增加腹部肿瘤复发的危险性,同时使诊断时认为难以手术切除的肿瘤可以切除。而化疗后CT扫描可以明确肿瘤的变化情况,判断疗效,指导临床医生选择手术时机。化疗后CT可见肿瘤缩小,常有囊变、钙化,病理为广泛坏死、血管明显改变。但有时囊变是唯一的改变,而缩小则不明显。CT对判断化疗后淋巴结、肝脏的浸润的准确性则较低[9]。术后CT检查可以明确有无局部复发或远处转移。扫描时要求肠道造影剂充盈必须满意,以便肿瘤与肠道鉴别。由于术后瘢痕组织难与恶性肿瘤鉴别,主张术后3个月作基线对照,有利于诊断[8]。
, http://www.100md.com
3.3鉴别诊断
肾母细胞瘤主要与肾上腺神经母细胞瘤鉴别,后者钙化率高(79%),常侵犯腹膜后结构,推移和包绕下腔静脉、腹主动脉,因为是肾外肿瘤,对肾脏主要是推移,肾的形态基本保持,没有肾实质呈“新月形”变薄的强化征象,肿瘤与肾脏呈锐角相交。尿中的VMA(3-甲氧基-4-羟基杏仁酸)升高支持肾上腺神经母细胞瘤诊断。
[参考文献]
1,黄橙如主编.小儿泌尿外科学[M].济南:山东科学技术出版社,1996:330~333.
2,王德延主编.肿瘤病理学[M].天津:天津科学技术出版社,1987,441~447
3,李欣,安玉,杨志勇.儿童肾母细胞瘤的CT诊断[J].中华放射学杂志,1998,32:185~187.
, http://www.100md.com
4,White KS, Kirks DR, Bove KE. Imaging of nephroblastomatosis: an overview [J]. Radiology, 1992,182: 1~ 5.
5,Fernbach SK,Feinstein KA, Donaldson JS, et al. Nephro-blastosis: comparison of CT with US and urography [J]. Radi-ology,1988,166: 153~ 156.
6,Reiman TA, Siegel MJ, Shackelford GD,et al. Wilms tumors in children: abdominal CT and US evaluation [J]. Radiology, 1986,160: 501~ 505.
7,Cormier PJ,Donaldson JS,Gonzalez-Crussi F. Nephrobla-stomatosis: missed diagnosis [J]. Radilolgy,1988,169: 737~ 738.
8,周康荣主编.腹部CT[M].上海:上海医科大学出版社,1993:174.
9,Ng YY,Hall-Craggs MA, Dicks-Mireaux C, et al. Wilms-tumour: pre-and post-chemotherapy CT appearances [J]. Clin Radiol, 1991, 43: 255~ 259.
收稿日期:1999-08-23;修回日期:1999-10-07, http://www.100md.com