抑癌基因nm23-H1诱导癌细胞凋亡及抗氧化作用的研究
作者:杨瑞仪 张美英 赵利淦
单位:杨瑞仪 张美英 赵利淦(暨南大学生物工程研究所,广东 广州510630)
关键词:nm23-H1基因;细胞凋亡;抗氧化
癌症000512
【摘要】目的:初步探讨nm23-H1基因的抑癌机制。方法:实验将nm23-H1基因转化进入人喉癌细胞Hep-2,使其在细胞中稳定表达。使用电镜观察细胞形态学变化,并测定抗氧化剂还原型谷胱苷肽(GSH)浓度。结果:nm23-H1转化的Hep-2细胞有核固缩、核分离等典型的细胞凋亡现象,其GSH浓度也有所升高(16.9%)。结论:表明nm23-H1具有诱导肿瘤细胞凋亡,提高肿瘤细胞抗氧化能力的作用。
, http://www.100md.com
中图分类号:R730.2文献标识码:A文章编号:1000-467X(2000)05-0436-03
nm23-H1 gene induces apoptosis and improves the antioxidation in tumor cell
Yang Rui-yi, Zhang Mei-ying, Zhao Li-gan
(Bioengineering Research Institute, Jinan University, Guangzhou, 510632, P.R.China.)
【 Abstract】 Objective: To investigate the effect of the human tumor suppressor gene nm23-H1. Method: The human tumor suppressor gene nm23-H1 was transfected in human laryngeal carcinoma cell Hep-2, and obtained the stable expressing cell line. Results: Under the electron microscopy, the nuclear condensation and nuclear separation were abserved in the nm23-H1 transfected Hep-2 cell. Moreover, the antioxidant GSH concentration in nm23-H1 transfected cell was higher than that in control cell. Conclusion: The results suggest that the nm23-H1 gene might cause apoptosis of tumor cell and improve the antioxidation of the tumor cell.
, http://www.100md.com
Key words: nm23-H1 gene; Apoptosis; Antioxidantion
nm23(non-metastatic23rd)基因是美国国立癌症研究所Steeg等人于1988年用消减杂交法在鼠k-1735黑色素瘤细胞中分离得到的与恶性肿瘤转移潜能密切相关的基因[1]。研究表明,nm23-H1基因能有效地抑制肿瘤转移,其表达水平与黑色素瘤、乳腺癌、卵巢癌、结肠癌等多种癌症的转移潜能呈负相关。nm23-H1基因是一个多功能基因,它不仅能抑制肿瘤转移,还具有控制细胞分化与组织发育的功能。其编码的蛋白具有核苷二磷酸激酶(NPDK)活性,为NPDK的一个亚基(NPDK-A)[2]。NPDK可介导二磷酸与三磷酸核苷的相互转化,维持细胞内NTP与dNTP库的平衡,参与信号传导[3],微管组装[4],细胞生长分裂[5]等活动,且具有转录翻译调控[6]、分化抑制[7]等功能。至今,nm23-H1基因的作用机制尚不清楚。本文研究了nm23-H1基因与细胞凋亡及抗氧化现象的相关性,为该基因的抑癌研究提供了新线索。
, http://www.100md.com
1材料与方法
1.1材料
Hep-2细胞,人喉癌细胞系,由本室保存;Hep-2/LXSN细胞为载体质粒pLXSN转染的细胞;Hep-2/nm23细胞为nm23-H1基因表达质粒pLXSN-nmH1稳定转染的细胞克隆,由本室建立[8]。
1.2电镜形态学观察
表1nm23-H1基因对人喉癌细胞Hep-2中还原型谷胱苷肽(GSH)浓度的影响(O.D.405nm,n=288) 细胞
GSH浓度
P值
Hep-2/nm23细胞
±S
, 百拇医药
升高率
0.283±0.05
16.9%
<0.05
Hep-2/LXSN细胞
0.243±0.007
Hep-2细胞
0.242±0.008
收集单层Hep-2细胞、Hep-2/LXSN细胞与Hep-2/nm23细胞。固定、脱水、包埋、超薄切片均按电镜常规技术进行。
1.3抗氧化实验——还原型谷胱苷肽(GSH)浓度测定[9]
, 百拇医药
Hep-2细胞、Hep-2/LXSN细胞与Hep-2/nm23细胞接种于96孔板培养48小时,PBS洗两遍,每孔加入100μl1%5-磺基水杨酸,-70℃冻融细胞,用含5mmol/LEDTA的PBS(pH7.5)1∶10稀释,各取100μl稀释液加入100μl分析缓冲液(含1.5mmol/LDTNB,0.5mmol/LNADPH的PBS)与50μl谷胱苷肽还原酶(GRD,1U/ml),室温5分钟,于405nm测定O.D.值。
2结果
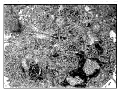
2.1nm23-H1基因诱导Hep-2细胞凋亡
电镜下,Hep-2细胞(图1)与Hep-2/LXSN细胞(图略)的细胞核都比较大,而Hep-2/nm23细胞则出现核固缩(图2)、核分离(图3)等现象,这是细胞凋亡的典型特征,表明nm23-H1基因具有诱导Hep-2细胞凋亡的作用。
, 百拇医药
图1Hep-2细胞(核比较大)(枸椽铅、醋酸铀染色,5000×)
图2Hep-2/nm23细胞(核固缩)(枸椽铅、醋酸铀染色,5000×)
图3Hep-2/nm23细胞(核分离成四个,内质网疏松)(枸椽铅、醋酸铀染色,5000×)
2.2nm23-H1基因的抗氧化作用
数据经t检验分析,发现Hep-2/nm23细胞中GSH的浓度增高(表1),表明nm23-H1基因具有提高癌细胞抗氧化能力的作用。
3讨论
, 百拇医药
癌细胞是一群增殖不受控制的细胞,越来越多的科学家倾向于将癌症视为一种涉及细胞过量增殖并放弃它们死亡能力的疾病。目前已证实了多种癌基因与抑癌基因,如bcl-2,rel,c-myc,p53基因等,参与细胞凋亡的调控。nm23基因具有抑癌作用,且与组织分化、发育有关。另一方面,细胞凋亡也与癌症、胚胎发育过程息息相关。那么两者是否具有某种联系呢?Venturelli.D.等人[10]发现在骨髓前体3Dc13细胞中,DR-nm23基因(nm23基因家族成员,与nm23-H1具有70%同源性)的组成型表达可抑制由粒细胞集落刺激因子引起的粒细胞分化以及诱导细胞凋亡。我们的结果发现,nm23-H1基因转化的Hep-2细胞出现核固缩、核分离等现象,这些形态学特征都是凋亡细胞特有的,而未经转化的细胞则没有这些现象。由此推测nm23-H1基因具有促细胞凋亡的作用。
许多研究表明,抗氧化剂具有防治癌症的效用。GSH是一种很好的抗氧化剂,在蛋白合成、DNA合成、酶活性、新陈代谢、保护细胞及抗衰老等生化过程中起直接或间接的作用。氧在生物体系中可以在多种酶的催化作用下产生超氧化物、H2O2等活性氧。这些活性氧可损伤DNA与蛋白质,具有致癌效应并能促进肿瘤细胞增殖。GSH可以在谷胱苷肽过氧化酶作用下,也可以直接与高活性的氧自由基反应,将氧自由基还原为H2O,而自身被氧化为GSSG。nm23-H1基因转化的细胞,其GSH浓度明显高于未转化的细胞,可见nm23-H1基因可提高癌细胞的抗氧化能力。本文的这两个研究结果和发现将为探讨nm23基因抑癌机制提供一些新的线索。
, 百拇医药
基金项目:国务院侨办重点学科科研基金(939536)资助
[参考文献]
1,Steeg PS, Bevilacqua G, Kopper L,et al. Evidence for a novel gene associated with low tumor metastatic potential [J]. J Natl Cancer Inst, 1988,80: 200.
2,Gilles AM, Presecan E, Vonica A, et al. Nucleoside diphosphate kinase from human erythrocytes. Structural charcterization of the two polypeptide chains responsible for heterogeneity of hexameric enzyme [J]. J Biol Chem,1991, 266(14): 8784.
, 百拇医药
3,Kimura N. Direct interaction between membrane-associated nucleoside diphosphate kinase and GTP-binding protein (GS), and its regulation by hormones and guanine nucleotide [J]. Biochem Biophy RES Commu, 1993, 261: 478.
4,Lakshmi MS, Parker C, Sherbet GV, et al. Metastasis associated MTS1 and Nm23 genes affect tubulin polymerization in B16 melanoma: a possible mechanism of their regulation of metastatic behaviour of tumors [J]. Anticancer Res, 1993, 13: 299.
, 百拇医药
5,Caligo Ma, Cipollini G, Fiore L,et al. Nm23 gene expression correlates with cell growth rate and S-phase [J]. Int J Cancer, 1995, 60(6): 837.
6,Berberich SJ, Postel EH. PuF/NM23-H2/NDPK-B trans-activates a human c-myc promoter-CAT gene via a functional nuclease hypersensitive element [J]. Oncogene, 1995, 10(2): 2343.
7,Okabe-Kado J, Kosukabe T, Honna Y, et al. A new function of nm23/NDPK kinase as a differentiation inhibitory factor which does not require its kinase activity [J]. FEBS Lett, 1995, 363(3): 311.
, 百拇医药
8,杨瑞仪,张美英,赵利淦.抑癌基因nm23-H1在逆转录病毒载体的表达[J].病毒学报,1999,15(2):185.
9,Weidong Y, David P. A new role for vascular endothelial growth factor and fibroblast growth factor, increasing endothelial resistance to oxidative stress [J]. FEBS Lett, 1997, 403: 139.
10,Venturelli D, Martinez R, Melotti P, et al. Over expression of DR-nm23, a protein encoded by a member of the nm23 gene family, inhibits granulocyte differentiation and induces apoptosis in 32Dc13 myeloid cells [J]. Proc Natl Acad Sci USA, 1995, 92: 7435.
收稿日期:1999-05-10;修回日期:1999-07-23, 百拇医药
单位:杨瑞仪 张美英 赵利淦(暨南大学生物工程研究所,广东 广州510630)
关键词:nm23-H1基因;细胞凋亡;抗氧化
癌症000512
【摘要】目的:初步探讨nm23-H1基因的抑癌机制。方法:实验将nm23-H1基因转化进入人喉癌细胞Hep-2,使其在细胞中稳定表达。使用电镜观察细胞形态学变化,并测定抗氧化剂还原型谷胱苷肽(GSH)浓度。结果:nm23-H1转化的Hep-2细胞有核固缩、核分离等典型的细胞凋亡现象,其GSH浓度也有所升高(16.9%)。结论:表明nm23-H1具有诱导肿瘤细胞凋亡,提高肿瘤细胞抗氧化能力的作用。
, http://www.100md.com
中图分类号:R730.2文献标识码:A文章编号:1000-467X(2000)05-0436-03
nm23-H1 gene induces apoptosis and improves the antioxidation in tumor cell
Yang Rui-yi, Zhang Mei-ying, Zhao Li-gan
(Bioengineering Research Institute, Jinan University, Guangzhou, 510632, P.R.China.)
【 Abstract】 Objective: To investigate the effect of the human tumor suppressor gene nm23-H1. Method: The human tumor suppressor gene nm23-H1 was transfected in human laryngeal carcinoma cell Hep-2, and obtained the stable expressing cell line. Results: Under the electron microscopy, the nuclear condensation and nuclear separation were abserved in the nm23-H1 transfected Hep-2 cell. Moreover, the antioxidant GSH concentration in nm23-H1 transfected cell was higher than that in control cell. Conclusion: The results suggest that the nm23-H1 gene might cause apoptosis of tumor cell and improve the antioxidation of the tumor cell.
, http://www.100md.com
Key words: nm23-H1 gene; Apoptosis; Antioxidantion
nm23(non-metastatic23rd)基因是美国国立癌症研究所Steeg等人于1988年用消减杂交法在鼠k-1735黑色素瘤细胞中分离得到的与恶性肿瘤转移潜能密切相关的基因[1]。研究表明,nm23-H1基因能有效地抑制肿瘤转移,其表达水平与黑色素瘤、乳腺癌、卵巢癌、结肠癌等多种癌症的转移潜能呈负相关。nm23-H1基因是一个多功能基因,它不仅能抑制肿瘤转移,还具有控制细胞分化与组织发育的功能。其编码的蛋白具有核苷二磷酸激酶(NPDK)活性,为NPDK的一个亚基(NPDK-A)[2]。NPDK可介导二磷酸与三磷酸核苷的相互转化,维持细胞内NTP与dNTP库的平衡,参与信号传导[3],微管组装[4],细胞生长分裂[5]等活动,且具有转录翻译调控[6]、分化抑制[7]等功能。至今,nm23-H1基因的作用机制尚不清楚。本文研究了nm23-H1基因与细胞凋亡及抗氧化现象的相关性,为该基因的抑癌研究提供了新线索。
, http://www.100md.com
1材料与方法
1.1材料
Hep-2细胞,人喉癌细胞系,由本室保存;Hep-2/LXSN细胞为载体质粒pLXSN转染的细胞;Hep-2/nm23细胞为nm23-H1基因表达质粒pLXSN-nmH1稳定转染的细胞克隆,由本室建立[8]。
1.2电镜形态学观察
表1nm23-H1基因对人喉癌细胞Hep-2中还原型谷胱苷肽(GSH)浓度的影响(O.D.405nm,n=288) 细胞
GSH浓度
P值
Hep-2/nm23细胞
, 百拇医药
升高率
0.283±0.05
16.9%
<0.05
Hep-2/LXSN细胞
0.243±0.007
Hep-2细胞
0.242±0.008
收集单层Hep-2细胞、Hep-2/LXSN细胞与Hep-2/nm23细胞。固定、脱水、包埋、超薄切片均按电镜常规技术进行。
1.3抗氧化实验——还原型谷胱苷肽(GSH)浓度测定[9]
, 百拇医药
Hep-2细胞、Hep-2/LXSN细胞与Hep-2/nm23细胞接种于96孔板培养48小时,PBS洗两遍,每孔加入100μl1%5-磺基水杨酸,-70℃冻融细胞,用含5mmol/LEDTA的PBS(pH7.5)1∶10稀释,各取100μl稀释液加入100μl分析缓冲液(含1.5mmol/LDTNB,0.5mmol/LNADPH的PBS)与50μl谷胱苷肽还原酶(GRD,1U/ml),室温5分钟,于405nm测定O.D.值。
2结果
2.1nm23-H1基因诱导Hep-2细胞凋亡
电镜下,Hep-2细胞(图1)与Hep-2/LXSN细胞(图略)的细胞核都比较大,而Hep-2/nm23细胞则出现核固缩(图2)、核分离(图3)等现象,这是细胞凋亡的典型特征,表明nm23-H1基因具有诱导Hep-2细胞凋亡的作用。
, 百拇医药
图1Hep-2细胞(核比较大)(枸椽铅、醋酸铀染色,5000×)
图2Hep-2/nm23细胞(核固缩)(枸椽铅、醋酸铀染色,5000×)
图3Hep-2/nm23细胞(核分离成四个,内质网疏松)(枸椽铅、醋酸铀染色,5000×)
2.2nm23-H1基因的抗氧化作用
数据经t检验分析,发现Hep-2/nm23细胞中GSH的浓度增高(表1),表明nm23-H1基因具有提高癌细胞抗氧化能力的作用。
3讨论
, 百拇医药
癌细胞是一群增殖不受控制的细胞,越来越多的科学家倾向于将癌症视为一种涉及细胞过量增殖并放弃它们死亡能力的疾病。目前已证实了多种癌基因与抑癌基因,如bcl-2,rel,c-myc,p53基因等,参与细胞凋亡的调控。nm23基因具有抑癌作用,且与组织分化、发育有关。另一方面,细胞凋亡也与癌症、胚胎发育过程息息相关。那么两者是否具有某种联系呢?Venturelli.D.等人[10]发现在骨髓前体3Dc13细胞中,DR-nm23基因(nm23基因家族成员,与nm23-H1具有70%同源性)的组成型表达可抑制由粒细胞集落刺激因子引起的粒细胞分化以及诱导细胞凋亡。我们的结果发现,nm23-H1基因转化的Hep-2细胞出现核固缩、核分离等现象,这些形态学特征都是凋亡细胞特有的,而未经转化的细胞则没有这些现象。由此推测nm23-H1基因具有促细胞凋亡的作用。
许多研究表明,抗氧化剂具有防治癌症的效用。GSH是一种很好的抗氧化剂,在蛋白合成、DNA合成、酶活性、新陈代谢、保护细胞及抗衰老等生化过程中起直接或间接的作用。氧在生物体系中可以在多种酶的催化作用下产生超氧化物、H2O2等活性氧。这些活性氧可损伤DNA与蛋白质,具有致癌效应并能促进肿瘤细胞增殖。GSH可以在谷胱苷肽过氧化酶作用下,也可以直接与高活性的氧自由基反应,将氧自由基还原为H2O,而自身被氧化为GSSG。nm23-H1基因转化的细胞,其GSH浓度明显高于未转化的细胞,可见nm23-H1基因可提高癌细胞的抗氧化能力。本文的这两个研究结果和发现将为探讨nm23基因抑癌机制提供一些新的线索。
, 百拇医药
基金项目:国务院侨办重点学科科研基金(939536)资助
[参考文献]
1,Steeg PS, Bevilacqua G, Kopper L,et al. Evidence for a novel gene associated with low tumor metastatic potential [J]. J Natl Cancer Inst, 1988,80: 200.
2,Gilles AM, Presecan E, Vonica A, et al. Nucleoside diphosphate kinase from human erythrocytes. Structural charcterization of the two polypeptide chains responsible for heterogeneity of hexameric enzyme [J]. J Biol Chem,1991, 266(14): 8784.
, 百拇医药
3,Kimura N. Direct interaction between membrane-associated nucleoside diphosphate kinase and GTP-binding protein (GS), and its regulation by hormones and guanine nucleotide [J]. Biochem Biophy RES Commu, 1993, 261: 478.
4,Lakshmi MS, Parker C, Sherbet GV, et al. Metastasis associated MTS1 and Nm23 genes affect tubulin polymerization in B16 melanoma: a possible mechanism of their regulation of metastatic behaviour of tumors [J]. Anticancer Res, 1993, 13: 299.
, 百拇医药
5,Caligo Ma, Cipollini G, Fiore L,et al. Nm23 gene expression correlates with cell growth rate and S-phase [J]. Int J Cancer, 1995, 60(6): 837.
6,Berberich SJ, Postel EH. PuF/NM23-H2/NDPK-B trans-activates a human c-myc promoter-CAT gene via a functional nuclease hypersensitive element [J]. Oncogene, 1995, 10(2): 2343.
7,Okabe-Kado J, Kosukabe T, Honna Y, et al. A new function of nm23/NDPK kinase as a differentiation inhibitory factor which does not require its kinase activity [J]. FEBS Lett, 1995, 363(3): 311.
, 百拇医药
8,杨瑞仪,张美英,赵利淦.抑癌基因nm23-H1在逆转录病毒载体的表达[J].病毒学报,1999,15(2):185.
9,Weidong Y, David P. A new role for vascular endothelial growth factor and fibroblast growth factor, increasing endothelial resistance to oxidative stress [J]. FEBS Lett, 1997, 403: 139.
10,Venturelli D, Martinez R, Melotti P, et al. Over expression of DR-nm23, a protein encoded by a member of the nm23 gene family, inhibits granulocyte differentiation and induces apoptosis in 32Dc13 myeloid cells [J]. Proc Natl Acad Sci USA, 1995, 92: 7435.
收稿日期:1999-05-10;修回日期:1999-07-23, 百拇医药