大鼠舌癌变过程中核维甲酸受体β mRNA的表达变化
作者:刘兴坤 何荣根 陈万涛 周曾同 周晓健
单位:刘兴坤(苏州市口腔医院口腔颌面外科 215005);何荣根(上海第二医科大学口腔医学院口腔颌面外科 200011);陈万涛(上海第二医科大学口腔医学院口腔颌面外科 200011);周曾同(上海第二医科大学口腔医学院口腔颌面外科 200011);周晓健(上海第二医科大学口腔医学院口腔颌面外科 200011)
关键词:癌,鳞状细胞;受体,维甲酸;动物,实验
中华口腔医学杂志000507 【摘要】 目的 探讨口腔癌变过程中核维甲酸受体β(retinoic acid receptor β,RARβ)mRNA表达与上皮细胞分化异常的相关性。方法 原位杂交检测69例4-硝基喹啉-1-氧化物(4NQO)口服诱发大鼠舌癌变各期组织RAR β mRNA表达。结果 正常粘膜、单纯性增生、轻中度异常增生、重度异常增生、原位癌、鳞癌的RAR β mRNA阳性率分别为100.0%、87.5%、75.0%、72.2%、45.5%和18.8%。 结论 RAR β mRNA下调表达与口腔癌变细胞分化异常密切相关,可能是口腔癌变的重要分子机制。
, 百拇医药
The expression of RAR β mRNA in rat tongue carcinogenesis
LIU Xingkun
(Department of Oral and Maxillofacial Surgrey, Suzhou Stomatological Hospital, Suzhou 215005, China)
HE Ronggen, CHEN Wantao, et al.
【Abstract】 Objective To elucidate the relationship between the expression of nuclear retinoic acid receptorβ (RARβ)mRNA in oral carcinogenesis and squamous cell aberrant differentiation. Methods A total of 69 rat tongue carcinogenesis specimens induced by 4-nitroquinoline-1-oxide (4NQO) were detected for RARβ mRNA by in situ hybridization. Results With the progress of tongue carcinogenesis and epithelium cell disdifferentiation, the expression of RARβ mRNA was down-regulated. The positive rate of RARβ mRNA in normal, hyperplasia, mild-moderate dysplasia, severe dysplasia, in situ carcinoma and squamous cell carcinoma was 100.0%, 87.5%, 75.0%, 72.2%, 45.5% and 18.8%, respectively. Conclusions The down-regulation of RARβ mRNA may be associated with the epithelium cell aberrant differentiation and may be an important molecular mechanism of oral carcinogenesis.
, 百拇医药
【Key words】 Carcinoma,squamous cell; Receptors, retinoic acid; Animals,laboratory
口腔癌的发生发展与上皮细胞分化异常密切相关。现已证实,细胞分化过程的起始是增殖相关基因(如E2F1、cdK1和P53等)的抑制,而后是分化特异性基因(TGaseⅠ、cornfin、pre-prorelaxin和cl-20等)的诱导表达[1]。近来,对上皮细胞分化特异性基因——核维甲酸受体β(retinoic acid receptor β, RAR β)的研究发现,其表达异常与肺癌、乳腺癌、头颈鳞癌等的发生有关[2-4]。我们采用原位杂交技术检测大鼠舌癌变过程中组织细胞RAR β mRNA的表达变化,进一步探讨口腔癌变细胞分化异常的内在机制。
材料和方法
, 百拇医药 1.标本来源:69例0.002%4-硝基喹啉-1-氧化物(4NQO)饮水(0~32周)诱发SD大鼠舌癌变组织液氮冻存块,所有标本均经双盲法病理证实。
2.试剂:鉴于鼠RAR β基因序列与人RAR β有92%~98%的同源性,本研究采用人RAR β cDNA探针(美国MD Anderson 癌症研究中心Xu XC博士惠赠)。地高辛DNA标记与检测试剂盒(Boehringer Mannheim)。
3.探针制备: 采用CaCl2法将含人RAR β cDNA重组质粒pSG5转化至大肠杆菌DH-5α,氨苄青霉素平板筛选,经小规模制备鉴定后,细菌培养扩增,碱裂解法大量抽提质粒DNA,聚乙醇沉淀纯化。限制性内切酶BamHⅠ、SpHⅠ酶切RAR β质粒,琼脂糖凝胶电泳分离,QIAqick柱回收所需DNA片段。随机引物法将探针标记上Dig-11-dUTP,制成cDNA探针。硝酸纤维素膜点膜法检测Dig标记的RAR β cDNA探针浓度为100 mg/L。
, 百拇医药
4. 原位杂交: 无RNAase操作下,连续冰冻切片3张,片厚10 μm,裱于经2% APES/丙酮硅化处理过的载玻片上。其中1张作HE染色;1张以PBS代替探针或RNAase消化做阴性对照;另1张作RARβ cDNA探针原位杂交。4%多聚甲醛/PBS/DEPC立即后固定10 min,0.1%有活性的0.1 mol/L, pH7.2 PBS/DEPC洗15 min×2次,5×SSC平衡15 min。预杂交,43 ℃,2 h。加含Dig-RARβ cDNA变性探针的杂交液20 μl/片,杂交,43 ℃,40 h。2×SSC→0.1×SSC 65 ℃振摇洗涤共3 h。抗体稀释液室温下封闭30 min后加1∶1 000 Anti-DIG-AKP,室温下孵育2 h。TSM1、TSM2各洗涤5 min×2次。NBT/BCIP避光显色,镜下观察适当时,0.05mol/L PBS漂洗终止。95%乙醇振摇洗涤1 h去除非特异性染色,重新水化,梯度乙醇脱水,二甲苯透明,中性树胶封片。
5.结果判断:本实验原位杂交为DNA-RNA杂交,阳性信号局限于胞浆中,为蓝色,胞核不着色。根据阳性细胞百分比及着色强度进行综合判分与分级:在标本阳性区域取10个高倍视野(10×40),每个视野记上皮细胞数及其中的阳性细胞数,计算10个视野内平均阳性细胞百分比,以<25%为1分,26%~50%为2分,51%~75%为3分,>75%为4分;着色强度以多数细胞显色反应为准,浅蓝色为1分,蓝色为2分,深蓝色为3分;两项相加即为综合判分,<2分为(-),2~3分为(+),4~5分为(++),6~7分为(+++)。
, 百拇医药
6.统计学处理: 在SPSS(7.5)统计软件下,将数据作合理合并,结果采用计数资料的结构相对数(%)表示,统计学分析采用行×列χ2检验或Fisher′s确切概率法。
结果
RAR β mRNA在口腔癌发生发展过程中的表达(表1)。 RAR β mRNA主要分布于正常舌粘膜上皮基底层及基底上3~4层细胞胞浆中(图1),随上皮恶变进展,RAR β mRNA表达自基底上层向下逐渐消失(图2~4)。正常粘膜、单纯性增生、轻中度异常增生、重度异常增生、原位癌、鳞癌的RAR β mRNA阳性率分别为100.0%、87.5%、75.0%、72.2%、45.5%和18.8%,即随口腔癌变进展,RAR β mRNA表达递减;特别是当进入鳞癌阶段,癌细胞中基本上见不到RAR β mRNA阳性细胞;与正常粘膜(含单纯增生)和癌前病变(异常增生)阳性率相比,口腔癌(含原位癌)差异有显著性(P<0.01)。
, http://www.100md.com
表1 RAR β mRNA在大鼠舌癌变过程中的表达(例) 组织学
n
-
+
++
+++
阳性率(+~+++)(%)
正常*
16
1
1
8
, 百拇医药 6
93.8
正常粘膜上皮
8
0
0
2
6
100.0
单纯增生上皮
8
1
1
6
, 百拇医药
0
87.5
癌前病变**
26
7
9
10
0
73.1
轻中度异常增生
8
2
2
, http://www.100md.com
4
0
75.0
重度异常增生
18
5
7
6
0
72.2
口腔癌***
27
19
, 百拇医药
7
1
0
29.6
原位癌
11
6
4
1
0
45.5
鳞癌
16
13
, 百拇医药
3
0
0
18.8
注:*∶***,**∶***, P<0.01;*∶**, P>0.05; χ2=19.95, P<0.01
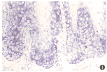
图1 大鼠正常舌粘膜上皮,RAR β mRNA主要分布于基底层及基底上3~4层细胞胞浆中(ISH ×400)
图2 舌重度异常增生上皮,RAR β mRNA阳性细胞减少,仅在基底层细胞中表达(ISH ×400)
, 百拇医药
图3 舌粘膜上皮原位癌,RAR β mRNA阳性细胞进一步减少(ISH ×400)
图4 舌粘膜上皮鳞癌,癌巢中基本上见不到RAR β mRNA阳性细胞(ISH ×400)
讨论
口腔粘膜在不断的更新之中,上皮细胞从基底层开始重复增殖-分化的过程,这一过程与一系列上皮特异基因的序贯表达有关。目前已克隆并鉴定了其中的一些基因,包括基底层的CK5、14,棘层的CK1、10、包壳蛋白,颗粒层的细丝聚集素、loricrin等,所有这些基因的表达均受体内维甲酸(retinoic acid, RA)水平的影响。
RA是一类天然或合成的具有维生素A的结构或活性的化合物,它是机体生长、生命维持,特别是上皮组织的分化及保持正常功能所必需。当RA缺乏时,上皮发育生长和分化障碍,伴有细胞分裂及核酸合成增加,粘膜上皮化生,产生类似癌前病变的病理形态学改变。流行病学分析证明维生素A摄取不足,人群的肺癌发生率比健康人群高;胃肠道癌症患者血清中维生素A低于健康人;使用大剂量RA类化合物则可预防或减少实验性肿瘤的发生;RA类化合物对皮肤、上呼吸道和消化道的癌前病变及外阴白斑、口腔白斑有较好的化学预防和治疗作用,RA被称为“肿瘤生理性抑制剂”。目前基本明确了RA作用的靶分子——维甲酸受体[2]。
, http://www.100md.com
维甲酸受体属于类固醇/甲状腺激素核受体超家簇成员之一,由Gigugere等[5]首先发现。按照其氨基酸序列的差异分为核维甲酸受体(RARs)和维甲酸X受体(RXRs)两大类,每类又分别有α、β、γ 3个亚型。与上皮分化有关的为RAR β受体,该受体位于染色体3p24,全长含448个氨基酸残基,主要分布于心、肺、肝、脾及皮肤组织中。
RAR β受体与肿瘤的分化及恶性转化有关,它是一种潜在的肿瘤抑制基因。Wan[6]报告,成年组织中RAR β表达明显高于胚胎组织,提示RAR β参与细胞的分化及成熟。RAR β基因转录水平下降或缺失可使上皮细胞逃脱天然RA的控制,可能是头颈鳞癌发生的主要原因之一[2]。本研究采用原位杂交技术检测大鼠舌癌变过程中组织细胞RAR β mRNA的表达变化,结果显示:随大鼠口腔癌变的进展,RAR β mRNA阳性率不断下降,在正常上皮中呈100.0%表达,在重度异常增生中则降为72.2%,在原位癌和鳞癌中则降为45.5%和18.8%。该结果支持Xu等[7]在头颈鳞癌及其癌旁组织中RAR β mRNA的表达研究结论。结合本实验对人舌鳞癌细胞Tca8113进行检测,发现RARβmRNA表达量极低,加用1 μmol/L全反式维甲酸(ATRA)后,其表达量上升4倍,并呈现治疗作用,说明癌细胞RARβ基因结构并没有破坏,而是转录发生了抑制,是可逆的。本研究进一步支持了癌变是细胞分化异常的理论,它不是因为细胞核内遗传物质发生不可逆的改变,而是由于基因选择激活的结果,采用诱导分化治疗肿瘤和逆转癌前病变是可行的。
, http://www.100md.com
RAR β受体在功能上是一种配体依赖性的转录调节因子[2,7]。其主要配体是RA,当它进入细胞后即与细胞内维甲酸结合蛋白结合,转运至细胞核,在核内RA与RAR β受体结合形成二聚体,它能识别染色体DNA上的RA反应元件序列,以此结合于含RA反应元件的特定应答基因上游,并通过它实现对靶基因的调控,进而影响到细胞的分化。Stellmach等[8]的研究表明,RA可通过RARs对CK14,CK5基因5'上游序列的作用而快速调节角蛋白基因的转录水平,从而影响角蛋白的mRNA和蛋白水平。口腔癌变过程中所特有的角蛋白谱时序变化可能与RAR β mRNA的下调表达有密切关系,其深入的分子机制有待进一步研究。
RAR β mRNA的下调可能是口腔癌变细胞分化异常的分子基础。RAR β mRNA在口腔癌发生中的规律性变化说明它是一个有潜在价值的分子标志,对其检测为癌前病变的诊断、恶变预测和防治效果评价提供了较特异的客观标志;对其表达进行有效调控为口腔癌的化学预防和诱导分化治疗提供了有价值的理论和实验依据。
, 百拇医药
基金项目:国家自然科学基金资助项目(39670787)
参考文献
1,Arany I, Adler SK, Chen Z, et al. Differentiation markers in oral carcinoma cell lines and tumors. Anticancer Res, 1997,17:4607-4610.
2,Lotan R. Retinoids and their receptors in modulation of differentiation, development, and prevention of head and neck cancers. Anticancer Res, 1996,16:2415-2419.
3,Widschwendter M, Berger J, Daxenbichler G, et al. Loss of retinoic acid receptor β expression in breast cancer and morphologically normal adjacent tissue but not in the normal breast tissue distant from the cancer. Cancer Res, 1997,57:4158-4161.
, 百拇医药
4,Minna JD, Mangelsdorf DJ. Retinoic acid receptor expression abnormalities in lung cancer: Important clues or major obstacles? J Natl Cancer Inst, 1997,89:602-604.
5,Gigugere V, Ong ES, Segui P, et al. Identification of a receptor for the morphogen retinoic acid. Nature, 1987,330:624-629.
6,Wan YJ. Retinoic acid and its receptors. Am J Surg, 1993,166:50-53.
7,Xu XC, Ro JY, Lee JS, et al. Differential expression of nuclear retinoid receptors in normal, premalignant, and malignant head and neck tissues. Cancer Res, 1994,54:3580-3587.
8,Stellmach V, Leask A, Fuchs E. Retinoid-mediated transcrip-tional regulation of keratin genes in human epidermal and squamous cell carcinoma cells. Proc Natl Acad Sci USA, 1991,88 : 4582-4586.
(收稿日期:1999-10-20), http://www.100md.com
单位:刘兴坤(苏州市口腔医院口腔颌面外科 215005);何荣根(上海第二医科大学口腔医学院口腔颌面外科 200011);陈万涛(上海第二医科大学口腔医学院口腔颌面外科 200011);周曾同(上海第二医科大学口腔医学院口腔颌面外科 200011);周晓健(上海第二医科大学口腔医学院口腔颌面外科 200011)
关键词:癌,鳞状细胞;受体,维甲酸;动物,实验
中华口腔医学杂志000507 【摘要】 目的 探讨口腔癌变过程中核维甲酸受体β(retinoic acid receptor β,RARβ)mRNA表达与上皮细胞分化异常的相关性。方法 原位杂交检测69例4-硝基喹啉-1-氧化物(4NQO)口服诱发大鼠舌癌变各期组织RAR β mRNA表达。结果 正常粘膜、单纯性增生、轻中度异常增生、重度异常增生、原位癌、鳞癌的RAR β mRNA阳性率分别为100.0%、87.5%、75.0%、72.2%、45.5%和18.8%。 结论 RAR β mRNA下调表达与口腔癌变细胞分化异常密切相关,可能是口腔癌变的重要分子机制。
, 百拇医药
The expression of RAR β mRNA in rat tongue carcinogenesis
LIU Xingkun
(Department of Oral and Maxillofacial Surgrey, Suzhou Stomatological Hospital, Suzhou 215005, China)
HE Ronggen, CHEN Wantao, et al.
【Abstract】 Objective To elucidate the relationship between the expression of nuclear retinoic acid receptorβ (RARβ)mRNA in oral carcinogenesis and squamous cell aberrant differentiation. Methods A total of 69 rat tongue carcinogenesis specimens induced by 4-nitroquinoline-1-oxide (4NQO) were detected for RARβ mRNA by in situ hybridization. Results With the progress of tongue carcinogenesis and epithelium cell disdifferentiation, the expression of RARβ mRNA was down-regulated. The positive rate of RARβ mRNA in normal, hyperplasia, mild-moderate dysplasia, severe dysplasia, in situ carcinoma and squamous cell carcinoma was 100.0%, 87.5%, 75.0%, 72.2%, 45.5% and 18.8%, respectively. Conclusions The down-regulation of RARβ mRNA may be associated with the epithelium cell aberrant differentiation and may be an important molecular mechanism of oral carcinogenesis.
, 百拇医药
【Key words】 Carcinoma,squamous cell; Receptors, retinoic acid; Animals,laboratory
口腔癌的发生发展与上皮细胞分化异常密切相关。现已证实,细胞分化过程的起始是增殖相关基因(如E2F1、cdK1和P53等)的抑制,而后是分化特异性基因(TGaseⅠ、cornfin、pre-prorelaxin和cl-20等)的诱导表达[1]。近来,对上皮细胞分化特异性基因——核维甲酸受体β(retinoic acid receptor β, RAR β)的研究发现,其表达异常与肺癌、乳腺癌、头颈鳞癌等的发生有关[2-4]。我们采用原位杂交技术检测大鼠舌癌变过程中组织细胞RAR β mRNA的表达变化,进一步探讨口腔癌变细胞分化异常的内在机制。
材料和方法
, 百拇医药 1.标本来源:69例0.002%4-硝基喹啉-1-氧化物(4NQO)饮水(0~32周)诱发SD大鼠舌癌变组织液氮冻存块,所有标本均经双盲法病理证实。
2.试剂:鉴于鼠RAR β基因序列与人RAR β有92%~98%的同源性,本研究采用人RAR β cDNA探针(美国MD Anderson 癌症研究中心Xu XC博士惠赠)。地高辛DNA标记与检测试剂盒(Boehringer Mannheim)。
3.探针制备: 采用CaCl2法将含人RAR β cDNA重组质粒pSG5转化至大肠杆菌DH-5α,氨苄青霉素平板筛选,经小规模制备鉴定后,细菌培养扩增,碱裂解法大量抽提质粒DNA,聚乙醇沉淀纯化。限制性内切酶BamHⅠ、SpHⅠ酶切RAR β质粒,琼脂糖凝胶电泳分离,QIAqick柱回收所需DNA片段。随机引物法将探针标记上Dig-11-dUTP,制成cDNA探针。硝酸纤维素膜点膜法检测Dig标记的RAR β cDNA探针浓度为100 mg/L。
, 百拇医药
4. 原位杂交: 无RNAase操作下,连续冰冻切片3张,片厚10 μm,裱于经2% APES/丙酮硅化处理过的载玻片上。其中1张作HE染色;1张以PBS代替探针或RNAase消化做阴性对照;另1张作RARβ cDNA探针原位杂交。4%多聚甲醛/PBS/DEPC立即后固定10 min,0.1%有活性的0.1 mol/L, pH7.2 PBS/DEPC洗15 min×2次,5×SSC平衡15 min。预杂交,43 ℃,2 h。加含Dig-RARβ cDNA变性探针的杂交液20 μl/片,杂交,43 ℃,40 h。2×SSC→0.1×SSC 65 ℃振摇洗涤共3 h。抗体稀释液室温下封闭30 min后加1∶1 000 Anti-DIG-AKP,室温下孵育2 h。TSM1、TSM2各洗涤5 min×2次。NBT/BCIP避光显色,镜下观察适当时,0.05mol/L PBS漂洗终止。95%乙醇振摇洗涤1 h去除非特异性染色,重新水化,梯度乙醇脱水,二甲苯透明,中性树胶封片。
5.结果判断:本实验原位杂交为DNA-RNA杂交,阳性信号局限于胞浆中,为蓝色,胞核不着色。根据阳性细胞百分比及着色强度进行综合判分与分级:在标本阳性区域取10个高倍视野(10×40),每个视野记上皮细胞数及其中的阳性细胞数,计算10个视野内平均阳性细胞百分比,以<25%为1分,26%~50%为2分,51%~75%为3分,>75%为4分;着色强度以多数细胞显色反应为准,浅蓝色为1分,蓝色为2分,深蓝色为3分;两项相加即为综合判分,<2分为(-),2~3分为(+),4~5分为(++),6~7分为(+++)。
, 百拇医药
6.统计学处理: 在SPSS(7.5)统计软件下,将数据作合理合并,结果采用计数资料的结构相对数(%)表示,统计学分析采用行×列χ2检验或Fisher′s确切概率法。
结果
RAR β mRNA在口腔癌发生发展过程中的表达(表1)。 RAR β mRNA主要分布于正常舌粘膜上皮基底层及基底上3~4层细胞胞浆中(图1),随上皮恶变进展,RAR β mRNA表达自基底上层向下逐渐消失(图2~4)。正常粘膜、单纯性增生、轻中度异常增生、重度异常增生、原位癌、鳞癌的RAR β mRNA阳性率分别为100.0%、87.5%、75.0%、72.2%、45.5%和18.8%,即随口腔癌变进展,RAR β mRNA表达递减;特别是当进入鳞癌阶段,癌细胞中基本上见不到RAR β mRNA阳性细胞;与正常粘膜(含单纯增生)和癌前病变(异常增生)阳性率相比,口腔癌(含原位癌)差异有显著性(P<0.01)。
, http://www.100md.com
表1 RAR β mRNA在大鼠舌癌变过程中的表达(例) 组织学
n
-
+
++
+++
阳性率(+~+++)(%)
正常*
16
1
1
8
, 百拇医药 6
93.8
正常粘膜上皮
8
0
0
2
6
100.0
单纯增生上皮
8
1
1
6
, 百拇医药
0
87.5
癌前病变**
26
7
9
10
0
73.1
轻中度异常增生
8
2
2
, http://www.100md.com
4
0
75.0
重度异常增生
18
5
7
6
0
72.2
口腔癌***
27
19
, 百拇医药
7
1
0
29.6
原位癌
11
6
4
1
0
45.5
鳞癌
16
13
, 百拇医药
3
0
0
18.8
注:*∶***,**∶***, P<0.01;*∶**, P>0.05; χ2=19.95, P<0.01
图1 大鼠正常舌粘膜上皮,RAR β mRNA主要分布于基底层及基底上3~4层细胞胞浆中(ISH ×400)
图2 舌重度异常增生上皮,RAR β mRNA阳性细胞减少,仅在基底层细胞中表达(ISH ×400)
, 百拇医药
图3 舌粘膜上皮原位癌,RAR β mRNA阳性细胞进一步减少(ISH ×400)
图4 舌粘膜上皮鳞癌,癌巢中基本上见不到RAR β mRNA阳性细胞(ISH ×400)
讨论
口腔粘膜在不断的更新之中,上皮细胞从基底层开始重复增殖-分化的过程,这一过程与一系列上皮特异基因的序贯表达有关。目前已克隆并鉴定了其中的一些基因,包括基底层的CK5、14,棘层的CK1、10、包壳蛋白,颗粒层的细丝聚集素、loricrin等,所有这些基因的表达均受体内维甲酸(retinoic acid, RA)水平的影响。
RA是一类天然或合成的具有维生素A的结构或活性的化合物,它是机体生长、生命维持,特别是上皮组织的分化及保持正常功能所必需。当RA缺乏时,上皮发育生长和分化障碍,伴有细胞分裂及核酸合成增加,粘膜上皮化生,产生类似癌前病变的病理形态学改变。流行病学分析证明维生素A摄取不足,人群的肺癌发生率比健康人群高;胃肠道癌症患者血清中维生素A低于健康人;使用大剂量RA类化合物则可预防或减少实验性肿瘤的发生;RA类化合物对皮肤、上呼吸道和消化道的癌前病变及外阴白斑、口腔白斑有较好的化学预防和治疗作用,RA被称为“肿瘤生理性抑制剂”。目前基本明确了RA作用的靶分子——维甲酸受体[2]。
, http://www.100md.com
维甲酸受体属于类固醇/甲状腺激素核受体超家簇成员之一,由Gigugere等[5]首先发现。按照其氨基酸序列的差异分为核维甲酸受体(RARs)和维甲酸X受体(RXRs)两大类,每类又分别有α、β、γ 3个亚型。与上皮分化有关的为RAR β受体,该受体位于染色体3p24,全长含448个氨基酸残基,主要分布于心、肺、肝、脾及皮肤组织中。
RAR β受体与肿瘤的分化及恶性转化有关,它是一种潜在的肿瘤抑制基因。Wan[6]报告,成年组织中RAR β表达明显高于胚胎组织,提示RAR β参与细胞的分化及成熟。RAR β基因转录水平下降或缺失可使上皮细胞逃脱天然RA的控制,可能是头颈鳞癌发生的主要原因之一[2]。本研究采用原位杂交技术检测大鼠舌癌变过程中组织细胞RAR β mRNA的表达变化,结果显示:随大鼠口腔癌变的进展,RAR β mRNA阳性率不断下降,在正常上皮中呈100.0%表达,在重度异常增生中则降为72.2%,在原位癌和鳞癌中则降为45.5%和18.8%。该结果支持Xu等[7]在头颈鳞癌及其癌旁组织中RAR β mRNA的表达研究结论。结合本实验对人舌鳞癌细胞Tca8113进行检测,发现RARβmRNA表达量极低,加用1 μmol/L全反式维甲酸(ATRA)后,其表达量上升4倍,并呈现治疗作用,说明癌细胞RARβ基因结构并没有破坏,而是转录发生了抑制,是可逆的。本研究进一步支持了癌变是细胞分化异常的理论,它不是因为细胞核内遗传物质发生不可逆的改变,而是由于基因选择激活的结果,采用诱导分化治疗肿瘤和逆转癌前病变是可行的。
, http://www.100md.com
RAR β受体在功能上是一种配体依赖性的转录调节因子[2,7]。其主要配体是RA,当它进入细胞后即与细胞内维甲酸结合蛋白结合,转运至细胞核,在核内RA与RAR β受体结合形成二聚体,它能识别染色体DNA上的RA反应元件序列,以此结合于含RA反应元件的特定应答基因上游,并通过它实现对靶基因的调控,进而影响到细胞的分化。Stellmach等[8]的研究表明,RA可通过RARs对CK14,CK5基因5'上游序列的作用而快速调节角蛋白基因的转录水平,从而影响角蛋白的mRNA和蛋白水平。口腔癌变过程中所特有的角蛋白谱时序变化可能与RAR β mRNA的下调表达有密切关系,其深入的分子机制有待进一步研究。
RAR β mRNA的下调可能是口腔癌变细胞分化异常的分子基础。RAR β mRNA在口腔癌发生中的规律性变化说明它是一个有潜在价值的分子标志,对其检测为癌前病变的诊断、恶变预测和防治效果评价提供了较特异的客观标志;对其表达进行有效调控为口腔癌的化学预防和诱导分化治疗提供了有价值的理论和实验依据。
, 百拇医药
基金项目:国家自然科学基金资助项目(39670787)
参考文献
1,Arany I, Adler SK, Chen Z, et al. Differentiation markers in oral carcinoma cell lines and tumors. Anticancer Res, 1997,17:4607-4610.
2,Lotan R. Retinoids and their receptors in modulation of differentiation, development, and prevention of head and neck cancers. Anticancer Res, 1996,16:2415-2419.
3,Widschwendter M, Berger J, Daxenbichler G, et al. Loss of retinoic acid receptor β expression in breast cancer and morphologically normal adjacent tissue but not in the normal breast tissue distant from the cancer. Cancer Res, 1997,57:4158-4161.
, 百拇医药
4,Minna JD, Mangelsdorf DJ. Retinoic acid receptor expression abnormalities in lung cancer: Important clues or major obstacles? J Natl Cancer Inst, 1997,89:602-604.
5,Gigugere V, Ong ES, Segui P, et al. Identification of a receptor for the morphogen retinoic acid. Nature, 1987,330:624-629.
6,Wan YJ. Retinoic acid and its receptors. Am J Surg, 1993,166:50-53.
7,Xu XC, Ro JY, Lee JS, et al. Differential expression of nuclear retinoid receptors in normal, premalignant, and malignant head and neck tissues. Cancer Res, 1994,54:3580-3587.
8,Stellmach V, Leask A, Fuchs E. Retinoid-mediated transcrip-tional regulation of keratin genes in human epidermal and squamous cell carcinoma cells. Proc Natl Acad Sci USA, 1991,88 : 4582-4586.
(收稿日期:1999-10-20), http://www.100md.com