广州管圆线虫病的胸部CT表现
程建敏 黄汉津 王小同 吴爱琴 虞志康 许方洪 孔秋雁
摘要 目的:探讨广州管圆线虫病的胸部CT表现。方法:分析12例经临床及血清学检查证实的广州管圆线虫病的胸部CT所见,所有病例均作胸部平扫,在病灶区增加层厚2 mm、间隔2 mm的薄层扫描。结果:12例CT片上均显示有异常病灶。包括小结节病灶10例,其中8例小结节周缘见磨玻璃样密度的“小结节月晕征”;小斑片磨玻璃样浸润灶7例; 外带部支气管血管束呈“Y”形增粗3例。病灶具有两肺周边部散在分布的特点。结论:广州管圆线虫病具有较典型的嗜酸性粒细胞肺部浸润的影像表现。结合临床、实验室检查及试验性治疗可获确诊。
关键词:圆线虫属 肺嗜酸粒细胞增多 体层摄影术 X线计算机
广州管圆线虫病(angiostrongylus cantonensis)是一种少见的寄生虫病。其致病病原体——管圆线虫最先于1935年在广州家鼠及褐家鼠的肺被检出,故命名为广州管圆线虫(以下简称广圆线虫)。1945年Norura等在我国台湾省发现首例广圆线虫病,随后东南亚国家和地区相继有病例报道[1]。我国大陆1984年以来仅有3例个案报告[1-3],新近温州暴发流行广圆线虫病实属罕见。鉴于本病胸部CT影像表现笔者未见文献记载,故搜集12例资料完整的胸部CT影像作一回顾性分析,并就有关问题进行讨论,旨在探讨本病的胸部CT表现,提高对本病的认识。
, http://www.100md.com
材料与方法
本组12例中,男3例,女9例,均符合下列诊断标准:(1)同时生食螺肉1周后陆续发病。(2)急性起病,前驱症状有皮肤过敏性搔痒和发热。(3)疼痛过敏特别突出,具一触就痛的特点,疼痛剧烈,常需麻醉剂才得以缓解,一般止痛药无效。(4)周围血液及脑脊液中嗜酸性粒细胞明显增多,周围血最高达0.37,脑脊液中最高达0.72。(5)脑脊液和血清抗广圆线虫抗体阳性,其他寄生虫抗体均阴性。(6)经糖皮质激素(以下简称激素)、驱虫药(肠虫清)治疗有效。
本组病例均于入院后1周内行CT扫描,其中8例治疗后5~30天内行第2次CT复查。于CT检查前2天内所有病例均摄有胸部X线正位片。CT扫描采用美国GE Sytec 2000i型机器,以10 mm层厚,10 mm间隔检查。在病灶区增加薄层(2 mm层厚,2 mm间隔)扫描,局部放大,骨重建成像。
结果
, 百拇医药
12例胸部平片除2例有非典型局灶性病灶外均无阳性发现。
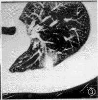
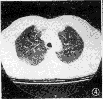
CT扫描,12例均有明显异常病灶显示。本组病例胸部CT表现包括:(1)小结节病灶 10例,结节影直径均在1 cm以下(范围0.5~1.0 cm),位居肺野外带胸膜下部(图1),其中8例小结节影周缘可见磨玻璃样密度的晕圈,即月晕征(图2,3)。(2)小斑片局灶性磨玻璃样密度影,在肺野外带浸润(图4),斑片与正常肺临界缘呈“小三角形”改变7例,部分在肺尖部散在,形似浸润型结核(图5)。(3)外带支气管血管束呈局灶性“Y”形增粗3例(图6)。上述小结节影、小斑片淡薄影均在两肺周边区域呈多灶性散在分布,没有大叶融合倾向。全组病例纵隔、肺门部未见肿大淋巴结。
图1 右肺中叶胸膜下区小结节灶,与之连接的支气管血管束增粗
, 百拇医药
图2 右上肺前段胸膜下区“小结节月晕征”
图3 左上肺后段外带“结节月晕征”
图4 右上肺段斑片状磨玻璃样密度病灶
图5 两肺尖斑片状浸润灶,形似浸润型肺结核
图6 局灶性支气管血管束呈“Y”形增粗
, 百拇医药
8例分别经激素、驱虫药治疗后5~30天时行CT复查,病灶均完全吸收,没有任何痕迹遗留。
讨论
广圆线虫病主要流行在热带、亚热带地区,以太平洋岛屿及东南亚地区为多。广圆线虫的终宿主为哺乳动物,如啮齿类、猫科动物等,主要是鼠类。中间宿主为褐云玛瑙螺、福寿螺等多种陆生螺类,转续宿主有蛙、蟹、虾等。一般情况下其成虫在鼠肺动脉内发育、产卵,虫卵随血流进入肺毛细血管,孵出I期幼虫。嗣后幼虫穿过肺泡入呼吸道,再经气管上行至咽喉部转入消化道,随粪便排出体外。当I期幼虫被中间宿主吞食或幼虫主动侵入中间宿主后,经2次蜕皮变为Ⅲ期幼虫,即感染性幼虫。人们因生食这些软体动物而使感染性幼虫潜入人体,并在体内移行产生一系列病症,特别是嗜酸性粒细胞增多性脑脊膜炎[4]。本组所有病例发病前3~25天均有生食淡水螺病史。嗣后,潘长旺等[5]根据本次发病线索,在温州、苍南、金乡等地福寿螺中找到广圆线虫,证实温州是广圆线虫病的疫源地,为本病在中国大陆的暴发流行提供了一个重要证据。
, 百拇医药
本病在临床上主要表现为剧烈头痛、肋间神经痛,脑脊液、外周血液中嗜酸性粒细胞增高等嗜酸性粒细胞增多性脑脊膜炎症状。本组12例均具上述症状,脑脊液及外周血液中嗜酸性粒细胞显著增高,脑脊液中最高计数达0.72,外周血液中最高达0.37。而呼吸道症状不明显,这与本病在人类主要累及脑脊膜有关。本组病例系因胸痛行CT检查,才发现了肺部浸润灶,占住院病例的54.5%(12/22例)。
胸部CT基本表现各例极为相似,表现为小结节影10例,其中8例示有明显小结节月晕征;周缘部小斑片磨玻璃样浸润灶7例;支气管血管束局灶性“Y”形增粗3例,此类征象均颇具特征。病灶均散布在两肺周边部,没有大叶融合倾向。一般认为这与虫卵沉着于肺部毛细血管,逐渐发育为幼虫,幼虫可穿过肺泡壁,由于虫卵的刺激、幼虫的移行造成损伤,以及机体的免疫反应,使肺小动脉外周有淋巴细胞和嗜酸性粒细胞浸润,肺泡、肺泡壁间隔亦受浸润,并致水肿、出血等病理改变有关。梁浩昆等[6]通过对感染大白鼠的肺部病理检查,亦发现肺组织有瘀血、出血现象,并有较广泛的组织细胞增生伴嗜酸性粒细胞浸润。但本组病例肺部影像表现比大白鼠的肺部浸润病灶明显稀少、轻微,这可能是由于人类不是本虫的正常终末宿主,感染本虫后机体反应强烈,轻者经治疗而痊愈,因而虫体移至肺部机会较少有关。肺部嗜酸性粒细胞增多症可见于多种寄生虫病,包括线虫属、吸虫属、绦虫属感染,已有众多报道[7]。本病胸部CT表现与Kang等[8]所报道的特发性嗜酸性粒细胞增多综合征肺部浸润的表现极为类似,且本组8例治疗后5~30天随访均无病灶遗留痕迹,1例做过支气管镜检查,肉眼、病理观察呈炎症性改变,冲洗液中见到较多的嗜酸性粒细胞。因此,我们认为本病胸部表现主要病理基础为胸部嗜酸性粒细胞浸润。CT上斑片状磨玻璃样影系肺泡、肺泡壁嗜酸性粒细胞浸润所致。相同原理,小结节月晕征、支气管血管束局灶增粗亦与支气管血管束周围嗜酸性粒细胞浸润有关[9]。
, 百拇医药
CT所示结节周围的磨玻璃样密度“月晕征”虽可见于多种病症,包括感染病变、结核瘤、Wegner肉芽肿、转移性血管肉瘤和支气管肺泡癌等[8],Primack等[10]也提出大部分出血性结节CT片上可见“月晕征”。但本病的结节影甚小,且具肺周边部散在分布的特点,再者临床上有明显的外周血液及脑脊液嗜酸性粒细胞增多,具有一定的鉴别诊断意义。另外,虽然本病的胸部影像与特发性嗜酸性粒细胞增多症肺部浸润类似,但后者临床上常有呼吸衰竭症状,而本组呼吸道症状轻微,并且血清学检查可予以区别。
广圆线虫病的诊断主要依靠流行病学、典型临床表现及实验室检查直接或间接证明病原虫。胸部CT扫描的价值在于提示嗜酸性粒细胞浸润的肺部表现,可为临床早期诊断提供重要的参考价值。
作者单位:325027 温州,温州医学院附属第二医院放射科(程建敏、吴爱琴、虞志康、许方洪、孔秋雁),内科(黄汉津、王小同)参考文献
, http://www.100md.com
[1] 梁浩昆.广州管圆线虫病的流行病学概述.中华流行病学杂志,1986,7:61-65.
[2] 何竟智,朱师晦,杨思齐,等.广州管圆线虫病在我国大陆人群病例的脑脊液中首次发现和证实.广州医学院学报,1984,12:1.
[3] 常正山,蒋则孝,倪秀君,等.在患者脑脊液中同时查见广州管 圆线虫第Ⅴ期幼虫与发育期雌性成虫.中国寄生虫学与寄生虫病杂志,1997,15:285-287.
[4] 赵慰先,主编.人体寄生虫学.第2版.北京:人民卫生出版社,1994.777-788.
[5] 潘长旺,邢文鸾,梁绍辉,等.温州广州管圆线虫宿主的调查研究.温州医学院学报,1998,28:8-10.
[6] 梁浩昆,沈浩贤,李烈.广州管圆线虫病对实验动物致病作用的实验研究.广州医学院学报,1984,12:38-47.
, http://www.100md.com
[7] Lombard CM,Tazelaar HD,Krasne DL.Pulmonary eosinophilia in coccidioidal infections.Chest, 1987,91:734-736.
[8] Kang EY, Shim JJ, Kim JS, et al.Pulmonary involvement of idiopathic hypereosinophilic syndrome:CT findings in five patients. J Comput Assist Tomogr,1997,21:612-615.
[9] Cheon JE,Lee KS, Jung GS, et al. Acute eosinophilic pneumonia:radiographic and CT findings in six patients. AJR, 1996,167:1195-1199.
[10] Primack SL, Hartman TE, Lee KS,et al. Pulmonary nodules and the CT halo sign. Radiology, 1994,190:513-515., 百拇医药
摘要 目的:探讨广州管圆线虫病的胸部CT表现。方法:分析12例经临床及血清学检查证实的广州管圆线虫病的胸部CT所见,所有病例均作胸部平扫,在病灶区增加层厚2 mm、间隔2 mm的薄层扫描。结果:12例CT片上均显示有异常病灶。包括小结节病灶10例,其中8例小结节周缘见磨玻璃样密度的“小结节月晕征”;小斑片磨玻璃样浸润灶7例; 外带部支气管血管束呈“Y”形增粗3例。病灶具有两肺周边部散在分布的特点。结论:广州管圆线虫病具有较典型的嗜酸性粒细胞肺部浸润的影像表现。结合临床、实验室检查及试验性治疗可获确诊。
关键词:圆线虫属 肺嗜酸粒细胞增多 体层摄影术 X线计算机
广州管圆线虫病(angiostrongylus cantonensis)是一种少见的寄生虫病。其致病病原体——管圆线虫最先于1935年在广州家鼠及褐家鼠的肺被检出,故命名为广州管圆线虫(以下简称广圆线虫)。1945年Norura等在我国台湾省发现首例广圆线虫病,随后东南亚国家和地区相继有病例报道[1]。我国大陆1984年以来仅有3例个案报告[1-3],新近温州暴发流行广圆线虫病实属罕见。鉴于本病胸部CT影像表现笔者未见文献记载,故搜集12例资料完整的胸部CT影像作一回顾性分析,并就有关问题进行讨论,旨在探讨本病的胸部CT表现,提高对本病的认识。
, http://www.100md.com
材料与方法
本组12例中,男3例,女9例,均符合下列诊断标准:(1)同时生食螺肉1周后陆续发病。(2)急性起病,前驱症状有皮肤过敏性搔痒和发热。(3)疼痛过敏特别突出,具一触就痛的特点,疼痛剧烈,常需麻醉剂才得以缓解,一般止痛药无效。(4)周围血液及脑脊液中嗜酸性粒细胞明显增多,周围血最高达0.37,脑脊液中最高达0.72。(5)脑脊液和血清抗广圆线虫抗体阳性,其他寄生虫抗体均阴性。(6)经糖皮质激素(以下简称激素)、驱虫药(肠虫清)治疗有效。
本组病例均于入院后1周内行CT扫描,其中8例治疗后5~30天内行第2次CT复查。于CT检查前2天内所有病例均摄有胸部X线正位片。CT扫描采用美国GE Sytec 2000i型机器,以10 mm层厚,10 mm间隔检查。在病灶区增加薄层(2 mm层厚,2 mm间隔)扫描,局部放大,骨重建成像。
结果
, 百拇医药
12例胸部平片除2例有非典型局灶性病灶外均无阳性发现。
CT扫描,12例均有明显异常病灶显示。本组病例胸部CT表现包括:(1)小结节病灶 10例,结节影直径均在1 cm以下(范围0.5~1.0 cm),位居肺野外带胸膜下部(图1),其中8例小结节影周缘可见磨玻璃样密度的晕圈,即月晕征(图2,3)。(2)小斑片局灶性磨玻璃样密度影,在肺野外带浸润(图4),斑片与正常肺临界缘呈“小三角形”改变7例,部分在肺尖部散在,形似浸润型结核(图5)。(3)外带支气管血管束呈局灶性“Y”形增粗3例(图6)。上述小结节影、小斑片淡薄影均在两肺周边区域呈多灶性散在分布,没有大叶融合倾向。全组病例纵隔、肺门部未见肿大淋巴结。
图1 右肺中叶胸膜下区小结节灶,与之连接的支气管血管束增粗
, 百拇医药
图2 右上肺前段胸膜下区“小结节月晕征”
图3 左上肺后段外带“结节月晕征”
图4 右上肺段斑片状磨玻璃样密度病灶
图5 两肺尖斑片状浸润灶,形似浸润型肺结核
图6 局灶性支气管血管束呈“Y”形增粗
, 百拇医药
8例分别经激素、驱虫药治疗后5~30天时行CT复查,病灶均完全吸收,没有任何痕迹遗留。
讨论
广圆线虫病主要流行在热带、亚热带地区,以太平洋岛屿及东南亚地区为多。广圆线虫的终宿主为哺乳动物,如啮齿类、猫科动物等,主要是鼠类。中间宿主为褐云玛瑙螺、福寿螺等多种陆生螺类,转续宿主有蛙、蟹、虾等。一般情况下其成虫在鼠肺动脉内发育、产卵,虫卵随血流进入肺毛细血管,孵出I期幼虫。嗣后幼虫穿过肺泡入呼吸道,再经气管上行至咽喉部转入消化道,随粪便排出体外。当I期幼虫被中间宿主吞食或幼虫主动侵入中间宿主后,经2次蜕皮变为Ⅲ期幼虫,即感染性幼虫。人们因生食这些软体动物而使感染性幼虫潜入人体,并在体内移行产生一系列病症,特别是嗜酸性粒细胞增多性脑脊膜炎[4]。本组所有病例发病前3~25天均有生食淡水螺病史。嗣后,潘长旺等[5]根据本次发病线索,在温州、苍南、金乡等地福寿螺中找到广圆线虫,证实温州是广圆线虫病的疫源地,为本病在中国大陆的暴发流行提供了一个重要证据。
, 百拇医药
本病在临床上主要表现为剧烈头痛、肋间神经痛,脑脊液、外周血液中嗜酸性粒细胞增高等嗜酸性粒细胞增多性脑脊膜炎症状。本组12例均具上述症状,脑脊液及外周血液中嗜酸性粒细胞显著增高,脑脊液中最高计数达0.72,外周血液中最高达0.37。而呼吸道症状不明显,这与本病在人类主要累及脑脊膜有关。本组病例系因胸痛行CT检查,才发现了肺部浸润灶,占住院病例的54.5%(12/22例)。
胸部CT基本表现各例极为相似,表现为小结节影10例,其中8例示有明显小结节月晕征;周缘部小斑片磨玻璃样浸润灶7例;支气管血管束局灶性“Y”形增粗3例,此类征象均颇具特征。病灶均散布在两肺周边部,没有大叶融合倾向。一般认为这与虫卵沉着于肺部毛细血管,逐渐发育为幼虫,幼虫可穿过肺泡壁,由于虫卵的刺激、幼虫的移行造成损伤,以及机体的免疫反应,使肺小动脉外周有淋巴细胞和嗜酸性粒细胞浸润,肺泡、肺泡壁间隔亦受浸润,并致水肿、出血等病理改变有关。梁浩昆等[6]通过对感染大白鼠的肺部病理检查,亦发现肺组织有瘀血、出血现象,并有较广泛的组织细胞增生伴嗜酸性粒细胞浸润。但本组病例肺部影像表现比大白鼠的肺部浸润病灶明显稀少、轻微,这可能是由于人类不是本虫的正常终末宿主,感染本虫后机体反应强烈,轻者经治疗而痊愈,因而虫体移至肺部机会较少有关。肺部嗜酸性粒细胞增多症可见于多种寄生虫病,包括线虫属、吸虫属、绦虫属感染,已有众多报道[7]。本病胸部CT表现与Kang等[8]所报道的特发性嗜酸性粒细胞增多综合征肺部浸润的表现极为类似,且本组8例治疗后5~30天随访均无病灶遗留痕迹,1例做过支气管镜检查,肉眼、病理观察呈炎症性改变,冲洗液中见到较多的嗜酸性粒细胞。因此,我们认为本病胸部表现主要病理基础为胸部嗜酸性粒细胞浸润。CT上斑片状磨玻璃样影系肺泡、肺泡壁嗜酸性粒细胞浸润所致。相同原理,小结节月晕征、支气管血管束局灶增粗亦与支气管血管束周围嗜酸性粒细胞浸润有关[9]。
, 百拇医药
CT所示结节周围的磨玻璃样密度“月晕征”虽可见于多种病症,包括感染病变、结核瘤、Wegner肉芽肿、转移性血管肉瘤和支气管肺泡癌等[8],Primack等[10]也提出大部分出血性结节CT片上可见“月晕征”。但本病的结节影甚小,且具肺周边部散在分布的特点,再者临床上有明显的外周血液及脑脊液嗜酸性粒细胞增多,具有一定的鉴别诊断意义。另外,虽然本病的胸部影像与特发性嗜酸性粒细胞增多症肺部浸润类似,但后者临床上常有呼吸衰竭症状,而本组呼吸道症状轻微,并且血清学检查可予以区别。
广圆线虫病的诊断主要依靠流行病学、典型临床表现及实验室检查直接或间接证明病原虫。胸部CT扫描的价值在于提示嗜酸性粒细胞浸润的肺部表现,可为临床早期诊断提供重要的参考价值。
作者单位:325027 温州,温州医学院附属第二医院放射科(程建敏、吴爱琴、虞志康、许方洪、孔秋雁),内科(黄汉津、王小同)参考文献
, http://www.100md.com
[1] 梁浩昆.广州管圆线虫病的流行病学概述.中华流行病学杂志,1986,7:61-65.
[2] 何竟智,朱师晦,杨思齐,等.广州管圆线虫病在我国大陆人群病例的脑脊液中首次发现和证实.广州医学院学报,1984,12:1.
[3] 常正山,蒋则孝,倪秀君,等.在患者脑脊液中同时查见广州管 圆线虫第Ⅴ期幼虫与发育期雌性成虫.中国寄生虫学与寄生虫病杂志,1997,15:285-287.
[4] 赵慰先,主编.人体寄生虫学.第2版.北京:人民卫生出版社,1994.777-788.
[5] 潘长旺,邢文鸾,梁绍辉,等.温州广州管圆线虫宿主的调查研究.温州医学院学报,1998,28:8-10.
[6] 梁浩昆,沈浩贤,李烈.广州管圆线虫病对实验动物致病作用的实验研究.广州医学院学报,1984,12:38-47.
, http://www.100md.com
[7] Lombard CM,Tazelaar HD,Krasne DL.Pulmonary eosinophilia in coccidioidal infections.Chest, 1987,91:734-736.
[8] Kang EY, Shim JJ, Kim JS, et al.Pulmonary involvement of idiopathic hypereosinophilic syndrome:CT findings in five patients. J Comput Assist Tomogr,1997,21:612-615.
[9] Cheon JE,Lee KS, Jung GS, et al. Acute eosinophilic pneumonia:radiographic and CT findings in six patients. AJR, 1996,167:1195-1199.
[10] Primack SL, Hartman TE, Lee KS,et al. Pulmonary nodules and the CT halo sign. Radiology, 1994,190:513-515., 百拇医药