脑膜炎患者磁共振脑膜强化与临床的相关性分析
作者:王默力 颜振赢 李坤成 杨小平
单位:王默力(首都医科大学附属北京宣武医院神经内科 100053);颜振赢(首都医科大学附属北京宣武医院神经内科 100053);李坤成(放射科);杨小平(放射科)
关键词:
中华医学杂志000617 为探讨不同性质脑膜炎在磁共振(MRI)Gd-DTPA增强时的表现特点,我们将强化特点与临床表现和脑脊液(CSF)变化进行相关性分析,以探索诊断及鉴别诊断的新途径。
一、对象与方法
1.对象:我院收治的脑膜炎患者74例,其中结核性脑膜炎34例、化脓性脑膜炎14例、病毒性脑膜炎20例、隐球菌性脑膜炎6例。结核性脑膜炎诊断参照中国防痨协会制定的标准,其他脑膜炎均按临床诊断标准。男47例,女27例,年龄1~72岁,平均年龄35岁。
, 百拇医药
2.统计学处理:采用SPSS统计包,差异显著性检验采用χ2检验直接概率法。
3.临床表现:共同的表现有发热、头痛、呕吐和颈项强直。头痛72例,无头痛2例。颈项强直49例,无强直25例。全部患者就诊时均做腰穿,颅压增高44例,最高达>350 mm H2O;细胞数异常64例,白细胞最高达36 000×106 /L;蛋白增高66例,最高达1 474 mg/L;糖降低17例,最低为0。
4.头颅MRI表现:全组病例均行头颅平扫,其中66例作强化扫描,8例未作强化(其中结核性脑膜炎2例、化脓性脑膜炎1例、病毒性脑膜炎5例)。MRI检查时间为发病后3d~1年6个月,第1周8例,第2周23例,第3周14例,第4周8例,>4周21例。
二、结果
1. 不同性质脑膜炎与MRI脑膜强化的关系:74例脑膜炎MRI平扫均未见脑膜异常改变, 注射Gd-DTPA强化66例中,49例可见脑膜异常强化(图1、2),强化率为74.2%。其中结核性脑膜炎25例,化脓性脑膜炎13例,病毒性脑膜炎11例,隐球菌无强化。未见脑膜异常强化17例中结核性脑膜炎7例,病毒性脑膜炎4例,隐球菌性脑膜炎6例;隐球菌与非隐球菌之间脑膜强化率比较,差异有显著意义(P<0.01)。不同性质脑膜炎脑膜强化部位不同,主要表现在额叶、颞叶、顶叶、枕叶、环池、小脑。不同强化部位间比较,差异无统计学意义(P>0.05)。结核性幕上幕下分别占54.5%和45.5%;化脓性占69.6%和30.4%;病毒性占81%和19%。
, 百拇医药
2.不同病程与MRI脑膜强化的关系:按患者做MRI,分为发病后1周、2周、3周、4周和>4周。不同病期脑膜强化率有所不同,分别为6、17、8、7、11例。未强化分别为0、1、3、2、5例。≤2周与≥3周间比较脑膜强化率差异有显著意义(P<0.05)。脑膜未增强11例中,结核6/7例≥3周,病毒4/4例≥3周。
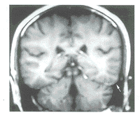
图1 正常成人冠状位增强扫描T1加权像
脑膜无强化(箭头)
3.颈强直与MRI脑膜强化的关系:本组伴有颈强直45例,脑膜强化40例,未强化5例。无颈强直15例,脑膜强化9例,未强化6例。有无颈强直脑膜强化率间差异有显著意义(P<0.05)。
4.脑脊液常规与脑膜强化的关系:本组脑脊液结果是作MRI时的状态,两者间比较更可靠。细胞数异常者脑膜强化率明显高于正常者,2组间差异有显著意义(P<0.01),糖和蛋白异常与脑膜强化无相关性(表1)。
, 百拇医药
表1 CSF常规与脑膜强化的关系(例数) 组别
例数
细胞数
糖
蛋白
增高
正常
降低
正常
增高
正常
脑膜强化
49
, 百拇医药
46
3
8
41
44
5
无脑膜强化
11
7
4
1
10
10
1
, 百拇医药
χ2值
7.971 9
0.368 9
0.012 4
P值
<0.01
>0.05
?0.05
三、讨论
1.MRI脑膜成像特点:脑膜强化特征决定于不同病理过程脑膜受累方式及血脑屏障的变化。就感染性脑膜炎而言,有作者[1-3]通过动物实验推测在脉络丛和血管内皮炎性细胞可能有细菌细胞壁的特异性受体,导致血脑屏障通透性增高,从而引起软脑膜广泛强化。MRI的灵敏度高于CT。一方面是因为MRI无骨伪影,另一方面是由于MRI反映早期血脑屏障破坏较CT敏感[4]。
, 百拇医药
2.不同性质脑膜炎与MRI脑膜强化的关系:本研究结果显示,不同病原菌所致脑膜炎MRI平扫脑膜无明显异常改变。MRI Gd-DTPA增强,结核、化脓和病毒性感染可见脑膜异常强化,而隐球菌性未见脑膜异常强化,这一特点为临床医生增加了结核与隐球菌性脑膜炎鉴别诊断方法,为及早正确用药提供了帮助。
本研究异常强化的脑膜可呈多部位散在表现,不同于文献报道的感染性脑膜病变均呈弥漫性脑膜强化的结论,证实了阈值效应现象[5],即感染脑膜的轻重对强化的敏感性不同,重者敏感性更高。颞叶为大脑中动脉直接供应区,是感染原随血流首先到达的部位。因而此处脑膜感染重,强化的比例相对高。从幕上下区分看,化脓、病毒幕上为多,结核好侵犯基底脑膜。
3.不同病程与MRI脑膜强化的关系:本资料按病程分急性期和非急性期,脑膜强化率前者比后者明显增高,随病程延长脑膜强化率逐渐减低。结核性非急性期脑膜强化率相对也较高;病毒性脑膜强化持续时间相对较短,未强化4例均为非急性期;化脓性急性期脑膜强化率高。结果提示,慢性炎症如结核性脑膜炎影像学诊断的时间窗较宽。急性及严重感染病例早期MRI脑膜异常强化发现率较高,可作为临床早期诊断及鉴别诊断的方法之一。
, 百拇医药
4.颈强直与MRI脑膜强化的关系:颈强直为脑膜刺激征的重要表现之一。间接提示脑膜有无损害。颈抵抗存在者脑膜强化率高。说明有颈强直,脑膜受累程度较重。本研究结果为临床多年来未能解决的老年人脑膜炎患者颈强直的诊断问题提供了有效的鉴别方法。
5.脑脊液常规与脑膜强化的关系:脑脊液常规是以往诊断脑膜炎的唯一客观依据,我们将CSF异常改变与MRI脑膜强化进行了相关性比较,细胞数的异常与脑膜异常强化有很
a.横断SE序列T1加权像显示脑膜呈中等信号普遍增厚;b.与A同一层面的增强扫描T1加权像显示脑膜明显强化;c.冠状断T1加权像增强扫描,亦显示增厚的脑膜呈均匀一致强化
图2 化脓性脑膜炎MRI扫描
, http://www.100md.com
高的相关性。
参考文献
1,Sze G. Diseases of the intracranial meninges: MR imaging features. AJR, 1993,160:727-730.
2,Quagliarello V,Scheld WM. Bacterial meningitis: pathogenesis, patho-physiology, and progress. N Engl J Med, 1992,327:864-869.
3,Tunkel AR, Wispelwey B,Scheld WM. Bacterial meningitis: recent advance in pathophysiology and treatment. Ann Intern Med, 1990, 112:610-616.
4,Kioumehr F, Dadsetan MR, Feldman N, et al. Postcontrast MRI of cranial meninges:leptomeningitis versus pachymeningitis. J Comput Assist Tomogr, 1995,19:713-715.
5,Meltzer CC, Fukui MB, Kanal E,et al. MR Imaging of the meninges. Radiology, 1996, 201:297-302.
(收稿日期:1999-08-31), 百拇医药
单位:王默力(首都医科大学附属北京宣武医院神经内科 100053);颜振赢(首都医科大学附属北京宣武医院神经内科 100053);李坤成(放射科);杨小平(放射科)
关键词:
中华医学杂志000617 为探讨不同性质脑膜炎在磁共振(MRI)Gd-DTPA增强时的表现特点,我们将强化特点与临床表现和脑脊液(CSF)变化进行相关性分析,以探索诊断及鉴别诊断的新途径。
一、对象与方法
1.对象:我院收治的脑膜炎患者74例,其中结核性脑膜炎34例、化脓性脑膜炎14例、病毒性脑膜炎20例、隐球菌性脑膜炎6例。结核性脑膜炎诊断参照中国防痨协会制定的标准,其他脑膜炎均按临床诊断标准。男47例,女27例,年龄1~72岁,平均年龄35岁。
, 百拇医药
2.统计学处理:采用SPSS统计包,差异显著性检验采用χ2检验直接概率法。
3.临床表现:共同的表现有发热、头痛、呕吐和颈项强直。头痛72例,无头痛2例。颈项强直49例,无强直25例。全部患者就诊时均做腰穿,颅压增高44例,最高达>350 mm H2O;细胞数异常64例,白细胞最高达36 000×106 /L;蛋白增高66例,最高达1 474 mg/L;糖降低17例,最低为0。
4.头颅MRI表现:全组病例均行头颅平扫,其中66例作强化扫描,8例未作强化(其中结核性脑膜炎2例、化脓性脑膜炎1例、病毒性脑膜炎5例)。MRI检查时间为发病后3d~1年6个月,第1周8例,第2周23例,第3周14例,第4周8例,>4周21例。
二、结果
1. 不同性质脑膜炎与MRI脑膜强化的关系:74例脑膜炎MRI平扫均未见脑膜异常改变, 注射Gd-DTPA强化66例中,49例可见脑膜异常强化(图1、2),强化率为74.2%。其中结核性脑膜炎25例,化脓性脑膜炎13例,病毒性脑膜炎11例,隐球菌无强化。未见脑膜异常强化17例中结核性脑膜炎7例,病毒性脑膜炎4例,隐球菌性脑膜炎6例;隐球菌与非隐球菌之间脑膜强化率比较,差异有显著意义(P<0.01)。不同性质脑膜炎脑膜强化部位不同,主要表现在额叶、颞叶、顶叶、枕叶、环池、小脑。不同强化部位间比较,差异无统计学意义(P>0.05)。结核性幕上幕下分别占54.5%和45.5%;化脓性占69.6%和30.4%;病毒性占81%和19%。
, 百拇医药
2.不同病程与MRI脑膜强化的关系:按患者做MRI,分为发病后1周、2周、3周、4周和>4周。不同病期脑膜强化率有所不同,分别为6、17、8、7、11例。未强化分别为0、1、3、2、5例。≤2周与≥3周间比较脑膜强化率差异有显著意义(P<0.05)。脑膜未增强11例中,结核6/7例≥3周,病毒4/4例≥3周。
图1 正常成人冠状位增强扫描T1加权像
脑膜无强化(箭头)
3.颈强直与MRI脑膜强化的关系:本组伴有颈强直45例,脑膜强化40例,未强化5例。无颈强直15例,脑膜强化9例,未强化6例。有无颈强直脑膜强化率间差异有显著意义(P<0.05)。
4.脑脊液常规与脑膜强化的关系:本组脑脊液结果是作MRI时的状态,两者间比较更可靠。细胞数异常者脑膜强化率明显高于正常者,2组间差异有显著意义(P<0.01),糖和蛋白异常与脑膜强化无相关性(表1)。
, 百拇医药
表1 CSF常规与脑膜强化的关系(例数) 组别
例数
细胞数
糖
蛋白
增高
正常
降低
正常
增高
正常
脑膜强化
49
, 百拇医药
46
3
8
41
44
5
无脑膜强化
11
7
4
1
10
10
1
, 百拇医药
χ2值
7.971 9
0.368 9
0.012 4
P值
<0.01
>0.05
?0.05
三、讨论
1.MRI脑膜成像特点:脑膜强化特征决定于不同病理过程脑膜受累方式及血脑屏障的变化。就感染性脑膜炎而言,有作者[1-3]通过动物实验推测在脉络丛和血管内皮炎性细胞可能有细菌细胞壁的特异性受体,导致血脑屏障通透性增高,从而引起软脑膜广泛强化。MRI的灵敏度高于CT。一方面是因为MRI无骨伪影,另一方面是由于MRI反映早期血脑屏障破坏较CT敏感[4]。
, 百拇医药
2.不同性质脑膜炎与MRI脑膜强化的关系:本研究结果显示,不同病原菌所致脑膜炎MRI平扫脑膜无明显异常改变。MRI Gd-DTPA增强,结核、化脓和病毒性感染可见脑膜异常强化,而隐球菌性未见脑膜异常强化,这一特点为临床医生增加了结核与隐球菌性脑膜炎鉴别诊断方法,为及早正确用药提供了帮助。
本研究异常强化的脑膜可呈多部位散在表现,不同于文献报道的感染性脑膜病变均呈弥漫性脑膜强化的结论,证实了阈值效应现象[5],即感染脑膜的轻重对强化的敏感性不同,重者敏感性更高。颞叶为大脑中动脉直接供应区,是感染原随血流首先到达的部位。因而此处脑膜感染重,强化的比例相对高。从幕上下区分看,化脓、病毒幕上为多,结核好侵犯基底脑膜。
3.不同病程与MRI脑膜强化的关系:本资料按病程分急性期和非急性期,脑膜强化率前者比后者明显增高,随病程延长脑膜强化率逐渐减低。结核性非急性期脑膜强化率相对也较高;病毒性脑膜强化持续时间相对较短,未强化4例均为非急性期;化脓性急性期脑膜强化率高。结果提示,慢性炎症如结核性脑膜炎影像学诊断的时间窗较宽。急性及严重感染病例早期MRI脑膜异常强化发现率较高,可作为临床早期诊断及鉴别诊断的方法之一。
, 百拇医药
4.颈强直与MRI脑膜强化的关系:颈强直为脑膜刺激征的重要表现之一。间接提示脑膜有无损害。颈抵抗存在者脑膜强化率高。说明有颈强直,脑膜受累程度较重。本研究结果为临床多年来未能解决的老年人脑膜炎患者颈强直的诊断问题提供了有效的鉴别方法。
5.脑脊液常规与脑膜强化的关系:脑脊液常规是以往诊断脑膜炎的唯一客观依据,我们将CSF异常改变与MRI脑膜强化进行了相关性比较,细胞数的异常与脑膜异常强化有很
a.横断SE序列T1加权像显示脑膜呈中等信号普遍增厚;b.与A同一层面的增强扫描T1加权像显示脑膜明显强化;c.冠状断T1加权像增强扫描,亦显示增厚的脑膜呈均匀一致强化
图2 化脓性脑膜炎MRI扫描
, http://www.100md.com
高的相关性。
参考文献
1,Sze G. Diseases of the intracranial meninges: MR imaging features. AJR, 1993,160:727-730.
2,Quagliarello V,Scheld WM. Bacterial meningitis: pathogenesis, patho-physiology, and progress. N Engl J Med, 1992,327:864-869.
3,Tunkel AR, Wispelwey B,Scheld WM. Bacterial meningitis: recent advance in pathophysiology and treatment. Ann Intern Med, 1990, 112:610-616.
4,Kioumehr F, Dadsetan MR, Feldman N, et al. Postcontrast MRI of cranial meninges:leptomeningitis versus pachymeningitis. J Comput Assist Tomogr, 1995,19:713-715.
5,Meltzer CC, Fukui MB, Kanal E,et al. MR Imaging of the meninges. Radiology, 1996, 201:297-302.
(收稿日期:1999-08-31), 百拇医药