Flt3基因在白血病中的表达及临床意义
作者:李东 顾庆礼 朱琬莹 姚利 曾皓明
单位:李东 曾皓明(南京江北人民医院血液科,江苏南京210048);顾庆礼 朱琬莹 姚利(苏州医学院附属第一医院江苏省血液研究所,江苏苏州215006)
关键词:Flt3基因;白血病;基因表达;逆转录-聚合酶链反应
癌症000624
【摘要】目的:研究Flt3基因在不同类型、亚型白血病中mRNA表达、分布情况,以期阐明Flt3基因表达与疾病发生、发展的关系,探索Flt3基因作为白血病转归及预后指标的意义。方法:应用血细胞Percoll不连续密度梯度分离法分离出外周血中原始细胞,采用逆转录-聚合酶链反应(RT-PCR),检测Flt3基因在109例恶性血液病患者外周血中表达。结果:初治AML(急性髓细胞性白血病)中Flt3基因mRNA表达为91.4%;ALL(急性淋巴细胞性白血病)中表达率亦较高,为82.3%;在急性白血病的CR(完全缓解)病例中原Flt3阳性表达可转为阴性;而NR(未缓解)的患者则持续为阳性表达。CML(慢性髓细胞性白血病)中阳性表达为33.9%,仅见于急变期及加速期,在慢性阶段则无表达。6例CLL(慢性淋巴细胞性白血病)中的4例、4例MDS(骨髓增生异常综合征)中的2例表达Flt3。结论:Flt3基因有望在白血病诊治过程中成为标志性基因。
, http://www.100md.com
中图分类号:R733 文献标识码:A
文章编号:10000-467X(2000)06-0589-05
Study on the expression of Flt3 gene in human
leukemias and its clinical significance
LI Dong
Department of Hematology,Nanjing Jiangbei People's Hospital, Nanjing 210048, P.R. China
GU Qing- li, ZHU Wan- ying, et al.
, 百拇医药
Jiangsu Institute of Hematology, the First Affiliated Hospital of Suzhou Medical College, Suzhou 215006, P.R. China
【 Abstract】 Objectives: To investigate the expression of Flt3 gene in leukemia and indicate the relation between the expression of Flt3 gene and the occurrence or the development of the disease. Methods: The separation method of the Percoll discontinuous density gradient was applied to isolate the blast cells in peripheral blood. RT- PCR was used to detect the mRNA expressions of Flt3 in blast cells of peripheral blood from 109 malignant patients. Results: The high level of the Flt3 mRNA in primary AML blasts from 35 patients peripheral blood was 91.4% with no apparent predominance of any of the M1~ M6 subtypes, Flt3 mRNA in ALL also was found at high level in 82.4 % . When the patients were in complete remission(CR), their expression could be changed from positive to negative. But the positive rates was continual if the leukemia cases were non-remission (NR). The positive rate in CML sample was 33.9% which was attained merely to accelerated phase and blast crisis,whereas it was not found in chronic phase. Flt3 mRNA was detected in 4/6 cases of CLL and 2/4 cases of MDS. Conclusion:Flt3 gene will hopefully become a symbolic gene during the course of diagnosis and treatment in leukemias.
, http://www.100md.com
Key words:Flt3 gene; Leukemia; Gene expression; RT-PCR
Flt3基因是近年发现的早期造血生长因子受体基因,其与KL(干细胞生长因子)的受体C-kit、CSF-1(巨噬细胞集落刺激因子)的受体c-fms同属于第三族酪氨酸激酶基因家族成员,调控早期造血,其中Flt3正常表达时期较后两者更早。已有报道c-kit和c-fms在白血病中有表达[1,2]。有关Flt3在白血病中的表达研究目前国内尚未见类似报道,为检测Flt3基因在中国人白血病不同类型、亚型白血病表达、分布情况。本文通过采用血细胞Percoll不连续密度梯度分离法直接分离出外周血中原始细胞,运用RT-PCR检测方法,检测了Flt3mRNA在109例恶性血液病病人的外周血中的表达,旨在研究在白血病中Flt3基因的表达、分布与疾病发生、发展的关系;探索Flt3基因作为白血病转归及预后指标的意义,在白血病的诊治中提出一种新的检测和评估方法。
, 百拇医药
1 材料和方法
1.1 临床病例和白血病细胞株
恶性血液病患者109例,其中AML(M1~M6)35例,ALL17例,CML47例,CLL6例,MDS4例;男58例,女51例;中位年龄37.5岁。并对6例急性白血病病人短期随访。对照组的外周血样本23例,包括献血员10例、非恶性血液病病人13例[ITP(特发性血小板减少性紫癜)7例、IDA(缺铁性贫血)5例、AA(再生障碍性贫血)1例],以及5株白血病细胞株:原粒白血病细胞株KG-1,早幼粒白血病细胞株NB4,急性髓性白血病细胞株HL-60,慢性粒细胞白血病细胞株K562,淋巴性细胞株U937,以用作阴性及阳性对照。(由苏州医学院附属第一医院、江苏省血液研究所白血病研究室提供)。
|1.2试剂
1.2.1细胞分离液Percoll(Pharmacia公司),DextranT-500(Pharmacia公司),SIP(贮存液):9份Percoll加1份1.5mol/LNaCl作为贮存液。60%(V/V)SIP:用pH7.4去Ca2+、Mg2+之Dulbecco缓冲液稀释[SIP∶缓冲液(V/V)=6∶4];50%(V/V)SIP∶用pH7.4去Ca2+、Mg2+之Dulbecco缓冲液稀释[SIP∶缓冲液(V/V)=5∶5];1.5%DextranT-500∶DextranT-5001.5g溶于pH7.4去Ca2+、Mg2+之Dulbecco缓冲液100ml,置冰箱待用。
, http://www.100md.com
1.2.2RNA制备试剂:溶液D(4mol/L异硫氰酸胍,25mol/L柠檬酸钠(pH7.0),十二烷基肌氨酸钠,β-巯基乙醇),醋酸钠,水饱和酚,氯仿,异戊醇,异丙醇,乙醇,DEPC(Gibco-BRL)。
1.2.3RPMI-1640培养基:按供应商(Gibco-BRL)推荐的方法配制,加入终浓度为10%的新生小牛血清(NCS,上海实生公司),经0.22μm滤膜过滤。
1.2.4逆转录反应试剂:六随机引物(Sangon)及RNA酶抑制剂(上海华美)AMV逆转录酶(Promega),5×合成第一链缓冲液(Promega),10mmol/LdNTPs(上海生工公司)。
1.2.5PCR反应试剂:10×PCR缓冲液,25mmol/LMgCl2,TaqDNA聚合酶(Sangon)。
1.2.6标准分子量:PBR322DNABsuRI(HaeⅢ),MBI公司(Fermentas)。
, http://www.100md.com
1.2.7Flt3、β-actin、abl基因引物由上海生工公司合成。
Flt3(366bp)
R5:5’-TGTCGAGCAGTACTCTAAACA-3’(nt1487~1507)
R6:5’-ATCCTAGTACCTTCCCAAAACTC-3’(nt1831~1852)
β-actin(210bp)sense:5’-CTTCCTGGGCATGGAGAC-3’
antisense:5’-CGCTCAGGGAGGAGCAATGAT-3’
abl(185bp)sense:5’-TTCAGCGGCCAGCATCTGACTT-3’
, http://www.100md.com
antisense:5’-GACCCGGAGCTTTTCACCTTTAGTT-3’
1.3实验方法
1.3.1细胞分离:采用血细胞Percoll不连续密度梯度分离法[3,4],分离出外周血中的单核细胞、淋巴细胞、粒细胞。将分得的单核、淋巴和粒细胞用pH7.4去Ca2+、Mg2+之Dulbecco缓冲液洗2~3次,除去残余的Percoll,计数,涂片,分类。
1.3.2RNA制备:采用异硫氰酸胍一步法提取总RNA[5]。抽提的RNA用DEPC-H2O溶解,实验选用样本为经紫外分光光度计测定其RNA溶液A260/A280>1.8,且经RNA酶消化后在1%琼脂糖凝胶上进行电泳,紫外灯下观察未发现有RNA及其它条带存在。-20℃保存备用。
, http://www.100md.com
1.3.3逆转录反应:标本总RNA2μg,六随机引物100ng,加DEPC处理水至20μl,72℃变性5分钟,另加5×合成第一链缓冲液8μl,10mmol/LdNTP1μl,RNA酶抑制剂RNasin50U,10mmAMV10U,总逆转录体系40μl,37℃反应60min,4℃保存。
1.3.4PCR反应:(按BoehringerMannheim厂商试剂盒方法稍加修改)反应体系50μl,取cDNA10μl,分别加入40pmol引物R5和R6,及β-actin的sense链和antisense链引物,10×PCRbuffer5μl,MgCl25μl,10mmol/LdNTPs1μl,TaqDNA聚合酶2U。PCR反应时间为:预热94℃5min;随后58℃45s、72℃60s、94℃30s,共35个循环;72℃延伸10min钟;4℃保存。
1.3.5RNA质量监测:样本采用abl引物扩增[6],若只有一条185bp的条带,表明该模板RNA是完整的。
, 百拇医药
1.3.6统计学检验:采用卡方检验,四格表精确概率检验法。
图1 细胞株Flt3基因的表达
M:Marker,1:HL-60,2:K562,3:U937,4:NB4,5:KG-1
图2 PCR灵敏度检测
1~10:NB4细胞RNA20~2-9
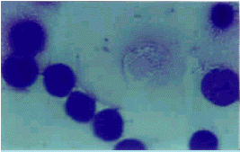
图3 单核细胞性白血病细胞(×1250)
, http://www.100md.com
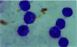
图4 淋巴性白血病细胞(×1250)
图5 粒细胞性白血病细胞(×1250)
2 结果
2.1细胞系细胞株的表达情况
在5种白血病细胞株中,Flt3基因的表达见图1。HL-60、KG-1、NB4表达为阳性,可见一条366pb的产物,及内对照一条210pbβ-actin基因产物,K562、U937两个细胞株为阴性表达。
2.2PCR灵敏度检测
Flt3基因经PCR及产物检测灵敏度达2-5,见图2所示。
2.3正常人外周血Flt3基因的表达
, http://www.100md.com
单核细胞、淋巴细胞、粒细胞分离纯度达90%以上,分别提取RNA经RT-PCR扩增检测Flt3表达,结果均未见阳性表达。
2.4恶性细胞Flt3基因的表达
恶性细胞经上述方法分离,细胞得率为45%~60%,纯度为90%以上,分别见图3、4、5。提取RNA进行RT-PCR扩增,产物在1%琼脂糖凝胶电泳,观察、记录、摄影。
2.4.1急性白血病中Flt3的表达:初治52例病例中AML35例(M1~M6)中Flt3表达32例(91.4%),其中M13(3),M24(5),M310(10),M44(4),M510(12),M61(1)。初治ALL17例中Flt3表达14例(82.3%)。Flt3的表达在急性白血病组与正常对照组间差异有显著统计学意义(P<0.01)。短期观察6例经化疗4例CR(1例M3,1例M4,2例ALL)均转为阴性。1例ALL及1例M3病人未能CR仍持续Flt3表达。(见图6)
, 百拇医药
2.4.2慢性白血病中Flt3的表达:53例病例中Flt3的表达18例(33.9%)。47例CML中在慢性阶段未见Flt3的表达,但于急变期13例中11例(淋巴性3例、髓性6例、混合细胞性2例)有表达;5例加速期中,3例有表达。CLL中6例,有4例阳性。Flt3的表达在慢性白血病组与正常对照组间差异有显著统计学意义(P<0.01)。慢性与急性白血病组间差异亦有显著统计学意义(P<0.01)。(见图7)
2.4.3MDS中Flt3的表达:4例MDS中有2例表达,阳性率50%。为难治性贫血伴原始细胞增多-转变型(RAEB-T)。(见图8)
表1 恶性血液病人外周血中Flt3基因的表达 疾病分类
n
Flt3mRNA表达(%)
急性白血病
, 百拇医药
52
42(88.5)
AMLtotal
35
32(91.4)
M1
3
3(100)
M2
6
4(80)
M3
, 百拇医药
10
10(100)
M4
4
4(100)
M5
12
10(83.3)
M6
1
1(100)
ALL
, 百拇医药
17
14(82.3)
慢性白血病
53
18(33.9)
CGL
47
14(29.8)
CLL
6
4(66.6)
MDS
4
, 百拇医药
2(50)
图6 RT-PCR检测AML中Flt3的表达
1:HL-60,2:U937,3:空白对照,4~6:阳性表达,7:阴性表达,8~9:M3初治、CR,10~11:ALL初治、CR
图7CML中的Flt3基因的表达
1:HL-60,2:NB4,3:KG-1,4:U938,5~10:CML阳性表达,11~12:阴性表达
图8 MDS中的Flt3基因的表达
, http://www.100md.com
1:NB4,2:HL-60,3:U938,4:KG-1,5~6:MDS阳性表达,7~8:MDS阴性表达
2.5 Flt3基因的突变
在病例检测中有6例AML出现一条质量比Flt3更大的产物条带(见图6中第5泳道),可能为Flt3基因的突变[7]。将作另文报道。
实验中的109例恶性血液病人外周血中Flt3基因的表达情况见表1,急性白血病呈高表达88.5%(42/52),Flt3基因与急性白血病密切相关。慢性白血病为33.9%(18/53),见于一些特定阶段。我们亦对4例MDS进行了检测,2例RAEB-T阳性表达。
3 讨论
成熟血细胞是由自身更新造血干/祖细胞群通过增殖和分化而生成,由能与特异细胞表面受体结合的造血生长因子网所调控。而造血细胞克隆扩增、分化障碍都会导致白血病细胞的增殖,这种分化和死亡程序及对信号分子反应的变化是基因改变的结果,其基因的产物就是一些造血生长因子受体,并在造血细胞膜上表达。在正常骨髓中,Flt3基因在所有CD34+细胞中限制性地低水平表达,外周血的血细胞不表达。外周血的检测可排除CD34+细胞表达的可能,从而直接显示恶性细胞的表达情况。本试验通过RT-PCR方法检测Flt3mRNA结果显示,在非恶性血液病病人外周血中未能检测到产物。正常外周血的单核、淋巴、中性粒细胞Flt3无表达,Brasel等认为Flt3mRNA表达仅限于造血祖细胞,而定向、分化细胞则不表达[8],本文结果与之相符。通过采用血细胞Percoll不连续密度梯度分离法直接分离出外周血中原始细胞进行检测。提高了灵敏度,因而能既方便又能更客观地反映恶性细胞的表达情况。
, http://www.100md.com
在初治的AML中:Flt3基因编码受体Flt3的mRNA在AML外周血的原始细胞中呈高表达,为91.4%,AMLM1~M6中均有表达。在ALL中表达率亦较高为82.3%(见表1),Meierhoff等报道ALL中B-ALL呈高表达为100%,而T-ALL则比例较低[9],本文实验未进行免疫分型的分类故未作定论。1例ALL及1例M3病人经多种方案治疗未缓解,复查仍为阳性表达,可能与多药耐药(multidrugresistance,MDR)相关。4例AML(缓解)检测为阴性,亦说明其表达与疾病转归相关。Carow等曾报导指出的在缓解期AMLFlt3表达可能是复发的敏感标志[10]。
在慢性白血病中:CML中为33.9%仅见于急变期及加速期,在慢性阶段则无表达。在CML中仅于淋巴、髓性、混合细胞性变及加速期有表达,Flt3与CML疾病发展相关。CLL中表达较高,因病例不多,尚难说明问题。MDS4例中有2例阳性均为转化期。提示可能与MDS向白血病转变有关[11]。
, 百拇医药
Flt3异常表达与白血病恶性细胞数量呈正相关,白血病中Flt3表达方式与c-kit及c-fms表达不同,AML和CML髓细胞性急变中c-kit表达高水平,而B-All和T-All无表达;c-fms则仅在一些AML和T-ALL中表达。近年来国外的研究已显示Flt3的促有丝分裂作用及信号传递特征;Flt3分子通过与FL结合而呈二聚体化,并使细胞外酪氨酸残基磷酸化,磷酸化的Flt3通过各种细胞浆相关蛋白传导激活信号,其中包括一个生物化学级联反应。并能提供增殖刺激;原型Flt3蛋白代表主要的效应分子,即Flt3为功能性受体,Flt3与FL相互作用能促进白血病恶性细胞克隆的增殖与维持[12]。因而,Flt3基因是一个与白血病,尤其是急性白血病密切相关的基因。
MRD(微小残留病灶)是白血病复发的原因,及时检测MRD,尽早清除MRD,才能降低白血病的复发率,达到治愈的目的。MRD占血细胞总数的1/1000~1/10000以下,常规的细胞形态学检查不能检测出来。荧光原位杂交(FISH)灵敏度为1/100,流式细胞术检测MRD尚存在确定阳性阈值的问题。用RT-PCR检测异位后的融合基因如:PML-RARα、AML1-ETO、MLL等作为MRD的标志,敏感度和特异性均很强,但选择标志不易。而Flt3基因在急性白血病有广泛高表达,在慢性白血病中见于一些特定阶段,并与疾病的转归相关,本试验建立的检测Flt3的mRNA的方法,灵敏度为2-5,因此,Flt3基因有望成为白血病的泛基因,在MRD的检测中发挥重要作用。
, 百拇医药
[参考文献]
1,Kanakura Y,Ikeda H, Kitayama H, et al. Expression, function and activation of the proto-oncogene c-kit product in human leukemia cells [J]. Leuk Lymphoma, 1993, 10:35~ 41.
2,Torres H, Dubreuil P, Falzetti F, et al. c-fms expression in acute leukemias with complex phenotypes [J]. Leukemia,1990,4(10):673~ 677.
3,张明,顾庆礼.DNA指纹图在急性白血病中的应用[J].中华血液学杂志,1997,18:276~277.
, 百拇医药
4,顾庆礼,张箐,张健.血细胞的Percoll不连续密度梯度分离法[J].苏州医学院学报,1991,11:50.
5,Chomczynski P, Sacchi N. Single-step method of RNA isolation by acid guanidinium thiocyanate-phenol-chloroform extraction [J]. Anal Biochem,1987, 162(1):156~ 159.
6,Watzinger F,Lion T.Multiplex PCR for quality control of template RNA/cDNA in RT-PCR assays [J]. Leukemia, 1998, 12(12):1984~ 1986.
7,Yokota S,kiyoi H, Nakao M, et al. Internal tandem duplication of the FLT3 gene is preferentially seen in acute myeloid leukemia and myelodysplastic syndrome among various hematological malignancies. A study on a large series of patients and cell lines [J]. Leukemia, 1997,11: 1605~ 1609.
, http://www.100md.com
8,Brasel K, Escobar S, Anderperg R, et al. Expression of the Flt3 receptor and its ligand on hematopoietic cells [J]. Leukemia,1995, 9(7):1212~ 1218.
9,Meierhoff G, Dehmel U, Gruss HJ, et al. Expression of FLT3 receptor and FLT3-ligand in human leukemia-lymphoma cell lines [J]. Leukemia, 1995, 9(8):1368~ 1372.
10,Carow CE, Levenstein M, Kaufmann SH, et al. Expression of the hematopoietic growth factor receptor FLT3 (STK1/FLK2) in human leukemias [J]. Blood,1996,87(3): 1089~ 1096.
, 百拇医药
11,Horiike S,Yakota S, Nakao M, et al. Tandem duplications of the FLT3 receptor gene are associated with leukemic transformation of myelodysplasia [J]. Leukemia, 1997, 11: 1442~ 1446.
12,Drexler HG. Expression of FLT3 receptor and response to FLT3 ligand by leukemic cells [J]. Leukemia,1996,10(4): 588~ 599.
收稿日期:1999-12-06;修回日期:2000-02-25, 百拇医药
单位:李东 曾皓明(南京江北人民医院血液科,江苏南京210048);顾庆礼 朱琬莹 姚利(苏州医学院附属第一医院江苏省血液研究所,江苏苏州215006)
关键词:Flt3基因;白血病;基因表达;逆转录-聚合酶链反应
癌症000624
【摘要】目的:研究Flt3基因在不同类型、亚型白血病中mRNA表达、分布情况,以期阐明Flt3基因表达与疾病发生、发展的关系,探索Flt3基因作为白血病转归及预后指标的意义。方法:应用血细胞Percoll不连续密度梯度分离法分离出外周血中原始细胞,采用逆转录-聚合酶链反应(RT-PCR),检测Flt3基因在109例恶性血液病患者外周血中表达。结果:初治AML(急性髓细胞性白血病)中Flt3基因mRNA表达为91.4%;ALL(急性淋巴细胞性白血病)中表达率亦较高,为82.3%;在急性白血病的CR(完全缓解)病例中原Flt3阳性表达可转为阴性;而NR(未缓解)的患者则持续为阳性表达。CML(慢性髓细胞性白血病)中阳性表达为33.9%,仅见于急变期及加速期,在慢性阶段则无表达。6例CLL(慢性淋巴细胞性白血病)中的4例、4例MDS(骨髓增生异常综合征)中的2例表达Flt3。结论:Flt3基因有望在白血病诊治过程中成为标志性基因。
, http://www.100md.com
中图分类号:R733 文献标识码:A
文章编号:10000-467X(2000)06-0589-05
Study on the expression of Flt3 gene in human
leukemias and its clinical significance
LI Dong
Department of Hematology,Nanjing Jiangbei People's Hospital, Nanjing 210048, P.R. China
GU Qing- li, ZHU Wan- ying, et al.
, 百拇医药
Jiangsu Institute of Hematology, the First Affiliated Hospital of Suzhou Medical College, Suzhou 215006, P.R. China
【 Abstract】 Objectives: To investigate the expression of Flt3 gene in leukemia and indicate the relation between the expression of Flt3 gene and the occurrence or the development of the disease. Methods: The separation method of the Percoll discontinuous density gradient was applied to isolate the blast cells in peripheral blood. RT- PCR was used to detect the mRNA expressions of Flt3 in blast cells of peripheral blood from 109 malignant patients. Results: The high level of the Flt3 mRNA in primary AML blasts from 35 patients peripheral blood was 91.4% with no apparent predominance of any of the M1~ M6 subtypes, Flt3 mRNA in ALL also was found at high level in 82.4 % . When the patients were in complete remission(CR), their expression could be changed from positive to negative. But the positive rates was continual if the leukemia cases were non-remission (NR). The positive rate in CML sample was 33.9% which was attained merely to accelerated phase and blast crisis,whereas it was not found in chronic phase. Flt3 mRNA was detected in 4/6 cases of CLL and 2/4 cases of MDS. Conclusion:Flt3 gene will hopefully become a symbolic gene during the course of diagnosis and treatment in leukemias.
, http://www.100md.com
Key words:Flt3 gene; Leukemia; Gene expression; RT-PCR
Flt3基因是近年发现的早期造血生长因子受体基因,其与KL(干细胞生长因子)的受体C-kit、CSF-1(巨噬细胞集落刺激因子)的受体c-fms同属于第三族酪氨酸激酶基因家族成员,调控早期造血,其中Flt3正常表达时期较后两者更早。已有报道c-kit和c-fms在白血病中有表达[1,2]。有关Flt3在白血病中的表达研究目前国内尚未见类似报道,为检测Flt3基因在中国人白血病不同类型、亚型白血病表达、分布情况。本文通过采用血细胞Percoll不连续密度梯度分离法直接分离出外周血中原始细胞,运用RT-PCR检测方法,检测了Flt3mRNA在109例恶性血液病病人的外周血中的表达,旨在研究在白血病中Flt3基因的表达、分布与疾病发生、发展的关系;探索Flt3基因作为白血病转归及预后指标的意义,在白血病的诊治中提出一种新的检测和评估方法。
, 百拇医药
1 材料和方法
1.1 临床病例和白血病细胞株
恶性血液病患者109例,其中AML(M1~M6)35例,ALL17例,CML47例,CLL6例,MDS4例;男58例,女51例;中位年龄37.5岁。并对6例急性白血病病人短期随访。对照组的外周血样本23例,包括献血员10例、非恶性血液病病人13例[ITP(特发性血小板减少性紫癜)7例、IDA(缺铁性贫血)5例、AA(再生障碍性贫血)1例],以及5株白血病细胞株:原粒白血病细胞株KG-1,早幼粒白血病细胞株NB4,急性髓性白血病细胞株HL-60,慢性粒细胞白血病细胞株K562,淋巴性细胞株U937,以用作阴性及阳性对照。(由苏州医学院附属第一医院、江苏省血液研究所白血病研究室提供)。
|1.2试剂
1.2.1细胞分离液Percoll(Pharmacia公司),DextranT-500(Pharmacia公司),SIP(贮存液):9份Percoll加1份1.5mol/LNaCl作为贮存液。60%(V/V)SIP:用pH7.4去Ca2+、Mg2+之Dulbecco缓冲液稀释[SIP∶缓冲液(V/V)=6∶4];50%(V/V)SIP∶用pH7.4去Ca2+、Mg2+之Dulbecco缓冲液稀释[SIP∶缓冲液(V/V)=5∶5];1.5%DextranT-500∶DextranT-5001.5g溶于pH7.4去Ca2+、Mg2+之Dulbecco缓冲液100ml,置冰箱待用。
, http://www.100md.com
1.2.2RNA制备试剂:溶液D(4mol/L异硫氰酸胍,25mol/L柠檬酸钠(pH7.0),十二烷基肌氨酸钠,β-巯基乙醇),醋酸钠,水饱和酚,氯仿,异戊醇,异丙醇,乙醇,DEPC(Gibco-BRL)。
1.2.3RPMI-1640培养基:按供应商(Gibco-BRL)推荐的方法配制,加入终浓度为10%的新生小牛血清(NCS,上海实生公司),经0.22μm滤膜过滤。
1.2.4逆转录反应试剂:六随机引物(Sangon)及RNA酶抑制剂(上海华美)AMV逆转录酶(Promega),5×合成第一链缓冲液(Promega),10mmol/LdNTPs(上海生工公司)。
1.2.5PCR反应试剂:10×PCR缓冲液,25mmol/LMgCl2,TaqDNA聚合酶(Sangon)。
1.2.6标准分子量:PBR322DNABsuRI(HaeⅢ),MBI公司(Fermentas)。
, http://www.100md.com
1.2.7Flt3、β-actin、abl基因引物由上海生工公司合成。
Flt3(366bp)
R5:5’-TGTCGAGCAGTACTCTAAACA-3’(nt1487~1507)
R6:5’-ATCCTAGTACCTTCCCAAAACTC-3’(nt1831~1852)
β-actin(210bp)sense:5’-CTTCCTGGGCATGGAGAC-3’
antisense:5’-CGCTCAGGGAGGAGCAATGAT-3’
abl(185bp)sense:5’-TTCAGCGGCCAGCATCTGACTT-3’
, http://www.100md.com
antisense:5’-GACCCGGAGCTTTTCACCTTTAGTT-3’
1.3实验方法
1.3.1细胞分离:采用血细胞Percoll不连续密度梯度分离法[3,4],分离出外周血中的单核细胞、淋巴细胞、粒细胞。将分得的单核、淋巴和粒细胞用pH7.4去Ca2+、Mg2+之Dulbecco缓冲液洗2~3次,除去残余的Percoll,计数,涂片,分类。
1.3.2RNA制备:采用异硫氰酸胍一步法提取总RNA[5]。抽提的RNA用DEPC-H2O溶解,实验选用样本为经紫外分光光度计测定其RNA溶液A260/A280>1.8,且经RNA酶消化后在1%琼脂糖凝胶上进行电泳,紫外灯下观察未发现有RNA及其它条带存在。-20℃保存备用。
, http://www.100md.com
1.3.3逆转录反应:标本总RNA2μg,六随机引物100ng,加DEPC处理水至20μl,72℃变性5分钟,另加5×合成第一链缓冲液8μl,10mmol/LdNTP1μl,RNA酶抑制剂RNasin50U,10mmAMV10U,总逆转录体系40μl,37℃反应60min,4℃保存。
1.3.4PCR反应:(按BoehringerMannheim厂商试剂盒方法稍加修改)反应体系50μl,取cDNA10μl,分别加入40pmol引物R5和R6,及β-actin的sense链和antisense链引物,10×PCRbuffer5μl,MgCl25μl,10mmol/LdNTPs1μl,TaqDNA聚合酶2U。PCR反应时间为:预热94℃5min;随后58℃45s、72℃60s、94℃30s,共35个循环;72℃延伸10min钟;4℃保存。
1.3.5RNA质量监测:样本采用abl引物扩增[6],若只有一条185bp的条带,表明该模板RNA是完整的。
, 百拇医药
1.3.6统计学检验:采用卡方检验,四格表精确概率检验法。
图1 细胞株Flt3基因的表达
M:Marker,1:HL-60,2:K562,3:U937,4:NB4,5:KG-1
图2 PCR灵敏度检测
1~10:NB4细胞RNA20~2-9
图3 单核细胞性白血病细胞(×1250)
, http://www.100md.com
图4 淋巴性白血病细胞(×1250)
图5 粒细胞性白血病细胞(×1250)
2 结果
2.1细胞系细胞株的表达情况
在5种白血病细胞株中,Flt3基因的表达见图1。HL-60、KG-1、NB4表达为阳性,可见一条366pb的产物,及内对照一条210pbβ-actin基因产物,K562、U937两个细胞株为阴性表达。
2.2PCR灵敏度检测
Flt3基因经PCR及产物检测灵敏度达2-5,见图2所示。
2.3正常人外周血Flt3基因的表达
, http://www.100md.com
单核细胞、淋巴细胞、粒细胞分离纯度达90%以上,分别提取RNA经RT-PCR扩增检测Flt3表达,结果均未见阳性表达。
2.4恶性细胞Flt3基因的表达
恶性细胞经上述方法分离,细胞得率为45%~60%,纯度为90%以上,分别见图3、4、5。提取RNA进行RT-PCR扩增,产物在1%琼脂糖凝胶电泳,观察、记录、摄影。
2.4.1急性白血病中Flt3的表达:初治52例病例中AML35例(M1~M6)中Flt3表达32例(91.4%),其中M13(3),M24(5),M310(10),M44(4),M510(12),M61(1)。初治ALL17例中Flt3表达14例(82.3%)。Flt3的表达在急性白血病组与正常对照组间差异有显著统计学意义(P<0.01)。短期观察6例经化疗4例CR(1例M3,1例M4,2例ALL)均转为阴性。1例ALL及1例M3病人未能CR仍持续Flt3表达。(见图6)
, 百拇医药
2.4.2慢性白血病中Flt3的表达:53例病例中Flt3的表达18例(33.9%)。47例CML中在慢性阶段未见Flt3的表达,但于急变期13例中11例(淋巴性3例、髓性6例、混合细胞性2例)有表达;5例加速期中,3例有表达。CLL中6例,有4例阳性。Flt3的表达在慢性白血病组与正常对照组间差异有显著统计学意义(P<0.01)。慢性与急性白血病组间差异亦有显著统计学意义(P<0.01)。(见图7)
2.4.3MDS中Flt3的表达:4例MDS中有2例表达,阳性率50%。为难治性贫血伴原始细胞增多-转变型(RAEB-T)。(见图8)
表1 恶性血液病人外周血中Flt3基因的表达 疾病分类
n
Flt3mRNA表达(%)
急性白血病
, 百拇医药
52
42(88.5)
AMLtotal
35
32(91.4)
M1
3
3(100)
M2
6
4(80)
M3
, 百拇医药
10
10(100)
M4
4
4(100)
M5
12
10(83.3)
M6
1
1(100)
ALL
, 百拇医药
17
14(82.3)
慢性白血病
53
18(33.9)
CGL
47
14(29.8)
CLL
6
4(66.6)
MDS
4
, 百拇医药
2(50)
图6 RT-PCR检测AML中Flt3的表达
1:HL-60,2:U937,3:空白对照,4~6:阳性表达,7:阴性表达,8~9:M3初治、CR,10~11:ALL初治、CR
图7CML中的Flt3基因的表达
1:HL-60,2:NB4,3:KG-1,4:U938,5~10:CML阳性表达,11~12:阴性表达
图8 MDS中的Flt3基因的表达
, http://www.100md.com
1:NB4,2:HL-60,3:U938,4:KG-1,5~6:MDS阳性表达,7~8:MDS阴性表达
2.5 Flt3基因的突变
在病例检测中有6例AML出现一条质量比Flt3更大的产物条带(见图6中第5泳道),可能为Flt3基因的突变[7]。将作另文报道。
实验中的109例恶性血液病人外周血中Flt3基因的表达情况见表1,急性白血病呈高表达88.5%(42/52),Flt3基因与急性白血病密切相关。慢性白血病为33.9%(18/53),见于一些特定阶段。我们亦对4例MDS进行了检测,2例RAEB-T阳性表达。
3 讨论
成熟血细胞是由自身更新造血干/祖细胞群通过增殖和分化而生成,由能与特异细胞表面受体结合的造血生长因子网所调控。而造血细胞克隆扩增、分化障碍都会导致白血病细胞的增殖,这种分化和死亡程序及对信号分子反应的变化是基因改变的结果,其基因的产物就是一些造血生长因子受体,并在造血细胞膜上表达。在正常骨髓中,Flt3基因在所有CD34+细胞中限制性地低水平表达,外周血的血细胞不表达。外周血的检测可排除CD34+细胞表达的可能,从而直接显示恶性细胞的表达情况。本试验通过RT-PCR方法检测Flt3mRNA结果显示,在非恶性血液病病人外周血中未能检测到产物。正常外周血的单核、淋巴、中性粒细胞Flt3无表达,Brasel等认为Flt3mRNA表达仅限于造血祖细胞,而定向、分化细胞则不表达[8],本文结果与之相符。通过采用血细胞Percoll不连续密度梯度分离法直接分离出外周血中原始细胞进行检测。提高了灵敏度,因而能既方便又能更客观地反映恶性细胞的表达情况。
, http://www.100md.com
在初治的AML中:Flt3基因编码受体Flt3的mRNA在AML外周血的原始细胞中呈高表达,为91.4%,AMLM1~M6中均有表达。在ALL中表达率亦较高为82.3%(见表1),Meierhoff等报道ALL中B-ALL呈高表达为100%,而T-ALL则比例较低[9],本文实验未进行免疫分型的分类故未作定论。1例ALL及1例M3病人经多种方案治疗未缓解,复查仍为阳性表达,可能与多药耐药(multidrugresistance,MDR)相关。4例AML(缓解)检测为阴性,亦说明其表达与疾病转归相关。Carow等曾报导指出的在缓解期AMLFlt3表达可能是复发的敏感标志[10]。
在慢性白血病中:CML中为33.9%仅见于急变期及加速期,在慢性阶段则无表达。在CML中仅于淋巴、髓性、混合细胞性变及加速期有表达,Flt3与CML疾病发展相关。CLL中表达较高,因病例不多,尚难说明问题。MDS4例中有2例阳性均为转化期。提示可能与MDS向白血病转变有关[11]。
, 百拇医药
Flt3异常表达与白血病恶性细胞数量呈正相关,白血病中Flt3表达方式与c-kit及c-fms表达不同,AML和CML髓细胞性急变中c-kit表达高水平,而B-All和T-All无表达;c-fms则仅在一些AML和T-ALL中表达。近年来国外的研究已显示Flt3的促有丝分裂作用及信号传递特征;Flt3分子通过与FL结合而呈二聚体化,并使细胞外酪氨酸残基磷酸化,磷酸化的Flt3通过各种细胞浆相关蛋白传导激活信号,其中包括一个生物化学级联反应。并能提供增殖刺激;原型Flt3蛋白代表主要的效应分子,即Flt3为功能性受体,Flt3与FL相互作用能促进白血病恶性细胞克隆的增殖与维持[12]。因而,Flt3基因是一个与白血病,尤其是急性白血病密切相关的基因。
MRD(微小残留病灶)是白血病复发的原因,及时检测MRD,尽早清除MRD,才能降低白血病的复发率,达到治愈的目的。MRD占血细胞总数的1/1000~1/10000以下,常规的细胞形态学检查不能检测出来。荧光原位杂交(FISH)灵敏度为1/100,流式细胞术检测MRD尚存在确定阳性阈值的问题。用RT-PCR检测异位后的融合基因如:PML-RARα、AML1-ETO、MLL等作为MRD的标志,敏感度和特异性均很强,但选择标志不易。而Flt3基因在急性白血病有广泛高表达,在慢性白血病中见于一些特定阶段,并与疾病的转归相关,本试验建立的检测Flt3的mRNA的方法,灵敏度为2-5,因此,Flt3基因有望成为白血病的泛基因,在MRD的检测中发挥重要作用。
, 百拇医药
[参考文献]
1,Kanakura Y,Ikeda H, Kitayama H, et al. Expression, function and activation of the proto-oncogene c-kit product in human leukemia cells [J]. Leuk Lymphoma, 1993, 10:35~ 41.
2,Torres H, Dubreuil P, Falzetti F, et al. c-fms expression in acute leukemias with complex phenotypes [J]. Leukemia,1990,4(10):673~ 677.
3,张明,顾庆礼.DNA指纹图在急性白血病中的应用[J].中华血液学杂志,1997,18:276~277.
, 百拇医药
4,顾庆礼,张箐,张健.血细胞的Percoll不连续密度梯度分离法[J].苏州医学院学报,1991,11:50.
5,Chomczynski P, Sacchi N. Single-step method of RNA isolation by acid guanidinium thiocyanate-phenol-chloroform extraction [J]. Anal Biochem,1987, 162(1):156~ 159.
6,Watzinger F,Lion T.Multiplex PCR for quality control of template RNA/cDNA in RT-PCR assays [J]. Leukemia, 1998, 12(12):1984~ 1986.
7,Yokota S,kiyoi H, Nakao M, et al. Internal tandem duplication of the FLT3 gene is preferentially seen in acute myeloid leukemia and myelodysplastic syndrome among various hematological malignancies. A study on a large series of patients and cell lines [J]. Leukemia, 1997,11: 1605~ 1609.
, http://www.100md.com
8,Brasel K, Escobar S, Anderperg R, et al. Expression of the Flt3 receptor and its ligand on hematopoietic cells [J]. Leukemia,1995, 9(7):1212~ 1218.
9,Meierhoff G, Dehmel U, Gruss HJ, et al. Expression of FLT3 receptor and FLT3-ligand in human leukemia-lymphoma cell lines [J]. Leukemia, 1995, 9(8):1368~ 1372.
10,Carow CE, Levenstein M, Kaufmann SH, et al. Expression of the hematopoietic growth factor receptor FLT3 (STK1/FLK2) in human leukemias [J]. Blood,1996,87(3): 1089~ 1096.
, 百拇医药
11,Horiike S,Yakota S, Nakao M, et al. Tandem duplications of the FLT3 receptor gene are associated with leukemic transformation of myelodysplasia [J]. Leukemia, 1997, 11: 1442~ 1446.
12,Drexler HG. Expression of FLT3 receptor and response to FLT3 ligand by leukemic cells [J]. Leukemia,1996,10(4): 588~ 599.
收稿日期:1999-12-06;修回日期:2000-02-25, 百拇医药