胃间质瘤的临床病理与免疫组化研究
作者:王卓才 黄小让 赖日权 罗祝泉
单位:王卓才 黄小让 赖日权 罗祝泉(广州军区广州总医院病理科,广东广州510010)
关键词:胃间质瘤;临床病理;免疫组化
癌症000621
【摘要】目的:探讨胃间质瘤(gastricstromaltumor,GST)的组织发生、组织分型及预后关系。方法:结合临床病理特点与免疫组化CD34、S-100蛋白、SMA标记对60例GST进行观察。结果:GST良、恶性与肿瘤大小、核分裂像多少、细胞异型性、细胞密度、肿瘤组织浸润相关(P<0.05),而与肿瘤出血、坏死无关(P>0.05);CD34、S-100蛋白、SMA阳性率与肿瘤分化程度、转移生存率相关(P<0.05)。S-100蛋白、SMA阳性率越低,肿瘤恶性程度越高,越易发生转移,生存率越低,CD34则相反。结论:CD34、SMA和S-100蛋白表达可为GST预后提供有价
, 百拇医药
值参考。
中图分类号:R735.2 文献标识码:A
文章编号:1000-467X(2000)06-0579-03
A clinicopathologic and immunohistochemical study of gastric stromal tumors
WANG Zhuo-cai, HUANG Xiao-rang, LAI Ri-quan, et al.
Department of Pathology,General Hospital of PLA, Guangzhou 510010, P.R.China
【 Abstract】 Objective: To investigate the relationship between the histogenesis, the histological type and the prognosis in the gastric stromal tumors (GST). Methods: The clinicopathologic features and immunohistochemical expressions of CD34, S-100 protein and smooth muscle actin (SMA) were detected in 60 cases of GST. Results: There were significant differences between the benign and malignant GST cases in tumor size, mitosis, atypism,cellulary and invasion (P< 0.05),but were not in bleeding and necrosis (P >0.05). The positive rates of CD34, S-100 protein and SMA were closely related with the metastasis, survival rate and tumor differentiation (P < 0.05).The lower the positive rates of S-100 protein and SMA and the more malignant of the tumors, the easier the metastasis of the tumors and the lower the survival rates, while in contrary for CD34. Conclusion: The CD34,S-100 protein and SMA expressions can provide useful information for the prognosis of GST patients.
, 百拇医药
Key words: Gastric stromal tumor; Clinicopathology; Immunohistochemistry
胃间质瘤(gastricstromaltumor,GST)是较为常见的非上皮性肿瘤,过去通常诊断为胃的平滑肌瘤或神经肿瘤。近十年来,随着免疫组织化学的应用和发展,人们对该肿瘤有了新的认识。本研究通过临床病理与免疫组化的观察,探讨GST的组织发生、组织分型及预后的关系。
1 材料与方法
1.1材料
收集1960年~1998年我院经病理诊断证实无单项平滑肌分化或神经分化的GST60例。其中男性33例,女性27例,年龄22~76岁,中位年龄52.25岁,所有病例随访6~216个月,平均69个月,其中随访超过5年的17例,超过10年12例,5年内18例,1年内13例。
, 百拇医药
1.2临床资料
1.2.1临床表现:腹痛60%,贫血30%,呕血18.3%,体重减轻16.7%,腹部包块25%。胃纤维内窥镜检查:胃粘膜溃疡及粘膜隆起50%,活检证实间质瘤18.3%;B超提示腹腔胃占位15%;X线钡餐提示胃充盈缺损、胃蠕动功能障碍60%。
1.2.2治疗:所有患者均行手术治疗,其中胃大部分切除术38例,全胃切除术19例,手术时因腹腔及肠系膜等广泛转移仅作姑息手术3例。
1.3方法
1.3.1标本处理:60例石蜡包埋GST,常规HE染色,再做5μm连续切片,分别进行LSAB法CD34、SMA、S-100蛋白染色(试剂由DAKO公司提供),取软组织血管肉瘤、神经鞘瘤、恶性黑色素瘤、子宫平滑肌瘤作阳性对照。阳性信号为棕黄色-棕褐色,呈弥漫颗粒状着色于胞浆。
, 百拇医药
1.3.2阳性结果判断:随机计数5个高倍视野的500个细胞,以其阳性百分比记≤5%(-),6%~25%(+),26%~50%(++),≥51%(+++)。每一种肿瘤随机选择50个高倍视野(×400)计核分裂数,未见核分裂像为良性,1~4个核分裂像为交界性,≥5个核分裂像为恶性。
2 结果
2.1病理所见
60例GST中,良性23例,0.5~6cm;交界性22例,3.5~7.1cm;恶性15例,3.0~21cm。有溃疡30例,其中良性10例(33.3%),交界性11例(36.7%),恶性9例(30%)。有出血的24例中,良性8例(33.3%),交界性9例(37.5%),恶性7例(29.2%)。变性坏死的35例中,良性15例(42.9%),交界性12例(34.3%),恶性8例(22.8%)。36例瘤细胞呈致密性改变,良性9例(25%)、交界性15例(41.7%)、恶性12例(33.3%);在15例有浸润的肿瘤中,13例(86.7%)为恶性,2例(13.3%)为交界性。
, http://www.100md.com
2.2镜下所见
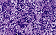
60例GST中,47例肿瘤由核杆状、胞浆红染或淡染的梭形细胞呈编织状或束状排列,可见细胞致密区和疏松区,此类细胞核分裂数甚少,23例未见核分裂像,22例1~4/50HPFs,仅2例>5/50HPFs;在22例1~4/50HPFs肿瘤组织中可见梭形细胞向上皮样细胞过渡,且3例细胞有异型性。在60例GST中13例由圆形或多角形细胞组成,细胞境界清楚,胞浆丰富,似上皮样,胞质淡染细颗粒状,部分胞核周透亮或呈核周空晕,肿瘤组织中均可见梭形细胞,此13例>5/50HPFs,瘤细胞有明显异型性(图1),均为恶性。
上述病变提示核分裂数、细胞异型性及肿瘤富于细胞与肿瘤的良、恶性有显著差异(P<0.05);良性与交界性无显著差异(P>0.05)。瘤组织出血、变性坏死与肿瘤良、恶性无显著差异(P>0.05)。
2.3SMA、S-100蛋白、CD34表达与肿瘤恶性程度的关系(表1)
, http://www.100md.com
60例GST中,SMA阳性表达49例(81.7%),S-100蛋白阳性40例(66.7%),CD34阳性表达54例(90%),CD34不表达的6例病例均为梭形细胞型,其中良性4例,交界性2例(图2,3,4)。CD34和SMA、S-100蛋白阳性表达强度与肿瘤恶性程度有关(P<0.05),即随肿瘤恶性程度增高,SMA、S-100蛋白阳性强度逐渐减弱,CD34表达逐渐增强。2.4SMA、S-100蛋白阳性表达率及CD34阳性强度表达与肿瘤的转移及预后的关系(表2)
表1 60例不同性质GST SMA、S-100蛋白与CD34表达关系 项目
n
SMA
S-100
CD34
-
, 百拇医药
+
++
+++
-
+
++
+++
-
+
++
+++
良性
23
2
, http://www.100md.com
5
7
9
13
1
3
6
4
5
5
9
交界性
22
4
, 百拇医药
6
9
3
5
5
8
4
2
5
4
11
恶性
15
5
, http://www.100md.com
5
4
1
2
8
4
1
0
0
4
11
上皮样细胞型
13
3
, http://www.100md.com
6
3
1
2
7
4
0
0
0
2
11
梭形细胞型
47
8
, 百拇医药
10
17
2
18
7
11
11
6
10
11
20
表2 15例恶性GST SMA、S-100蛋白、CD34表达与转移预后的关系 项目
n
, http://www.100md.com
SMA
S-100
CD34
-
+
++
+++
-
+
++
+++
-
+
++
, 百拇医药
+++
腹膜转移
8
4
1
2
1
1
4
2
1
0
0
2
, 百拇医药
6
肠系膜转移
7
1
4
2
0
1
4
2
0
0
0
2
, 百拇医药
5
生存5年内*
5
5
0
0
0
0
3
1
1
0
0
0
, http://www.100md.com
5
生存5年经上
7
0
4
2
1
2
3
2
0
0
0
3
, 百拇医药
4



图1瘤细胞似上皮样,核周有空晕或透亮,上皮样细胞与梭形细胞有过渡HE×200;图2胃间质瘤CD34阳性表达LSAB法×200;图3胃间质瘤S-100蛋白阳性表达LSAB法×200;图4胃间质瘤SMA阳性表达LSAB法×200
本组良性23例,均未见转移,手术切除后预后良好;交界性22例,其中1例SMA、S-100均阳性的肿瘤肠系膜有转移复发,其余未见转移。恶性15例中,SMA、S-100蛋白表达及CD34阳性强度与5年生存期和肿瘤的神经分化有关(P<0.05),而与肿瘤转移部位无关(P>0.05)。结果表明,GST具有神经分化的肿瘤其预后较差,且随着CD34表达增强,预后越差。
, 百拇医药
3 讨论
GST是有争议的肿瘤,是不成熟的梭形细胞或上皮样细胞的异常增殖,因肿瘤细胞系列不清
楚,其与平滑肌肿瘤和神经鞘瘤关系未确定,因而各学者认识不一,HjermsfadBM[1]根据肿瘤的
主要成分,将GST分为肌源性和神经源性两类;HurlimanJ[2]依组织学将GST分为平滑肌肿瘤
,可能平滑肌肿瘤,可能神经鞘瘤,未定分化肿瘤;Mettinen[3]依造血干细胞抗原CD34表达情况
,将胃的间质性肿瘤分为典型的平滑肌瘤、神经鞘瘤及间质瘤,又根据核分裂数和肿瘤大
小确定:良性<2/10HPFs、交界性2~5/10HPFs,恶性>5/10HPFs,直径>6cm。我们根据肿瘤的核分
, http://www.100md.com
裂像的多寡及细胞异型性、致密性和生长方式等标准分为:良性,肿瘤直径<3cm,未见细胞
异型性,无核分裂像;交界性,肿瘤大小3cm~5cm,可见细胞致密,轻度异型,偶有局灶浸润
,1~4/50HPFs;恶性,肿瘤直径≥5cm,细胞致密,有明显异型性,浸润性生长,≥5/50HPFs。此结
论与Goldbum[4]的十二指肠间质瘤的良、恶性判断标准基本相一致,但也有例外,如22例交界
性肿瘤中2例浸润性生长,1例转移复发,直径>5cm,但其核分裂像<5/50HPFs,此2例仍诊断为恶
性。在15例恶性肿瘤中有2例肿瘤直径分别为5cm和3cm,因此我们认为GST良、恶性标准除
了核分裂像多寡之外,还需结合肿瘤大小、细胞异型性、致密性和生长方式等进行全面综
, 百拇医药
合分析。
本组GST的CD34阳性表达率为90%,与Mettinen[3]所报道的胃的表达率88%相似;SMA的阳性
表达率为81.7%,与Ueyama[5]所报道的表达率88%亦相似,而本组S-100蛋白表达率为66.7%,明
显高于Ueyama[5]所报道的表达率3.5%,这主要是Ueyama[5]将神经分化性肿瘤另外列出的缘故。结果发现,GST的CD34、SMA、S-100蛋白表达与患者年龄、性别、肿瘤有无坏死、溃疡
形成无明显相关(P>0.05),而与肿瘤组织分化程度有关,GST的CD34、SMA、S-100蛋白阳性表
达率在良、恶性之间差异有显著性(P<0.05)。SMA、S-100蛋白阳性强度与分化程度密切
, 百拇医药
相关,分化低的阳性强度越低,而CD34则相反,分化越低,其阳性强度越高,这可能是肿瘤细胞
分化停滞于某一胚胎阶段,而使肿瘤肌源性和神经源性表达明显减弱。同时我们还发现肿
瘤转移、生存率与SMA、S-100蛋白表达率呈负相关,与CD34阳性强度呈正相关,即SMA、S-100蛋白阳性强度越弱,肿瘤分化越差、恶性度越高,转移率亦高,生存越短,此与
Ueyama[5]相似,CD34则相反,结果提示其可作为判断GST恶性程度及预后指标之一。
[参考文献]
1,Hjermstad BM, Sobin LH, Helwing EB. Stromal tumor of the gastrointestinal tract:myogenic or neurogenic? [J]. Am J Surg Pathol, 1987, 11:383~ 386.
, 百拇医药
2,Hurliman J, Gardiol D. Gastrointestinal stromal tumors: An immunohisto-chemical study of 165 cases [J]. Histopathology, 1991,19:311.
3,Miettinen M,Virolainen M,Rikala MS. Gastrointestinal stromal tumors-Value of CD34 antigen in their identification and separation from true leiomyomas and schwannomas [J]. J Am Surg Pathol, 1995, 19:207~ 216.
4,Goldbum JR, Appelman HD. Stromal tumors of the duodenun. A histologic and immunohistochemical study of 20 cases [J]. J Am Surg Pathol, 1995, 19:71~ 80.
5,Ueyama T,Guo KJ,Hashimoto H,et al.A Flow clinicopathologic and immunohistochemical study of Gastrointestinal stroma tumors [J]. Cancer, 1992, 69:947~ 955.
收稿日期:1999-11-29;修回日期:2000-04-10, http://www.100md.com
单位:王卓才 黄小让 赖日权 罗祝泉(广州军区广州总医院病理科,广东广州510010)
关键词:胃间质瘤;临床病理;免疫组化
癌症000621
【摘要】目的:探讨胃间质瘤(gastricstromaltumor,GST)的组织发生、组织分型及预后关系。方法:结合临床病理特点与免疫组化CD34、S-100蛋白、SMA标记对60例GST进行观察。结果:GST良、恶性与肿瘤大小、核分裂像多少、细胞异型性、细胞密度、肿瘤组织浸润相关(P<0.05),而与肿瘤出血、坏死无关(P>0.05);CD34、S-100蛋白、SMA阳性率与肿瘤分化程度、转移生存率相关(P<0.05)。S-100蛋白、SMA阳性率越低,肿瘤恶性程度越高,越易发生转移,生存率越低,CD34则相反。结论:CD34、SMA和S-100蛋白表达可为GST预后提供有价
, 百拇医药
值参考。
中图分类号:R735.2 文献标识码:A
文章编号:1000-467X(2000)06-0579-03
A clinicopathologic and immunohistochemical study of gastric stromal tumors
WANG Zhuo-cai, HUANG Xiao-rang, LAI Ri-quan, et al.
Department of Pathology,General Hospital of PLA, Guangzhou 510010, P.R.China
【 Abstract】 Objective: To investigate the relationship between the histogenesis, the histological type and the prognosis in the gastric stromal tumors (GST). Methods: The clinicopathologic features and immunohistochemical expressions of CD34, S-100 protein and smooth muscle actin (SMA) were detected in 60 cases of GST. Results: There were significant differences between the benign and malignant GST cases in tumor size, mitosis, atypism,cellulary and invasion (P< 0.05),but were not in bleeding and necrosis (P >0.05). The positive rates of CD34, S-100 protein and SMA were closely related with the metastasis, survival rate and tumor differentiation (P < 0.05).The lower the positive rates of S-100 protein and SMA and the more malignant of the tumors, the easier the metastasis of the tumors and the lower the survival rates, while in contrary for CD34. Conclusion: The CD34,S-100 protein and SMA expressions can provide useful information for the prognosis of GST patients.
, 百拇医药
Key words: Gastric stromal tumor; Clinicopathology; Immunohistochemistry
胃间质瘤(gastricstromaltumor,GST)是较为常见的非上皮性肿瘤,过去通常诊断为胃的平滑肌瘤或神经肿瘤。近十年来,随着免疫组织化学的应用和发展,人们对该肿瘤有了新的认识。本研究通过临床病理与免疫组化的观察,探讨GST的组织发生、组织分型及预后的关系。
1 材料与方法
1.1材料
收集1960年~1998年我院经病理诊断证实无单项平滑肌分化或神经分化的GST60例。其中男性33例,女性27例,年龄22~76岁,中位年龄52.25岁,所有病例随访6~216个月,平均69个月,其中随访超过5年的17例,超过10年12例,5年内18例,1年内13例。
, 百拇医药
1.2临床资料
1.2.1临床表现:腹痛60%,贫血30%,呕血18.3%,体重减轻16.7%,腹部包块25%。胃纤维内窥镜检查:胃粘膜溃疡及粘膜隆起50%,活检证实间质瘤18.3%;B超提示腹腔胃占位15%;X线钡餐提示胃充盈缺损、胃蠕动功能障碍60%。
1.2.2治疗:所有患者均行手术治疗,其中胃大部分切除术38例,全胃切除术19例,手术时因腹腔及肠系膜等广泛转移仅作姑息手术3例。
1.3方法
1.3.1标本处理:60例石蜡包埋GST,常规HE染色,再做5μm连续切片,分别进行LSAB法CD34、SMA、S-100蛋白染色(试剂由DAKO公司提供),取软组织血管肉瘤、神经鞘瘤、恶性黑色素瘤、子宫平滑肌瘤作阳性对照。阳性信号为棕黄色-棕褐色,呈弥漫颗粒状着色于胞浆。
, 百拇医药
1.3.2阳性结果判断:随机计数5个高倍视野的500个细胞,以其阳性百分比记≤5%(-),6%~25%(+),26%~50%(++),≥51%(+++)。每一种肿瘤随机选择50个高倍视野(×400)计核分裂数,未见核分裂像为良性,1~4个核分裂像为交界性,≥5个核分裂像为恶性。
2 结果
2.1病理所见
60例GST中,良性23例,0.5~6cm;交界性22例,3.5~7.1cm;恶性15例,3.0~21cm。有溃疡30例,其中良性10例(33.3%),交界性11例(36.7%),恶性9例(30%)。有出血的24例中,良性8例(33.3%),交界性9例(37.5%),恶性7例(29.2%)。变性坏死的35例中,良性15例(42.9%),交界性12例(34.3%),恶性8例(22.8%)。36例瘤细胞呈致密性改变,良性9例(25%)、交界性15例(41.7%)、恶性12例(33.3%);在15例有浸润的肿瘤中,13例(86.7%)为恶性,2例(13.3%)为交界性。
, http://www.100md.com
2.2镜下所见
60例GST中,47例肿瘤由核杆状、胞浆红染或淡染的梭形细胞呈编织状或束状排列,可见细胞致密区和疏松区,此类细胞核分裂数甚少,23例未见核分裂像,22例1~4/50HPFs,仅2例>5/50HPFs;在22例1~4/50HPFs肿瘤组织中可见梭形细胞向上皮样细胞过渡,且3例细胞有异型性。在60例GST中13例由圆形或多角形细胞组成,细胞境界清楚,胞浆丰富,似上皮样,胞质淡染细颗粒状,部分胞核周透亮或呈核周空晕,肿瘤组织中均可见梭形细胞,此13例>5/50HPFs,瘤细胞有明显异型性(图1),均为恶性。
上述病变提示核分裂数、细胞异型性及肿瘤富于细胞与肿瘤的良、恶性有显著差异(P<0.05);良性与交界性无显著差异(P>0.05)。瘤组织出血、变性坏死与肿瘤良、恶性无显著差异(P>0.05)。
2.3SMA、S-100蛋白、CD34表达与肿瘤恶性程度的关系(表1)
, http://www.100md.com
60例GST中,SMA阳性表达49例(81.7%),S-100蛋白阳性40例(66.7%),CD34阳性表达54例(90%),CD34不表达的6例病例均为梭形细胞型,其中良性4例,交界性2例(图2,3,4)。CD34和SMA、S-100蛋白阳性表达强度与肿瘤恶性程度有关(P<0.05),即随肿瘤恶性程度增高,SMA、S-100蛋白阳性强度逐渐减弱,CD34表达逐渐增强。2.4SMA、S-100蛋白阳性表达率及CD34阳性强度表达与肿瘤的转移及预后的关系(表2)
表1 60例不同性质GST SMA、S-100蛋白与CD34表达关系 项目
n
SMA
S-100
CD34
-
, 百拇医药
+
++
+++
-
+
++
+++
-
+
++
+++
良性
23
2
, http://www.100md.com
5
7
9
13
1
3
6
4
5
5
9
交界性
22
4
, 百拇医药
6
9
3
5
5
8
4
2
5
4
11
恶性
15
5
, http://www.100md.com
5
4
1
2
8
4
1
0
0
4
11
上皮样细胞型
13
3
, http://www.100md.com
6
3
1
2
7
4
0
0
0
2
11
梭形细胞型
47
8
, 百拇医药
10
17
2
18
7
11
11
6
10
11
20
表2 15例恶性GST SMA、S-100蛋白、CD34表达与转移预后的关系 项目
n
, http://www.100md.com
SMA
S-100
CD34
-
+
++
+++
-
+
++
+++
-
+
++
, 百拇医药
+++
腹膜转移
8
4
1
2
1
1
4
2
1
0
0
2
, 百拇医药
6
肠系膜转移
7
1
4
2
0
1
4
2
0
0
0
2
, 百拇医药
5
生存5年内*
5
5
0
0
0
0
3
1
1
0
0
0
, http://www.100md.com
5
生存5年经上
7
0
4
2
1
2
3
2
0
0
0
3
, 百拇医药
4
图1瘤细胞似上皮样,核周有空晕或透亮,上皮样细胞与梭形细胞有过渡HE×200;图2胃间质瘤CD34阳性表达LSAB法×200;图3胃间质瘤S-100蛋白阳性表达LSAB法×200;图4胃间质瘤SMA阳性表达LSAB法×200
本组良性23例,均未见转移,手术切除后预后良好;交界性22例,其中1例SMA、S-100均阳性的肿瘤肠系膜有转移复发,其余未见转移。恶性15例中,SMA、S-100蛋白表达及CD34阳性强度与5年生存期和肿瘤的神经分化有关(P<0.05),而与肿瘤转移部位无关(P>0.05)。结果表明,GST具有神经分化的肿瘤其预后较差,且随着CD34表达增强,预后越差。
, 百拇医药
3 讨论
GST是有争议的肿瘤,是不成熟的梭形细胞或上皮样细胞的异常增殖,因肿瘤细胞系列不清
楚,其与平滑肌肿瘤和神经鞘瘤关系未确定,因而各学者认识不一,HjermsfadBM[1]根据肿瘤的
主要成分,将GST分为肌源性和神经源性两类;HurlimanJ[2]依组织学将GST分为平滑肌肿瘤
,可能平滑肌肿瘤,可能神经鞘瘤,未定分化肿瘤;Mettinen[3]依造血干细胞抗原CD34表达情况
,将胃的间质性肿瘤分为典型的平滑肌瘤、神经鞘瘤及间质瘤,又根据核分裂数和肿瘤大
小确定:良性<2/10HPFs、交界性2~5/10HPFs,恶性>5/10HPFs,直径>6cm。我们根据肿瘤的核分
, http://www.100md.com
裂像的多寡及细胞异型性、致密性和生长方式等标准分为:良性,肿瘤直径<3cm,未见细胞
异型性,无核分裂像;交界性,肿瘤大小3cm~5cm,可见细胞致密,轻度异型,偶有局灶浸润
,1~4/50HPFs;恶性,肿瘤直径≥5cm,细胞致密,有明显异型性,浸润性生长,≥5/50HPFs。此结
论与Goldbum[4]的十二指肠间质瘤的良、恶性判断标准基本相一致,但也有例外,如22例交界
性肿瘤中2例浸润性生长,1例转移复发,直径>5cm,但其核分裂像<5/50HPFs,此2例仍诊断为恶
性。在15例恶性肿瘤中有2例肿瘤直径分别为5cm和3cm,因此我们认为GST良、恶性标准除
了核分裂像多寡之外,还需结合肿瘤大小、细胞异型性、致密性和生长方式等进行全面综
, 百拇医药
合分析。
本组GST的CD34阳性表达率为90%,与Mettinen[3]所报道的胃的表达率88%相似;SMA的阳性
表达率为81.7%,与Ueyama[5]所报道的表达率88%亦相似,而本组S-100蛋白表达率为66.7%,明
显高于Ueyama[5]所报道的表达率3.5%,这主要是Ueyama[5]将神经分化性肿瘤另外列出的缘故。结果发现,GST的CD34、SMA、S-100蛋白表达与患者年龄、性别、肿瘤有无坏死、溃疡
形成无明显相关(P>0.05),而与肿瘤组织分化程度有关,GST的CD34、SMA、S-100蛋白阳性表
达率在良、恶性之间差异有显著性(P<0.05)。SMA、S-100蛋白阳性强度与分化程度密切
, 百拇医药
相关,分化低的阳性强度越低,而CD34则相反,分化越低,其阳性强度越高,这可能是肿瘤细胞
分化停滞于某一胚胎阶段,而使肿瘤肌源性和神经源性表达明显减弱。同时我们还发现肿
瘤转移、生存率与SMA、S-100蛋白表达率呈负相关,与CD34阳性强度呈正相关,即SMA、S-100蛋白阳性强度越弱,肿瘤分化越差、恶性度越高,转移率亦高,生存越短,此与
Ueyama[5]相似,CD34则相反,结果提示其可作为判断GST恶性程度及预后指标之一。
[参考文献]
1,Hjermstad BM, Sobin LH, Helwing EB. Stromal tumor of the gastrointestinal tract:myogenic or neurogenic? [J]. Am J Surg Pathol, 1987, 11:383~ 386.
, 百拇医药
2,Hurliman J, Gardiol D. Gastrointestinal stromal tumors: An immunohisto-chemical study of 165 cases [J]. Histopathology, 1991,19:311.
3,Miettinen M,Virolainen M,Rikala MS. Gastrointestinal stromal tumors-Value of CD34 antigen in their identification and separation from true leiomyomas and schwannomas [J]. J Am Surg Pathol, 1995, 19:207~ 216.
4,Goldbum JR, Appelman HD. Stromal tumors of the duodenun. A histologic and immunohistochemical study of 20 cases [J]. J Am Surg Pathol, 1995, 19:71~ 80.
5,Ueyama T,Guo KJ,Hashimoto H,et al.A Flow clinicopathologic and immunohistochemical study of Gastrointestinal stroma tumors [J]. Cancer, 1992, 69:947~ 955.
收稿日期:1999-11-29;修回日期:2000-04-10, http://www.100md.com