血管内皮生长因子在卵巢上皮性癌中的表达
作者:吴莹星 漆秀梅 魏炜
单位:吴莹星 漆秀梅 魏炜(同济医科大学附属同济医院妇产科,湖北武汉430032)
关键词:血管内皮生长因子;肿瘤血管生成;卵巢上皮性癌;免疫组织化学
癌症000617
【摘要】目的:探讨血管内皮生长因子(vescularendothelialgrowthfactor,VEGF)在血管生成及其在卵巢癌发展中的作用。方法:用免疫组织化学方法检测VEGF在79例人卵巢上皮性癌组织中的表达,并标记肿瘤内血管,分析VEGF与瘤内微血管密度(microvesseldensity,MVD)及其与组织学分类、临床分期、腹水、淋巴结转移、预后的关系。结果:在79例卵巢上皮性癌中50例(63.3%)VEGF表达阳性。VEGF染色阳性者的MVD均值显著高于VEGF阴性者(P<0.01)。在晚期卵巢癌(P<0.01)、大量腹水(P<0.05)和腹水细胞学阳性(P<0.025)者中VEGF表达阳性率显著增高。VEGF阳性患者的5年生存率低于VEGF阴性患者。VEGF表达与卵巢癌组织学分类及淋巴结转移无关(P>0.05)结论:VEGF与卵巢癌血管生成密切相关。VEGF在卵巢癌的发展中起着重要作用。检测肿瘤中VEGF的表达有助于了解卵巢癌的生物学特性,为患者提供预后信息
, 百拇医药
中图分类号:R737.31;R730.3 文献标识码:A
文章编号:1000-467X(2000)06-0565-04
Expression of vascular endothelial growth factor
in epithelial ovarian carcinoma
WU Ying-xing, QI Xiu-mei, WEI Wei
Department of Obstetrics & Gynecology, Tongji Hospital,Tongji Medical University,Wuhan 430030, P.R.China
【 Abstract】 Objective: To investigate the role of vescular endothelial growth factor(VEGF) in tumor angiogenesis and in the progression of epithelial ovarian cancer. Methods:VEGF expression was examined immunohistochemically in 79 epithelial ovarian tumor cases. Inter tumor microvessel was marked by antibody against endothelium markers factor Ⅷ -related antigen. The relationship between VEGF expression and microvessel density, clinicopathological factors or patient survival was analyzed. Results: Positive immunostaining for VEGF was observed in 50 out of 79 cases (63.3% ). The mean microvessel density in VEGF-positive patients was significantly higher than that in VEGF-negative patients (P< 0.01). Positive VEGF immunostaining was observed more frequently in the advanced stage of disease(P< 0.01), patients with large amount of ascitic volume, and patients with positive ascitic cytology(P< 0.025). Patients with positive VEGF staining had poorer five-year survival rates than those with negative VEGF staining. There was no significant relationship between VEGF staining and histological type or lymph node metastasis. Conclusions: There is a close relationship between VEGF and tumor angiogensis.VEGF plays an important role in the progression of ovarian cancer. Evaluating the expression of VEGF can help to reveal the biological behavior of ovarian cancer and provide prognostic information for the patients. In addition, VEGF can be a new target.
, 百拇医药
Key words:VEGF; Angiogenesis; Epithelial ovarian carcinoma; Immunohistochemistry
肿瘤的生长和转移依赖于血管生成的观点最早于70年代由Folkman[1]提出。对于实体瘤而言,血管前期的肿瘤组织生长缓慢,且长到1~2mm3(106个细胞)后便不能持续,只有血管化的肿瘤才能生长到具有临床意义的大小。新生血管为肿瘤提供足够的营养和氧,运走代谢产物,为肿瘤的生长和转移创造有利条件。肿瘤血管生成是一包括血管内皮细胞(endotheliumcell,EC)增殖、迁移及细胞外基质降解的复杂过程,与多种血管生成因子的刺激有关。其中血管内皮生长因子(vescularendothelialgrowthfactor,VEGF)的作用最为重要,VEGF在肿瘤血管生成及肿瘤发生发展中的作用正是其多种生物学效应共同作用的结果。
研究表明,多种实体瘤和体外培养的肿瘤细胞均能合成和分泌VEGF,促进肿瘤血管化。VEGF作为一种肿瘤标记物可为各类肿瘤患者提供预后信息。本研究应用免疫组化法检测人卵巢上皮性癌组织中VEGF的表达和微血管密度(microvesseldensity,MVD),分析VEGF的血管生成作用及其与卵巢癌各临床病理参数、预后的关系,旨在探讨VEGF在卵巢癌发展中的作用。
, 百拇医药
1 材料与方法
1.1 标本
收集我院1984年~1993年间卵巢上皮性癌手术切除标本存档蜡块79例。患者年龄36~62岁,平均48.1岁。术前未做过任何化疗和放疗,其中36例有淋巴结转移。按WHO分类标准组织学分类,浆液性癌28例、粘液性癌21例、子宫内膜样癌16例、透明细胞癌14例。按照FIGO分期,Ⅰ期19例、Ⅱ期17例、Ⅲ期26例、Ⅳ期17例。
1.2 试剂
鼠抗人VEGF165单克隆抗体1∶50(SIGMA公司)、鼠抗人Ⅷ因子相关抗原(FⅧ-RAg)单克隆抗体1∶80、SABC试剂盒(武汉博士德生物工程公司)。
1.3 免疫组织化学染色
常规SABC法显示VEGF及肿瘤组织中血管、淋巴管。分别以已知VEGF阳性的子宫平滑肌组织和FⅧ-RAg阳性的血管瘤组织切片作阳性对照。
, 百拇医药
1.4 结果判定
按VEGF染色强弱及阳性细胞数两个方面来计算VEGF评分:a.染色强度(0=无,1=弱,2=中3=强)b.阳性细胞数(0=无阳性细胞,1=阳性细胞数<25%,2="阳"性细胞数25%~50%,3="阳"性细胞数>50%),计算a+b的值即为VEGF得分。得3~6分者评定为VEGF免疫组化染色阳性。血管计数参照Weidner微血管计数法[2]。凡在肿瘤组织中与邻近微血管,肿瘤细胞及其它结缔组织分界清楚的任何一个染成棕色的细胞或细胞丛均被认为是一个新生肿瘤血管,只要结构不相连,其分枝结构也作为一个血管计数,管腔结构形成并不作为判定的必要条件,已形成明显肌层的血管不参与计数。在低倍镜下(40×,100×)选取高血管密度区(hotspot),在250倍下(0.363mm2)计数5个视野中微血管数量,取其平均值并折算成(mm2)-1作为该病例的微血管密度。
1.5 统计学处理
, http://www.100md.com
VEGF蛋白表达与MVD之间的关系用非配对资料t检验。VEGF蛋白表达和各临床病理参数间的关系用χ2检验。生存率统计绘Kaplan-Meier生存曲线,并作对数秩检验(Log-ranktest)。
2 结果
2.1VEGF蛋白表达
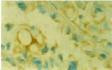
79例卵巢上皮性癌中50例VEGF表达阳性(63.3%),阳性颗粒呈棕色,主要分布在癌细胞胞浆内,也有的病例细胞膜同时表达(图1)。
2.2MVD计数
卵巢癌组织中毛细血管、小静脉、小动脉及淋巴管的内皮细胞均染成棕色。79例卵巢上皮性癌组织的MVD(17~101)个.(mm2)-1不等,
±s为(50.2±21.6)个.(mm2)-1(图2)。
, http://www.100md.com
图1 VEGF在卵巢上皮性癌中的表达(SABC法,×400)
图2 卵巢癌组织中微血管
(FⅧ-Rag免疫组化染色,SABC法,×250)
表1 VEGF蛋白的表达与各临床病理参数之间的关系 项目
n
VEGF(-)
VEGF(+)
P值
组织学类型
浆液性癌
, 百拇医药
28
13(46.4)
15(53.6)
>0.05
粘液性癌
21
8(38.1)
13(61.9)
子宫内膜样癌
16
6(37.5)
10(62.5)
透明细胞癌
, http://www.100md.com
14
2(14.3)
12(85.7)
临床分期
Ⅰ~Ⅱ
37
21(56.8)
16(43.2)
<0.01
Ⅲ~Ⅳ
42
8(19.1)
34(80.9)
, 百拇医药
腹水量
≤500ml
50
23(46.0)
27(54.0)
<0.05
>500ml
29
6(20.7)
23(79.3)
腹水细胞
阴性
35
, http://www.100md.com
18(51.4)
17(48.6)
<0.025
阳性
27
5(18.5)
22(81.5)
淋巴结转移
阴性
43
20(46.5)
23(43.5)
>0.05
, http://www.100md.com
阳性
36
9(25.0)
27(75.0)
2.3 VEGF蛋白表达与MVD的关系
50例VEGF表达阳性者平均MVD为(60.7±18.7)个.(mm2)-1,27例VEGF阴性者平均MVD为(32.1±12.3)个.(mm2)-1,两者具有显著性差异(P<0.01)。
2.4 VEGF蛋白表达与临床病理参数之间的关系
, http://www.100md.com
晚期卵巢癌、腹水量>500ml和腹水细胞学阳性者VEGF表达阳性率显著大于早期卵巢癌(P<0.01)、腹水量<500ml(P<0.05)和腹水细胞学阴性者(P<0.025),见表1。
2.5 VEGF蛋白表达与预后的关系
VEGF阴性组和VEGF阳性组的生存曲线(5年)如图3,两条生存曲线Log-ranktestP=0.004,VEGF阳性组患者的生存率明显低于VEGF阴性组。
3 讨论
VEGF是一种分子量为34~46KD的二聚体糖蛋白,它通过特异性地与EC表面的Ⅲ型酪氨酸激酶受体Flt1和KDR/Flk1结合而发挥其多种生物学效应:a.特异性地促进EC分裂增殖;b.增强血管通透性,促进血管内液体及血浆蛋白渗出;c.改变EC的基因表达方式,诱导其合成大量的蛋白水解酶。VEGF的多种生物学功能决定了其在肿瘤生长发展中的作用。
, http://www.100md.com
目前已发现参与血管生成过程的血管生成因子有20多种,VEGF是唯一能特异地作用于EC的有丝分裂原,在肿瘤血管生成的各个环节中起着重要作用。肿瘤细胞合成和分泌的VEGF与邻近的宿主血管上的VEGF受体结合,诱导EC合成大量的蛋白水解酶,降解宿主血管基底膜,削弱其屏障作用。此外,VEGF增加血管的通透性,促进血浆成分包括大量纤维蛋白原渗出,形成EC粘附移行所必须的新基质。同时,内皮细胞在VEGF的刺激下增殖移行,穿破母血管基底膜沿新的细胞外基质向刺激源移行,延伸进肿瘤组织,交叉吻合形成肿瘤的供血血管网。肿瘤从自身血管获取氧和营养,获得赖以生长的条件。本研究中79例卵巢上皮性癌组织中VEGF表达阳性率为63.3%,50例VEGF表达阳性病例MVD均数为(60.7±18.7)个.(mm2)-1,VEGF阴性病例中MVD均数为(32.1±12.3)个.(mm2)-1,VEGF阳性表达者MVD均值明显高于阴性表达者(P<0.01)。结果提示VEGF能促进卵巢癌的血管生成。过去的观点认为肿瘤性腹水形成主要原因是淋巴引流通路阻塞,现在越来越多的研究支持肿瘤源性的血管生成因子通过旁分泌效应作用于肿瘤血管和宿主血管,增加其通透性,使血浆蛋白及液体大量外渗是产生体腔积液的主要原因。一个克分子浓度时,VEGF增加血管通透性的能力是组织胺的50000倍[3]。肿瘤动物模型实验研究揭示:腹水中VEGF浓度与腹水量、腹膜表面血管通透性升高呈平行关系。本研究中腹水量>500ml的患者VEGF表达阳性率(79.3%)显著高于腹水量≤500ml者(P<0.05),结合腹水细胞学检测可知腹水细胞学阳性者VEGF表达阳性率(81.5%)远高于腹水细胞学阴性患者(P<0.025)。结果提示VEGF在增高血管通透性促进腹水形成的同时也利于肿瘤细胞进入腹腔,为肿瘤细胞的腹腔种植创造条件,种植于腹膜表面的肿瘤细胞又进一步刺激腹膜表面血管,增高其通透性,促进腹水产生。VEGF这一作用对卵巢癌的发展具有重要的意义。
, http://www.100md.com
图3不同VEGF表达组的生存情况
本研究提示VEGF与FIGO分期有关而与组织学类型及淋巴结转移无关。本组资料还显示卵巢癌组织VEGF表达阳性患者的生存率明显低于VEGF阴性患者,可见VEGF也是卵巢上皮性癌的一个重要预后指标。VEGF通过刺激肿瘤血管生成、促进肿瘤生长、引起恶性腹水产生而促进病程进展,影响预后,在卵巢癌的发展中起着重要作用。另外,Dirix[4]用ELISA法检测了多种恶性肿瘤患者血清中VEGF浓度,观察到肿瘤切除后VEGF浓度明显下降,肿瘤复发后又检测到VEGF浓度升高。所以,很多学者认为VEGF可作为一种肿瘤标记物,为肿瘤的诊断、疗效评定、监测复发以及估计预后提供信息[5,6]。
根据肿瘤的生长和转移依赖于血管生成的机理,针对肿瘤血管生成过程中的任一环节均可有效地抑制肿瘤血管生成,从而抑制肿瘤生长。血管生成有赖于生长因子的刺激,因此,拮抗血管生成刺激因子是抗肿瘤血管生成战略中的关键环节。一种肿瘤可分泌多种血管生成因子,一种血管生成因子也可为多种肿瘤所分泌,就寻找一种对多数肿瘤来说共有识别的特异性的血管生成因子的意义而言,VEGF极具价值。应用VEGF的中和性抗体[7]及其可溶性受体[8]都可以抑制肿瘤血管生成,阻断肿瘤血管化。该策略已在大量动物实验中取得成功,现已批准进行Ⅰ期、Ⅱ期临床实验。抗肿瘤血管生成虽不能彻底根治肿瘤,但从某种意义上讲无异于“肿瘤细胞减灭术”,为更有效的化疗和放疗提供了有利条件,有望为妇科肿瘤的治疗开拓崭新的领域。
, http://www.100md.com
[参考文献]
1,Folkman J. Tumor angiogenesis: therapeutic implications [J]. N Engl J Med, 1971,285:1182~ 1186.
2,Weidmer N, Semple JP, Welch WR, et al. Tumor angiogenesis and metastasis-correlation in invasive breast carcinoma [J]. N Engl J Med, 1991,324:1~ 8.
3,Dvorak HF, Brown LF, Detmar M, et al. Vascual permeability factor/Vascular endothelial growth factor, microvascular hyperpermeability, and angiogenesis [J]. Am J Pathol, 1995, 146:1029~ 1039.
, 百拇医药
4,Dirix LY, Vermeulen PB, Pawinski A, et al. Elevated levels of the angiogenic cytokines basic fibroblast growth factor and vascular endothelial growth factor in sera of cancer patients [J]. Br J Cancer, 1997,76(2):238~ 243.
5,Kraft A, Weindel K, Ochs A, et al. Vascular endothelial growth factor in the sera and effusion of patients with malignant and nonmalignant disease [J]. Cancer, 1999, 85(1):178~ 187.
6,Tempfer C, Obermair A, Hefler L, et al. Vascular endothelial growth factor serum concentrations in ovarian cancer [J]. Obstet Gynecol, 1998,92(3):360~ 363.
, http://www.100md.com
7,Kim KJ, Li B, Winer J, et al. Inhibition of vascular endothelial growth factor-induced angiogenesis suppresses tumor growth in vivo [J]. Nature, 1993,362:841~ 844.
8,Millauer B, Snawver LK, Plate KH, et al. Glioblastoma growth inhibited in vivo by a dominant-negative FLK-1 mutant [J]. Nature, 1994,367:576~ 579.
收稿日期:1999-09-03;修回日期:1999-12-01, 百拇医药
单位:吴莹星 漆秀梅 魏炜(同济医科大学附属同济医院妇产科,湖北武汉430032)
关键词:血管内皮生长因子;肿瘤血管生成;卵巢上皮性癌;免疫组织化学
癌症000617
【摘要】目的:探讨血管内皮生长因子(vescularendothelialgrowthfactor,VEGF)在血管生成及其在卵巢癌发展中的作用。方法:用免疫组织化学方法检测VEGF在79例人卵巢上皮性癌组织中的表达,并标记肿瘤内血管,分析VEGF与瘤内微血管密度(microvesseldensity,MVD)及其与组织学分类、临床分期、腹水、淋巴结转移、预后的关系。结果:在79例卵巢上皮性癌中50例(63.3%)VEGF表达阳性。VEGF染色阳性者的MVD均值显著高于VEGF阴性者(P<0.01)。在晚期卵巢癌(P<0.01)、大量腹水(P<0.05)和腹水细胞学阳性(P<0.025)者中VEGF表达阳性率显著增高。VEGF阳性患者的5年生存率低于VEGF阴性患者。VEGF表达与卵巢癌组织学分类及淋巴结转移无关(P>0.05)结论:VEGF与卵巢癌血管生成密切相关。VEGF在卵巢癌的发展中起着重要作用。检测肿瘤中VEGF的表达有助于了解卵巢癌的生物学特性,为患者提供预后信息
, 百拇医药
中图分类号:R737.31;R730.3 文献标识码:A
文章编号:1000-467X(2000)06-0565-04
Expression of vascular endothelial growth factor
in epithelial ovarian carcinoma
WU Ying-xing, QI Xiu-mei, WEI Wei
Department of Obstetrics & Gynecology, Tongji Hospital,Tongji Medical University,Wuhan 430030, P.R.China
【 Abstract】 Objective: To investigate the role of vescular endothelial growth factor(VEGF) in tumor angiogenesis and in the progression of epithelial ovarian cancer. Methods:VEGF expression was examined immunohistochemically in 79 epithelial ovarian tumor cases. Inter tumor microvessel was marked by antibody against endothelium markers factor Ⅷ -related antigen. The relationship between VEGF expression and microvessel density, clinicopathological factors or patient survival was analyzed. Results: Positive immunostaining for VEGF was observed in 50 out of 79 cases (63.3% ). The mean microvessel density in VEGF-positive patients was significantly higher than that in VEGF-negative patients (P< 0.01). Positive VEGF immunostaining was observed more frequently in the advanced stage of disease(P< 0.01), patients with large amount of ascitic volume, and patients with positive ascitic cytology(P< 0.025). Patients with positive VEGF staining had poorer five-year survival rates than those with negative VEGF staining. There was no significant relationship between VEGF staining and histological type or lymph node metastasis. Conclusions: There is a close relationship between VEGF and tumor angiogensis.VEGF plays an important role in the progression of ovarian cancer. Evaluating the expression of VEGF can help to reveal the biological behavior of ovarian cancer and provide prognostic information for the patients. In addition, VEGF can be a new target.
, 百拇医药
Key words:VEGF; Angiogenesis; Epithelial ovarian carcinoma; Immunohistochemistry
肿瘤的生长和转移依赖于血管生成的观点最早于70年代由Folkman[1]提出。对于实体瘤而言,血管前期的肿瘤组织生长缓慢,且长到1~2mm3(106个细胞)后便不能持续,只有血管化的肿瘤才能生长到具有临床意义的大小。新生血管为肿瘤提供足够的营养和氧,运走代谢产物,为肿瘤的生长和转移创造有利条件。肿瘤血管生成是一包括血管内皮细胞(endotheliumcell,EC)增殖、迁移及细胞外基质降解的复杂过程,与多种血管生成因子的刺激有关。其中血管内皮生长因子(vescularendothelialgrowthfactor,VEGF)的作用最为重要,VEGF在肿瘤血管生成及肿瘤发生发展中的作用正是其多种生物学效应共同作用的结果。
研究表明,多种实体瘤和体外培养的肿瘤细胞均能合成和分泌VEGF,促进肿瘤血管化。VEGF作为一种肿瘤标记物可为各类肿瘤患者提供预后信息。本研究应用免疫组化法检测人卵巢上皮性癌组织中VEGF的表达和微血管密度(microvesseldensity,MVD),分析VEGF的血管生成作用及其与卵巢癌各临床病理参数、预后的关系,旨在探讨VEGF在卵巢癌发展中的作用。
, 百拇医药
1 材料与方法
1.1 标本
收集我院1984年~1993年间卵巢上皮性癌手术切除标本存档蜡块79例。患者年龄36~62岁,平均48.1岁。术前未做过任何化疗和放疗,其中36例有淋巴结转移。按WHO分类标准组织学分类,浆液性癌28例、粘液性癌21例、子宫内膜样癌16例、透明细胞癌14例。按照FIGO分期,Ⅰ期19例、Ⅱ期17例、Ⅲ期26例、Ⅳ期17例。
1.2 试剂
鼠抗人VEGF165单克隆抗体1∶50(SIGMA公司)、鼠抗人Ⅷ因子相关抗原(FⅧ-RAg)单克隆抗体1∶80、SABC试剂盒(武汉博士德生物工程公司)。
1.3 免疫组织化学染色
常规SABC法显示VEGF及肿瘤组织中血管、淋巴管。分别以已知VEGF阳性的子宫平滑肌组织和FⅧ-RAg阳性的血管瘤组织切片作阳性对照。
, 百拇医药
1.4 结果判定
按VEGF染色强弱及阳性细胞数两个方面来计算VEGF评分:a.染色强度(0=无,1=弱,2=中3=强)b.阳性细胞数(0=无阳性细胞,1=阳性细胞数<25%,2="阳"性细胞数25%~50%,3="阳"性细胞数>50%),计算a+b的值即为VEGF得分。得3~6分者评定为VEGF免疫组化染色阳性。血管计数参照Weidner微血管计数法[2]。凡在肿瘤组织中与邻近微血管,肿瘤细胞及其它结缔组织分界清楚的任何一个染成棕色的细胞或细胞丛均被认为是一个新生肿瘤血管,只要结构不相连,其分枝结构也作为一个血管计数,管腔结构形成并不作为判定的必要条件,已形成明显肌层的血管不参与计数。在低倍镜下(40×,100×)选取高血管密度区(hotspot),在250倍下(0.363mm2)计数5个视野中微血管数量,取其平均值并折算成(mm2)-1作为该病例的微血管密度。
1.5 统计学处理
, http://www.100md.com
VEGF蛋白表达与MVD之间的关系用非配对资料t检验。VEGF蛋白表达和各临床病理参数间的关系用χ2检验。生存率统计绘Kaplan-Meier生存曲线,并作对数秩检验(Log-ranktest)。
2 结果
2.1VEGF蛋白表达
79例卵巢上皮性癌中50例VEGF表达阳性(63.3%),阳性颗粒呈棕色,主要分布在癌细胞胞浆内,也有的病例细胞膜同时表达(图1)。
2.2MVD计数
卵巢癌组织中毛细血管、小静脉、小动脉及淋巴管的内皮细胞均染成棕色。79例卵巢上皮性癌组织的MVD(17~101)个.(mm2)-1不等,
, http://www.100md.com
图1 VEGF在卵巢上皮性癌中的表达(SABC法,×400)
图2 卵巢癌组织中微血管
(FⅧ-Rag免疫组化染色,SABC法,×250)
表1 VEGF蛋白的表达与各临床病理参数之间的关系 项目
n
VEGF(-)
VEGF(+)
P值
组织学类型
浆液性癌
, 百拇医药
28
13(46.4)
15(53.6)
>0.05
粘液性癌
21
8(38.1)
13(61.9)
子宫内膜样癌
16
6(37.5)
10(62.5)
透明细胞癌
, http://www.100md.com
14
2(14.3)
12(85.7)
临床分期
Ⅰ~Ⅱ
37
21(56.8)
16(43.2)
<0.01
Ⅲ~Ⅳ
42
8(19.1)
34(80.9)
, 百拇医药
腹水量
≤500ml
50
23(46.0)
27(54.0)
<0.05
>500ml
29
6(20.7)
23(79.3)
腹水细胞
阴性
35
, http://www.100md.com
18(51.4)
17(48.6)
<0.025
阳性
27
5(18.5)
22(81.5)
淋巴结转移
阴性
43
20(46.5)
23(43.5)
>0.05
, http://www.100md.com
阳性
36
9(25.0)
27(75.0)
2.3 VEGF蛋白表达与MVD的关系
50例VEGF表达阳性者平均MVD为(60.7±18.7)个.(mm2)-1,27例VEGF阴性者平均MVD为(32.1±12.3)个.(mm2)-1,两者具有显著性差异(P<0.01)。
2.4 VEGF蛋白表达与临床病理参数之间的关系
, http://www.100md.com
晚期卵巢癌、腹水量>500ml和腹水细胞学阳性者VEGF表达阳性率显著大于早期卵巢癌(P<0.01)、腹水量<500ml(P<0.05)和腹水细胞学阴性者(P<0.025),见表1。
2.5 VEGF蛋白表达与预后的关系
VEGF阴性组和VEGF阳性组的生存曲线(5年)如图3,两条生存曲线Log-ranktestP=0.004,VEGF阳性组患者的生存率明显低于VEGF阴性组。
3 讨论
VEGF是一种分子量为34~46KD的二聚体糖蛋白,它通过特异性地与EC表面的Ⅲ型酪氨酸激酶受体Flt1和KDR/Flk1结合而发挥其多种生物学效应:a.特异性地促进EC分裂增殖;b.增强血管通透性,促进血管内液体及血浆蛋白渗出;c.改变EC的基因表达方式,诱导其合成大量的蛋白水解酶。VEGF的多种生物学功能决定了其在肿瘤生长发展中的作用。
, http://www.100md.com
目前已发现参与血管生成过程的血管生成因子有20多种,VEGF是唯一能特异地作用于EC的有丝分裂原,在肿瘤血管生成的各个环节中起着重要作用。肿瘤细胞合成和分泌的VEGF与邻近的宿主血管上的VEGF受体结合,诱导EC合成大量的蛋白水解酶,降解宿主血管基底膜,削弱其屏障作用。此外,VEGF增加血管的通透性,促进血浆成分包括大量纤维蛋白原渗出,形成EC粘附移行所必须的新基质。同时,内皮细胞在VEGF的刺激下增殖移行,穿破母血管基底膜沿新的细胞外基质向刺激源移行,延伸进肿瘤组织,交叉吻合形成肿瘤的供血血管网。肿瘤从自身血管获取氧和营养,获得赖以生长的条件。本研究中79例卵巢上皮性癌组织中VEGF表达阳性率为63.3%,50例VEGF表达阳性病例MVD均数为(60.7±18.7)个.(mm2)-1,VEGF阴性病例中MVD均数为(32.1±12.3)个.(mm2)-1,VEGF阳性表达者MVD均值明显高于阴性表达者(P<0.01)。结果提示VEGF能促进卵巢癌的血管生成。过去的观点认为肿瘤性腹水形成主要原因是淋巴引流通路阻塞,现在越来越多的研究支持肿瘤源性的血管生成因子通过旁分泌效应作用于肿瘤血管和宿主血管,增加其通透性,使血浆蛋白及液体大量外渗是产生体腔积液的主要原因。一个克分子浓度时,VEGF增加血管通透性的能力是组织胺的50000倍[3]。肿瘤动物模型实验研究揭示:腹水中VEGF浓度与腹水量、腹膜表面血管通透性升高呈平行关系。本研究中腹水量>500ml的患者VEGF表达阳性率(79.3%)显著高于腹水量≤500ml者(P<0.05),结合腹水细胞学检测可知腹水细胞学阳性者VEGF表达阳性率(81.5%)远高于腹水细胞学阴性患者(P<0.025)。结果提示VEGF在增高血管通透性促进腹水形成的同时也利于肿瘤细胞进入腹腔,为肿瘤细胞的腹腔种植创造条件,种植于腹膜表面的肿瘤细胞又进一步刺激腹膜表面血管,增高其通透性,促进腹水产生。VEGF这一作用对卵巢癌的发展具有重要的意义。
, http://www.100md.com
图3不同VEGF表达组的生存情况
本研究提示VEGF与FIGO分期有关而与组织学类型及淋巴结转移无关。本组资料还显示卵巢癌组织VEGF表达阳性患者的生存率明显低于VEGF阴性患者,可见VEGF也是卵巢上皮性癌的一个重要预后指标。VEGF通过刺激肿瘤血管生成、促进肿瘤生长、引起恶性腹水产生而促进病程进展,影响预后,在卵巢癌的发展中起着重要作用。另外,Dirix[4]用ELISA法检测了多种恶性肿瘤患者血清中VEGF浓度,观察到肿瘤切除后VEGF浓度明显下降,肿瘤复发后又检测到VEGF浓度升高。所以,很多学者认为VEGF可作为一种肿瘤标记物,为肿瘤的诊断、疗效评定、监测复发以及估计预后提供信息[5,6]。
根据肿瘤的生长和转移依赖于血管生成的机理,针对肿瘤血管生成过程中的任一环节均可有效地抑制肿瘤血管生成,从而抑制肿瘤生长。血管生成有赖于生长因子的刺激,因此,拮抗血管生成刺激因子是抗肿瘤血管生成战略中的关键环节。一种肿瘤可分泌多种血管生成因子,一种血管生成因子也可为多种肿瘤所分泌,就寻找一种对多数肿瘤来说共有识别的特异性的血管生成因子的意义而言,VEGF极具价值。应用VEGF的中和性抗体[7]及其可溶性受体[8]都可以抑制肿瘤血管生成,阻断肿瘤血管化。该策略已在大量动物实验中取得成功,现已批准进行Ⅰ期、Ⅱ期临床实验。抗肿瘤血管生成虽不能彻底根治肿瘤,但从某种意义上讲无异于“肿瘤细胞减灭术”,为更有效的化疗和放疗提供了有利条件,有望为妇科肿瘤的治疗开拓崭新的领域。
, http://www.100md.com
[参考文献]
1,Folkman J. Tumor angiogenesis: therapeutic implications [J]. N Engl J Med, 1971,285:1182~ 1186.
2,Weidmer N, Semple JP, Welch WR, et al. Tumor angiogenesis and metastasis-correlation in invasive breast carcinoma [J]. N Engl J Med, 1991,324:1~ 8.
3,Dvorak HF, Brown LF, Detmar M, et al. Vascual permeability factor/Vascular endothelial growth factor, microvascular hyperpermeability, and angiogenesis [J]. Am J Pathol, 1995, 146:1029~ 1039.
, 百拇医药
4,Dirix LY, Vermeulen PB, Pawinski A, et al. Elevated levels of the angiogenic cytokines basic fibroblast growth factor and vascular endothelial growth factor in sera of cancer patients [J]. Br J Cancer, 1997,76(2):238~ 243.
5,Kraft A, Weindel K, Ochs A, et al. Vascular endothelial growth factor in the sera and effusion of patients with malignant and nonmalignant disease [J]. Cancer, 1999, 85(1):178~ 187.
6,Tempfer C, Obermair A, Hefler L, et al. Vascular endothelial growth factor serum concentrations in ovarian cancer [J]. Obstet Gynecol, 1998,92(3):360~ 363.
, http://www.100md.com
7,Kim KJ, Li B, Winer J, et al. Inhibition of vascular endothelial growth factor-induced angiogenesis suppresses tumor growth in vivo [J]. Nature, 1993,362:841~ 844.
8,Millauer B, Snawver LK, Plate KH, et al. Glioblastoma growth inhibited in vivo by a dominant-negative FLK-1 mutant [J]. Nature, 1994,367:576~ 579.
收稿日期:1999-09-03;修回日期:1999-12-01, 百拇医药