乳腺癌雌激素受体表达与p53、PCNA、AgNOR表达关系
作者:胡陆林 区穗芳
单位:胡陆林 区穗芳(广州铁路中心医院病理科,广东广州510080)
关键词:乳腺癌;雌激素受体;蛋白,p53;增殖细胞核抗原;银染核仁组成区
癌症000613
【摘要】目的:研究乳腺癌雌激素受体(ER)表达与p53,增殖细胞核抗原(proliferationcellnuclearantigen,PCNA)表达和银染核仁组成区(AgNOR)计数关系。方法:采用AgNOR染色技术和免疫组化S-P法,用抗ER,抗p53(DO-7)及抗PCNA(PC10)单克隆抗体,研究50例乳腺癌AgNOR计数及ER,p53,PCNA表达。结果:乳腺癌33例(66%)ER表达阳性,18例(36%)p53蛋白表达阳性,乳腺癌p53表达与ER阴性有相关关系(P<0.01);ER阳性组较ER阴性组PCNA表达及AgNOR值均较低,且相差有显著性(P<0.05)。结论:p53表达可能抑制乳腺癌ER分化;ER阳性较ER阴性病例癌细胞增殖活性低。
, http://www.100md.com
中图分类号:R737.9 文献标识码:A
文章编号:1000-467X(2000)06-0551-03
The relation of estrogen receptor expression with p53,PCNA expression and AgNOR count in breast carcinoma
HU Lu-lin, OU Sui-fang
Department of Pathology , Central Railway Hospital of Guangzhou, Guangzhou 510080, P. R.China
【 Abstract】 Objective: To investigate the relation of estrogen receptor (ER) with the expression of p53, proliferation cell nuclear antigen(PCNA), and AgNOR count in breast carcinoma. Methods: AgNOR count, ER, p53 and PCNA expression were detected by using silver-staining method and S-P immunohistochemical staining with antibodies for ER, p53 (DO-7) and PCNA (PC10) in 50 cases of paraffin-embedded breast carcinoma. Results: A total of 18 cases (36% )showed p53 protein expression and 33 cases (66% )showed ER expression,there was significant association of ER negative expression with p53 positive expression. In the ER negative group, the PCNA high expression and the average values of AgNOR were significant higher than those in the ER positive cases. Conclusion: p53 expression might inhibit the ER expression in breast carcinoma.There is a higher cellular proliferation activity in ER negative cases than in ER positive cases.
, 百拇医药
Key words: Breast carcinoma; ER ; p53; PCNA; AgNOR
乳腺癌雌激素受体(estrogenreceptor,ER)的检测将乳腺癌分为激素依赖性和非依赖性肿瘤,这两类肿瘤在临床治疗和预后方面有明显差别[1]。p53,增殖细胞核抗原(proliferation cell nuclear antigen,CNA),银染核仁组成区(AgNOR)是研究恶性肿瘤生物学特性的重要指标。本文研究乳腺癌ER表达与p53,PCNA,AgNOR表达关系,旨在阐明这些指标在乳腺癌表达的生物学意义。
1 材料和方法
1.1材料
收集本院近年乳腺癌手术切除标本50例,均为女性,年龄24~78岁,平均年龄49.5岁,术前均未接受治疗。每例选择有代表性的蜡块切片备用。
, http://www.100md.com
1.2免疫组化法
免疫组化采用S-P法,抗ER,抗p53(DO-7),抗PCNA(PC10)单克隆抗体(Maxium公司产品)及S-P试剂盒(Zymed公司产品)均购自福建迈新公司,操作按说明书进行,阳性对照用公司附送阳性切片,阴性对照用PBS替代一抗。结果判定:三种抗体的阳性细胞均为细胞核阳性。ER阳性判定参考黄受方[1]提出的方案,即每例切片ER阳性细胞≥15%为(+),<15%为(-)。p53阳性判定参考许良中等[2]提出的标准。PCNA染色切片中每例均有数目不等的明确核阳性细胞,高倍视野计算500个癌细胞,阳性细胞<20%为低表达,≥20%为高表达。1.3AgNOR法AgNOR采用黄进等[3]改进一步法,计数用中国抗癌协会公布标准化方案[4]进行。
1.4 统计学处理
计数资料用χ2检验或四格表精确概率法,计量资料用t检验。
, 百拇医药
2 结果
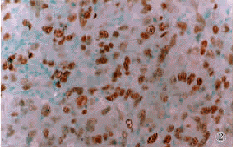
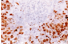
本组乳腺癌33例ER表达阳性(图1),阳性率66%。18例p53蛋白表达阳性(图2),阳性率36%,癌细胞呈散在或簇状阳性,癌巢间质及癌旁乳腺组织阴性。PCNA高表达22例(图3),低表达28例。按ER阳性和阴性分组计算AgNOR值(图4)。ER表达与p53,PCNA表达及AgNOR计数关系见表1。
将乳腺癌ER,p53,PCNA表达及AgNOR计数按癌组织分级进行统计分析,结果见表2。癌组织的分级越高,ER阳性表达越低,而p53阳性、PCNA高表达及AgNOR计数越高。
表1 乳腺癌ER表达与p53,PCNA,AgNOR表达关系 ER
n
P53
P值
, http://www.100md.com
PCNA
P值
AgNOR(
±s)
P值
+
-
高
低
+
17
12
5
, 百拇医药
11
6
6.52±2.15
<0.01
-
33
6
27
<0.01
11
22
>0.05
4.93±0.69
, http://www.100md.com
表2 乳腺癌ER,P53,PCNA表达和AgNOR 计数与癌组织分级关系 分级
n
ER
P53
PCNA
AgNOR(
±s)
+
%
+
%
高表达
, http://www.100md.com
%
I
22
18
81.8
5
22.7
7
31.8
4.86±1.53
II
16
11
, 百拇医药 68.8
7
43.7
6
37.5
5.43±28
III
12
4
33.3
6
50Δ
9
, http://www.100md.com
75Δ
6.58±1.32*
*示该组与前两组之间有显著性差异
Δ示该组与前两组之间有显著性差异(P<0.05)
图1乳腺癌ER表达(S-P法,20×3.3)
图2乳腺癌p53表达(S-P法,20×3.3)
图3乳腺癌PCNA表达(S-P法,40×3.3)
, 百拇医药
图4乳腺癌AgNOR颗粒(一步法,40×3.3)
3 讨论
乳腺癌组织中p53蛋白积聚是一种较为常见现象。本组50例乳腺癌有18例p53蛋白表达阳性,阳性率为36%,与文献报道基本相符[5]。虽然p53蛋白表达并不等同于p53基因突变,但较多研究[6]认为乳腺癌p53蛋白表达与基因突变高度相关,有p53蛋白表达一般均有p53基因突变。野生型p53基因是细胞生长负性调节因子,能抑制肿瘤发生,但突变p53基因则失去这种功能,促进肿瘤发生发展。本组乳腺癌p53阳性均为癌细胞阳性,而癌巢间质及癌旁乳腺组织阴性,提示p53基因在乳腺癌的发生中起一定作用。本文结果表明癌组织分级越高,ER阳性率越低,而p53表达有增多的趋势,且p53表达与ER阴性表达有相关关系,提示在乳腺癌分化过程中p53基因可能抑制乳腺癌ER表达;由于ER阳性组和ER阴性组中p53表达的差异,提示乳腺癌激素依赖性或非依赖性肿瘤发生机理是有差别的。
, 百拇医药
PCNA是反映细胞增殖状态的一种核内蛋白质,AgNOR颗粒为核仁组成区相关嗜银蛋白,可反映细胞转录活动水平,二者均可作为反映细胞增殖活跃程度的可靠指标[3,7]。本组50例乳腺癌分级越高,PCNA表达和AgNOR计数越高,说明PCNA表达和AgNOR计数能提示乳腺癌组织增殖活跃程度和恶性生物学行为;而ER阳性病例较ER阴性病例PCNA,AgNOR表达低,说明激素依赖性肿瘤癌细胞增殖活性低,非激素依赖性肿瘤癌细胞增殖活性高。
[参考文献]
1,黄受方.乳腺癌中女性激素受体检测及其临床应用[J].中华病理学杂志,1997,26:384~386.
2,许良中,杨文涛.免疫组织化学反应结果的判断标准[J].中国癌症杂志,1996,6:229~231.
3,黄进,周晓军,张泰和,等.AgNOR染色影响因素探讨[J].临床与实验病理杂志,1990,6:20~22.
, 百拇医药
4,许良中.关于核仁组成区研究工作的标准方案[J].中华肿瘤杂志,1996,18:69.
5,Andersen TI, Holm R, Nesland JM, et al. Prognostic signifi-cance of TP53 alterations in breast carcinoma [J]. Br J Cancer, 1993, 68: 540~ 548.
6,Gretarsdottir S, Tryggvadottir L, Jonasson JG, et al. TP53 mutation analyses on breast carcinomas : a study of paraffinembe-dded archival material [J]. Br J Cancer, 1996, 74: 555~ 561.
7,Bianchi S, Paglierani M, Zampi G, et al. Prognostic value of proliferating cell nuclear antigen in lymph node-negative breast cancer patients [J]. Cancer,1993,72: 120~ 125.
收稿日期:1999-07-23;修回日期:1999-09-23, 百拇医药
单位:胡陆林 区穗芳(广州铁路中心医院病理科,广东广州510080)
关键词:乳腺癌;雌激素受体;蛋白,p53;增殖细胞核抗原;银染核仁组成区
癌症000613
【摘要】目的:研究乳腺癌雌激素受体(ER)表达与p53,增殖细胞核抗原(proliferationcellnuclearantigen,PCNA)表达和银染核仁组成区(AgNOR)计数关系。方法:采用AgNOR染色技术和免疫组化S-P法,用抗ER,抗p53(DO-7)及抗PCNA(PC10)单克隆抗体,研究50例乳腺癌AgNOR计数及ER,p53,PCNA表达。结果:乳腺癌33例(66%)ER表达阳性,18例(36%)p53蛋白表达阳性,乳腺癌p53表达与ER阴性有相关关系(P<0.01);ER阳性组较ER阴性组PCNA表达及AgNOR值均较低,且相差有显著性(P<0.05)。结论:p53表达可能抑制乳腺癌ER分化;ER阳性较ER阴性病例癌细胞增殖活性低。
, http://www.100md.com
中图分类号:R737.9 文献标识码:A
文章编号:1000-467X(2000)06-0551-03
The relation of estrogen receptor expression with p53,PCNA expression and AgNOR count in breast carcinoma
HU Lu-lin, OU Sui-fang
Department of Pathology , Central Railway Hospital of Guangzhou, Guangzhou 510080, P. R.China
【 Abstract】 Objective: To investigate the relation of estrogen receptor (ER) with the expression of p53, proliferation cell nuclear antigen(PCNA), and AgNOR count in breast carcinoma. Methods: AgNOR count, ER, p53 and PCNA expression were detected by using silver-staining method and S-P immunohistochemical staining with antibodies for ER, p53 (DO-7) and PCNA (PC10) in 50 cases of paraffin-embedded breast carcinoma. Results: A total of 18 cases (36% )showed p53 protein expression and 33 cases (66% )showed ER expression,there was significant association of ER negative expression with p53 positive expression. In the ER negative group, the PCNA high expression and the average values of AgNOR were significant higher than those in the ER positive cases. Conclusion: p53 expression might inhibit the ER expression in breast carcinoma.There is a higher cellular proliferation activity in ER negative cases than in ER positive cases.
, 百拇医药
Key words: Breast carcinoma; ER ; p53; PCNA; AgNOR
乳腺癌雌激素受体(estrogenreceptor,ER)的检测将乳腺癌分为激素依赖性和非依赖性肿瘤,这两类肿瘤在临床治疗和预后方面有明显差别[1]。p53,增殖细胞核抗原(proliferation cell nuclear antigen,CNA),银染核仁组成区(AgNOR)是研究恶性肿瘤生物学特性的重要指标。本文研究乳腺癌ER表达与p53,PCNA,AgNOR表达关系,旨在阐明这些指标在乳腺癌表达的生物学意义。
1 材料和方法
1.1材料
收集本院近年乳腺癌手术切除标本50例,均为女性,年龄24~78岁,平均年龄49.5岁,术前均未接受治疗。每例选择有代表性的蜡块切片备用。
, http://www.100md.com
1.2免疫组化法
免疫组化采用S-P法,抗ER,抗p53(DO-7),抗PCNA(PC10)单克隆抗体(Maxium公司产品)及S-P试剂盒(Zymed公司产品)均购自福建迈新公司,操作按说明书进行,阳性对照用公司附送阳性切片,阴性对照用PBS替代一抗。结果判定:三种抗体的阳性细胞均为细胞核阳性。ER阳性判定参考黄受方[1]提出的方案,即每例切片ER阳性细胞≥15%为(+),<15%为(-)。p53阳性判定参考许良中等[2]提出的标准。PCNA染色切片中每例均有数目不等的明确核阳性细胞,高倍视野计算500个癌细胞,阳性细胞<20%为低表达,≥20%为高表达。1.3AgNOR法AgNOR采用黄进等[3]改进一步法,计数用中国抗癌协会公布标准化方案[4]进行。
1.4 统计学处理
计数资料用χ2检验或四格表精确概率法,计量资料用t检验。
, 百拇医药
2 结果
本组乳腺癌33例ER表达阳性(图1),阳性率66%。18例p53蛋白表达阳性(图2),阳性率36%,癌细胞呈散在或簇状阳性,癌巢间质及癌旁乳腺组织阴性。PCNA高表达22例(图3),低表达28例。按ER阳性和阴性分组计算AgNOR值(图4)。ER表达与p53,PCNA表达及AgNOR计数关系见表1。
将乳腺癌ER,p53,PCNA表达及AgNOR计数按癌组织分级进行统计分析,结果见表2。癌组织的分级越高,ER阳性表达越低,而p53阳性、PCNA高表达及AgNOR计数越高。
表1 乳腺癌ER表达与p53,PCNA,AgNOR表达关系 ER
n
P53
P值
, http://www.100md.com
PCNA
P值
AgNOR(
P值
+
-
高
低
+
17
12
5
, 百拇医药
11
6
6.52±2.15
<0.01
-
33
6
27
<0.01
11
22
>0.05
4.93±0.69
, http://www.100md.com
表2 乳腺癌ER,P53,PCNA表达和AgNOR 计数与癌组织分级关系 分级
n
ER
P53
PCNA
AgNOR(
+
%
+
%
高表达
, http://www.100md.com
%
I
22
18
81.8
5
22.7
7
31.8
4.86±1.53
II
16
11
, 百拇医药 68.8
7
43.7
6
37.5
5.43±28
III
12
4
33.3
6
50Δ
9
, http://www.100md.com
75Δ
6.58±1.32*
*示该组与前两组之间有显著性差异
Δ示该组与前两组之间有显著性差异(P<0.05)
图1乳腺癌ER表达(S-P法,20×3.3)
图2乳腺癌p53表达(S-P法,20×3.3)
图3乳腺癌PCNA表达(S-P法,40×3.3)
, 百拇医药
图4乳腺癌AgNOR颗粒(一步法,40×3.3)
3 讨论
乳腺癌组织中p53蛋白积聚是一种较为常见现象。本组50例乳腺癌有18例p53蛋白表达阳性,阳性率为36%,与文献报道基本相符[5]。虽然p53蛋白表达并不等同于p53基因突变,但较多研究[6]认为乳腺癌p53蛋白表达与基因突变高度相关,有p53蛋白表达一般均有p53基因突变。野生型p53基因是细胞生长负性调节因子,能抑制肿瘤发生,但突变p53基因则失去这种功能,促进肿瘤发生发展。本组乳腺癌p53阳性均为癌细胞阳性,而癌巢间质及癌旁乳腺组织阴性,提示p53基因在乳腺癌的发生中起一定作用。本文结果表明癌组织分级越高,ER阳性率越低,而p53表达有增多的趋势,且p53表达与ER阴性表达有相关关系,提示在乳腺癌分化过程中p53基因可能抑制乳腺癌ER表达;由于ER阳性组和ER阴性组中p53表达的差异,提示乳腺癌激素依赖性或非依赖性肿瘤发生机理是有差别的。
, 百拇医药
PCNA是反映细胞增殖状态的一种核内蛋白质,AgNOR颗粒为核仁组成区相关嗜银蛋白,可反映细胞转录活动水平,二者均可作为反映细胞增殖活跃程度的可靠指标[3,7]。本组50例乳腺癌分级越高,PCNA表达和AgNOR计数越高,说明PCNA表达和AgNOR计数能提示乳腺癌组织增殖活跃程度和恶性生物学行为;而ER阳性病例较ER阴性病例PCNA,AgNOR表达低,说明激素依赖性肿瘤癌细胞增殖活性低,非激素依赖性肿瘤癌细胞增殖活性高。
[参考文献]
1,黄受方.乳腺癌中女性激素受体检测及其临床应用[J].中华病理学杂志,1997,26:384~386.
2,许良中,杨文涛.免疫组织化学反应结果的判断标准[J].中国癌症杂志,1996,6:229~231.
3,黄进,周晓军,张泰和,等.AgNOR染色影响因素探讨[J].临床与实验病理杂志,1990,6:20~22.
, 百拇医药
4,许良中.关于核仁组成区研究工作的标准方案[J].中华肿瘤杂志,1996,18:69.
5,Andersen TI, Holm R, Nesland JM, et al. Prognostic signifi-cance of TP53 alterations in breast carcinoma [J]. Br J Cancer, 1993, 68: 540~ 548.
6,Gretarsdottir S, Tryggvadottir L, Jonasson JG, et al. TP53 mutation analyses on breast carcinomas : a study of paraffinembe-dded archival material [J]. Br J Cancer, 1996, 74: 555~ 561.
7,Bianchi S, Paglierani M, Zampi G, et al. Prognostic value of proliferating cell nuclear antigen in lymph node-negative breast cancer patients [J]. Cancer,1993,72: 120~ 125.
收稿日期:1999-07-23;修回日期:1999-09-23, 百拇医药