Rb与cyclinD1在骨肉瘤中的表达及其意义
作者:沈为栋 廖金辉 李康华 黎岳南 沈明
单位:沈为栋 廖金辉(湖南省岳阳市一医院内科,湖南岳阳414000);李康华 黎岳南 沈明(湖南医科大学附属湘雅医院骨科,湖南长沙410078)
关键词:骨肉瘤;cyclinD1基因;Rb基因;免疫组织化学
癌症000610
【摘要】目的:研究Rb与cyclinD1蛋白在骨肉瘤中的表达及其意义。方法:采用免疫组织化学方法对47例骨肉瘤及18例良性骨肿瘤组织标本进行Rb、cyclinD1蛋白表达检测。结果:cyclinD1在骨肉瘤标本中的表达高于良性骨肿瘤组织中的表达(P<<0.05),其差异有显著性。Rb蛋白在骨肉瘤标本中的表达低于良性骨肿瘤标本中的表达(P<0.05),其差异有显著性。Rb蛋白表达在骨肉瘤临床分期ⅡA与Ⅲ期之间有显著差异(P<0.05)。Rb与cyclinD1之间无明显相关关系(P>0.05),其差异有显著性。Rb蛋白在骨肉瘤标本中的表达低于良性骨肿瘤标本中的表达(P<0.05),其差异有显著性。Rb蛋白表达在骨肉瘤临床分期ⅡA与Ⅲ期之间有显著差异(P<0.05)。Rb与cyclinD1之间无明显相关关系(P>0.05)。结论:cyclinD1、Rb基因表达的改变可能与骨肉瘤的发生、发展有关,Rb基因表达可能与骨肉瘤的转移有关,为骨肉瘤的癌基因研究积累了资料。
, http://www.100md.com
中图分类号:R738.1 文献标识码:A
文章编号:1000-467X(2000)06-0541-03
The expression of cyclinD1 and Rb protein
and their relationships in osteosarcoma
SHEN Wei-dong, LIAO Jin-hui, LI Kang-hua, et al.
The Orthopaedic Department of the First People Hospital of Yueyang City,Hunan Province,Yueyang 414000,P.R.China
, 百拇医药
【 Abstract】 Objective: This study was to determine Rb, cyclinD1 protein expression and their relationships in osteosarcoma. Methods: Immunohistochemical technique was applied to detect Rb and cyclinD1 protein expression in 47 osteosarcomas and 18 benign bone tumor tissues. Results:The expression of cyclinD1 protein was significantly higher in osteosarcoma specimens than in benign bone tumor specimens(P<0.05).The expression of Rb protein was significantly lower in osteosarcoma specimens than in benign bone tumor specimens(P<0.05). The level of Rb protein expression was significantly difference between clinical stage Ⅱ A and Ⅲ (P<0.05) .However,there were no correlation between Rb and cyclinD1 in osteosarcoma specimens (P>0.05). Conclusions:Alteration of Rb and cyclinD1 protein expression may be related to the pathogensis and development of osteosarcoma.The expression of Rb protein could be correlated to the tumor metastasis in patients with osteosarcoma. This study have accumulated information for oncogene researching of osteosarcoma.
, http://www.100md.com
Key words: Osteosarcoma; Immunohistochemistry; Rb gene; cyclinD1 gene
Key words: Osteosarcoma; Immunohistochemistry; Rb gene; cyclinD1 gene
近年来骨肉瘤的分子遗传学研究进展很快。有人提出骨肉瘤的发生和多基因联合改变有关,如MDM2癌基因的扩增与p53抑癌基因的失活同时存在[1],c-myc癌基因扩增同时伴有Rb抑癌基因位点结构的改变[2]。为了探讨抑癌基因Rb与癌基因cyclinD1在骨肉瘤中表达的相关性及Rb与cyclinD1蛋白表达与骨肉瘤转移的关系,本研究应用免疫组织化学方法检测了骨肉瘤手术标本和良性骨肿瘤手术标本中上述两种蛋白的表达情况。
, 百拇医药
1 材料与方法
1.1 标本来源
从湖南省岳阳市一人民医院、湖南医科大学附属湘雅医院共收集47例骨肉瘤和18例良性骨肿瘤手术标本,并经湖南医科大学病理科重新病理确诊。标本组织均经10%中性福尔马林溶液常规固定,石蜡包埋后存档,标本均行5μm连续切片3张,一张行HE染色复查诊断,另两张分别行免疫组化研究。
表1 Rb蛋白在骨肉瘤与良性骨肿瘤标本中的表达情况 标本类型
n
Rb蛋白表达
阳性率
(%)
t值
, http://www.100md.com
校正U值
P值
-
+
++
+++
骨内瘤组
47
27
10
5
5
47.6
815.50
, http://www.100md.com
3.4651
0.0005
良性骨肿瘤组
18
4
1
4
9
83.3
表2 cyclinD1蛋白在骨肉瘤与良性骨肿瘤标本中的表达情况 标本类型
n
Rb蛋白表达
, http://www.100md.com
阳性率
(%)
t值
校正U值
P值
-
+
++
+++
骨内瘤组
47
23
10
13
, 百拇医药
1
50.1
427.50
2.7478
0.0060
良性骨肿瘤组
18
13
5
0
0
27.8
表3 Rb、cyclinD1蛋白在骨肉瘤不同临床分期中表达情况 分期
, http://www.100md.com
n
Rb蛋白表达
Hc
p值
CyclinD1蛋白表达
Hc
p值
-
+
++
+++
-
+
, 百拇医药
++
+++
ⅡA
19
16
1
1
1
10.6113
0.005
9
2
7
1
, http://www.100md.com
1.979
0.376
ⅡB
24
11
8
2
3
11
7
6
0
ⅢA、ⅢB
4
, 百拇医药
0
2
1
1
3
1
0
0
表4 骨肉瘤中Rb、cyclinD1的表达相关性 蛋白表达
CyclinD1
rs'
P值
, 百拇医药 -
+
++~+++
Rb
-
14
2
11
+
5
5
0
-0.0376
0.8017
, 百拇医药
++~+++
4
3
3
1.2试剂
实验用兔抗人Rb、cyclinD1多克隆抗体及S-P免疫组化染色试剂盒均购自北京中山生物技术有限公司。
1.3 操作步骤
免疫组化染色S-P法操作步骤按免疫组化试剂盒说明进行。
1.4 免疫组化结果判定标准
参照Fromowitz方法[3],Rb与cyclinD1蛋白表达都以细胞核内和细胞浆内有棕黄色颗粒为阳性。随机地观察5个中倍视野,每个视野计数100个细胞,算出各个视野中阳性细胞数的平均百分比数作为该切片的阳性细胞百分比进行计分。0%~5%计为0分,6%~25%计为1分,26%~50%计为2分,51%~75%计为3分,大于75%计为4分;染色强度则以阳性细胞呈现的染色特征为标准进行计分:细胞未染色计为0分,染色呈淡黄色计为1分,棕黄色计为2分,棕褐色计为3分;然后根据两者相加所得的总分进行结果判定。0~1分为阴性(-),2~3分为弱阳性(+),4~5分为中度阳性(++),6~7分为强阳性(+++)。
, 百拇医药
1.5 统计方法
采用χ2检验及成组设计两样本比较的秩和检验,P<0.05为有显著性意义。所有数据统计均在 Stata 3.1软件上进行。
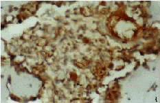
图1 骨肉瘤中抗Rb蛋白抗体呈阳性反应,阳性颗粒呈棕黄色(免疫组化S-P法×400)
图2 良性骨肿瘤中抗Rb蛋白抗体呈阳性反应(免疫组化S-P法×400)
图3 骨肉瘤中抗cyclinD1蛋白抗体呈阳性反应,阳性颗粒呈棕黄色(免疫组化S-P法×400)
, 百拇医药
图4 良性骨肿瘤中抗cyclinD1蛋白抗体呈阳性反应(免疫组化S-P法×400)
2 结果
本研究中Rb与cyclinD1蛋白在骨肉瘤与良性骨肿瘤标本中细胞浆与细胞核的阳性信号均为棕黄色颗粒,显色过强时为棕褐色颗粒。在统计学处理中将“+”、“++”、“+++”均视为阳性。
2.1Rb蛋白的表达
骨肉瘤组中Rb蛋白表达阳性率为47.6%,良性骨肿瘤组中Rb蛋白表达阳性率为83.3%,两组阳性率比较采用χ2检验,得出P=0.0109(P<0.05),同时两组间表达强度的比较采用两样本比较的秩和检验(Wilcoxon法),得出t值及校正U值,P<0.01(见表1),提示骨肉瘤组Rb蛋白表达水平明显低于良性骨肿瘤组。骨肉瘤组中Rb蛋白染色强度多为弱阳性,而在良性骨肿瘤中多为中到强阳性,即Rb在骨肉瘤中呈低表达(图1,2)。
, http://www.100md.com
2.2cyclinD1蛋白的表达
骨肉瘤中cyclinD1蛋白染色阳性率为50.1%,而良性骨肿瘤组中阳性率为27.8%,两样本率比较采用χ2检验,得出χ2=6.342,P=0.0118(P<0.05),其差异有显著性意义。同时两组间表达强度比较采用Wilcoxon法检验,得出P="0.0060"(P<0.01),其差异有显著性意义(见表2),说明cyclinD1在骨肉瘤中呈高表达(图3,4)。
2.3Rb与cyclinD1蛋白在骨肉瘤不同临床Enneking分期中的表达
47例骨肉瘤中,Rb、cyclinD1两者在不同临床Enneking分期中的表达水平(见表3),采用成组设计多个样本比较的秩和检验(Krusal-Wallis法),结果显示Rb的表达在三期中有显著性差异(P<0.05);采用多个样本两两比较的秩和检验(Nemeyi法),ⅡA与ⅡB比较,P>0.05;ⅡB与Ⅲ比较,P>0.05;而ⅡA与Ⅲ比较,P<0.05,其差异有显著性。cyclinD1的表达在三期中无显著性差异。
, 百拇医药
2.4Rb、cyclinD1蛋白在骨肉瘤中表达的相关性分析
Rb与cyclinD1在骨肉瘤组中的表达情况采用Spearman等级相关分析,得出相关系数,查出P值,结果显示Rb与cyclinD1两者在骨肉瘤中的表达无相关关系(rs'=0.0376,P>0.05)(见表4)。
3 讨论
郑杰等在食管癌研究中检测到cyclinD1呈过度表达[4]。有关骨肉瘤中cyclinD1表达率的研究国内外均未见报道。本研究首次检测到cyclinD1在骨肉瘤中呈高表达,阳性率为50.1%,而良性骨肿瘤中阳性率仅为27.8%,其差异具有显著性(P<0.05),提示cyclinD1与骨肉瘤的发生有关,支持cyclinD1为癌基因的学说,即按cyclinD1-CDK4-Rb模式[5],cyclinD1过度表达使CDK4对Rb的调节作用增强,致Rb磷酸化增多,去磷酸化Rb减少,从而使Rb对细胞周期的负性调节失控,导致细胞失控性生长而最终形成骨肉瘤,为癌基因研究提供了新的线索,为骨肉瘤的最终基因治疗打下了基础。本研究中19例ⅡA期骨肉瘤标本中Rb蛋白表达有16例为阴性,而4例Ⅲ期骨肉瘤标本Rb表达全为阳性,即有转移的4例骨肉瘤标本中Rb全为阳性表达,此结果提示Rb可能与骨肉瘤的转移有关。
, 百拇医药
Rb蛋白在骨肉瘤中的表达明显低于良性骨肿瘤标本,与Togchida[6]、杨迪生等[7]研究结果相一致,提示Rb基因在骨肉瘤发生中可能起抑癌基因的作用,对临床骨肉瘤与良性骨肿瘤的诊断与鉴别诊断具有一定的参考价值。
本研究中Rb与cyclinD1在骨肉瘤中的表达之间未发现明显的相关关系,是否存在其他相关基因的干扰,有待进一步研究。
【参考文献】
1,Chen J,Lin J, Levine AJ.Regulation of transcription functions of the p53 tumor suppressor by the mdm-2 oncogene [J]. Mol Med, 1995,1:142~ 152.
2,Ozaki T,IKeda S, Kawai A,et al. Alteration of retinoblastoma susceptible gene accompanied by c-myc amplification in human bone and soft tissue tumor [J]. Cell Mol Biol (Noisy-Le-Grand), 1993,39:235~ 242.
, http://www.100md.com
3,Fromowitz FB,Viola MV,Chao S, et al. Res p21 expression in the progression of breast cancer [J]. Hum pathol,1987,18:1268~ 1275.
4,郑杰,周传家,萧枫,等.Rb、p16、细胞周期素D1蛋白在食管癌中的表达及其意义[J].中华病理学杂志,1996,25:336~339.
5,Lukas J,Aagaard L,Strauss M, et al. Oncogenic aberations of p16 INK4/CDKN2 and cyclinD1 cooperate to deregulate G1 control [J]. Cancer Res,1995,55:4818~ 4823.
6,Togchida J, Shizaki K, Sasaki MS, et al. Chromosal reorgnization for the expression of recessive mutation of retinoblastoma susceptibility gene in the development of osteosarcoma [J]. Cancer Res, 1988, 48:3939~ 3941.
7,杨迪生,肖镇,陶惠民,等.抑癌基因Rb与p16蛋白在骨肉瘤中的表达及其相互关系[J].中华骨科杂志,1998,18:304~307.
收稿日期:1999-09-22;修回日期:1999-10-21, 百拇医药
单位:沈为栋 廖金辉(湖南省岳阳市一医院内科,湖南岳阳414000);李康华 黎岳南 沈明(湖南医科大学附属湘雅医院骨科,湖南长沙410078)
关键词:骨肉瘤;cyclinD1基因;Rb基因;免疫组织化学
癌症000610
【摘要】目的:研究Rb与cyclinD1蛋白在骨肉瘤中的表达及其意义。方法:采用免疫组织化学方法对47例骨肉瘤及18例良性骨肿瘤组织标本进行Rb、cyclinD1蛋白表达检测。结果:cyclinD1在骨肉瘤标本中的表达高于良性骨肿瘤组织中的表达(P<<0.05),其差异有显著性。Rb蛋白在骨肉瘤标本中的表达低于良性骨肿瘤标本中的表达(P<0.05),其差异有显著性。Rb蛋白表达在骨肉瘤临床分期ⅡA与Ⅲ期之间有显著差异(P<0.05)。Rb与cyclinD1之间无明显相关关系(P>0.05),其差异有显著性。Rb蛋白在骨肉瘤标本中的表达低于良性骨肿瘤标本中的表达(P<0.05),其差异有显著性。Rb蛋白表达在骨肉瘤临床分期ⅡA与Ⅲ期之间有显著差异(P<0.05)。Rb与cyclinD1之间无明显相关关系(P>0.05)。结论:cyclinD1、Rb基因表达的改变可能与骨肉瘤的发生、发展有关,Rb基因表达可能与骨肉瘤的转移有关,为骨肉瘤的癌基因研究积累了资料。
, http://www.100md.com
中图分类号:R738.1 文献标识码:A
文章编号:1000-467X(2000)06-0541-03
The expression of cyclinD1 and Rb protein
and their relationships in osteosarcoma
SHEN Wei-dong, LIAO Jin-hui, LI Kang-hua, et al.
The Orthopaedic Department of the First People Hospital of Yueyang City,Hunan Province,Yueyang 414000,P.R.China
, 百拇医药
【 Abstract】 Objective: This study was to determine Rb, cyclinD1 protein expression and their relationships in osteosarcoma. Methods: Immunohistochemical technique was applied to detect Rb and cyclinD1 protein expression in 47 osteosarcomas and 18 benign bone tumor tissues. Results:The expression of cyclinD1 protein was significantly higher in osteosarcoma specimens than in benign bone tumor specimens(P<0.05).The expression of Rb protein was significantly lower in osteosarcoma specimens than in benign bone tumor specimens(P<0.05). The level of Rb protein expression was significantly difference between clinical stage Ⅱ A and Ⅲ (P<0.05) .However,there were no correlation between Rb and cyclinD1 in osteosarcoma specimens (P>0.05). Conclusions:Alteration of Rb and cyclinD1 protein expression may be related to the pathogensis and development of osteosarcoma.The expression of Rb protein could be correlated to the tumor metastasis in patients with osteosarcoma. This study have accumulated information for oncogene researching of osteosarcoma.
, http://www.100md.com
Key words: Osteosarcoma; Immunohistochemistry; Rb gene; cyclinD1 gene
Key words: Osteosarcoma; Immunohistochemistry; Rb gene; cyclinD1 gene
近年来骨肉瘤的分子遗传学研究进展很快。有人提出骨肉瘤的发生和多基因联合改变有关,如MDM2癌基因的扩增与p53抑癌基因的失活同时存在[1],c-myc癌基因扩增同时伴有Rb抑癌基因位点结构的改变[2]。为了探讨抑癌基因Rb与癌基因cyclinD1在骨肉瘤中表达的相关性及Rb与cyclinD1蛋白表达与骨肉瘤转移的关系,本研究应用免疫组织化学方法检测了骨肉瘤手术标本和良性骨肿瘤手术标本中上述两种蛋白的表达情况。
, 百拇医药
1 材料与方法
1.1 标本来源
从湖南省岳阳市一人民医院、湖南医科大学附属湘雅医院共收集47例骨肉瘤和18例良性骨肿瘤手术标本,并经湖南医科大学病理科重新病理确诊。标本组织均经10%中性福尔马林溶液常规固定,石蜡包埋后存档,标本均行5μm连续切片3张,一张行HE染色复查诊断,另两张分别行免疫组化研究。
表1 Rb蛋白在骨肉瘤与良性骨肿瘤标本中的表达情况 标本类型
n
Rb蛋白表达
阳性率
(%)
t值
, http://www.100md.com
校正U值
P值
-
+
++
+++
骨内瘤组
47
27
10
5
5
47.6
815.50
, http://www.100md.com
3.4651
0.0005
良性骨肿瘤组
18
4
1
4
9
83.3
表2 cyclinD1蛋白在骨肉瘤与良性骨肿瘤标本中的表达情况 标本类型
n
Rb蛋白表达
, http://www.100md.com
阳性率
(%)
t值
校正U值
P值
-
+
++
+++
骨内瘤组
47
23
10
13
, 百拇医药
1
50.1
427.50
2.7478
0.0060
良性骨肿瘤组
18
13
5
0
0
27.8
表3 Rb、cyclinD1蛋白在骨肉瘤不同临床分期中表达情况 分期
, http://www.100md.com
n
Rb蛋白表达
Hc
p值
CyclinD1蛋白表达
Hc
p值
-
+
++
+++
-
+
, 百拇医药
++
+++
ⅡA
19
16
1
1
1
10.6113
0.005
9
2
7
1
, http://www.100md.com
1.979
0.376
ⅡB
24
11
8
2
3
11
7
6
0
ⅢA、ⅢB
4
, 百拇医药
0
2
1
1
3
1
0
0
表4 骨肉瘤中Rb、cyclinD1的表达相关性 蛋白表达
CyclinD1
rs'
P值
, 百拇医药 -
+
++~+++
Rb
-
14
2
11
+
5
5
0
-0.0376
0.8017
, 百拇医药
++~+++
4
3
3
1.2试剂
实验用兔抗人Rb、cyclinD1多克隆抗体及S-P免疫组化染色试剂盒均购自北京中山生物技术有限公司。
1.3 操作步骤
免疫组化染色S-P法操作步骤按免疫组化试剂盒说明进行。
1.4 免疫组化结果判定标准
参照Fromowitz方法[3],Rb与cyclinD1蛋白表达都以细胞核内和细胞浆内有棕黄色颗粒为阳性。随机地观察5个中倍视野,每个视野计数100个细胞,算出各个视野中阳性细胞数的平均百分比数作为该切片的阳性细胞百分比进行计分。0%~5%计为0分,6%~25%计为1分,26%~50%计为2分,51%~75%计为3分,大于75%计为4分;染色强度则以阳性细胞呈现的染色特征为标准进行计分:细胞未染色计为0分,染色呈淡黄色计为1分,棕黄色计为2分,棕褐色计为3分;然后根据两者相加所得的总分进行结果判定。0~1分为阴性(-),2~3分为弱阳性(+),4~5分为中度阳性(++),6~7分为强阳性(+++)。
, 百拇医药
1.5 统计方法
采用χ2检验及成组设计两样本比较的秩和检验,P<0.05为有显著性意义。所有数据统计均在 Stata 3.1软件上进行。
图1 骨肉瘤中抗Rb蛋白抗体呈阳性反应,阳性颗粒呈棕黄色(免疫组化S-P法×400)
图2 良性骨肿瘤中抗Rb蛋白抗体呈阳性反应(免疫组化S-P法×400)
图3 骨肉瘤中抗cyclinD1蛋白抗体呈阳性反应,阳性颗粒呈棕黄色(免疫组化S-P法×400)
, 百拇医药
图4 良性骨肿瘤中抗cyclinD1蛋白抗体呈阳性反应(免疫组化S-P法×400)
2 结果
本研究中Rb与cyclinD1蛋白在骨肉瘤与良性骨肿瘤标本中细胞浆与细胞核的阳性信号均为棕黄色颗粒,显色过强时为棕褐色颗粒。在统计学处理中将“+”、“++”、“+++”均视为阳性。
2.1Rb蛋白的表达
骨肉瘤组中Rb蛋白表达阳性率为47.6%,良性骨肿瘤组中Rb蛋白表达阳性率为83.3%,两组阳性率比较采用χ2检验,得出P=0.0109(P<0.05),同时两组间表达强度的比较采用两样本比较的秩和检验(Wilcoxon法),得出t值及校正U值,P<0.01(见表1),提示骨肉瘤组Rb蛋白表达水平明显低于良性骨肿瘤组。骨肉瘤组中Rb蛋白染色强度多为弱阳性,而在良性骨肿瘤中多为中到强阳性,即Rb在骨肉瘤中呈低表达(图1,2)。
, http://www.100md.com
2.2cyclinD1蛋白的表达
骨肉瘤中cyclinD1蛋白染色阳性率为50.1%,而良性骨肿瘤组中阳性率为27.8%,两样本率比较采用χ2检验,得出χ2=6.342,P=0.0118(P<0.05),其差异有显著性意义。同时两组间表达强度比较采用Wilcoxon法检验,得出P="0.0060"(P<0.01),其差异有显著性意义(见表2),说明cyclinD1在骨肉瘤中呈高表达(图3,4)。
2.3Rb与cyclinD1蛋白在骨肉瘤不同临床Enneking分期中的表达
47例骨肉瘤中,Rb、cyclinD1两者在不同临床Enneking分期中的表达水平(见表3),采用成组设计多个样本比较的秩和检验(Krusal-Wallis法),结果显示Rb的表达在三期中有显著性差异(P<0.05);采用多个样本两两比较的秩和检验(Nemeyi法),ⅡA与ⅡB比较,P>0.05;ⅡB与Ⅲ比较,P>0.05;而ⅡA与Ⅲ比较,P<0.05,其差异有显著性。cyclinD1的表达在三期中无显著性差异。
, 百拇医药
2.4Rb、cyclinD1蛋白在骨肉瘤中表达的相关性分析
Rb与cyclinD1在骨肉瘤组中的表达情况采用Spearman等级相关分析,得出相关系数,查出P值,结果显示Rb与cyclinD1两者在骨肉瘤中的表达无相关关系(rs'=0.0376,P>0.05)(见表4)。
3 讨论
郑杰等在食管癌研究中检测到cyclinD1呈过度表达[4]。有关骨肉瘤中cyclinD1表达率的研究国内外均未见报道。本研究首次检测到cyclinD1在骨肉瘤中呈高表达,阳性率为50.1%,而良性骨肿瘤中阳性率仅为27.8%,其差异具有显著性(P<0.05),提示cyclinD1与骨肉瘤的发生有关,支持cyclinD1为癌基因的学说,即按cyclinD1-CDK4-Rb模式[5],cyclinD1过度表达使CDK4对Rb的调节作用增强,致Rb磷酸化增多,去磷酸化Rb减少,从而使Rb对细胞周期的负性调节失控,导致细胞失控性生长而最终形成骨肉瘤,为癌基因研究提供了新的线索,为骨肉瘤的最终基因治疗打下了基础。本研究中19例ⅡA期骨肉瘤标本中Rb蛋白表达有16例为阴性,而4例Ⅲ期骨肉瘤标本Rb表达全为阳性,即有转移的4例骨肉瘤标本中Rb全为阳性表达,此结果提示Rb可能与骨肉瘤的转移有关。
, 百拇医药
Rb蛋白在骨肉瘤中的表达明显低于良性骨肿瘤标本,与Togchida[6]、杨迪生等[7]研究结果相一致,提示Rb基因在骨肉瘤发生中可能起抑癌基因的作用,对临床骨肉瘤与良性骨肿瘤的诊断与鉴别诊断具有一定的参考价值。
本研究中Rb与cyclinD1在骨肉瘤中的表达之间未发现明显的相关关系,是否存在其他相关基因的干扰,有待进一步研究。
【参考文献】
1,Chen J,Lin J, Levine AJ.Regulation of transcription functions of the p53 tumor suppressor by the mdm-2 oncogene [J]. Mol Med, 1995,1:142~ 152.
2,Ozaki T,IKeda S, Kawai A,et al. Alteration of retinoblastoma susceptible gene accompanied by c-myc amplification in human bone and soft tissue tumor [J]. Cell Mol Biol (Noisy-Le-Grand), 1993,39:235~ 242.
, http://www.100md.com
3,Fromowitz FB,Viola MV,Chao S, et al. Res p21 expression in the progression of breast cancer [J]. Hum pathol,1987,18:1268~ 1275.
4,郑杰,周传家,萧枫,等.Rb、p16、细胞周期素D1蛋白在食管癌中的表达及其意义[J].中华病理学杂志,1996,25:336~339.
5,Lukas J,Aagaard L,Strauss M, et al. Oncogenic aberations of p16 INK4/CDKN2 and cyclinD1 cooperate to deregulate G1 control [J]. Cancer Res,1995,55:4818~ 4823.
6,Togchida J, Shizaki K, Sasaki MS, et al. Chromosal reorgnization for the expression of recessive mutation of retinoblastoma susceptibility gene in the development of osteosarcoma [J]. Cancer Res, 1988, 48:3939~ 3941.
7,杨迪生,肖镇,陶惠民,等.抑癌基因Rb与p16蛋白在骨肉瘤中的表达及其相互关系[J].中华骨科杂志,1998,18:304~307.
收稿日期:1999-09-22;修回日期:1999-10-21, 百拇医药