建立显微分离细胞技术并检测胃癌细胞内p53基因突变
作者:邵春奎 朱正纲 苏祖兰 王瑞年 尹浩然 林言箴
单位:邵春奎 苏祖兰(中山医科大学附属三院病理科,广东广州510630);王瑞年 尹浩然 朱正纲 林言箴(上海市消化外科研究所,上海200025)
关键词:显微分离细胞技术;p53基因;突变;胃肿瘤
癌症000608
【摘要】目的:获取较纯的微量胃癌细胞并检测p53基因的突变。方法:在显微镜下,直接分离出胃癌组织中微小癌灶内细胞,并应用单链构象多态(SSCP)技术分析该微量癌细胞中p53基因的突变。结果:在171例胃癌组织的石蜡标本中,有70例获得可靠结果,包括6例早期胃癌和64例进展期胃癌,该方法总成功率为41.0%。结论:显微分离细胞技术十分有利于观察癌前病变、原位癌及浸润癌的基因变化;该方法直接证明早期胃癌细胞中p53基因发生了突变。
, 百拇医药
中图分类号:R735.2 文献标识码:A
文章编号:1000-467X(2000)06-0534-04
A microdissection technique for the molecular diagnosis of
p53 gene mutations in gastric carcinoma
SHAO Chun-kui, ZHU Zheng-gang, SU Zu-lan, et al.
Department of Pathology, The Third Hospital, Sun Yat-sen University
of Medical Sciences, Guangzhou 510630, P.R. China
, 百拇医药
【 Abstract】 Objective:To obtain pure gastric carcinoma cells for the molecular diagnosis of p53 gene mutations in gastric carcinoma. Methods:A microdissection technique was developed which consisted in picking out minute cell populations from paraffinembedded tissue sections under light microscopy and analyzing p53 gene mutations in the minute carcinoma cell populations by SSCP. Results:Of 171 cases of gastric carcinoma, 70 were analyzed successfully with a successful rate of 41.0% , including 6 cases of early gastric carcinoma (EGC) and 64 cases of advanced gastric carcinoma(AGC). Conclusions:The microdissection technique proposed proved to be useful in gene studies of premalignant,in situ as well as invasive cancerous lesions and the method could directely demonstrate p53 gene mutation in EGC.
, 百拇医药
Key words: Microdissection techniq; p53 gene; Mutation; Gastric neoplasms
观察肿瘤细胞内基因变化有利于了解肿瘤发生发展的规律,并使分子诊断技术应用于临床成为可能[1]。然而,在许多癌前病变和浸润性肿瘤组织中,基因变化的研究并没有取得普遍成功,限制因素之一就是组织标本中含有多种类型的正常细胞,包括上皮细胞、间质细胞、内皮细胞及各种炎细胞等,妨碍对癌细胞DNA进行精确分析[2]。为了防止正常细胞干扰,获取较纯的胃癌细胞,我们建立了显微分离细胞技术,并检测了胃癌石蜡标本中p53基因突变。
1 材料和方法
1.1材料
取瑞金医院外科1989年1月~1992年12月间的胃癌手术切除标本171例,标本展平固定于4%甲醛溶液中,常规石蜡包埋,苏木素-伊红(HE)染色,并进行常规病理诊断。其中有早期胃癌22例,进展期胃癌149例。E5、E6、E7、E8引物序列由上海第二医科大学检验系分子实验室惠赠,中科院细胞所合成,E4~9引物序列根据Ricevuto等人报道[3],GIBCO公司合成。PCR循环仪为P-E公司产品。鼠抗人p53抗体购自丹麦DAKO公司(工作浓度1∶100),ABC(鼠)试剂盒为美国Vector公司产品。
, 百拇医药
1.2显微分离细胞技术及PCR方法
根据Zhuang等人介绍的方法[4]改良。
1.2.1显微镜下分离微量细胞:(1)将福尔马林固定、石蜡包埋的组织块,连续切片两张,切片厚5μm。(2)其中一张脱蜡、水化后进行常规HE染色,以便在显微镜下选取合适的视野。(3)另一张切片常规脱蜡水化。空气中凉干,凉干后伊红染色。(4)将伊红染色的切片放在显微镜下,用细针轻刮目的细胞,由于静电吸引作用,显微镜下可以看到细针头上粘附很多细胞,将细胞迅速移入已准备好的20μl消化液中(消化液组成:Tris-HCl,pH8.0,0.1mol/L;EDTA,pH8.0,0.1mol/L;1%Tween20及0.1mg蛋白酶K)。
1.2.2DNA提取:将上述含有目的细胞的消化液,放置37℃水浴箱内,过夜;PCR前煮沸5~10分钟,灭活消化液中的蛋白酶K,冷却后,6000~10000r/min离心,取5μl上清液DNA进行PCR扩增。
, 百拇医药
1.2.3多聚酶链反应(PCR):(1)引物设计:人类组织细胞中p53基因组DNA全长约为20kb,共有11个外显子,p53的突变集中在5,6,7,8外显子,也是p53基因的高度保守区。根据此设计引物如表1。E4~9为一对巢式PCR引物,其序列与4和9外显子两侧的序列互补,其扩增片段为4~9外显子,长约1790bp。(2)第一轮PCR循环。PCR反应体系:一对巢式PCR引物(E4~9)各20pmol;上述DNA提取液5μl;10×buffer,5μl;MgCl2,2mmol/L;dNTP,200μmol/L;TaqDNA多聚酶,1U(Promega产品);用去离子水调至终体积50μl。反应条件为95℃变性5分钟,60℃退火40秒,72℃延伸1.2分钟,共30个循环。(3)第二轮PCR循环。PCR反应体系:一对外显子引物,各20pmol;第一轮PCR扩增产物5μl;10×buffer,5μl;MgCl2,2mmol/L;dNTP,75μmol/L;TaqDNA多聚酶,1U(Promega产品);用去离子水调至终体积50μl。各外显子反应条件如下:E5、E6:93℃变性3分钟,64℃退火40秒,72℃延伸70秒,共35个循环;E7、E8:93℃变性3分钟,60℃退火40秒,72℃延伸70秒,共35个循环。
, 百拇医药
1.3 非同位素单链构象多态性(SSCP)分析
取第二轮PCR扩增产物5μl与等量变性上样液混匀,置沸水中5~10分钟,使PCR产物内DNA完全变性,迅速转移至冰上,5分钟后加样。12%非变性聚丙烯酰胺电泳,硝酸银染色观察结果。
1.4 p53基因的表达
在显微分离法获得可靠结果的胃癌标本中,利用免疫组化法检测p53蛋白。采用微波修复抗原及常规ABC法。每次染色均采用TBS溶液代替第一抗体做阴性对照。结果判断:细胞核着蓝色者为阴性,呈现棕黄色者为阳性。反应范围以3级计分:阳性细胞<10%者为(+),10%~50%者为(++),50%以上者为(+++)。阳性细胞必须结构清晰、定位好,着色明显高于背景。
1.5 统计学处理
卡方检验或Fisher精确概率法。
, http://www.100md.com
2 结果
2.1 显微分离胃癌组织并检测p53基因突变
为了获取纯的胃癌细胞,我们对胃癌组织进行了显微分离(图1~4)。由图中可以看出,在显微镜下,根据组织细胞形态,成功地将癌灶内细胞分离出来,避免了组织中间质细胞、炎细胞等正常细胞对癌细胞的污染,达到了获取纯胃癌细胞DNA的目的。同时分离同一切片中的正常胃粘膜细胞作为对照。
图1粘膜内胃癌组织HE(4×10)
图2粘膜内胃癌经显微分离后HE(6.3×10)
图3浸润性胃癌组织HE(10×10)
图4浸润性胃癌经显微分离后HE(10×10)
, 百拇医药
利用上面描述过的方法,对获得的癌细胞DNA及正常胃粘膜细胞DNA进行了两次PCR,图5是PCR产物经聚丙烯酰胺凝胶电泳的结果。每一例标本占有二个泳道,一为组织切片中正常胃粘膜DNA扩增产物产生的条带,标记为N(normal);另一泳道为切片中胃癌细胞DNA扩增产物产生的电泳条带,标记为C(carcinoma)。同一病例的胃粘膜和胃癌细胞来自同一张切片,这样在C泳道上出现的条带,如果与对应的N泳道上不同,即被认为是产生了突变,见图5说明。
图5 显微分离后细胞DNAPCR-SSCP结果
N为正常粘膜细胞DNA扩增条带,C为癌细胞DNA扩增条带;相邻的N、C皆取自同一张组织切片。C2示p53突变阳性。
, http://www.100md.com
图6 胃癌组织中p53蛋白的表达(40×10)
利用显微分离和巢式PCR相结合的技术,逐个对4%甲醛固定、石蜡包埋的171例标本进行了p53外显子5、6、7、8的突变研究,有70例获得较满意的结果,总成功率为约41.0%。其中早期胃癌6例,占22例早期胃癌总数的27.3%;进展期胃癌64例,占149例进展期胃癌总数的43.0%。
2.2胃癌组织中p53蛋白的表达
见图6说明,p53阳性反应物质均位于核内。在检测的70例胃癌标本中,有33例p53蛋白阳性,包括3例早期胃癌和30例进展期胃癌,阳性率为47.1%。
2.3p53基因突变与p53蛋白表达的关系(见表2,表3)
由表2中可以看出,部分早期胃癌中确实存在p53基因的突变,p53抑癌基因的突变极有可能参与了早期胃癌的发生。其中一例标本p53蛋白阴性表达,显微分离细胞的检测结果发现第5外显子存在突变,说明该方法对于微小病灶的检测有一定的优点。
, http://www.100md.com
表1 P53基因待测外显子引物序列 外显子
核苷酸序列
E5引物
5'-TACTCCCCTGCCCTCAACAA-3'
5'-CATCGCTATCTGAGCAGCGC-3'
E6引物
5'-GTCTGGCCCCTCCTCAGCAT-3'
5'-CTCAGGCGGCTCATAGGGCA-3'
E7引物
5'-TCTGACTGTACCACCATCCA-3'
, http://www.100md.com
5'-CTGGAGTCTTCCAGTGTGAT-3'
E8引物
5'-TGGTAATCTACTGGGACGGA-3'
5'-CGGAGATTCTCTTCCTCTGT-3'
E4~9引物
5'-GGAGGTGCTTACACAT-3'
5'-GTTAGCTACAACCAGG-3'
表2 6例早期胃癌中p53基因突变和表达 例号
年龄
(岁)
, 百拇医药
性别
部位
Borr
分型
组织
Lauren
浸润
淋巴
P53
基因
类型
分开
深度
, 百拇医药 转移
表达
突变
1
68
M
M
Ⅲ
中
弥
m
+
+
E5
, 百拇医药
2
50
M
A
Ⅲ
中
肠
m
-
+
E6
3
59
M
, 百拇医药
A
Ⅱa+Ⅱc
高
肠
Sm
-
-
-
4
62
F
AM
Ⅱ
, 百拇医药
低
弥
m
-
+
E7
5
70
M
A
Ⅲ
高
肠
m
, 百拇医药
+
-
-
6
78
M
A
Ⅲ
中
肠
Sm
-
-
E5
, 百拇医药
表3 64例进展期胃癌p53基因突变及表达的关系(例) p53蛋白表达
n
p53基因突变
阳性
阴性
阴性
34
1
33
阳性
30
24
6
, 百拇医药
由表3中可以看出,64例进展期胃癌中测得基因突变率为39.1%(25/64),p53蛋白的阳性率为46.9%(30/64)。p53蛋白表达率稍高于p53基因突变率,可能是因为我们只检测了p53基因的第5、6、7、8四个外显子,虽然这四个外显子是p53基因突变的常见部位,但毕竟不是p53基因的全部外显子。尽管如此,测得的p53基因突变与p53蛋白表达仍有显著相关性(χ2=39.7,P<0.01)。
3 讨论
应用显微分离技术克服了组织匀浆法所具有的异质性缺点,使人们获取“纯的目的细胞”成为现实。本实验中我们成功地对6例早期胃癌和64例进展期胃癌进行了显微分离。分别在4例早期胃癌和25例进展期胃癌中观察到p53基因的突变,直接证明了p53基因突变参与早期胃癌的发生和促进胃癌进展的事实[5]。
与国外介绍的方法相比[6],本实验作了如下改进:(1)采用了巢式PCR技术,将微量目的细胞DNA进行了二次扩增。两次PCR后可以极大地使微量DNA得到扩增,为利用银染技术观察结果奠定了基础。(2)采用了银染技术观察SSCP的结果。银染技术的优点在于利用银离子与核酸结合的特性,在甲醛的作用下,银离子还原而使凝胶中的DNA条带显色。此法简便、经济而快速,其灵敏度虽略低于同位素法,但完全可以达到检测要求,避免了同位素污染周围环境的缺点。
, 百拇医药
SSCP时,经变性分开的等位基因片段,正义链与反义链顺序不同,空间卷曲构型也不同,以致电泳场中的泳动速度也不相同,而表现为两个DNA片段条带。有时由于变性分开的单链可能形成一种以上的空间构型,或加样前部分复性等原因而出现三条、乃至更多条带的复杂图形,使分析颇为复杂。但一般而言,与正常组织的条带相比,呈现泳动变位的DNA条带即提示有突变存在。为避免DNA多态性的影响,肿瘤标本和正常对照标本应取自同一个体。
利用显微分离技术,检测了171例经甲醛固定、石蜡包埋的胃癌组织标本,有70例获得可靠的结果,PCR扩增的成功率是41.0%。我们认为影响PCR扩增成功的原因,主要由于组织在固定、脱水、包埋过程中,有各种有机溶剂渗入细胞核中,增加了DNA的交联,由此获得的DNA易碎、片段小、不易溶解和不易变性等,增加了PCR扩增的困难。早期胃癌石蜡标本的PCR扩增成功率低于进展期胃癌标本,可能是因为早期胃癌病变组织范围较小,显微分离后获得的细胞数较少。如果显微分离冰冻组织切片,则获取的细胞DNA质量比由石蜡标本获取的细胞DNA质量高,PCR扩增的成功率可能会大大提高。
, http://www.100md.com
对显微分离石蜡切片,提高PCR成功率体会如下:(1)分离的细胞数不能太少,一般分离的范围应达1/6~1/4低倍视野。如果细胞数太少,扩增的条带将很弱。(2)PCR扩增前,将含有细胞的消化液煮沸5~10分钟,并高速离心(10000~20000r/min),取上清液作为模板,可提高PCR的成功率。(3)使用巢式PCR技术,利于银染观察结果。
PCR技术的建立使得人们比以往任何时候都能研究更加微量的DNA;显微分离组织切片,有助于获得小范围病变的目的细胞。两者的有机结合将有利于研究微小的活检组织,便于观察癌前病变、原位癌及浸润癌的基因变化。
基金项目:本课题受上海市医学领先学科基金(No:94-Ⅲ005)资助
[参考文献]
1,Modrich P. Mismatch repair, genetic stability, and cancer [J]. Science, 1994,266:1959~ 1960.
, 百拇医药
2,Meltzer SJ, Yin J, Huang Y, et al. Reduction of homozygosity involving p53 in esophageal cancers demonstrated by the polymerase chain reaction [J]. Pyoc Natl Acad Sci USA,1991,88(11):4976~ 4980.
3,Ricevuto E, Ficorella C, Fusco C, et al. Molecular diagnosis of p53 mutations in gastric carcinoma by touch preparation [J]. Am J Pathol, 1996,148(2):405~ 413.
4,Zhuang Z, Bertheau P, Emmert- Buck MR, et al. A Microdissection technique for archival DNA analysis of specific cell populations in lessions< 1 mm in size [J]. Am J Pathol, 1995,146(3):620~ 625.
, http://www.100md.com
5,Uchino S, Noguchi M, Ochiai A, et al. P53 mutation in gastric cancer: a genetic model for carcinogenesis is common to gastric and colorectal cancer [J]. Int J Cancer, 1993,53:759~ 764.
6,Zhuang Z, Merino MJ, Chuaqui R, et al. Identical allelic loss on chromosome 11q13 in microdissected in situ and invasive human breast cancer [J]. Cancer Res, 1995,55:467~ 471.
收稿日期:1999-09-02;修回日期:1999-11-10, http://www.100md.com
单位:邵春奎 苏祖兰(中山医科大学附属三院病理科,广东广州510630);王瑞年 尹浩然 朱正纲 林言箴(上海市消化外科研究所,上海200025)
关键词:显微分离细胞技术;p53基因;突变;胃肿瘤
癌症000608
【摘要】目的:获取较纯的微量胃癌细胞并检测p53基因的突变。方法:在显微镜下,直接分离出胃癌组织中微小癌灶内细胞,并应用单链构象多态(SSCP)技术分析该微量癌细胞中p53基因的突变。结果:在171例胃癌组织的石蜡标本中,有70例获得可靠结果,包括6例早期胃癌和64例进展期胃癌,该方法总成功率为41.0%。结论:显微分离细胞技术十分有利于观察癌前病变、原位癌及浸润癌的基因变化;该方法直接证明早期胃癌细胞中p53基因发生了突变。
, 百拇医药
中图分类号:R735.2 文献标识码:A
文章编号:1000-467X(2000)06-0534-04
A microdissection technique for the molecular diagnosis of
p53 gene mutations in gastric carcinoma
SHAO Chun-kui, ZHU Zheng-gang, SU Zu-lan, et al.
Department of Pathology, The Third Hospital, Sun Yat-sen University
of Medical Sciences, Guangzhou 510630, P.R. China
, 百拇医药
【 Abstract】 Objective:To obtain pure gastric carcinoma cells for the molecular diagnosis of p53 gene mutations in gastric carcinoma. Methods:A microdissection technique was developed which consisted in picking out minute cell populations from paraffinembedded tissue sections under light microscopy and analyzing p53 gene mutations in the minute carcinoma cell populations by SSCP. Results:Of 171 cases of gastric carcinoma, 70 were analyzed successfully with a successful rate of 41.0% , including 6 cases of early gastric carcinoma (EGC) and 64 cases of advanced gastric carcinoma(AGC). Conclusions:The microdissection technique proposed proved to be useful in gene studies of premalignant,in situ as well as invasive cancerous lesions and the method could directely demonstrate p53 gene mutation in EGC.
, 百拇医药
Key words: Microdissection techniq; p53 gene; Mutation; Gastric neoplasms
观察肿瘤细胞内基因变化有利于了解肿瘤发生发展的规律,并使分子诊断技术应用于临床成为可能[1]。然而,在许多癌前病变和浸润性肿瘤组织中,基因变化的研究并没有取得普遍成功,限制因素之一就是组织标本中含有多种类型的正常细胞,包括上皮细胞、间质细胞、内皮细胞及各种炎细胞等,妨碍对癌细胞DNA进行精确分析[2]。为了防止正常细胞干扰,获取较纯的胃癌细胞,我们建立了显微分离细胞技术,并检测了胃癌石蜡标本中p53基因突变。
1 材料和方法
1.1材料
取瑞金医院外科1989年1月~1992年12月间的胃癌手术切除标本171例,标本展平固定于4%甲醛溶液中,常规石蜡包埋,苏木素-伊红(HE)染色,并进行常规病理诊断。其中有早期胃癌22例,进展期胃癌149例。E5、E6、E7、E8引物序列由上海第二医科大学检验系分子实验室惠赠,中科院细胞所合成,E4~9引物序列根据Ricevuto等人报道[3],GIBCO公司合成。PCR循环仪为P-E公司产品。鼠抗人p53抗体购自丹麦DAKO公司(工作浓度1∶100),ABC(鼠)试剂盒为美国Vector公司产品。
, 百拇医药
1.2显微分离细胞技术及PCR方法
根据Zhuang等人介绍的方法[4]改良。
1.2.1显微镜下分离微量细胞:(1)将福尔马林固定、石蜡包埋的组织块,连续切片两张,切片厚5μm。(2)其中一张脱蜡、水化后进行常规HE染色,以便在显微镜下选取合适的视野。(3)另一张切片常规脱蜡水化。空气中凉干,凉干后伊红染色。(4)将伊红染色的切片放在显微镜下,用细针轻刮目的细胞,由于静电吸引作用,显微镜下可以看到细针头上粘附很多细胞,将细胞迅速移入已准备好的20μl消化液中(消化液组成:Tris-HCl,pH8.0,0.1mol/L;EDTA,pH8.0,0.1mol/L;1%Tween20及0.1mg蛋白酶K)。
1.2.2DNA提取:将上述含有目的细胞的消化液,放置37℃水浴箱内,过夜;PCR前煮沸5~10分钟,灭活消化液中的蛋白酶K,冷却后,6000~10000r/min离心,取5μl上清液DNA进行PCR扩增。
, 百拇医药
1.2.3多聚酶链反应(PCR):(1)引物设计:人类组织细胞中p53基因组DNA全长约为20kb,共有11个外显子,p53的突变集中在5,6,7,8外显子,也是p53基因的高度保守区。根据此设计引物如表1。E4~9为一对巢式PCR引物,其序列与4和9外显子两侧的序列互补,其扩增片段为4~9外显子,长约1790bp。(2)第一轮PCR循环。PCR反应体系:一对巢式PCR引物(E4~9)各20pmol;上述DNA提取液5μl;10×buffer,5μl;MgCl2,2mmol/L;dNTP,200μmol/L;TaqDNA多聚酶,1U(Promega产品);用去离子水调至终体积50μl。反应条件为95℃变性5分钟,60℃退火40秒,72℃延伸1.2分钟,共30个循环。(3)第二轮PCR循环。PCR反应体系:一对外显子引物,各20pmol;第一轮PCR扩增产物5μl;10×buffer,5μl;MgCl2,2mmol/L;dNTP,75μmol/L;TaqDNA多聚酶,1U(Promega产品);用去离子水调至终体积50μl。各外显子反应条件如下:E5、E6:93℃变性3分钟,64℃退火40秒,72℃延伸70秒,共35个循环;E7、E8:93℃变性3分钟,60℃退火40秒,72℃延伸70秒,共35个循环。
, 百拇医药
1.3 非同位素单链构象多态性(SSCP)分析
取第二轮PCR扩增产物5μl与等量变性上样液混匀,置沸水中5~10分钟,使PCR产物内DNA完全变性,迅速转移至冰上,5分钟后加样。12%非变性聚丙烯酰胺电泳,硝酸银染色观察结果。
1.4 p53基因的表达
在显微分离法获得可靠结果的胃癌标本中,利用免疫组化法检测p53蛋白。采用微波修复抗原及常规ABC法。每次染色均采用TBS溶液代替第一抗体做阴性对照。结果判断:细胞核着蓝色者为阴性,呈现棕黄色者为阳性。反应范围以3级计分:阳性细胞<10%者为(+),10%~50%者为(++),50%以上者为(+++)。阳性细胞必须结构清晰、定位好,着色明显高于背景。
1.5 统计学处理
卡方检验或Fisher精确概率法。
, http://www.100md.com
2 结果
2.1 显微分离胃癌组织并检测p53基因突变
为了获取纯的胃癌细胞,我们对胃癌组织进行了显微分离(图1~4)。由图中可以看出,在显微镜下,根据组织细胞形态,成功地将癌灶内细胞分离出来,避免了组织中间质细胞、炎细胞等正常细胞对癌细胞的污染,达到了获取纯胃癌细胞DNA的目的。同时分离同一切片中的正常胃粘膜细胞作为对照。
图1粘膜内胃癌组织HE(4×10)
图2粘膜内胃癌经显微分离后HE(6.3×10)
图3浸润性胃癌组织HE(10×10)
图4浸润性胃癌经显微分离后HE(10×10)
, 百拇医药
利用上面描述过的方法,对获得的癌细胞DNA及正常胃粘膜细胞DNA进行了两次PCR,图5是PCR产物经聚丙烯酰胺凝胶电泳的结果。每一例标本占有二个泳道,一为组织切片中正常胃粘膜DNA扩增产物产生的条带,标记为N(normal);另一泳道为切片中胃癌细胞DNA扩增产物产生的电泳条带,标记为C(carcinoma)。同一病例的胃粘膜和胃癌细胞来自同一张切片,这样在C泳道上出现的条带,如果与对应的N泳道上不同,即被认为是产生了突变,见图5说明。
图5 显微分离后细胞DNAPCR-SSCP结果
N为正常粘膜细胞DNA扩增条带,C为癌细胞DNA扩增条带;相邻的N、C皆取自同一张组织切片。C2示p53突变阳性。
, http://www.100md.com
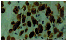
图6 胃癌组织中p53蛋白的表达(40×10)
利用显微分离和巢式PCR相结合的技术,逐个对4%甲醛固定、石蜡包埋的171例标本进行了p53外显子5、6、7、8的突变研究,有70例获得较满意的结果,总成功率为约41.0%。其中早期胃癌6例,占22例早期胃癌总数的27.3%;进展期胃癌64例,占149例进展期胃癌总数的43.0%。
2.2胃癌组织中p53蛋白的表达
见图6说明,p53阳性反应物质均位于核内。在检测的70例胃癌标本中,有33例p53蛋白阳性,包括3例早期胃癌和30例进展期胃癌,阳性率为47.1%。
2.3p53基因突变与p53蛋白表达的关系(见表2,表3)
由表2中可以看出,部分早期胃癌中确实存在p53基因的突变,p53抑癌基因的突变极有可能参与了早期胃癌的发生。其中一例标本p53蛋白阴性表达,显微分离细胞的检测结果发现第5外显子存在突变,说明该方法对于微小病灶的检测有一定的优点。
, http://www.100md.com
表1 P53基因待测外显子引物序列 外显子
核苷酸序列
E5引物
5'-TACTCCCCTGCCCTCAACAA-3'
5'-CATCGCTATCTGAGCAGCGC-3'
E6引物
5'-GTCTGGCCCCTCCTCAGCAT-3'
5'-CTCAGGCGGCTCATAGGGCA-3'
E7引物
5'-TCTGACTGTACCACCATCCA-3'
, http://www.100md.com
5'-CTGGAGTCTTCCAGTGTGAT-3'
E8引物
5'-TGGTAATCTACTGGGACGGA-3'
5'-CGGAGATTCTCTTCCTCTGT-3'
E4~9引物
5'-GGAGGTGCTTACACAT-3'
5'-GTTAGCTACAACCAGG-3'
表2 6例早期胃癌中p53基因突变和表达 例号
年龄
(岁)
, 百拇医药
性别
部位
Borr
分型
组织
Lauren
浸润
淋巴
P53
基因
类型
分开
深度
, 百拇医药 转移
表达
突变
1
68
M
M
Ⅲ
中
弥
m
+
+
E5
, 百拇医药
2
50
M
A
Ⅲ
中
肠
m
-
+
E6
3
59
M
, 百拇医药
A
Ⅱa+Ⅱc
高
肠
Sm
-
-
-
4
62
F
AM
Ⅱ
, 百拇医药
低
弥
m
-
+
E7
5
70
M
A
Ⅲ
高
肠
m
, 百拇医药
+
-
-
6
78
M
A
Ⅲ
中
肠
Sm
-
-
E5
, 百拇医药
表3 64例进展期胃癌p53基因突变及表达的关系(例) p53蛋白表达
n
p53基因突变
阳性
阴性
阴性
34
1
33
阳性
30
24
6
, 百拇医药
由表3中可以看出,64例进展期胃癌中测得基因突变率为39.1%(25/64),p53蛋白的阳性率为46.9%(30/64)。p53蛋白表达率稍高于p53基因突变率,可能是因为我们只检测了p53基因的第5、6、7、8四个外显子,虽然这四个外显子是p53基因突变的常见部位,但毕竟不是p53基因的全部外显子。尽管如此,测得的p53基因突变与p53蛋白表达仍有显著相关性(χ2=39.7,P<0.01)。
3 讨论
应用显微分离技术克服了组织匀浆法所具有的异质性缺点,使人们获取“纯的目的细胞”成为现实。本实验中我们成功地对6例早期胃癌和64例进展期胃癌进行了显微分离。分别在4例早期胃癌和25例进展期胃癌中观察到p53基因的突变,直接证明了p53基因突变参与早期胃癌的发生和促进胃癌进展的事实[5]。
与国外介绍的方法相比[6],本实验作了如下改进:(1)采用了巢式PCR技术,将微量目的细胞DNA进行了二次扩增。两次PCR后可以极大地使微量DNA得到扩增,为利用银染技术观察结果奠定了基础。(2)采用了银染技术观察SSCP的结果。银染技术的优点在于利用银离子与核酸结合的特性,在甲醛的作用下,银离子还原而使凝胶中的DNA条带显色。此法简便、经济而快速,其灵敏度虽略低于同位素法,但完全可以达到检测要求,避免了同位素污染周围环境的缺点。
, 百拇医药
SSCP时,经变性分开的等位基因片段,正义链与反义链顺序不同,空间卷曲构型也不同,以致电泳场中的泳动速度也不相同,而表现为两个DNA片段条带。有时由于变性分开的单链可能形成一种以上的空间构型,或加样前部分复性等原因而出现三条、乃至更多条带的复杂图形,使分析颇为复杂。但一般而言,与正常组织的条带相比,呈现泳动变位的DNA条带即提示有突变存在。为避免DNA多态性的影响,肿瘤标本和正常对照标本应取自同一个体。
利用显微分离技术,检测了171例经甲醛固定、石蜡包埋的胃癌组织标本,有70例获得可靠的结果,PCR扩增的成功率是41.0%。我们认为影响PCR扩增成功的原因,主要由于组织在固定、脱水、包埋过程中,有各种有机溶剂渗入细胞核中,增加了DNA的交联,由此获得的DNA易碎、片段小、不易溶解和不易变性等,增加了PCR扩增的困难。早期胃癌石蜡标本的PCR扩增成功率低于进展期胃癌标本,可能是因为早期胃癌病变组织范围较小,显微分离后获得的细胞数较少。如果显微分离冰冻组织切片,则获取的细胞DNA质量比由石蜡标本获取的细胞DNA质量高,PCR扩增的成功率可能会大大提高。
, http://www.100md.com
对显微分离石蜡切片,提高PCR成功率体会如下:(1)分离的细胞数不能太少,一般分离的范围应达1/6~1/4低倍视野。如果细胞数太少,扩增的条带将很弱。(2)PCR扩增前,将含有细胞的消化液煮沸5~10分钟,并高速离心(10000~20000r/min),取上清液作为模板,可提高PCR的成功率。(3)使用巢式PCR技术,利于银染观察结果。
PCR技术的建立使得人们比以往任何时候都能研究更加微量的DNA;显微分离组织切片,有助于获得小范围病变的目的细胞。两者的有机结合将有利于研究微小的活检组织,便于观察癌前病变、原位癌及浸润癌的基因变化。
基金项目:本课题受上海市医学领先学科基金(No:94-Ⅲ005)资助
[参考文献]
1,Modrich P. Mismatch repair, genetic stability, and cancer [J]. Science, 1994,266:1959~ 1960.
, 百拇医药
2,Meltzer SJ, Yin J, Huang Y, et al. Reduction of homozygosity involving p53 in esophageal cancers demonstrated by the polymerase chain reaction [J]. Pyoc Natl Acad Sci USA,1991,88(11):4976~ 4980.
3,Ricevuto E, Ficorella C, Fusco C, et al. Molecular diagnosis of p53 mutations in gastric carcinoma by touch preparation [J]. Am J Pathol, 1996,148(2):405~ 413.
4,Zhuang Z, Bertheau P, Emmert- Buck MR, et al. A Microdissection technique for archival DNA analysis of specific cell populations in lessions< 1 mm in size [J]. Am J Pathol, 1995,146(3):620~ 625.
, http://www.100md.com
5,Uchino S, Noguchi M, Ochiai A, et al. P53 mutation in gastric cancer: a genetic model for carcinogenesis is common to gastric and colorectal cancer [J]. Int J Cancer, 1993,53:759~ 764.
6,Zhuang Z, Merino MJ, Chuaqui R, et al. Identical allelic loss on chromosome 11q13 in microdissected in situ and invasive human breast cancer [J]. Cancer Res, 1995,55:467~ 471.
收稿日期:1999-09-02;修回日期:1999-11-10, http://www.100md.com