颅内血管外膜细胞瘤32例临床分析
作者:姜忠利 赵继宗
单位:首都医科大学附属北京天坛医院神经外科 100050
关键词:血管外膜细胞瘤;神经外科手术
中华医学杂志000609 【摘要】 目的 探讨颅内血管外膜细胞瘤的临床特点、病理、治疗及预后。方法 对我院收治的32例颅内血管外膜细胞瘤就其诊断、影像学、病理、治疗、临床特点等进行分析。结果 Ⅰ级,全切肿瘤及其受侵硬脑膜、颅骨7例;Ⅱ级,全切肿瘤,充分烧灼受侵硬脑膜或颅骨,并处理受侵静脉窦13例;Ⅲ级,全切肿瘤,未处理受侵硬脑膜和颅骨7例;Ⅳ级,肿瘤残留5例。复发13例。手术结果分别为Ⅰ级2例,Ⅱ级5例,Ⅲ级3例,Ⅳ级3例。结论 颅内血管外膜细胞瘤预后不良,复发率高,手术辅以放射治疗是主要治疗手段,并强调定期复查的重要性。
Intracranial hemangiopericytoma 32 cases reports
, http://www.100md.com
JIANG Zhongli ZHAO Jizong
(Department of Neurosurgery, Beijing TianTan Hospital, Beijing 100050, China)
【Abstract】 Objective To further elucidate the clinical feature, pathogenesis, treatment and prognosis of intracranial hemangiopericytomas (HPC). Methods Thirty-two cases of HPC treated in our department were analyzed retropectively. Results Grade Ⅰ surgery, complet tumor removal with excision of involved dural and bone (7 cases); Grade Ⅱ surgery, complet tumor removal with agressively cauterization of dural and/or bone (13 cases); Grade Ⅲ surgery, complet tumor removal but no satisfactory attempt to deal with involved dural or bone (7 cases); Grade Ⅳsurgery, tumor residual (7 cases). 13 cases were recurrent. Conclusion The prognosis of intracranial hemangiopericytomas is dismal. The recurrent rates of HPC are very high. Microneurosurgery and adjuvant radiotherapy are main treatment. It is very important that counterchecking at regular intervals.
, http://www.100md.com
【Key words】 Hemangiopericytoma; Neurosurgery
血管外膜细胞瘤是一种少见的软组织肿瘤,可发生于人体任何部位,但多见于躯干、腹膜后和下肢,中枢神经系统少见;国内报道较少。我院于1996~1999年收治32例,均经手术和病理证实为颅内血管外膜细胞瘤。
对象与方法
1.对象:我院收治住院的颅内血管外膜细胞瘤32例,男21例,女11例,年龄5~67岁,平均41.5岁,15岁以下5例。病程10 d~6年,其中3个月以内者14例。
2.临床表现:主要表现为颅内压增高症状及肿瘤压迫破坏所致的局灶体征。其中头痛、呕吐23例,双侧眼底水肿20例,一侧肢体力弱10例,视力减退6例,癫痫 4例,共济障碍3例,一侧三叉神经功能障碍3例。
, http://www.100md.com
3.治疗方法: 32例均行手术治疗,其中13例因肿瘤复发行2次手术。术中见肿瘤与硬脑膜关系密切,多邻近静脉窦,肿瘤边界清楚有包膜,多为实质性,有的可见坏死、出血,供血十分丰富,肿瘤最大直径4~12 cm不等,平均6.7 cm。术中尽量切除受侵硬脑膜及颅骨,侵入静脉窦内的肿瘤力争切除。
结果
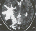
1.影象诊断:32例均行CT和 MRI检查,病变边界较清晰,呈不规则分叶状,不均匀明显强化,瘤周水肿多较明显(图1,2)。脑血管造影9例,其中3例呈血管畸形样表现(图3)。肿瘤部位:额顶部10例,顶枕部6例,小脑幕 6例,中颅凹底4例,额颞部3例,鞍区2例,岩骨尖1例。术前误诊为脑膜瘤22例,胶质瘤4例,转移瘤1例。
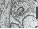
2.病理诊断: 颅内血管外膜细胞瘤多为单发,大体标本肿瘤呈分叶状,表面有丛状血管,瘤内可见大小不等血管腔或血窦,常伴有出血、灶性坏死或囊变。光镜下肿瘤细胞围绕毛细血管壁高度增生,呈旋涡状或放射状排列,细胞大小一致,多角形,胞浆中等,胞质淡染呈空泡状,胞核圆形或卵圆形,核膜明显,染色质多,可见核分裂相,细胞界限不清,细胞间有丰富网状纤维;瘤内血管丰富,毛细血管管径大多小于25 μm,血管壁菲薄,甚至由单层扁平血管内皮细胞构成血管腔,有的可扩张成血窦,相互吻合似“鹿茸”状(图4,5)。通常,分化好者瘤细胞间网状纤维丰富,间变者瘤细胞多,核分裂活跃,坏死、出血及囊变多见,但二者间无明确的组织分界。有时普通病理染色难以与脑膜瘤鉴别,电镜检查和免疫组织化学才可作出诊断。电镜下可见瘤细胞膜外侧有一层清晰的基板,胞浆内细胞器简单,核仁明显,但细胞间无桥粒和缝隙连接,这不同于脑膜瘤(图6)。
, 百拇医药
3.手术结果:32例共行45次手术,参照Simpson脑膜瘤切除程度分级,第1次手术结果分 别为,Ⅰ级全切肿瘤及其受侵硬脑膜、颅骨 7例;Ⅱ级全切肿瘤,充分烧灼受侵硬脑膜或颅骨,并处理受侵静脉窦13例;Ⅲ级全切肿瘤,未处理受侵硬膜和颅骨7例;Ⅳ级肿瘤残留5例;无手术死亡。Ⅱ级以上切除者均接受放射治疗。
4.随访结果:第1次手术后以门诊复查和通信的方式随访到21例 ;随访时间 3个月~ 4年,发现肿瘤复发13例。手术结果分别为Ⅰ级2例,Ⅱ级5例,Ⅲ级3例,Ⅳ级3例,未发现有转移者。
讨论
神经生物学研究证实,颅内血管外膜细胞瘤与脑膜瘤不同源,1993年WHO制定的中枢神经系统肿瘤分类法将其从脑膜瘤中划分出来[1]。组织学检查认为,颅内血管外膜细胞瘤的瘤细胞来源于毛细血管外膜,但目前尚无一致资料来解释其瘤细胞是来自脑膜的杯状细胞还是血管外膜,现在仍将其看作一种组织发生不明的肿瘤[2,3]。
, 百拇医药
颅内血管外膜细胞瘤约占脑膜肿瘤的2%,其临床表现与脑膜瘤相似[4]。主要为颅内压增高症状及肿瘤压迫所致的局灶体征,由于肿瘤好发于幕上静脉窦旁,生长迅速,瘤体多较大。患者头痛、呕吐、眼底水肿多较明显,且进展快,病程短。本组病例中肿瘤直径的最小值为4 cm,平均病程不足12个月,而脑膜瘤的平均病程约2.5年。在流行病学方面,颅内血管外膜细胞瘤与脑膜瘤有明显区别。可发生于任何年龄,从新生儿到80岁均有报道,但以成年人多见,儿童较少见。好发于男性,男女之比为2∶1,这与脑膜瘤恰好相反。
图1 T2WI示病灶呈混杂信号,有大的血管流空影,瘤周水肿明显
图2 MRI增强扫描示病灶位于右枕部,边界清晰,边缘不规则,呈不均匀明显强化
, 百拇医药
图3 血管造影示肿瘤血供丰富,瘤内血管排列紊乱,似血管畸形样
图4 瘤内血管丰富,瘤细胞围绕血管呈旋涡状或放射状排列,血管可扩张成血窦,血管壁变薄,为单层扁平内皮细胞 HE×200
图5 瘤细胞大小一致,多角型,胞浆中等,胞质淡染,染色质多,可见核分裂相 HE×400
图6 瘤细胞膜外侧有一层清晰的基板,胞浆内细胞器简单,核仁明显,未见桥粒和缝隙连接 EM×1 000
术前CT和 MRI扫描对颅内血管外膜细胞瘤和脑膜瘤难以作出明确鉴别,但脑血管造影在这一方面却有较大意义[4,5]。CT平扫肿瘤呈略高密度,边界多较清晰,呈不规则分叶状,瘤内低密度的囊性变或坏死多见,肿瘤附近骨质一般无反应性增生,且可发生局限性溶骨破坏,病灶内部钙化少见,这不同于一般脑膜瘤[5]。血管外膜细胞瘤的 MRI信号变化很复杂,T1WI上病灶呈等或低等混杂信号;T2WI上呈等或略低信号,且随回波时间延长信号有衰减,但也可表现为高信号,瘤周水肿多较明显,常见血管流空影,呈不均匀明显强化(图1,2)。血管造影可见肿瘤染色明显,瘤内血管为不规则排列,不同于脑膜瘤血管均匀排列,有的呈血管畸形样表现(图3)。
, 百拇医药
颅内血管外膜细胞瘤的临床诊断比较困难,尤其与血管型和非典型脑膜瘤难以鉴别,临床表现和影象学检查只能提示颅内血管外膜细胞瘤的可能,不能肯定诊断,有时普通病理染色亦难以确诊,依据电镜和免疫组织化学技术可明确诊断。
颅内血管外膜细胞瘤的治疗主要是手术切除[6,7]。由于肿瘤血运异常丰富,术中出血多较凶猛,有时不得以而残留肿瘤。因此,减少和控制术中大出血是手术成功与否的关键,这在儿童尤为重要。为减少术中出血,术前可先行肿瘤供应血管栓塞术或颈外动脉结扎术。我们认为,对位于脑表面的中、小肿瘤要力争完整切除,较大和位置深在的肿瘤尽量先阻断供应血管,然后再分块切除。受肿瘤侵蚀的硬脑膜和颅骨应一并切除,静脉窦内侵入的肿瘤也应尽量切除,对不得以残留的肿瘤和侵蚀的硬脑膜要仔细电灼,这样可大大减少或延迟术后肿瘤复发、转移。
颅内血管外膜细胞瘤预后不良,术后复发和转移多见,常发生于术后 5年内。复发和转移与肿瘤的分化程度有关,间变者发生率高,分化好者发生率低。根据Guthrie等[6]的研究,颅内血管外膜细胞瘤第1次复发的平均时间间隔为47个月,颅外转移的平均时间为99个月,平均存活时间为84个月。肿瘤一般分化好的平均存活时间为 144个月,而肿瘤间变者为64个月。转移可发生在颅内和椎管,也可发生于骨骼肌、肺、肝、胰腺、肾脏等中枢神经系统以外的部位[6,8]。Hara等[9]通过免疫学研究发现,P53蛋白在瘤细胞过度表达可用来预测血管外膜细胞瘤的转归。
, 百拇医药
参考文献
1,Kleihues P, Burger PC, Scheithauer BW. The WHO classification of brain tumors. Brain Pathol, 1993, 3:255-268.
2,Joseph JT. NF gene analysis distinguishes hemangiopericytoma from meningioma. AM J Pathol, 1995, 147: 1450-1455.
3,Perry A, Scheithauer BW, Nascimento AG. The immunophenotypic spectrum of meningeal hemangiopericytoma: a comparison with fibrous meningioma and solitary fibrous tumor of meninges. Am J Surg Pathol, 1997,21:1354-1360 .
, 百拇医药
4,Dufour H,Bouillot P, Figarella-Branger D, et al.Meningeal hemangiopericytoma. A retrospective reciew of 20 cases. Neurochirurgie. 1998, 44:5-18.
5,Chiechi-MV,Smirniotopoulos LG,Mena H.Intracranial hemangiopericytoma: MR and CT features. AJNR Am J Neuroradiol. 1996 ,17:1365-1371.
6,Guthrie BL, Ebersold MJ, Scheithauer BW , et al. Meningeal hemangiopericytoma : histopathological features, treatment and long- term follow-up of 44 cases.Neurosurgery. 1989, 25: 514-522.
, http://www.100md.com
7,Galanis E, Buckner JC, Scheithauer BW, et al. Management of recurrent meningeal hemangiopericytoma . Cancer. 1998 , 82: 1915-1920.
8,Nonaka M, Kohmura E, Hirata M, et al. Metastatic meningeal hemangiopericytoma of thoracic spine.Clin Neurol Neurosurg.1998 ,100:228-230.
9,Hara M, Aoyagi M, Nagashima G, et al. Recurrence in meningeal hemangiopericytomas. Surg Neurol.1998,50:586-591.
(收稿日期:1999-08-18), 百拇医药
单位:首都医科大学附属北京天坛医院神经外科 100050
关键词:血管外膜细胞瘤;神经外科手术
中华医学杂志000609 【摘要】 目的 探讨颅内血管外膜细胞瘤的临床特点、病理、治疗及预后。方法 对我院收治的32例颅内血管外膜细胞瘤就其诊断、影像学、病理、治疗、临床特点等进行分析。结果 Ⅰ级,全切肿瘤及其受侵硬脑膜、颅骨7例;Ⅱ级,全切肿瘤,充分烧灼受侵硬脑膜或颅骨,并处理受侵静脉窦13例;Ⅲ级,全切肿瘤,未处理受侵硬脑膜和颅骨7例;Ⅳ级,肿瘤残留5例。复发13例。手术结果分别为Ⅰ级2例,Ⅱ级5例,Ⅲ级3例,Ⅳ级3例。结论 颅内血管外膜细胞瘤预后不良,复发率高,手术辅以放射治疗是主要治疗手段,并强调定期复查的重要性。
Intracranial hemangiopericytoma 32 cases reports
, http://www.100md.com
JIANG Zhongli ZHAO Jizong
(Department of Neurosurgery, Beijing TianTan Hospital, Beijing 100050, China)
【Abstract】 Objective To further elucidate the clinical feature, pathogenesis, treatment and prognosis of intracranial hemangiopericytomas (HPC). Methods Thirty-two cases of HPC treated in our department were analyzed retropectively. Results Grade Ⅰ surgery, complet tumor removal with excision of involved dural and bone (7 cases); Grade Ⅱ surgery, complet tumor removal with agressively cauterization of dural and/or bone (13 cases); Grade Ⅲ surgery, complet tumor removal but no satisfactory attempt to deal with involved dural or bone (7 cases); Grade Ⅳsurgery, tumor residual (7 cases). 13 cases were recurrent. Conclusion The prognosis of intracranial hemangiopericytomas is dismal. The recurrent rates of HPC are very high. Microneurosurgery and adjuvant radiotherapy are main treatment. It is very important that counterchecking at regular intervals.
, http://www.100md.com
【Key words】 Hemangiopericytoma; Neurosurgery
血管外膜细胞瘤是一种少见的软组织肿瘤,可发生于人体任何部位,但多见于躯干、腹膜后和下肢,中枢神经系统少见;国内报道较少。我院于1996~1999年收治32例,均经手术和病理证实为颅内血管外膜细胞瘤。
对象与方法
1.对象:我院收治住院的颅内血管外膜细胞瘤32例,男21例,女11例,年龄5~67岁,平均41.5岁,15岁以下5例。病程10 d~6年,其中3个月以内者14例。
2.临床表现:主要表现为颅内压增高症状及肿瘤压迫破坏所致的局灶体征。其中头痛、呕吐23例,双侧眼底水肿20例,一侧肢体力弱10例,视力减退6例,癫痫 4例,共济障碍3例,一侧三叉神经功能障碍3例。
, http://www.100md.com
3.治疗方法: 32例均行手术治疗,其中13例因肿瘤复发行2次手术。术中见肿瘤与硬脑膜关系密切,多邻近静脉窦,肿瘤边界清楚有包膜,多为实质性,有的可见坏死、出血,供血十分丰富,肿瘤最大直径4~12 cm不等,平均6.7 cm。术中尽量切除受侵硬脑膜及颅骨,侵入静脉窦内的肿瘤力争切除。
结果
1.影象诊断:32例均行CT和 MRI检查,病变边界较清晰,呈不规则分叶状,不均匀明显强化,瘤周水肿多较明显(图1,2)。脑血管造影9例,其中3例呈血管畸形样表现(图3)。肿瘤部位:额顶部10例,顶枕部6例,小脑幕 6例,中颅凹底4例,额颞部3例,鞍区2例,岩骨尖1例。术前误诊为脑膜瘤22例,胶质瘤4例,转移瘤1例。
2.病理诊断: 颅内血管外膜细胞瘤多为单发,大体标本肿瘤呈分叶状,表面有丛状血管,瘤内可见大小不等血管腔或血窦,常伴有出血、灶性坏死或囊变。光镜下肿瘤细胞围绕毛细血管壁高度增生,呈旋涡状或放射状排列,细胞大小一致,多角形,胞浆中等,胞质淡染呈空泡状,胞核圆形或卵圆形,核膜明显,染色质多,可见核分裂相,细胞界限不清,细胞间有丰富网状纤维;瘤内血管丰富,毛细血管管径大多小于25 μm,血管壁菲薄,甚至由单层扁平血管内皮细胞构成血管腔,有的可扩张成血窦,相互吻合似“鹿茸”状(图4,5)。通常,分化好者瘤细胞间网状纤维丰富,间变者瘤细胞多,核分裂活跃,坏死、出血及囊变多见,但二者间无明确的组织分界。有时普通病理染色难以与脑膜瘤鉴别,电镜检查和免疫组织化学才可作出诊断。电镜下可见瘤细胞膜外侧有一层清晰的基板,胞浆内细胞器简单,核仁明显,但细胞间无桥粒和缝隙连接,这不同于脑膜瘤(图6)。
, 百拇医药
3.手术结果:32例共行45次手术,参照Simpson脑膜瘤切除程度分级,第1次手术结果分 别为,Ⅰ级全切肿瘤及其受侵硬脑膜、颅骨 7例;Ⅱ级全切肿瘤,充分烧灼受侵硬脑膜或颅骨,并处理受侵静脉窦13例;Ⅲ级全切肿瘤,未处理受侵硬膜和颅骨7例;Ⅳ级肿瘤残留5例;无手术死亡。Ⅱ级以上切除者均接受放射治疗。
4.随访结果:第1次手术后以门诊复查和通信的方式随访到21例 ;随访时间 3个月~ 4年,发现肿瘤复发13例。手术结果分别为Ⅰ级2例,Ⅱ级5例,Ⅲ级3例,Ⅳ级3例,未发现有转移者。
讨论
神经生物学研究证实,颅内血管外膜细胞瘤与脑膜瘤不同源,1993年WHO制定的中枢神经系统肿瘤分类法将其从脑膜瘤中划分出来[1]。组织学检查认为,颅内血管外膜细胞瘤的瘤细胞来源于毛细血管外膜,但目前尚无一致资料来解释其瘤细胞是来自脑膜的杯状细胞还是血管外膜,现在仍将其看作一种组织发生不明的肿瘤[2,3]。
, 百拇医药
颅内血管外膜细胞瘤约占脑膜肿瘤的2%,其临床表现与脑膜瘤相似[4]。主要为颅内压增高症状及肿瘤压迫所致的局灶体征,由于肿瘤好发于幕上静脉窦旁,生长迅速,瘤体多较大。患者头痛、呕吐、眼底水肿多较明显,且进展快,病程短。本组病例中肿瘤直径的最小值为4 cm,平均病程不足12个月,而脑膜瘤的平均病程约2.5年。在流行病学方面,颅内血管外膜细胞瘤与脑膜瘤有明显区别。可发生于任何年龄,从新生儿到80岁均有报道,但以成年人多见,儿童较少见。好发于男性,男女之比为2∶1,这与脑膜瘤恰好相反。
图1 T2WI示病灶呈混杂信号,有大的血管流空影,瘤周水肿明显
图2 MRI增强扫描示病灶位于右枕部,边界清晰,边缘不规则,呈不均匀明显强化
, 百拇医药
图3 血管造影示肿瘤血供丰富,瘤内血管排列紊乱,似血管畸形样
图4 瘤内血管丰富,瘤细胞围绕血管呈旋涡状或放射状排列,血管可扩张成血窦,血管壁变薄,为单层扁平内皮细胞 HE×200
图5 瘤细胞大小一致,多角型,胞浆中等,胞质淡染,染色质多,可见核分裂相 HE×400
图6 瘤细胞膜外侧有一层清晰的基板,胞浆内细胞器简单,核仁明显,未见桥粒和缝隙连接 EM×1 000
术前CT和 MRI扫描对颅内血管外膜细胞瘤和脑膜瘤难以作出明确鉴别,但脑血管造影在这一方面却有较大意义[4,5]。CT平扫肿瘤呈略高密度,边界多较清晰,呈不规则分叶状,瘤内低密度的囊性变或坏死多见,肿瘤附近骨质一般无反应性增生,且可发生局限性溶骨破坏,病灶内部钙化少见,这不同于一般脑膜瘤[5]。血管外膜细胞瘤的 MRI信号变化很复杂,T1WI上病灶呈等或低等混杂信号;T2WI上呈等或略低信号,且随回波时间延长信号有衰减,但也可表现为高信号,瘤周水肿多较明显,常见血管流空影,呈不均匀明显强化(图1,2)。血管造影可见肿瘤染色明显,瘤内血管为不规则排列,不同于脑膜瘤血管均匀排列,有的呈血管畸形样表现(图3)。
, 百拇医药
颅内血管外膜细胞瘤的临床诊断比较困难,尤其与血管型和非典型脑膜瘤难以鉴别,临床表现和影象学检查只能提示颅内血管外膜细胞瘤的可能,不能肯定诊断,有时普通病理染色亦难以确诊,依据电镜和免疫组织化学技术可明确诊断。
颅内血管外膜细胞瘤的治疗主要是手术切除[6,7]。由于肿瘤血运异常丰富,术中出血多较凶猛,有时不得以而残留肿瘤。因此,减少和控制术中大出血是手术成功与否的关键,这在儿童尤为重要。为减少术中出血,术前可先行肿瘤供应血管栓塞术或颈外动脉结扎术。我们认为,对位于脑表面的中、小肿瘤要力争完整切除,较大和位置深在的肿瘤尽量先阻断供应血管,然后再分块切除。受肿瘤侵蚀的硬脑膜和颅骨应一并切除,静脉窦内侵入的肿瘤也应尽量切除,对不得以残留的肿瘤和侵蚀的硬脑膜要仔细电灼,这样可大大减少或延迟术后肿瘤复发、转移。
颅内血管外膜细胞瘤预后不良,术后复发和转移多见,常发生于术后 5年内。复发和转移与肿瘤的分化程度有关,间变者发生率高,分化好者发生率低。根据Guthrie等[6]的研究,颅内血管外膜细胞瘤第1次复发的平均时间间隔为47个月,颅外转移的平均时间为99个月,平均存活时间为84个月。肿瘤一般分化好的平均存活时间为 144个月,而肿瘤间变者为64个月。转移可发生在颅内和椎管,也可发生于骨骼肌、肺、肝、胰腺、肾脏等中枢神经系统以外的部位[6,8]。Hara等[9]通过免疫学研究发现,P53蛋白在瘤细胞过度表达可用来预测血管外膜细胞瘤的转归。
, 百拇医药
参考文献
1,Kleihues P, Burger PC, Scheithauer BW. The WHO classification of brain tumors. Brain Pathol, 1993, 3:255-268.
2,Joseph JT. NF gene analysis distinguishes hemangiopericytoma from meningioma. AM J Pathol, 1995, 147: 1450-1455.
3,Perry A, Scheithauer BW, Nascimento AG. The immunophenotypic spectrum of meningeal hemangiopericytoma: a comparison with fibrous meningioma and solitary fibrous tumor of meninges. Am J Surg Pathol, 1997,21:1354-1360 .
, 百拇医药
4,Dufour H,Bouillot P, Figarella-Branger D, et al.Meningeal hemangiopericytoma. A retrospective reciew of 20 cases. Neurochirurgie. 1998, 44:5-18.
5,Chiechi-MV,Smirniotopoulos LG,Mena H.Intracranial hemangiopericytoma: MR and CT features. AJNR Am J Neuroradiol. 1996 ,17:1365-1371.
6,Guthrie BL, Ebersold MJ, Scheithauer BW , et al. Meningeal hemangiopericytoma : histopathological features, treatment and long- term follow-up of 44 cases.Neurosurgery. 1989, 25: 514-522.
, http://www.100md.com
7,Galanis E, Buckner JC, Scheithauer BW, et al. Management of recurrent meningeal hemangiopericytoma . Cancer. 1998 , 82: 1915-1920.
8,Nonaka M, Kohmura E, Hirata M, et al. Metastatic meningeal hemangiopericytoma of thoracic spine.Clin Neurol Neurosurg.1998 ,100:228-230.
9,Hara M, Aoyagi M, Nagashima G, et al. Recurrence in meningeal hemangiopericytomas. Surg Neurol.1998,50:586-591.
(收稿日期:1999-08-18), 百拇医药