中药912液对急性肺损伤大鼠干预作用的实验研究
作者:王颖 张淑文 王宝恩
单位:首都医科大学附属北京友谊医院感染内科,北京 100050
关键词:细胞凋亡;肺损伤;急性;中药912液;中医药
中国中西医结合急救杂志000612 摘要:目的:从细胞凋亡角度探讨急性肺损伤(ALI)发病机制及中药912液的干预作用。方法:Wistar大鼠46只,随机分成3组:①模型组(ALI组)30只,静注标准大肠杆菌菌株制成ALI模型,分别于给药后4、8及12小时采集样品(各时间点10只);②假手术组(SO组)8只,静注等量生理盐水,12小时采样;③中药组(912液组)8只,制模半小时后再静注912液,12小时采样。以肺组织病理切片、血气氧分压(PaO2)、肺系数(LI)、肺通透指数(LPI)及肿瘤坏死因子-α(TNF-α)监测模型;以电镜、流式细胞仪术和TUNEL法检测细胞凋亡。结果:ALI组给药后4小时起光镜下可见肺组织肺泡腔狭窄、中性粒细胞渗出等ALI表现,且随时程延长病变加重。PaO2降低,LI、LPI及TNF-α增高,与SO组相比有显著性差异(P均<0.01)。凋亡结果TUNEL染色ALI组部分肺组织细胞呈阳性染色,流式细胞术显示ALI组4、8及12小时凋亡细胞分别为(7.15±1.26)%,(12.39±1.67)%,(6.72±1.11)%,呈先增加后下降趋势,与SO组相比,P均<0.01。912液组对肺功能各项指标均有明显改善,凋亡细胞数增高(24.67±2.85)%,与ALI组相比,有显著性差异(P<0.01)。结论:细胞凋亡在ALI发生机制中起重要作用。在损伤早期,细胞凋亡发生率较低,其作为一种致病机制,通过TNF-α的作用,促进ALI时的炎症反应;在应用912液后ALI修复期,肺功能改善,细胞凋亡作为保护性机制,参与肺组织的重建。
, 百拇医药
中图分类号:R363.2;R285.5 文献标识码:A
文章编号:1008-9691(2000)06-0336-05
The experimental study on the interventional effect of Chinese herb 912 liquor on the rat model with acute lung injury
WANG Ying,ZHANG Shu-wen,WANG Bao-en.
(Infectious Disease Department,Beijing Friendship Hospital,Capital University of Medical Sciences,Beijing 100050)
, http://www.100md.com Abstract:Objective:To build a rat model with acute lung injury (ALI) and from apoptosis angle to explore the pathogenesis of ALI and the interventional effect of Chinese herb 912 liquor.Methods:Forty-six Wistar rats were randomly divided into three groups.(1)ALI group:30 rats were intravenously infused with standard E.coli to establish reproduced the ALI model,and the samples were taken at 4,8 and 12 hours after infusion respectively.(2)Sham operation (SO) group:8 rats were intravenously infused with normal saline in equal volume and the samples were taken at 12 hours.(3)912 group:8 rats were intravenously infused with Chinese herb 912 liquor half an hour after standard E.coli injection and the samples were takes at 12 hours.The parameters of ALI including blood gas,lung index(LI),lung permeability index(LPI),tumor necrosis factor-α(TNF-α) and pulmonary pathology were measured.Apoptosis was detected by transmission electron microscopy,flow cytometry and TdT-mediate dUTP nick end labeling(TUNEL).Results:It was observed that alveolar spaces were narrowed and neutrophils exuded at 4 hours after injection with E.coli.With the time prolongation the injury was deteriorated;PaO2 was decreased,LI,LPI and TNF-α were increased,and in comparison with SO group, the difference was significant(all P<0.01).Results of apoptosis:TUNEL results showed that in ALI group,parts of cells were positive and apoptotic cells were(7.15±1.26)%,(12.39±1.67)%,(6.72±1.11)% at 4,8 and 12 hours detected by flow cytometry respectively.The results at first were increased and then declined,in comparison with SO group,all P<0.01.In 912 group the pulmonary function indexes above-mentioned were improved and apoptotic cells were increased up to(24.67±2.85)%,in comparison with ALI group,P<0.01.Conclusions:Apoptosis plays an important roles in the pathogenesis of ALI.In the early phase of ALI apoptosis is at the low level.Apoptosis,as a pathogenetic mechanism,accelerates the inflammatory responses of ALI modulated by TNF-α.In resolution phase (912 group)the pulmonary function is improved.Apotosis,as a protective factor,take part in the reconstruction of the lung tissue.
, http://www.100md.com
Key words:apoptosis;acute lung injury;Chinese herb 912 liquor;traditional Chinese medicine
本实验以建立大鼠急性肺损伤(ALI)的实验模型为基础,从细胞凋亡的角度探讨中药912液(黄芪、丹参等纯中药制剂)对ALI的干预作用。
1 材料与方法
1.1 材料:Wistar大鼠46只,雌雄各半,体重280~340 g(由本院动物室提供)。随机分为3组:假手术组(SO组)8只,模型组(ALI组)30只,中药组(912液组)8只。
1.2 方 法:
1.2.1 ①ALI组:标准大肠杆菌菌株19×108/kg静注〔该菌为美国国家实验室标准委员会(NCCLS,national country committee of laboratory standard)推荐方法,菌为ACTT 25922标准大肠杆菌6小时培养物〕;②SO组:静注等量生理盐水(2 ml/kg);③912液组(912液由友谊医院制剂室制备,主要成分:黄芪、川芎等6味中药,0.61 kg/L):以标准大肠杆菌19×108/kg尾静脉注射给药后半小时,再次尾静脉注射912液6 ml/kg。ALI组动物分别于给药后4、8、12小时,另2组于给药后12小时以50 g/L异戊巴比妥钠1 mg/kg 腹腔注射麻醉。分离颈动脉,行动脉插管(以备测血气)。分离气管,行气管插管〔以备取支气管肺泡灌洗液(BALF)〕。放血处死动物,心脏取血测定血浆内毒素及肿瘤坏死因子α(TNF-α),按美国Endogen公司的ELISA试剂盒说明操作。迅速取出肺脏,于气管分叉处上1 cm剪断,称重,计算肺系数(LI,肺湿重/体重×100%)。以4 ml生理盐水灌洗左肺,回收BALF大约3 ml,Folin酚法〔1〕测定BALF及血浆蛋白含量,计算肺通透指数(LPI,BALF蛋白含量/血浆蛋白含量)。
, http://www.100md.com
1.2.2 流式细胞术碘化丙啶染色法〔2〕:
1.2.2.1 单细胞混悬液的制备:准确称取肺组织2.5 g,将PBS中浸泡的肺组织剪碎为1 mm3大小的组织块约50块,以0.5%胰酶6 ml(以浸没组织块为宜)消化,37 ℃恒温孵育30分钟,取出后静置3~5分钟,吸出胰酶,以含10%小牛血清的HBSS中和胰酶,反复吹打,细胞液经6层纱布网过滤,所得细胞悬液离心(2 000 r/min)5分钟。以PBS清洗2次,固定于75%乙醇中,4 ℃保存作流式检测用。
1.2.2.2 流式细胞术单染:将肺组织单细胞混悬液用PBS洗3次后,加RNA酶50 mg/L(Rnase,购自Sigma公司),37 ℃下作用30分钟。加碘化丙啶50 mg/L(propidium iodied PI,购自Sigma公司),置黑暗室温中,于24小时内用流式细胞仪(FAC Scalibur流式细胞仪)检测。阴性对照为正常小鼠胸腺细胞,阳性对照为地塞米松处理后小鼠胸腺细胞。
, http://www.100md.com
1.2.3 形态学观察:光镜(HE染色)和透射电镜观察(日本JEM1200EX型电镜)。
1.2.4 原位末端标记法〔3〕(TUNEL,试剂盒购自德国Boechringer Manmhein公司):取一叶肺组织,甲醛固定,石蜡包埋,制成4 μm厚肺组织切片,切片二甲苯常规脱蜡,梯度乙醇脱水,TrisHCL缓冲液(0.1 mol/L,pH 7.4)洗1次,5分钟。蛋白酶K(10 mg/L)室温消化25分钟。TrisHCL缓冲液洗2次,每次5分钟。0.3% H2O2去除内源性过氧化物酶,室温30分钟(暗处)。TrisHCL缓冲液洗2次,每次5分钟。在冰上滴加TdT酶及dUTP组织的反应液,于湿盒中4 ℃过夜。TrisHCL缓冲液洗3次,每次5分钟,滴加ConverterPOD,37 ℃恒温孵育30分钟。TrisHCL缓冲液洗3次,每次5分钟。DAB显色,显微镜下观察显色程度,终止显色反应。苏木素复染,盐酸乙醇分化,中性树胶封片。以睾丸癌组织切片为阳性对照,不加TdT者为阴性对照,凋亡细胞核呈棕黄色染色为阳性。光镜下观察。
, http://www.100md.com
1.3 统计学方法:原始数据输入IBMPC机,用SPSS统计分析软件进行统计学处理,数据以均值±标准差(
±s)表示。组内差异比较用单因素方差分析,两组间比较用t检验,P<0.05为差异显著。
2 结 果
2.1 ALI大鼠模型的建立:
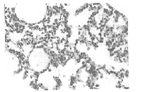
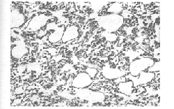
2.1.1 注射标准大肠杆菌菌株后,肺组织病理结果显示:给药后4小时光镜下可见肺泡腔狭窄,肺泡壁毛细血管扩张,肺泡腔内可见少数脱落上皮细胞及中性粒细胞渗出。随时间延长,肺泡腔狭窄逐渐增多,肺泡壁增厚明显。至给药后12小时,可见肺泡间隔增宽,粉染水肿状,肺泡腔内大量脱落上皮细胞和中性粒细胞浸润(见图1~3)。
2.1.2 氧分压(PaO2)、LI、LPI和TNFα见表1。
, 百拇医药
2.2 ALI组细胞凋亡检测结果:
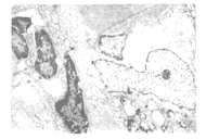
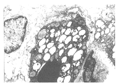
2.2.1 透射电镜显示ALI组肺泡腔狭窄、巨噬细胞活跃,上皮细胞增生,中性粒细胞浸润(见图4)。
2.2.2 TUNEL法结果显示ALI组4小时即可见部分细胞呈阳性染色,8小时阳性细胞明显增多,阳性细胞染成棕黄色,阴性细胞复染成蓝色(见图5)。
2.2.3 流式细胞术结果见表2及图6。
2.3 中药912液的干预作用:
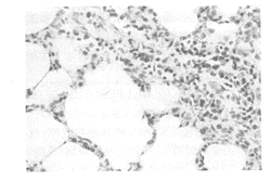
2.3.1 肺组织病理学变化:在注入大肠杆菌及912液后12小时,光镜下可见个别肺内小支气管及少数间质小血管周围少量小圆形细胞浸润,部分肺泡壁毛细血管轻度扩张充盈,肺泡腔内可见几个脱落上皮细胞(见图7)。
表1 ALI组与SO组PaO2、LI、LPI和TNFα变化(
±s) 组别
, 百拇医药
PaO2 (kPa)
LI(%)
LPI(×10-2)
TNFα(ng/L)
ALI组 4小时
11.62±1.10##
1.14±0.016##
2.26±0.26##
62.75± 8.69##
8小时
, 百拇医药
9.89±1.02##
1.30±0.018##
3.88±0.40##
260.42±13.26##
12小时
9.08±2.19##
1.57±0.021##
6.16±0.92##
742.70±30.03##
, 百拇医药
SO组
14.51±3.46
1.01±0.031
1.75±0.09
21.02± 1.26
注:ALI组各参数4、8、12小时比较:P<0.05;与SO组比较:##P<0.01;1 kPa=7.5 mmHg
图1 ALI组大鼠4小时肺组织病理(HE×200)
, 百拇医药
图2 ALI组大鼠8小时肺组织病理(HE×100)
图3 ALI组大鼠12小时肺组织病理(HE×100)
图4 ALI组大鼠肺组织电镜(TEM×3 000)
图5 ALI组大鼠肺组织细胞凋亡变化(TUNEL×200)
表2 ALI组与SO组凋亡细胞数比较(
±s) 组别
, 百拇医药 凋亡细胞数(%)
ALI组 4小时
7.15±1.26##
8小时
12.39±1.67##
12小时
6.72±1.11##
SO组
1.02±1.01
注:ALI组各时间点间比较:P<0.01;与SO组比较:##P<0.01
, http://www.100md.com
主峰代表二倍体细胞,位于“50”处,主峰前为凋亡细胞峰
图6 ALI组大鼠4、8、12小时及912液组肺组织流式
2.3.2 PaO2、LI、LPI和TNF变化见表3。
表3 SO组、ALI组12小时及912液组PaO2、LI、LPI和TNFα比较(
±s) 组别
PaO2(kPa)
LI(%)
LPI(×10-2)
TNFα(ng/L)
, http://www.100md.com
SO组
14.51±3.460
1.01±0.031
1.75±0.09
21.02± 1.26
ALI组12小时
9.08±2.190##
1.57±0.021##
6.16±0.92##
742.70±30.03##
, http://www.100md.com
912液组
11.09±0.547**
1.06±0.037**
2.26±0.23**
76.50± 1.82**
注:与SO组比较:##P<0.01;与ALI组比较:**P<0.01
图7 912液组大鼠肺组织病理(HE×100)
2.3.3 细胞凋亡检测结果:
, 百拇医药
2.3.3.1 透射电镜显示该组肺泡结构基本正常,上皮细胞完整,Ⅱ型上皮细胞内板层小体增加,肺泡Ⅱ型上皮细胞、中性粒细胞等多种细胞表现为核固缩、褪变(见图8)。
图8 912液组大鼠肺组织电镜(TEM×4 000)
2.3.3.2 TUNEL法结果显示该组阳性细胞明显增多,高于ALI组(见图9)。
图9 912液组大鼠12小时肺组织病理(TUNEL×200)
2.3.3.3 流式细胞术结果见表4及图6。
表4 SO组、ALI组12小时及912液组凋亡细胞数比较(
±s) 组别
, 百拇医药
凋亡细胞数(%)
SO组
1.02±1.01
ALI组12小时
6.72±1.11##
912液组
24.67±2.85**
注:与SO组比较:##P<0.01;与ALI组比较:**P<0.01
3 讨 论
3.1 传统观念认为,急性损伤常引起组织坏死,自从1972年Kerr等〔4〕提出细胞凋亡的概念后,细胞凋亡已被证实在许多生物过程中起着重要的调节作用,包括炎症反应〔5〕。有实验显示,内毒素、烧伤、缺血与再灌注损伤及脑外伤等均可导致相关脏器的细胞凋亡〔6,7〕。本研究即是从细胞凋亡的角度来探讨ALI的发生机制。
, 百拇医药
本研究采用电镜、TUNEL染色及流式细胞术作为观察凋亡发生的客观指标。镜下见到凋亡细胞染色质浓缩,图5的阳性结果证实了凋亡的存在。采用流式细胞术碘化丙啶染色,结果表明,凋亡细胞中DNA对数种荧光染料的着色度下降,表明细胞已发生凋亡。制备肺组织单细胞混悬液通过流式细胞仪碘化丙啶染色来计数凋亡发生,结果发现:ALI后4小时肺组织细胞凋亡已显著高于正常对照组,随损伤程度加重呈先增加后减少趋势。其可能机制为:在注入标准大肠杆菌后4小时大鼠出现内毒素血症。已有研究表明〔8〕,内毒素是诱发炎症介质TNFα、白介素(IL1)、IL6、IL8释放及建立级联反应,引发复杂病理过程的重要机制之一。而TNFα又是介导细胞凋亡的重要介质。有实验显示TNFα诱导内毒素所致肝损伤大鼠早期肝细胞发生凋亡〔9〕。TNFα可促进肺损伤早期肺泡巨噬细胞〔10〕、上皮细胞〔11〕和内皮细胞〔12〕等多种细胞凋亡,细胞凋亡反过来又促进ALI时的炎症反应〔13〕。本实验ALI组TNFα明显高于正常对照组,而4、8小时定量检测细胞凋亡数也随TNFα的增高而相应增长。ALI早期细胞凋亡在ALI中的作用可能有以下几个方面:①肺泡壁肺泡上皮细胞和血管内皮细胞的凋亡直接导致通透性增高,引起ALI;②气管旁淋巴组织内淋巴细胞凋亡导致局部抵抗力下降,易致感染发生;③巨噬细胞增生,大量中性粒细胞浸润并凋亡,一方面巨噬细胞激活后细胞因子释放增多,另一方面巨噬细胞于创伤后吞噬能力下降,大量凋亡的中性粒细胞可能因得不到及时的吞噬清除而最终破裂放出毒性内容物,进一步损害肺泡壁〔14〕。
, http://www.100md.com
本实验结果还提示,ALI后12小时TNFα含量继续增高,但肺组织细胞凋亡数下降,考虑其机制可能与肺损伤晚期病变严重有关。一方面,中性粒细胞凋亡减少即增加了存活的中性粒细胞的数量,从而延长了中性粒细胞肺泡炎。另一方面研究证实,在ALI的修复期,肺泡Ⅱ型细胞是以凋亡的方式参与其结构重建〔15〕。而在损伤晚期,肺泡Ⅱ型细胞凋亡减少,使其不能参与到肺组织损伤后的修复过程中,从而进一步促进ALI发展。
3.2 中药912液对ALI的干预作用:近年来不少研究证实,祖国传统医学中的活血化淤中药(如丹参、川芎等)大都具有改善微循环、抗血栓形成等作用。我科近20年来应用活血化瘀中药于临床感染性多脏器衰渴的治疗,90年代初组方912液用于临床,取得明显的疗效。给予中药912液干预后,大鼠血浆内毒素水平明显下降,阴转率47%,同时血浆TNFα、LI及LPI水平明显低于ALI组。血气PaO2明显高于模型组,肺形态学检查也表明应用912液后对大鼠ALI有明显的改善。其作用机制可能为:①降低血浆内毒素水平;②912液可使血浆TNF、IL6等细胞因子的水平降低;③912液升高由内毒素、TNF协同所致兔急性呼吸窘迫综合征(ARDS)模型的抗凝血酶Ⅲ(ATⅢ)活性〔16〕和组织型纤溶酶原激活物(tPA)活性,降低纤溶酶原激活物抑制剂1(PAI1)水平〔17〕,从而显示抗凝及促纤溶作用,对感染性ALI有明显的防治效果。
, http://www.100md.com
本研究通过电镜、TUNEL法及流式细胞仪碘化丙啶染色观察,结果均显示:给予中药912液干预后,ALI修复期肺组织细胞凋亡明显增高,包括肺泡上皮细胞、内皮细胞、中性粒细胞等。已有研究证实,在ALI的发生中,细胞凋亡主要是作为保护机制参与肺损伤后的修复,从而限制ALI〔10〕。在ALI溶解期,即修复开始、重建肺脏正常组织结构时,肺泡Ⅱ型细胞构成减少。其机制推测为增殖结束继发性降低刺激性生长因子的水平和(或)使抑制性细胞激酶水平升高,后者例如未完全增殖的成纤维细胞或炎症细胞释放转移因子β〔18〕。
本实验显示以中药912液后即ALI修复期时,肺组织细胞凋亡增多,这一结果使我们推测,中药912液可能是通过促进肺组织细胞凋亡,来实现对ALI后肺组织的修复。中药912液对肺组织细胞凋亡的影响,可能是通过作用于气肺交界面上的肽类来调节。其机制有待于进一步研究。
基金项目:北京市中医药管理局科研基金资助项目(No.A类165)
, http://www.100md.com
作者简介:王颖(1972-),女(汉族),北京市人,硕士研究生,医师。
参考文献:
[1]Lowry O H,Rosebrough N J,Farr L,et al.Protein measurement with folin phenol reagent.J Biol Chem, 1951,193:265.
[2]Darzynkiewicz Z,Juan G,Li X,et al.Cytometryin cell necrobiology:analysis of apoptosis and accidental cell death(necrosis).Cytometry,1997,27:55-56.
[3]彭黎明.六种细胞凋亡检测方法的比较.中华病理学杂志,1999,28(1):55-56.
, 百拇医药
[4]Kerr J F R,Wyllie H,Currie A R.Apoptosis basic biological phenomenon with wide range implications in tissue kinetics.Br J Cancer,1972,26:239-257.
[5]Liles W C,Klebanoff S J.Regulation of apoptosis in neutrophilFas track to death? J Immunol,1995,155:3289-3291.
[6]Bohlinger I,Leist M,Gantner F,et al.DNA fragmentation in mouse organs during endotoxic shock.Am J Pathol,1996,149:1381-1393.
[7]邓恭华,王殿华,皮业庆,等.烧伤对胸腺细胞凋亡的影响.湖南医科大学学报,1996,21(2):95-99.
, http://www.100md.com
[8]邱海波,潘家琦,赵永强,等.内毒素诱导器官损伤中炎症性细胞因子的表达及药物治疗的探讨.中华医学杂志,1996,76(4):254-257.
[9]Marcel L,Florian G,Ines B,et al.Tumor necrosis factorinduced hepatocyte apoptosis preceeds liver failure in experimental murine shock models.Am J Path,1995,146:12-20.
[10]Ortiz L A,Moroz K,Liu J Y,et al.Alveolar macrophage apoptosis and TNFalpha,but not p53,expression correlate with murine response to bleomycin.Am J Pathol,1998,275(6):1208-1218.
, 百拇医药
[11]Bermudez L E,Parker A,Petrofsky M.Apoptosis of mycobacterium avium-infected macrophage is mediated by both tumor necrosis factor (TNF) and Fas,and involves the activation of caspases.Clin Exp Immunol,1999,116(1):94-99.
[12]Hagimoto N,Kuwano K,Kawasaki M,et al.Induction of interleukin-8 secretion and apoptosis in bronchiolar epithelial cells by fas ligation.Am J Respir Cell Mol Biol,1999,21(3):436-445.
[13]Bernard R,Roger M,Walter F,et al.Tumor necrosis factor induces apoptosis (programmed cell death) in normal endothelial cells in vitro.Am J Pathol,1991,138(2):447-453.
, http://www.100md.com
[14]官健,金大地,金丽娟.多发伤合并休克大鼠肺脏中细胞凋亡的实验研究.中国危重病急救医学,1998,10(10):479-483.
[15]Ricardo H,Susu X,Robert F.Apoptosis is a major pathway responsible for the resolution of type Ⅱ pneumocytes in acute lung injury.Am J Pathol,1996,149(3):845-852.
[16]饶逊怀,王宝恩,张淑文.重症感染并发播散性血管内凝血的临床特点与早期诊断治疗.中国危重病急救医学,1993,5(6):341-344.
[17]饶逊怀,王宝恩,张淑文.中药912液对凝血与纤溶的影响以及对实验性ARDS的防治效果.友谊医刊,1994,16(4):51-55.
[18]Ryan R M,Mineo-Kuhn M M,Kramer C M,et al.Growth factors alter neonatal type Ⅱalveolar epitheliar cell proliferation.Am J Physiol,1994,266:L17-L22.
(收稿日期:2000-08-23 修回日期:2000-11-06), 百拇医药
单位:首都医科大学附属北京友谊医院感染内科,北京 100050
关键词:细胞凋亡;肺损伤;急性;中药912液;中医药
中国中西医结合急救杂志000612 摘要:目的:从细胞凋亡角度探讨急性肺损伤(ALI)发病机制及中药912液的干预作用。方法:Wistar大鼠46只,随机分成3组:①模型组(ALI组)30只,静注标准大肠杆菌菌株制成ALI模型,分别于给药后4、8及12小时采集样品(各时间点10只);②假手术组(SO组)8只,静注等量生理盐水,12小时采样;③中药组(912液组)8只,制模半小时后再静注912液,12小时采样。以肺组织病理切片、血气氧分压(PaO2)、肺系数(LI)、肺通透指数(LPI)及肿瘤坏死因子-α(TNF-α)监测模型;以电镜、流式细胞仪术和TUNEL法检测细胞凋亡。结果:ALI组给药后4小时起光镜下可见肺组织肺泡腔狭窄、中性粒细胞渗出等ALI表现,且随时程延长病变加重。PaO2降低,LI、LPI及TNF-α增高,与SO组相比有显著性差异(P均<0.01)。凋亡结果TUNEL染色ALI组部分肺组织细胞呈阳性染色,流式细胞术显示ALI组4、8及12小时凋亡细胞分别为(7.15±1.26)%,(12.39±1.67)%,(6.72±1.11)%,呈先增加后下降趋势,与SO组相比,P均<0.01。912液组对肺功能各项指标均有明显改善,凋亡细胞数增高(24.67±2.85)%,与ALI组相比,有显著性差异(P<0.01)。结论:细胞凋亡在ALI发生机制中起重要作用。在损伤早期,细胞凋亡发生率较低,其作为一种致病机制,通过TNF-α的作用,促进ALI时的炎症反应;在应用912液后ALI修复期,肺功能改善,细胞凋亡作为保护性机制,参与肺组织的重建。
, 百拇医药
中图分类号:R363.2;R285.5 文献标识码:A
文章编号:1008-9691(2000)06-0336-05
The experimental study on the interventional effect of Chinese herb 912 liquor on the rat model with acute lung injury
WANG Ying,ZHANG Shu-wen,WANG Bao-en.
(Infectious Disease Department,Beijing Friendship Hospital,Capital University of Medical Sciences,Beijing 100050)
, http://www.100md.com Abstract:Objective:To build a rat model with acute lung injury (ALI) and from apoptosis angle to explore the pathogenesis of ALI and the interventional effect of Chinese herb 912 liquor.Methods:Forty-six Wistar rats were randomly divided into three groups.(1)ALI group:30 rats were intravenously infused with standard E.coli to establish reproduced the ALI model,and the samples were taken at 4,8 and 12 hours after infusion respectively.(2)Sham operation (SO) group:8 rats were intravenously infused with normal saline in equal volume and the samples were taken at 12 hours.(3)912 group:8 rats were intravenously infused with Chinese herb 912 liquor half an hour after standard E.coli injection and the samples were takes at 12 hours.The parameters of ALI including blood gas,lung index(LI),lung permeability index(LPI),tumor necrosis factor-α(TNF-α) and pulmonary pathology were measured.Apoptosis was detected by transmission electron microscopy,flow cytometry and TdT-mediate dUTP nick end labeling(TUNEL).Results:It was observed that alveolar spaces were narrowed and neutrophils exuded at 4 hours after injection with E.coli.With the time prolongation the injury was deteriorated;PaO2 was decreased,LI,LPI and TNF-α were increased,and in comparison with SO group, the difference was significant(all P<0.01).Results of apoptosis:TUNEL results showed that in ALI group,parts of cells were positive and apoptotic cells were(7.15±1.26)%,(12.39±1.67)%,(6.72±1.11)% at 4,8 and 12 hours detected by flow cytometry respectively.The results at first were increased and then declined,in comparison with SO group,all P<0.01.In 912 group the pulmonary function indexes above-mentioned were improved and apoptotic cells were increased up to(24.67±2.85)%,in comparison with ALI group,P<0.01.Conclusions:Apoptosis plays an important roles in the pathogenesis of ALI.In the early phase of ALI apoptosis is at the low level.Apoptosis,as a pathogenetic mechanism,accelerates the inflammatory responses of ALI modulated by TNF-α.In resolution phase (912 group)the pulmonary function is improved.Apotosis,as a protective factor,take part in the reconstruction of the lung tissue.
, http://www.100md.com
Key words:apoptosis;acute lung injury;Chinese herb 912 liquor;traditional Chinese medicine
本实验以建立大鼠急性肺损伤(ALI)的实验模型为基础,从细胞凋亡的角度探讨中药912液(黄芪、丹参等纯中药制剂)对ALI的干预作用。
1 材料与方法
1.1 材料:Wistar大鼠46只,雌雄各半,体重280~340 g(由本院动物室提供)。随机分为3组:假手术组(SO组)8只,模型组(ALI组)30只,中药组(912液组)8只。
1.2 方 法:
1.2.1 ①ALI组:标准大肠杆菌菌株19×108/kg静注〔该菌为美国国家实验室标准委员会(NCCLS,national country committee of laboratory standard)推荐方法,菌为ACTT 25922标准大肠杆菌6小时培养物〕;②SO组:静注等量生理盐水(2 ml/kg);③912液组(912液由友谊医院制剂室制备,主要成分:黄芪、川芎等6味中药,0.61 kg/L):以标准大肠杆菌19×108/kg尾静脉注射给药后半小时,再次尾静脉注射912液6 ml/kg。ALI组动物分别于给药后4、8、12小时,另2组于给药后12小时以50 g/L异戊巴比妥钠1 mg/kg 腹腔注射麻醉。分离颈动脉,行动脉插管(以备测血气)。分离气管,行气管插管〔以备取支气管肺泡灌洗液(BALF)〕。放血处死动物,心脏取血测定血浆内毒素及肿瘤坏死因子α(TNF-α),按美国Endogen公司的ELISA试剂盒说明操作。迅速取出肺脏,于气管分叉处上1 cm剪断,称重,计算肺系数(LI,肺湿重/体重×100%)。以4 ml生理盐水灌洗左肺,回收BALF大约3 ml,Folin酚法〔1〕测定BALF及血浆蛋白含量,计算肺通透指数(LPI,BALF蛋白含量/血浆蛋白含量)。
, http://www.100md.com
1.2.2 流式细胞术碘化丙啶染色法〔2〕:
1.2.2.1 单细胞混悬液的制备:准确称取肺组织2.5 g,将PBS中浸泡的肺组织剪碎为1 mm3大小的组织块约50块,以0.5%胰酶6 ml(以浸没组织块为宜)消化,37 ℃恒温孵育30分钟,取出后静置3~5分钟,吸出胰酶,以含10%小牛血清的HBSS中和胰酶,反复吹打,细胞液经6层纱布网过滤,所得细胞悬液离心(2 000 r/min)5分钟。以PBS清洗2次,固定于75%乙醇中,4 ℃保存作流式检测用。
1.2.2.2 流式细胞术单染:将肺组织单细胞混悬液用PBS洗3次后,加RNA酶50 mg/L(Rnase,购自Sigma公司),37 ℃下作用30分钟。加碘化丙啶50 mg/L(propidium iodied PI,购自Sigma公司),置黑暗室温中,于24小时内用流式细胞仪(FAC Scalibur流式细胞仪)检测。阴性对照为正常小鼠胸腺细胞,阳性对照为地塞米松处理后小鼠胸腺细胞。
, http://www.100md.com
1.2.3 形态学观察:光镜(HE染色)和透射电镜观察(日本JEM1200EX型电镜)。
1.2.4 原位末端标记法〔3〕(TUNEL,试剂盒购自德国Boechringer Manmhein公司):取一叶肺组织,甲醛固定,石蜡包埋,制成4 μm厚肺组织切片,切片二甲苯常规脱蜡,梯度乙醇脱水,TrisHCL缓冲液(0.1 mol/L,pH 7.4)洗1次,5分钟。蛋白酶K(10 mg/L)室温消化25分钟。TrisHCL缓冲液洗2次,每次5分钟。0.3% H2O2去除内源性过氧化物酶,室温30分钟(暗处)。TrisHCL缓冲液洗2次,每次5分钟。在冰上滴加TdT酶及dUTP组织的反应液,于湿盒中4 ℃过夜。TrisHCL缓冲液洗3次,每次5分钟,滴加ConverterPOD,37 ℃恒温孵育30分钟。TrisHCL缓冲液洗3次,每次5分钟。DAB显色,显微镜下观察显色程度,终止显色反应。苏木素复染,盐酸乙醇分化,中性树胶封片。以睾丸癌组织切片为阳性对照,不加TdT者为阴性对照,凋亡细胞核呈棕黄色染色为阳性。光镜下观察。
, http://www.100md.com
1.3 统计学方法:原始数据输入IBMPC机,用SPSS统计分析软件进行统计学处理,数据以均值±标准差(
2 结 果
2.1 ALI大鼠模型的建立:
2.1.1 注射标准大肠杆菌菌株后,肺组织病理结果显示:给药后4小时光镜下可见肺泡腔狭窄,肺泡壁毛细血管扩张,肺泡腔内可见少数脱落上皮细胞及中性粒细胞渗出。随时间延长,肺泡腔狭窄逐渐增多,肺泡壁增厚明显。至给药后12小时,可见肺泡间隔增宽,粉染水肿状,肺泡腔内大量脱落上皮细胞和中性粒细胞浸润(见图1~3)。
2.1.2 氧分压(PaO2)、LI、LPI和TNFα见表1。
, 百拇医药
2.2 ALI组细胞凋亡检测结果:
2.2.1 透射电镜显示ALI组肺泡腔狭窄、巨噬细胞活跃,上皮细胞增生,中性粒细胞浸润(见图4)。
2.2.2 TUNEL法结果显示ALI组4小时即可见部分细胞呈阳性染色,8小时阳性细胞明显增多,阳性细胞染成棕黄色,阴性细胞复染成蓝色(见图5)。
2.2.3 流式细胞术结果见表2及图6。
2.3 中药912液的干预作用:
2.3.1 肺组织病理学变化:在注入大肠杆菌及912液后12小时,光镜下可见个别肺内小支气管及少数间质小血管周围少量小圆形细胞浸润,部分肺泡壁毛细血管轻度扩张充盈,肺泡腔内可见几个脱落上皮细胞(见图7)。
表1 ALI组与SO组PaO2、LI、LPI和TNFα变化(
, 百拇医药
PaO2 (kPa)
LI(%)
LPI(×10-2)
TNFα(ng/L)
ALI组 4小时
11.62±1.10##
1.14±0.016##
2.26±0.26##
62.75± 8.69##
8小时
, 百拇医药
9.89±1.02##
1.30±0.018##
3.88±0.40##
260.42±13.26##
12小时
9.08±2.19##
1.57±0.021##
6.16±0.92##
742.70±30.03##
, 百拇医药
SO组
14.51±3.46
1.01±0.031
1.75±0.09
21.02± 1.26
注:ALI组各参数4、8、12小时比较:P<0.05;与SO组比较:##P<0.01;1 kPa=7.5 mmHg
图1 ALI组大鼠4小时肺组织病理(HE×200)
, 百拇医药
图2 ALI组大鼠8小时肺组织病理(HE×100)
图3 ALI组大鼠12小时肺组织病理(HE×100)
图4 ALI组大鼠肺组织电镜(TEM×3 000)
图5 ALI组大鼠肺组织细胞凋亡变化(TUNEL×200)
表2 ALI组与SO组凋亡细胞数比较(
, 百拇医药 凋亡细胞数(%)
ALI组 4小时
7.15±1.26##
8小时
12.39±1.67##
12小时
6.72±1.11##
SO组
1.02±1.01
注:ALI组各时间点间比较:P<0.01;与SO组比较:##P<0.01
, http://www.100md.com
主峰代表二倍体细胞,位于“50”处,主峰前为凋亡细胞峰
图6 ALI组大鼠4、8、12小时及912液组肺组织流式
2.3.2 PaO2、LI、LPI和TNF变化见表3。
表3 SO组、ALI组12小时及912液组PaO2、LI、LPI和TNFα比较(
PaO2(kPa)
LI(%)
LPI(×10-2)
TNFα(ng/L)
, http://www.100md.com
SO组
14.51±3.460
1.01±0.031
1.75±0.09
21.02± 1.26
ALI组12小时
9.08±2.190##
1.57±0.021##
6.16±0.92##
742.70±30.03##
, http://www.100md.com
912液组
11.09±0.547**
1.06±0.037**
2.26±0.23**
76.50± 1.82**
注:与SO组比较:##P<0.01;与ALI组比较:**P<0.01
图7 912液组大鼠肺组织病理(HE×100)
2.3.3 细胞凋亡检测结果:
, 百拇医药
2.3.3.1 透射电镜显示该组肺泡结构基本正常,上皮细胞完整,Ⅱ型上皮细胞内板层小体增加,肺泡Ⅱ型上皮细胞、中性粒细胞等多种细胞表现为核固缩、褪变(见图8)。
图8 912液组大鼠肺组织电镜(TEM×4 000)
2.3.3.2 TUNEL法结果显示该组阳性细胞明显增多,高于ALI组(见图9)。
图9 912液组大鼠12小时肺组织病理(TUNEL×200)
2.3.3.3 流式细胞术结果见表4及图6。
表4 SO组、ALI组12小时及912液组凋亡细胞数比较(
, 百拇医药
凋亡细胞数(%)
SO组
1.02±1.01
ALI组12小时
6.72±1.11##
912液组
24.67±2.85**
注:与SO组比较:##P<0.01;与ALI组比较:**P<0.01
3 讨 论
3.1 传统观念认为,急性损伤常引起组织坏死,自从1972年Kerr等〔4〕提出细胞凋亡的概念后,细胞凋亡已被证实在许多生物过程中起着重要的调节作用,包括炎症反应〔5〕。有实验显示,内毒素、烧伤、缺血与再灌注损伤及脑外伤等均可导致相关脏器的细胞凋亡〔6,7〕。本研究即是从细胞凋亡的角度来探讨ALI的发生机制。
, 百拇医药
本研究采用电镜、TUNEL染色及流式细胞术作为观察凋亡发生的客观指标。镜下见到凋亡细胞染色质浓缩,图5的阳性结果证实了凋亡的存在。采用流式细胞术碘化丙啶染色,结果表明,凋亡细胞中DNA对数种荧光染料的着色度下降,表明细胞已发生凋亡。制备肺组织单细胞混悬液通过流式细胞仪碘化丙啶染色来计数凋亡发生,结果发现:ALI后4小时肺组织细胞凋亡已显著高于正常对照组,随损伤程度加重呈先增加后减少趋势。其可能机制为:在注入标准大肠杆菌后4小时大鼠出现内毒素血症。已有研究表明〔8〕,内毒素是诱发炎症介质TNFα、白介素(IL1)、IL6、IL8释放及建立级联反应,引发复杂病理过程的重要机制之一。而TNFα又是介导细胞凋亡的重要介质。有实验显示TNFα诱导内毒素所致肝损伤大鼠早期肝细胞发生凋亡〔9〕。TNFα可促进肺损伤早期肺泡巨噬细胞〔10〕、上皮细胞〔11〕和内皮细胞〔12〕等多种细胞凋亡,细胞凋亡反过来又促进ALI时的炎症反应〔13〕。本实验ALI组TNFα明显高于正常对照组,而4、8小时定量检测细胞凋亡数也随TNFα的增高而相应增长。ALI早期细胞凋亡在ALI中的作用可能有以下几个方面:①肺泡壁肺泡上皮细胞和血管内皮细胞的凋亡直接导致通透性增高,引起ALI;②气管旁淋巴组织内淋巴细胞凋亡导致局部抵抗力下降,易致感染发生;③巨噬细胞增生,大量中性粒细胞浸润并凋亡,一方面巨噬细胞激活后细胞因子释放增多,另一方面巨噬细胞于创伤后吞噬能力下降,大量凋亡的中性粒细胞可能因得不到及时的吞噬清除而最终破裂放出毒性内容物,进一步损害肺泡壁〔14〕。
, http://www.100md.com
本实验结果还提示,ALI后12小时TNFα含量继续增高,但肺组织细胞凋亡数下降,考虑其机制可能与肺损伤晚期病变严重有关。一方面,中性粒细胞凋亡减少即增加了存活的中性粒细胞的数量,从而延长了中性粒细胞肺泡炎。另一方面研究证实,在ALI的修复期,肺泡Ⅱ型细胞是以凋亡的方式参与其结构重建〔15〕。而在损伤晚期,肺泡Ⅱ型细胞凋亡减少,使其不能参与到肺组织损伤后的修复过程中,从而进一步促进ALI发展。
3.2 中药912液对ALI的干预作用:近年来不少研究证实,祖国传统医学中的活血化淤中药(如丹参、川芎等)大都具有改善微循环、抗血栓形成等作用。我科近20年来应用活血化瘀中药于临床感染性多脏器衰渴的治疗,90年代初组方912液用于临床,取得明显的疗效。给予中药912液干预后,大鼠血浆内毒素水平明显下降,阴转率47%,同时血浆TNFα、LI及LPI水平明显低于ALI组。血气PaO2明显高于模型组,肺形态学检查也表明应用912液后对大鼠ALI有明显的改善。其作用机制可能为:①降低血浆内毒素水平;②912液可使血浆TNF、IL6等细胞因子的水平降低;③912液升高由内毒素、TNF协同所致兔急性呼吸窘迫综合征(ARDS)模型的抗凝血酶Ⅲ(ATⅢ)活性〔16〕和组织型纤溶酶原激活物(tPA)活性,降低纤溶酶原激活物抑制剂1(PAI1)水平〔17〕,从而显示抗凝及促纤溶作用,对感染性ALI有明显的防治效果。
, http://www.100md.com
本研究通过电镜、TUNEL法及流式细胞仪碘化丙啶染色观察,结果均显示:给予中药912液干预后,ALI修复期肺组织细胞凋亡明显增高,包括肺泡上皮细胞、内皮细胞、中性粒细胞等。已有研究证实,在ALI的发生中,细胞凋亡主要是作为保护机制参与肺损伤后的修复,从而限制ALI〔10〕。在ALI溶解期,即修复开始、重建肺脏正常组织结构时,肺泡Ⅱ型细胞构成减少。其机制推测为增殖结束继发性降低刺激性生长因子的水平和(或)使抑制性细胞激酶水平升高,后者例如未完全增殖的成纤维细胞或炎症细胞释放转移因子β〔18〕。
本实验显示以中药912液后即ALI修复期时,肺组织细胞凋亡增多,这一结果使我们推测,中药912液可能是通过促进肺组织细胞凋亡,来实现对ALI后肺组织的修复。中药912液对肺组织细胞凋亡的影响,可能是通过作用于气肺交界面上的肽类来调节。其机制有待于进一步研究。
基金项目:北京市中医药管理局科研基金资助项目(No.A类165)
, http://www.100md.com
作者简介:王颖(1972-),女(汉族),北京市人,硕士研究生,医师。
参考文献:
[1]Lowry O H,Rosebrough N J,Farr L,et al.Protein measurement with folin phenol reagent.J Biol Chem, 1951,193:265.
[2]Darzynkiewicz Z,Juan G,Li X,et al.Cytometryin cell necrobiology:analysis of apoptosis and accidental cell death(necrosis).Cytometry,1997,27:55-56.
[3]彭黎明.六种细胞凋亡检测方法的比较.中华病理学杂志,1999,28(1):55-56.
, 百拇医药
[4]Kerr J F R,Wyllie H,Currie A R.Apoptosis basic biological phenomenon with wide range implications in tissue kinetics.Br J Cancer,1972,26:239-257.
[5]Liles W C,Klebanoff S J.Regulation of apoptosis in neutrophilFas track to death? J Immunol,1995,155:3289-3291.
[6]Bohlinger I,Leist M,Gantner F,et al.DNA fragmentation in mouse organs during endotoxic shock.Am J Pathol,1996,149:1381-1393.
[7]邓恭华,王殿华,皮业庆,等.烧伤对胸腺细胞凋亡的影响.湖南医科大学学报,1996,21(2):95-99.
, http://www.100md.com
[8]邱海波,潘家琦,赵永强,等.内毒素诱导器官损伤中炎症性细胞因子的表达及药物治疗的探讨.中华医学杂志,1996,76(4):254-257.
[9]Marcel L,Florian G,Ines B,et al.Tumor necrosis factorinduced hepatocyte apoptosis preceeds liver failure in experimental murine shock models.Am J Path,1995,146:12-20.
[10]Ortiz L A,Moroz K,Liu J Y,et al.Alveolar macrophage apoptosis and TNFalpha,but not p53,expression correlate with murine response to bleomycin.Am J Pathol,1998,275(6):1208-1218.
, 百拇医药
[11]Bermudez L E,Parker A,Petrofsky M.Apoptosis of mycobacterium avium-infected macrophage is mediated by both tumor necrosis factor (TNF) and Fas,and involves the activation of caspases.Clin Exp Immunol,1999,116(1):94-99.
[12]Hagimoto N,Kuwano K,Kawasaki M,et al.Induction of interleukin-8 secretion and apoptosis in bronchiolar epithelial cells by fas ligation.Am J Respir Cell Mol Biol,1999,21(3):436-445.
[13]Bernard R,Roger M,Walter F,et al.Tumor necrosis factor induces apoptosis (programmed cell death) in normal endothelial cells in vitro.Am J Pathol,1991,138(2):447-453.
, http://www.100md.com
[14]官健,金大地,金丽娟.多发伤合并休克大鼠肺脏中细胞凋亡的实验研究.中国危重病急救医学,1998,10(10):479-483.
[15]Ricardo H,Susu X,Robert F.Apoptosis is a major pathway responsible for the resolution of type Ⅱ pneumocytes in acute lung injury.Am J Pathol,1996,149(3):845-852.
[16]饶逊怀,王宝恩,张淑文.重症感染并发播散性血管内凝血的临床特点与早期诊断治疗.中国危重病急救医学,1993,5(6):341-344.
[17]饶逊怀,王宝恩,张淑文.中药912液对凝血与纤溶的影响以及对实验性ARDS的防治效果.友谊医刊,1994,16(4):51-55.
[18]Ryan R M,Mineo-Kuhn M M,Kramer C M,et al.Growth factors alter neonatal type Ⅱalveolar epitheliar cell proliferation.Am J Physiol,1994,266:L17-L22.
(收稿日期:2000-08-23 修回日期:2000-11-06), 百拇医药