同种异体甲状旁腺移植的动物实验研究
作者:武林枫 宋一民 宋纯 赵松 徐成国 巴磊
单位:武林枫 宋一民 宋纯 赵松(哈尔滨医科大学第一临床医学院普外科,150001);徐成国(黑龙江省明水县第二医院);巴磊(双鸭山矿务局四方台矿医院外科)
关键词:甲状旁腺;移植;微囊化
中国急救医学000605 [摘 要] 目的 本实验旨在研究永久性甲状旁腺功能低下不用免疫抑制剂的甲状旁腺同种异体移植。方法 将实验受体鼠分成四组,每组7只,两组裸细胞植入肾包囊,两组微囊化植入胸锁乳突肌。其中各一组加Caspase抑制剂。移植后隔两周测血钙及甲状旁腺素(PTH)。结果 裸细胞组8周内血钙及PTH均降至移植前水平,而微囊化组在12周后仍保持较高水平。结论 不用免疫抑制剂情况下,微囊化甲状旁腺移植可保证移植甲状旁腺组织长期存活并有功能,可进一步用于临床。
[中图分类号] R 617 [文献标识码] A
, 百拇医药
[文章编号] 1002-1949(2000)06-0330-03
Study of allotransplantation of parathyroids in rats
WU Lin-feng, SONG Yi-min, SONG Chun
(The First Hospital of Harbin Medical University, Harbin 150001,China)
[Abstract] Objective Treating long-term hypoparathy roidism demand transplantation of parathyroid.This experiment aim at studying allotransplantation of parathyroid tissue without immunosuppression.Methods The receptice rats were divided into four groups,7 in one group.Two graups were naked cells,and were transplanted into renal capsule;while two groups were microencapsulated and were trans planted into sternocleidomastoid muscle.The caspase inhibitor was added in one naked cell group and one microencapsulated group.After transplantation,serum calcium and PTH-N were measured enery 2 weeks.Results The serum calcium and PTH concentration of the groups of naked cells had decreased almost to pretransplant levels.By contrast that of the other groups were significantly higher even afrer 12 weeks.Conclusions Without immunosuppressive drugs,transplants of microencapsulated parathyroid can enable long-term survival and function of allotrnsplanted parathyroid,and this will be used in clinical applications.
, 百拇医药
[Key words] Parathyroid; Transplantation; Microencapsulated▲
在甲状腺次全切除和全切除时可能造成永久性甲状旁腺功能低下。由于甲状旁腺激素在代谢中的复杂作用,持续的甲状旁腺功能低下较其他内分泌功能低下更难处置。严重的甲状旁腺功能低下只有通过甲状腺移植才能解决[1],而组织移植的主要障碍就是免疫排斥反应。曾试用许多方法来克服免疫排斥,如移植前异体组织培养,应用胚胎甲状旁腺组织,应用免疫抑制剂,选择最佳受体位置,微囊化技术等。本研究旨在探讨在不用免疫抑制剂情况下的甲状旁腺移植。
1 材料与方法
1.1 动物实验
选取雌性Wistar鼠,重约150~230 g,做为供体及受体。以1%戊巴比妥钠,按35 mg/kg腹腔内注射麻醉。在无菌条件下手术。取颈正中切口,钝性分离颈前肌,显露甲状腺,可见甲状腺外上方有一对比甲状腺颜色浅,约2 mm大小的甲状旁腺,用显微外科剪刀予以切除,局部缝扎止血。术后鼠进水及正常饮食。术后两周测血清钙及甲状旁腺素(PTH)确定受体。移植后每两周测血清钙及PTH。采血通过后腿浅静脉收集。血清钙<1.9 mmol/L及PTH<200 ng/L确定为去甲状旁腺鼠。受体鼠共28只,分为四组,每组7只,第1组为游离甲状旁腺(PT)细胞组,第2组为游离PT细胞加凋亡抑制剂组,第3组为微囊化PT组织块组,第4组为微囊化PT组织块加凋亡抑制剂组。
, http://www.100md.com
1.2 移植甲状旁腺的处置
每4只供体的PT(共8个)对一个受体鼠。PT通过上述外科手术切取后,游离甲状旁腺组在4℃ RPMI 1640溶液中剪碎,加入0.25%胰蛋白酶消化约10分钟,5分钟摇动一次,用15%胎牛血清终止消化。以1 000 r/min离心8分钟弃上清,用台盼蓝排除法估计存活率为92%。以2.5×106细胞/ml培养液的密度接种于培养液中(RPMI 1640+15%牛血清+青链霉素10 000 μg/L)在37℃,95%空气/5% CO2培养箱中培养3~5天。第2组每个培养瓶中(8个甲状旁腺)另加Caspase-1抑制剂(凋亡抑制剂Clontech 1nc.USA.)0.036 mmol/L。微囊化组PT在显微镜下切成1 mm3小块,以4℃ RPMI 1640冲洗后,离心收集,加入2%藻酸钠溶剂,均匀包裹后置于10 mmol/L氯化钡中固化7分钟,以RPMI 1640冲洗3次,并置于上述培养液中于培养箱中培养3~5天。第4组中每瓶中加入Caspase-1抑制剂0.036 mmol/L。
, 百拇医药
移植时间和部位:抑制剂受体鼠在切除甲状旁腺2~3周间采血测血清钙及PTH达到前述标准后确定为去甲状旁腺鼠,并于第3周时移植。第1、2组移植于左侧肾包囊,第3、4组移植于右侧胸锁乳突肌内。都在前述麻醉(25 mg/kg)下无菌条件下进行。第2、4组移植前收获时在RPMI 1640中加入Caspase-1抑制剂0.036 mmol/L/每瓶。PTH测定采用放免分析法测定(PTH-N)。组织学检查在移植后3个半月杀鼠取标本行电镜检查。
2 结果
为延长生存期并维持接近正常状况,去甲状旁腺鼠给予正常饮食。术前鼠血钙为2.61±0.02 mmol/L(n=33),PTH为522±14.7 ng/L(n=34)。术后2~3周血钙<1.9 mmol/L及PTH<200 ng/L为受体鼠。移植后各组血钙及PTH测定值见图1、2。
, http://www.100md.com
图1 各组血清钙测定值
图2 各组PTH测定值
移植后两周游离组血钙及PTH明显高于术前,但于术后第4周逐渐下降,于第6周几乎降至移植前水平,于第8周全部降至移植前水平。第2周时第1组血钙2.2±0.02 mmol/L,与第2组2.3±0.03 mmol/L(n=7)并无明显差别(P>0.05),PTH与血钙类似。第4、6周亦无明显差别。第3、4组血钙及PTH从术前1.7±0.14 mmol/L及1.7±0.13 mmol/L和154±27.5 ng/L及156±24.5 ng/L,至术后两周2.1±0.02 mmol/L及2.4±0.02 mmol/L和352±32 ng/L及360±27 ng/L(n=7),均较移植前差异显著(P<0.01)。而且至12周均保持较高水平(血钙>2.1 mmol/L,PTH>340 ng/L)。第3组有1只鼠于第4周降至术前水平,第4组有2只鼠分别于第4周、第12周降至术前水平,但两组间无显著差别。很明显微囊化延长了移植甲状旁腺的存活时间(见附表)。
, 百拇医药
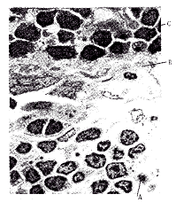
组织学检查发现于第12周肾包囊内未见甲状旁腺游离细胞。而微囊化组微囊被纤维组织包裹,并有新生血管。血钙及PTH高于术前者,其电镜检查可见甲状旁腺组织,但其分泌颗粒减少,有凋亡小体,呈退化性改变,但微囊仍较完整。血钙PTH低于正常者其包囊内可见多个单核细胞,表示宿主白细胞进入微囊内,并排斥异体PT。如图3、4。
附表 血清钙高于2.1 mmol/L和
PTH>300 ng/L各组鼠数 组
移植前
移植后(周)
2
4
6
8
, http://www.100md.com
10
12
1
0/7
6/7
4/7
1/7
0/7
0/7
0/7
2
0/7
7/7
, http://www.100md.com 5/7
2/7
0/7
0/7
0/7
3
0/7
7/7
6/7
6/7
6/7
6/7
6/7
, 百拇医药 4
0/7
7/7
6/7
6/7
6/7
6/7
6/7
图3 A:凋亡小体 B:微囊间纤维组织 C:甲状旁腺细胞
图4 a.吞噬细胞 b.甲状旁腺细胞
, 百拇医药
3 讨论
永久PT功能低下的低钙血症是甲状腺和PT手术后严重,有时是致命的并发症。据报导在甲状腺次全切除术后,其发生率在0.2%~1.9%,而全切除术后在0.4%~13.8%[2,3]。由于PTH复杂的代谢功能,PT功能低下的症状和相关疾病很难通过口服Vit.D及钙剂来控制。临床应用异体PT移植期望能克服持久的PTH低下。为减少移植物的免疫源性,以往曾试用移植T淋巴细胞,通过长期组织培养降低免疫表达,但仅揭示见于一个最长22周的短暂表达[4]。在本研究中,采用肾包囊内细胞移植与微囊化移植做比较,并在培养及移植前加入细胞凋亡抑制剂(Caspace-1 inhibitor)在取供体PT,分离细胞或组织块,培养移植过程中,移植物经历了缺血、乏氧等损伤,易导致PT的凋亡。在细胞凋亡过程中,一系列蛋白酶被激活[5],特别是Caspase家族。现至少明确有10个Caspase基因,而一定的Caspase可激活其他Caspase。尽管每个Caspase功能尚不明确,它们可能以一种蛋白溶解级联方式被激活,就象凝血过程中的蛋白溶解级联[6]。Caspase激活后内核蛋白酶被激活,其将DNA裂解成片。细胞凋亡终成不可逆,本研究在第2、4组分别加入Caspase-1 inhibitor,意在减少取PT,培养、移植过程中细胞凋亡,虽然1组与2组,3组与4组间并无明显差别,但较以往报导[7]移植后存活时间长。这与Caspase抑制剂有关。第1、2组第4、6周仍有移植物存活亦较Xiao Wen Su[7]报导腹腔内游离细胞注射长,还与我们移植入肾包囊有关。肾包囊为相对免疫豁免区,有助于移植物免受排斥。很显然,微囊化在3、4组起到了免疫保护作用,其允许PTH及PT所需营养物质的进出,而受体的免疫球蛋白和细胞则不能进入。3、4组中有3例微囊被排斥,从组织学上也证实了受体白细胞进入微囊,其原因尚不清楚。可能是微囊包囊不完全,也可能是其他原因,尚须进一步研究。本研究中受体Ca++和PTH并未达到正常值,与移植PT较少有关,因在移植培养过程中必然有移植物的损伤与丢失。尽管还不知道藻酸钠能持续多长时间,但应用组织培养和微囊化可保证异体PT移植在不用免疫抑制剂情况下存活并有完整功能。1997年Hasse C[8],进行了2例临床微囊化甲状旁腺移植,取得了满意效果,证明了微囊化技术在临床上的可行性。在此基础上还可进行异种移植,其他移植部位的实验,并最终用于临床。
, 百拇医药
[参考文献]
[1]Aebischer P,Russell PC,Christensen L, et al.A bioartificial parathyroid[J].Trans Am SOC Artif lntern Organs,1986,32:134.
[2]Falks RE,Birken EA,Baran DT.Temporary postthyroidectomy hypocalcemia[J]. Arch Otolaryngol Head Neck Surg,1988,114:168.
[3]Reeve TS,Delbridge L,Cohen A,et al.Total thyroidectomy:the preferred option for multionodular goitres[J].Ann Surg,1987,206:782.
, http://www.100md.com
[4]Hasse C,Stinner B,Wagner PK,et al.Experimentelle allotransplantation von rattennebenschilddrusen:Nachweisder langzeitfunkrion ohne immunsuppresion[J].Langenbecks Arch Chir,1991,69:74.
[5]Patel T,Gores GJ,Kaufmann SH.The role of proteases during apoptosis[J].FASEB J,1996,10:587-597.
[6]Villa P,Kaufmann SH,Earshow WC.Caspase and Caspase inhibitors[J].TIBS,1997,22:388-393.
[7]Xiao Wen Fu,Anthony M Sun.Microencapsulated parat-hyroid cells a bioartificial parathyroid[J].Transplantation,1989,47:432-435.
[8]Hasse C,Klock G,Schlosser A,et al.Parathyroid allotransplatation without immunosuppression[J].Lancet,1997,350(1):1296-1297.
[收稿:1999-05-10,修回:1999-11-27], http://www.100md.com
单位:武林枫 宋一民 宋纯 赵松(哈尔滨医科大学第一临床医学院普外科,150001);徐成国(黑龙江省明水县第二医院);巴磊(双鸭山矿务局四方台矿医院外科)
关键词:甲状旁腺;移植;微囊化
中国急救医学000605 [摘 要] 目的 本实验旨在研究永久性甲状旁腺功能低下不用免疫抑制剂的甲状旁腺同种异体移植。方法 将实验受体鼠分成四组,每组7只,两组裸细胞植入肾包囊,两组微囊化植入胸锁乳突肌。其中各一组加Caspase抑制剂。移植后隔两周测血钙及甲状旁腺素(PTH)。结果 裸细胞组8周内血钙及PTH均降至移植前水平,而微囊化组在12周后仍保持较高水平。结论 不用免疫抑制剂情况下,微囊化甲状旁腺移植可保证移植甲状旁腺组织长期存活并有功能,可进一步用于临床。
[中图分类号] R 617 [文献标识码] A
, 百拇医药
[文章编号] 1002-1949(2000)06-0330-03
Study of allotransplantation of parathyroids in rats
WU Lin-feng, SONG Yi-min, SONG Chun
(The First Hospital of Harbin Medical University, Harbin 150001,China)
[Abstract] Objective Treating long-term hypoparathy roidism demand transplantation of parathyroid.This experiment aim at studying allotransplantation of parathyroid tissue without immunosuppression.Methods The receptice rats were divided into four groups,7 in one group.Two graups were naked cells,and were transplanted into renal capsule;while two groups were microencapsulated and were trans planted into sternocleidomastoid muscle.The caspase inhibitor was added in one naked cell group and one microencapsulated group.After transplantation,serum calcium and PTH-N were measured enery 2 weeks.Results The serum calcium and PTH concentration of the groups of naked cells had decreased almost to pretransplant levels.By contrast that of the other groups were significantly higher even afrer 12 weeks.Conclusions Without immunosuppressive drugs,transplants of microencapsulated parathyroid can enable long-term survival and function of allotrnsplanted parathyroid,and this will be used in clinical applications.
, 百拇医药
[Key words] Parathyroid; Transplantation; Microencapsulated▲
在甲状腺次全切除和全切除时可能造成永久性甲状旁腺功能低下。由于甲状旁腺激素在代谢中的复杂作用,持续的甲状旁腺功能低下较其他内分泌功能低下更难处置。严重的甲状旁腺功能低下只有通过甲状腺移植才能解决[1],而组织移植的主要障碍就是免疫排斥反应。曾试用许多方法来克服免疫排斥,如移植前异体组织培养,应用胚胎甲状旁腺组织,应用免疫抑制剂,选择最佳受体位置,微囊化技术等。本研究旨在探讨在不用免疫抑制剂情况下的甲状旁腺移植。
1 材料与方法
1.1 动物实验
选取雌性Wistar鼠,重约150~230 g,做为供体及受体。以1%戊巴比妥钠,按35 mg/kg腹腔内注射麻醉。在无菌条件下手术。取颈正中切口,钝性分离颈前肌,显露甲状腺,可见甲状腺外上方有一对比甲状腺颜色浅,约2 mm大小的甲状旁腺,用显微外科剪刀予以切除,局部缝扎止血。术后鼠进水及正常饮食。术后两周测血清钙及甲状旁腺素(PTH)确定受体。移植后每两周测血清钙及PTH。采血通过后腿浅静脉收集。血清钙<1.9 mmol/L及PTH<200 ng/L确定为去甲状旁腺鼠。受体鼠共28只,分为四组,每组7只,第1组为游离甲状旁腺(PT)细胞组,第2组为游离PT细胞加凋亡抑制剂组,第3组为微囊化PT组织块组,第4组为微囊化PT组织块加凋亡抑制剂组。
, http://www.100md.com
1.2 移植甲状旁腺的处置
每4只供体的PT(共8个)对一个受体鼠。PT通过上述外科手术切取后,游离甲状旁腺组在4℃ RPMI 1640溶液中剪碎,加入0.25%胰蛋白酶消化约10分钟,5分钟摇动一次,用15%胎牛血清终止消化。以1 000 r/min离心8分钟弃上清,用台盼蓝排除法估计存活率为92%。以2.5×106细胞/ml培养液的密度接种于培养液中(RPMI 1640+15%牛血清+青链霉素10 000 μg/L)在37℃,95%空气/5% CO2培养箱中培养3~5天。第2组每个培养瓶中(8个甲状旁腺)另加Caspase-1抑制剂(凋亡抑制剂Clontech 1nc.USA.)0.036 mmol/L。微囊化组PT在显微镜下切成1 mm3小块,以4℃ RPMI 1640冲洗后,离心收集,加入2%藻酸钠溶剂,均匀包裹后置于10 mmol/L氯化钡中固化7分钟,以RPMI 1640冲洗3次,并置于上述培养液中于培养箱中培养3~5天。第4组中每瓶中加入Caspase-1抑制剂0.036 mmol/L。
, 百拇医药
移植时间和部位:抑制剂受体鼠在切除甲状旁腺2~3周间采血测血清钙及PTH达到前述标准后确定为去甲状旁腺鼠,并于第3周时移植。第1、2组移植于左侧肾包囊,第3、4组移植于右侧胸锁乳突肌内。都在前述麻醉(25 mg/kg)下无菌条件下进行。第2、4组移植前收获时在RPMI 1640中加入Caspase-1抑制剂0.036 mmol/L/每瓶。PTH测定采用放免分析法测定(PTH-N)。组织学检查在移植后3个半月杀鼠取标本行电镜检查。
2 结果
为延长生存期并维持接近正常状况,去甲状旁腺鼠给予正常饮食。术前鼠血钙为2.61±0.02 mmol/L(n=33),PTH为522±14.7 ng/L(n=34)。术后2~3周血钙<1.9 mmol/L及PTH<200 ng/L为受体鼠。移植后各组血钙及PTH测定值见图1、2。
, http://www.100md.com
图1 各组血清钙测定值
图2 各组PTH测定值
移植后两周游离组血钙及PTH明显高于术前,但于术后第4周逐渐下降,于第6周几乎降至移植前水平,于第8周全部降至移植前水平。第2周时第1组血钙2.2±0.02 mmol/L,与第2组2.3±0.03 mmol/L(n=7)并无明显差别(P>0.05),PTH与血钙类似。第4、6周亦无明显差别。第3、4组血钙及PTH从术前1.7±0.14 mmol/L及1.7±0.13 mmol/L和154±27.5 ng/L及156±24.5 ng/L,至术后两周2.1±0.02 mmol/L及2.4±0.02 mmol/L和352±32 ng/L及360±27 ng/L(n=7),均较移植前差异显著(P<0.01)。而且至12周均保持较高水平(血钙>2.1 mmol/L,PTH>340 ng/L)。第3组有1只鼠于第4周降至术前水平,第4组有2只鼠分别于第4周、第12周降至术前水平,但两组间无显著差别。很明显微囊化延长了移植甲状旁腺的存活时间(见附表)。
, 百拇医药
组织学检查发现于第12周肾包囊内未见甲状旁腺游离细胞。而微囊化组微囊被纤维组织包裹,并有新生血管。血钙及PTH高于术前者,其电镜检查可见甲状旁腺组织,但其分泌颗粒减少,有凋亡小体,呈退化性改变,但微囊仍较完整。血钙PTH低于正常者其包囊内可见多个单核细胞,表示宿主白细胞进入微囊内,并排斥异体PT。如图3、4。
附表 血清钙高于2.1 mmol/L和
PTH>300 ng/L各组鼠数 组
移植前
移植后(周)
2
4
6
8
, http://www.100md.com
10
12
1
0/7
6/7
4/7
1/7
0/7
0/7
0/7
2
0/7
7/7
, http://www.100md.com 5/7
2/7
0/7
0/7
0/7
3
0/7
7/7
6/7
6/7
6/7
6/7
6/7
, 百拇医药 4
0/7
7/7
6/7
6/7
6/7
6/7
6/7
图3 A:凋亡小体 B:微囊间纤维组织 C:甲状旁腺细胞
图4 a.吞噬细胞 b.甲状旁腺细胞
, 百拇医药
3 讨论
永久PT功能低下的低钙血症是甲状腺和PT手术后严重,有时是致命的并发症。据报导在甲状腺次全切除术后,其发生率在0.2%~1.9%,而全切除术后在0.4%~13.8%[2,3]。由于PTH复杂的代谢功能,PT功能低下的症状和相关疾病很难通过口服Vit.D及钙剂来控制。临床应用异体PT移植期望能克服持久的PTH低下。为减少移植物的免疫源性,以往曾试用移植T淋巴细胞,通过长期组织培养降低免疫表达,但仅揭示见于一个最长22周的短暂表达[4]。在本研究中,采用肾包囊内细胞移植与微囊化移植做比较,并在培养及移植前加入细胞凋亡抑制剂(Caspace-1 inhibitor)在取供体PT,分离细胞或组织块,培养移植过程中,移植物经历了缺血、乏氧等损伤,易导致PT的凋亡。在细胞凋亡过程中,一系列蛋白酶被激活[5],特别是Caspase家族。现至少明确有10个Caspase基因,而一定的Caspase可激活其他Caspase。尽管每个Caspase功能尚不明确,它们可能以一种蛋白溶解级联方式被激活,就象凝血过程中的蛋白溶解级联[6]。Caspase激活后内核蛋白酶被激活,其将DNA裂解成片。细胞凋亡终成不可逆,本研究在第2、4组分别加入Caspase-1 inhibitor,意在减少取PT,培养、移植过程中细胞凋亡,虽然1组与2组,3组与4组间并无明显差别,但较以往报导[7]移植后存活时间长。这与Caspase抑制剂有关。第1、2组第4、6周仍有移植物存活亦较Xiao Wen Su[7]报导腹腔内游离细胞注射长,还与我们移植入肾包囊有关。肾包囊为相对免疫豁免区,有助于移植物免受排斥。很显然,微囊化在3、4组起到了免疫保护作用,其允许PTH及PT所需营养物质的进出,而受体的免疫球蛋白和细胞则不能进入。3、4组中有3例微囊被排斥,从组织学上也证实了受体白细胞进入微囊,其原因尚不清楚。可能是微囊包囊不完全,也可能是其他原因,尚须进一步研究。本研究中受体Ca++和PTH并未达到正常值,与移植PT较少有关,因在移植培养过程中必然有移植物的损伤与丢失。尽管还不知道藻酸钠能持续多长时间,但应用组织培养和微囊化可保证异体PT移植在不用免疫抑制剂情况下存活并有完整功能。1997年Hasse C[8],进行了2例临床微囊化甲状旁腺移植,取得了满意效果,证明了微囊化技术在临床上的可行性。在此基础上还可进行异种移植,其他移植部位的实验,并最终用于临床。
, 百拇医药
[参考文献]
[1]Aebischer P,Russell PC,Christensen L, et al.A bioartificial parathyroid[J].Trans Am SOC Artif lntern Organs,1986,32:134.
[2]Falks RE,Birken EA,Baran DT.Temporary postthyroidectomy hypocalcemia[J]. Arch Otolaryngol Head Neck Surg,1988,114:168.
[3]Reeve TS,Delbridge L,Cohen A,et al.Total thyroidectomy:the preferred option for multionodular goitres[J].Ann Surg,1987,206:782.
, http://www.100md.com
[4]Hasse C,Stinner B,Wagner PK,et al.Experimentelle allotransplantation von rattennebenschilddrusen:Nachweisder langzeitfunkrion ohne immunsuppresion[J].Langenbecks Arch Chir,1991,69:74.
[5]Patel T,Gores GJ,Kaufmann SH.The role of proteases during apoptosis[J].FASEB J,1996,10:587-597.
[6]Villa P,Kaufmann SH,Earshow WC.Caspase and Caspase inhibitors[J].TIBS,1997,22:388-393.
[7]Xiao Wen Fu,Anthony M Sun.Microencapsulated parat-hyroid cells a bioartificial parathyroid[J].Transplantation,1989,47:432-435.
[8]Hasse C,Klock G,Schlosser A,et al.Parathyroid allotransplatation without immunosuppression[J].Lancet,1997,350(1):1296-1297.
[收稿:1999-05-10,修回:1999-11-27], http://www.100md.com