大剂量甲基强的松龙对大鼠局灶性缺血再灌注脑损伤的影响
作者:周丽宏 王嗣欣 王芳芳 高燕军 米艳娟 何秋 李绍英
单位:周丽宏 王嗣欣 王芳芳 高燕军 米艳娟(承德医学院附属医院神经内科 067000);何秋(辽宁省人民医院神经内科);李绍英(中国医科大学第一临床学院神经内科)
关键词:甲基强的松龙;脑缺血;脑水肿;巨噬细胞
临床神经病学杂志000604 【摘要】 目的 探讨大剂量甲基强的松龙(MP)对局灶性缺血再灌注大鼠脑保护作用的机理。方法 采用大鼠局灶性脑缺血再灌注模型,观察缺血前后应用大剂量MP对大鼠大脑中动脉闭塞侧梗死体积的影响以及脑含水量的变化,同时观察脑组织病理学改变。结果 缺血前后MP治疗组大脑中动脉供血区脑梗死体积较盐水对照组明显减小(均P<0.01);缺血前后MP治疗组与盐水对照组脑含水量比较无明显差别(均P>0.05)。病理学发现盐水对照组脑组织血管周围可见巨噬细胞浸润,而MP治疗组无此病理改变。结论 大剂量MP可改善缺血性脑损伤,其机理与减小缺血区梗死体积、抑制脑组织巨噬细胞浸润有关。
, 百拇医药
The effects of large dose methylprednisolone on cerebral damage of Wistar rats after focal ischemic reperfusion
Zhou Lihong,Wang Sixin,Wang Fangfang, et al.
(Department of Neurology, Affiliated Hospital of Chengde Medical College,Chengde 067000)
【Abstract】 Objective To discuss the mechanism of large dose methylprednisolone(MP) on cerebral protection of rats after focal ischemic reperfusion.Methods Using the Wistar rat models of focal cerebral ischemic reperfusion,we observed the effects of large dose MP before and after ischemia on the volume of middle cerebral after infarction and the change of cerebral water content,meanwhile the pathological change of brain tissue was observed.Results Compared with the control group, the volume of middle cerebral after infarction in MD treatment group was remarkably reduced before and after ischemia (P<0.01);there was no difference on cerebral water content between the MP treatment group and the control group (P>0.05). From the control group but not the MP treatment group, we found cerebral infiltration of macrophages from the histopathology of rat brain tissues.Conclusion Large dose MP might improve ischemic brain injury,the mechanism related to reducing volume of cerebral infarction and inhibited the infiltration of macrophages in the rat brain tissues.
, 百拇医药
【Key words】 Methylprednisolone Cerebral ischemia Cerebral edema Macrophage
研究发现,大剂量甲基强的松龙(MP)对实验性缺血性脑损伤具有治疗作用,其机理可能与抑制缺血区脑水肿和降低缺血区梗死体积有关[1,2]。我们采用大鼠局灶性脑缺血再灌注模型,进一步观察大剂量MP对缺血再灌注大鼠脑梗死体积与脑水肿的影响,并观察组织病理学改变,以探讨MP对实验性脑缺血的保护作用。
1 材料与方法
1.1 动物分组 雄性Wistar大鼠70只(由沈阳中国医科大学动物饲养中心提供),鼠龄4个月,体重200~250g,随机分成5组:(1)缺血前给药组:脑缺血前30分钟腹腔注射MP(50mg/kg);(2)缺血前盐水组:以等量生理盐水代替MP,余同上;(3)缺血后给药组:脑缺血后30分钟予MP(50mg/kg)腹腔注射;(4)缺血后盐水组:以等量生理盐水代替MP,余同上;(5)假手术组:仅暴露一侧颈总动脉(CCA)、颈内动脉 (ICA)及颈外动脉(ECA),不插线阻断血流。每组14只鼠,随机取6只用于梗死体积及神经功能缺损程度评分,6只用于观察脑水肿程度,余下2只作电镜观察。
, 百拇医药
1.2 模型制备[3] 大鼠3%戊巴比妥钠(1 mg/kg)腹腔麻醉,颈正中切开,分离左侧CCA,ECA及ICA,用电热烧灼器烧灼ECA分支,结扎并游离ECA主干一段,沿ICA向下分离出翼颚动脉 ,沿起点结扎。在ECA剪一小口,注入0.03 ml 浓度为2.4×106 U/L的肝素钠溶液,将制备好的尼龙线插入ECA,经CCA分叉处通过ICA入颅至大脑前动脉 (ACA),尼龙线插入深度为18.5±0.5 mm,再灌时轻提尼龙线使其球端回至ECA内即可恢复大脑中动脉(MCA)血供。假手术组仅分离一侧CCA、ECA 及ICA ,不阻断血流。
1.3 神经功能缺失评分 参照Longa[4]的方法在术后24小时进行5分制评分。0分:无神经功能缺损症状;1分:不能完全伸展对侧前爪;2分:向外侧(右)转圈;3分:向对侧倾倒;4分:不能自行行走,意识丧失。
1.4 梗死灶体积及脑含水量测定
, 百拇医药
1.4.1 梗死灶体积测定 缺血2小时后轻提尼龙线至ECA内恢复再灌流,至24小时迅速断头取脑,距额极2.5 mm制作等距8片冠状切片,所有切片入TTC染色液中37℃水溶染色30分钟,正常组织染成红色,缺血脑组织染成白色。染色后放入10%甲醛中固定,避光4℃保存。用Leitz图象分析仪测定每片红色区与白色区的实际面积,由面积与间隔通过数学处理计算出体积,以白色区体积/总体积(白色区+红色区)为梗死体积占半球体积的百分比,以%表示。
1.4.2 脑组织含水量测定 取MCA闭塞侧半球(不含小脑及脑干),切成若干薄片后(便于烘干),在万分之一天平上精称湿重,置于100℃烘箱内烘干至恒重,按(湿重-干重)/湿重,计算脑组织含水量,以%表示。
1.5 透射电镜观察 每组取2只大鼠,缺血2小时再灌48小时后迅速断头取脑,分离出顶背部脑皮质,取相同部位1×1×1 mm3大小组织块,戊二醛固定,常规包埋,切片,行脑组织超微结构观察。
, 百拇医药
2 结 果
2.1 MP对局灶性缺血再灌注大鼠脑梗死体积的影响及神经功能缺失评分 见表1,缺血前、后给药组与缺血前、后盐水组比较,梗死体积显著缩小(均P<0.01);缺血前后盐水组比较,梗死体积无明显差异(P>0.05);手术组与假手术组比较梗死体积显著增大(均P<0.01)。
表1 缺血前后应用MP后大鼠脑梗死体积
及神经功能缺失评分(
±s) 分组
例数
梗死体积占半球
百分比(%)
神经功能缺失评分
, 百拇医药
缺血前给药组
6
1.32±0.34*△
1.96±0.12*△
缺血前盐水组
6
2.66±0.27△
2.86±0.14△
缺血后给药组
6
1.48±0.29**△
, 百拇医药
2.03±0.11**△
缺血后盐水组
6
2.79±0.41△
2.77±0.17△
假手术组
6
0
0
与缺血前盐水组比较*P<0.01;与缺血后盐水组比较**P<0.01;与假手术组比较△P<0.01
, http://www.100md.com
2.2 MP对缺血再灌注大鼠脑组织含水量的影响每组随机取6只大鼠观察脑组织含水量变化。缺血前给药组及盐水组脑组织含水量分别为80.92±3.11、81.12±3.41,缺血后给药组及盐水组脑组织含水量分别为80.47±3.64、80.88±3.21,均P>0.05;假手术组脑组织含水量为76.93±2.41,与上述手术组比较,均P<0.01。
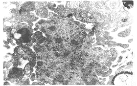
2.3 组织超微结构变化 见图1、图2。缺血前、后盐水组神经元细胞器坏死或融解,核偏位;线粒体膨大或成空泡状,嵴散在、致密或消失。血管周围可见巨噬细胞,巨噬细胞内含多量空泡及次级溶酶体。MP用药组胞体轻度肿胀,细胞器完整,线粒体规整,无血管周围巨噬细胞浸润。假手术组超微结构正常。
图1 盐水治疗组巨噬细胞浸润(×14000)
, 百拇医药
图2 盐水治疗组线粒体膨胀,嵴模糊致密(×14000)
3 讨 论
甲基强的松龙是一种合成的糖皮质激素,作为免疫抑制剂具有很强的抗炎、抗免疫及抗过敏活性。由于MP具有减少炎症病灶周围免疫细胞浸润、促进水肿的吸收及保护细胞器膜结构等多种功效,并成功地应用于颅脊外伤的治疗[5],一些学者倾向或认为MP可改善缺血性脑损伤。Braughler等[2]应用MP治疗单侧颈内动脉闭塞的蒙古沙土鼠,发现MP可改善神经功能,提高生存率。1992年Kalagoi等给予7天新生鼠脑缺血缺氧前应用30 mg/kg MP预防治疗,发现MP可减轻脑水肿程度。De Courten-Myers等[1]又在猫的研究中发现,给予猫单侧颈内动脉闭塞4小时后再灌注,闭塞30分钟时给予MP 30 mg/kg 静推15分钟,继之5.4 mg/kg/h静点23小时,发现治疗组与盐水对照组梗死面积分别为2.4±0.7%与15.6±6.2%,而两组缺血区脑血流分别降低为58±5%与74±4%,以上研究提示MP的治疗作用可能与减轻缺血性脑水肿、减小梗死体积以及相对提高缺血期脑血流有关。
, http://www.100md.com
本研究发现,缺血前后给药组分别与缺血前后盐水组比较,半球梗死体积明显减小,缺血前给药组与缺血后给药组比较无明显差别,表明MP在缺血前后用药均可降低梗死体积并有预防治疗作用。同时,治疗组神经功能缺失评分与盐水对照组比较具有显著差异,且神经功能的受损程度与梗死体积的大小有关,表明MP可通过缩小梗死体积而改善神经功能。另外,从脑组织含水量研究中发现,缺血前后用药组与缺血前后盐水组比较,脑组织含水量无明显变化,提示MP对脑水肿的影响较小,可能与本实验组缺血时间相对较短(2小时)和组织损伤相对较轻有关。
从组织超微结构发现,盐水组缺血组织血管周围可见巨噬细胞浸润并有吞噬现象,巨噬细胞内含有空泡及次级溶酶体。MP治疗组未见上述病理改变,说明MP能够抑制缺血区巨噬细胞浸润。巨噬细胞浸润一方面可清除坏死组织,另一方面可通过释放大量的血管活性物质如氧自由基、兴奋性氨基酸、乳酸等,引起迟发性神经元坏死[6]。单核细胞或巨噬细胞浸润对缺血区神经元的坏死起重要作用[7],应用免疫抑制剂可抑制巨噬细胞浸润,有人在兔的脊髓梗死的组织病理中已证实上述结论[8]。MP作为免疫抑制剂,可以通过阻止巨噬细胞浸润而减轻缺血区神经元的坏死。由此可见,MP对缺血性脑损伤具有治疗作用,其机理与减小梗死体积以及抑制缺血区巨噬细胞浸润有关。
, 百拇医药
参 考 文 献
1,De Courten-Myers GM, Kleiholz M,Wagner KR,et al. Efficacious experiment stroke treatment with high dose methylprednisolone. Stroke, 1994,25:487
2,Braughler JM, Lainer MJ. The effects of large doses of methyl prednisolone on neurologic recovery and survival in the Mongolian gerbil following three hours of unilateral carotid occlusion. CNS Trauma,1986, 3: 153
3,杨世方,闵宝珍,周锡英.大鼠局灶性脑缺血再灌注模型的研究.中风与神经疾病杂志,1996,13:15
, http://www.100md.com
4,Zea Longa EL, Weinstein PR, Carlson S, et al. Reversible middle cerebral artery occlusion without craniectomy in rats. Stroke,1989,20:84
5,Bracken MB,Shepard MJ, Collins WF,et al. A randomized Controlled trial of methylprednisolone or naloxone in the treatment of acute spinal cord injury. N Engl J Med, 1990,322:1405
6,Kim JS,Chopp M,Gautam SC. High dose methylprednisolone therapy reduce expression of JE/MCP-1 mRNA and macrophage accumulation in the ischemic rat brain. J Neurol Sci, 1995,128:28
7,Lees GJ. The possible contribution of microglia and macrophages to delayed neurol death after ischemia. J Neurol Sci, 1993,114:109
8,Giulian D, Robertson C. Inhibition of mononuclear phagocytes reduces ischemic injury in the spinal cord. Ann Neurol, 1987, 27: 33
(收稿2000-06-09,修回2000-08-16), 百拇医药
单位:周丽宏 王嗣欣 王芳芳 高燕军 米艳娟(承德医学院附属医院神经内科 067000);何秋(辽宁省人民医院神经内科);李绍英(中国医科大学第一临床学院神经内科)
关键词:甲基强的松龙;脑缺血;脑水肿;巨噬细胞
临床神经病学杂志000604 【摘要】 目的 探讨大剂量甲基强的松龙(MP)对局灶性缺血再灌注大鼠脑保护作用的机理。方法 采用大鼠局灶性脑缺血再灌注模型,观察缺血前后应用大剂量MP对大鼠大脑中动脉闭塞侧梗死体积的影响以及脑含水量的变化,同时观察脑组织病理学改变。结果 缺血前后MP治疗组大脑中动脉供血区脑梗死体积较盐水对照组明显减小(均P<0.01);缺血前后MP治疗组与盐水对照组脑含水量比较无明显差别(均P>0.05)。病理学发现盐水对照组脑组织血管周围可见巨噬细胞浸润,而MP治疗组无此病理改变。结论 大剂量MP可改善缺血性脑损伤,其机理与减小缺血区梗死体积、抑制脑组织巨噬细胞浸润有关。
, 百拇医药
The effects of large dose methylprednisolone on cerebral damage of Wistar rats after focal ischemic reperfusion
Zhou Lihong,Wang Sixin,Wang Fangfang, et al.
(Department of Neurology, Affiliated Hospital of Chengde Medical College,Chengde 067000)
【Abstract】 Objective To discuss the mechanism of large dose methylprednisolone(MP) on cerebral protection of rats after focal ischemic reperfusion.Methods Using the Wistar rat models of focal cerebral ischemic reperfusion,we observed the effects of large dose MP before and after ischemia on the volume of middle cerebral after infarction and the change of cerebral water content,meanwhile the pathological change of brain tissue was observed.Results Compared with the control group, the volume of middle cerebral after infarction in MD treatment group was remarkably reduced before and after ischemia (P<0.01);there was no difference on cerebral water content between the MP treatment group and the control group (P>0.05). From the control group but not the MP treatment group, we found cerebral infiltration of macrophages from the histopathology of rat brain tissues.Conclusion Large dose MP might improve ischemic brain injury,the mechanism related to reducing volume of cerebral infarction and inhibited the infiltration of macrophages in the rat brain tissues.
, 百拇医药
【Key words】 Methylprednisolone Cerebral ischemia Cerebral edema Macrophage
研究发现,大剂量甲基强的松龙(MP)对实验性缺血性脑损伤具有治疗作用,其机理可能与抑制缺血区脑水肿和降低缺血区梗死体积有关[1,2]。我们采用大鼠局灶性脑缺血再灌注模型,进一步观察大剂量MP对缺血再灌注大鼠脑梗死体积与脑水肿的影响,并观察组织病理学改变,以探讨MP对实验性脑缺血的保护作用。
1 材料与方法
1.1 动物分组 雄性Wistar大鼠70只(由沈阳中国医科大学动物饲养中心提供),鼠龄4个月,体重200~250g,随机分成5组:(1)缺血前给药组:脑缺血前30分钟腹腔注射MP(50mg/kg);(2)缺血前盐水组:以等量生理盐水代替MP,余同上;(3)缺血后给药组:脑缺血后30分钟予MP(50mg/kg)腹腔注射;(4)缺血后盐水组:以等量生理盐水代替MP,余同上;(5)假手术组:仅暴露一侧颈总动脉(CCA)、颈内动脉 (ICA)及颈外动脉(ECA),不插线阻断血流。每组14只鼠,随机取6只用于梗死体积及神经功能缺损程度评分,6只用于观察脑水肿程度,余下2只作电镜观察。
, 百拇医药
1.2 模型制备[3] 大鼠3%戊巴比妥钠(1 mg/kg)腹腔麻醉,颈正中切开,分离左侧CCA,ECA及ICA,用电热烧灼器烧灼ECA分支,结扎并游离ECA主干一段,沿ICA向下分离出翼颚动脉 ,沿起点结扎。在ECA剪一小口,注入0.03 ml 浓度为2.4×106 U/L的肝素钠溶液,将制备好的尼龙线插入ECA,经CCA分叉处通过ICA入颅至大脑前动脉 (ACA),尼龙线插入深度为18.5±0.5 mm,再灌时轻提尼龙线使其球端回至ECA内即可恢复大脑中动脉(MCA)血供。假手术组仅分离一侧CCA、ECA 及ICA ,不阻断血流。
1.3 神经功能缺失评分 参照Longa[4]的方法在术后24小时进行5分制评分。0分:无神经功能缺损症状;1分:不能完全伸展对侧前爪;2分:向外侧(右)转圈;3分:向对侧倾倒;4分:不能自行行走,意识丧失。
1.4 梗死灶体积及脑含水量测定
, 百拇医药
1.4.1 梗死灶体积测定 缺血2小时后轻提尼龙线至ECA内恢复再灌流,至24小时迅速断头取脑,距额极2.5 mm制作等距8片冠状切片,所有切片入TTC染色液中37℃水溶染色30分钟,正常组织染成红色,缺血脑组织染成白色。染色后放入10%甲醛中固定,避光4℃保存。用Leitz图象分析仪测定每片红色区与白色区的实际面积,由面积与间隔通过数学处理计算出体积,以白色区体积/总体积(白色区+红色区)为梗死体积占半球体积的百分比,以%表示。
1.4.2 脑组织含水量测定 取MCA闭塞侧半球(不含小脑及脑干),切成若干薄片后(便于烘干),在万分之一天平上精称湿重,置于100℃烘箱内烘干至恒重,按(湿重-干重)/湿重,计算脑组织含水量,以%表示。
1.5 透射电镜观察 每组取2只大鼠,缺血2小时再灌48小时后迅速断头取脑,分离出顶背部脑皮质,取相同部位1×1×1 mm3大小组织块,戊二醛固定,常规包埋,切片,行脑组织超微结构观察。
, 百拇医药
2 结 果
2.1 MP对局灶性缺血再灌注大鼠脑梗死体积的影响及神经功能缺失评分 见表1,缺血前、后给药组与缺血前、后盐水组比较,梗死体积显著缩小(均P<0.01);缺血前后盐水组比较,梗死体积无明显差异(P>0.05);手术组与假手术组比较梗死体积显著增大(均P<0.01)。
表1 缺血前后应用MP后大鼠脑梗死体积
及神经功能缺失评分(
例数
梗死体积占半球
百分比(%)
神经功能缺失评分
, 百拇医药
缺血前给药组
6
1.32±0.34*△
1.96±0.12*△
缺血前盐水组
6
2.66±0.27△
2.86±0.14△
缺血后给药组
6
1.48±0.29**△
, 百拇医药
2.03±0.11**△
缺血后盐水组
6
2.79±0.41△
2.77±0.17△
假手术组
6
0
0
与缺血前盐水组比较*P<0.01;与缺血后盐水组比较**P<0.01;与假手术组比较△P<0.01
, http://www.100md.com
2.2 MP对缺血再灌注大鼠脑组织含水量的影响每组随机取6只大鼠观察脑组织含水量变化。缺血前给药组及盐水组脑组织含水量分别为80.92±3.11、81.12±3.41,缺血后给药组及盐水组脑组织含水量分别为80.47±3.64、80.88±3.21,均P>0.05;假手术组脑组织含水量为76.93±2.41,与上述手术组比较,均P<0.01。
2.3 组织超微结构变化 见图1、图2。缺血前、后盐水组神经元细胞器坏死或融解,核偏位;线粒体膨大或成空泡状,嵴散在、致密或消失。血管周围可见巨噬细胞,巨噬细胞内含多量空泡及次级溶酶体。MP用药组胞体轻度肿胀,细胞器完整,线粒体规整,无血管周围巨噬细胞浸润。假手术组超微结构正常。
图1 盐水治疗组巨噬细胞浸润(×14000)
, 百拇医药
图2 盐水治疗组线粒体膨胀,嵴模糊致密(×14000)
3 讨 论
甲基强的松龙是一种合成的糖皮质激素,作为免疫抑制剂具有很强的抗炎、抗免疫及抗过敏活性。由于MP具有减少炎症病灶周围免疫细胞浸润、促进水肿的吸收及保护细胞器膜结构等多种功效,并成功地应用于颅脊外伤的治疗[5],一些学者倾向或认为MP可改善缺血性脑损伤。Braughler等[2]应用MP治疗单侧颈内动脉闭塞的蒙古沙土鼠,发现MP可改善神经功能,提高生存率。1992年Kalagoi等给予7天新生鼠脑缺血缺氧前应用30 mg/kg MP预防治疗,发现MP可减轻脑水肿程度。De Courten-Myers等[1]又在猫的研究中发现,给予猫单侧颈内动脉闭塞4小时后再灌注,闭塞30分钟时给予MP 30 mg/kg 静推15分钟,继之5.4 mg/kg/h静点23小时,发现治疗组与盐水对照组梗死面积分别为2.4±0.7%与15.6±6.2%,而两组缺血区脑血流分别降低为58±5%与74±4%,以上研究提示MP的治疗作用可能与减轻缺血性脑水肿、减小梗死体积以及相对提高缺血期脑血流有关。
, http://www.100md.com
本研究发现,缺血前后给药组分别与缺血前后盐水组比较,半球梗死体积明显减小,缺血前给药组与缺血后给药组比较无明显差别,表明MP在缺血前后用药均可降低梗死体积并有预防治疗作用。同时,治疗组神经功能缺失评分与盐水对照组比较具有显著差异,且神经功能的受损程度与梗死体积的大小有关,表明MP可通过缩小梗死体积而改善神经功能。另外,从脑组织含水量研究中发现,缺血前后用药组与缺血前后盐水组比较,脑组织含水量无明显变化,提示MP对脑水肿的影响较小,可能与本实验组缺血时间相对较短(2小时)和组织损伤相对较轻有关。
从组织超微结构发现,盐水组缺血组织血管周围可见巨噬细胞浸润并有吞噬现象,巨噬细胞内含有空泡及次级溶酶体。MP治疗组未见上述病理改变,说明MP能够抑制缺血区巨噬细胞浸润。巨噬细胞浸润一方面可清除坏死组织,另一方面可通过释放大量的血管活性物质如氧自由基、兴奋性氨基酸、乳酸等,引起迟发性神经元坏死[6]。单核细胞或巨噬细胞浸润对缺血区神经元的坏死起重要作用[7],应用免疫抑制剂可抑制巨噬细胞浸润,有人在兔的脊髓梗死的组织病理中已证实上述结论[8]。MP作为免疫抑制剂,可以通过阻止巨噬细胞浸润而减轻缺血区神经元的坏死。由此可见,MP对缺血性脑损伤具有治疗作用,其机理与减小梗死体积以及抑制缺血区巨噬细胞浸润有关。
, 百拇医药
参 考 文 献
1,De Courten-Myers GM, Kleiholz M,Wagner KR,et al. Efficacious experiment stroke treatment with high dose methylprednisolone. Stroke, 1994,25:487
2,Braughler JM, Lainer MJ. The effects of large doses of methyl prednisolone on neurologic recovery and survival in the Mongolian gerbil following three hours of unilateral carotid occlusion. CNS Trauma,1986, 3: 153
3,杨世方,闵宝珍,周锡英.大鼠局灶性脑缺血再灌注模型的研究.中风与神经疾病杂志,1996,13:15
, http://www.100md.com
4,Zea Longa EL, Weinstein PR, Carlson S, et al. Reversible middle cerebral artery occlusion without craniectomy in rats. Stroke,1989,20:84
5,Bracken MB,Shepard MJ, Collins WF,et al. A randomized Controlled trial of methylprednisolone or naloxone in the treatment of acute spinal cord injury. N Engl J Med, 1990,322:1405
6,Kim JS,Chopp M,Gautam SC. High dose methylprednisolone therapy reduce expression of JE/MCP-1 mRNA and macrophage accumulation in the ischemic rat brain. J Neurol Sci, 1995,128:28
7,Lees GJ. The possible contribution of microglia and macrophages to delayed neurol death after ischemia. J Neurol Sci, 1993,114:109
8,Giulian D, Robertson C. Inhibition of mononuclear phagocytes reduces ischemic injury in the spinal cord. Ann Neurol, 1987, 27: 33
(收稿2000-06-09,修回2000-08-16), 百拇医药